JavaScript is disabled in your browser. Please enable JavaScript to view this website.
AB216620

Anti-GLP2抗体

Anti-GLP2 antibody

4

(1 Review)

|

(1 Publication)

Rabbit Polyclonal GLP-1 antibody. Suitable for IHC-P and reacts with Human samples. Cited in 1 publication. Immunogen corresponding to Synthetic Peptide within Human GCG aa 1-50 conjugated to Keyhole Limpet Haemocyanin.

查看别名

Pro-glucagon, GCG

1 Images
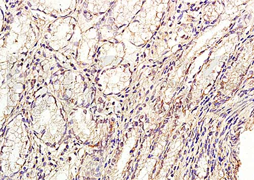
Immunohistochemistry (Formalin/PFA-fixed paraffin-embedded sections) - Anti-GLP2 antibody (AB216620)
  • IHC-P

Supplier Data

Immunohistochemistry (Formalin/PFA-fixed paraffin-embedded sections) - Anti-GLP2 antibody (AB216620)

Immunohistochemical analysis of formalin-fixed, paraffin-embedded human stomach tissue labeling GLP2 with ab216620 at 1/200 dilution, followed by conjugation to the secondary antibody and DAB staining.

关键信息

宿主种属

Rabbit

克隆

Polyclonal

亚型

IgG

不含载体蛋白

No

反应种属

Human

应用

IHC-P

applications

免疫原

Synthetic Peptide within Human GCG aa 1-50 conjugated to Keyhole Limpet Haemocyanin. The exact immunogen used to generate this antibody is proprietary information.

P01275

反应性数据

{ "title": "Reactivity Data", "filters": { "stats": ["", "Species", "Dilution Info", "Notes"], "tabs": { "all-applications": {"fullname" : "All Applications", "shortname": "All Applications"}, "IHCP" : {"fullname" : "Immunohistochemistry (Formalin/PFA-fixed paraffin-embedded sections)", "shortname":"IHC-P"} }, "product-promise": { "all": "all", "testedAndGuaranteed": "tested", "guaranteed": "expected", "predicted": "predicted", "notRecommended": "not-recommended" } }, "values": { "Human": { "IHCP-species-checked": "testedAndGuaranteed", "IHCP-species-dilution-info": "1/100 - 1/500", "IHCP-species-notes": "<p></p>" }, "Mouse": { "IHCP-species-checked": "predicted", "IHCP-species-dilution-info": "", "IHCP-species-notes": "" }, "Rat": { "IHCP-species-checked": "predicted", "IHCP-species-dilution-info": "", "IHCP-species-notes": "" } } }

性能和储存信息

形式
Liquid
纯化工艺
Affinity purification Protein A
存储溶液
pH: 7.4 Preservative: 0.02% Proclin 300 Constituents: 50% Glycerol (glycerin, glycerine), 48.98% TBS, 1X, 1% BSA
运输条件
Blue Ice
推荐的短期储存时间
1-2 weeks
推荐的短期储存条件
+4°C
推荐的长期储存条件
-20°C
分装信息
Upon delivery aliquot
储存信息
Avoid freeze / thaw cycle

补充信息

This supplementary information is collated from multiple sources and compiled automatically.

Glucagon-like peptide 2 (GLP2) also known as glucagon-like peptide-2 and GLP-2 is a peptide that is derived from the proglucagon gene and weighs approximately 4.2 kDa. It is expressed mostly in the intestinal mucosa particularly in the L-cells of the ileum and colon. GLP2 is a 33-amino-acid peptide hormone that is secreted in response to nutrient intake. This peptide is involved in various bodily functions acting mainly in the gastrointestinal tract.
Biological function summary

GLP2 functions to enhance intestinal growth and nutrient absorption. It promotes mucosal epithelial growth increases villus height and reduces gut permeability. These actions make GLP2 critical for maintaining the structural and functional integrity of the gastrointestinal tract. It operates independently and is not part of a larger protein complex but works alongside similar hormones for gut homeostasis.

Pathways

GLP2 is involved in the enteroendocrine signaling pathway. This includes the modulation of the GLP2 receptor which impacts intestinal growth and function. The peptide also shows interplay with proteins like glucagon-like peptide 1 (GLP1) as both affect energy balance and glucose homeostasis although through different mechanisms. GLP2's primary role in enhancing nutrient absorption complements GLP1's efforts in glucose regulation.

GLP2's link to short bowel syndrome and inflammatory bowel disease highlights its therapeutic potential. Its ability to improve intestinal adaptation and reduce inflammation positions GLP2 as a candidate for treating these conditions. Additionally a connection exists with glucagon-like peptide 1 (GLP1) due to their common origin and overlapping pathways although each has distinct functions and disease relevance.

产品实验方案

For this product, it's our understanding that no specific protocols are required. You can visit:

靶点信息

Glucagon. Plays a key role in glucose metabolism and homeostasis. Regulates blood glucose by increasing gluconeogenesis and decreasing glycolysis. A counterregulatory hormone of insulin, raises plasma glucose levels in response to insulin-induced hypoglycemia. Plays an important role in initiating and maintaining hyperglycemic conditions in diabetes.. Glucagon-like peptide 1. Potent stimulator of glucose-dependent insulin release. Also stimulates insulin release in response to IL6 (PubMed : 22037645). Plays important roles on gastric motility and the suppression of plasma glucagon levels. May be involved in the suppression of satiety and stimulation of glucose disposal in peripheral tissues, independent of the actions of insulin. Has growth-promoting activities on intestinal epithelium. May also regulate the hypothalamic pituitary axis (HPA) via effects on LH, TSH, CRH, oxytocin, and vasopressin secretion. Increases islet mass through stimulation of islet neogenesis and pancreatic beta cell proliferation. Inhibits beta cell apoptosis (Probable).. Glucagon-like peptide 2. Stimulates intestinal growth and up-regulates villus height in the small intestine, concomitant with increased crypt cell proliferation and decreased enterocyte apoptosis. The gastrointestinal tract, from the stomach to the colon is the principal target for GLP-2 action. Plays a key role in nutrient homeostasis, enhancing nutrient assimilation through enhanced gastrointestinal function, as well as increasing nutrient disposal. Stimulates intestinal glucose transport and decreases mucosal permeability.. Oxyntomodulin. Significantly reduces food intake. Inhibits gastric emptying in humans. Suppression of gastric emptying may lead to increased gastric distension, which may contribute to satiety by causing a sensation of fullness.. Glicentin. May modulate gastric acid secretion and the gastro-pyloro-duodenal activity. May play an important role in intestinal mucosal growth in the early period of life.
See full target information GCG

文献 (1)

Recent publications for all applications. Explore the full list and refine your search

Physiological reports 11: PubMed37962017

2023

The effects of treadmill exercise on brain angiogenesis in ovariectomized rats.

Applications

Unspecified application

Species

Unspecified reactive species

Eun-Jung Yoon,Jiwon Jeong,Eunji Yoon,Dongsun Park
View all publications

Abcam Product Promise

我们致力于为您的研究提供高质量的试剂,为您科研的每一步提供支持。若我们的产品未能达到预期性能,我们向您提供 Abcam Product Promise 保障。
详情请参阅我们的条款与条件。

Please note: All products are 'FOR RESEARCH USE ONLY. NOT FOR USE IN DIAGNOSTIC OR THERAPEUTIC PROCEDURES'.

For licensing inquiries, please contact partnerships@abcam.com