JavaScript is disabled in your browser. Please enable JavaScript to view this website.
AB32037

重组Anti-GRB2抗体[Y237]

Anti-GRB2 antibody [Y237]

4

(3 Reviews)

|

(33 Publications)

Rabbit Recombinant Monoclonal GRB2 antibody. Suitable for IHC-P, IP, WB, ICC/IF, Flow Cyt (Intra) and reacts with Human, Mouse, Rat samples. Cited in 33 publications.

查看别名

ASH, GRB2, Growth factor receptor-bound protein 2, Adapter protein GRB2, Protein Ash, SH2/SH3 adapter GRB2

8 Images
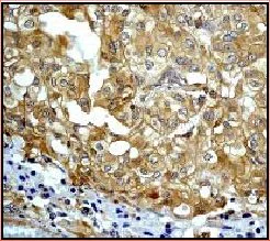
Immunohistochemistry (Formalin/PFA-fixed paraffin-embedded sections) - Anti-GRB2 antibody [Y237] (AB32037)
  • IHC-P

Unknown

Immunohistochemistry (Formalin/PFA-fixed paraffin-embedded sections) - Anti-GRB2 antibody [Y237] (AB32037)

Immunohistochemical analysis of GRB2 expression in paraffin embedded human ovarian carcinoma, using 1/100 ab32037.

Perform heat mediated antigen retrieval with citrate buffer pH 6 before commencing with IHC staining protocol.

Immunocytochemistry/ Immunofluorescence - Anti-GRB2 antibody [Y237] (AB32037)
  • ICC/IF

Lab

Immunocytochemistry/ Immunofluorescence - Anti-GRB2 antibody [Y237] (AB32037)

Immunocytochemistry/immunofluorescent analysis of 4% paraformaldehyde-fixed, 0.1% TritonX-100 permeabilised HeLa (Human cervix adenocarcinoma epithelial cell) cells staining GRB2 with ab32037 at 1/200 dilution (green), followed by AlexaFluor®488 Goat anti-Rabbit secondary antibody (ab150077) at 1/1000 dilution (blue). Confocal image showing nuclear and weak cytoplasmic staining in HeLa cell line. Anti-alpha Tubulin antibody [DM1A] - Microtubule Marker (Alexa Fluor® 594) (ab195889) was used as a counterstain at 1/200 dilution (red). DAPI was used as a nuclear counterstain.
Secondary antibody only control : Used PBS instead of primary antibody, secondary antibody is [secondary antibody name] ab150077 at 1/1000 dilution.

Perform heat mediated antigen retrieval with citrate buffer pH 6 before commencing with IHC staining protocol.

Flow Cytometry (Intracellular) - Anti-GRB2 antibody [Y237] (AB32037)
  • Flow Cyt (Intra)

Lab

Flow Cytometry (Intracellular) - Anti-GRB2 antibody [Y237] (AB32037)

Intracellular Flow Cytometry analysis of HeLa (Human cervix adenocarcinoma epithelial cell) cells labeling GRB2 (red) with ab32037 at a 1/20 dilution. Cells were fixed with 4% paraformaldehyde and permeabilized with 90% methanol. A goat anti-rabbit IgG (Alexa Fluorr® 488) (ab150077) was used as the secondary antibody at a 1/2000 dilution. Black - Rabbit monoclonal IgG (Black) (ab172730). Blue (unlabeled control) - Cell without incubation with primary antibody and secondary antibody (Blue).

Western blot - Anti-GRB2 antibody [Y237] (AB32037)
  • WB

Lab

Western blot - Anti-GRB2 antibody [Y237] (AB32037)

Anti-GRB2 antibody [Y237] (ab32037) staining at 1/5000 dilution, shown in green; Mouse anti-Alpha Tubulin [DM1A] (ab7291) loading control staining at 1/20000 dilution, shown in red. In Western blot, ab32037 was shown to bind specifically to GRB2. A band was observed at 26 kDa in wild-type A431 cell lysates with a reduction in signal observed at this size in GRB2 heterozygous knockout cell line. To generate this image, wild-type and GRB2 heterozygous knockout A431 cell lysates were analysed. First, samples were run on an SDS-PAGE gel then transferred onto a nitrocellulose membrane. Membranes were blocked in 3 % milk in TBS-0.1 % Tween® 20 (TBS-T) before incubation with primary antibodies overnight at 4 °C. Blots were washed four times in TBS-T, incubated with secondary antibodies for 1 h at room temperature, washed again four times then imaged. Secondary antibodies used were Goat anti-Rabbit IgG H&L 800CW and Goat anti-Mouse IgG H&L 680RD at 1/20000 dilution.

All lanes:

Western blot - Anti-GRB2 antibody [Y237] (ab32037) at 1/5000 dilution

Lane 1:

Wild-type A431 cell lysate at 20 µg

Lane 2:

Western blot - Human GRB2 heterozygous knockout A-431 cell line (<a href='/products/cell-lines/human-grb2-heterozygous-knockout-a-431-cell-line-ab276085'>ab276085</a>)

Lane 2:

GRB2 knockout A431 cell lysate at 20 µg

Lane 3:

HCT 116 cell lysate at 20 µg

Lane 4:

HeLa cell lysate at 20 µg

Secondary

Lanes 1 - 4:

Goat anti-Rabbit IgG H&L 800CW at 1/20000 dilution

Lanes 1 - 4:

Goat anti-Mouse IgG H&L 680RD at 1/20000 dilution

Predicted band size: 25 kDa

Observed band size: 26 kDa

false

Western blot - Anti-GRB2 antibody [Y237] (AB32037)
  • WB

Lab

Western blot - Anti-GRB2 antibody [Y237] (AB32037)

Lanes 1 - 4 : Merged signal (red and green). Green - ab32037 observed at 25 kDa. Red - loading control, ab7291 (Mouse anti-Alpha Tubulin [DM1A]) observed at 55 kDa.

ab32037 was shown to react with GRB2 in western blot. The band observed in the CRISPR-Cas9 edited cell lysate lane above 25 kDa is likely to represent an insertion. This has not been investigated further and the functional properties of the gene product have not been determined. Cell lysates were subjected to SDS-PAGE. Membranes were blocked in 3 % milk in TBS-T (0.1 % Tween®) before incubation with ab32037 and ab7291 (Mouse anti-Alpha Tubulin [DM1A]) overnight at 4 °C at a 1 in 5000 dilution and a 1 in 20000 dilution respectively. Blots were incubated with Goat anti-Rabbit IgG H&L (IRDye® 800CW) preabsorbed (ab216773) and Goat anti-Mouse IgG H&L (IRDye® 680RD) preabsorbed (ab216776) secondary antibodies at 1 in 20000 dilution for 1 h at room temperature before imaging.

All lanes:

Western blot - Anti-GRB2 antibody [Y237] (ab32037) at 1/5000 dilution

Lane 1:

Wild-type HeLa (Human epithelial cell line from cervix adenocarcinoma) whole cell lysate at 20 µg

Lane 2:

GRB2 knockout HeLa (Human epithelial cell line from cervix adenocarcinoma) whole cell lysate at 20 µg

Lane 3:

HL-60 (Human promyelocytic leukemia cell line) whole cell lysate at 20 µg

Lane 4:

Caco-2 (Human colorectal adenocarcinoma cell line) whole cell lysate at 20 µg

Predicted band size: 25 kDa

Observed band size: 25 kDa

false

Western blot - Anti-GRB2 antibody [Y237] (AB32037)
  • WB

PubMed

Western blot - Anti-GRB2 antibody [Y237] (AB32037)

All lanes:

Western blot - Anti-GRB2 antibody [Y237] (ab32037) at 1/5000 dilution

All lanes:

Lysate prepared from human Mesothelial cell line MeT-5A at 4 µg

Secondary

All lanes:

Western blot - Goat Anti-Rabbit IgG H&L (HRP) (<a href='/products/secondary-antibodies/goat-rabbit-igg-h-l-hrp-ab6721'>ab6721</a>) at 1/2000 dilution

Predicted band size: 25 kDa

Observed band size: 24 kDa

true

Exposure time: 1min

This image is a courtesy of Anonymous Abreview

Western blot - Anti-GRB2 antibody [Y237] (AB32037)
  • WB

Supplier Data

Western blot - Anti-GRB2 antibody [Y237] (AB32037)

Blocking/Dilution buffer : 5% NFDM/TBST

Exposure time : 3 minutes

All lanes:

Western blot - Anti-GRB2 antibody [Y237] (ab32037) at 1/10000 dilution

Lane 1:

PC-12 (rat adrenal gland pheochromocytoma) cell lysate at 10 µg

Lane 2:

NIH/3T3 (mouse embryonic fibroblast) cell lysate at 10 µg

Lane 3:

HEK293 (human epithelial cell line from embryonic kidney) cell lysate at 10 µg

Secondary

All lanes:

Goat Anti-Rabbit IgG, (H+L), Peroxidase conjugated at 1/2000 dilution

Predicted band size: 25 kDa

Observed band size: 25 kDa

false

Western blot - Anti-GRB2 antibody [Y237] (AB32037)
  • WB

Unknown

Western blot - Anti-GRB2 antibody [Y237] (AB32037)

All lanes:

Western blot - Anti-GRB2 antibody [Y237] (ab32037) at 1/5000 dilution

All lanes:

Western blot - Recombinant Human GRB2 protein (<a href='/products/proteins-peptides/recombinant-human-grb2-protein-ab85917'>ab85917</a>) at 0.01 µg

Secondary

All lanes:

Western blot - Goat Anti-Rabbit IgG H&L (HRP) preadsorbed (<a href='/products/secondary-antibodies/goat-rabbit-igg-h-l-hrp-preadsorbed-ab97080'>ab97080</a>) at 1/5000 dilution

Predicted band size: 25 kDa

true

Exposure time: 2min

不同偶联物与剂型 (8)

关键信息

宿主种属

Rabbit

克隆

Monoclonal

克隆号

Y237

亚型

IgG

不含载体蛋白

No

反应种属

Mouse, Rat, Human

应用

WB, ICC/IF, Flow Cyt (Intra), IP, IHC-P

applications

免疫原

The exact immunogen used to generate this antibody is proprietary information.

反应性数据

{ "title": "Reactivity Data", "filters": { "stats": ["", "Species", "Dilution Info", "Notes"], "tabs": { "all-applications": {"fullname" : "All Applications", "shortname": "All Applications"}, "IHCP" : {"fullname" : "Immunohistochemistry (Formalin/PFA-fixed paraffin-embedded sections)", "shortname":"IHC-P"}, "IP" : {"fullname" : "Immunoprecipitation", "shortname":"IP"}, "WB" : {"fullname" : "Western blot", "shortname":"WB"}, "ICCIF" : {"fullname" : "Immunocytochemistry/ Immunofluorescence", "shortname":"ICC/IF"}, "FlowCytIntra" : {"fullname" : "Flow Cytometry (Intracellular)", "shortname":"Flow Cyt (Intra)"} }, "product-promise": { "all": "all", "testedAndGuaranteed": "tested", "guaranteed": "expected", "predicted": "predicted", "notRecommended": "not-recommended" } }, "values": { "Human": { "IHCP-species-checked": "testedAndGuaranteed", "IHCP-species-dilution-info": "1/100 - 1/250", "IHCP-species-notes": "<p></p>", "IP-species-checked": "guaranteed", "IP-species-dilution-info": "", "IP-species-notes": "<p></p>", "WB-species-checked": "testedAndGuaranteed", "WB-species-dilution-info": "1/5000 - 1/10000", "WB-species-notes": "<p></p>", "ICCIF-species-checked": "testedAndGuaranteed", "ICCIF-species-dilution-info": "1/50 - 1/100", "ICCIF-species-notes": "<p></p>", "FlowCytIntra-species-checked": "testedAndGuaranteed", "FlowCytIntra-species-dilution-info": "1/20", "FlowCytIntra-species-notes": "<p><a href='/products/primary-antibodies/rabbit-igg-monoclonal-epr25a-isotype-control-ab172730'>ab172730</a> - Rabbit monoclonal IgG, is suitable for use as an isotype control with this antibody.</p>" }, "Mouse": { "IHCP-species-checked": "guaranteed", "IHCP-species-dilution-info": "", "IHCP-species-notes": "", "IP-species-checked": "guaranteed", "IP-species-dilution-info": "", "IP-species-notes": "<p></p>", "WB-species-checked": "testedAndGuaranteed", "WB-species-dilution-info": "1/5000 - 1/10000", "WB-species-notes": "<p></p>", "ICCIF-species-checked": "guaranteed", "ICCIF-species-dilution-info": "", "ICCIF-species-notes": "", "FlowCytIntra-species-checked": "guaranteed", "FlowCytIntra-species-dilution-info": "", "FlowCytIntra-species-notes": "" }, "Rat": { "IHCP-species-checked": "guaranteed", "IHCP-species-dilution-info": "", "IHCP-species-notes": "", "IP-species-checked": "guaranteed", "IP-species-dilution-info": "", "IP-species-notes": "<p></p>", "WB-species-checked": "testedAndGuaranteed", "WB-species-dilution-info": "1/5000 - 1/10000", "WB-species-notes": "<p></p>", "ICCIF-species-checked": "guaranteed", "ICCIF-species-dilution-info": "", "ICCIF-species-notes": "", "FlowCytIntra-species-checked": "guaranteed", "FlowCytIntra-species-dilution-info": "", "FlowCytIntra-species-notes": "" } } }

产品详情

Patented technology
Our RabMAb® technology is a patented hybridoma-based technology for making rabbit monoclonal antibodies. For details on our patents, please refer to RabMAb® patents.

What are the advantages of a recombinant monoclonal antibody?
This product is a recombinant monoclonal antibody, which offers several advantages including:

  • - High batch-to-batch consistency and reproducibility
  • - Improved sensitivity and specificity
  • - Long-term security of supply
  • - Animal-free batch production

For more information, read more on recombinant antibodies.

性能和储存信息

形式
Liquid
纯化工艺
Affinity purification Protein A
存储溶液
pH: 7.2 - 7.4 Preservative: 0.01% Sodium azide Constituents: PBS, 50% Glycerol (glycerin, glycerine), 0.05% BSA
运输条件
Blue Ice
推荐的短期储存条件
+4°C
推荐的长期储存条件
-20°C
分装信息
Upon delivery aliquot
储存信息
Avoid freeze / thaw cycle

补充信息

This supplementary information is collated from multiple sources and compiled automatically.

The GRB2 protein also known as growth factor receptor-bound protein 2 is instrumental in signal transduction. GRB2 has a molecular weight of about 25 kDa. It comprises one SH2 domain and two SH3 domains which facilitate its role in linking receptor tyrosine kinases to downstream signaling molecules. GRB2 is ubiquitously expressed in various tissues signifying its importance in diverse cellular functions.
Biological function summary

GRB2 functions as an adaptor protein that connects activated receptor tyrosine kinases to intracellular pathways. It often forms complexes with other proteins such as the SOS protein which further propagates signaling cascades critical for cell proliferation and differentiation. GRB2’s ability to mediate these interactions contributes to cellular responses to external stimuli including growth factors and hormones.

Pathways

GRB2 plays an important role in the Ras-MAPK signaling pathway. It interacts with proteins like SOS and Ras enabling signal transduction from the cell surface to the nucleus which is vital for processes such as cell growth and survival. GRB2 is also implicated in the PI3K-Akt pathway connecting it to another set of signaling proteins that regulate metabolism growth and survival.

GRB2 has significant associations with cancer and immune disorders. Aberrant activation of pathways involving GRB2 can lead to uncontrolled cell proliferation contributing to oncogenesis in different cancers. Additionally GRB2’s interactions with proteins like BCR-ABL in chronic myeloid leukemia highlight its potential role as a therapeutic target. GRB2 inhibitors could therefore offer promising avenues for treating such conditions by disrupting its pathological signaling interactions.

产品实验方案

For this product, it's our understanding that no specific protocols are required. You can visit:

靶点信息

Non-enzymatic adapter protein that plays a pivotal role in precisely regulated signaling cascades from cell surface receptors to cellular responses, including signaling transduction and gene expression (PubMed : 11726515, PubMed : 37626338). Thus, participates in many biological processes including regulation of innate and adaptive immunity, autophagy, DNA repair or necroptosis (PubMed : 35831301, PubMed : 37626338, PubMed : 38182563). Controls signaling complexes at the T-cell antigen receptor to facilitate the activation, differentiation, and function of T-cells (PubMed : 36864087, PubMed : 9489702). Mechanistically, engagement of the TCR leads to phosphorylation of the adapter protein LAT, which serves as docking site for GRB2 (PubMed : 9489702). In turn, GRB2 establishes a a connection with SOS1 that acts as a guanine nucleotide exchange factor and serves as a critical regulator of KRAS/RAF1 leading to MAPKs translocation to the nucleus and activation (PubMed : 12171928, PubMed : 25870599). Functions also a role in B-cell activation by amplifying Ca(2+) mobilization and activation of the ERK MAP kinase pathway upon recruitment to the phosphorylated B-cell antigen receptor (BCR) (PubMed : 25413232, PubMed : 29523808). Plays a role in switching between autophagy and programmed necrosis upstream of EGFR by interacting with components of necrosomes including RIPK1 and with autophagy regulators SQSTM1 and BECN1 (PubMed : 35831301, PubMed : 38182563). Regulates miRNA biogenesis by forming a functional ternary complex with AGO2 and DICER1 (PubMed : 37328606). Functions in the replication stress response by protecting DNA at stalled replication forks from MRE11-mediated degradation. Mechanistically, inhibits RAD51 ATPase activity to stabilize RAD51 on stalled replication forks (PubMed : 38459011). Additionally, directly recruits and later releases MRE11 at DNA damage sites during the homology-directed repair (HDR) process (PubMed : 34348893).. Isoform 2. Does not bind to phosphorylated epidermal growth factor receptor (EGFR) but inhibits EGF-induced transactivation of a RAS-responsive element. Acts as a dominant negative protein over GRB2 and by suppressing proliferative signals, may trigger active programmed cell death. Mechanistically, inhibits RAS-ERK signaling and downstream cell proliferation by competing with GRB2 for SOS1 binding and thus by regulating SOS1 membrane recruitment (PubMed : 36171279).
See full target information GRB2

文献 (33)

Recent publications for all applications. Explore the full list and refine your search

Nature communications 16:2192 PubMed40038241

2025

GRB2 regulation of essential signaling pathways in the endometrium is critical for implantation and decidualization.

Applications

Unspecified application

Species

Unspecified reactive species

Dinh Nam Tran,Yeon Jeong Hwang,Keun Cheon Kim,Rong Li,Ryan M Marquardt,Chen Chen,Steven L Young,Bruce A Lessey,Tae Hoon Kim,Yong-Pil Cheon,Jae-Wook Jeong

Advanced science (Weinheim, Baden-Wurttemberg, Germany) 12:e2407662 PubMed39563492

2024

Osteoblast-Derived ECM1 Promotes Anti-Androgen Resistance in Bone Metastatic Prostate Cancer.

Applications

Unspecified application

Species

Unspecified reactive species

Xinwen Wang,Min Wang,Qijun Lin,Lixin He,Baolin Zhang,Xin Chen,Guanhong Chen,Hong Du,Chuandong Lang,Xinsheng Peng,Yuhu Dai

Scientific reports 14:28322 PubMed39550397

2024

Generating and validating renewable affimer protein binding reagents targeting SH2 domains.

Applications

Unspecified application

Species

Unspecified reactive species

Sophie J Heseltine,Gregory J Billenness,Heather L Martin,Christian Tiede,Anna A S Tang,Eleanor Foy,Grace Reddy,Naomi Gibson,Matt Johnson,Michael E Webb,Michael J McPherson,Darren C Tomlinson

Molecular medicine (Cambridge, Mass.) 30:82 PubMed38862918

2024

ERRFI1 exacerbates hepatic ischemia reperfusion injury by promoting hepatocyte apoptosis and ferroptosis in a GRB2-dependent manner.

Applications

Unspecified application

Species

Unspecified reactive species

Hang Zhao,Huizi Mao

The Journal of cell biology 222: PubMed37843535

2023

Evidence for lung barrier regeneration by differentiation prior to binucleated and stem cell division.

Applications

Unspecified application

Species

Unspecified reactive species

Joshua Guild,Nicholas H Juul,Andres Andalon,Hiroki Taenaka,Robert J Coffey,Michael A Matthay,Tushar J Desai

Arthritis research & therapy 25:194 PubMed37798786

2023

Preosteoclast plays a pathogenic role in syndesmophyte formation of ankylosing spondylitis through the secreted PDGFB - GRB2/ERK/RUNX2 pathway.

Applications

Unspecified application

Species

Unspecified reactive species

Yulong Tang,Kai Yang,Qingmei Liu,Yanyun Ma,Hao Zhu,Kunhai Tang,Chengchun Geng,Jiangnan Xie,Dachun Zhuo,Wenyu Wu,Li Jin,Wenze Xiao,Jiucun Wang,Qi Zhu,Jing Liu

Cell death discovery 8:319 PubMed35831301

2022

Grb2 interacts with necrosome components and is involved in rasfonin-induced necroptosis.

Applications

Unspecified application

Species

Unspecified reactive species

Bolin Hou,Haiwen Huang,Yueqian Li,Jingnan Liang,Zhijun Xi,Xuejun Jiang,Ling Liu,Erwei Li

Bioengineered 13:10386-10398 PubMed35465829

2022

Tribbles homolog 3 contributes to high glucose-induced injury in retinal pigment epithelial cells via binding to growth factor receptor-bound 2.

Applications

Unspecified application

Species

Unspecified reactive species

Qin Liao,Xuefeng Gao

International journal of rheumatic diseases 25:592-600 PubMed35238474

2022

Leukemia inhibitory factor is dysregulated in ankylosing spondylitis and contributes to bone formation.

Applications

Unspecified application

Species

Unspecified reactive species

Weiping Kong,Yulong Tang,Kunhai Tang,Zeran Yan,Ting Liu,Qingwen Tao,Jiucun Wang,Jing Liu,Xiaoping Yan

Journal of cellular and molecular medicine 26:2312-2321 PubMed35212166

2022

Comparative proteomics profiling revealed the involvement of GRB2-ROCK2 axis in Lyme neuroborreliosis caused by Borrelia Burgdorferi.

Applications

Unspecified application

Species

Unspecified reactive species

Yunfeng Bi,Jianjun Liu,Mingbiao Ma,Lvyan Tao,Yun Peng,Xiting Dai,Zhenhua Ji,Ruolan Bai,Miaomiao Jian,Taigui Chen,Lisha Luo,Feng Wang,Zhe Ding,Aihua Liu,Fukai Bao
View all publications

Abcam Product Promise

我们致力于为您的研究提供高质量的试剂,为您科研的每一步提供支持。若我们的产品未能达到预期性能,我们向您提供 Abcam Product Promise 保障。
详情请参阅我们的条款与条件。

Please note: All products are 'FOR RESEARCH USE ONLY. NOT FOR USE IN DIAGNOSTIC OR THERAPEUTIC PROCEDURES'.

For licensing inquiries, please contact partnerships@abcam.com