JavaScript is disabled in your browser. Please enable JavaScript to view this website.
AB109464

Anti-Glutamate Receptor 1 (AMPA subtype) (phospho S831) 抗体 [EPR1887]

Anti-Glutamate Receptor 1 (AMPA subtype) (phospho S831) antibody [EPR1887]

Be the first to review this product! Submit a review

|

(41 Publications)

Rabbit Recombinant Monoclonal Glutamate Receptor 1 (AMPA subtype) phospho S831 antibody. Suitable for Dot, WB and reacts with Synthetic peptide, Mouse, Rat, Human samples. Cited in 41 publications.

查看别名

GLUA1, GLUH1, GLUR1, GRIA1, Glutamate receptor 1, GluR-1, AMPA-selective glutamate receptor 1, GluR-A, GluR-K1

5 Images
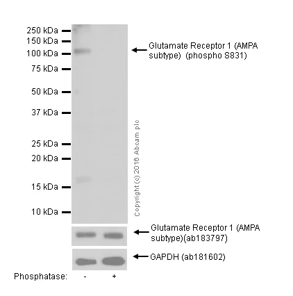
Western blot - Anti-Glutamate Receptor 1 (AMPA subtype) (phospho S831) antibody [EPR1887] (AB109464)
  • WB

Lab

Western blot - Anti-Glutamate Receptor 1 (AMPA subtype) (phospho S831) antibody [EPR1887] (AB109464)

Blocking buffer 5% NFDM/TBST

Diluting buffer 5% NFDM/TBST

All lanes:

Western blot - Anti-Glutamate Receptor 1 (AMPA subtype) (phospho S831) antibody [EPR1887] (ab109464) at 1/1000 dilution

Lane 1:

Human cerebellum whole cell lysates at 15 µg

Lane 2:

Human cerebellum whole cell lysates, the membrane was incubated with phosphatase. at 15 µg

Secondary

All lanes:

Western blot - Goat Anti-Rabbit IgG H&L (HRP) (<a href='/products/secondary-antibodies/goat-rabbit-igg-h-l-hrp-ab97051'>ab97051</a>) at 1/20000 dilution

Predicted band size: 102 kDa

Observed band size: 106 kDa

false

Exposure time: 10s

Western blot - Anti-Glutamate Receptor 1 (AMPA subtype) (phospho S831) antibody [EPR1887] (AB109464)
  • WB

Unknown

Western blot - Anti-Glutamate Receptor 1 (AMPA subtype) (phospho S831) antibody [EPR1887] (AB109464)

The lower panel shows Glutamate Receptor 1 detected with an alternative anti-Glutamate Receptor 1 antibody which is not dependent upon antigen phosphorylation.

All lanes:

Western blot - Anti-Glutamate Receptor 1 (AMPA subtype) (phospho S831) antibody [EPR1887] (ab109464) at 1/1000 dilution

Lane 1:

Rat brain lysates, untreated at 10 µg

Lane 2:

Rat brain lysates treated with Lambda Phosphatase at 10 µg

Secondary

All lanes:

HRP-labelled goat anti-rabbit at 1/2000 dilution

Predicted band size: 102 kDa

Observed band size: 106 kDa

false

Western blot - Anti-Glutamate Receptor 1 (AMPA subtype) (phospho S831) antibody [EPR1887] (AB109464)
  • WB

Lab

Western blot - Anti-Glutamate Receptor 1 (AMPA subtype) (phospho S831) antibody [EPR1887] (AB109464)

Blocking buffer 5% NFDM/TBST

Diluting buffer 5% NFDM/TBST

All lanes:

Western blot - Anti-Glutamate Receptor 1 (AMPA subtype) (phospho S831) antibody [EPR1887] (ab109464) at 1/1000 dilution

Lane 1:

Mouse hippocampus tissue lysate at 15 µg

Lane 2:

Mouse hippocampus tissue lysate, membrane incubated with phosphatase at 15 µg

Secondary

All lanes:

Western blot - Goat Anti-Rabbit IgG H&L (HRP) (<a href='/products/secondary-antibodies/goat-rabbit-igg-h-l-hrp-ab97051'>ab97051</a>) at 1/20000 dilution

Predicted band size: 102 kDa

Observed band size: 106 kDa

false

Exposure time: 5s

Dot Blot - Anti-Glutamate Receptor 1 (AMPA subtype) (phospho S831) antibody [EPR1887] (AB109464)
  • Dot

Lab

Dot Blot - Anti-Glutamate Receptor 1 (AMPA subtype) (phospho S831) antibody [EPR1887] (AB109464)

Dot blot analysis of Glutamate Receptor 1 (AMPA subtype) with ab109464 at 1/1000 exposed for 3 minutes. Peroxidase conjugated Goat Anti-Rabbit IgG (H+L) ab97051 (1/100000) was used as the secondary antibody. Blocking buffer 5% NFDM/TBST. Diluting buffer 5% NFDM/TBST.

Lane 1 : Glutamate Receptor 1 (AMPA subtype) (pS831) phospho peptide
Lane 2 : Glutamate Receptor 1 (AMPA subtype) non-phospho peptide

Western blot - Anti-Glutamate Receptor 1 (AMPA subtype) (phospho S831) antibody [EPR1887] (AB109464)
  • WB

CiteAb

Western blot - Anti-Glutamate Receptor 1 (AMPA subtype) (phospho S831) antibody [EPR1887] (AB109464)

Glutamate Receptor 1 (AMPA subtype) (phospho S831) western blot using anti-Glutamate Receptor 1 (AMPA subtype) (phospho S831) antibody [EPR1887] ab109464. Publication image and figure legend from Kim, J. E., Choi, H. C., et al., 2019, Front Cell Neurosci, PubMed 31118889.

ab109464 was used in this publication in western blot. This may not be the same as the application(s) guaranteed by Abcam. For a full list of applications guaranteed by Abcam for ab109464 please see the product overview.

Effects of MK801, perampanel (PER) and GYKI 52466 on GluR1 expression and its phosphorylations. MK801 does not affect GluR1 expression and its phosphorylations. Perampanel and GYKI 52466 reduce GluR1 expression, but increase GluR1-S831, not -S845, phosphorylation. (A) Representative images for western blot of GluR1, phospho (p)-GluR1-S831 and pGluR1-S845 levels in the hippocampal tissues. (B–D) Quantifications of GluR1, pGluR1-S831, and pGluR1-S845 levels. Open circles indicate each individual value. Horizontal bars indicate mean value. Error bars indicate SEM (*p < 0.05 vs. vehicle; n = 7, respectively).

false

不同偶联物与剂型 (1)

  • Carrier free

    Anti-Glutamate Receptor 1 (AMPA subtype) (phospho S831) antibody [EPR1887] - BSA and Azide free

关键信息

宿主种属

Rabbit

克隆

Monoclonal

克隆号

EPR1887

亚型

IgG

不含载体蛋白

No

反应种属

Mouse, Rat, Human

应用

WB, Dot

applications

免疫原

The exact immunogen used to generate this antibody is proprietary information.

特异性

ab109464 only detects Glutamate Receptor 1 phosphorylated at Serine 831.

反应性数据

{ "title": "Reactivity Data", "filters": { "stats": ["", "Species", "Dilution Info", "Notes"], "tabs": { "all-applications": {"fullname" : "All Applications", "shortname": "All Applications"}, "ICCIF" : {"fullname" : "Immunocytochemistry/ Immunofluorescence", "shortname":"ICC/IF"}, "FlowCyt" : {"fullname" : "Flow Cytometry", "shortname":"Flow Cyt"}, "Dot" : {"fullname" : "Dot Blot", "shortname":"Dot"}, "WB" : {"fullname" : "Western blot", "shortname":"WB"}, "IHCP" : {"fullname" : "Immunohistochemistry (Formalin/PFA-fixed paraffin-embedded sections)", "shortname":"IHC-P"} }, "product-promise": { "all": "all", "testedAndGuaranteed": "tested", "guaranteed": "expected", "predicted": "predicted", "notRecommended": "not-recommended" } }, "values": { "Human": { "ICCIF-species-checked": "notRecommended", "ICCIF-species-dilution-info": "", "ICCIF-species-notes": "<p></p>", "FlowCyt-species-checked": "notRecommended", "FlowCyt-species-dilution-info": "", "FlowCyt-species-notes": "<p></p>", "Dot-species-checked": "guaranteed", "Dot-species-dilution-info": "", "Dot-species-notes": "", "WB-species-checked": "testedAndGuaranteed", "WB-species-dilution-info": "1/1000 - 1/10000", "WB-species-notes": "<p></p>", "IHCP-species-checked": "notRecommended", "IHCP-species-dilution-info": "", "IHCP-species-notes": "<p></p>" }, "Mouse": { "ICCIF-species-checked": "notRecommended", "ICCIF-species-dilution-info": "", "ICCIF-species-notes": "<p></p>", "FlowCyt-species-checked": "notRecommended", "FlowCyt-species-dilution-info": "", "FlowCyt-species-notes": "<p></p>", "Dot-species-checked": "guaranteed", "Dot-species-dilution-info": "", "Dot-species-notes": "", "WB-species-checked": "testedAndGuaranteed", "WB-species-dilution-info": "1/1000 - 1/10000", "WB-species-notes": "<p></p>", "IHCP-species-checked": "notRecommended", "IHCP-species-dilution-info": "", "IHCP-species-notes": "<p></p>" }, "Rat": { "ICCIF-species-checked": "notRecommended", "ICCIF-species-dilution-info": "", "ICCIF-species-notes": "<p></p>", "FlowCyt-species-checked": "notRecommended", "FlowCyt-species-dilution-info": "", "FlowCyt-species-notes": "<p></p>", "Dot-species-checked": "guaranteed", "Dot-species-dilution-info": "", "Dot-species-notes": "", "WB-species-checked": "testedAndGuaranteed", "WB-species-dilution-info": "1/1000 - 1/10000", "WB-species-notes": "<p></p>", "IHCP-species-checked": "notRecommended", "IHCP-species-dilution-info": "", "IHCP-species-notes": "<p></p>" }, "Synthetic peptide": { "ICCIF-species-checked": "notRecommended", "ICCIF-species-dilution-info": "", "ICCIF-species-notes": "", "FlowCyt-species-checked": "notRecommended", "FlowCyt-species-dilution-info": "", "FlowCyt-species-notes": "", "Dot-species-checked": "testedAndGuaranteed", "Dot-species-dilution-info": "", "Dot-species-notes": "<p></p>", "WB-species-checked": "notRecommended", "WB-species-dilution-info": "", "WB-species-notes": "", "IHCP-species-checked": "notRecommended", "IHCP-species-dilution-info": "", "IHCP-species-notes": "" } } }

产品详情

Patented technology
Our RabMAb® technology is a patented hybridoma-based technology for making rabbit monoclonal antibodies. For details on our patents, please refer to RabMAb® patents.

What are the advantages of a recombinant monoclonal antibody?
This product is a recombinant monoclonal antibody, which offers several advantages including:

  • - High batch-to-batch consistency and reproducibility
  • - Improved sensitivity and specificity
  • - Long-term security of supply
  • - Animal-free batch production

For more information, read more on recombinant antibodies.

性能和储存信息

形式
Liquid
纯化工艺
Affinity purification Protein A
存储溶液
pH: 7.2 - 7.4 Preservative: 0.05% Sodium azide Constituents: 50% Tissue culture supernatant, 40% Glycerol (glycerin, glycerine), 9.85% Tris glycine, 0.1% BSA
运输条件
Blue Ice
推荐的短期储存条件
+4°C
推荐的长期储存条件
-20°C
储存信息
Stable for 12 months at -20°C

补充信息

This supplementary information is collated from multiple sources and compiled automatically.

Glutamate Receptor 1 (AMPA subtype) also known as GluR1 is a subunit of the AMPA receptor complex which mediates fast synaptic transmission in the central nervous system. It is an ionotropic receptor for glutamate functioning by opening ion channels to allow the flow of Na+ and Ca2+ ions across the cell membrane contributing to excitatory neurotransmission. The GluR1 subunit has a molecular mass of approximately 100 kDa. This receptor is commonly expressed in the brain regions such as the hippocampus and the cerebral cortex playing an important role in synaptic plasticity and memory formation.
Biological function summary

The GluR1 subunit is an essential component of the AMPA receptor complex which typically forms as a tetramer. This complex modulates synaptic strength and plasticity processes critical for learning and memory. The activity of AMPA receptors including those containing GluR1 is regulated by several auxiliary proteins and is essential for post-synaptic responses. The GluR1 subunit also interacts with other proteins such as TARPs which modulate its trafficking and channel properties.

Pathways

The GluR1-containing AMPA receptors participate significantly in the glutamatergic signaling pathway which is vital for fast excitatory synaptic transmission in the brain. This pathway also involves the NMDA receptors which work together with AMPA receptors to regulate synaptic plasticity and neuronal communication. Additionally the GluR1 interacts within the long-term potentiation (LTP) pathway contributing to the strengthening of synapses an essential mechanism underlying learning and memory.

Dysfunction in GluR1 and associated AMPA receptors has been implicated in conditions like Alzheimer's disease and epilepsy. Alzheimer's disease exhibits decreased synaptic transmission and plasticity linked to impaired GluR1 function and its interactions with NMDA receptors. In epilepsy abnormal GluR1 activity may contribute to heightened neuronal excitability and seizure propagation. Targeting GluR1 or associated pathways offers potential for therapeutic interventions in these disorders possibly through drugs such as memantine and NBQX which modulate receptor activity.

产品实验方案

For this product, it's our understanding that no specific protocols are required. You can visit:

靶点信息

Ionotropic glutamate receptor that functions as a ligand-gated cation channel, gated by L-glutamate and glutamatergic agonists such as alpha-amino-3-hydroxy-5-methyl-4-isoxazolepropionic acid (AMPA), quisqualic acid, and kainic acid (PubMed : 1311100, PubMed : 20805473, PubMed : 21172611, PubMed : 28628100, PubMed : 35675825). L-glutamate acts as an excitatory neurotransmitter at many synapses in the central nervous system. Binding of the excitatory neurotransmitter L-glutamate induces a conformation change, leading to the opening of the cation channel, and thereby converts the chemical signal to an electrical impulse upon entry of monovalent and divalent cations such as sodium and calcium. The receptor then desensitizes rapidly and enters in a transient inactive state, characterized by the presence of bound agonist (By similarity). In the presence of CACNG2 or CACNG4 or CACNG7 or CACNG8, shows resensitization which is characterized by a delayed accumulation of current flux upon continued application of L-glutamate (PubMed : 21172611). Resensitization is blocked by CNIH2 through interaction with CACNG8 in the CACNG8-containing AMPA receptors complex (PubMed : 21172611). Calcium (Ca(2+)) permeability depends on subunits composition and, heteromeric channels containing edited GRIA2 subunit are calcium-impermeable. Also permeable to other divalents cations such as strontium(2+) and magnesium(2+) and monovalent cations such as potassium(1+) and lithium(1+) (By similarity).
See full target information GRIA1 phospho S831

文献 (41)

Recent publications for all applications. Explore the full list and refine your search

Frontiers in molecular neuroscience 18:1635852 PubMed40771360

2025

Chronic reduction of synaptic proteins in the epileptogenic lesion of patients with hippocampal sclerosis.

Applications

Unspecified application

Species

Unspecified reactive species

Akiko Oota-Ishigaki,Nami Suzuki,Keiya Iijima,Yutaro Takayama,Yuiko Kimura,Kotaro Hattori,Masaki Iwasaki,Takashi Hayashi

Scientific reports 15:20990 PubMed40594196

2025

Automated gait analysis indicates efficacy of T-type calcium channel inhibition for mitigation of disrupted calcium signalling in an SCA5 mouse model.

Applications

Unspecified application

Species

Unspecified reactive species

Daumante Suminaite,Nurul Fatihah Talib,Sophie Jane Pettegree,Han Chew Gaelan Tan,Yvonne Louise Odey,Emma Margaret Perkins,Alastair Robert Lyndon,Paul Andrew Skehel,Mandy Jackson

Neuroscience bulletin 40:1649-1666 PubMed38954270

2024

The Chemokine CCL2 Promotes Excitatory Synaptic Transmission in Hippocampal Neurons via GluA1 Subunit Trafficking.

Applications

Unspecified application

Species

Unspecified reactive species

En Ji,Yuanyuan Zhang,Zhiqiang Li,Lai Wei,Zhaofa Wu,Yulong Li,Xiang Yu,Tian-Jia Song

Molecular brain 17:35 PubMed38858726

2024

Exploration of new space elicits phosphorylation of GluA1(Ser831) and S6K and expression of Arc in the hippocampus in vivo as in long-term potentiation.

Applications

Unspecified application

Species

Unspecified reactive species

Roberta Cagnetta,Jean-Claude Lacaille,Nahum Sonenberg

ACS omega 9:21838-21850 PubMed38799363

2024

Activation of GPR55 Ameliorates Maternal Separation-Induced Learning and Memory Deficits by Augmenting 5-HT Synthesis in the Dorsal Raphe Nucleus of Juvenile Mice.

Applications

Unspecified application

Species

Unspecified reactive species

Ting Sun,Ya-Ya Du,Yong-Qiang Zhang,Qin-Qin Tian,Xi Li,Jiao-Yan Yu,Yan-Yan Guo,Qing-Qing Liu,Le Yang,Yu-Mei Wu,Qi Yang,Ming-Gao Zhao

CNS neuroscience & therapeutics 30:e14573 PubMed38421101

2024

HDAC9-mediated calmodulin deacetylation induces memory impairment in Alzheimer's disease.

Applications

Unspecified application

Species

Unspecified reactive species

Hai-Long Zhang,Shufen Hu,Pin Yang,Han-Chun Long,Quan-Hong Ma,Dong-Min Yin,Guang-Yin Xu

British journal of pharmacology 181:2012-2032 PubMed38112022

2023

A novel role for microtubule affinity-regulating kinases in neuropathic pain.

Applications

Unspecified application

Species

Unspecified reactive species

Yao-Qin Shi,Zhi-Hong Sun,Zhe-Zhe Wang,Chun-Yu Su,Wei Zhang,Lin-Yao Yu,Yang Xu,Yong-Lin Gao,Hong-Bo Wang,Jing-Wei Tian,Chun-Mei Li

Molecular pain 19:17448069231222406 PubMed38073552

2023

A-kinase anchoring protein 79/150 coordinates α-amino-3-hydroxy-5-methyl-4-isoxazolepropionic acid receptor sensitization in sensory neurons.

Applications

Unspecified application

Species

Unspecified reactive species

Yan Zhang,Nathaniel A Jeske

Evidence-based complementary and alternative medicine : eCAM 2023:6035589 PubMed37808130

2023

The Effects of Ninjinyoeito on Impaired Spatial Memory and Prefrontal Cortical Synaptic Plasticity through -Amino-3-hydroxy-5-4-isoxazole Propionic Acid Receptor Subunit in a Rat Model with Cerebral Ischemia and -Amyloid Injection.

Applications

Unspecified application

Species

Unspecified reactive species

Masaki Nagao,Akinobu Hatae,Kazuma Mine,Soichiro Tsutsumi,Hiroya Omori,Marika Hirata,Maaya Arimatsu,Chise Taniguchi,Takuya Watanabe,Kaori Kubota,Shutaro Katsurabayashi,Katsunori Iwasaki

Scientific reports 13:13927 PubMed37626185

2023

PDI augments kainic acid-induced seizure activity and neuronal death by inhibiting PP2A-GluA2-PICK1-mediated AMPA receptor internalization in the mouse hippocampus.

Applications

Unspecified application

Species

Unspecified reactive species

Duk-Shin Lee,Tae-Hyun Kim,Hana Park,Ji-Eun Kim
View all publications

Abcam Product Promise

我们致力于为您的研究提供高质量的试剂,为您科研的每一步提供支持。若我们的产品未能达到预期性能,我们向您提供 Abcam Product Promise 保障。
详情请参阅我们的条款与条件。

Please note: All products are 'FOR RESEARCH USE ONLY. NOT FOR USE IN DIAGNOSTIC OR THERAPEUTIC PROCEDURES'.

For licensing inquiries, please contact partnerships@abcam.com