JavaScript is disabled in your browser. Please enable JavaScript to view this website.
AB202964

Anti-Growth hormone receptor抗体

Anti-Growth hormone receptor antibody

Be the first to review this product! Submit a review

|

(3 Publications)

Rabbit Polyclonal Growth hormone receptor antibody. Suitable for IHC-P, WB and reacts with Rat, Mouse, Pig, Human samples. Cited in 3 publications. Immunogen corresponding to Synthetic Peptide within Human GHR aa 250-350 conjugated to Keyhole Limpet Haemocyanin.

查看别名

Growth hormone receptor, GH receptor, Somatotropin receptor, GHR

2 Images
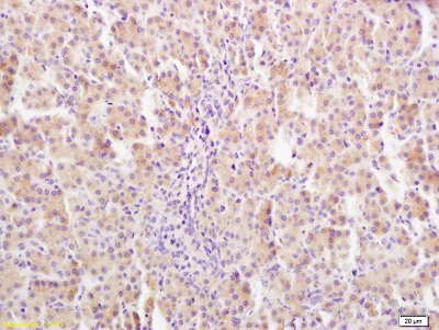
Immunohistochemistry (Formalin/PFA-fixed paraffin-embedded sections) - Anti-Growth hormone receptor antibody (AB202964)
  • IHC-P

Supplier Data

Immunohistochemistry (Formalin/PFA-fixed paraffin-embedded sections) - Anti-Growth hormone receptor antibody (AB202964)

Immunohistochemical analysis of formalin-fixed paraffin-embedded Rat liver tissue labeling Growth hormone receptor with ab202964 at 1/400 dilution, followed by conjugation to the secondary antibody and DAB staining.

Western blot - Anti-Growth hormone receptor antibody (AB202964)
  • WB

Supplier Data

Western blot - Anti-Growth hormone receptor antibody (AB202964)

Lysates probed with GHR Polyclonal Antibody, Unconjugated (ab202964) at 1/1000 dilution and 4˚C overnight incubation. Followed by conjugated secondary antibody incubation at 1 : 20000 for 60 min at 37˚C.

All lanes:

Western blot - Anti-Growth hormone receptor antibody (ab202964) at 1/1000 dilution

Lane 1:

Mouse testis tissue lysate

Lane 2:

Mouse cerebrum tissue lysate

Lane 3:

Rat testis tissue lysate

Lane 4:

Rat cerebrum tissue lysate

Predicted band size: 71.5 kDa

false

关键信息

宿主种属

Rabbit

克隆

Polyclonal

亚型

IgG

不含载体蛋白

No

反应种属

Rat, Mouse, Pig, Human

应用

IHC-P, WB

applications

免疫原

Synthetic Peptide within Human GHR aa 250-350 conjugated to Keyhole Limpet Haemocyanin. The exact immunogen used to generate this antibody is proprietary information.

P10912

反应性数据

{ "title": "Reactivity Data", "filters": { "stats": ["", "Species", "Dilution Info", "Notes"], "tabs": { "all-applications": {"fullname" : "All Applications", "shortname": "All Applications"}, "IHCP" : {"fullname" : "Immunohistochemistry (Formalin/PFA-fixed paraffin-embedded sections)", "shortname":"IHC-P"}, "WB" : {"fullname" : "Western blot", "shortname":"WB"} }, "product-promise": { "all": "all", "testedAndGuaranteed": "tested", "guaranteed": "expected", "predicted": "predicted", "notRecommended": "not-recommended" } }, "values": { "Human": { "IHCP-species-checked": "predicted", "IHCP-species-dilution-info": "", "IHCP-species-notes": "", "WB-species-checked": "guaranteed", "WB-species-dilution-info": "", "WB-species-notes": "<p></p>" }, "Mouse": { "IHCP-species-checked": "guaranteed", "IHCP-species-dilution-info": "", "IHCP-species-notes": "", "WB-species-checked": "testedAndGuaranteed", "WB-species-dilution-info": "1/1000", "WB-species-notes": "<p></p>" }, "Rat": { "IHCP-species-checked": "testedAndGuaranteed", "IHCP-species-dilution-info": "1/100 - 1/500", "IHCP-species-notes": "<p>Use at 1/50 - 1/200 with fluorescent detection methods.</p> Perform heat-mediated antigen retrieval with citrate buffer pH 6 before commencing with IHC staining protocol.", "WB-species-checked": "testedAndGuaranteed", "WB-species-dilution-info": "1/1000", "WB-species-notes": "<p></p>" }, "Pig": { "IHCP-species-checked": "predicted", "IHCP-species-dilution-info": "", "IHCP-species-notes": "", "WB-species-checked": "guaranteed", "WB-species-dilution-info": "", "WB-species-notes": "<p></p>" } } }

性能和储存信息

形式
Liquid
纯化工艺
Affinity purification Protein A
存储溶液
pH: 7.4 Preservative: 0.02% Proclin 300 Constituents: 50% Glycerol (glycerin, glycerine), 48.98% TBS, 1X, 1% BSA
运输条件
Blue Ice
推荐的短期储存时间
1-2 weeks
推荐的短期储存条件
+4°C
推荐的长期储存条件
-20°C
分装信息
Upon delivery aliquot
储存信息
Avoid freeze / thaw cycle

补充信息

This supplementary information is collated from multiple sources and compiled automatically.

The Growth Hormone Receptor (GHR) also known as somatotropin receptor is a vital protein that mediates the effects of growth hormone (GH). GHR is a transmembrane receptor with a mass of approximately 70 kDa and is expressed in many tissues including liver muscle and adipose tissue. It plays an important role in growth regulation by binding to growth hormone which triggers signal transduction pathways involved in cellular proliferation and growth.
Biological function summary

The growth hormone receptor facilitates the hormone's ability to promote growth and cell differentiation. The receptor when activated stimulates the JAK2/STAT5 signaling pathway a part of a larger GHR complex. This complex leads to gene transcription that stimulates growth and metabolism. The activation of GHR has significant effects on the cellular functions related to protein synthesis lipid metabolism and glucose metabolism.

Pathways

The growth hormone receptor is an important component of the JAK-STAT signaling pathway and the mTOR signaling pathway. In these pathways GHR interacts with other proteins such as Janus kinase 2 (JAK2) and signal transducer and activator of transcription 5 (STAT5). These interactions play a critical role in translating the binding of growth hormone into cellular responses that lead to growth and metabolic regulation.

Disruptions or mutations in the growth hormone receptor can lead to conditions such as Laron syndrome and growth hormone insensitivity. These conditions often display symptoms of dwarfism and metabolic aberrations due to impaired signaling. GHR malfunction relates closely to growth hormone (GH) and anti-growth hormone treatments like somatropin used for managing growth deficiencies. The connection of GHR with related pathways and proteins like the IGF-1 (Insulin-like Growth Factor 1) underlines its role in metabolic diseases.

产品实验方案

For this product, it's our understanding that no specific protocols are required. You can visit:

靶点信息

Receptor for pituitary gland growth hormone (GH1) involved in regulating postnatal body growth (PubMed : 1549776, PubMed : 2825030, PubMed : 8943276). On ligand binding, couples to the JAK2/STAT5 pathway (PubMed : 1549776, PubMed : 15690087, PubMed : 2825030, PubMed : 8943276).. Growth hormone-binding protein. The soluble form (GHBP) acts as a reservoir of growth hormone in plasma and may be a modulator/inhibitor of GH signaling.. Isoform 2. Up-regulates the production of the soluble Growth hormone-binding protein form (GHBP) and acts as a negative inhibitor of growth hormone signaling.
See full target information GHR

文献 (3)

Recent publications for all applications. Explore the full list and refine your search

European journal of nutrition 59:2497-2506 PubMed31570976

2019

Maternal high-protein diet modulates hepatic growth axis in weaning piglets by reprogramming the IGFBP-3 gene.

Applications

Unspecified application

Species

Unspecified reactive species

Rihua Cong,Xiaoli Qu,Hui Zhang,Yongling Hu,Silin Ye,Demin Cai,Xian Li,Hao-Yu Liu

Cell metabolism 28:310-323.e6 PubMed30043755

2018

Time-Dependent Molecular Responses Differ between Gastric Bypass and Dieting but Are Conserved Across Species.

Applications

Unspecified application

Species

Unspecified reactive species

Danny Ben-Zvi,Luca Meoli,Wasif M Abidi,Eirini Nestoridi,Courtney Panciotti,Erick Castillo,Palmenia Pizarro,Eleanor Shirley,William F Gourash,Christopher C Thompson,Rodrigo Munoz,Clary B Clish,Ron C Anafi,Anita P Courcoulas,Nicholas Stylopoulos

Journal of translational medicine 16:41 PubMed29482569

2018

Generation of GHR-modified pigs as Laron syndrome models via a dual-sgRNAs/Cas9 system and somatic cell nuclear transfer.

Applications

Unspecified application

Species

Unspecified reactive species

Honghao Yu,Weihu Long,Xuezeng Zhang,Kaixiang Xu,Jianxiong Guo,Heng Zhao,Honghui Li,Yubo Qing,Weirong Pan,Baoyu Jia,Hong-Ye Zhao,Xingxu Huang,Hong-Jiang Wei
View all publications

Abcam Product Promise

我们致力于为您的研究提供高质量的试剂,为您科研的每一步提供支持。若我们的产品未能达到预期性能,我们向您提供 Abcam Product Promise 保障。
详情请参阅我们的条款与条件。

Please note: All products are 'FOR RESEARCH USE ONLY. NOT FOR USE IN DIAGNOSTIC OR THERAPEUTIC PROCEDURES'.

For licensing inquiries, please contact partnerships@abcam.com