JavaScript is disabled in your browser. Please enable JavaScript to view this website.
AB218532

重组Anti-GLP-1R抗体[EPR21819]

Anti-GLP-1R antibody [EPR21819]

  • BOND RX™ Validated
  • RabMAb
  • Recombinant
  • KO Validated
  • 20ul selling size
  • 了解详情

4

(6 Reviews)

|

(30 Publications)

Anti-GLP-1R antibody [EPR21819] (ab218532) is a rabbit monoclonal antibody detecting GLP-1R in Western Blot, IHC-P, IHC-Fr. Suitable for Mouse, Rat.

- KO validated for confirmed specificity
- Biophysical QC for unrivalled batch-batch consistency
- Over 20 publications

查看别名

Glucagon-like peptide 1 receptor, GLP-1 receptor, GLP-1-R, GLP-1R, Glp1r

6 Images
Immunohistochemistry (Frozen sections) - Anti-GLP-1R antibody [EPR21819] (AB218532)
  • IHC-Fr

Supplier Data

Immunohistochemistry (Frozen sections) - Anti-GLP-1R antibody [EPR21819] (AB218532)

4% paraformaldehyde-fixed, 0.2% Triton X-100 permeabilized mouse pancreas tissue stained for GLP-1R (green) using ab218532 at 1/500 dilution, followed by AlexaFluor®488 Goat anti-Rabbit secondary antibody at 1/1000 dilution. Positive cytoplasmic and membranous staining in mouse pancreatic islet cells (PMID : 18541709; 24695667) is observed. Nuclear counterstained with DAPI.

Secondary antibody only control : Used PBS instead of primary antibody, secondary antibody is AlexaFluor®488 Goat anti-Rabbit secondary antibody at 1/1000 dilution.

Heat-mediated antigen retrieval using Tris-EDTA buffer (pH9.0) (ab94681).

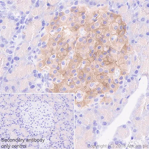
Immunohistochemistry (Formalin/PFA-fixed paraffin-embedded sections) - Anti-GLP-1R antibody [EPR21819] (AB218532)
  • IHC-P

Supplier Data

Immunohistochemistry (Formalin/PFA-fixed paraffin-embedded sections) - Anti-GLP-1R antibody [EPR21819] (AB218532)

Immunohistochemical analysis of paraffin-embedded mouse pancreas tissue stained for GLP-1R using ab218532 at 1/2000 dilution, followed by a ready to use Goat Anti-Rabbit IgG H&L (HRP). Positive staining of mouse pancreatic islet cells (PMID : 24467746) is observed. Counterstained with hematoxylin.

Secondary antibody only control : Used PBS instead of primary antibody, secondary antibody is a ready to use Goat Anti-Rabbit IgG H&L (HRP).

Performed heat mediated antigen retrieval using ab93684 (Tris/EDTA buffer, pH 9.0).

Immunohistochemistry (Frozen sections) - Anti-GLP-1R antibody [EPR21819] (AB218532)
  • IHC-Fr

Supplier Data

Immunohistochemistry (Frozen sections) - Anti-GLP-1R antibody [EPR21819] (AB218532)

4% paraformaldehyde-fixed, 0.2% Triton X-100 permeabilized rat pancreas tissue stained for GLP-1R (green) using ab218532 at 1/500 dilution, followed by AlexaFluor®488 Goat anti-Rabbit secondary antibody at 1/1000 dilution. Positive cytoplasmic and membranous staining in rat pancreatic islet cells (PMID : 18541709; 24695667) is observed. Nuclear counterstained with DAPI.

Secondary antibody only control : Used PBS instead of primary antibody, secondary antibody is AlexaFluor®488 Goat anti-Rabbit secondary antibody at 1/1000 dilution.

Heat-mediated antigen retrieval using Tris-EDTA buffer (pH9.0) (ab94681).

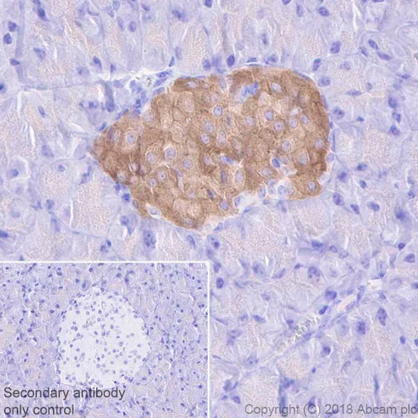
Immunohistochemistry (Formalin/PFA-fixed paraffin-embedded sections) - Anti-GLP-1R antibody [EPR21819] (AB218532)
  • IHC-P

Supplier Data

Immunohistochemistry (Formalin/PFA-fixed paraffin-embedded sections) - Anti-GLP-1R antibody [EPR21819] (AB218532)

Immunohistochemical analysis of paraffin-embedded rat pancreas tissue stained for GLP-1R using ab218532 at 1/1000 dilution, followed by a ready to use Goat Anti-Rabbit IgG H&L (HRP). Cytoplasmic and membranous staining in rat pancreatic islet cells (PMID : 24467746) is observed. Counterstained with hematoxylin.

Secondary antibody only control : Used PBS instead of primary antibody, secondary antibody is a ready to use Goat Anti-Rabbit IgG H&L (HRP).

Performed heat mediated antigen retrieval using ab93684 (Tris/EDTA buffer, pH 9.0).

Immunohistochemistry (Formalin/PFA-fixed paraffin-embedded sections) - Anti-GLP-1R antibody [EPR21819] (AB218532)
  • IHC-P

Lab

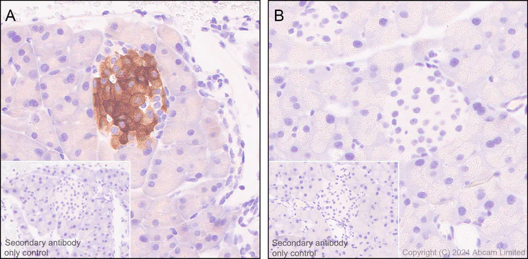
Immunohistochemistry (Formalin/PFA-fixed paraffin-embedded sections) - Anti-GLP-1R antibody [EPR21819] (AB218532)

Immunohistochemical analysis of paraffin-embedded (A) Pancreas tissue from wild-type C57BL/6JGpt mice and (B) Pancreas tissue from GLP-1R knockout mice tissue labeling GLP-1R with ab218532 at 1/1000 dilution, followed by a ready to use LeicaDS9800 (Bond Polymer Refine Detection).

Positive staining on (A) Pancreas tissue from wild-type C57BL/6JGpt mice and no staining on (B) Pancreas tissue from GLP-1R knockout mice.
The section was incubated with ab218532 for 30 mins at room temperature.
The immunostaining was performed on a Leica Biosystems BOND® RX instrument.
The tissue samples were kindly provided by GemPharmatech. C57BL/6JGpt wildtype mice and GLP-1R-KO homozygous mice (Strain ID : T006049).

Counterstained with Hematoxylin.

Secondary antibody only control : Secondary antibody is a ready to use LeicaDS9800 (Bond Polymer Refine Detection).

Heat mediated antigen retrieval was performed with Tris-EDTA buffer (pH 9.0, Epitope Retrieval Solution2) for 20 mins.

Western blot - Anti-GLP-1R antibody [EPR21819] (AB218532)
  • WB

Lab

Western blot - Anti-GLP-1R antibody [EPR21819] (AB218532)

Blocking and diluting buffer and concentration : 5% NFDM/TBST.

All lanes:

Western blot - Anti-GLP-1R antibody [EPR21819] (ab218532) at 1/1000 dilution

Lane 1:

Beta-TC-6 (Mouse pancreas insulinoma beta cell) whole cell lysate boiled. at 20 µg

Lane 2:

Beta-TC-6 (Mouse pancreas insulinoma beta cell) whole cell lysate unboiled. at 20 µg

Secondary

All lanes:

Western blot - Goat Anti-Rabbit IgG H&L (HRP) (<a href='/products/secondary-antibodies/goat-rabbit-igg-h-l-hrp-ab97051'>ab97051</a>) at 1/100000 dilution

Predicted band size: 53 kDa

Observed band size: 46.66 kDa

false

Exposure time: 20s

不同偶联物与剂型 (1)

  • Carrier free

    Anti-GLP-1R antibody [EPR21819] - BSA and Azide free

关键信息

宿主种属

Rabbit

克隆

Monoclonal

克隆号

EPR21819

亚型

IgG

不含载体蛋白

No

反应种属

Mouse, Rat

应用

WB, IHC-Fr, IHC-P

applications

免疫原

The exact immunogen used to generate this antibody is proprietary information.

特异性

Rat species is recommended based on IHC-P / IHC-Fr results, we do not guarantee WB for rat.

反应性数据

{ "title": "Reactivity Data", "filters": { "stats": ["", "Species", "Dilution Info", "Notes"], "tabs": { "all-applications": {"fullname" : "All Applications", "shortname": "All Applications"}, "WB" : {"fullname" : "Western blot", "shortname":"WB"}, "IHCFr" : {"fullname" : "Immunohistochemistry (Frozen sections)", "shortname":"IHC-Fr"}, "IHCP" : {"fullname" : "Immunohistochemistry (Formalin/PFA-fixed paraffin-embedded sections)", "shortname":"IHC-P"} }, "product-promise": { "all": "all", "testedAndGuaranteed": "tested", "guaranteed": "expected", "predicted": "predicted", "notRecommended": "not-recommended" } }, "values": { "Mouse": { "WB-species-checked": "testedAndGuaranteed", "WB-species-dilution-info": "1/1000", "WB-species-notes": "<p>Rat species is recommended based on IHC-P/ IHC-Fr results, we do not guarantee WB for rat.</p>", "IHCFr-species-checked": "testedAndGuaranteed", "IHCFr-species-dilution-info": "1/500", "IHCFr-species-notes": "<p>Heat-mediated antigen retrieval using Tris-EDTA buffer (pH9.0) (<a href='/products/unavailable/antigen-retrieval-buffer-100x-tris-edta-buffer-ph-90-ab94681'>ab94681</a>)</p>", "IHCP-species-checked": "testedAndGuaranteed", "IHCP-species-dilution-info": "1/1000 - 1/2000", "IHCP-species-notes": "<p></p>" }, "Rat": { "WB-species-checked": "notRecommended", "WB-species-dilution-info": "", "WB-species-notes": "<p></p>", "IHCFr-species-checked": "testedAndGuaranteed", "IHCFr-species-dilution-info": "1/500", "IHCFr-species-notes": "<p>Heat-mediated antigen retrieval using Tris-EDTA buffer (pH9.0) (<a href='/products/unavailable/antigen-retrieval-buffer-100x-tris-edta-buffer-ph-90-ab94681'>ab94681</a>)</p>", "IHCP-species-checked": "testedAndGuaranteed", "IHCP-species-dilution-info": "1/1000 - 1/2000", "IHCP-species-notes": "<p>(Use at 1:1000 for rat species)</p><p>Performed heat mediated antigen retrieval using <a href='/products/buffers/antigen-retrieval-buffer-100x-tris-edta-buffer-ph-90-ab93684'>ab93684</a> (Tris/EDTA buffer, pH 9.0).</p>" } } }

产品详情

Product Specifications
Anti-GLP-1R antibody [EPR21819] (ab218532) was developed by Abcam using patented rabbit monoclonal antibody technology and is validated for use in IHC-Fr, IHC-P, WB in mouse, rat samples.
Anti-GLP-1R antibody [EPR21819] (ab218532) specifically detects GLP-1R (UniProt ID: O35659; Molecular weight: 51kDa) and is sold in 100 µL and 1 mL selling sizes.

Quality and Validation
Abcam's high quality manufacturing and validation processes ensure Anti-GLP-1R antibody [EPR21819] (ab218532) has high sensitivity and specificity alongside high lot-to-lot consistency and reproducibility.
Anti-GLP-1R antibody [EPR21819] (ab218532) has been cited over 20 times in peer reviewed journals and is trusted by the scientific community.
Anti-GLP-1R antibody [EPR21819] (ab218532) has 6 independent reviews from customers.

Patented technology
Our RabMAb® technology is a patented hybridoma-based technology for making rabbit monoclonal antibodies. For details on our patents, please refer to RabMAb® patents.

What are the advantages of a recombinant monoclonal antibody?
This product is a recombinant monoclonal antibody, which offers several advantages including:

  • - High batch-to-batch consistency and reproducibility
  • - Improved sensitivity and specificity
  • - Long-term security of supply
  • - Animal-free batch production

For more information, read more on recombinant antibodies.

性能和储存信息

形式
Liquid
纯化工艺
Affinity purification Protein A
存储溶液
pH: 7.2 - 7.4 Preservative: 0.01% Sodium azide Constituents: PBS, 40% Glycerol (glycerin, glycerine), 0.05% BSA
运输条件
Blue Ice
推荐的短期储存时间
1-2 weeks
推荐的短期储存条件
+4°C
推荐的长期储存条件
-20°C
分装信息
Upon delivery aliquot
储存信息
Avoid freeze / thaw cycle

补充信息

This supplementary information is collated from multiple sources and compiled automatically.

GLP-1R also known as glucagon-like peptide-1 receptor plays an important role in glucose metabolism. This receptor is a member of the class B family of G protein-coupled receptors (GPCRs) and has a molecular mass of approximately 53 kDa. GLP-1R is expressed in pancreatic beta cells the central nervous system and other peripheral tissues. It binds to GLP-1 a peptide hormone initiating a cascade of intracellular signaling that is essential for its physiological functions.
Biological function summary

GLP-1R serves as an important player in the regulation of insulin secretion. It is not part of a complex but acts as a standalone receptor. When GLP-1 binds to GLP-1R it triggers the activation of adenylyl cyclase increasing cyclic AMP levels and facilitating insulin secretion. This process is glucose-dependent meaning that it enhances insulin release only when blood glucose levels are elevated therefore preventing hypoglycemia.

Pathways

GLP-1R is an integral component of the incretin signaling pathway and the insulin signaling pathway. Through these pathways it influences key metabolic processes. Incretin hormones like GLP-1 improve glucose-dependent insulin secretion involving proteins such as GLP-1R and other incretin-related receptors. Additionally GLP-1R interacts with insulin receptor pathways to modulate glucose uptake in tissues.

GLP-1R has significant implications in type 2 diabetes and obesity. Its role in enhancing insulin secretion makes it a target for therapeutic interventions using GLP-1 analogs like liraglutide. Liraglutide structure mimics natural GLP-1 effectively agonizing GLP-1R to achieve desired metabolic outcomes. Additionally liraglutide GLP-1 analog therapies show promise in obesity management by influencing appetite regulation through GLP-1R pathways in the central nervous system.

产品实验方案

For this product, it's our understanding that no specific protocols are required. You can visit:

靶点信息

G-protein coupled receptor for glucagon-like peptide 1 (GLP-1) (PubMed : 9568699). Ligand binding triggers activation of a signaling cascade that leads to the activation of adenylyl cyclase and increased intracellular cAMP levels (By similarity). Plays a role in regulating insulin secretion in response to GLP-1 (PubMed : 9568699).
See full target information Glucagon-like peptide 1 receptor

文献 (30)

Recent publications for all applications. Explore the full list and refine your search

International journal of molecular medicine 56: PubMed40709382

2025

Dulaglutide markedly prevents peritoneal fibrosis in a rodent model of chronic kidney disease: Insights into the pathogenesis.

Applications

Unspecified application

Species

Unspecified reactive species

Chih-Chao Yang,Ya Yue,Yi-Ting Wang,John Y Chiang,Ben-Chung Cheng,Tsuen-Wei Hsu,Yi-Ling Chen,Yi-Chen Li,Hon-Kan Yip

Nature medicine 31:3128-3140 PubMed40691365

2025

Modulation of metabolic, inflammatory and fibrotic pathways by semaglutide in metabolic dysfunction-associated steatohepatitis.

Applications

Unspecified application

Species

Unspecified reactive species

Maximilian Jara,Jenny Norlin,Mette Skalshøi Kjær,Kasper Almholt,Kristian M Bendtsen,Elisabetta Bugianesi,Kenneth Cusi,Elisabeth D Galsgaard,Milan Geybels,Lise L Gluud,Lea M Harder,Rohit Loomba,Gianluca Mazzoni,Philip N Newsome,Louise M Nitze,Mads S Palle,Vlad Ratziu,Anne-Sophie Sejling,Vincent W-S Wong,Quentin M Anstee,Lotte B Knudsen

International journal of molecular sciences 26: PubMed40076675

2025

Neurons Co-Expressing GLP-1, CCK, and PYY Receptors Particularly in Right Nodose Ganglion and Innervating Entire GI Tract in Mice.

Applications

Unspecified application

Species

Unspecified reactive species

Elizabeth Laura Lansbury,Vasiliki Vana,Mari Lilith Lund,Mette Q Ludwig,Esmira Mamedova,Laurent Gautron,Myrtha Arnold,Kristoffer Lihme Egerod,Rune Ehrenreich Kuhre,Jens Juul Holst,Jens Rekling,Thue W Schwartz,Stanislava Pankratova,Oksana Dmytriyeva

Scientific reports 14:17867 PubMed39090182

2024

Sodium butyrate improves renal injury in diabetic nephropathy through AMPK/SIRT1/PGC-1α signaling pathway.

Applications

Unspecified application

Species

Unspecified reactive species

Kaili Ye,Yanling Zhao,Wen Huang,Yonglin Zhu

Molecular medicine (Cambridge, Mass.) 30:58 PubMed38720283

2024

Glucagon-like peptide-1 receptor agonist exendin 4 ameliorates diabetes-associated vascular calcification by regulating mitophagy through the AMPK signaling pathway.

Applications

Unspecified application

Species

Unspecified reactive species

Kui Chen,Hao-Jie Jin,Zi-Heng Wu,Bao-Fu Zhang,Jun Wu,Zi-Yi Huang,Ying-Peng Huang,Xin-Wu Lu,Xiang-Tao Zheng

World journal of methodology 14:88518 PubMed38577198

2024

Rikkunshito increases peripheral incretin-hormone levels in humans and rats.

Applications

Unspecified application

Species

Unspecified reactive species

Hiroshi Kono,Shinji Furuya,Hidenori Akaike,Katsutoshi Shoda,Yoshihiko Kawaguchi,Hidetake Amemiya,Hiromichi Kawaida,Daisuke Ichikawa

PloS one 18:e0296006 PubMed38117787

2023

High frequency of germline recombination in Nestin-Cre transgenic mice crossed with Glucagon-like peptide 1 receptor floxed mice.

Applications

Unspecified application

Species

Unspecified reactive species

Yusuke Kajitani,Takashi Miyazawa,Tomoaki Inoue,Nao Kajitani,Masamichi Fujita,Yukina Takeichi,Yasutaka Miyachi,Ryuichi Sakamoto,Yoshihiro Ogawa

Iranian journal of basic medical sciences 26:1423-1430 PubMed37970444

2023

Considering the protective effect of exendin-4 against oxidative stress in spiral ganglion neurons.

Applications

Unspecified application

Species

Unspecified reactive species

Hongxia Wu,Yangxi Ou,Siji Wang,Fenghui Yu,Xiaoxia Fan,Houyong Kang,Tao Chen

Endocrine connections 12: PubMed37681442

2023

Effects of liraglutide on ANP secretion and cardiac dynamics.

Applications

Unspecified application

Species

Unspecified reactive species

Shenghe Luo,Yunhui Zuo,Xiaotian Cui,Meiping Zhang,Honghua Jin,Lan Hong

Endocrine connections 12: PubMed37522848

2023

Protective effect of GLP-1 analog liraglutide on podocytes in mice with diabetic nephropathy.

Applications

Unspecified application

Species

Unspecified reactive species

Shaomin Shi,Xinghua Chen,Wen Yu,Xiaolan Ke,Tean Ma
View all publications

Abcam Product Promise

我们致力于为您的研究提供高质量的试剂,为您科研的每一步提供支持。若我们的产品未能达到预期性能,我们向您提供 Abcam Product Promise 保障。
详情请参阅我们的条款与条件。

Please note: All products are 'FOR RESEARCH USE ONLY. NOT FOR USE IN DIAGNOSTIC OR THERAPEUTIC PROCEDURES'.

For licensing inquiries, please contact partnerships@abcam.com