JavaScript is disabled in your browser. Please enable JavaScript to view this website.
AB247231

重组Anti-GRB2抗体[Y301] - BSA and Azide free

Anti-GRB2 antibody [Y301] - BSA and Azide free

Be the first to review this product! Submit a review

|

(2 Publications)

Rabbit Recombinant Monoclonal GRB2 antibody. Carrier free. Suitable for IHC-P, ICC/IF, WB, Flow Cyt (Intra) and reacts with Human, Rat, Mouse samples. Cited in 2 publications.

查看别名

ASH, GRB2, Growth factor receptor-bound protein 2, Adapter protein GRB2, Protein Ash, SH2/SH3 adapter GRB2

5 Images
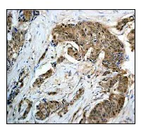
Immunohistochemistry (Formalin/PFA-fixed paraffin-embedded sections) - Anti-GRB2 antibody [Y301] - BSA and Azide free (AB247231)
  • IHC-P

Unknown

Immunohistochemistry (Formalin/PFA-fixed paraffin-embedded sections) - Anti-GRB2 antibody [Y301] - BSA and Azide free (AB247231)

This data was developed using ab32111, the same antibody clone in a different buffer formulation.

Immunohistochemical analysis of GRB2 expression in paraffin embedded human breast carcinoma tissue section, using 1/100 ab32111. Heat mediated antigen retrieval was performed with citrate buffer pH 6 before commencing with IHC staining protocol.

Flow Cytometry (Intracellular) - Anti-GRB2 antibody [Y301] - BSA and Azide free (AB247231)
  • Flow Cyt (Intra)

Lab

Flow Cytometry (Intracellular) - Anti-GRB2 antibody [Y301] - BSA and Azide free (AB247231)

This data was developed using ab32111, the same antibody clone in a different buffer formulation.Overlay histogram showing SH-SY5Y cells stained with ab32111 (red line). The cells were fixed with 4% paraformaldehyde (10 min) and then permeabilized with 0.1% PBS-Tween for 20 min. The cells were then incubated in 1x PBS / 10% normal goat serum / 0.3M glycine to block non-specific protein-protein interactions followed by the antibody (ab32111, 1/100 dilution) for 30 min at 22°C. The secondary antibody used was DyLight® 488 goat anti-rabbit IgG (H+L) (ab96899) at 1/500 dilution for 30 min at 22°C. Isotype control antibody (black line) was rabbit IgG (monoclonal) (1μg/1x106 cells) used under the same conditions. Acquisition of >5,000 events was performed.

Immunocytochemistry/ Immunofluorescence - Anti-GRB2 antibody [Y301] - BSA and Azide free (AB247231)
  • ICC/IF

Unknown

Immunocytochemistry/ Immunofluorescence - Anti-GRB2 antibody [Y301] - BSA and Azide free (AB247231)

This data was developed using ab32111, the same antibody clone in a different buffer formulation.Immunofluorescent analysis of GRB2 expression in PC12 cells, using 1/100 ab32111.

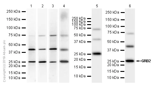
Western blot - Anti-GRB2 antibody [Y301] - BSA and Azide free (AB247231)
  • WB

Lab

Western blot - Anti-GRB2 antibody [Y301] - BSA and Azide free (AB247231)

This data was developed using ab32111, the same antibody clone in a different buffer formulation.

Blocking and dilution buffer : 5% NFDM/TBST.

We are unsure how to define the extra bands.

All lanes:

Western blot - Anti-GRB2 antibody [Y301] (<a href='/products/primary-antibodies/grb2-antibody-y301-ab32111'>ab32111</a>) at 1/5000 dilution

Lane 1:

HeLa (Human cervix adenocarcinoma epithelial cell) whole cell lysate at 15 µg

Lane 2:

PC-12 (Rat adrenal gland pheochromocytoma) whole cell lysate at 15 µg

Lane 3:

NIH/3T3 (Mouse embryonic fibroblast) whole cell lysate at 15 µg

Lane 4:

HEK-293 (Human embryonic kidney epithelial cell) whole cell lysate at 15 µg

Lane 5:

RAW 264.7 (Mouse Abelson murine leukemia virus-induced tumor macrophage) whole cell lysate at 15 µg

Lane 6:

C6 (Rat glial tumor glial cell) whole cell lysate at 15 µg

Secondary

All lanes:

Western blot - Goat Anti-Rabbit IgG H&L (HRP) (<a href='/products/secondary-antibodies/goat-rabbit-igg-h-l-hrp-ab97051'>ab97051</a>) at 1/20000 dilution

Predicted band size: 25 kDa

Observed band size: 25 kDa

false

Western blot - Anti-GRB2 antibody [Y301] - BSA and Azide free (AB247231)
  • WB

Lab

Western blot - Anti-GRB2 antibody [Y301] - BSA and Azide free (AB247231)

This data was developed using ab32111, the same antibody clone in a different buffer formulation. Anti-GRB2 antibody [Y301] (ab32111) staining at 1/1000 dilution, shown in green; Mouse anti-Alpha Tubulin [DM1A] (ab7291) loading control staining at 1/20000 dilution, shown in red. In Western blot, ab32111 was shown to bind specifically to GRB2. A band was observed at 26 kDa in wild-type A431 cell lysates with a reduction in signal observed at this size in GRB2 heterozygous knockout cell line. To generate this image, wild-type and GRB2 heterozygous knockout A431 cell lysates were analysed. First, samples were run on an SDS-PAGE gel then transferred onto a nitrocellulose membrane. Membranes were blocked in 3 % milk in TBS-0.1 % Tween® 20 (TBS-T) before incubation with primary antibodies overnight at 4 °C. Blots were washed four times in TBS-T, incubated with secondary antibodies for 1 h at room temperature, washed again four times then imaged. Secondary antibodies used were Goat anti-Rabbit IgG H&L 800CW and Goat anti-Mouse IgG H&L 680RD at 1/20000 dilution.

All lanes:

Western blot - Anti-GRB2 antibody [Y301] (<a href='/products/primary-antibodies/grb2-antibody-y301-ab32111'>ab32111</a>) at 1/1000 dilution

Lane 1:

Wild-type A431 cell lysate at 20 µg

Lane 2:

Western blot - Human GRB2 heterozygous knockout A-431 cell line (<a href='/products/cell-lines/human-grb2-heterozygous-knockout-a-431-cell-line-ab276085'>ab276085</a>)

Lane 2:

GRB2 knockout A431 cell lysate at 20 µg

Lane 3:

HCT 116 cell lysate at 20 µg

Lane 4:

HeLa cell lysate at 20 µg

Secondary

Lanes 1 - 4:

Goat anti-Rabbit IgG H&L 800CW at 1/20000 dilution

Lanes 1 - 4:

Goat anti-Mouse IgG H&L 680RD at 1/20000 dilution

Predicted band size: 25 kDa

Observed band size: 26 kDa

false

不同偶联物与剂型 (1)

关键信息

宿主种属

Rabbit

克隆

Monoclonal

克隆号

Y301

亚型

IgG

不含载体蛋白

Yes

反应种属

Mouse, Rat, Human

应用

ICC/IF, WB, Flow Cyt (Intra), IHC-P

applications

免疫原

The exact immunogen used to generate this antibody is proprietary information.

特异性

This antibody recognises GRB2. It can also detect the splice isoform GRB3-3 of GRB2.

反应性数据

{ "title": "Reactivity Data", "filters": { "stats": ["", "Species", "Dilution Info", "Notes"], "tabs": { "all-applications": {"fullname" : "All Applications", "shortname": "All Applications"}, "IHCP" : {"fullname" : "Immunohistochemistry (Formalin/PFA-fixed paraffin-embedded sections)", "shortname":"IHC-P"}, "ICCIF" : {"fullname" : "Immunocytochemistry/ Immunofluorescence", "shortname":"ICC/IF"}, "IP" : {"fullname" : "Immunoprecipitation", "shortname":"IP"}, "WB" : {"fullname" : "Western blot", "shortname":"WB"}, "FlowCytIntra" : {"fullname" : "Flow Cytometry (Intracellular)", "shortname":"Flow Cyt (Intra)"} }, "product-promise": { "all": "all", "testedAndGuaranteed": "tested", "guaranteed": "expected", "predicted": "predicted", "notRecommended": "not-recommended" } }, "values": { "Human": { "IHCP-species-checked": "testedAndGuaranteed", "IHCP-species-dilution-info": "", "IHCP-species-notes": "<p></p>", "ICCIF-species-checked": "guaranteed", "ICCIF-species-dilution-info": "", "ICCIF-species-notes": "", "IP-species-checked": "notRecommended", "IP-species-dilution-info": "", "IP-species-notes": "<p></p>", "WB-species-checked": "testedAndGuaranteed", "WB-species-dilution-info": "", "WB-species-notes": "<p></p>", "FlowCytIntra-species-checked": "testedAndGuaranteed", "FlowCytIntra-species-dilution-info": "", "FlowCytIntra-species-notes": "<p></p>" }, "Mouse": { "IHCP-species-checked": "guaranteed", "IHCP-species-dilution-info": "", "IHCP-species-notes": "", "ICCIF-species-checked": "guaranteed", "ICCIF-species-dilution-info": "", "ICCIF-species-notes": "", "IP-species-checked": "notRecommended", "IP-species-dilution-info": "", "IP-species-notes": "<p></p>", "WB-species-checked": "testedAndGuaranteed", "WB-species-dilution-info": "", "WB-species-notes": "<p></p>", "FlowCytIntra-species-checked": "guaranteed", "FlowCytIntra-species-dilution-info": "", "FlowCytIntra-species-notes": "" }, "Rat": { "IHCP-species-checked": "guaranteed", "IHCP-species-dilution-info": "", "IHCP-species-notes": "", "ICCIF-species-checked": "testedAndGuaranteed", "ICCIF-species-dilution-info": "", "ICCIF-species-notes": "<p></p>", "IP-species-checked": "notRecommended", "IP-species-dilution-info": "", "IP-species-notes": "<p></p>", "WB-species-checked": "testedAndGuaranteed", "WB-species-dilution-info": "", "WB-species-notes": "<p></p>", "FlowCytIntra-species-checked": "guaranteed", "FlowCytIntra-species-dilution-info": "", "FlowCytIntra-species-notes": "" } } }

产品详情

ab247231 is the carrier-free version of ab32111.

Patented technology
Our RabMAb® technology is a patented hybridoma-based technology for making rabbit monoclonal antibodies. For details on our patents, please refer to RabMAb® patents.

What are the advantages of a recombinant monoclonal antibody?
This product is a recombinant monoclonal antibody, which offers several advantages including:

  • - High batch-to-batch consistency and reproducibility
  • - Improved sensitivity and specificity
  • - Long-term security of supply
  • - Animal-free batch production

For more information, read more on recombinant antibodies.

Conjugation ready
Our carrier-free antibodies are typically supplied in a PBS-only formulation, purified and free of BSA, sodium azide and glycerol. This conjugation-ready format is designed for use with fluorochromes, metal isotopes, oligonucleotides, and enzymes, which makes them ideal for antibody labelling, functional and cell-based assays, flow-based assays (e.g. mass cytometry) and Multiplex Imaging applications.

Use our conjugation kits for antibody conjugates that are ready-to-use in as little as 20 minutes with 1 minute hands-on-time and 100% antibody recovery: available for fluorescent dyes, HRP, biotin and gold.

Compatibility
This product is compatible with the Maxpar® Antibody Labeling Kit from Fluidigm, without the need for antibody preparation. Maxpar® is a trademark of Fluidigm Canada Inc.

性能和储存信息

形式
Liquid
纯化工艺
Affinity purification Protein A
存储溶液
pH: 7.2 - 7.4 Constituents: PBS
运输条件
Blue Ice
推荐的短期储存条件
+4°C
推荐的长期储存条件
+4°C
储存信息
Do Not Freeze

补充信息

This supplementary information is collated from multiple sources and compiled automatically.

The GRB2 protein also known as growth factor receptor-bound protein 2 is instrumental in signal transduction. GRB2 has a molecular weight of about 25 kDa. It comprises one SH2 domain and two SH3 domains which facilitate its role in linking receptor tyrosine kinases to downstream signaling molecules. GRB2 is ubiquitously expressed in various tissues signifying its importance in diverse cellular functions.
Biological function summary

GRB2 functions as an adaptor protein that connects activated receptor tyrosine kinases to intracellular pathways. It often forms complexes with other proteins such as the SOS protein which further propagates signaling cascades critical for cell proliferation and differentiation. GRB2’s ability to mediate these interactions contributes to cellular responses to external stimuli including growth factors and hormones.

Pathways

GRB2 plays an important role in the Ras-MAPK signaling pathway. It interacts with proteins like SOS and Ras enabling signal transduction from the cell surface to the nucleus which is vital for processes such as cell growth and survival. GRB2 is also implicated in the PI3K-Akt pathway connecting it to another set of signaling proteins that regulate metabolism growth and survival.

GRB2 has significant associations with cancer and immune disorders. Aberrant activation of pathways involving GRB2 can lead to uncontrolled cell proliferation contributing to oncogenesis in different cancers. Additionally GRB2’s interactions with proteins like BCR-ABL in chronic myeloid leukemia highlight its potential role as a therapeutic target. GRB2 inhibitors could therefore offer promising avenues for treating such conditions by disrupting its pathological signaling interactions.

产品实验方案

For this product, it's our understanding that no specific protocols are required. You can visit:

靶点信息

Non-enzymatic adapter protein that plays a pivotal role in precisely regulated signaling cascades from cell surface receptors to cellular responses, including signaling transduction and gene expression (PubMed : 11726515, PubMed : 37626338). Thus, participates in many biological processes including regulation of innate and adaptive immunity, autophagy, DNA repair or necroptosis (PubMed : 35831301, PubMed : 37626338, PubMed : 38182563). Controls signaling complexes at the T-cell antigen receptor to facilitate the activation, differentiation, and function of T-cells (PubMed : 36864087, PubMed : 9489702). Mechanistically, engagement of the TCR leads to phosphorylation of the adapter protein LAT, which serves as docking site for GRB2 (PubMed : 9489702). In turn, GRB2 establishes a a connection with SOS1 that acts as a guanine nucleotide exchange factor and serves as a critical regulator of KRAS/RAF1 leading to MAPKs translocation to the nucleus and activation (PubMed : 12171928, PubMed : 25870599). Functions also a role in B-cell activation by amplifying Ca(2+) mobilization and activation of the ERK MAP kinase pathway upon recruitment to the phosphorylated B-cell antigen receptor (BCR) (PubMed : 25413232, PubMed : 29523808). Plays a role in switching between autophagy and programmed necrosis upstream of EGFR by interacting with components of necrosomes including RIPK1 and with autophagy regulators SQSTM1 and BECN1 (PubMed : 35831301, PubMed : 38182563). Regulates miRNA biogenesis by forming a functional ternary complex with AGO2 and DICER1 (PubMed : 37328606). Functions in the replication stress response by protecting DNA at stalled replication forks from MRE11-mediated degradation. Mechanistically, inhibits RAD51 ATPase activity to stabilize RAD51 on stalled replication forks (PubMed : 38459011). Additionally, directly recruits and later releases MRE11 at DNA damage sites during the homology-directed repair (HDR) process (PubMed : 34348893).. Isoform 2. Does not bind to phosphorylated epidermal growth factor receptor (EGFR) but inhibits EGF-induced transactivation of a RAS-responsive element. Acts as a dominant negative protein over GRB2 and by suppressing proliferative signals, may trigger active programmed cell death. Mechanistically, inhibits RAS-ERK signaling and downstream cell proliferation by competing with GRB2 for SOS1 binding and thus by regulating SOS1 membrane recruitment (PubMed : 36171279).
See full target information GRB2

文献 (2)

Recent publications for all applications. Explore the full list and refine your search

Medicine 102:e32862 PubMed36749274

2023

Urinary insulin signaling pathway related proteins may serve as potential biomarkers for monitoring diabetes mellitus without hypertension and hyperlipidemia.

Applications

Unspecified application

Species

Unspecified reactive species

Man Zhao,Qian Meng,Man Zhang

World journal of gastroenterology 28:1479-1493 PubMed35582676

2022

Radiomics signature: A potential biomarker for β-arrestin1 phosphorylation prediction in hepatocellular carcinoma.

Applications

Unspecified application

Species

Unspecified reactive species

Feng Che,Qing Xu,Qian Li,Zi-Xing Huang,Cai-Wei Yang,Li Ye Wang,Yi Wei,Yu-Jun Shi,Bin Song
View all publications

Abcam Product Promise

我们致力于为您的研究提供高质量的试剂,为您科研的每一步提供支持。若我们的产品未能达到预期性能,我们向您提供 Abcam Product Promise 保障。
详情请参阅我们的条款与条件。

Please note: All products are 'FOR RESEARCH USE ONLY. NOT FOR USE IN DIAGNOSTIC OR THERAPEUTIC PROCEDURES'.

For licensing inquiries, please contact partnerships@abcam.com