JavaScript is disabled in your browser. Please enable JavaScript to view this website.
AB126882

Anti-Growth Hormone 抗体

Anti-Growth Hormone antibody

4

(2 Reviews)

|

(3 Publications)

Rabbit Polyclonal Growth Hormone antibody. Suitable for ELISA, WB, IHC-P and reacts with Rat samples. Cited in 3 publications. Immunogen corresponding to Recombinant Full Length Protein corresponding to Rat Gh1.

查看别名

Gh, Gh1, Somatotropin, Growth hormone

2 Images
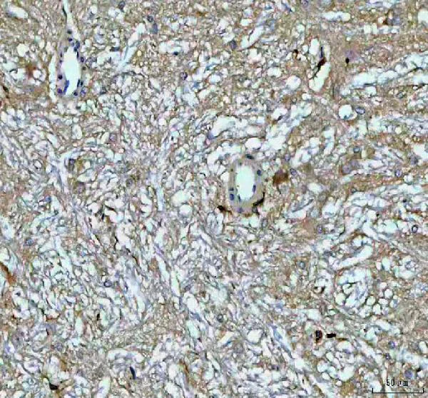
Immunohistochemistry (Formalin/PFA-fixed paraffin-embedded sections) - Anti-Growth Hormone antibody (AB126882)
  • IHC-P

Supplier Data

Immunohistochemistry (Formalin/PFA-fixed paraffin-embedded sections) - Anti-Growth Hormone antibody (AB126882)

GH1 was detected in a paraffin-embedded section of rat brain tissue. Heat mediated antigen retrieval was performed in EDTA buffer (pH 8.0, epitope retrieval solution). The tissue section was blocked with 10% goat serum. The tissue section was then incubated with 2 µg/ml ab126882 overnight at 4°C. Peroxidase Conjugated Goat Anti-rabbit IgG was used as secondary antibody and incubated for 30 minutes at 37°C. The tissue section was developed using HRP Conjugated Rabbit IgG Super Vision Assay Kit with DAB as the chromogen.

Western blot - Anti-Growth Hormone antibody (AB126882)
  • WB

Supplier Data

Western blot - Anti-Growth Hormone antibody (AB126882)

Electrophoresis was performed on a 5-20% SDS-PAGE gel at 70V (Stacking gel) / 90V (Resolving gel) for 2-3 hours. After electrophoresis, proteins were transferred to a nitrocellulose membrane at 150 mA for 50-90 minutes. Blocked the membrane with 5% non-fat milk/TBS for 1.5 hour at RT. The membrane was incubated with ab126882 at 0.5 µg/mL overnight at 4°C, then washed with TBS-0.1% Tween 3 times with 5 minutes each and probed with a goat anti-rabbit IgG-HRP secondary antibody at a dilution of 1/5000 for 1.5 hour at RT. The signal is developed using an Enhanced Chemiluminescent detection (ECL) kit with Tanon 5200 system. A specific band was detected for GH1 at approximately 22 kDa.

All lanes:

Western blot - Anti-Growth Hormone antibody (ab126882) at 0.5 µg/mL

All lanes:

rat GH1 recombinant protein at 30 µg

Secondary

All lanes:

goat anti-rabbit IgG-HRP at 1/5000 dilution

true

关键信息

宿主种属

Rabbit

克隆

Polyclonal

亚型

IgG

不含载体蛋白

No

反应种属

Rat

应用

WB, IHC-P, ELISA

applications

免疫原

Recombinant Full Length Protein corresponding to Rat Gh1.

P01244

反应性数据

{ "title": "Reactivity Data", "filters": { "stats": ["", "Species", "Dilution Info", "Notes"], "tabs": { "all-applications": {"fullname" : "All Applications", "shortname": "All Applications"}, "ELISA" : {"fullname" : "ELISA", "shortname":"ELISA"}, "WB" : {"fullname" : "Western blot", "shortname":"WB"}, "IHCP" : {"fullname" : "Immunohistochemistry (Formalin/PFA-fixed paraffin-embedded sections)", "shortname":"IHC-P"} }, "product-promise": { "all": "all", "testedAndGuaranteed": "tested", "guaranteed": "expected", "predicted": "predicted", "notRecommended": "not-recommended" } }, "values": { "Rat": { "ELISA-species-checked": "guaranteed", "ELISA-species-dilution-info": "0.1-0.5 µg/mL", "ELISA-species-notes": "<p>Use 0.2ng/well</p>", "WB-species-checked": "testedAndGuaranteed", "WB-species-dilution-info": "0.1-0.5 µg/mL", "WB-species-notes": "<p>0.5μg (0.5ng/lane).</p>", "IHCP-species-checked": "testedAndGuaranteed", "IHCP-species-dilution-info": "2-5 µg/mL", "IHCP-species-notes": "<p></p>" } } }

性能和储存信息

形式
Liquid
纯化工艺
Affinity purification Immunogen
存储溶液
Constituents: 76.92% Trehalose, 17.31% Sodium chloride, 3.85% Disodium hydrogenorthophosphate
运输条件
Blue Ice
推荐的短期储存时间
1-2 weeks
推荐的短期储存条件
+4°C
推荐的长期储存条件
-20°C
分装信息
Upon delivery aliquot

补充信息

This supplementary information is collated from multiple sources and compiled automatically.

Growth Hormone (GH) also known as somatotropin is a polypeptide hormone with a mass of approximately 22 kDa. The pituitary gland synthesizes and secretes GH. Once synthesized GH circulates in the bloodstream and affects various tissues throughout the body. GH's expression is tightly regulated because of its significant roles in growth processes. Researchers might use anti-growth hormone antibodies and various hGH testing kits including ELISA to study its levels and functions.
Biological function summary

GH triggers growth and cell reproduction by exerting effects on multiple tissues. It binds to the growth hormone receptor which initiates a cascade of reactions that ultimately stimulates growth in muscle bone and cartilage. GH also contributes to protein synthesis and helps regulate metabolism. GH acts mostly independently but can interact with cytokines and other hormones.

Pathways

GH plays important roles in the regulation of the JAK-STAT signaling pathway and the IGF-1 signaling pathway. The JAK-STAT pathway is important for transmitting the signal of GH binding to its receptor into cellular responses. GH stimulates IGF-1 production in the liver and IGF-1 then acts in an endocrine manner to mediate much of GH’s growth-promoting activity. These interactions highlight the interconnectedness of GH with other hormones in growth signaling networks.

Several health conditions can arise from abnormal levels of GH. Dwarfism occurs due to GH deficiency while acromegaly results from GH excess. Clinical analysis might use hGH kits to measure hormone levels and aid in diagnosis. GH's role in such conditions links it to other hormones like insulin and glucagon that help regulate glucose levels further affecting metabolic processes. Recombinant forms of GH are used in therapy for these disorders providing avenues for treatment and management.

产品实验方案

For this product, it's our understanding that no specific protocols are required. You can visit:

靶点信息

Plays an important role in growth control. Its major role in stimulating body growth is to stimulate the liver and other tissues to secrete IGF1. It stimulates both the differentiation and proliferation of myoblasts. It also stimulates amino acid uptake and protein synthesis in muscle and other tissues.
See full target information Gh1

文献 (3)

Recent publications for all applications. Explore the full list and refine your search

Bioengineered 12:5411-5427 PubMed34424826

2021

Circular RNA circVRK1 suppresses the proliferation, migration and invasion of osteosarcoma cells by regulating zinc finger protein ZNF652 expression via microRNA miR-337-3p.

Applications

Unspecified application

Species

Unspecified reactive species

Cheng Cheng,Haoping Zhang,Zhipeng Dai,Jia Zheng

Annals of anatomy = Anatomischer Anzeiger : offici 230:151486 PubMed32145383

2020

Effect of thyroxin on cell morphology and hormone secretion of pituitary grafts in rats.

Applications

Unspecified application

Species

Unspecified reactive species

Matilde Lombardero,Andrés Quintanar-Stephano,Fabio Rotondo,Eva Horvath,Kalman Kovacs

The Journal of cell biology 219: PubMed31825461

2019

Regulated resurfacing of a somatostatin receptor storage compartment fine-tunes pituitary secretion.

Applications

Unspecified application

Species

Unspecified reactive species

Walaa Alshafie,Vincent Francis,Klaudia Bednarz,Yingzhou Edward Pan,Thomas Stroh,Peter S McPherson
View all publications

Abcam Product Promise

我们致力于为您的研究提供高质量的试剂,为您科研的每一步提供支持。若我们的产品未能达到预期性能,我们向您提供 Abcam Product Promise 保障。
详情请参阅我们的条款与条件。

Please note: All products are 'FOR RESEARCH USE ONLY. NOT FOR USE IN DIAGNOSTIC OR THERAPEUTIC PROCEDURES'.

For licensing inquiries, please contact partnerships@abcam.com