JavaScript is disabled in your browser. Please enable JavaScript to view this website.
AB53087

Anti-hCG beta 抗体

Anti-hCG beta antibody

Be the first to review this product! Submit a review

|

(15 Publications)

Rabbit Polyclonal hCG beta antibody. Suitable for WB, IHC-P and reacts with Mouse, Human samples. Cited in 15 publications.

查看别名

Choriogonadotropin subunit beta variant 1, CGB1

2 Images
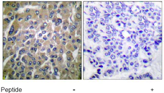
Immunohistochemistry (Formalin/PFA-fixed paraffin-embedded sections) - Anti-hCG beta antibody (AB53087)
  • IHC-P

Unknown

Immunohistochemistry (Formalin/PFA-fixed paraffin-embedded sections) - Anti-hCG beta antibody (AB53087)

Immunohistochemical analysis of paraffin-embedded human breast carcinoma tissue using hCG ß antibody, ab53087, at 1/50 dilution.

Western blot - Anti-hCG beta antibody (AB53087)
  • WB

Unknown

Western blot - Anti-hCG beta antibody (AB53087)

All lanes:

Western blot - Anti-hCG beta antibody (ab53087) at 1/300 dilution

Lane 1:

NIH/3T3 cell extract

Lane 2:

NIH/3T3 cell extract with peptide

Predicted band size: 18 kDa

false

关键信息

宿主种属

Rabbit

克隆

Polyclonal

亚型

IgG

不含载体蛋白

No

反应种属

Mouse, Human

应用

IHC-P, WB

applications

免疫原

The exact immunogen used to generate this antibody is proprietary information.

反应性数据

{ "title": "Reactivity Data", "filters": { "stats": ["", "Species", "Dilution Info", "Notes"], "tabs": { "all-applications": {"fullname" : "All Applications", "shortname": "All Applications"}, "WB" : {"fullname" : "Western blot", "shortname":"WB"}, "IHCP" : {"fullname" : "Immunohistochemistry (Formalin/PFA-fixed paraffin-embedded sections)", "shortname":"IHC-P"} }, "product-promise": { "all": "all", "testedAndGuaranteed": "tested", "guaranteed": "expected", "predicted": "predicted", "notRecommended": "not-recommended" } }, "values": { "Human": { "WB-species-checked": "guaranteed", "WB-species-dilution-info": "", "WB-species-notes": "", "IHCP-species-checked": "testedAndGuaranteed", "IHCP-species-dilution-info": "", "IHCP-species-notes": "<p></p>" }, "Mouse": { "WB-species-checked": "testedAndGuaranteed", "WB-species-dilution-info": "1/300 - 1/1000", "WB-species-notes": "<p></p>", "IHCP-species-checked": "guaranteed", "IHCP-species-dilution-info": "", "IHCP-species-notes": "" } } }

性能和储存信息

形式
Liquid
纯化工艺
Affinity purification Immunogen
存储溶液
pH: 7.4 Preservative: 0.02% Sodium azide Constituents: PBS, 50% Glycerol (glycerin, glycerine), 0.87% Sodium chloride
运输条件
Blue Ice
推荐的短期储存条件
+4°C
推荐的长期储存条件
-20°C
储存信息
Stable for 12 months at -20°C

补充信息

This supplementary information is collated from multiple sources and compiled automatically.

HCG beta also known as beta hCG or hCGβ is a subunit of the human chorionic gonadotropin (hCG) protein. This protein plays critical roles in human reproduction. hCG is a glycoprotein hormone composed of alpha and beta subunits with the beta subunit being unique to hCG and conferring its biological specificity. The mass of the beta hCG is approximately 22.2 kDa. hCG beta is expressed mainly in placental trophoblastic cells during pregnancy where it stimulates the corpus luteum to produce progesterone. This progesterone production is essential to maintain the uterine lining for embryo implantation and growth.
Biological function summary

HCG beta plays a significant role in gestational development. It is not a standalone protein but part of the larger hCG complex conferring specific hormonal activity when paired with the common alpha subunit. This activity involves supporting fetal-placental development and enabling maternal immune tolerance to the embryo. As a marker hCG beta levels are measured in pregnancy tests to confirm conception. In addition to pregnancy-related functions hCG beta has been detected in certain cancers making it useful as a tumor marker. It sometimes gets used in clinical settings to monitor trophoblastic disease and germ cell tumors.

Pathways

HCG beta is intricately involved in reproductive signaling pathways. It plays an important role in the cAMP-PKA pathway by acting through the luteinizing hormone/choriogonadotropin receptor which regulates steroidogenesis in the reproductive system. hCG beta’s activity leads to the stimulation of downstream proteins such as progesterone which modulates various reproductive and systemic effects. The involvement of hCG beta in the Wnt signaling pathway has also been suggested indicating its broader role in cellular growth and differentiation making it an influential factor in both pregnancy and certain oncogenic processes.

HCG beta holds significant importance in oncology and reproductive health. Elevated levels of hCG beta are associated with gestational trophoblastic diseases such as choriocarcinoma a fast-growing cancer originating in the uterus. The protein’s abnormal presence is often an indicator in testicular cancer specifically germ cell tumors where it serves as a marker for diagnosis and treatment monitoring. These connections make hCG beta a valuable target for understanding tumor biology and developing diagnostic strategies. Further interactions with related proteins such as the luteinizing hormone receptor highlight its function in these pathogenic conditions.

产品实验方案

For this product, it's our understanding that no specific protocols are required. You can visit:

文献 (15)

Recent publications for all applications. Explore the full list and refine your search

Genes & development 38:718-737 PubMed39168638

2024

TFEB controls expression of human syncytins during cell-cell fusion.

Applications

Unspecified application

Species

Unspecified reactive species

Meagan N Esbin,Liza Dahal,Vinson B Fan,Joey McKenna,Eric Yin,Xavier Darzacq,Robert Tjian

Methods in molecular biology (Clifton, N.J.) 2767:85-103 PubMed37402094

2023

Generation of 3D Trophoblast Organoids from Human Naïve Pluripotent Stem Cells.

Applications

Unspecified application

Species

Unspecified reactive species

Rowan M Karvas,Thorold W Theunissen

Cell proliferation 56:e13492 PubMed37199067

2023

An aggregation of human embryonic and trophoblast stem cells reveals the role of trophectoderm on epiblast differentiation.

Applications

Unspecified application

Species

Unspecified reactive species

Xulun Wu,Wentao Zhao,Hao Wu,Qiancheng Zhang,Yiming Wang,Kunyuan Yu,Jinglei Zhai,Fan Mo,Meijiao Wang,Shiwen Li,Xili Zhu,Xiaoyan Liang,Baoyang Hu,Guang-Hui Liu,Jun Wu,Hongmei Wang,Fan Guo,Leqian Yu

Frontiers in endocrinology 14:1069395 PubMed37008954

2023

The immune checkpoint molecule, VTCN1/B7-H4, guides differentiation and suppresses proinflammatory responses and MHC class I expression in an embryonic stem cell-derived model of human trophoblast.

Applications

Unspecified application

Species

Unspecified reactive species

Jie Zhou,Yuchen Tian,Ying Qu,Madyson Williams,Ye Yuan,Rowan M Karvas,Megan A Sheridan,Laura C Schulz,Toshihiko Ezashi,Michael R Roberts,Danny J Schust

Development (Cambridge, England) 149: PubMed35792865

2022

An integrated atlas of human placental development delineates essential regulators of trophoblast stem cells.

Applications

Unspecified application

Species

Unspecified reactive species

Yutong Chen,Dylan Siriwardena,Christopher Penfold,Adam Pavlinek,Thorsten E Boroviak

Frontiers in bioengineering and biotechnology 10:907104 PubMed35845423

2022

Fluidic Flow Enhances the Differentiation of Placental Trophoblast-Like 3D Tissue from hiPSCs in a Perfused Macrofluidic Device.

Applications

Unspecified application

Species

Unspecified reactive species

Pengwei Deng,Kangli Cui,Yang Shi,Yujuan Zhu,Yaqing Wang,Xiaoguang Shao,Jianhua Qin

Cell stem cell 29:810-825.e8 PubMed35523141

2022

Stem-cell-derived trophoblast organoids model human placental development and susceptibility to emerging pathogens.

Applications

Unspecified application

Species

Unspecified reactive species

Rowan M Karvas,Shafqat A Khan,Sonam Verma,Yan Yin,Devesha Kulkarni,Chen Dong,Kyoung-Mi Park,Brian Chew,Eshan Sane,Laura A Fischer,Deepak Kumar,Liang Ma,Adrianus C M Boon,Sabine Dietmann,Indira U Mysorekar,Thorold W Theunissen

Scientific reports 12:4056 PubMed35260712

2022

Mitochondrial dysfunction-induced high hCG associated with development of fetal growth restriction and pre-eclampsia with fetal growth restriction.

Applications

Unspecified application

Species

Unspecified reactive species

Ryo Kiyokoba,Takeshi Uchiumi,Mikako Yagi,Takahiro Toshima,Shigehiro Tsukahara,Yasuyuki Fujita,Kiyoko Kato,Dongchon Kang

The Journal of international medical research 48:300060520934288 PubMed33081553

2020

Effect of baicalin on gestational hypertension-induced vascular endothelial cell damage.

Applications

Unspecified application

Species

Unspecified reactive species

Yang Liu,Miao Xiong,Fangfang Zhou,Nana Shi,Yunbin Jia

PLoS neglected tropical diseases 14:e0008424 PubMed32745093

2020

Differential gene expression elicited by ZIKV infection in trophoblasts from congenital Zika syndrome discordant twins.

Applications

Unspecified application

Species

Unspecified reactive species

Murilo Sena Amaral,Ernesto Goulart,Luiz Carlos Caires-Júnior,David Abraham Morales-Vicente,Alessandra Soares-Schanoski,Roselane Paiva Gomes,Giovanna Gonçalves de Oliveira Olberg,Renato Mancini Astray,Jorge E Kalil,Mayana Zatz,Sergio Verjovski-Almeida
View all publications

Abcam Product Promise

我们致力于为您的研究提供高质量的试剂,为您科研的每一步提供支持。若我们的产品未能达到预期性能,我们向您提供 Abcam Product Promise 保障。
详情请参阅我们的条款与条件。

Please note: All products are 'FOR RESEARCH USE ONLY. NOT FOR USE IN DIAGNOSTIC OR THERAPEUTIC PROCEDURES'.

For licensing inquiries, please contact partnerships@abcam.com