JavaScript is disabled in your browser. Please enable JavaScript to view this website.
AB40872

重组Anti-Hamartin抗体[EP318Y]

Anti-Hamartin antibody [EP318Y]

  • BOND RX™ Validated
  • KO Validated
  • RabMAb
  • Recombinant
  • 了解详情

3

(1 Review)

|

(3 Publications)

Knockout Tested Rabbit Recombinant Monoclonal Hamartin antibody. Suitable for WB, IHC-P, Flow Cyt (Intra), IP and reacts with Human samples. Cited in 3 publications.

查看别名

KIAA0243, TSC, TSC1, Hamartin, Tuberous sclerosis 1 protein

7 Images
Immunoprecipitation - Anti-Hamartin antibody [EP318Y] (AB40872)
  • IP

Lab

Immunoprecipitation - Anti-Hamartin antibody [EP318Y] (AB40872)

Immunoprecipitation of TSC1 in HAP1 cells. Lysates were prepared and immunoprecipitation was performed using  2.0 µg of ab40872 pre-coupled to Protein A beads. Samples were then washed and processed for western blot.

These data were provided by YCharOS Inc., an open science company with the mission of characterizing commercially available antibody reagents for all human proteins. Abcam and YCharOS are working together to help address the reproducibility crisis by enabling the life science community to better evaluate commercially available antibodies.

All lanes:

Immunoprecipitation - Anti-Hamartin antibody [EP318Y] (ab40872) at 2 µg

All lanes:

HAP1 cells

false

Western blot - Anti-Hamartin antibody [EP318Y] (AB40872)
  • WB

Lab

Western blot - Anti-Hamartin antibody [EP318Y] (AB40872)

ab40872 was shown to react with TSC1 in wild-type HAP1 cells in Western blot with loss of signal observed in a TSC1 knockout cell line. Wild-type HAP1 and TSC1 knockout cell lysates were subjected to SDS-PAGE. Membranes were blocked in 5% milk in TBST for 1 hr before incubation with ab40872 overnight at 4 °C at a 1/500 dilution. Blots were incubated with secondary antibodies at 0.2 µg/mL before imaging.

These data were provided by YCharOS Inc., an open science company with the mission of characterizing commercially available antibody reagents for all human proteins. Abcam and YCharOS are working together to help address the reproducibility crisis by enabling the life science community to better evaluate commercially available antibodies.

All lanes:

Western blot - Anti-Hamartin antibody [EP318Y] (ab40872) at 1/500 dilution

Lane 1:

Wild-type HAP1 lysate at 100 µg

Lane 2:

TSC1 knock-out HAP1 lysate at 100 µg

false

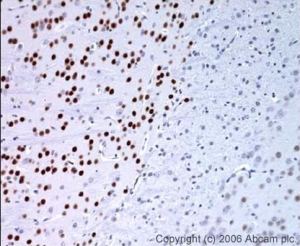
Immunohistochemistry (Formalin/PFA-fixed paraffin-embedded sections) - Anti-Hamartin antibody [EP318Y] (AB40872)
  • IHC-P

Lab

Immunohistochemistry (Formalin/PFA-fixed paraffin-embedded sections) - Anti-Hamartin antibody [EP318Y] (AB40872)

Immunohistochemistry (Formalin/PFA-fixed paraffin-embedded sections) analysis of Human liver tissue sections labeling Hamartin with purified ab40872 at 1/200 dilution (1.08 µg/mL). Heat mediated antigen retrieval using Bond™ Epitope Retrieval Solution 2 (pH 9.0). The immunostaining was performed on a Leica Biosystems BOND® RX instrument. Rabbit specific IHC polymer detection kit HRP/DAB (ab209101) was used as the secondary antibody. Negative control : PBS instead of the primary antibody. Hematoxylin was used as a counterstain.

Flow Cytometry (Intracellular) - Anti-Hamartin antibody [EP318Y] (AB40872)
  • Flow Cyt (Intra)

Lab

Flow Cytometry (Intracellular) - Anti-Hamartin antibody [EP318Y] (AB40872)

Intracellular Flow Cytometry analysis of HeLa (Human cervix adenocarcinoma epithelial cell) cells labeling Hamartin with Purified ab40872 at 1/20 dilution (10 μg/ml) (Red). Cells were fixed with 4% Paraformaldehyde and permeabilised with 90% Methanol. A Goat anti rabbit IgG (Alexa Fluor® 488 ,ab150077) secondary antibody was used at 1/2000. Isotype control - Rabbit monoclonal IgG (Black). Unlabeled control - Cell without incubation with primary antibody and secondary antibody (Blue).

Western blot - Anti-Hamartin antibody [EP318Y] (AB40872)
  • WB

Unknown

Western blot - Anti-Hamartin antibody [EP318Y] (AB40872)

We are not sure about the nature of the extra band.

All lanes:

Western blot - Anti-Hamartin antibody [EP318Y] (ab40872) at 1/1000 dilution

All lanes:

HeLa (Human cervix adenocarcinoma epithelial cell) whole cell lysate at 15 µg

Secondary

All lanes:

Western blot - Goat Anti-Rabbit IgG H&L (HRP) (<a href='/products/secondary-antibodies/goat-rabbit-igg-h-l-hrp-ab97051'>ab97051</a>) at 1/20000 dilution

Predicted band size: 130 kDa

false

Western blot - Anti-Hamartin antibody [EP318Y] (AB40872)
  • WB

Lab

Western blot - Anti-Hamartin antibody [EP318Y] (AB40872)

Lane 1 : Wild-type HAP1 cell lysate (20 μg)
Lane 2 : Hamartin knockout HAP1 cell lysate (20 μg)
Lane 3 : HeLa cell lysate (20 μg)
Lane 4 : Human skeletal muscle tissue lysate (20 μg)
Lanes 1 - 4 : Merged signal (red and green). Green - ab40872 observed at 150 kDa. Red - loading control, ab8245, observed at 37 kDa.

ab40872 was shown to recognize Hamartin when Hamartin knockout samples were used, along with additional cross-reactive bands. Wild-type and Hamartin knockout samples were subjected to SDS-PAGE. ab40872 and ab8245 (loading control to GAPDH) were diluted 1/5000 and 1/10000 respectively and incubated overnight at 4°C. Blots were developed with Goat anti-Rabbit IgG H&L (IRDye® 800CW) preadsorbed (ab216773) and Goat anti-Mouse IgG H&L (IRDye® 680RD) preadsorbed (ab216776) secondary antibodies at 1/10000 dilution for 1 hour at room temperature before imaging.

All lanes:

Western blot - Anti-Hamartin antibody [EP318Y] (ab40872)

Predicted band size: 130 kDa

false

Western blot - Anti-Hamartin antibody [EP318Y] (AB40872)
  • WB

Lab

Western blot - Anti-Hamartin antibody [EP318Y] (AB40872)

Western blot : Anti-TSC1 antibody [EP318Y] (ab40872) staining at 1/1000 dilution, shown in green; Mouse anti-CANX [CANX/1543] (ab238078) loading control staining at 1/20000 dilution, shown in magenta. In Western blot, ab40872 was shown to bind specifically to TSC1. A band was observed at 130-150 kDa in wild-type MCF7 cell lysates with no signal observed at this size in TSC1 knockout cell line. To generate this image, wild-type and TSC1 knockout MCF7 cell lysates were analysed. First, samples were run on an SDS-PAGE gel then transferred onto a nitrocellulose membrane. Membranes were blocked in 5 % milk in TBS-0.1 % Tween® 20 (TBS-T) before incubation with primary antibodies overnight at 4 °C. Blots were washed four times in TBS-T, incubated with secondary antibodies for 1 h at room temperature, washed again four times then imaged. Secondary antibodies used were Goat anti-Rabbit IgG H&L 800CW and Goat anti-Mouse IgG H&L 680RD at 1/20000 dilution.

All lanes:

Western blot - Anti-Hamartin antibody [EP318Y] (ab40872) at 1/1000 dilution

Lane 1:

Wild-type MCF7 cell lysate at 20 µg

Lane 2:

TSC1 knockout MCF7 cell lysate at 20 µg

Lane 3:

Wild-type A549 cell lysate at 20 µg

Lane 4:

TSC1 knockout A549 cell lysate at 20 µg

Lane 5:

Wild-type HAP1 cell lysate at 20 µg

Lane 6:

TSC1 knockout HAP1 cell lysate at 20 µg

Secondary

All lanes:

Goat anti-Rabbit IgG H&L 800CW and Goat anti-Mouse IgG H&L 680RD at 1/20000 dilution

false

不同偶联物与剂型 (10)

  • 665 Alexa Fluor® 647

    Alexa Fluor® 647 Anti-Hamartin antibody [EP318Y]

  • 519 Alexa Fluor® 488

    Alexa Fluor® 488 Anti-Hamartin antibody [EP318Y]

  • Carrier free

    Anti-Hamartin antibody [EP318Y] - BSA and Azide free

  • 660 APC

    APC Anti-Hamartin antibody [EP318Y]

  • HRP

    HRP Anti-Hamartin antibody [EP318Y]

  • 565 Alexa Fluor® 555

    Alexa Fluor® 555 Anti-Hamartin antibody [EP318Y]

  • 603 Alexa Fluor® 568

    Alexa Fluor® 568 Anti-Hamartin antibody [EP318Y]

  • 578 PE

    PE Anti-Hamartin antibody [EP318Y]

  • 617 Alexa Fluor® 594

    Alexa Fluor® 594 Anti-Hamartin antibody [EP318Y]

  • 775 Alexa Fluor® 750

    Alexa Fluor® 750 Anti-Hamartin antibody [EP318Y]

关键信息

宿主种属

Rabbit

克隆

Monoclonal

克隆号

EP318Y

亚型

IgG

不含载体蛋白

No

反应种属

Human

应用

WB, IHC-P, IP, Flow Cyt (Intra)

applications

免疫原

The exact immunogen used to generate this antibody is proprietary information.

反应性数据

{ "title": "Reactivity Data", "filters": { "stats": ["", "Species", "Dilution Info", "Notes"], "tabs": { "all-applications": {"fullname" : "All Applications", "shortname": "All Applications"}, "WB" : {"fullname" : "Western blot", "shortname":"WB"}, "IHCP" : {"fullname" : "Immunohistochemistry (Formalin/PFA-fixed paraffin-embedded sections)", "shortname":"IHC-P"}, "ICCIF" : {"fullname" : "Immunocytochemistry/ Immunofluorescence", "shortname":"ICC/IF"}, "FlowCytIntra" : {"fullname" : "Flow Cytometry (Intracellular)", "shortname":"Flow Cyt (Intra)"}, "IP" : {"fullname" : "Immunoprecipitation", "shortname":"IP"} }, "product-promise": { "all": "all", "testedAndGuaranteed": "tested", "guaranteed": "expected", "predicted": "predicted", "notRecommended": "not-recommended" } }, "values": { "Human": { "WB-species-checked": "testedAndGuaranteed", "WB-species-dilution-info": "1/1000", "WB-species-notes": "<p>For the unpurified version use 1/20000 dilution</p>", "IHCP-species-checked": "testedAndGuaranteed", "IHCP-species-dilution-info": "1/200", "IHCP-species-notes": "<p></p> Perform heat-mediated antigen retrieval with citrate buffer pH 6 before commencing with IHC staining protocol.", "ICCIF-species-checked": "notRecommended", "ICCIF-species-dilution-info": "1/50", "ICCIF-species-notes": "<p>For unpurified version use 1/500 dilution</p>", "FlowCytIntra-species-checked": "testedAndGuaranteed", "FlowCytIntra-species-dilution-info": "1/20", "FlowCytIntra-species-notes": "<p><a href='/products/primary-antibodies/rabbit-igg-monoclonal-epr25a-isotype-control-ab172730'>ab172730</a> - Rabbit monoclonal IgG, is suitable for use as an isotype control with this antibody. For the unpurified version use 1/1000- 1/10000 dilution</p>", "IP-species-checked": "testedAndGuaranteed", "IP-species-dilution-info": "1/500", "IP-species-notes": "<p></p>" } } }

您是否考虑以下替代产品?

AB270967

Anti-Hamartin antibody [EPR24364-109]

0
0 Reviews
查看产品
为什么推荐这个?

为向您提供最高品质的产品,我们在不断升级产品范围。我们选择了这个替代产品供您参考,因为它提供了更好的性能,更容易和更方便的使用,或交期更快。

产品详情

性能和储存信息

形式
Liquid
纯化工艺
Affinity purification Protein A
存储溶液
pH: 7.2 - 7.4 Preservative: 0.01% Sodium azide Constituents: 59% PBS, 40% Glycerol (glycerin, glycerine), 0.05% BSA
运输条件
Blue Ice
推荐的短期储存条件
+4°C
推荐的长期储存条件
-20°C
分装信息
Upon delivery aliquot
储存信息
Avoid freeze / thaw cycle

补充信息

This supplementary information is collated from multiple sources and compiled automatically.

The protein 'Hamartin' also known as TSC1 plays a mechanical role in cellular processes primarily as a regulator of cellular growth and proliferation. It interacts with Tuberin (TSC2) to form a complex that inhibits the small GTPase Rheb thereby controlling the mTOR signaling pathway. Hamartin has a molecular mass of approximately 130 kDa. It is expressed in various tissues including the brain heart and kidneys highlighting its significance in multiple physiological processes.
Biological function summary

Hamartin functions as part of the TSC1-TSC2 complex which acts as a tumor suppressor. This complex inhibits the mechanistic target of rapamycin complex 1 (mTORC1) an essential regulator of cell growth proliferation and protein synthesis. Through this regulation Hamartin plays a critical role in maintaining cellular homeostasis and preventing abnormal cell growth that can lead to tumorigenesis.

Pathways

Hamartin is integral to the mTOR signaling pathway an important pathway that regulates cell metabolism growth and survival. This pathway involves the interaction of Hamartin with Tuberin (TSC2) helping to control the activation of mTORC1. Additionally Hamartin is involved in the PI3K/Akt signaling pathway which further influences mTOR activity and cellular responses to growth factors.

Disruptions in Hamartin function are linked to Tuberous Sclerosis Complex (TSC) a genetic disorder characterized by tumor development in multiple organs. Mutations in the TSC1 gene lead to the loss of Hamartin function resulting in uncontrolled cell growth. Additionally research indicates that Hamartin may have a connection to certain epilepsy types given its expression in the brain and its role in neuronal development. In these conditions the interaction of Hamartin with Tuberin is essential for regulating cellular behavior and preventing disease progression.

产品实验方案

For this product, it's our understanding that no specific protocols are required. You can visit:

靶点信息

Non-catalytic component of the TSC-TBC complex, a multiprotein complex that acts as a negative regulator of the canonical mTORC1 complex, an evolutionarily conserved central nutrient sensor that stimulates anabolic reactions and macromolecule biosynthesis to promote cellular biomass generation and growth (PubMed : 12172553, PubMed : 12271141, PubMed : 12906785, PubMed : 15340059, PubMed : 24529379, PubMed : 28215400). The TSC-TBC complex acts as a GTPase-activating protein (GAP) for the small GTPase RHEB, a direct activator of the protein kinase activity of mTORC1 (PubMed : 12906785, PubMed : 15340059, PubMed : 24529379). In absence of nutrients, the TSC-TBC complex inhibits mTORC1, thereby preventing phosphorylation of ribosomal protein S6 kinase (RPS6KB1 and RPS6KB2) and EIF4EBP1 (4E-BP1) by the mTORC1 signaling (PubMed : 12271141, PubMed : 24529379, PubMed : 28215400, PubMed : 33215753). The TSC-TBC complex is inactivated in response to nutrients, relieving inhibition of mTORC1 (PubMed : 12172553, PubMed : 24529379). Within the TSC-TBC complex, TSC1 stabilizes TSC2 and prevents TSC2 self-aggregation (PubMed : 10585443, PubMed : 28215400). Acts as a tumor suppressor (PubMed : 9242607). Involved in microtubule-mediated protein transport via its ability to regulate mTORC1 signaling (By similarity). Also acts as a co-chaperone for HSP90AA1 facilitating HSP90AA1 chaperoning of protein clients such as kinases, TSC2 and glucocorticoid receptor NR3C1 (PubMed : 29127155). Increases ATP binding to HSP90AA1 and inhibits HSP90AA1 ATPase activity (PubMed : 29127155). Competes with the activating co-chaperone AHSA1 for binding to HSP90AA1, thereby providing a reciprocal regulatory mechanism for chaperoning of client proteins (PubMed : 29127155). Recruits TSC2 to HSP90AA1 and stabilizes TSC2 by preventing the interaction between TSC2 and ubiquitin ligase HERC1 (PubMed : 16464865, PubMed : 29127155).
See full target information TSC1

文献 (3)

Recent publications for all applications. Explore the full list and refine your search

Cell death and differentiation 24:2089-2100 PubMed28800130

2017

miR-130a upregulates mTOR pathway by targeting TSC1 and is transactivated by NF-κB in high-grade serous ovarian carcinoma.

Applications

Unspecified application

Species

Unspecified reactive species

Yuqiong Wang,Xiyu Zhang,Wei Tang,Zhenghong Lin,Limei Xu,Ruifen Dong,Yinuo Li,Jieyin Li,Zaixin Zhang,Xiangzhi Li,Ling Zhao,Jian-Jun Wei,Changshun Shao,Beihua Kong,Zhaojian Liu

Clinical cancer research : an official journal of 15:6008-17 PubMed19789314

2009

Spectrum of phosphatidylinositol 3-kinase pathway gene alterations in bladder cancer.

Applications

Unspecified application

Species

Unspecified reactive species

Fiona M Platt,Carolyn D Hurst,Claire F Taylor,Walter M Gregory,Patricia Harnden,Margaret A Knowles

Human molecular genetics 17:2006-17 PubMed18397877

2008

Bladder tumour-derived somatic TSC1 missense mutations cause loss of function via distinct mechanisms.

Applications

Unspecified application

Species

Unspecified reactive species

Louis S Pymar,Fiona M Platt,Jon M Askham,Ewan E Morrison,Margaret A Knowles
View all publications

Abcam Product Promise

我们致力于为您的研究提供高质量的试剂,为您科研的每一步提供支持。若我们的产品未能达到预期性能,我们向您提供 Abcam Product Promise 保障。
详情请参阅我们的条款与条件。

关联产品

Select an associated product type
Alternative Product
Primary Antibodies

AB227594

Anti-Hamartin antibody - C-terminal

primary-antibodies

hamartin-antibody-c-terminal-ab227594

0

(0 reviews)

Alternative Product
Primary Antibodies

AB211457

Anti-Hamartin antibody [357CT4.4.2]

primary-antibodies

hamartin-antibody-357ct442-ab211457

0

(0 reviews)

Please note: All products are 'FOR RESEARCH USE ONLY. NOT FOR USE IN DIAGNOSTIC OR THERAPEUTIC PROCEDURES'.

For licensing inquiries, please contact partnerships@abcam.com