JavaScript is disabled in your browser. Please enable JavaScript to view this website.
AB52649

Anti-GM130 抗体 [EP892Y] - cis-Golgi Marker

Anti-GM130 antibody [EP892Y] - cis-Golgi Marker

  • RabMAb
  • Recombinant
  • Lab Essentials
  • 20ul selling size
  • 了解详情

5

(39 Reviews)

|

(385 Publications)

Anti-GM130 antibody [EP892Y] - cis-Golgi Marker (ab52649) is a rabbit monoclonal antibody detecting GM130 in Western Blot, Flow Cytometry (Intra), Flow Cytometry, IP, IHC-P, ICC/IF. Suitable for African green monkey, Dog, Human.

- Biophysical QC for unrivalled batch-batch consistency
- Over 290 publications
- Trusted since 2007

查看别名

Golgin subfamily A member 2, 130 kDa cis-Golgi matrix protein, GM130 autoantigen, Golgin-95, GM130, GOLGA2

12 Images
Immunoprecipitation - Anti-GM130 antibody [EP892Y] - cis-Golgi Marker (AB52649)
  • IP

Unknown

Immunoprecipitation - Anti-GM130 antibody [EP892Y] - cis-Golgi Marker (AB52649)

ab52649 (purified) at 1/20 immunoprecipitating GM130 in HeLa whole cell lysate.

Lane 1 (input) : HeLa whole cell lysate (10μg)

Lane 2 (+) : ab52649 + HeLa whole cell lysate (10μg).

Lane 3 (-) : Rabbit monoclonal IgG (ab172730) instead of ab52649 in HeLa whole cell lysate.

For western blotting, VeriBlot for IP Detection Reagent (HRP) (ab131366), was used for detection at 1/1500 dilution.

Blocking buffer and concentration : 5% NFDM/TBST.

Diluting buffer and concentration : 5% NFDM /TBST.

All lanes:

Immunoprecipitation - Anti-GM130 antibody [EP892Y] - cis-Golgi Marker (ab52649)

Lane 1:

HeLa whole cell lysate at 10 µg

Lane 2:

ab52649 + HeLa whole cell lysate at 10 µg

Lane 3:

Rabbit monoclonal IgG (<a href='/products/primary-antibodies/rabbit-igg-monoclonal-epr25a-isotype-control-ab172730'>ab172730</a>) instead of ab52649 in HeLa whole cell lysate

Predicted band size: 113 kDa

Observed band size: 130 kDa

false

Immunocytochemistry/ Immunofluorescence - Anti-GM130 antibody [EP892Y] - cis-Golgi Marker (AB52649)
  • ICC/IF

Lab

Immunocytochemistry/ Immunofluorescence - Anti-GM130 antibody [EP892Y] - cis-Golgi Marker (AB52649)

ICC/IF image of unpurified ab52946 stained HeLa cells. The cells were 4% PFA fixed (10 min) and then incubated in 1% BSA / 10% normal goat serum / 0.3M glycine in 0.1% PBS-Tween for 1h to permeabilise the cells and block non-specific protein-protein interactions. The cells were then incubated with the antibody (unpurified ab52946, 1μg/ml) overnight at +4°C. The secondary antibody (green) was DyLight® 488 goat anti-rabbit IgG - H&L, pre-adsorbed (ab96899) used at a 1/250 dilution for 1h. Alexa Fluor® 594 WGA was used to label plasma membranes (red) at a 1/200 dilution for 1h. DAPI was used to stain the cell nuclei (blue) at a concentration of 1.43μM.

Immunocytochemistry/ Immunofluorescence - Anti-GM130 antibody [EP892Y] - cis-Golgi Marker (AB52649)
  • ICC/IF

Unknown

Immunocytochemistry/ Immunofluorescence - Anti-GM130 antibody [EP892Y] - cis-Golgi Marker (AB52649)

Immunocytochemistry/Immunofluorescence analysis of HeLa cells labelling GM130 with purified ab52649 at 1/50. Cells were fixed with 4% paraformaldehyde and permeabilized with 0.1% Triton X-100. ab150077, an Alexa Fluor® 488-conjugated goat anti-rabbit IgG (1/500) was used as the secondary antibody. DAPI (blue) was used as the nuclear counterstain. ab7291, a mouse anti-tubulin (1/1000) and ab150120, an Alexa Fluor® 594-conjugated goat anti-mouse IgG (1/500) were also used.

Control 1 : primary antibody (1/50) and secondary antibody, ab150120, an Alexa Fluor® 594-conjugated goat anti-mouse IgG (1/500).

Control 2 : ab7291 (1/1000) and secondary antibody, ab150077, an Alexa Fluor® 488-conjugated goat anti-rabbit IgG (1/500).

Immunohistochemistry (Formalin/PFA-fixed paraffin-embedded sections) - Anti-GM130 antibody [EP892Y] - cis-Golgi Marker (AB52649)
  • IHC-P

Unknown

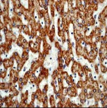
Immunohistochemistry (Formalin/PFA-fixed paraffin-embedded sections) - Anti-GM130 antibody [EP892Y] - cis-Golgi Marker (AB52649)

Immunohistochemistry (Formalin/PFA-fixed paraffin-embedded sections) analysis of human liver tissue labelling GM130 with unpurified ab52649 at a dilution of 1/500.

Perform heat mediated antigen retrieval before commencing with IHC staining protocol.

Immunocytochemistry/ Immunofluorescence - Anti-GM130 antibody [EP892Y] - cis-Golgi Marker (AB52649)
  • ICC/IF

AbReview16956****

Immunocytochemistry/ Immunofluorescence - Anti-GM130 antibody [EP892Y] - cis-Golgi Marker (AB52649)

Unpurified ab52649 staining GM130 in human ARPE-19 cells by ICC/IF (immunocytochemistry/immunofluorescence). Cells were formaldehyde fixed, permeabilized by 0.5% TX-100 and blocked with 5% serum for 20 minutes at 25°C. The sample was incubated with the primary antibody (1/500 in 1% goat serum, 0.1%TX100, 1 x PBS) for 16 hours at 4°C. An Alexa Fluor® 488-conjugated Goat anti-rabbit polyclonal (1/500) was used as the secondary.

This image is courtesy of an Abreview submitted by Vladimir Milenkovic.

Immunohistochemistry (Formalin/PFA-fixed paraffin-embedded sections) - Anti-GM130 antibody [EP892Y] - cis-Golgi Marker (AB52649)
  • IHC-P

Unknown

Immunohistochemistry (Formalin/PFA-fixed paraffin-embedded sections) - Anti-GM130 antibody [EP892Y] - cis-Golgi Marker (AB52649)

Immunohistochemistry (Formalin/PFA-fixed paraffin-embedded sections) analysis of human cervix carcinoma tissue labelling GM130 with purified ab52649 at 1/100. Heat mediated antigen retrieval was performed using Tris/EDTA buffer pH 9. ab97051, a HRP-conjugated goat anti-rabbit IgG (H+L) was used as the secondary antibody (1/500). Negative control using PBS instead of primary antibody. Counterstained with hematoxylin.

Flow Cytometry (Intracellular) - Anti-GM130 antibody [EP892Y] - cis-Golgi Marker (AB52649)
  • Flow Cyt (Intra)

Unknown

Flow Cytometry (Intracellular) - Anti-GM130 antibody [EP892Y] - cis-Golgi Marker (AB52649)

Intracellular Flow Cytometry analysis of HeLa (human cervix adenocarcinoma) cells labeling GM130 (red) with ab52649 at a 1/20 dilution. Cells were fixed with 4% paraformaldehyde and permeabilized with 90% methanol. A goat anti-rabbit IgG (Alexa Fluorr® 488) (ab150077) was used as the secondary antibody at a 1/2000 dilution. Black - Rabbit monoclonal IgG (ab172730). Blue (unlabeled control) - Cells without incubation with the primary and secondary antibodies.

Western blot - Anti-GM130 antibody [EP892Y] - cis-Golgi Marker (AB52649)
  • WB

Unknown

Western blot - Anti-GM130 antibody [EP892Y] - cis-Golgi Marker (AB52649)

All lanes:

Western blot - Anti-GM130 antibody [EP892Y] - cis-Golgi Marker (ab52649) at 1/200000 dilution

All lanes:

HeLa cell lysate at 10 µg

Secondary

All lanes:

HRP-conjugated goat anti-rabbit IgG at 1/2000 dilution

Predicted band size: 113 kDa

false

Western blot - Anti-GM130 antibody [EP892Y] - cis-Golgi Marker (AB52649)
  • WB

Lab

Western blot - Anti-GM130 antibody [EP892Y] - cis-Golgi Marker (AB52649)

Blocking and dilution buffer : 5% NFDM/TBST.

All lanes:

Western blot - Anti-GM130 antibody [EP892Y] - cis-Golgi Marker (ab52649) at 1/1000 dilution

Lane 1:

HeLa cell lysate at 20 µg

Lane 2:

MCF7 cell lysate at 20 µg

Secondary

All lanes:

Peroxidase-conjugated goat anti-rabbit IgG, (H+L) at 1/1000 dilution

Predicted band size: 113 kDa

Observed band size: 130 kDa

false

Western blot - Anti-GM130 antibody [EP892Y] - cis-Golgi Marker (AB52649)
  • WB

AbReview67200****

Western blot - Anti-GM130 antibody [EP892Y] - cis-Golgi Marker (AB52649)

Blocking and dilution buffer : PBS, 0.05% Tween

Exposure : 5 minutes.

All lanes:

Western blot - Anti-GM130 antibody [EP892Y] - cis-Golgi Marker (ab52649) at 1/1000 dilution

All lanes:

COS-7 Cell Line from African green monkey kidney whole cell lysate

Predicted band size: 113 kDa

false

Western blot - Anti-GM130 antibody [EP892Y] - cis-Golgi Marker (AB52649)
  • WB

Lab

Western blot - Anti-GM130 antibody [EP892Y] - cis-Golgi Marker (AB52649)

Blocking and dilution buffer : 5% NFDM/TBST.

All lanes:

Western blot - Anti-GM130 antibody [EP892Y] - cis-Golgi Marker (ab52649) at 1/5000 dilution

Lane 1:

MDCK(NBL-2) cell lysate at 20 µg

Lane 2:

MDCK(BL-1) cell lysate at 20 µg

Lane 3:

COS-1 cell lysate at 20 µg

Secondary

All lanes:

Peroxidase-conjugated goat anti-rabbit IgG, (H+L) at 1/1000 dilution

Predicted band size: 113 kDa

Observed band size: 130 kDa

false

Western blot - Anti-GM130 antibody [EP892Y] - cis-Golgi Marker (AB52649)
  • WB

AbReview20783****

Western blot - Anti-GM130 antibody [EP892Y] - cis-Golgi Marker (AB52649)

Blocking and dilution buffer : 1XPBS-Tween, 5% milk

Exposure : 10 minutes.

All lanes:

Western blot - Anti-GM130 antibody [EP892Y] - cis-Golgi Marker (ab52649) at 1/2500 dilution

All lanes:

MDCK 2 cells at 25 µg

Predicted band size: 113 kDa

true

不同偶联物与剂型 (10)

  • 617 Alexa Fluor® 594

    Alexa Fluor® 594 Anti-GM130 antibody [EP892Y] - cis-Golgi Marker

  • 665 Alexa Fluor® 647

    Alexa Fluor® 647 Anti-GM130 antibody [EP892Y] - cis-Golgi Marker

  • 519 Alexa Fluor® 488

    Alexa Fluor® 488 Anti-GM130 antibody [EP892Y] - cis-Golgi Marker

  • Carrier free

    Anti-GM130 antibody [EP892Y] - BSA and Azide free

  • 578 PE

    PE Anti-GM130 - cis-Golgi Marker antibody [EP892Y]

  • 660 APC

    APC Anti-GM130 - cis-Golgi Marker antibody [EP892Y]

  • HRP

    HRP Anti-GM130 - cis-Golgi Marker antibody [EP892Y]

  • 565 Alexa Fluor® 555

    Alexa Fluor® 555 Anti-GM130 antibody [EP892Y] - cis-Golgi Marker

  • 603 Alexa Fluor® 568

    Alexa Fluor® 568 Anti-GM130 antibody [EP892Y] - cis-Golgi Marker

  • 775 Alexa Fluor® 750

    Alexa Fluor® 750 Anti-GM130 antibody [EP892Y] - cis-Golgi Marker

关键信息

宿主种属

Rabbit

克隆

Monoclonal

克隆号

EP892Y

亚型

IgG

不含载体蛋白

No

反应种属

Dog, Human, African green monkey

应用

IP, Flow Cyt (Intra), IHC-P, ICC/IF, WB

applications

免疫原

The exact immunogen used to generate this antibody is proprietary information.

特异性

Mouse and rat cell lines pc12, 3t3, raw 264.7 were tested positive in WB. However, brain, kidney, spleen and heart were negative from the two species.

反应性数据

{ "title": "Reactivity Data", "filters": { "stats": ["", "Species", "Dilution Info", "Notes"], "tabs": { "all-applications": {"fullname" : "All Applications", "shortname": "All Applications"}, "IP" : {"fullname" : "Immunoprecipitation", "shortname":"IP"}, "WB" : {"fullname" : "Western blot", "shortname":"WB"}, "IHCP" : {"fullname" : "Immunohistochemistry (Formalin/PFA-fixed paraffin-embedded sections)", "shortname":"IHC-P"}, "ICCIF" : {"fullname" : "Immunocytochemistry/ Immunofluorescence", "shortname":"ICC/IF"}, "FlowCytIntra" : {"fullname" : "Flow Cytometry (Intracellular)", "shortname":"Flow Cyt (Intra)"} }, "product-promise": { "all": "all", "testedAndGuaranteed": "tested", "guaranteed": "expected", "predicted": "predicted", "notRecommended": "not-recommended" } }, "values": { "Human": { "IP-species-checked": "testedAndGuaranteed", "IP-species-dilution-info": "1/20 - 1/50", "IP-species-notes": "<p></p>", "WB-species-checked": "testedAndGuaranteed", "WB-species-dilution-info": "1/1000 - 1/10000", "WB-species-notes": "<p></p>", "IHCP-species-checked": "testedAndGuaranteed", "IHCP-species-dilution-info": "1/100 - 1/500", "IHCP-species-notes": "<p>Overnight incubation is recommended.</p>", "ICCIF-species-checked": "testedAndGuaranteed", "ICCIF-species-dilution-info": "1/50 - 1/250", "ICCIF-species-notes": "<p>PFA fixation should be most suitable.</p>", "FlowCytIntra-species-checked": "testedAndGuaranteed", "FlowCytIntra-species-dilution-info": "1/20", "FlowCytIntra-species-notes": "<p></p>" }, "Mouse": { "IP-species-checked": "notRecommended", "IP-species-dilution-info": "1/20 - 1/50", "IP-species-notes": "<p></p>", "WB-species-checked": "notRecommended", "WB-species-dilution-info": "1/1000 - 1/10000", "WB-species-notes": "<p></p>", "IHCP-species-checked": "notRecommended", "IHCP-species-dilution-info": "1/100 - 1/500", "IHCP-species-notes": "<p>Overnight incubation is recommended.</p> Perform heat-mediated antigen retrieval with Tris/EDTA buffer pH 9.0 before commencing with IHC staining protocol.", "ICCIF-species-checked": "notRecommended", "ICCIF-species-dilution-info": "1/50 - 1/250", "ICCIF-species-notes": "<p>PFA fixation should be most suitable.</p>", "FlowCytIntra-species-checked": "notRecommended", "FlowCytIntra-species-dilution-info": "1/20", "FlowCytIntra-species-notes": "<p></p>" }, "Rat": { "IP-species-checked": "notRecommended", "IP-species-dilution-info": "1/20 - 1/50", "IP-species-notes": "<p></p>", "WB-species-checked": "notRecommended", "WB-species-dilution-info": "1/1000 - 1/10000", "WB-species-notes": "<p></p>", "IHCP-species-checked": "notRecommended", "IHCP-species-dilution-info": "1/100 - 1/500", "IHCP-species-notes": "<p>Overnight incubation is recommended.</p> Perform heat-mediated antigen retrieval with Tris/EDTA buffer pH 9.0 before commencing with IHC staining protocol.", "ICCIF-species-checked": "notRecommended", "ICCIF-species-dilution-info": "1/50 - 1/250", "ICCIF-species-notes": "<p>PFA fixation should be most suitable.</p>", "FlowCytIntra-species-checked": "notRecommended", "FlowCytIntra-species-dilution-info": "1/20", "FlowCytIntra-species-notes": "<p></p>" }, "African green monkey": { "IP-species-checked": "guaranteed", "IP-species-dilution-info": "", "IP-species-notes": "", "WB-species-checked": "testedAndGuaranteed", "WB-species-dilution-info": "1/1000 - 1/10000", "WB-species-notes": "<p></p>", "IHCP-species-checked": "guaranteed", "IHCP-species-dilution-info": "", "IHCP-species-notes": "", "ICCIF-species-checked": "guaranteed", "ICCIF-species-dilution-info": "", "ICCIF-species-notes": "", "FlowCytIntra-species-checked": "guaranteed", "FlowCytIntra-species-dilution-info": "", "FlowCytIntra-species-notes": "" }, "Cow": { "IP-species-checked": "notRecommended", "IP-species-dilution-info": "", "IP-species-notes": "", "WB-species-checked": "notRecommended", "WB-species-dilution-info": "", "WB-species-notes": "", "IHCP-species-checked": "notRecommended", "IHCP-species-dilution-info": "", "IHCP-species-notes": "", "ICCIF-species-checked": "notRecommended", "ICCIF-species-dilution-info": "", "ICCIF-species-notes": "", "FlowCytIntra-species-checked": "notRecommended", "FlowCytIntra-species-dilution-info": "", "FlowCytIntra-species-notes": "" }, "Dog": { "IP-species-checked": "guaranteed", "IP-species-dilution-info": "", "IP-species-notes": "", "WB-species-checked": "testedAndGuaranteed", "WB-species-dilution-info": "1/1000 - 1/10000", "WB-species-notes": "<p></p>", "IHCP-species-checked": "guaranteed", "IHCP-species-dilution-info": "", "IHCP-species-notes": "", "ICCIF-species-checked": "guaranteed", "ICCIF-species-dilution-info": "", "ICCIF-species-notes": "", "FlowCytIntra-species-checked": "guaranteed", "FlowCytIntra-species-dilution-info": "", "FlowCytIntra-species-notes": "" }, "Monkey": { "IP-species-checked": "notRecommended", "IP-species-dilution-info": "", "IP-species-notes": "", "WB-species-checked": "notRecommended", "WB-species-dilution-info": "", "WB-species-notes": "", "IHCP-species-checked": "notRecommended", "IHCP-species-dilution-info": "", "IHCP-species-notes": "", "ICCIF-species-checked": "notRecommended", "ICCIF-species-dilution-info": "", "ICCIF-species-notes": "", "FlowCytIntra-species-checked": "notRecommended", "FlowCytIntra-species-dilution-info": "", "FlowCytIntra-species-notes": "" } } }

产品详情

<strong>Product Specifications</strong><br><br>Anti-GM130 antibody [EP892Y] - cis-Golgi Marker (ab52649)  was developed by Abcam using patented rabbit monoclonal antibody technology and is validated for use in Flow Cyt (Intra), ICC/IF, IHC-P, IP, WB in african green monkey, dog, human samples.<br>Anti-GM130 antibody [EP892Y] - cis-Golgi Marker (ab52649) specifically detects GM130  (UniProt ID: Q08379; Molecular weight: 113kDa) and is sold in 100 µL and 1 mL selling sizes. <br><br><strong>Quality and Validation</strong><br><br>Abcam's high quality manufacturing and validation processes ensure Anti-GM130 antibody [EP892Y] - cis-Golgi Marker  (ab52649) has high sensitivity and specificity alongside high lot-to-lot consistency and reproducibility.<br>Anti-GM130 antibody [EP892Y] - cis-Golgi Marker (ab52649) has been cited over 294 times in peer reviewed journals and is trusted by the scientific community.<br>Anti-GM130 antibody [EP892Y] - cis-Golgi Marker (ab52649) has 38 independent reviews from customers.<br><br><strong>Related Products</strong><br>Conjugation-ready, carrier free format available for antibody clone EP892Y - ab215966.<br>Antibody clone EP892Y is also available pre-conjugated to a variety of labels for your convenience - Alexa Fluor® 647, Alexa Fluor® 488, Alexa Fluor® 594, PE, APC, HRP, Alkaline Phosphatase, Alexa Fluor® 555, Alexa Fluor® 568, Alexa Fluor® 750 (ab195303, ab275987, ab277236, ab303011, ab303012, ab303013, ab308664, ab311890, ab312361, ab321664).<br><br>

Explore our range of organelle-specific antibodies and dyes and discover why our reagents are deeply trusted by cell biologists.

Patented technology
Our RabMAb® technology is a patented hybridoma-based technology for making rabbit monoclonal antibodies. For details on our patents, please refer to RabMAb® patents.

What are the advantages of a recombinant monoclonal antibody?
This product is a recombinant monoclonal antibody, which offers several advantages including:

  • - High batch-to-batch consistency and reproducibility
  • - Improved sensitivity and specificity
  • - Long-term security of supply
  • - Animal-free batch production

For more information, read more on recombinant antibodies.

性能和储存信息

形式
Liquid
纯化工艺
Affinity purification Protein A
存储溶液
pH: 7.2 - 7.4 Preservative: 0.01% Sodium azide Constituents: PBS, 40% Glycerol (glycerin, glycerine), 0.05% BSA
运输条件
Blue Ice
推荐的短期储存时间
1-2 weeks
推荐的短期储存条件
+4°C
推荐的长期储存条件
-20°C
分装信息
Upon delivery aliquot
储存信息
Stable for 12 months at -20°C

补充信息

This supplementary information is collated from multiple sources and compiled automatically.

GM130 also known as Golgi matrix protein 130 kDa or GM-130 plays an important role in the organization of the Golgi apparatus. The GM130 protein is vital for maintaining the structure of the Golgi serving as a Golgi marker for researchers. Its molecular weight is approximately 130 kDa. You will commonly find GM130 expressed in cells localizing to the cis-Golgi network. As a Golgi marker it serves as an indication of the integrity and positioning of the Golgi apparatus in the cell.
Biological function summary

GM130 serves as a structural component within the Golgi matrix. It interacts with other proteins such as GRASP65 to form a complex which is essential for Golgi stacking and maintenance of Golgi architecture. This interaction helps regulate transport processes inside cells. GM130 proteins help formation of mini-stacks and transitioning of vesicles. In cells GM130 plays a significant role to maintain efficient protein trafficking through the Golgi network.

Pathways

GM130 interacts with proteins like Rab1 during the vesicular transport pathway. It plays a part in the transport of proteins from the endoplasmic reticulum to the Golgi apparatus. Another related pathway involves SNARE proteins whereby GM130 contributes to membrane docking and fusion events. Through these interactions GM130 modulates the fidelity and specificity of molecular cargo transport within the cell.

GM130 has a connection to neurodegenerative diseases such as frontotemporal dementia. Disruption in GM130 proteins affects Golgi structure and function potentially leading to protein trafficking defects associated with the disorder. GM130 also relates to Alzheimer's disease through its interaction with tau protein. Alterations in GM130's function can influence tau pathology contributing to disease progression.

产品实验方案

For this product, it's our understanding that no specific protocols are required. You can visit:

靶点信息

Peripheral membrane component of the cis-Golgi stack that acts as a membrane skeleton that maintains the structure of the Golgi apparatus, and as a vesicle thether that facilitates vesicle fusion to the Golgi membrane (Probable) (PubMed : 16489344). Required for normal protein transport from the endoplasmic reticulum to the Golgi apparatus and the cell membrane (By similarity). Together with p115/USO1 and STX5, involved in vesicle tethering and fusion at the cis-Golgi membrane to maintain the stacked and inter-connected structure of the Golgi apparatus. Plays a central role in mitotic Golgi disassembly : phosphorylation at Ser-37 by CDK1 at the onset of mitosis inhibits the interaction with p115/USO1, preventing tethering of COPI vesicles and thereby inhibiting transport through the Golgi apparatus during mitosis (By similarity). Also plays a key role in spindle pole assembly and centrosome organization (PubMed : 26165940). Promotes the mitotic spindle pole assembly by activating the spindle assembly factor TPX2 to nucleate microtubules around the Golgi and capture them to couple mitotic membranes to the spindle : upon phosphorylation at the onset of mitosis, GOLGA2 interacts with importin-alpha via the nuclear localization signal region, leading to recruit importin-alpha to the Golgi membranes and liberate the spindle assembly factor TPX2 from importin-alpha. TPX2 then activates AURKA kinase and stimulates local microtubule nucleation. Upon filament assembly, nascent microtubules are further captured by GOLGA2, thus linking Golgi membranes to the spindle (PubMed : 19242490, PubMed : 26165940). Regulates the meiotic spindle pole assembly, probably via the same mechanism (By similarity). Also regulates the centrosome organization (PubMed : 18045989, PubMed : 19109421). Also required for the Golgi ribbon formation and glycosylation of membrane and secretory proteins (PubMed : 16489344, PubMed : 17314401).
See full target information Golgin subfamily A member 2

文献 (385)

Recent publications for all applications. Explore the full list and refine your search

RSC chemical biology 6:1787-1796 PubMed41019783

2025

Profiling polyamine-protein interactions in live cells through photoaffinity labeling.

Applications

Unspecified application

Species

Unspecified reactive species

Maciej Zakrzewski,Zuzanna Sas,Benjamin Cocom-Chan,Moh Egy Rahman Firdaus,Marcin Kałek,Karolina Szczepanowska,Piotr Gerlach,Anna Marusiak,Remigiusz A Serwa

Science advances 11:eadt0703 PubMed40737424

2025

LARGE protein drives activity-induced homeostatic resetting.

Applications

Unspecified application

Species

Unspecified reactive species

Bo Am Seo,Han-Byeol Kim,Chau Cat Tuong,Hong-Rae Kim,Fazliddin Dustov,Seung-Hyun Lee,Se-Young Choi,Myoung-Goo Kang

PLoS biology 23:e3003261 PubMed40700448

2025

Legionella effector LpPIP recruits protein phosphatase 1 to the mitochondria to induce dephosphorylation of outer membrane proteins.

Applications

Unspecified application

Species

Unspecified reactive species

Kai-Qi Yek,Evie R Hodgson,Ching-Seng Ang,Catherine S Palmer,Ann E Frazier,Hayley J Newton,Diana Stojanovski

Journal of extracellular biology 4:e70069 PubMed40698014

2025

Extracellular Vesicle Mitochondrial DNA Levels Are Associated With Chronic Kidney Disease and Mitochondrial Haplogroup in Obese Individuals.

Applications

Unspecified application

Species

Unspecified reactive species

Jaida E Morgan,Nicole Noren Hooten,Nicolle A Mode,Ngozi Ezike,Alan B Zonderman,Michele K Evans

mBio 16:e0167525 PubMed40689642

2025

Host sphingolipids support liver stage development.

Applications

Unspecified application

Species

Unspecified reactive species

Erin A Schroeder,Isabel C Colón,Porter E Petruzziello,Emily R Derbyshire

Frontiers in molecular neuroscience 18:1588007 PubMed40547480

2025

Non-invasive biomarkers for brain aging: the role of autophagy-related microRNAs in plasma exosomes.

Applications

Unspecified application

Species

Unspecified reactive species

Qian Cheng,Shuyi Yu,Zhikang Cui,Hang Chen,Jing Fan,Qian Yu,Yan Jin,Yunshan Wang,Ming Li,Zhiming Lu

Journal of extracellular vesicles 14:e70091 PubMed40545975

2025

Extracellular Vesicles From Prostate Cancer-Corrupted Osteoclasts Drive a Chain Reaction of Inflammatory Osteolysis and Tumour Progression at the Bone Metastatic Site.

Applications

Unspecified application

Species

Unspecified reactive species

Takaaki Tamura,Tomofumi Yamamoto,Akiko Kogure,Yusuke Yoshioka,Yusuke Yamamoto,Shinichi Sakamoto,Tomohiko Ichikawa,Takahiro Ochiya

Journal of extracellular vesicles 14:e70088 PubMed40511723

2025

Enhanced Early Detection of Colorectal Cancer via Blood Biomarker Combinations Identified Through Extracellular Vesicle Isolation and Artificial Intelligence Analysis.

Applications

Unspecified application

Species

Unspecified reactive species

Bonhan Koo,Young Il Kim,Minju Lee,Seok-Byung Lim,Yong Shin

iScience 28:112661 PubMed40502707

2025

Telomere attrition alters extracellular vesicles conferring adverse impacts on neuronal viability and inflammatory response.

Applications

Unspecified application

Species

Unspecified reactive species

Yi Gong,Yunong Wang,Francheska Delgado-Peraza,Carlos Nogueras-Ortiz,Nicole Noren Hooten,Deborah L Croteau,Mithlesh Temre,Abigail E Molnar,Monica Bodogai,Ainslee Zou,Kotb Abdelmohsen,Wei Zhu,Yongqing Zhang,Myriam Gorospe,Nan-Ping Weng,Michele K Evans,Dimitrios Kapogiannis,Yie Liu

Signal transduction and targeted therapy 10:157 PubMed40360476

2025

Exosomal transfer of pro-pyroptotic miR-216a-5p exacerbates anthracycline cardiotoxicity through breast cancer-heart pathological crosstalk.

Applications

Unspecified application

Species

Unspecified reactive species

Yan Ma,Yongjun Wang,Renzheng Chen,Yabin Wang,Yan Fang,Cheng Qin,Tianhu Wang,Xiaoying Shen,Tingwen Zhou,Lei Tian,Ting Sun,Li Fan,Xiaoning Wang,Dong Han,Feng Cao
View all publications

Abcam Product Promise

我们致力于为您的研究提供高质量的试剂,为您科研的每一步提供支持。若我们的产品未能达到预期性能,我们向您提供 Abcam Product Promise 保障。
详情请参阅我们的条款与条件。

Please note: All products are 'FOR RESEARCH USE ONLY. NOT FOR USE IN DIAGNOSTIC OR THERAPEUTIC PROCEDURES'.

For licensing inquiries, please contact partnerships@abcam.com