JavaScript is disabled in your browser. Please enable JavaScript to view this website.
AB234981

Anti-GNPNAT1 抗体

Anti-GNPNAT1 antibody

Be the first to review this product! Submit a review

|

(3 Publications)

Rabbit Polyclonal GNPNAT1 antibody. Suitable for WB, IHC-P and reacts with Mouse, Human samples. Cited in 3 publications. Immunogen corresponding to Recombinant Full Length Protein corresponding to Human GNPNAT1.

查看别名

GNA1, GNPNAT1, Glucosamine 6-phosphate N-acetyltransferase, Phosphoglucosamine acetylase, Phosphoglucosamine transacetylase

3 Images
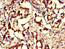
Immunohistochemistry (Formalin/PFA-fixed paraffin-embedded sections) - Anti-GNPNAT1 antibody (AB234981)
  • IHC-P

Supplier Data

Immunohistochemistry (Formalin/PFA-fixed paraffin-embedded sections) - Anti-GNPNAT1 antibody (AB234981)

Paraffin-embedded human lung cancer tissue stained for GNPNAT1 with ab234981 at 1/100 dilution in immunohistochemical analysis.

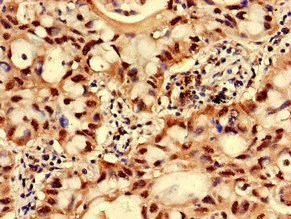
Immunohistochemistry (Formalin/PFA-fixed paraffin-embedded sections) - Anti-GNPNAT1 antibody (AB234981)
  • IHC-P

Supplier Data

Immunohistochemistry (Formalin/PFA-fixed paraffin-embedded sections) - Anti-GNPNAT1 antibody (AB234981)

Paraffin-embedded human gastric cancer tissue stained for GNPNAT1 with ab234981 at 1/100 dilution in immunohistochemical analysis.

Western blot - Anti-GNPNAT1 antibody (AB234981)
  • WB

Supplier Data

Western blot - Anti-GNPNAT1 antibody (AB234981)

All lanes:

Western blot - Anti-GNPNAT1 antibody (ab234981) at 1/500 dilution

Lane 1:

MCF7 (human breast adenocarcinoma cell line) whole cell lysate

Lane 2:

Mouse liver tissue lysate

Lane 3:

Mouse kidney tissue lysate

Lane 4:

Mouse stomach tissue lysate

Secondary

All lanes:

Goat polyclonal to rabbit IgG at 1/50000 dilution

Predicted band size: 21 kDa

false

关键信息

宿主种属

Rabbit

克隆

Polyclonal

亚型

IgG

不含载体蛋白

No

反应种属

Mouse, Human

应用

WB, IHC-P

applications

免疫原

Recombinant Full Length Protein corresponding to Human GNPNAT1.

Q96EK6

反应性数据

{ "title": "Reactivity Data", "filters": { "stats": ["", "Species", "Dilution Info", "Notes"], "tabs": { "all-applications": {"fullname" : "All Applications", "shortname": "All Applications"}, "WB" : {"fullname" : "Western blot", "shortname":"WB"}, "IHCP" : {"fullname" : "Immunohistochemistry (Formalin/PFA-fixed paraffin-embedded sections)", "shortname":"IHC-P"} }, "product-promise": { "all": "all", "testedAndGuaranteed": "tested", "guaranteed": "expected", "predicted": "predicted", "notRecommended": "not-recommended" } }, "values": { "Human": { "WB-species-checked": "testedAndGuaranteed", "WB-species-dilution-info": "1/500 - 1/5000", "WB-species-notes": "<p></p>", "IHCP-species-checked": "testedAndGuaranteed", "IHCP-species-dilution-info": "1/20 - 1/200", "IHCP-species-notes": "<p></p>" }, "Mouse": { "WB-species-checked": "testedAndGuaranteed", "WB-species-dilution-info": "500-5000 µg/mL", "WB-species-notes": "<p></p>", "IHCP-species-checked": "guaranteed", "IHCP-species-dilution-info": "", "IHCP-species-notes": "" }, "Orangutan": { "WB-species-checked": "predicted", "WB-species-dilution-info": "", "WB-species-notes": "", "IHCP-species-checked": "predicted", "IHCP-species-dilution-info": "", "IHCP-species-notes": "" } } }

性能和储存信息

形式
Liquid
纯化工艺
Affinity purification Protein G
纯化说明
Purity >95%.
存储溶液
pH: 7.4 Preservative: 0.03% Proclin 300 Constituents: PBS, 50% Glycerol (glycerin, glycerine)
运输条件
Blue Ice
推荐的短期储存时间
1-2 weeks
推荐的短期储存条件
+4°C
推荐的长期储存条件
-20°C
分装信息
Upon delivery aliquot
储存信息
Avoid freeze / thaw cycle

补充信息

This supplementary information is collated from multiple sources and compiled automatically.

GNPNAT1 also known as Glucosamine-phosphate N-acetyltransferase plays a mechanical role as an enzyme in the biosynthesis of UDP-N-acetylglucosamine. This enzyme facilitates the transfer of an acetyl group from acetyl-CoA to glucosamine-6-phosphate forming N-acetylglucosamine-6-phosphate. With a molecular mass of approximately 26 kDa GNPNAT1 expresses in various tissues with significant levels detected in the liver and kidney among other organs.
Biological function summary

GNPNAT1 participates in the hexosamine biosynthetic pathway functioning in cellular processes like protein glycosylation. This protein does not act alone; it interacts with other enzymes to complete its function. GNPNAT1 activity influences the supply of N-acetyl-D-glucosamine an essential substrate for glycoprotein and glycolipid synthesis integral for proper cell signaling and structural firmness.

Pathways

GNPNAT1 plays a critical role in metabolic pathways particularly influencing the hexosamine biosynthetic pathway. This pathway connects to several metabolic networks including the production of glycosaminoglycans. It orchestrates with enzymes like glutamine fructose-6-phosphate amidotransferase (GFAT) to regulate the flux of substrates into these pathways therefore impacting energy metabolism and nutrient sensing.

GNPNAT1 implicates in conditions such as cancer and metabolic disorders. Abnormalities in its expression or function can lead to increased risks of various cancer types possibly due to disrupted glycosylation pathways affecting cell growth and adhesion. In diabetes the relationship between GNPNAT1 and GFAT might influence the development of insulin resistance highlighting its impact on glucose metabolism regulation.

产品实验方案

For this product, it's our understanding that no specific protocols are required. You can visit:

文献 (3)

Recent publications for all applications. Explore the full list and refine your search

Advanced science (Weinheim, Baden-Wurttemberg, Germany) 12:e2416590 PubMed40298908

2025

Nuclear-Localized BCKDK Facilitates Homologous Recombination Repair to Support Breast Cancer Progression and Therapy Resistance.

Applications

Unspecified application

Species

Unspecified reactive species

Haiying Liu,Jiaqian Feng,Tingting Pan,Pinggen Zhang,Ling Ye,Zetan Jiang,Zilong Zhou,Qiankun Mao,Jian Li,Xinyi Yang,Ping Gao,De Huang,Huafeng Zhang

Journal of clinical laboratory analysis 36:e24628 PubMed35929347

2022

Glucosamine-phosphate N-acetyltransferase 1 and its DNA methylation can be biomarkers for the diagnosis and prognosis of lung cancer.

Applications

Unspecified application

Species

Unspecified reactive species

Peikun Ding,Bin Peng,Guofeng Li,Xuefeng Sun,Guangsuo Wang

Journal of personalized medicine 11: PubMed34442440

2021

A Novel Approach for the Discovery of Biomarkers of Radiotherapy Response in Breast Cancer.

Applications

Unspecified application

Species

Unspecified reactive species

James Meehan,Mark Gray,Carlos Martínez-Pérez,Charlene Kay,Jimi C Wills,Ian H Kunkler,J Michael Dixon,Arran K Turnbull
View all publications

Abcam Product Promise

我们致力于为您的研究提供高质量的试剂,为您科研的每一步提供支持。若我们的产品未能达到预期性能,我们向您提供 Abcam Product Promise 保障。
详情请参阅我们的条款与条件。

Please note: All products are 'FOR RESEARCH USE ONLY. NOT FOR USE IN DIAGNOSTIC OR THERAPEUTIC PROCEDURES'.

For licensing inquiries, please contact partnerships@abcam.com