JavaScript is disabled in your browser. Please enable JavaScript to view this website.
AB240995

重组Anti-Glypican 3抗体[EPR20569] - BSA and Azide free

Anti-Glypican 3 antibody [EPR20569] - BSA and Azide free

Be the first to review this product! Submit a review

|

(0 Publication)

Rabbit Recombinant Monoclonal Glypican 3 antibody. Carrier free. Suitable for IP, WB, ICC/IF, Flow Cyt (Intra), IHC-P and reacts with Human samples.

查看别名

OCI5, GPC3, Glypican-3, GTR2-2, Intestinal protein OCI-5, MXR7

6 Images
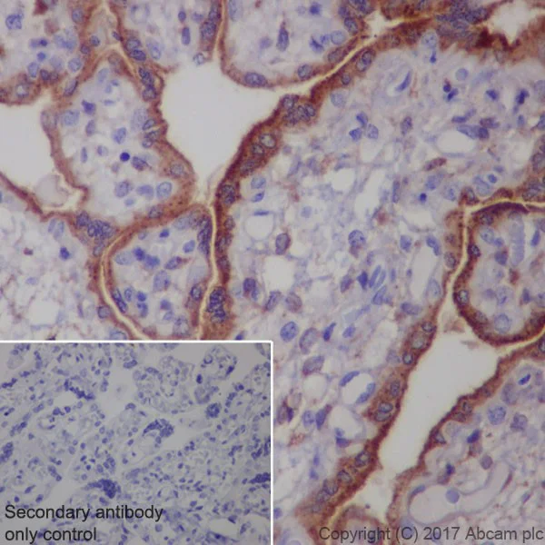
Immunohistochemistry (Formalin/PFA-fixed paraffin-embedded sections) - Anti-Glypican 3 antibody [EPR20569] - BSA and Azide free (AB240995)
  • IHC-P

Supplier Data

Immunohistochemistry (Formalin/PFA-fixed paraffin-embedded sections) - Anti-Glypican 3 antibody [EPR20569] - BSA and Azide free (AB240995)

Immunohistochemical analysis of paraffin-embedded human placenta tissue labeling Glypican 3 with ab207080 at 1/500 dilution, followed by Goat Anti-Rabbit IgG H&L (HRP) ready to use. Positive staining on human placenta (PMID : 12788060; PMID : 11193214). Counter stained with Hematoxylin.

Secondary antibody only control : Used PBS instead of primary antibody, secondary antibody is Goat Anti-Rabbit IgG H&L (HRP) ready to use.

This data was developed using the same antibody clone in a different buffer formulation containing PBS, BSA, glycerol, and sodium azide (ab207080)

Perform heat mediated antigen retrieval with Tris/EDTA buffer pH 9.0 before commencing with IHC staining protocol.

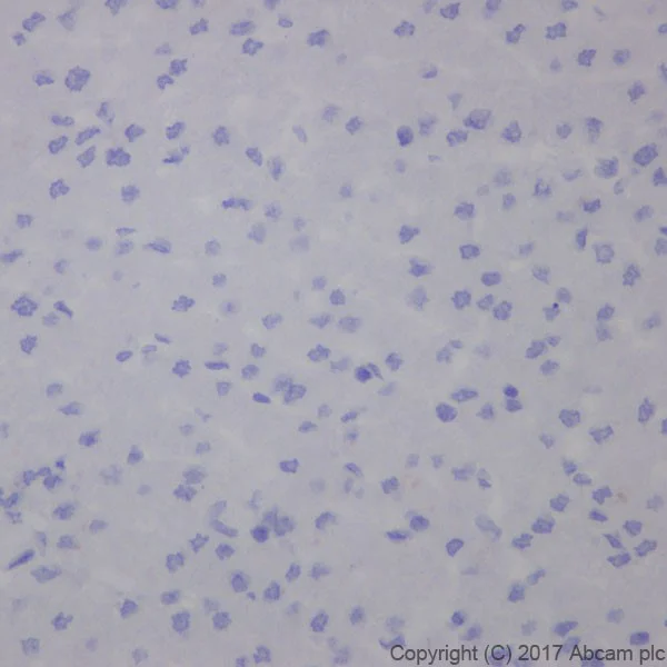
Immunohistochemistry (Formalin/PFA-fixed paraffin-embedded sections) - Anti-Glypican 3 antibody [EPR20569] - BSA and Azide free (AB240995)
  • IHC-P

Supplier Data

Immunohistochemistry (Formalin/PFA-fixed paraffin-embedded sections) - Anti-Glypican 3 antibody [EPR20569] - BSA and Azide free (AB240995)

Immunohistochemical analysis of paraffin-embedded human liver tissue labeling Glypican 3 with ab207080 at 1/500 dilution, followed by Goat Anti-Rabbit IgG H&L (HRP) ready to use.

Negative control : No staining on human liver (PMID : 12788060).

Counter stained with Hematoxylin.

This data was developed using the same antibody clone in a different buffer formulation containing PBS, BSA, glycerol, and sodium azide (ab207080)

Perform heat mediated antigen retrieval with Tris/EDTA buffer pH 9.0 before commencing with IHC staining protocol.

Immunocytochemistry/ Immunofluorescence - Anti-Glypican 3 antibody [EPR20569] - BSA and Azide free (AB240995)
  • ICC/IF

Supplier Data

Immunocytochemistry/ Immunofluorescence - Anti-Glypican 3 antibody [EPR20569] - BSA and Azide free (AB240995)

Immunofluorescent analysis of 100% methanol-fixed HepG2 (human liver hepatocellular carcinoma cell line) cells labeling Glypican 3 with ab207080 at 1/500 dilution, followed by Goat Anti-Rabbit IgG H&L (Alexa Fluor® 488) (ab150077) secondary antibody at 1/1000 dilution (green). Confocal image showing membranous staining on HepG2 cell line.

The nuclear counter stain is DAPI (blue). Tubulin is detected with Anti-alpha Tubulin antibody [DM1A] - Microtubule Marker (Alexa Fluor® 594) (ab195889) (red) at 1/200 dilution.

Secondary antibody only control : Used PBS instead of primary antibody, secondary antibody is Goat Anti-Rabbit IgG H&L (Alexa Fluor® 488) (ab150077) secondary antibody at 1/1000 dilution.

Negative control : Raji (PMID : 9371521).

This data was developed using the same antibody clone in a different buffer formulation containing PBS, BSA, glycerol, and sodium azide (ab207080)

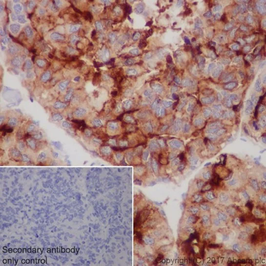
Immunohistochemistry (Formalin/PFA-fixed paraffin-embedded sections) - Anti-Glypican 3 antibody [EPR20569] - BSA and Azide free (AB240995)
  • IHC-P

Supplier Data

Immunohistochemistry (Formalin/PFA-fixed paraffin-embedded sections) - Anti-Glypican 3 antibody [EPR20569] - BSA and Azide free (AB240995)

Immunohistochemical analysis of paraffin-embedded human hepatocellular cancer tissue labeling Glypican 3 with ab207080 at 1/500 dilution, followed by Goat Anti-Rabbit IgG H&L (HRP) ready to use. Positive staining on human hepatocellular cancer (PMID : 12788060). Counter stained with Hematoxylin.

Secondary antibody only control : Used PBS instead of primary antibody, secondary antibody is Goat Anti-Rabbit IgG H&L (HRP) ready to use.

This data was developed using the same antibody clone in a different buffer formulation containing PBS, BSA, glycerol, and sodium azide (ab207080)

Perform heat mediated antigen retrieval with Tris/EDTA buffer pH 9.0 before commencing with IHC staining protocol.

Flow Cytometry (Intracellular) - Anti-Glypican 3 antibody [EPR20569] - BSA and Azide free (AB240995)
  • Flow Cyt (Intra)

Supplier Data

Flow Cytometry (Intracellular) - Anti-Glypican 3 antibody [EPR20569] - BSA and Azide free (AB240995)

Left panel - Negative control : Intracellular flow cytometric analysis of 4% paraformaldehyde-fixed Raji (human Burkitt's lymphoma) cell line labeling Glypican 3 with ab207080 at 1/500 dilution (red) compared with a Rabbit IgG, monoclonal [EPR25A] - Isotype Control (ab172730) (black) and an unlabeled control (cells without incubation with primary antibody and secondary antibody) (blue). Goat Anti-Rabbit IgG H&L (Alexa Fluor® 488) at 1/2000 dilution was used as the secondary antibody.

Right panel : Intracellular flow cytometric analysis of 4% paraformaldehyde-fixed HepG2 (human liver hepatocellular carcinoma cell line) cell line labeling Glypican 3 with ab207080 at 1/500 dilution (red) compared with a Rabbit IgG, monoclonal [EPR25A] - Isotype Control (ab172730) (black) and an unlabeled control (cells without incubation with primary antibody and secondary antibody) (blue). Goat Anti-Rabbit IgG H&L (Alexa Fluor® 488) at 1/2000 dilution was used as the secondary antibody.

This data was developed using the same antibody clone in a different buffer formulation containing PBS, BSA, glycerol, and sodium azide (ab207080)

Immunoprecipitation - Anti-Glypican 3 antibody [EPR20569] - BSA and Azide free (AB240995)
  • IP

Lab

Immunoprecipitation - Anti-Glypican 3 antibody [EPR20569] - BSA and Azide free (AB240995)

This data was developed using ab207080, the same antibody clone in a different buffer formulation.
Purified ab207080 at 1/40 dilution (2μg) immunoprecipitating Glypican 3 in HepG2 whole cell lysate.
Lane 1 (input) : HepG2 (human hepatocellular carcinoma epithelial cell), whole cell lysate 10 μg
Lane 2 (+) : ab207080 + HepG2 whole cell lysate.
Lane 3 (-) : Rabbit monoclonal IgG (ab172730) instead of ab207080 in HepG2 whole cell lysate.
VeriBlot for IP Detection Reagent (HRP) (ab131366) (1/10,000 dilution) was used for Western blotting.
Blocking Buffer and concentration : 5% NFDM/TBST.
Diluting buffer and concentration : 5% NFDM/TBST.
Observed band size : 40,70 kDa

All lanes:

Immunoprecipitation - Anti-Glypican 3 antibody [EPR20569] (<a href='/products/primary-antibodies/glypican-3-antibody-epr20569-ab207080'>ab207080</a>)

Predicted band size: 66 kDa

false

不同偶联物与剂型 (1)

关键信息

宿主种属

Rabbit

克隆

Monoclonal

克隆号

EPR20569

亚型

IgG

不含载体蛋白

Yes

反应种属

Human

应用

WB, ICC/IF, Flow Cyt (Intra), IHC-P, IP

applications

免疫原

The exact immunogen used to generate this antibody is proprietary information.

反应性数据

{ "title": "Reactivity Data", "filters": { "stats": ["", "Species", "Dilution Info", "Notes"], "tabs": { "all-applications": {"fullname" : "All Applications", "shortname": "All Applications"}, "IP" : {"fullname" : "Immunoprecipitation", "shortname":"IP"}, "WB" : {"fullname" : "Western blot", "shortname":"WB"}, "ICCIF" : {"fullname" : "Immunocytochemistry/ Immunofluorescence", "shortname":"ICC/IF"}, "FlowCytIntra" : {"fullname" : "Flow Cytometry (Intracellular)", "shortname":"Flow Cyt (Intra)"}, "IHCP" : {"fullname" : "Immunohistochemistry (Formalin/PFA-fixed paraffin-embedded sections)", "shortname":"IHC-P"} }, "product-promise": { "all": "all", "testedAndGuaranteed": "tested", "guaranteed": "expected", "predicted": "predicted", "notRecommended": "not-recommended" } }, "values": { "Human": { "IP-species-checked": "testedAndGuaranteed", "IP-species-dilution-info": "", "IP-species-notes": "<p></p>", "WB-species-checked": "guaranteed", "WB-species-dilution-info": "", "WB-species-notes": "<p></p>", "ICCIF-species-checked": "testedAndGuaranteed", "ICCIF-species-dilution-info": "", "ICCIF-species-notes": "<p></p>", "FlowCytIntra-species-checked": "testedAndGuaranteed", "FlowCytIntra-species-dilution-info": "", "FlowCytIntra-species-notes": "<p></p>", "IHCP-species-checked": "testedAndGuaranteed", "IHCP-species-dilution-info": "", "IHCP-species-notes": "<p></p>" } } }

您可能对以下产品感兴趣:

AB267640

Human Glypican 3 ELISA Kit

0

0 Reviews

查看产品
为什么推荐这个?

我们推荐这个产品,因为它经常被用于相同的实验或相关的研究。

我们建议您务必查阅产品说明书,以确认其是否符合您的实验需求;若有疑问,也可联系我们的技术团队获取协助。

产品详情

性能和储存信息

形式
Liquid
纯化工艺
Affinity purification Protein A
存储溶液
pH: 7.2 - 7.4 Constituents: PBS
运输条件
Blue Ice
推荐的短期储存条件
+4°C
推荐的长期储存条件
+4°C
储存信息
Do Not Freeze

补充信息

This supplementary information is collated from multiple sources and compiled automatically.

Glypican 3 also known as GPC3 is a cell surface heparan sulfate proteoglycan with a core protein mass of approximately 70 kDa. This target is anchored to the external cell membrane through a glycosylphosphatidylinositol (GPI) anchor. Glypican 3 is expressed mainly in tissues such as the liver and kidneys and plays a role in modulating cell growth and development. In research studies it is often studied in various species including in the mouse and cynomolgus monkey models where it's referred to as mouse glypican 3 and cynomolgus glypican 3 respectively.
Biological function summary

Glypican 3 is involved in the modulation of signaling pathways that control cell proliferation and differentiation. It does not function as an isolated element; it has a role as part of a complex network that interacts with growth factors morphogens and other proteoglycans. Glypican 3 assists in the regulation of important biological events by influencing the accessibility and activity of signaling molecules on the cell surface. Its heparan sulfate chains interact with multiple proteins modifying their function and availability.

Pathways

Glypican 3 plays a significant part in the Wnt and Hedgehog signaling pathways. In the Wnt pathway it regulates the distribution and gradient formation of Wnt proteins which are essential for proper embryonic development. In the Hedgehog pathway glypican 3 modulates the distribution and activity of Hedgehog proteins important for tissue patterning and organogenesis. Other proteins closely related to glypican 3 in these pathways include those from the frizzled family in the Wnt pathway and Patched proteins in the Hedgehog pathway.

Glypican 3 has a strong connection to hepatocellular carcinoma (HCC) and Simpson-Golabi-Behmel syndrome (SGBS). In HCC increased expression of glypican 3 is often observed which associates it with tumor growth and proliferation. It functions alongside other oncogenic factors like alpha-fetoprotein (AFP) which is another marker for liver cancer. In SGBS mutations in the GPC3 gene result in defects in cellular signaling pathways leading to developmental abnormalities. This syndrome highlights the impact of glypican 3 on growth regulation and its interactions with insulin-like growth factors (IGFs).

产品实验方案

For this product, it's our understanding that no specific protocols are required. You can visit:

靶点信息

Cell surface proteoglycan (PubMed : 14610063). Negatively regulates the hedgehog signaling pathway when attached via the GPI-anchor to the cell surface by competing with the hedgehog receptor PTC1 for binding to hedgehog proteins (By similarity). Binding to the hedgehog protein SHH triggers internalization of the complex by endocytosis and its subsequent lysosomal degradation (By similarity). Positively regulates the canonical Wnt signaling pathway by binding to the Wnt receptor Frizzled and stimulating the binding of the Frizzled receptor to Wnt ligands (PubMed : 16227623, PubMed : 24496449). Positively regulates the non-canonical Wnt signaling pathway (By similarity). Binds to CD81 which decreases the availability of free CD81 for binding to the transcriptional repressor HHEX, resulting in nuclear translocation of HHEX and transcriptional repression (By similarity). Inhibits the dipeptidyl peptidase activity of DPP4 (PubMed : 17549790). Plays a role in limb patterning and skeletal development by controlling the cellular response to BMP4 (By similarity). Modulates the effects of growth factors BMP2, BMP7 and FGF7 on renal branching morphogenesis (By similarity). Required for coronary vascular development (By similarity). Plays a role in regulating cell movements during gastrulation (By similarity).
See full target information GPC3

Abcam Product Promise

我们致力于为您的研究提供高质量的试剂,为您科研的每一步提供支持。若我们的产品未能达到预期性能,我们向您提供 Abcam Product Promise 保障。
详情请参阅我们的条款与条件。

关联产品

Select an associated product type
Alternative Product
Primary Antibodies

AB219313

Anti-Glypican 3 antibody [rGPC3/863]

primary-antibodies

glypican-3-antibody-rgpc3-863-ab219313

0

(0 reviews)

Alternative Product
Primary Antibodies

AB216606

Anti-Glypican 3 antibody [GPC3/863]

primary-antibodies

glypican-3-antibody-gpc3-863-ab216606

0

(0 reviews)

Alternative Product
Primary Antibodies

AB218874

Anti-Glypican 3 antibody [GPC3/1534R] - BSA and Azide free

primary-antibodies

glypican-3-antibody-gpc3-1534r-bsa-and-azide-free-ab218874

0

(0 reviews)

Alternative Product
Primary Antibodies

AB212411

Anti-Glypican 3 antibody [GPC3/863] - BSA and Azide free

primary-antibodies

glypican-3-antibody-gpc3-863-bsa-and-azide-free-ab212411

0

(0 reviews)

Alternative Product
Primary Antibodies

AB81263

Anti-Glypican 3 antibody

primary-antibodies

glypican-3-antibody-ab81263

0

(0 reviews)

Alternative Product
Primary Antibodies

AB93880

Anti-Glypican 3 antibody

primary-antibodies

glypican-3-antibody-ab93880

0

(0 reviews)

Alternative Product
Primary Antibodies

AB174851

Anti-Glypican 3 antibody [EPR10641]

primary-antibodies

glypican-3-antibody-epr10641-ab174851

0

(0 reviews)

Alternative Product
Primary Antibodies

AB238804

Anti-Glypican 3 antibody [SP86] - BSA and Azide free

primary-antibodies

glypican-3-antibody-sp86-bsa-and-azide-free-ab238804

0

(0 reviews)

Alternative Product
Primary Antibodies

AB124829

Anti-Glypican 3 antibody [EPR5547]

primary-antibodies

glypican-3-antibody-epr5547-ab124829

0

(0 reviews)

Alternative Product
Primary Antibodies

AB95363

Anti-Glypican 3 antibody [SP86]

primary-antibodies

glypican-3-antibody-sp86-ab95363

0

(0 reviews)

Please note: All products are 'FOR RESEARCH USE ONLY. NOT FOR USE IN DIAGNOSTIC OR THERAPEUTIC PROCEDURES'.

For licensing inquiries, please contact partnerships@abcam.com