JavaScript is disabled in your browser. Please enable JavaScript to view this website.
AB232339

重组Anti-GOSR1/GS28抗体[EP1768Y] - BSA and Azide free

Anti-GOSR1/GS28 antibody [EP1768Y] - BSA and Azide free

Be the first to review this product! Submit a review

|

(1 Publication)

Rabbit Recombinant Monoclonal GOSR1/GS28 antibody. Carrier free. Suitable for WB, ICC/IF, Flow Cyt (Intra), IHC-P and reacts with Mouse, Rat, Human samples. Cited in 1 publication.

查看别名

GS28, GOSR1, Golgi SNAP receptor complex member 1, 28 kDa Golgi SNARE protein, 28 kDa cis-Golgi SNARE p28, GOS-28

5 Images
Flow Cytometry (Intracellular) - Anti-GOSR1/GS28 antibody [EP1768Y] - BSA and Azide free (AB232339)
  • Flow Cyt (Intra)

Unknown

Flow Cytometry (Intracellular) - Anti-GOSR1/GS28 antibody [EP1768Y] - BSA and Azide free (AB232339)

Intracellular Flow Cytometry analysis of HeLa (Human cervix adenocarcinoma epithelial cell) cells labeling GOSR1/GS28 with purified ab53288 at 1/120 dilution (10μg/ml) (red). Cells were fixed with 4% Paraformaldehyde and permeabilised with 90% methanol. A Goat anti rabbit IgG (Alexa Fluor® 488) secondary antibody was used at 1/2000 dilution. Isotype control - Rabbit monoclonal IgG (Black). Unlabeled control - Cell without incubation with primary antibody and secondary antibody (Blue).

This data was developed using the same antibody clone in a different buffer formulation containing PBS, BSA, glycerol, and sodium azide (ab53288).

Immunocytochemistry/ Immunofluorescence - Anti-GOSR1/GS28 antibody [EP1768Y] - BSA and Azide free (AB232339)
  • ICC/IF

Unknown

Immunocytochemistry/ Immunofluorescence - Anti-GOSR1/GS28 antibody [EP1768Y] - BSA and Azide free (AB232339)

HeLa cells stained with unpurified ab53288 at 1/50 - 1/100 dilution

This data was developed using the same antibody clone in a different buffer formulation containing PBS, BSA, glycerol, and sodium azide (ab53288).

Immunohistochemistry (Formalin/PFA-fixed paraffin-embedded sections) - Anti-GOSR1/GS28 antibody [EP1768Y] - BSA and Azide free (AB232339)
  • IHC-P

Supplier Data

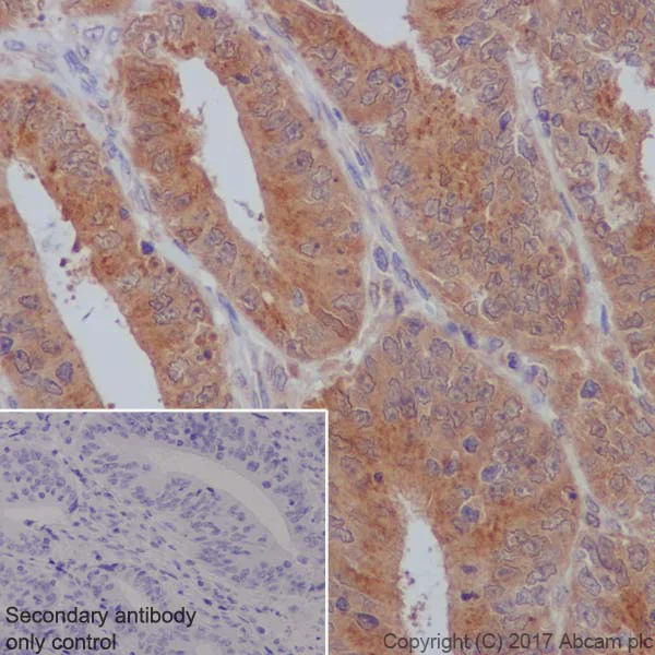
Immunohistochemistry (Formalin/PFA-fixed paraffin-embedded sections) - Anti-GOSR1/GS28 antibody [EP1768Y] - BSA and Azide free (AB232339)

Immunohistochemistry (Formalin/PFA-fixed paraffin-embedded sections) analysis of Human colon carcinoma tissue sections labeling GOSR1/GS28 with Purified ab53288 at 1 : 100 dilution (12.3 μg/ml). Heat mediated antigen retrieval was performed using ab93684 (Tris/EDTA buffer, pH 9.0). Tissue was counterstained with Hematoxylin. ImmunoHistoProbe one step HRP Polymer (ready to use) secondary antibody was used at 1 : 0 dilution. PBS instead of the primary antibody was used as the negative control.

This data was developed using the same antibody clone in a different buffer formulation containing PBS, BSA, glycerol, and sodium azide (ab53288).

Immunohistochemistry (Formalin/PFA-fixed paraffin-embedded sections) - Anti-GOSR1/GS28 antibody [EP1768Y] - BSA and Azide free (AB232339)
  • IHC-P

Unknown

Immunohistochemistry (Formalin/PFA-fixed paraffin-embedded sections) - Anti-GOSR1/GS28 antibody [EP1768Y] - BSA and Azide free (AB232339)

Human stomach carcinoma staining with unpurified ab53288 at 1/100 - 1/250 dilution

This data was developed using the same antibody clone in a different buffer formulation containing PBS, BSA, glycerol, and sodium azide (ab53288).

Immunocytochemistry/ Immunofluorescence - Anti-GOSR1/GS28 antibody [EP1768Y] - BSA and Azide free (AB232339)
  • ICC/IF

Unknown

Immunocytochemistry/ Immunofluorescence - Anti-GOSR1/GS28 antibody [EP1768Y] - BSA and Azide free (AB232339)

Immunocytochemistry/ Immunofluorescence analysis of NIH/3T3 (Mouse embryonic fibroblast) cells labeling GOSR1/GS28 with Purified ab53288 at 1 : 150 dilution. Cells were fixed in 100% Methanol. Cells were counterstained with None. ab150077 Goat anti rabbit IgG(Alexa Fluor® 488) was used as the secondary antibody at 1 : 1000 dilution. DAPI nuclear counterstain. PBS instead of the primary antibody was used as the secondary antibody only control.

This data was developed using the same antibody clone in a different buffer formulation containing PBS, BSA, glycerol, and sodium azide (ab53288).

不同偶联物与剂型 (1)

关键信息

宿主种属

Rabbit

克隆

Monoclonal

克隆号

EP1768Y

亚型

IgG

不含载体蛋白

Yes

反应种属

Mouse, Rat, Human

应用

IHC-P, Flow Cyt (Intra), WB, ICC/IF

applications

免疫原

The exact immunogen used to generate this antibody is proprietary information.

特异性

The mouse and rat recommendation is based on the WB results. We do not guarantee IHC-P for mouse and rat.

反应性数据

{ "title": "Reactivity Data", "filters": { "stats": ["", "Species", "Dilution Info", "Notes"], "tabs": { "all-applications": {"fullname" : "All Applications", "shortname": "All Applications"}, "WB" : {"fullname" : "Western blot", "shortname":"WB"}, "ICCIF" : {"fullname" : "Immunocytochemistry/ Immunofluorescence", "shortname":"ICC/IF"}, "FlowCytIntra" : {"fullname" : "Flow Cytometry (Intracellular)", "shortname":"Flow Cyt (Intra)"}, "IHCP" : {"fullname" : "Immunohistochemistry (Formalin/PFA-fixed paraffin-embedded sections)", "shortname":"IHC-P"} }, "product-promise": { "all": "all", "testedAndGuaranteed": "tested", "guaranteed": "expected", "predicted": "predicted", "notRecommended": "not-recommended" } }, "values": { "Human": { "WB-species-checked": "guaranteed", "WB-species-dilution-info": "", "WB-species-notes": "<p></p>", "ICCIF-species-checked": "guaranteed", "ICCIF-species-dilution-info": "", "ICCIF-species-notes": "", "FlowCytIntra-species-checked": "testedAndGuaranteed", "FlowCytIntra-species-dilution-info": "", "FlowCytIntra-species-notes": "<p><a href='/products/primary-antibodies/rabbit-igg-monoclonal-epr25a-isotype-control-ab172730'>ab172730</a> - Rabbit monoclonal IgG, is suitable for use as an isotype control with this antibody.</p>", "IHCP-species-checked": "testedAndGuaranteed", "IHCP-species-dilution-info": "", "IHCP-species-notes": "<p>The mouse and rat recommendation is based on the WB results. We do not guarantee IHC-P for mouse and rat.</p>" }, "Mouse": { "WB-species-checked": "guaranteed", "WB-species-dilution-info": "", "WB-species-notes": "<p></p>", "ICCIF-species-checked": "testedAndGuaranteed", "ICCIF-species-dilution-info": "", "ICCIF-species-notes": "<p></p>", "FlowCytIntra-species-checked": "guaranteed", "FlowCytIntra-species-dilution-info": "", "FlowCytIntra-species-notes": "", "IHCP-species-checked": "guaranteed", "IHCP-species-dilution-info": "", "IHCP-species-notes": "" }, "Rat": { "WB-species-checked": "guaranteed", "WB-species-dilution-info": "", "WB-species-notes": "<p></p>", "ICCIF-species-checked": "predicted", "ICCIF-species-dilution-info": "", "ICCIF-species-notes": "", "FlowCytIntra-species-checked": "predicted", "FlowCytIntra-species-dilution-info": "", "FlowCytIntra-species-notes": "", "IHCP-species-checked": "predicted", "IHCP-species-dilution-info": "", "IHCP-species-notes": "" } } }

产品详情

ab232339 is the carrier-free version of ab53288.

Conjugation ready
Our carrier-free antibodies are typically supplied in a PBS-only formulation, purified and free of BSA, sodium azide and glycerol. This conjugation-ready format is designed for use with fluorochromes, metal isotopes, oligonucleotides, and enzymes, which makes them ideal for antibody labelling, functional and cell-based assays, flow-based assays (e.g. mass cytometry) and Multiplex Imaging applications.

Use our conjugation kits for antibody conjugates that are ready-to-use in as little as 20 minutes with 1 minute hands-on-time and 100% antibody recovery: available for fluorescent dyes, HRP, biotin and gold.

Compatibility
This product is compatible with the Maxpar® Antibody Labeling Kit from Fluidigm, without the need for antibody preparation. Maxpar® is a trademark of Fluidigm Canada Inc.

性能和储存信息

形式
Liquid
纯化工艺
Affinity purification Protein A
存储溶液
pH: 7.2 - 7.4 Constituents: PBS
运输条件
Blue Ice
推荐的短期储存条件
+4°C
推荐的长期储存条件
+4°C
储存信息
Do Not Freeze

补充信息

This supplementary information is collated from multiple sources and compiled automatically.

GOSR1 also known as GS28 is a Golgi SNAP receptor complex member and has a mass of approximately 28 kDa. It functions mechanically in the membrane trafficking process facilitating the fusion of transport vesicles with the Golgi apparatus. GOSR1 localizes mainly to the Golgi apparatus and is expressed in numerous human tissues including the liver brain and pancreas. It participates in the assembly of the SNARE complex which is important for vesicle docking and fusion.
Biological function summary

GOSR1 is involved in the intracellular transport system ensuring the proper sorting and distribution of proteins within cells. It is a component of the soluble N-ethylmaleimide-sensitive factor attachment protein receptor (SNARE) complex working with other SNARE proteins to mediate vesicle fusion events. This interaction plays a significant role in maintaining the functionality and organization of the Golgi network impacting protein processing and trafficking.

Pathways

GOSR1 plays a role in intracellular transport and protein processing pathways influencing how proteins are modified and directed within the cell. It interacts with other proteins such as syntaxin 5 and Bet1 to facilitate the fusion of vesicles with the Golgi. This action integrates GOSR1 into the Golgi-to-endoplasmic reticulum retrograde transport pathway as well as anterograde transport which are essential for the maintenance of cellular protein homeostasis.

Alterations in GOSR1 expression or function may relate to neurodegenerative conditions such as Parkinson's disease and metabolic disorders like diabetes. GOSR1's role in vesicle trafficking means its dysfunction can disrupt cellular homeostasis potentially leading to these diseases. It interacts with proteins such as alpha-synuclein in neurodegeneration and may influence insulin granule trafficking in metabolic disorders. Understanding GOSR1's involvement opens potential avenues for therapeutic approaches targeting these conditions.

产品实验方案

For this product, it's our understanding that no specific protocols are required. You can visit:

靶点信息

Involved in transport from the ER to the Golgi apparatus as well as in intra-Golgi transport. It belongs to a super-family of proteins called t-SNAREs or soluble NSF (N-ethylmaleimide-sensitive factor) attachment protein receptor. May play a protective role against hydrogen peroxide induced cytotoxicity under glutathione depleted conditions in neuronal cells by regulating the intracellular ROS levels via inhibition of p38 MAPK (MAPK11, MAPK12, MAPK13 and MAPK14). Participates in docking and fusion stage of ER to cis-Golgi transport. Plays an important physiological role in VLDL-transport vesicle-Golgi fusion and thus in VLDL delivery to the hepatic cis-Golgi.
See full target information GOSR1

文献 (1)

Recent publications for all applications. Explore the full list and refine your search

Nature cancer 2:545-562 PubMed35122017

2021

Neutrophil oxidative stress mediates obesity-associated vascular dysfunction and metastatic transmigration.

Applications

Unspecified application

Species

Unspecified reactive species

Sheri A C McDowell,Robin B E Luo,Azadeh Arabzadeh,Samuel Doré,Nicolas C Bennett,Valérie Breton,Elham Karimi,Morteza Rezanejad,Ryan R Yang,Katherine D Lach,Marianne S M Issac,Bozena Samborska,Lucas J M Perus,Dan Moldoveanu,Yuhong Wei,Benoit Fiset,Roni F Rayes,Ian R Watson,Lawrence Kazak,Marie-Christine Guiot,Pierre O Fiset,Jonathan D Spicer,Andrew J Dannenberg,Logan A Walsh,Daniela F Quail
View all publications

Abcam Product Promise

我们致力于为您的研究提供高质量的试剂,为您科研的每一步提供支持。若我们的产品未能达到预期性能,我们向您提供 Abcam Product Promise 保障。
详情请参阅我们的条款与条件。

Please note: All products are 'FOR RESEARCH USE ONLY. NOT FOR USE IN DIAGNOSTIC OR THERAPEUTIC PROCEDURES'.

For licensing inquiries, please contact partnerships@abcam.com