JavaScript is disabled in your browser. Please enable JavaScript to view this website.
AB108443

重组Anti-GLP-1抗体[EPR4042-1]

Anti-GLP-1 antibody [EPR4042-1]

  • BOND RX™ Validated
  • RabMAb
  • Recombinant
  • Lab Essentials
  • 了解详情

1

(1 Review)

|

(4 Publications)

Anti-GLP-1 antibody [EPR4042-1] (ab108443) is a rabbit monoclonal antibody detecting GLP-1 in Western Blot, IHC-P, ICC/IF, ELISA. Suitable for Human, Mouse, Rat.

- Biophysical QC for unrivalled batch-batch consistency

查看别名

Pro-glucagon, GCG

11 Images
Immunohistochemistry (Formalin/PFA-fixed paraffin-embedded sections) - Anti-GLP-1 antibody [EPR4042-1] (AB108443)
  • IHC-P

Unknown

Immunohistochemistry (Formalin/PFA-fixed paraffin-embedded sections) - Anti-GLP-1 antibody [EPR4042-1] (AB108443)

Immunohistochemical staining of paraffin embedded human liver with purified ab108443 at a working dilution of 1/200. The secondary antibody used is HRP goat anti-rabbit IgG H&L (ab97051) at 1/500. The sample is counter-stained with hematoxylin. Antigen retrieval was perfomed using Tris-EDTA buffer, pH 9.0. PBS was used instead of the primary antibody as the negative control, and is shown in the inset.

Immunohistochemistry (Formalin/PFA-fixed paraffin-embedded sections) - Anti-GLP-1 antibody [EPR4042-1] (AB108443)
  • IHC-P

Unknown

Immunohistochemistry (Formalin/PFA-fixed paraffin-embedded sections) - Anti-GLP-1 antibody [EPR4042-1] (AB108443)

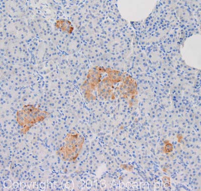
Immunohistochemical staining of paraffin embedded human pancreas with purified ab108443 at a working dilution of 1/200. The secondary antibody used is HRP goat anti-rabbit IgG H&L (ab97051) at 1/500. The sample is counter-stained with hematoxylin. Antigen retrieval was perfomed using Tris-EDTA buffer, pH 9.0. PBS was used instead of the primary antibody as the negative control, and is shown in the inset.

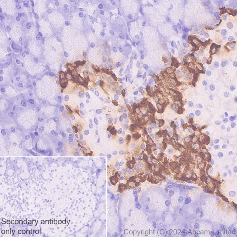
Immunohistochemistry (Formalin/PFA-fixed paraffin-embedded sections) - Anti-GLP-1 antibody [EPR4042-1] (AB108443)
  • IHC-P

Unknown

Immunohistochemistry (Formalin/PFA-fixed paraffin-embedded sections) - Anti-GLP-1 antibody [EPR4042-1] (AB108443)

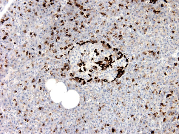
Unpurified ab108443 at 1/100 dilution staining Glicentin in Human pancreas tissue by immunohistochemistry

Perform heat mediated antigen retrieval with citrate buffer pH 6 before commencing with IHC staining protocol.

Immunocytochemistry/ Immunofluorescence - Anti-GLP-1 antibody [EPR4042-1] (AB108443)
  • ICC/IF

Unknown

Immunocytochemistry/ Immunofluorescence - Anti-GLP-1 antibody [EPR4042-1] (AB108443)

Immunofluorescence staining of BxPC-3 cells with purified ab108443 at a working dilution of 1/800, counter-stained with DAPI. The secondary antibody was Alexa Fluor® 488 goat anti-rabbit (ab150077), used at a dilution of 1/1000. ab7291, a mouse anti-tubulin antibody (1/1000), was used to stain tubulin along with ab150120 (Alexa Fluor® 594 goat anti-mouse, 1/1000), shown in the top right hand panel. The cells were fixed in 4% PFA and permeabilized using 0.1% Triton X 100. The negative controls are shown in bottom middle and right hand panels - for negative control 1, purified ab108443 was used at a dilution of 1/500 followed by an Alexa Fluor® 594 goat anti-mouse antibody (ab150120) at a dilution of 1/500. For negative control 2, ab7291 (mouse anti-tubulin) was used at a dilution of 1/500 followed by an Alexa Fluor® 488 goat anti-rabbit antibody (ab150077) at a dilution of 1/400.

Immunohistochemistry (Formalin/PFA-fixed paraffin-embedded sections) - Anti-GLP-1 antibody [EPR4042-1] (AB108443)
  • IHC-P

Lab

Immunohistochemistry (Formalin/PFA-fixed paraffin-embedded sections) - Anti-GLP-1 antibody [EPR4042-1] (AB108443)

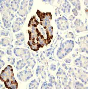
Immunohistochemistry analysis of paraffin-embedded sections of rat pancreas tissue staining GLP-1 with ab108443 at 1/3000 dilution and ready-to-use secondary Rabbit specific IHC polymer detection kit HRP/DAB (ab209101). Counterstaining was done using Hematoxylin. Heat mediated antigen retrieval using Bond™ Epitope Retrieval Solution 2 (pH 9.0) for 20 minutes.

Positive staining on islet of rat pancreas.

The section was incubated with ab108443 for 30 mins at room temperature.

The immunostaining was performed on a Leica Biosystems BOND® RX instrument

Immunohistochemistry (Formalin/PFA-fixed paraffin-embedded sections) - Anti-GLP-1 antibody [EPR4042-1] (AB108443)
  • IHC-P

Lab

Immunohistochemistry (Formalin/PFA-fixed paraffin-embedded sections) - Anti-GLP-1 antibody [EPR4042-1] (AB108443)

Immunohistochemistry analysis of paraffin-embedded sections of mouse pancreas tissue staining GLP-1 with ab108443 at 1/3000 dilution and ready-to-use secondary Rabbit specific IHC polymer detection kit HRP/DAB (ab209101). Counterstaining was done using Hematoxylin. Heat mediated antigen retrieval using Bond™ Epitope Retrieval Solution 2 (pH 9.0) for 20 minutes.

Positive staining on islet of mouse pancreas.

The section was incubated with ab108443 for 30 mins at room temperature.

The immunostaining was performed on a Leica Biosystems BOND® RX instrument

Western blot - Anti-GLP-1 antibody [EPR4042-1] (AB108443)
  • WB

Lab

Western blot - Anti-GLP-1 antibody [EPR4042-1] (AB108443)

Blocking buffer : 5% NFDM/TBST

Dilution buffer : 5% NFDM/TBST

All lanes:

Western blot - Anti-GLP-1 antibody [EPR4042-1] (ab108443) at 1/2000 dilution

All lanes:

human fetal pancreas tissue lysate at 10 µg

Secondary

All lanes:

HRP goat anti-rabbit IgG (H+L) at 1/1000 dilution

Predicted band size: 15 kDa,21 kDa

Observed band size: 11 kDa

false

ELISA - Anti-GLP-1 antibody [EPR4042-1] (AB108443)
  • ELISA

Unknown

ELISA - Anti-GLP-1 antibody [EPR4042-1] (AB108443)

Antigen dose-response curve using purified ab108443. Antibody concentration of 1 μg/mL. An Alkaline Phosphatase-conjugated goat anti-rabbit IgG (H+L) (1/2500) was used as the secondary antibody.

ELISA - Anti-GLP-1 antibody [EPR4042-1] (AB108443)
  • ELISA

Unknown

ELISA - Anti-GLP-1 antibody [EPR4042-1] (AB108443)

1 ug/mL of Glucagon-like Peptide (GLP-1) was coated into 96-wells. Various concentrations of anti-Glucagon-Like Peptide 1 (GLP-1 7-36amide) rabbit monoclonal antibody (unpurified ab108443) was added. HRP conjugated goat anti-rabbit IgG antibody was used to develop the color.

ELISA - Anti-GLP-1 antibody [EPR4042-1] (AB108443)
  • ELISA

Unknown

ELISA - Anti-GLP-1 antibody [EPR4042-1] (AB108443)

Antibody dose-response curve using purified ab108443. Antigen concentration of 1 μg/mL. An Alkaline Phosphatase-conjugated goat anti-rabbit IgG (H+L) (1/2500) was used as the secondary antibody.

Western blot - Anti-GLP-1 antibody [EPR4042-1] (AB108443)
  • WB

Unknown

Western blot - Anti-GLP-1 antibody [EPR4042-1] (AB108443)

All lanes:

Western blot - Anti-GLP-1 antibody [EPR4042-1] (ab108443) at 1/200 dilution

All lanes:

GLP-1 peptide at 0.005 µg

Predicted band size: 21 kDa

false

关键信息

宿主种属

Rabbit

克隆

Monoclonal

克隆号

EPR4042-1

亚型

IgG

不含载体蛋白

No

反应种属

Human

应用

ELISA, ICC/IF, WB, IHC-P

applications

免疫原

The exact immunogen used to generate this antibody is proprietary information.

特异性

According to the ELISA results, this product recognizes both the active and inactive forms.

反应性数据

{ "title": "Reactivity Data", "filters": { "stats": ["", "Species", "Dilution Info", "Notes"], "tabs": { "all-applications": {"fullname" : "All Applications", "shortname": "All Applications"}, "WB" : {"fullname" : "Western blot", "shortname":"WB"}, "IHCP" : {"fullname" : "Immunohistochemistry (Formalin/PFA-fixed paraffin-embedded sections)", "shortname":"IHC-P"}, "ELISA" : {"fullname" : "ELISA", "shortname":"ELISA"}, "ICCIF" : {"fullname" : "Immunocytochemistry/ Immunofluorescence", "shortname":"ICC/IF"} }, "product-promise": { "all": "all", "testedAndGuaranteed": "tested", "guaranteed": "expected", "predicted": "predicted", "notRecommended": "not-recommended" } }, "values": { "Human": { "WB-species-checked": "testedAndGuaranteed", "WB-species-dilution-info": "1/2000", "WB-species-notes": "<p><strong>For unpurified, use 1/200.</strong></p>", "IHCP-species-checked": "testedAndGuaranteed", "IHCP-species-dilution-info": "1/100 - 1/250", "IHCP-species-notes": "<p></p> Perform heat-mediated antigen retrieval with citrate buffer pH 6 before commencing with IHC staining protocol.", "ELISA-species-checked": "guaranteed", "ELISA-species-dilution-info": "", "ELISA-species-notes": "", "ICCIF-species-checked": "testedAndGuaranteed", "ICCIF-species-dilution-info": "1/800", "ICCIF-species-notes": "<p></p>" }, "Mouse": { "WB-species-checked": "notRecommended", "WB-species-dilution-info": "", "WB-species-notes": "<p></p>", "IHCP-species-checked": "testedAndGuaranteed", "IHCP-species-dilution-info": "", "IHCP-species-notes": "<p></p>", "ELISA-species-checked": "guaranteed", "ELISA-species-dilution-info": "", "ELISA-species-notes": "", "ICCIF-species-checked": "guaranteed", "ICCIF-species-dilution-info": "", "ICCIF-species-notes": "" }, "Rat": { "WB-species-checked": "notRecommended", "WB-species-dilution-info": "", "WB-species-notes": "<p></p>", "IHCP-species-checked": "testedAndGuaranteed", "IHCP-species-dilution-info": "", "IHCP-species-notes": "<p></p>", "ELISA-species-checked": "guaranteed", "ELISA-species-dilution-info": "", "ELISA-species-notes": "", "ICCIF-species-checked": "guaranteed", "ICCIF-species-dilution-info": "", "ICCIF-species-notes": "" }, "Synthetic peptide - Human": { "WB-species-checked": "notRecommended", "WB-species-dilution-info": "", "WB-species-notes": "", "IHCP-species-checked": "notRecommended", "IHCP-species-dilution-info": "", "IHCP-species-notes": "", "ELISA-species-checked": "testedAndGuaranteed", "ELISA-species-dilution-info": "0.5-1 µg/mL", "ELISA-species-notes": "<p></p>", "ICCIF-species-checked": "notRecommended", "ICCIF-species-dilution-info": "", "ICCIF-species-notes": "" } } }

产品详情

What is this antibody validated in?
Anti-GLP-1 antibody [EPR4042-1] (ab108443) is a rabbit recombinant monoclonal antibody and is validated for use in Western Blot (WB), Immunohistochemistry (IHC-P), Immunocytochemistry/immunofluorescence (ICC/IF), ELISA in Human, Mouse, Rat samples.

What is the molecular weight of GLP-1?
Anti-GLP-1 [EPR4042-1] (ab108443) specifically detects a band for GLP-1 (UniProt: P01275) at a molecular weight of 21kDa.

Trial sizes available!
Test your antibody or perform pre-screening before committing to a larger quantity. Sold in 10µl. Discover our selection of trial-size antibodies.

Other related products
We have a range of other formats of antibody clone [EPR4042-1] also available for your convenience: ab108443, Carrier free - ab226036, Carrier free - ab244627, Alexa Fluor® 488 - ab319127, ab322990, Carrier free - ab322996

Species reactivity
Mouse, Rat: We have preliminary internal testing data to indicate this antibody may not react with these species.
Please contact us for more information.

Patented technology
Our RabMAb® technology is a patented hybridoma-based technology for making rabbit monoclonal antibodies. For details on our patents, please refer to RabMAb® patents.

What are the advantages of a recombinant monoclonal antibody?
This product is a recombinant monoclonal antibody, which offers several advantages including:

  • - High batch-to-batch consistency and reproducibility
  • - Improved sensitivity and specificity
  • - Long-term security of supply
  • - Animal-free batch production

For more information, read more on recombinant antibodies.

性能和储存信息

形式
Liquid
纯化工艺
Affinity purification Protein A
存储溶液
pH: 7.2 - 7.4 Preservative: 0.01% Sodium azide Constituents: PBS, 40% Glycerol (glycerin, glycerine), 0.05% BSA
运输条件
Blue Ice
推荐的短期储存时间
1-2 weeks
推荐的短期储存条件
+4°C
推荐的长期储存条件
-20°C
分装信息
Upon delivery aliquot
储存信息
Stable for 12 months at -20°C

补充信息

This supplementary information is collated from multiple sources and compiled automatically.

GLP-1 also known as glucagon-like peptide-1 is a 30 or 31 amino acid peptide with a mass of approximately 3.3 kDa. This peptide is mainly secreted by intestinal L-cells and the CNS. It enhances the secretion of insulin in response to glucose making it an important regulator of blood sugar levels. GLP-1 is degraded by dipeptidyl peptidase-4 which rapidly reduces its activity. Researchers often target GLP-1 in studies aimed at understanding metabolic processes and developing therapeutic interventions.
Biological function summary

GLP-1 influences several physiological functions by acting on its receptor GLP-1R a G-protein coupled receptor. It is not part of a complex but exerts its effects through binding to this receptor. Activation of GLP-1R promotes insulin secretion suppresses glucagon release slows gastric emptying and promotes satiety. This makes GLP-1 an important regulator in energy homeostasis and nutrient absorption. Its effects on appetite and food intake are of particular interest in obesity research.

Pathways

GLP-1 is an essential component of the incretin pathway which regulates insulin secretion in response to food intake. The interaction between GLP-1 and the GLP-1 receptor activates the adenylate cyclase pathway leading to increased cAMP and PKA signaling in pancreatic beta-cells. This chain of events enhances the insulin-secreting ability of these cells. Furthermore GLP-1 has connections with proteins such as insulin and glucagon through its regulatory functions in glucose metabolism.

GLP-1 is highly relevant to type 2 diabetes and obesity. Its ability to enhance insulin secretion and promote weight loss has made it a target for drug development in the treatment of these conditions. Antidiabetic medications including GLP-1 receptor agonists exploit this mechanism to control blood sugar levels effectively. Additionally GLP-1's connection to insulin makes it a significant focus in diabetes research as imbalances in these proteins contribute to the disease pathology.

产品实验方案

For this product, it's our understanding that no specific protocols are required. You can visit:

靶点信息

Glucagon. Plays a key role in glucose metabolism and homeostasis. Regulates blood glucose by increasing gluconeogenesis and decreasing glycolysis. A counterregulatory hormone of insulin, raises plasma glucose levels in response to insulin-induced hypoglycemia. Plays an important role in initiating and maintaining hyperglycemic conditions in diabetes.. Glucagon-like peptide 1. Potent stimulator of glucose-dependent insulin release. Also stimulates insulin release in response to IL6 (PubMed : 22037645). Plays important roles on gastric motility and the suppression of plasma glucagon levels. May be involved in the suppression of satiety and stimulation of glucose disposal in peripheral tissues, independent of the actions of insulin. Has growth-promoting activities on intestinal epithelium. May also regulate the hypothalamic pituitary axis (HPA) via effects on LH, TSH, CRH, oxytocin, and vasopressin secretion. Increases islet mass through stimulation of islet neogenesis and pancreatic beta cell proliferation. Inhibits beta cell apoptosis (Probable).. Glucagon-like peptide 2. Stimulates intestinal growth and up-regulates villus height in the small intestine, concomitant with increased crypt cell proliferation and decreased enterocyte apoptosis. The gastrointestinal tract, from the stomach to the colon is the principal target for GLP-2 action. Plays a key role in nutrient homeostasis, enhancing nutrient assimilation through enhanced gastrointestinal function, as well as increasing nutrient disposal. Stimulates intestinal glucose transport and decreases mucosal permeability.. Oxyntomodulin. Significantly reduces food intake. Inhibits gastric emptying in humans. Suppression of gastric emptying may lead to increased gastric distension, which may contribute to satiety by causing a sensation of fullness.. Glicentin. May modulate gastric acid secretion and the gastro-pyloro-duodenal activity. May play an important role in intestinal mucosal growth in the early period of life.
See full target information GCG

文献 (4)

Recent publications for all applications. Explore the full list and refine your search

International journal of molecular medicine 56: PubMed40709382

2025

Dulaglutide markedly prevents peritoneal fibrosis in a rodent model of chronic kidney disease: Insights into the pathogenesis.

Applications

Unspecified application

Species

Unspecified reactive species

Chih-Chao Yang,Ya Yue,Yi-Ting Wang,John Y Chiang,Ben-Chung Cheng,Tsuen-Wei Hsu,Yi-Ling Chen,Yi-Chen Li,Hon-Kan Yip

The EMBO journal 44:54-74 PubMed39562740

2024

Intestinal NUCB2/nesfatin-1 regulates hepatic glucose production via the MC4R-cAMP-GLP-1 pathway.

Applications

Unspecified application

Species

Unspecified reactive species

Shan Geng,Shan Yang,Xuejiao Tang,Shiyao Xue,Ke Li,Dongfang Liu,Chen Chen,Zhiming Zhu,Hongting Zheng,Yuanqiang Wang,Gangyi Yang,Ling Li,Mengliu Yang

iScience 26:108517 PubMed38125020

2023

SCFAs switch stem cell fate through HDAC inhibition to improve barrier integrity in 3D intestinal organoids from patients with obesity.

Applications

Unspecified application

Species

Unspecified reactive species

Mona Farhadipour,Kaline Arnauts,Mathias Clarysse,Theo Thijs,Kathrin Liszt,Bart Van der Schueren,Laurens J Ceulemans,Ellen Deleus,Matthias Lannoo,Marc Ferrante,Inge Depoortere

Scientific reports 11:21643 PubMed34737348

2021

TGF-β1 is involved in senescence-related pathways in glomerular endothelial cells via p16 translocation and p21 induction.

Applications

Unspecified application

Species

Unspecified reactive species

Sayo Ueda,Tatsuya Tominaga,Arisa Ochi,Akiko Sakurai,Kenji Nishimura,Eriko Shibata,Shu Wakino,Masanori Tamaki,Kojiro Nagai
View all publications

Abcam Product Promise

我们致力于为您的研究提供高质量的试剂,为您科研的每一步提供支持。若我们的产品未能达到预期性能,我们向您提供 Abcam Product Promise 保障。
详情请参阅我们的条款与条件。

Please note: All products are 'FOR RESEARCH USE ONLY. NOT FOR USE IN DIAGNOSTIC OR THERAPEUTIC PROCEDURES'.

For licensing inquiries, please contact partnerships@abcam.com