JavaScript is disabled in your browser. Please enable JavaScript to view this website.
AB137613

Anti-HAX1 抗体

Anti-HAX1 antibody

Be the first to review this product! Submit a review

|

(6 Publications)

Rabbit Polyclonal HAX1 antibody. Suitable for IHC-P, WB, ICC/IF and reacts with Rat, Human samples. Cited in 6 publications. Immunogen corresponding to Recombinant Fragment Protein within Human HAX1 aa 1 to C-terminus.

查看别名

HS1BP1, HAX1, HCLS1-associated protein X-1, HS1-associating protein X-1, HS1-binding protein 1, HAX-1, HSP1BP-1

5 Images
Western blot - Anti-HAX1 antibody (AB137613)
  • WB

Supplier Data

Western blot - Anti-HAX1 antibody (AB137613)

12% SDS-PAGE

All lanes:

Western blot - Anti-HAX1 antibody (ab137613) at 1/1000 dilution

Lane 1:

HEK-293T whole cell extracts at 30 µg

Lane 2:

A431 whole cell extracts at 30 µg

Lane 3:

HeLa whole cell extracts at 30 µg

Lane 4:

HepG2 whole cell extracts at 30 µg

Predicted band size: 32 kDa

false

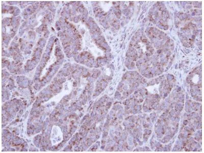
Immunohistochemistry (Formalin/PFA-fixed paraffin-embedded sections) - Anti-HAX1 antibody (AB137613)
  • IHC-P

Unknown

Immunohistochemistry (Formalin/PFA-fixed paraffin-embedded sections) - Anti-HAX1 antibody (AB137613)

ab137613, at a 1/100 dilution, staining HAX1 in paraffin embedded NCIN87 xenograft tissue by Immunohistochemistry.

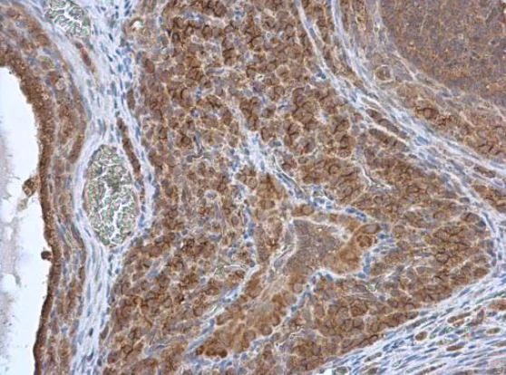
Immunohistochemistry (Formalin/PFA-fixed paraffin-embedded sections) - Anti-HAX1 antibody (AB137613)
  • IHC-P

Supplier Data

Immunohistochemistry (Formalin/PFA-fixed paraffin-embedded sections) - Anti-HAX1 antibody (AB137613)

Paraffin embedded rat ovary tissue stained for HAX1 using ab137613 at 1/500 dilution in immunohistochemical analysis.

Immunocytochemistry/ Immunofluorescence - Anti-HAX1 antibody (AB137613)
  • ICC/IF

Unknown

Immunocytochemistry/ Immunofluorescence - Anti-HAX1 antibody (AB137613)

ab137613 at a 1/500 dilution, staining HAX1 in methanol-fixed A431 cells by Immunofluorescence (green).

Western blot - Anti-HAX1 antibody (AB137613)
  • WB

Unknown

Western blot - Anti-HAX1 antibody (AB137613)

12% SDS PAGE

All lanes:

Western blot - Anti-HAX1 antibody (ab137613) at 1/1000 dilution

Lane 1:

MOLT-4 whole cell lysate at 30 µg

Lane 2:

Raji whole cell lysate at 30 µg

Predicted band size: 32 kDa

false

关键信息

宿主种属

Rabbit

克隆

Polyclonal

亚型

IgG

不含载体蛋白

No

反应种属

Rat, Human

应用

WB, IHC-P, ICC/IF

applications

免疫原

Recombinant Fragment Protein within Human HAX1 aa 1 to C-terminus. The exact immunogen used to generate this antibody is proprietary information.

O00165

反应性数据

{ "title": "Reactivity Data", "filters": { "stats": ["", "Species", "Dilution Info", "Notes"], "tabs": { "all-applications": {"fullname" : "All Applications", "shortname": "All Applications"}, "IHCP" : {"fullname" : "Immunohistochemistry (Formalin/PFA-fixed paraffin-embedded sections)", "shortname":"IHC-P"}, "WB" : {"fullname" : "Western blot", "shortname":"WB"}, "ICCIF" : {"fullname" : "Immunocytochemistry/ Immunofluorescence", "shortname":"ICC/IF"} }, "product-promise": { "all": "all", "testedAndGuaranteed": "tested", "guaranteed": "expected", "predicted": "predicted", "notRecommended": "not-recommended" } }, "values": { "Human": { "IHCP-species-checked": "testedAndGuaranteed", "IHCP-species-dilution-info": "1/100.00000 - 1/1000.00000", "IHCP-species-notes": "<p></p> Perform heat-mediated antigen retrieval with citrate buffer pH 6 before commencing with IHC staining protocol.", "WB-species-checked": "testedAndGuaranteed", "WB-species-dilution-info": "1/500.00000 - 1/3000.00000", "WB-species-notes": "<p></p>", "ICCIF-species-checked": "testedAndGuaranteed", "ICCIF-species-dilution-info": "1/100.00000 - 1/1000.00000", "ICCIF-species-notes": "<p></p>" }, "Rat": { "IHCP-species-checked": "testedAndGuaranteed", "IHCP-species-dilution-info": "1/100.00000 - 1/1000.00000", "IHCP-species-notes": "<p></p> Perform heat-mediated antigen retrieval with citrate buffer pH 6 before commencing with IHC staining protocol.", "WB-species-checked": "guaranteed", "WB-species-dilution-info": "", "WB-species-notes": "", "ICCIF-species-checked": "guaranteed", "ICCIF-species-dilution-info": "", "ICCIF-species-notes": "" } } }

性能和储存信息

形式
Liquid
纯化工艺
Affinity purification Immunogen
存储溶液
pH: 7 Preservative: 0.01% Thimerosal (merthiolate) Constituents: 89.99% PBS, 10% Glycerol (glycerin, glycerine)
运输条件
Blue Ice
推荐的短期储存时间
1-2 weeks
推荐的短期储存条件
+4°C
推荐的长期储存条件
-20°C
分装信息
Upon delivery aliquot
储存信息
Avoid freeze / thaw cycle

补充信息

This supplementary information is collated from multiple sources and compiled automatically.

HAX1 also known as HS-1 associated protein X-1 is a multifunctional protein with a mass of approximately 35 kDa. It plays a significant role in cellular activities by regulating various signaling pathways and maintaining cellular homeostasis. The expression of HAX1 is found in several tissues including the brain heart and skeletal muscle indicating its diverse functional importance across different cell types.
Biological function summary

HAX1 contributes to the stabilization of mitochondria by preventing apoptosis. It interacts with other proteins to form complexes that support cell survival. HAX1's involvement in mitochondrial functions highlights its role in regulating energy production and cellular stress responses. Its capacity to inhibit programmed cell death makes it essential for maintaining cell integrity under stress conditions.

Pathways

HAX1 is integral to the mitochondrial apoptosis pathway and also plays a part in the cytoskeletal signaling pathway. In the apoptosis pathway HAX1 interacts with proteins like BCL-2 to inhibit cell death ensuring cell survival. Additionally in the cytoskeletal signaling pathway HAX1 associates with cytoskeletal proteins aiding in the reorganization of cell structure and enhancing cellular processes like migration.

HAX1 mutations or dysregulation link to severe congenital neutropenia and some neurological disorders. Mutations in HAX1 disrupt the apoptosis inhibition pathway causing a loss in neutrophil count which results in severe congenital neutropenia. This condition is often associated with proteins like ELANE. In some neurological disorders altered HAX1 levels can disturb cellular signaling and survival leading to cellular dysfunction.

产品实验方案

For this product, it's our understanding that no specific protocols are required. You can visit:

靶点信息

Recruits the Arp2/3 complex to the cell cortex and regulates reorganization of the cortical actin cytoskeleton via its interaction with KCNC3 and the Arp2/3 complex (PubMed : 26997484). Slows down the rate of inactivation of KCNC3 channels (PubMed : 26997484). Promotes GNA13-mediated cell migration. Involved in the clathrin-mediated endocytosis pathway. May be involved in internalization of ABC transporters such as ABCB11. May inhibit CASP9 and CASP3. Promotes cell survival. May regulate intracellular calcium pools.
See full target information HAX1

文献 (6)

Recent publications for all applications. Explore the full list and refine your search

Advances in clinical and experimental medicine : official organ Wroclaw Medical University 31:689-699 PubMed35302298

2022

Effect of different expression patterns of HAX-1 on the proliferation and apoptosis of human astrocyte.

Applications

Unspecified application

Species

Unspecified reactive species

Xiaopeng Xia,Xiaojian Zhu,Shu Zhang,Xiaoxia Zhang,Yan Wang

International journal of molecular medicine 46:1849-1861 PubMed33000203

2020

MicroRNA‑125a‑5p regulates liver cancer cell growth, migration and invasion and EMT by targeting HAX1.

Applications

Unspecified application

Species

Unspecified reactive species

Zhongming Zha,Jie Li

eLife 9: PubMed32573439

2020

Skd3 (human ClpB) is a potent mitochondrial protein disaggregase that is inactivated by 3-methylglutaconic aciduria-linked mutations.

Applications

Unspecified application

Species

Unspecified reactive species

Ryan R Cupo,James Shorter

BioMed research international 2020:4914707 PubMed32104694

2020

miR-654-5p Targets HAX-1 to Regulate the Malignancy Behaviors of Colorectal Cancer Cells.

Applications

Unspecified application

Species

Unspecified reactive species

Fuda Huang,Xianjian Wu,Mingwei Wei,Houji Guo,Hua Li,Zesheng Shao,Yi Wu,Jian Pu

Cancer biology & therapy 20:1223-1233 PubMed31132019

2019

Hematopoietic-substrate-1 associated protein X-1 (HAX-1) regulates liver cancer cells growth, metastasis, and angiogenesis through Akt.

Applications

Unspecified application

Species

Unspecified reactive species

Zhenyu Wu,Xiangnan Ai,Hao Hu,Siqi Wang,Yang Wang,Feng Kang,Caiguo Ouyang,Jiye Zhu

Journal of virology 92: PubMed29563290

2018

H5N1 Influenza A Virus PB1-F2 Relieves HAX-1-Mediated Restriction of Avian Virus Polymerase PA in Human Lung Cells.

Applications

Unspecified application

Species

Unspecified reactive species

B Mazel-Sanchez,I Boal-Carvalho,F Silva,R Dijkman,M Schmolke
View all publications

Abcam Product Promise

我们致力于为您的研究提供高质量的试剂,为您科研的每一步提供支持。若我们的产品未能达到预期性能,我们向您提供 Abcam Product Promise 保障。
详情请参阅我们的条款与条件。

关联产品

Select an associated product type
Alternative Product
Primary Antibodies

AB78939

Anti-HAX1 antibody

primary-antibodies

hax1-antibody-ab78939

0

(0 reviews)

Please note: All products are 'FOR RESEARCH USE ONLY. NOT FOR USE IN DIAGNOSTIC OR THERAPEUTIC PROCEDURES'.

For licensing inquiries, please contact partnerships@abcam.com