JavaScript is disabled in your browser. Please enable JavaScript to view this website.
AB315808

重组Anti-GPCR GPRC5D抗体[EPR28376-41]

Anti-GPCR GPRC5D antibody [EPR28376-41]

  • BOND RX™ Validated
  • 20ul selling size
  • RabMAb
  • Recombinant
  • 了解详情

Be the first to review this product! Submit a review

|

(0 Publication)

Anti-GPCR GPRC5D antibody [EPR28376-41] (ab315808) is a rabbit monoclonal antibody detecting GPCR GPRC5D in Western Blot, IHC-P. Suitable for Human.

- Biophysical QC for unrivalled batch-batch consistency

查看别名

G-protein coupled receptor family C group 5 member D, GPRC5D

10 Images
Immunohistochemistry (Formalin/PFA-fixed paraffin-embedded sections) - Anti-GPCR GPRC5D antibody [EPR28376-41] (AB315808)
  • IHC-P

Supplier Data

Immunohistochemistry (Formalin/PFA-fixed paraffin-embedded sections) - Anti-GPCR GPRC5D antibody [EPR28376-41] (AB315808)

Immunohistochemical analysis of paraffin-embedded (A) HEK-293T (human embryonic kidney epithelial cell) transfected with a human GPCR GPRC5D expression vector containing a Myc tag. (B) HEK-293T transfected with empty vector containing a Myc tag. Tissue labeling GPCR GPRC5D with ab315808 at 1/500 (1.03 ug/ml) dilution, followed by a ready to use LeicaDS9800 (Bond™ Polymer Refine Detection).

Positive staining on (A) HEK-293T transfected with a human GPCR GPRC5D expression vector containing a Myc tag, no staining on (B) HEK-293T transfected with empty vector containing a Myc tag. The section was incubated with ab315808 for 30 mins at room temperature.
The immunostaining was performed on a Leica Biosystems BOND® RX instrument.

Counterstained with Hematoxylin.

Secondary antibody only control : Secondary antibody is a ready to use LeicaDS9800 (Bond™ Polymer Refine Detection).

Heat mediated antigen retrieval was performed with Tris-EDTA buffer (pH 9.0, Epitope Retrieval Solution2) for 20 mins.

Immunohistochemistry (Formalin/PFA-fixed paraffin-embedded sections) - Anti-GPCR GPRC5D antibody [EPR28376-41] (AB315808)
  • IHC-P

Supplier Data

Immunohistochemistry (Formalin/PFA-fixed paraffin-embedded sections) - Anti-GPCR GPRC5D antibody [EPR28376-41] (AB315808)

Immunohistochemical analysis of paraffin-embedded Human kidney tissue labeling GPCR GPRC5D with ab315808 at 1/500 (1.03 ug/ml) dilution, followed by a ready to use LeicaDS9800 (Bond™ Polymer Refine Detection).

Negative control : no staining on human kidney. The section was incubated with ab315808 for 30 mins at room temperature.
The immunostaining was performed on a Leica Biosystems BOND® RX instrument.

Counterstained with Hematoxylin.

Secondary antibody only control : Secondary antibody is a ready to use LeicaDS9800 (Bond™ Polymer Refine Detection).

Heat mediated antigen retrieval was performed with Tris-EDTA buffer (pH 9.0, Epitope Retrieval Solution2) for 20 mins.

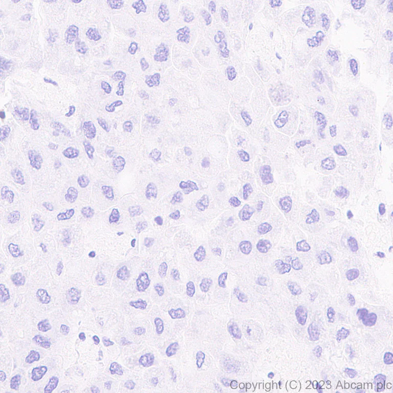
Immunohistochemistry (Formalin/PFA-fixed paraffin-embedded sections) - Anti-GPCR GPRC5D antibody [EPR28376-41] (AB315808)
  • IHC-P

Supplier Data

Immunohistochemistry (Formalin/PFA-fixed paraffin-embedded sections) - Anti-GPCR GPRC5D antibody [EPR28376-41] (AB315808)

Immunohistochemical analysis of paraffin-embedded Human hepatocellular carcinoma tissue labeling GPCR GPRC5D with ab315808 at 1/500 (1.03 ug/ml) dilution, followed by a ready to use LeicaDS9800 (Bond™ Polymer Refine Detection).

Negative control : no staining on human hepatocellular carcinoma. The section was incubated with ab315808 for 30 mins at room temperature.
The immunostaining was performed on a Leica Biosystems BOND® RX instrument.

Counterstained with Hematoxylin.

Secondary antibody only control : Secondary antibody is a ready to use LeicaDS9800 (Bond™ Polymer Refine Detection).

Heat mediated antigen retrieval was performed with Tris-EDTA buffer (pH 9.0, Epitope Retrieval Solution2) for 20 mins.

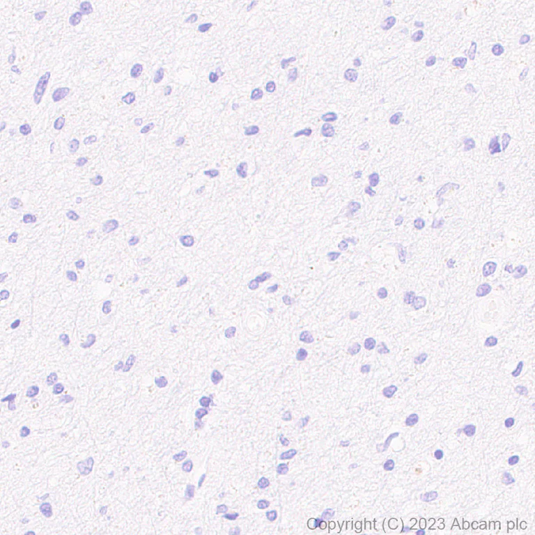
Immunohistochemistry (Formalin/PFA-fixed paraffin-embedded sections) - Anti-GPCR GPRC5D antibody [EPR28376-41] (AB315808)
  • IHC-P

Supplier Data

Immunohistochemistry (Formalin/PFA-fixed paraffin-embedded sections) - Anti-GPCR GPRC5D antibody [EPR28376-41] (AB315808)

Immunohistochemical analysis of paraffin-embedded Human cerebrum tissue labeling GPCR GPRC5D with ab315808 at 1/500 (1.03 ug/ml) dilution, followed by a ready to use LeicaDS9800 (Bond™ Polymer Refine Detection).

Negative control : no staining on human cerebrum. The section was incubated with ab315808 for 30 mins at room temperature.
The immunostaining was performed on a Leica Biosystems BOND® RX instrument.

Counterstained with Hematoxylin.

Secondary antibody only control : Secondary antibody is a ready to use LeicaDS9800 (Bond™ Polymer Refine Detection).

Heat mediated antigen retrieval was performed with Tris-EDTA buffer (pH 9.0, Epitope Retrieval Solution2) for 20 mins.

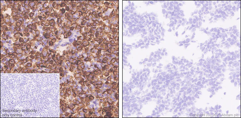
Immunohistochemistry (Formalin/PFA-fixed paraffin-embedded sections) - Anti-GPCR GPRC5D antibody [EPR28376-41] (AB315808)
  • IHC-P

Supplier Data

Immunohistochemistry (Formalin/PFA-fixed paraffin-embedded sections) - Anti-GPCR GPRC5D antibody [EPR28376-41] (AB315808)

Immunohistochemical analysis of paraffin-embedded Human myeloma tissue labeling GPCR GPRC5D with ab315808 at 1/500 (1.03 ug/ml) dilution, followed by a ready to use LeicaDS9800 (Bond™ Polymer Refine Detection).

Positive staining on human myeloma (PMID : 30918115). The section was incubated with ab315808 for 30 mins at room temperature.
The immunostaining was performed on a Leica Biosystems BOND® RX instrument.

Counterstained with Hematoxylin.

Secondary antibody only control : Secondary antibody is a ready to use LeicaDS9800 (Bond™ Polymer Refine Detection).

Heat mediated antigen retrieval was performed with Tris-EDTA buffer (pH 9.0, Epitope Retrieval Solution2) for 20 mins.

Immunohistochemistry (Formalin/PFA-fixed paraffin-embedded sections) - Anti-GPCR GPRC5D antibody [EPR28376-41] (AB315808)
  • IHC-P

Supplier Data

Immunohistochemistry (Formalin/PFA-fixed paraffin-embedded sections) - Anti-GPCR GPRC5D antibody [EPR28376-41] (AB315808)

Immunohistochemical analysis of paraffin-embedded Human hair follicle tissue labeling GPCR GPRC5D with ab315808 at 1/500 (1.03 ug/ml) dilution, followed by a ready to use LeicaDS9800 (Bond™ Polymer Refine Detection).

Positive staining on human hair follicle (PMID : 30918115). The section was incubated with ab315808 for 30 mins at room temperature.
The immunostaining was performed on a Leica Biosystems BOND® RX instrument.

Counterstained with Hematoxylin.

Secondary antibody only control : Secondary antibody is a ready to use LeicaDS9800 (Bond™ Polymer Refine Detection).

Heat mediated antigen retrieval was performed with Tris-EDTA buffer (pH 9.0, Epitope Retrieval Solution2) for 20 mins.

Western blot - Anti-GPCR GPRC5D antibody [EPR28376-41] (AB315808)
  • WB

Supplier Data

Western blot - Anti-GPCR GPRC5D antibody [EPR28376-41] (AB315808)

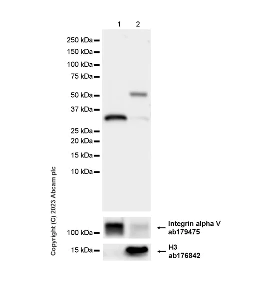
Blocking and diluting buffer and concentration : 5% NFDM/TBST.

The identity of the higher MW band at approximately 50 kDa (in lane 2) is unknown.

Samples are non-boiled as boiling may cause protein aggregation.

In Western blot, Anti-Histone H3 antibody [EPR16987] - Nuclear Marker and ChIP Grade (ab176842) staining at 1/100000 dilution.

In Western blot, Anti-Integrin alpha V antibody [EPR16800] (ab179475) staining at 1/5000 dilution.

All lanes:

Western blot - Anti-GPCR GPRC5D antibody [EPR28376-41] (ab315808) at 1/1000 dilution

Lane 1:

RPMI-8226 (human plasmacytoma, myeloma B lymphocyte) membrane fraction at 50 µg

Lane 2:

RPMI-8226 nuclear fraction at 50 µg

Secondary

All lanes:

Western blot - Goat Anti-Rabbit IgG H&L (HRP) (<a href='/products/secondary-antibodies/goat-rabbit-igg-h-l-hrp-ab97051'>ab97051</a>) at 1/20000 dilution

Observed band size: 33 kDa,125 kDa,15 kDa

false

Exposure time: 15s

Western blot - Anti-GPCR GPRC5D antibody [EPR28376-41] (AB315808)
  • WB

Supplier Data

Western blot - Anti-GPCR GPRC5D antibody [EPR28376-41] (AB315808)

Blocking and diluting buffer and concentration : 5% NFDM/TBST.

Negative control : human liver cancer.

Samples are non-boiled as boiling may cause protein aggregation.

In Western blot, Anti-GAPDH antibody [EPR16891] - Loading Control (ab181602) staining at 1/200000 dilution.

All lanes:

Western blot - Anti-GPCR GPRC5D antibody [EPR28376-41] (ab315808) at 1/1000 dilution

Lane 1:

SK-MEL-28 (human malignant melanoma cell) whole cell lysate at 60 µg

Lane 2:

Human liver cancer tissue lysate at 60 µg

Secondary

All lanes:

Goat Anti-Rabbit IgG (HRP) with minimal cross-reactivity with human IgG at 1/2000 dilution

Observed band size: 33 kDa,36 kDa

false

Exposure time: 180s

Western blot - Anti-GPCR GPRC5D antibody [EPR28376-41] (AB315808)
  • WB

Supplier Data

Western blot - Anti-GPCR GPRC5D antibody [EPR28376-41] (AB315808)

Negative control : Daudi (PMID : 32040549), KG-1a (PMID : 32040549).

Blocking and diluting buffer and concentration : 5% NFDM/TBST.

The identity of the higher MW band at approximately 50 kDa is unknown.

Samples are non-boiled as boiling may cause protein aggregation.

In Western blot, Anti-GAPDH antibody [EPR16891] - Loading Control (ab181602) staining at 1/200000 dilution.

All lanes:

Western blot - Anti-GPCR GPRC5D antibody [EPR28376-41] (ab315808) at 1/1000 dilution

Lane 1:

RPMI-8226 (human plasmacytoma, myeloma B lymphocyte) whole cell lysate at 50 µg

Lane 2:

Daudi (human burkitt's lymphoma lymphoblast) whole cell lysate at 50 µg

Lane 3:

SK-MEL-2 (human skin malignant melanoma cell) whole cell lysate at 50 µg

Lane 4:

KG-1a (human bone marrow myeloblast) whole cell lysate at 50 µg

Secondary

All lanes:

Western blot - Goat Anti-Rabbit IgG H&L (HRP) (<a href='/products/secondary-antibodies/goat-rabbit-igg-h-l-hrp-ab97051'>ab97051</a>) at 1/20000 dilution

Observed band size: 33 kDa,36 kDa

false

Exposure time: 180s

Western blot - Anti-GPCR GPRC5D antibody [EPR28376-41] (AB315808)
  • WB

Supplier Data

Western blot - Anti-GPCR GPRC5D antibody [EPR28376-41] (AB315808)

Blocking and diluting buffer and concentration : 5% NFDM/TBST.

Samples are non-boiled as boiling may cause protein aggregation.

In Western blot, Anti-Histone H3 antibody [EPR16987] - Nuclear Marker and ChIP Grade (ab176842) staining at 1/100000 dilution.

In Western blot, Anti-GFP antibody [E385] (ab32146) staining at 1/5000 dilution.

All lanes:

Western blot - Anti-GPCR GPRC5D antibody [EPR28376-41] (ab315808) at 1/1000 dilution

Lane 1:

293T cells transfected with an empty vector containing a GFP-tag, whole cell lysate at 20 µg

Lane 2:

293T cells transfected with a human GPCR GPRC5D expression vector containing a a GFP-tag, whole cell lysate at 20 µg

Secondary

All lanes:

Western blot - Goat Anti-Rabbit IgG H&L (HRP) (<a href='/products/secondary-antibodies/goat-rabbit-igg-h-l-hrp-ab97051'>ab97051</a>) at 1/100000 dilution

Observed band size: 33 kDa,15 kDa

false

Exposure time: 180s

不同偶联物与剂型 (4)

  • 660 APC

    APC Anti-GPCR GPRC5D antibody [EPR28376-41]

  • 665 Alexa Fluor® 647

    Alexa Fluor® 647 Anti-GPCR GPRC5D antibody [EPR28376-41]

  • 519 Alexa Fluor® 488

    Alexa Fluor® 488 Anti-GPCR GPRC5D antibody [EPR28376-41]

  • Carrier free

    Anti-GPCR GPRC5D antibody [EPR28376-41] - BSA and Azide free

关键信息

宿主种属

Rabbit

克隆

Monoclonal

克隆号

EPR28376-41

亚型

IgG

不含载体蛋白

No

反应种属

Human

应用

IHC-P, WB

applications

免疫原

The exact immunogen used to generate this antibody is proprietary information.

特异性

GPRC5D is expressed in myeloma and hair follicles (PMID: 15086536 and PMID: 30918115).

反应性数据

{ "title": "Reactivity Data", "filters": { "stats": ["", "Species", "Dilution Info", "Notes"], "tabs": { "all-applications": {"fullname" : "All Applications", "shortname": "All Applications"}, "WB" : {"fullname" : "Western blot", "shortname":"WB"}, "IHCP" : {"fullname" : "Immunohistochemistry (Formalin/PFA-fixed paraffin-embedded sections)", "shortname":"IHC-P"}, "IP" : {"fullname" : "Immunoprecipitation", "shortname":"IP"}, "ICCIF" : {"fullname" : "Immunocytochemistry/ Immunofluorescence", "shortname":"ICC/IF"}, "FlowCytIntra" : {"fullname" : "Flow Cytometry (Intracellular)", "shortname":"Flow Cyt (Intra)"} }, "product-promise": { "all": "all", "testedAndGuaranteed": "tested", "guaranteed": "expected", "predicted": "predicted", "notRecommended": "not-recommended" } }, "values": { "Human": { "WB-species-checked": "testedAndGuaranteed", "WB-species-dilution-info": "1/1000", "WB-species-notes": "<p></p>", "IHCP-species-checked": "testedAndGuaranteed", "IHCP-species-dilution-info": "1/500", "IHCP-species-notes": "<p>GPRC5D is expressed in myeloma and hair follicles (PMID: 15086536 and PMID: 30918115).</p> Perform heat-mediated antigen retrieval with Tris/EDTA buffer pH 9.0 before commencing with IHC staining protocol.", "IP-species-checked": "notRecommended", "IP-species-dilution-info": "", "IP-species-notes": "<p></p>", "ICCIF-species-checked": "notRecommended", "ICCIF-species-dilution-info": "", "ICCIF-species-notes": "<p></p>", "FlowCytIntra-species-checked": "notRecommended", "FlowCytIntra-species-dilution-info": "", "FlowCytIntra-species-notes": "<p></p>" }, "Mouse": { "WB-species-checked": "notRecommended", "WB-species-dilution-info": "", "WB-species-notes": "<p></p>", "IHCP-species-checked": "notRecommended", "IHCP-species-dilution-info": "", "IHCP-species-notes": "<p></p>", "IP-species-checked": "notRecommended", "IP-species-dilution-info": "", "IP-species-notes": "", "ICCIF-species-checked": "notRecommended", "ICCIF-species-dilution-info": "", "ICCIF-species-notes": "", "FlowCytIntra-species-checked": "notRecommended", "FlowCytIntra-species-dilution-info": "", "FlowCytIntra-species-notes": "" }, "Rat": { "WB-species-checked": "notRecommended", "WB-species-dilution-info": "", "WB-species-notes": "<p></p>", "IHCP-species-checked": "notRecommended", "IHCP-species-dilution-info": "", "IHCP-species-notes": "<p></p>", "IP-species-checked": "notRecommended", "IP-species-dilution-info": "", "IP-species-notes": "", "ICCIF-species-checked": "notRecommended", "ICCIF-species-dilution-info": "", "ICCIF-species-notes": "", "FlowCytIntra-species-checked": "notRecommended", "FlowCytIntra-species-dilution-info": "", "FlowCytIntra-species-notes": "" }, "Transfected cell line - Human": { "WB-species-checked": "notRecommended", "WB-species-dilution-info": "", "WB-species-notes": "", "IHCP-species-checked": "testedAndGuaranteed", "IHCP-species-dilution-info": "1/500", "IHCP-species-notes": "<p>GPRC5D is expressed in myeloma and hair follicles (PMID: 15086536 and PMID: 30918115).</p> Perform heat-mediated antigen retrieval with Tris/EDTA buffer pH 9.0 before commencing with IHC staining protocol.", "IP-species-checked": "notRecommended", "IP-species-dilution-info": "", "IP-species-notes": "", "ICCIF-species-checked": "notRecommended", "ICCIF-species-dilution-info": "", "ICCIF-species-notes": "", "FlowCytIntra-species-checked": "notRecommended", "FlowCytIntra-species-dilution-info": "", "FlowCytIntra-species-notes": "" }, "Transfected cell lysate - Human": { "WB-species-checked": "testedAndGuaranteed", "WB-species-dilution-info": "1/1000", "WB-species-notes": "<p></p>", "IHCP-species-checked": "notRecommended", "IHCP-species-dilution-info": "", "IHCP-species-notes": "", "IP-species-checked": "notRecommended", "IP-species-dilution-info": "", "IP-species-notes": "", "ICCIF-species-checked": "notRecommended", "ICCIF-species-dilution-info": "", "ICCIF-species-notes": "", "FlowCytIntra-species-checked": "notRecommended", "FlowCytIntra-species-dilution-info": "", "FlowCytIntra-species-notes": "" } } }

产品详情

What is this antibody validated in?
Anti-GPCR GPRC5D antibody [EPR28376-41] (ab315808) is a rabbit recombinant monoclonal antibody and is validated for use in Western Blot (WB), Immunohistochemistry (IHC-P) in Human samples.

What is the molecular weight of GPCR GPRC5D?
Anti-GPCR GPRC5D [EPR28376-41] (ab315808) specifically detects a band for GPCR GPRC5D (UniProt: Q9NZD1) at a molecular weight of 39kDa.

Trial sizes available!
Test your antibody or perform pre-screening before committing to a larger quantity. Sold in 10µl. Discover our selection of trial-size antibodies.

Other related products
We have a range of other formats of antibody clone [EPR28376-41] also available for your convenience: ab315808, Carrier free - ab315809, APC - ab323443, Alexa Fluor® 647 - ab323465, Alexa Fluor® 488 - ab323466

Patented technology
Our RabMAb® technology is a patented hybridoma-based technology for making rabbit monoclonal antibodies. For details on our patents, please refer to RabMAb® patents.

What are the advantages of a recombinant monoclonal antibody?
This product is a recombinant monoclonal antibody, which offers several advantages including:

  • - High batch-to-batch consistency and reproducibility
  • - Improved sensitivity and specificity
  • - Long-term security of supply
  • - Animal-free batch production

For more information, read more on recombinant antibodies.

性能和储存信息

形式
Liquid
纯化工艺
Affinity purification Protein A
存储溶液
pH: 7.2 - 7.4 Preservative: 0.01% Sodium azide Constituents: PBS, 40% Glycerol (glycerin, glycerine), 0.05% BSA
运输条件
Blue Ice
推荐的短期储存时间
1-2 weeks
推荐的短期储存条件
+4°C
推荐的长期储存条件
-20°C
分装信息
Upon delivery aliquot
储存信息
Avoid freeze / thaw cycle

补充信息

This supplementary information is collated from multiple sources and compiled automatically.

The GPCR GPRC5D also known as the GPRC5D protein or by the code 6D9 in certain research contexts is a member of the G-protein-coupled receptors (GPCRs) superfamily. This family acts as a significant mediator of cellular responses to external signals. The GPRC5D has a mass of approximately 56 kDa. It is mainly expressed in the human bone marrow and the keratinocytes of the skin with notable absence in other tissues. It also appears in certain immune cells indicating its potential involvement in immune system responses.
Biological function summary

The role of GPCR GPRC5D centers on cell signaling mechanisms within the immune system. GPCR GPRC5D engages in intracellular signaling cascades that modulate immune functions although it is not known to be part of a larger receptor complex. Its function may involve interactions with molecules that transmit environmental signals into cellular responses enhancing its importance in immune regulation and possibly other cellular functions.

Pathways

GPCR GPRC5D participates in signaling pathways like the immune regulation pathway and the skin development pathway. It relates to proteins such as arrestins which link GPCRs to downstream signaling pathways. This connection hints at a regulatory role in cellular response where GPCR GPRC5D acts as a conduit for signal transduction balancing cellular responses to external stimuli and maintaining cellular homeostasis.

GPCR GPRC5D has associations with multiple myeloma and psoriasis. Its expression in bone marrow links it to multiple myeloma where its level might impact cancer progression. Proteins such as interleukin-17 and others relevant to psoriasis are connected to GPCR GPRC5D through skin-related pathways suggesting its role in inflammatory responses and potential as a therapeutic target for skin disorders. This illustrates GPRC5D's relevance in specific pathological conditions offering avenues for research into targeted treatments.

产品实验方案

For this product, it's our understanding that no specific protocols are required. You can visit:

Abcam Product Promise

我们致力于为您的研究提供高质量的试剂,为您科研的每一步提供支持。若我们的产品未能达到预期性能,我们向您提供 Abcam Product Promise 保障。
详情请参阅我们的条款与条件。

Please note: All products are 'FOR RESEARCH USE ONLY. NOT FOR USE IN DIAGNOSTIC OR THERAPEUTIC PROCEDURES'.

For licensing inquiries, please contact partnerships@abcam.com