JavaScript is disabled in your browser. Please enable JavaScript to view this website.
AB81230

重组Anti-Glycogen synthase 1/GYS1 (phospho S641)抗体[EP852Y]

Anti-Glycogen synthase 1/GYS1 (phospho S641) antibody [EP852Y]

4

(5 Reviews)

|

(15 Publications)

Rabbit Recombinant Monoclonal Glycogen synthase 1/GYS1 phospho S641 antibody. Suitable for Dot, WB, IHC-P and reacts with Synthetic peptide, Mouse, Human samples. Cited in 15 publications.

查看别名

GYS, GYS1, Glycogen synthase 1

4 Images
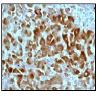
Immunohistochemistry (Formalin/PFA-fixed paraffin-embedded sections) - Anti-Glycogen synthase 1/GYS1 (phospho S641) antibody [EP852Y] (AB81230)
  • IHC-P

Unknown

Immunohistochemistry (Formalin/PFA-fixed paraffin-embedded sections) - Anti-Glycogen synthase 1/GYS1 (phospho S641) antibody [EP852Y] (AB81230)

Immunohistochemical analysis of Human liver tissue using 1/100 ab81230.

Perform heat mediated antigen retrieval with EDTA buffer pH 9 before commencing with IHC staining protocol.

Western blot - Anti-Glycogen synthase 1/GYS1 (phospho S641) antibody [EP852Y] (AB81230)
  • WB

Lab

Western blot - Anti-Glycogen synthase 1/GYS1 (phospho S641) antibody [EP852Y] (AB81230)

Blocking/Diluting buffer and concentration : 5% NFDM/TBST

All lanes:

Western blot - Anti-Glycogen synthase 1/GYS1 (phospho S641) antibody [EP852Y] (ab81230) at 1/2000 dilution

Lane 1:

HeLa (Human epithelial cell line from cervix adenocarcinoma) treated with insulin at 20 ug/mL for 15 minutes. Whole cell lysates at 15 µg

Lane 2:

Untreated HeLa (Human epithelial cell line from cervix adenocarcinoma) whole cell lysates at 15 µg

Lane 3:

Untreated HeLa (Human epithelial cell line from cervix adenocarcinoma) whole cell lysates.Then the membrane was incubated with phosphatase at 15 µg

Secondary

All lanes:

Western blot - Goat Anti-Rabbit IgG H&L (HRP) (<a href='/products/secondary-antibodies/goat-rabbit-igg-h-l-hrp-ab97051'>ab97051</a>) at 1/100000 dilution

Predicted band size: 84 kDa

Observed band size: 85 kDa

false

Exposure time: 1s

Western blot - Anti-Glycogen synthase 1/GYS1 (phospho S641) antibody [EP852Y] (AB81230)
  • WB

Unknown

Western blot - Anti-Glycogen synthase 1/GYS1 (phospho S641) antibody [EP852Y] (AB81230)

All lanes:

Western blot - Anti-Glycogen synthase 1/GYS1 (phospho S641) antibody [EP852Y] (ab81230) at 1/10000 dilution

Lane 1:

Mouse muscle tissue lysate, untreated at 10 µg

Lane 2:

Mouse muscle tissue lysate, treated with AP at 10 µg

Secondary

All lanes:

HRP labeled Goat anti-Rabbit at 1/2000 dilution

Predicted band size: 84 kDa

Observed band size: 85 kDa

false

Dot Blot - Anti-Glycogen synthase 1/GYS1 (phospho S641) antibody [EP852Y] (AB81230)
  • Dot

Unknown

Dot Blot - Anti-Glycogen synthase 1/GYS1 (phospho S641) antibody [EP852Y] (AB81230)

Dot blot analysis of glycogen synthase 1/GYS1 (phospho S641) phospho peptide (Lane 1) and glycogen synthase 1/GYS1 non-phospho peptide (Lane 2) labeling synthase 1 (phospho S641) with ab81230 at a dilution of 1/1000. ab97051 (Peroxidase conjugated goat anti-rabbit IgG) (H+L) at 1/100 000 was used as the secondary antibody.

Blocking and diluting buffer : 5% NFDM/TBST.

Exposure time : 3 minutes.

不同偶联物与剂型 (1)

  • Carrier free

    Anti-Glycogen synthase 1/GYS1 (phospho S641) antibody [EP852Y] - BSA and Azide free

关键信息

宿主种属

Rabbit

克隆

Monoclonal

克隆号

EP852Y

亚型

IgG

不含载体蛋白

No

反应种属

Mouse, Human

应用

IHC-P, WB, Dot

applications

免疫原

The exact immunogen used to generate this antibody is proprietary information.

反应性数据

{ "title": "Reactivity Data", "filters": { "stats": ["", "Species", "Dilution Info", "Notes"], "tabs": { "all-applications": {"fullname" : "All Applications", "shortname": "All Applications"}, "FlowCyt" : {"fullname" : "Flow Cytometry", "shortname":"Flow Cyt"}, "Dot" : {"fullname" : "Dot Blot", "shortname":"Dot"}, "WB" : {"fullname" : "Western blot", "shortname":"WB"}, "ICCIF" : {"fullname" : "Immunocytochemistry/ Immunofluorescence", "shortname":"ICC/IF"}, "IHCP" : {"fullname" : "Immunohistochemistry (Formalin/PFA-fixed paraffin-embedded sections)", "shortname":"IHC-P"} }, "product-promise": { "all": "all", "testedAndGuaranteed": "tested", "guaranteed": "expected", "predicted": "predicted", "notRecommended": "not-recommended" } }, "values": { "Human": { "FlowCyt-species-checked": "notRecommended", "FlowCyt-species-dilution-info": "", "FlowCyt-species-notes": "<p></p>", "Dot-species-checked": "guaranteed", "Dot-species-dilution-info": "", "Dot-species-notes": "", "WB-species-checked": "testedAndGuaranteed", "WB-species-dilution-info": "1/2000 - 1/10000", "WB-species-notes": "<p></p>", "ICCIF-species-checked": "notRecommended", "ICCIF-species-dilution-info": "1/50 - 1/100", "ICCIF-species-notes": "<p></p>", "IHCP-species-checked": "testedAndGuaranteed", "IHCP-species-dilution-info": "1/100 - 1/250", "IHCP-species-notes": "<p></p>" }, "Mouse": { "FlowCyt-species-checked": "notRecommended", "FlowCyt-species-dilution-info": "", "FlowCyt-species-notes": "<p></p>", "Dot-species-checked": "guaranteed", "Dot-species-dilution-info": "", "Dot-species-notes": "", "WB-species-checked": "testedAndGuaranteed", "WB-species-dilution-info": "1/2000 - 1/10000", "WB-species-notes": "<p></p>", "ICCIF-species-checked": "notRecommended", "ICCIF-species-dilution-info": "1/50 - 1/100", "ICCIF-species-notes": "<p></p>", "IHCP-species-checked": "guaranteed", "IHCP-species-dilution-info": "", "IHCP-species-notes": "" }, "Synthetic peptide": { "FlowCyt-species-checked": "notRecommended", "FlowCyt-species-dilution-info": "", "FlowCyt-species-notes": "", "Dot-species-checked": "testedAndGuaranteed", "Dot-species-dilution-info": "1/1000", "Dot-species-notes": "<p></p>", "WB-species-checked": "notRecommended", "WB-species-dilution-info": "", "WB-species-notes": "", "ICCIF-species-checked": "notRecommended", "ICCIF-species-dilution-info": "", "ICCIF-species-notes": "", "IHCP-species-checked": "notRecommended", "IHCP-species-dilution-info": "", "IHCP-species-notes": "" } } }

产品详情

Patented technology
Our RabMAb® technology is a patented hybridoma-based technology for making rabbit monoclonal antibodies. For details on our patents, please refer to RabMAb® patents.

What are the advantages of a recombinant monoclonal antibody?
This product is a recombinant monoclonal antibody, which offers several advantages including:

  • - High batch-to-batch consistency and reproducibility
  • - Improved sensitivity and specificity
  • - Long-term security of supply
  • - Animal-free batch production

For more information, read more on recombinant antibodies.

Species reactivity
Rat: We have preliminary internal testing data to indicate this antibody may not react with this species.
Please contact us for more information.

性能和储存信息

形式
Liquid
纯化工艺
Affinity purification Protein A
存储溶液
pH: 7.2 - 7.4 Preservative: 0.01% Sodium azide Constituents: PBS, 50% Tissue culture supernatant, 40% Glycerol (glycerin, glycerine), 0.05% BSA
运输条件
Blue Ice
推荐的短期储存时间
1-2 weeks
推荐的短期储存条件
+4°C
推荐的长期储存条件
-20°C
分装信息
Upon delivery aliquot
储存信息
Avoid freeze / thaw cycle

补充信息

This supplementary information is collated from multiple sources and compiled automatically.

Glycogen synthase 1 (GYS1) also known as muscle glycogen synthase catalyzes the synthesis of glycogen from glucose. It adds glucose units from UDP-glucose to the non-reducing ends of glycogen chains facilitating glycogen elongation. The molecular mass of GYS1 is approximately 85 kDa. It is predominantly expressed in skeletal muscle tissue providing energy storage primarily in the form of glycogen. GYS1 is regulated through phosphorylation wherein it undergoes inactive to active conformational changes.
Biological function summary

This enzyme plays a critical role in the energy storage mechanism of muscle tissues. GYS1 functions as a part of the glycogen synthase complex interacting with various glycogen-associated proteins to modulate its activity. These interactions control the enzyme's affinity for its substrate and its susceptibility to regulatory signals like phosphorylation affecting glycogen synthesis efficiency. Through its activity GYS1 ensures a readily available reserve of glucose in muscle tissues for rapid energy production when required.

Pathways

Glycogen synthase 1 is a central component of the glycogen metabolism pathway. It acts alongside other enzymes such as glycogen phosphorylase which catalyzes glycogen breakdown. The balance between GYS1 and glycogen phosphorylase determines the rate of glycogen turnover within cells. GYS1 is further regulated by the insulin signaling pathway where insulin promotes glycogen synthesis by altering GYS1 activity alongside proteins like AKT influencing glucose homeostasis and energy management in tissues.

Dysregulation of GYS1 activity often associates with glycogen storage diseases notably Type 0 where deficiencies in glycogen storage lead to episodes of low blood sugar and reduced exercise capacity. Furthermore aberrations in GYS1 function contribute to insulin resistance and Type 2 diabetes conditions linked with impaired glucose metabolism. Altered GYS1 activity impacts proteins like glycogen phosphorylase affecting overall glycogen metabolism balance and contributing to metabolic disorders.

产品实验方案

For this product, it's our understanding that no specific protocols are required. You can visit:

靶点信息

Glycogen synthase participates in the glycogen biosynthetic process along with glycogenin and glycogen branching enzyme. Extends the primer composed of a few glucose units formed by glycogenin by adding new glucose units to it. In this context, glycogen synthase transfers the glycosyl residue from UDP-Glc to the non-reducing end of alpha-1,4-glucan.
See full target information GYS1 phospho S641

文献 (15)

Recent publications for all applications. Explore the full list and refine your search

Cell biochemistry and function 43:e70108 PubMed40770889

2025

Osteoking Ameliorates Type 2 Diabetes Osteoporosis by Enhancing Osteoblast Differentiation via PI3K/AKT/GSK-3β Pathway Activation.

Applications

Unspecified application

Species

Unspecified reactive species

Rong Li,Jiangli Lu,Peijin Wang,Yulan Zhao,Yi Yang,Jianlin Jiao,Zhongyi Qian,Limei Wang,Hong Zheng

Autophagy reports 3:2405331 PubMed40395528

2025

Methods for detection of cardiac glycogen-autophagy.

Applications

Unspecified application

Species

Unspecified reactive species

Parisa Koutsifeli,Lorna J Daniels,Joshua Neale,Sarah Fong,Upasna Varma,Marco Annandale,Xun Li,Yohanes Nursalim,James R Bell,Kate L Weeks,Aleksandr Stotland,David J Taylor,Roberta A Gottlieb,Lea M D Delbridge,Kimberley M Mellor

Current research in physiology 7:100131 PubMed39282594

2024

Glycophagy is involved in cardiac glycogen regulation in response to exercise.

Applications

Unspecified application

Species

Unspecified reactive species

Samuel L James,Parisa Koutsifeli,Randall F D'Souza,Stewart Wc Masson,Jonathan St Woodhead,Troy L Merry,Lea Md Delbridge,Kimberley M Mellor

Molecular nutrition & food research 66:e2200182 PubMed35972028

2022

Calorie Restriction Enhanced Glycogen Metabolism to Compensate for Lipid Insufficiency.

Applications

Unspecified application

Species

Unspecified reactive species

Lili Hu,Xinyi Xia,Yue Zong,Yunjie Gu,Li Wei,Jun Yin

Food & nutrition research 66: PubMed35382382

2022

Sesamol counteracts on metabolic disorders of middle-aged alimentary obese mice through regulating skeletal muscle glucose and lipid metabolism.

Applications

Unspecified application

Species

Unspecified reactive species

Min-Min Hu,Ji-Hua Chen,Quan-Quan Zhang,Zi-Yu Song,Horia Shaukat,Hong Qin

International journal of molecular sciences 23: PubMed35269893

2022

The Role of Glycogen Synthase Kinase-3 in the Regulation of Ribosome Biogenesis in Rat Soleus Muscle under Disuse Conditions.

Applications

Unspecified application

Species

Unspecified reactive species

Sergey V Rozhkov,Kristina A Sharlo,Boris S Shenkman,Timur M Mirzoev

Journal of immunology (Baltimore, Md. : 1950) 205:3277-3290 PubMed33177160

2020

Screening of a Panel of Low Molecular Weight Compounds That Inhibit Synovial Fibroblast Invasion in Rheumatoid Arthritis.

Applications

Unspecified application

Species

Unspecified reactive species

Tomoko Sugiura,Hiroki Kamino,Yuko Nariai,Yohko Murakawa,Masahiro Kondo,Makoto Kawakami,Noboru Ikeda,Yuji Uchio,Takeshi Urano

Molecular medicine reports 19:5105-5114 PubMed31059076

2019

Pressure suppresses hepatocellular glycogen synthesis through activating the p53/Pten pathway.

Applications

Unspecified application

Species

Unspecified reactive species

Junwei Shen,Yunchen Sun,Si Shen,Xu Luo,Jie Chen,Liang Zhu

Journal of agricultural and food chemistry 66:6772-6781 PubMed29886733

2018

Improvement of Lipid and Glucose Metabolism by Capsiate in Palmitic Acid-Treated HepG2 Cells via Activation of the AMPK/SIRT1 Signaling Pathway.

Applications

Unspecified application

Species

Unspecified reactive species

Yufan Zang,Li Fan,Jihua Chen,Ruixue Huang,Hong Qin

Physiological reports 6: PubMed29484837

2018

Elevated GLUT4 and glycogenin protein abundance correspond to increased glycogen content in the soleus muscle of mdx mice with no benefit associated with taurine supplementation.

Applications

Unspecified application

Species

Unspecified reactive species

Robert G Barker,Barnaby P Frankish,Hongyang Xu,Robyn M Murphy
View all publications

Abcam Product Promise

我们致力于为您的研究提供高质量的试剂,为您科研的每一步提供支持。若我们的产品未能达到预期性能,我们向您提供 Abcam Product Promise 保障。
详情请参阅我们的条款与条件。

Please note: All products are 'FOR RESEARCH USE ONLY. NOT FOR USE IN DIAGNOSTIC OR THERAPEUTIC PROCEDURES'.

For licensing inquiries, please contact partnerships@abcam.com