JavaScript is disabled in your browser. Please enable JavaScript to view this website.
AB16916

Anti-H-FABP抗体[67D3]

Anti-H-FABP antibody [67D3]

3

(1 Review)

|

(7 Publications)

Mouse Monoclonal H-FABP antibody. Suitable for IHC-P, IHC-Fr and reacts with Human samples. Cited in 7 publications. Immunogen corresponding to Native Full Length Protein corresponding to Human FABP3.

查看别名

FABP11, MDGI, FABP3, Fatty acid-binding protein 3, Heart-type fatty acid-binding protein, Mammary-derived growth inhibitor, Muscle fatty acid-binding protein, H-FABP, M-FABP

2 Images
Immunohistochemistry (Formalin/PFA-fixed paraffin-embedded sections) - Anti-H-FABP antibody [67D3] (AB16916)
  • IHC-P

Lab

Immunohistochemistry (Formalin/PFA-fixed paraffin-embedded sections) - Anti-H-FABP antibody [67D3] (AB16916)

IHC image of H-FABP staining in Human normal heart muscle formalin fixed paraffin embedded tissue section, performed on a Leica BondTM system using the standard protocol F. The section was pre-treated using heat mediated antigen retrieval with sodium citrate buffer (pH6, epitope retrieval solution 1) for 20 mins. The section was then incubated with ab16916, 5μg/ml, for 15 mins at room temperature and detected using an HRP conjugated compact polymer system. DAB was used as the chromogen. The section was then counterstained with haematoxylin and mounted with DPX.

For other IHC staining systems (automated and non-automated) customers should optimize variable parameters such as antigen retrieval conditions, primary antibody concentration and antibody incubation times.

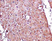
Immunohistochemistry (Frozen sections) - Anti-H-FABP antibody [67D3] (AB16916)
  • IHC-Fr

Supplier Data

Immunohistochemistry (Frozen sections) - Anti-H-FABP antibody [67D3] (AB16916)

Immunohistochemical staining of H-FABP in human skeletal muscle tissue.

关键信息

宿主种属

Mouse

克隆

Monoclonal

克隆号

67D3

亚型

IgG1

不含载体蛋白

No

反应种属

Human

应用

IHC-P, IHC-Fr

applications

免疫原

Native Full Length Protein corresponding to Human FABP3.

P05413

特异性

Ab16916 binds to human H-FABP. It shows no binding to human intestinal or liver FABP and slightly cross reacts with B-FABP.

反应性数据

{ "title": "Reactivity Data", "filters": { "stats": ["", "Species", "Dilution Info", "Notes"], "tabs": { "all-applications": {"fullname" : "All Applications", "shortname": "All Applications"}, "IHCP" : {"fullname" : "Immunohistochemistry (Formalin/PFA-fixed paraffin-embedded sections)", "shortname":"IHC-P"}, "IHCFr" : {"fullname" : "Immunohistochemistry (Frozen sections)", "shortname":"IHC-Fr"} }, "product-promise": { "all": "all", "testedAndGuaranteed": "tested", "guaranteed": "expected", "predicted": "predicted", "notRecommended": "not-recommended" } }, "values": { "Human": { "IHCP-species-checked": "testedAndGuaranteed", "IHCP-species-dilution-info": "", "IHCP-species-notes": "<p></p>", "IHCFr-species-checked": "testedAndGuaranteed", "IHCFr-species-dilution-info": "", "IHCFr-species-notes": "<p></p>" }, "Mouse": { "IHCP-species-checked": "predicted", "IHCP-species-dilution-info": "", "IHCP-species-notes": "", "IHCFr-species-checked": "predicted", "IHCFr-species-dilution-info": "", "IHCFr-species-notes": "" }, "Rat": { "IHCP-species-checked": "predicted", "IHCP-species-dilution-info": "", "IHCP-species-notes": "", "IHCFr-species-checked": "predicted", "IHCFr-species-dilution-info": "", "IHCFr-species-notes": "" } } }

产品详情

This antibody can be used to detect ischemia areas of human heart. It is also useful as marker for brain damage.

性能和储存信息

形式
Liquid
纯化工艺
Affinity purification Protein G
纯化说明
Provided as a 0.2µm filtered antibody solution.
存储溶液
Preservative: 0.02% Sodium azide Constituents: PBS, 0.1% BSA
运输条件
Blue Ice
推荐的短期储存条件
+4°C
推荐的长期储存条件
-20°C
分装信息
Upon delivery aliquot
储存信息
Avoid freeze / thaw cycle

补充信息

This supplementary information is collated from multiple sources and compiled automatically.

H-FABP also known as heart-type fatty acid binding protein is a small protein with a molecular mass of approximately 14.5 kDa. This protein is primarily found in the cytoplasm of cardiac muscle cells but it also can be detected in skeletal muscles and other tissues at lower concentrations. H-FABP binds long-chain fatty acids and is important for the intracellular transport and metabolism of these molecules. The protein is often used as a biomarker for cardiac injury due to its rapid release into the bloodstream following muscle damage.
Biological function summary

Fatty acid binding largely defines H-FABP's role facilitating the transport of fatty acids within cells which is key for energy production. It is not part of a larger protein complex but plays into broader lipid metabolism processes. The efficiency of H-FABP in fatty acid binding and transport helps maintain cellular energy homeostasis especially in tissues with high fatty acid metabolism like the heart.

Pathways

H-FABP integrates into the fatty acid metabolic pathways and the beta-oxidation pathway. It is associated with the transport and utilization of fatty acids linking it to the peroxisome proliferator-activated receptor (PPAR) signaling pathway an important regulator of lipid metabolism. Proteins such as CD36 and PPARα interact with H-FABP within these pathways influencing lipid storage and energy balance.

Disruptions in H-FABP levels or function correlate with cardiovascular diseases including myocardial infarction. Elevated blood levels of H-FABP provide early markers of cardiac cell injury. Additionally alterations can also relate to metabolic disorders like obesity where lipid metabolism gets impaired. In these contexts proteins such as troponin and creatine kinase may also serve as biomarkers elucidating the relationship between H-FABP and myocardial stress or damage.

产品实验方案

For this product, it's our understanding that no specific protocols are required. You can visit:

靶点信息

FABPs are thought to play a role in the intracellular transport of long-chain fatty acids and their acyl-CoA esters.
See full target information FABP3

文献 (7)

Recent publications for all applications. Explore the full list and refine your search

International journal of immunopathology and pharmacology 36:3946320221132712 PubMed36214213

2022

The protective mechanism of salidroside modulating miR-199a-5p/TNFAIP8L2 on lipopolysaccharide-induced MLE-12 cells.

Applications

Unspecified application

Species

Unspecified reactive species

Yang Tan,Yong-Fan Zou,Huang-Bo Zhang,Xu Liu,Chuan-Yun Qian,Ming-Wei Liu

Nutrients 13: PubMed34444927

2021

Decreased Fatty Acid Transporter FABP1 and Increased Isoprostanes and Neuroprostanes in the Human Term Placenta: Implications for Inflammation and Birth Weight in Maternal Pre-Gestational Obesity.

Applications

Unspecified application

Species

Unspecified reactive species

Livia Belcastro,Carolina S Ferreira,Marcelle A Saraiva,Daniela B Mucci,Antonio Murgia,Carla Lai,Claire Vigor,Camille Oger,Jean-Marie Galano,Gabriela D A Pinto,Julian L Griffin,Alexandre G Torres,Thierry Durand,Graham J Burton,Fátima L C Sardinha,Tatiana El-Bacha

Cell reports 35:109190 PubMed34077730

2021

SIRT6 transcriptionally regulates fatty acid transport by suppressing PPARγ.

Applications

Unspecified application

Species

Unspecified reactive species

Danish Khan,Tarannum Ara,Venkatraman Ravi,Raksha Rajagopal,Himani Tandon,Jayadevan Parvathy,Edward A Gonzalez,Ninitha Asirvatham-Jeyaraj,Swati Krishna,Sneha Mishra,Sukanya Raghu,Arvind Singh Bhati,Ankit Kumar Tamta,Subhajit Dasgupta,Ullas Kolthur-Seetharam,Jean-Pierre Etchegaray,Raul Mostoslavsky,Prasanna Simha Mohan Rao,Narayanaswamy Srinivasan,Nagalingam Ravi Sundaresan

Toxicologic pathology 42:1250-66 PubMed24742628

2014

Myocardial steatosis and necrosis in atria and ventricles of rats given pyruvate dehydrogenase kinase inhibitors.

Applications

Unspecified application

Species

Unspecified reactive species

Huw Bowen Jones,Jaimini Reens,Elizabeth Johnson,Simon Brocklehurst,Ian Slater

PloS one 7:e45691 PubMed23029183

2012

Heart-type fatty acid binding protein is associated with proteinuria in obesity.

Applications

IHC-Fr, IHC-P

Species

Mouse, Mouse

Hui-Mei Chen,Chun-Xia Zheng,Qing Gao,Yong-Chun Ge,Zhi-Hong Liu

Endocrinology 151:422-31 PubMed19940039

2009

Adenosine monophosphate-activated protein kinase activation, substrate transporter translocation, and metabolism in the contracting hyperthyroid rat heart.

Applications

WB

Species

Rat

Lisa C Heather,Mark A Cole,Helen J Atherton,Will A Coumans,Rhys D Evans,Damian J Tyler,Jan F C Glatz,Joost J F P Luiken,Kieran Clarke

Clinical cancer research : an official journal of 15:6570-81 PubMed19825952

2009

Mammary-derived growth inhibitor alters traffic of EGFR and induces a novel form of cetuximab resistance.

Applications

IHC-P

Species

Human

Jonna Nevo,Elina Mattila,Teijo Pellinen,Daniel L Yamamoto,Henri Sara,Kristiina Iljin,Olli Kallioniemi,Petri Bono,Päivi Heikkilä,Heikki Joensuu,Anni Wärri,Johanna Ivaska
View all publications

Abcam Product Promise

我们致力于为您的研究提供高质量的试剂,为您科研的每一步提供支持。若我们的产品未能达到预期性能,我们向您提供 Abcam Product Promise 保障。
详情请参阅我们的条款与条件。

Please note: All products are 'FOR RESEARCH USE ONLY. NOT FOR USE IN DIAGNOSTIC OR THERAPEUTIC PROCEDURES'.

For licensing inquiries, please contact partnerships@abcam.com