JavaScript is disabled in your browser. Please enable JavaScript to view this website.
AB125066

Anti-Glutathione Peroxidase 4 抗体 [EPNCIR144]

Anti-Glutathione Peroxidase 4 antibody [EPNCIR144]

  • BOND RX™ Validated
  • KO Validated
  • RabMAb
  • Recombinant
  • Lab Essentials
  • 了解详情

5

(13 Reviews)

|

(1297 Publications)

Anti-Glutathione Peroxidase 4 antibody [EPNCIR144] (ab125066) is a rabbit monoclonal antibody detecting Glutathione Peroxidase 4 in Western Blot, Flow Cytometry (Intra), Flow Cytometry, IHC-P, ICC/IF. Suitable for Human, Mouse, Rat.

- Clone EPNCIR144 is the most cited clone to Glutathione Peroxidase 4
- KO validated for confirmed specificity
- Biophysical QC for unrivalled batch-batch consistency
- Over 560 publications

查看别名

Phospholipid hydroperoxide glutathione peroxidase GPX4, PHGPx, Glutathione peroxidase 4, GPx-4, GSHPx-4, GPX4

12 Images
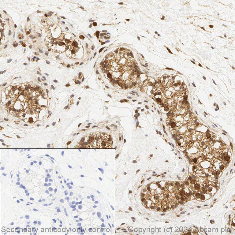
Immunohistochemistry (Formalin/PFA-fixed paraffin-embedded sections) - Anti-Glutathione Peroxidase 4 antibody [EPNCIR144] (AB125066)
  • IHC-P

Lab

Immunohistochemistry (Formalin/PFA-fixed paraffin-embedded sections) - Anti-Glutathione Peroxidase 4 antibody [EPNCIR144] (AB125066)

Immunohistochemical analysis of formalin fixed paraffin embedded human testis labelling Glutathione Peroxidase 4 with ab125066 at a concentration of 0.1 µg/ml. The immunostaining was performed on a Ventana DISCOVERY ULTRA (Roche Tissue Diagnostics) instrument with an OptiView DAB IHC Detection Kit. Heat mediated antigen retrieval was conducted for 32 mins at 100°C with ULTRA cell conditioning solution (CC1, pH 8.5). ab125066 anti-Glutathione Peroxidase 4 antibody [EPNCIR144] was incubated at 37°C for 16 mins. Sections were counterstained with Hematoxylin II. Image inset shows absence of staining in secondary antibody only control.

Flow Cytometry (Intracellular) - Anti-Glutathione Peroxidase 4 antibody [EPNCIR144] (AB125066)
  • Flow Cyt (Intra)

Unknown

Flow Cytometry (Intracellular) - Anti-Glutathione Peroxidase 4 antibody [EPNCIR144] (AB125066)

Intracellular Flow Cytometry analysis of HeLa (human cervix adenocarcinoma) cells labeling Glutathione Peroxidase 4 (red) with ab125066 at a 1/400 dilution. Cells were fixed with 4% paraformaldehyde and permeabilized with 90% methanol. A goat anti-rabbit IgG (Alexa Fluorr® 488) (ab150077) was used as the secondary antibody at a 1/2000 dilution. Black - Rabbit monoclonal IgG (ab172730). Blue (unlabeled control) - Cells without incubation with the primary and secondary antibodies.

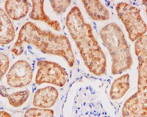
Immunohistochemistry (Formalin/PFA-fixed paraffin-embedded sections) - Anti-Glutathione Peroxidase 4 antibody [EPNCIR144] (AB125066)
  • IHC-P

Unknown

Immunohistochemistry (Formalin/PFA-fixed paraffin-embedded sections) - Anti-Glutathione Peroxidase 4 antibody [EPNCIR144] (AB125066)

Unpurified ab125066 at a 1/100 dilution staining Glutathione Peroxidase 4 in paraffin-embedded human kidney tissue by immunohistochemistry.

Perform heat mediated antigen retrieval before commencing with IHC staining protocol.

Immunocytochemistry/ Immunofluorescence - Anti-Glutathione Peroxidase 4 antibody [EPNCIR144] (AB125066)
  • ICC/IF

AbReview45357****

Immunocytochemistry/ Immunofluorescence - Anti-Glutathione Peroxidase 4 antibody [EPNCIR144] (AB125066)

Unpurified ab125066 staining Glutathione Peroxidase 4 in the HeLa cell line from Human cervical cancer by ICC/IF (Immunocytochemistry/immunofluorescence). Cells were fixed with methanol. Samples were incubated with primary antibody (1/500 dilution in PBS) for 1 hour at 22°C. ab150081 an Alexa Fluor® 488-conjugated Goat anti-rabbit IgG polyclonal (1/200 dilution) was used as the secondary antibody. Nuclear staining was carried out with DAPI.

This image is courtesy of an Abreview submitted by Kirk McManus

Immunocytochemistry/ Immunofluorescence - Anti-Glutathione Peroxidase 4 antibody [EPNCIR144] (AB125066)
  • ICC/IF

Unknown

Immunocytochemistry/ Immunofluorescence - Anti-Glutathione Peroxidase 4 antibody [EPNCIR144] (AB125066)

Immunofluorescence staining of HEK293 cells with purified ab125066 at a working dilution of 1/200 counter-stained with DAPI. The secondary antibody was Alexa Fluor® 488 goat anti-rabbit (ab150077) used at a dilution of 1/1000. ab7291 a mouse anti-tubulin antibody (1/1000) was used to stain tubulin along with ab150120 (Alexa Fluor® 594 goat anti-mouse 1/1000) shown in the top right hand panel. The cells were fixed in 4% PFA and permeabilized using 0.1% Triton X 100. The negative controls are shown in bottom middle and right hand panels - for negative control 1 purified ab125066 was used at a dilution of 1/500 followed by an Alexa Fluor® 594 goat anti-mouse antibody (ab150120) at a dilution of 1/500. For negative control 2 ab7291 (mouse anti-tubulin) was used at a dilution of 1/500 followed by an Alexa Fluor® 488 goat anti-rabbit antibody (ab150077) at a dilution of 1/400.

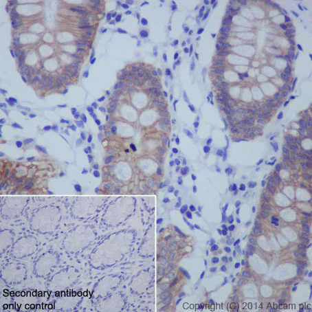
Immunohistochemistry (Formalin/PFA-fixed paraffin-embedded sections) - Anti-Glutathione Peroxidase 4 antibody [EPNCIR144] (AB125066)
  • IHC-P

Unknown

Immunohistochemistry (Formalin/PFA-fixed paraffin-embedded sections) - Anti-Glutathione Peroxidase 4 antibody [EPNCIR144] (AB125066)

Immunohistochemical staining of paraffin embedded human stomach with purified ab125066 at a working dilution of 1/50. The secondary antibody used is HRP goat anti-rabbit IgG H&L (ab97051) at 1/500 dilution. The sample is counter-stained with hematoxylin. Antigen retrieval was perfomed using Tris-EDTA buffer pH 9.0. PBS was used instead of the primary antibody as the negative control and is shown in the inset.

Immunohistochemistry (Formalin/PFA-fixed paraffin-embedded sections) - Anti-Glutathione Peroxidase 4 antibody [EPNCIR144] (AB125066)
  • IHC-P

Lab

Immunohistochemistry (Formalin/PFA-fixed paraffin-embedded sections) - Anti-Glutathione Peroxidase 4 antibody [EPNCIR144] (AB125066)

Immunohistochemical analysis of formalin fixed paraffin embedded human testis labelling Glutathione Peroxidase 4with ab125066 at a concentration of 1 µg/ml. The immunostaining was performed on a Leica Biosystems BOND® RX instrument with a Bond™ Polymer Refine Detection kit. Heat mediated antigen retrieval was performed with Tris-EDTA buffer (pH 9.0, Epitope Retrieval Solution 2) for 20 mins. ab125066 anti-Glutathione Peroxidase 4 antibody [EPNCIR144] was incubated for 30 mins at room temperature. Sections were counterstained with Hematoxylin. Image inset shows absence of staining in secondary antibody only control.

Western blot - Anti-Glutathione Peroxidase 4 antibody [EPNCIR144] (AB125066)
  • WB

Lab

Western blot - Anti-Glutathione Peroxidase 4 antibody [EPNCIR144] (AB125066)

Blocking buffer and concentration : 5% NFDM/TBST  Diluting buffer and concentration : 5% NFDM/TBST This antibody can detect 19kda cytoplasmic form and 22kda mitochondrial isoform.

All lanes:

Western blot - Anti-Glutathione Peroxidase 4 antibody [EPNCIR144] (ab125066) at 1/1000 dilution

Lane 1:

Rat testis tissue lysate at 20 µg

Lane 2:

Mouse testis tissue lysate at 20 µg

Lane 3:

Human testis tissue lysate at 20 µg

Secondary

All lanes:

Goat Anti-Rabbit IgG (HRP) with minimal cross-reactivity with human IgG at 1/2000 dilution

Predicted band size: 22 kDa

Observed band size: 19 kDa,22 kDa

false

Exposure time: 1s

Western blot - Anti-Glutathione Peroxidase 4 antibody [EPNCIR144] (AB125066)
  • WB

Lab

Western blot - Anti-Glutathione Peroxidase 4 antibody [EPNCIR144] (AB125066)

Lanes 1 - 3 : Merged signal (red and green). Green - ab125066 observed at 20 kDa. Red - loading control ab8245 (Mouse anti-GAPDH antibody [6C5]) observed at 37 kDa.

ab125066 was shown to react with Glutathione Peroxidase 4 in wild-type HeLa cells in Western blot with loss of signal observed in GPX4 knockout cell line ab262509 (knockout cell lysate ab263935). Wild-type HeLa and GPX4 knockout cell lysates were subjected to SDS-PAGE. Membranes were blocked in 3 % milk in TBS-T (0.1 % Tween®) before incubation with ab125066 and ab8245 (Mouse anti-GAPDH antibody [6C5]) overnight at 4 °C at a 1 in 1000 dilution and a 1 in 20000 dilution respectively. Blots were incubated with Goat anti-Rabbit IgG H&L (IRDye® 800CW) preabsorbed (ab216773) and Goat anti-Mouse IgG H&L (IRDye® 680RD) preabsorbed (ab216776) secondary antibodies at 1 in 20000 dilution for 1 h at room temperature before imaging.

All lanes:

Western blot - Anti-Glutathione Peroxidase 4 antibody [EPNCIR144] (ab125066) at 1/1000 dilution

Lane 1:

Wild-type HeLa (Human epithelial cell line from cervix adenocarcinoma) whole cell lysate at 20 µg

Lane 2:

GPX4 knockout HeLa (Human epithelial cell line from cervix adenocarcinoma) whole cell lysate at 20 µg

Lane 2:

Western blot - Human GPX4 knockout HeLa cell line (<a href='/products/cell-lines/human-gpx4-knockout-hela-cell-line-ab262509'>ab262509</a>)

Lane 3:

Jurkat (Human T cell leukemia cell line from peripheral blood) whole cell lysate at 20 µg

Predicted band size: 22 kDa

Observed band size: 20 kDa

false

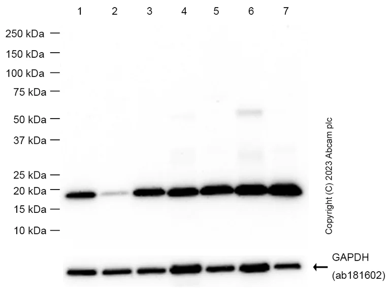
Western blot - Anti-Glutathione Peroxidase 4 antibody [EPNCIR144] (AB125066)
  • WB

Lab

Western blot - Anti-Glutathione Peroxidase 4 antibody [EPNCIR144] (AB125066)

Blocking/Diluting buffer and concentration 5% NFDM/TBST. ab181602 was used as GAPDH loading control.

All lanes:

Western blot - Anti-Glutathione Peroxidase 4 antibody [EPNCIR144] (ab125066) at 1/1000 dilution

Lane 1:

293T (Human embryonic kidney epithelial cell) whole cell lysate at 20 µg

Lane 2:

A549 (Human lung carcinoma epithelial cell) whole cell lysate at 20 µg

Lane 3:

HepG2 (Human hepatocellular carcinoma epithelial cell) whole cell lysate at 20 µg

Lane 4:

Rat heart lysate at 20 µg

Lane 5:

Mouse ovary lysate at 20 µg

Lane 6:

Mouse heart lysate at 20 µg

Lane 7:

Mouse lung lysate at 20 µg

Secondary

All lanes:

Western blot - Goat Anti-Rabbit IgG H&L (HRP) (<a href='/products/secondary-antibodies/goat-rabbit-igg-h-l-hrp-ab97051'>ab97051</a>) at 1/20000 dilution

Predicted band size: 22 kDa

Observed band size: 22 kDa

false

Exposure time: 20s

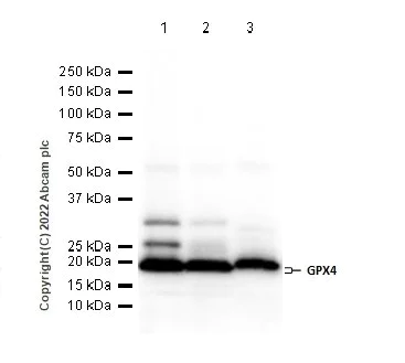
Western blot - Anti-Glutathione Peroxidase 4 antibody [EPNCIR144] (AB125066)
  • WB

Lab

Western blot - Anti-Glutathione Peroxidase 4 antibody [EPNCIR144] (AB125066)

Blocking buffer : 5% NFDM/TBST.
Dilution buffer : 5% NFDM/TBST.

All lanes:

Western blot - Anti-Glutathione Peroxidase 4 antibody [EPNCIR144] (ab125066) at 1/20000 dilution

Lane 1:

Mouse testis lysate at 20 µg

Lane 2:

Rat testis lysate at 20 µg

Secondary

All lanes:

HRP goat anti-rabbit IgG (H+L) at 1/1000 dilution

Predicted band size: 22 kDa

Observed band size: 17 kDa

false

Biochemical assay - Anti-Glutathione Peroxidase 4 antibody [EPNCIR144] (AB125066)
  • Biochemical assay

PubMed

Biochemical assay - Anti-Glutathione Peroxidase 4 antibody [EPNCIR144] (AB125066)

Niu et al used Lipid Peroxidation (MDA) Assay Kit ab118970, GSH/ GSSG Assay Kit ab138881, and Glutathione Peroxidase Assay Kit ab125066 to investigate the use of porous Se@SiO2 nanospheres to achieve controlled release of selenium, a scavenger of intracellular free radicals, in mouse eyes.

Male diabetic db/db and control db/m mice were injected in the eyes with porous Se@SiO2 nanospheres, and porous SiO2 nanospheres (NPs) without Se.

Porous Se@SiO2 nanospheres inhibit diabetes-induced retinal lipid peroxidation and inflammation. Levels of MDA in retinal homogenates (n = 6). Expression levels of GPX4 in retinas were measured using western blotting; β-actin was used as a loading control (left panel). Band densities were assessed using the ImageJ software, and GPX4 expression levels are represented as their ratios to β-actin (right panel) (n = 3). Levels of GSH, GSSG, and the ratio of GSH to GSSG in retinal homogenates (n = 6). Data are represented as the mean ± SD. **p < 0.01, ***p < 0.001; ns, nonsignificant.

Retinal samples were harvested, washed, and lysed according to the manufacturer's instructions. Protein concentrations were determined using a bicinchoninic acid kit. MDA and glutathione concentrations were determined using a lipid peroxidation MDA assay kit, reduced glutathione (GSH) / oxidized glutathione (GSSG) Ratio Detection Assay kit (ab118970, ab138881; Abcam, MA, USA), and a microplate reader. The relative concentrations of MDA and glutathione were calculated by normalizing the measured concentrations to that of the total protein.

不同偶联物与剂型 (3)

  • Carrier free

    Anti-Glutathione Peroxidase 4 antibody [EPNCIR144] - BSA and Azide free

  • 665 Alexa Fluor® 647

    Alexa Fluor® 647 Anti-Glutathione Peroxidase 4 antibody [EPNCIR144]

  • 519 Alexa Fluor® 488

    Alexa Fluor® 488 Anti-Glutathione Peroxidase 4 antibody [EPNCIR144]

关键信息

宿主种属

Rabbit

克隆

Monoclonal

克隆号

EPNCIR144

亚型

IgG

不含载体蛋白

No

反应种属

Mouse, Rat, Human

应用

IHC-P, ICC/IF, Flow Cyt (Intra), WB

applications

免疫原

The exact immunogen used to generate this antibody is proprietary information.

反应性数据

{ "title": "Reactivity Data", "filters": { "stats": ["", "Species", "Dilution Info", "Notes"], "tabs": { "all-applications": {"fullname" : "All Applications", "shortname": "All Applications"}, "IHCP" : {"fullname" : "Immunohistochemistry (Formalin/PFA-fixed paraffin-embedded sections)", "shortname":"IHC-P"}, "ICCIF" : {"fullname" : "Immunocytochemistry/ Immunofluorescence", "shortname":"ICC/IF"}, "WB" : {"fullname" : "Western blot", "shortname":"WB"}, "FlowCytIntra" : {"fullname" : "Flow Cytometry (Intracellular)", "shortname":"Flow Cyt (Intra)"} }, "product-promise": { "all": "all", "testedAndGuaranteed": "tested", "guaranteed": "expected", "predicted": "predicted", "notRecommended": "not-recommended" } }, "values": { "Human": { "IHCP-species-checked": "testedAndGuaranteed", "IHCP-species-dilution-info": "1/50 - 1/250", "IHCP-species-notes": "<p></p> Perform heat-mediated antigen retrieval before commencing with IHC staining protocol.", "ICCIF-species-checked": "testedAndGuaranteed", "ICCIF-species-dilution-info": "", "ICCIF-species-notes": "<p></p>", "WB-species-checked": "testedAndGuaranteed", "WB-species-dilution-info": "1/1000 - 1/10000", "WB-species-notes": "<p></p>", "FlowCytIntra-species-checked": "testedAndGuaranteed", "FlowCytIntra-species-dilution-info": "1/400", "FlowCytIntra-species-notes": "<p></p>" }, "Mouse": { "IHCP-species-checked": "guaranteed", "IHCP-species-dilution-info": "", "IHCP-species-notes": "", "ICCIF-species-checked": "guaranteed", "ICCIF-species-dilution-info": "", "ICCIF-species-notes": "", "WB-species-checked": "testedAndGuaranteed", "WB-species-dilution-info": "1/1000 - 1/10000", "WB-species-notes": "<p></p>", "FlowCytIntra-species-checked": "guaranteed", "FlowCytIntra-species-dilution-info": "", "FlowCytIntra-species-notes": "" }, "Rat": { "IHCP-species-checked": "guaranteed", "IHCP-species-dilution-info": "", "IHCP-species-notes": "", "ICCIF-species-checked": "guaranteed", "ICCIF-species-dilution-info": "", "ICCIF-species-notes": "", "WB-species-checked": "testedAndGuaranteed", "WB-species-dilution-info": "1/1000 - 1/10000", "WB-species-notes": "<p></p>", "FlowCytIntra-species-checked": "guaranteed", "FlowCytIntra-species-dilution-info": "", "FlowCytIntra-species-notes": "" } } }

产品详情

Anti-Glutathione Peroxidase 4 antibody [EPNCIR144] (ab125066) was developed by Abcam using patented rabbit monoclonal antibody technology and is validated for use in Flow Cyt (Intra), ICC/IF, IHC-P and WB.

Anti-Glutathione Peroxidase 4 antibody [EPNCIR144] (ab125066) was first used in a scientific publication in 2012 and has been cited over 567 times in peer reviewed journals. It's performance in Western Blot and IHC in mouse and human samples is trusted by the scientific community.

Abcam's high quality manufacturing and validation processes ensure Anti-Glutathione Peroxidase 4 antibody [EPNCIR144] (ab125066) has high sensitivity and specificity alongside high lot-to-lot consistency and reproducibility.

The specificity of Anti-Glutathione Peroxidase 4 antibody [EPNCIR144] (ab125066) has been confirmed by Western Blot testing in Glutathione Peroxidase 4 knockout HeLa cells (ab262509).

Anti-Glutathione Peroxidase 4 antibody [EPNCIR144] (ab125066) has 12 independent reviews from customers.

Anti-Glutathione Peroxidase 4 antibody [EPNCIR144] (ab125066) specifically detects Glutathione Peroxidase 4 (UniProt ID: O70325; Molecular weight: 22kDa) and is sold in 100 µL and 1 mL selling sizes.

Conjugation-ready, carrier free format available for antibody clone EPNCIR144 - ab219592.

Antibody clone EPNCIR144 is also available pre-conjugated to a variety of labels for your convenience - Alexa Fluor® 488, Alexa Fluor® 647 (ab314333, ab314334).

Top cited antibody for this target with >1000 citations. Glutathione peroxidase 4 is a master regulator of ferroptosis and lipid peroxidation. This antibody is crucial in cancer research, particularly in understanding GPX4's role in cell death and antioxidant defence and is widely used in studies of reactive oxygen species (ROS) and GPX4 inhibitors for therapeutic applications.

Patented technology
Our RabMAb® technology is a patented hybridoma-based technology for making rabbit monoclonal antibodies. For details on our patents, please refer to RabMAb® patents.

What are the advantages of a recombinant monoclonal antibody?
This product is a recombinant monoclonal antibody, which offers several advantages including:

  • - High batch-to-batch consistency and reproducibility
  • - Improved sensitivity and specificity
  • - Long-term security of supply
  • - Animal-free batch production

For more information, read more on recombinant antibodies.

性能和储存信息

形式
Liquid
纯化工艺
Affinity purification Protein A
存储溶液
pH: 7.2 - 7.4 Preservative: 0.01% Sodium azide Constituents: PBS, 40% Glycerol (glycerin, glycerine), 0.05% BSA
运输条件
Blue Ice
推荐的短期储存时间
1-2 weeks
推荐的短期储存条件
+4°C
推荐的长期储存条件
-20°C
分装信息
Upon delivery aliquot
储存信息
Stable for 12 months at -20°C

补充信息

This supplementary information is collated from multiple sources and compiled automatically.

Glutathione Peroxidase 4 (GPX4) also known as GXP4 or 1B4 is an essential selenoprotein with a molecular weight of approximately 22 kDa. It acts mechanically by reducing lipid hydroperoxides to their corresponding alcohols and free hydrogen peroxide to water utilizing glutathione as a cofactor. GPX4 is ubiquitously expressed with high expression levels found in the testis indicating its importance in spermatogenesis.
Biological function summary

This enzyme protects cells from oxidative damage by maintaining cellular redox balance. GPX4 exists as a monomer and is not part of larger complexes. It enables cells to counteract the harmful effects of reactive oxygen species (ROS) safeguarding lipid membranes from peroxidation. The protective function extends to the nervous system and other tissues where oxidative stress might lead to cellular damage.

Pathways

This enzyme plays a critical role in the antioxidant defense system. It integrates with the glutathione pathway where it operates alongside glutathione reductase and glutathione synthetase to detoxify cells. The protein also interacts with lipid metabolism pathways maintaining membrane integrity and function. These pathways further link GPX4 with other oxidative stress-related proteins and cellular survival mechanisms.

GPX4 has connections to neurodegenerative diseases like Parkinson's disease and cancer. In neurodegeneration low GPX4 levels can lead to increased lipid peroxidation highlighting its protective function against neuronal damage. In cancer altered GPX4 expression associates with the oxidative stress response affecting tumor progression. The protein's interactions with key oxidative stress regulators suggest potential targets for therapeutic intervention.

产品实验方案

For this product, it's our understanding that no specific protocols are required. You can visit:

靶点信息

Essential antioxidant peroxidase that directly reduces phospholipid hydroperoxide even if they are incorporated in membranes and lipoproteins (By similarity). Can also reduce cholesterol hydroperoxide and thymine hydroperoxide (By similarity). Plays a key role in protecting cells from oxidative damage by preventing membrane lipid peroxidation (By similarity). Required to prevent cells from ferroptosis, a non-apoptotic cell death resulting from an iron-dependent accumulation of lipid reactive oxygen species (PubMed : 24439385). The presence of selenocysteine (Sec) versus Cys at the active site is essential for life : it provides resistance to overoxidation and prevents cells against ferroptosis (By similarity). The presence of Sec at the active site is also essential for the survival of a specific type of parvalbumin-positive interneurons, thereby preventing against fatal epileptic seizures (By similarity). May be required to protect cells from the toxicity of ingested lipid hydroperoxides (By similarity). Required for normal sperm development and male fertility (By similarity). Essential for maturation and survival of photoreceptor cells (By similarity). Plays a role in a primary T-cell response to viral and parasitic infection by protecting T-cells from ferroptosis and by supporting T-cell expansion (By similarity). Plays a role of glutathione peroxidase in platelets in the arachidonic acid metabolism (PubMed : 11115402). Reduces hydroperoxy ester lipids formed by a 15-lipoxygenase that may play a role as down-regulator of the cellular 15-lipoxygenase pathway (By similarity). Can reduce fatty acid-derived hydroperoxides (PubMed : 11115402, PubMed : 36608588). Can also reduce small soluble hydroperoxides such as H2O2, cumene hydroperoxide and tert-butyl hydroperoxide (PubMed : 17630701, PubMed : 36608588).
See full target information Phospholipid hydroperoxide glutathione peroxidase

文献 (1297)

Recent publications for all applications. Explore the full list and refine your search

Cell death discovery 11:442 PubMed41053121

2025

Plin4 modulates lipid droplet accumulation and ferroptosis in neurons exposed to benzo[a]pyrene.

Applications

Unspecified application

Species

Unspecified reactive species

Hongyu Sun,Zhirui Ma,Xingdi Guo,Jie Chen,Hui He,Xiaomin Tong,Tingyu Ji,Shihan Ding,Chaoli Zhou,Yi Lyu,Fengjie Tian,Jinping Zheng

Cell death & disease 16:692 PubMed41053100

2025

Transferrin is a drug candidate for the treatment of dry age-related macular degeneration (AMD).

Applications

Unspecified application

Species

Unspecified reactive species

Jenny Youale,Karine Bigot,Thara Jaworski,Cécile Lebon,Anaïs Françon,Kimberley Delaunay,Romain Bénard,Thaïs De Bastard,Alejandra Daruich,Naël Kaddour,Thierry Bordet,Francine Behar-Cohen,Emilie Picard

Journal of pharmaceutical analysis 15:101228 PubMed41050116

2025

ZFP36 promotes ferroptosis and mitochondrial dysfunction and inhibits malignant progression in osteosarcoma by regulating the E2F1/ATF4 axis.

Applications

Unspecified application

Species

Unspecified reactive species

Shiyue Qin,Hongyang Kong,Lei Jiang

Materials today. Bio 35:102304 PubMed41050099

2025

Bilirubin-polymer nanocarriers enable targeted farrerol delivery for glaucoma neuroprotection via Nrf2-mediated ferroptosis/apoptosis inhibition.

Applications

Unspecified application

Species

Unspecified reactive species

Jing Wang,Yixian Liu,Rong Rong,Xiaobo Xia

Chinese medicine 20:161 PubMed41047414

2025

Electroacupuncture attenuates intestinal epithelial ferroptosis in inflammatory bowel disease via Piezo1-mediated mitochondrial homeostasis.

Applications

Unspecified application

Species

Unspecified reactive species

Haolong He,Jingying Zhou,Sihui Cao,Weiai Liu,Zhigang Mei,Mi Liu

Cellular & molecular biology letters 30:109 PubMed41039223

2025

RSL3 promotes PARP1 apoptotic functions by distinct mechanisms during ferroptosis.

Applications

Unspecified application

Species

Unspecified reactive species

Dejian Chen,Fei Xie,Yimei Mo,Dan Qin,Binjiao Zheng,Lingyan Chen

Bioengineering & translational medicine 10:e70025 PubMed41030280

2025

Engineering biomimetic nanovesicles for PEBP1 mRNA delivery to inhibit ferroptosis in abdominal aortic aneurysm.

Applications

Unspecified application

Species

Unspecified reactive species

Lulu Chen,Bicheng Chen,Xiang Su

Communications biology 8:1403 PubMed41028852

2025

Targeting ALOX5 ameliorates renal tubular injury in ischemia-reperfusion-induced acute kidney injury via inhibition of ferroptosis.

Applications

Unspecified application

Species

Unspecified reactive species

Liming Huang,Qiao Tang,Guoli Li,Yanpei Hou,Sipei Chen,Qi Yao,Yanwen Luo,Lin Xiong,Yaling Zhang,Hongsha Yang,Li Wang,Guisen Li,Yi Li,Yunlin Feng

Journal of orthopaedic surgery and research 20:862 PubMed41024237

2025

KDM6B promotes ferroptosis in rheumatoid arthritis fibroblast-like synoviocytes via the miR-128-3p/SLC7A11 axis through H3K27me3 modification.

Applications

Unspecified application

Species

Unspecified reactive species

Bin Wang,Song Gao,Zongwei Liu,Yan Cong,Chuansheng Wu

Materials today. Bio 35:102306 PubMed41019494

2025

Selenium nanoparticles alleviate cobalt toxicity in artificial joint metal prostheses by inhibiting ferroptosis through activation of the PRDX6/GPX4 pathway.

Applications

Unspecified application

Species

Unspecified reactive species

Pengcheng Xu,Fan Liu,Su Jiang,Baisheng Cai,Cong Ye,Yiming Sun,Yaping Wang,Jining Shen,Huan Zhou,Yake Liu
View all publications
websiteProtocolBooklet
en
websiteProtocolBooklet
en
websiteProtocolBooklet
en

Abcam Product Promise

我们致力于为您的研究提供高质量的试剂,为您科研的每一步提供支持。若我们的产品未能达到预期性能,我们向您提供 Abcam Product Promise 保障。
详情请参阅我们的条款与条件。

Please note: All products are 'FOR RESEARCH USE ONLY. NOT FOR USE IN DIAGNOSTIC OR THERAPEUTIC PROCEDURES'.

For licensing inquiries, please contact partnerships@abcam.com