JavaScript is disabled in your browser. Please enable JavaScript to view this website.
AB22625

Anti-GLP-1抗体

Anti-GLP-1 antibody

4

(7 Reviews)

|

(29 Publications)

Rabbit Polyclonal GLP-1 antibody. Suitable for IHC-P and reacts with Human samples. Cited in 29 publications. Immunogen corresponding to Synthetic Peptide within Human GCG aa 1-50 conjugated to Bovine Serum Albumin.

查看别名

Pro-glucagon, GCG

1 Images
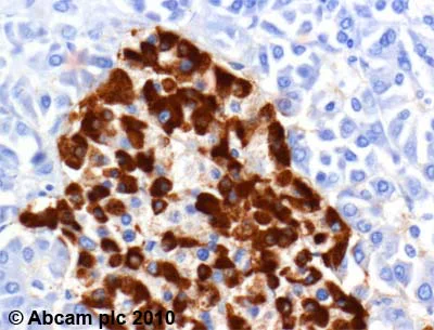
Immunohistochemistry (Formalin/PFA-fixed paraffin-embedded sections) - Anti-GLP-1 antibody (AB22625)
  • IHC-P

Unknown

Immunohistochemistry (Formalin/PFA-fixed paraffin-embedded sections) - Anti-GLP-1 antibody (AB22625)

ab22625 (1/2000) staining GLP-1 in human pancreas using an automated system (DAKO Autostainer Plus). Using this protocol there is strong cytoplasmic staining in the pancreatic islets.
Sections were rehydrated and antigen retrieved with the Dako 3 in 1 AR buffer EDTA pH 9.0 in a DAKO PT Link. Slides were peroxidase blocked in 3% H2O2 in methanol for 10 mins. They were then blocked with Dako Protein block for 10 minutes (containing casein 0.25% in PBS) then incubated with primary antibody for 20 min and detected with Dako Envision Flex amplification kit for 30 minutes. Colorimetric detection was completed with Diaminobenzidine for 5 minutes. Slides were counterstained with Haematoxylin and coverslipped under DePeX. Please note that, for manual staining, optimization of primary antibody concentration and incubation time is recommended. Signal amplification may be required.

关键信息

宿主种属

Rabbit

克隆

Polyclonal

亚型

IgG

不含载体蛋白

No

反应种属

Human

应用

IHC-P

applications

免疫原

Synthetic Peptide within Human GCG aa 1-50 conjugated to Bovine Serum Albumin. The exact immunogen used to generate this antibody is proprietary information.

P01275

反应性数据

{ "title": "Reactivity Data", "filters": { "stats": ["", "Species", "Dilution Info", "Notes"], "tabs": { "all-applications": {"fullname" : "All Applications", "shortname": "All Applications"}, "IHCP" : {"fullname" : "Immunohistochemistry (Formalin/PFA-fixed paraffin-embedded sections)", "shortname":"IHC-P"} }, "product-promise": { "all": "all", "testedAndGuaranteed": "tested", "guaranteed": "expected", "predicted": "predicted", "notRecommended": "not-recommended" } }, "values": { "Human": { "IHCP-species-checked": "testedAndGuaranteed", "IHCP-species-dilution-info": "", "IHCP-species-notes": "<p></p>" }, "Mammals": { "IHCP-species-checked": "predicted", "IHCP-species-dilution-info": "", "IHCP-species-notes": "" } } }

您是否考虑以下替代产品?

AB108443

Anti-GLP-1 antibody [EPR4042-1]

1
1 Reviews
查看产品
为什么推荐这个?

为向您提供最高品质的产品,我们在不断升级产品范围。我们选择了这个替代产品供您参考,因为它提供了更好的性能,更容易和更方便的使用,或交期更快。

性能和储存信息

形式
Liquid
纯化工艺
Precipitation Ammonium Sulphate
存储溶液
Preservative: 0.09% Sodium azide Constituents: PBS
运输条件
Blue Ice
推荐的短期储存条件
+4°C
推荐的长期储存条件
-20°C
分装信息
Upon delivery aliquot
储存信息
Avoid freeze / thaw cycle

补充信息

This supplementary information is collated from multiple sources and compiled automatically.

GLP-1 also known as glucagon-like peptide-1 is a 30 or 31 amino acid peptide with a mass of approximately 3.3 kDa. This peptide is mainly secreted by intestinal L-cells and the CNS. It enhances the secretion of insulin in response to glucose making it an important regulator of blood sugar levels. GLP-1 is degraded by dipeptidyl peptidase-4 which rapidly reduces its activity. Researchers often target GLP-1 in studies aimed at understanding metabolic processes and developing therapeutic interventions.
Biological function summary

GLP-1 influences several physiological functions by acting on its receptor GLP-1R a G-protein coupled receptor. It is not part of a complex but exerts its effects through binding to this receptor. Activation of GLP-1R promotes insulin secretion suppresses glucagon release slows gastric emptying and promotes satiety. This makes GLP-1 an important regulator in energy homeostasis and nutrient absorption. Its effects on appetite and food intake are of particular interest in obesity research.

Pathways

GLP-1 is an essential component of the incretin pathway which regulates insulin secretion in response to food intake. The interaction between GLP-1 and the GLP-1 receptor activates the adenylate cyclase pathway leading to increased cAMP and PKA signaling in pancreatic beta-cells. This chain of events enhances the insulin-secreting ability of these cells. Furthermore GLP-1 has connections with proteins such as insulin and glucagon through its regulatory functions in glucose metabolism.

GLP-1 is highly relevant to type 2 diabetes and obesity. Its ability to enhance insulin secretion and promote weight loss has made it a target for drug development in the treatment of these conditions. Antidiabetic medications including GLP-1 receptor agonists exploit this mechanism to control blood sugar levels effectively. Additionally GLP-1's connection to insulin makes it a significant focus in diabetes research as imbalances in these proteins contribute to the disease pathology.

产品实验方案

For this product, it's our understanding that no specific protocols are required. You can visit:

靶点信息

Glucagon. Plays a key role in glucose metabolism and homeostasis. Regulates blood glucose by increasing gluconeogenesis and decreasing glycolysis. A counterregulatory hormone of insulin, raises plasma glucose levels in response to insulin-induced hypoglycemia. Plays an important role in initiating and maintaining hyperglycemic conditions in diabetes.. Glucagon-like peptide 1. Potent stimulator of glucose-dependent insulin release. Also stimulates insulin release in response to IL6 (PubMed : 22037645). Plays important roles on gastric motility and the suppression of plasma glucagon levels. May be involved in the suppression of satiety and stimulation of glucose disposal in peripheral tissues, independent of the actions of insulin. Has growth-promoting activities on intestinal epithelium. May also regulate the hypothalamic pituitary axis (HPA) via effects on LH, TSH, CRH, oxytocin, and vasopressin secretion. Increases islet mass through stimulation of islet neogenesis and pancreatic beta cell proliferation. Inhibits beta cell apoptosis (Probable).. Glucagon-like peptide 2. Stimulates intestinal growth and up-regulates villus height in the small intestine, concomitant with increased crypt cell proliferation and decreased enterocyte apoptosis. The gastrointestinal tract, from the stomach to the colon is the principal target for GLP-2 action. Plays a key role in nutrient homeostasis, enhancing nutrient assimilation through enhanced gastrointestinal function, as well as increasing nutrient disposal. Stimulates intestinal glucose transport and decreases mucosal permeability.. Oxyntomodulin. Significantly reduces food intake. Inhibits gastric emptying in humans. Suppression of gastric emptying may lead to increased gastric distension, which may contribute to satiety by causing a sensation of fullness.. Glicentin. May modulate gastric acid secretion and the gastro-pyloro-duodenal activity. May play an important role in intestinal mucosal growth in the early period of life.
See full target information GCG

文献 (29)

Recent publications for all applications. Explore the full list and refine your search

Molecular and cellular biochemistry 478:2779-2787 PubMed36920577

2023

Individuals with type 2 diabetes have higher density of small intestinal neurotensin-expressing cells.

Applications

Unspecified application

Species

Unspecified reactive species

Filipa P Ferreira,Sofia S Pereira,Madalena M Costa,Marta Guimarães,Nicolai J Wewer Albrechtsen,Jens J Holst,Mário Nora,Mariana P Monteiro

Gut 72:314-324 PubMed35697422

2022

6α-hydroxylated bile acids mediate TGR5 signalling to improve glucose metabolism upon dietary fiber supplementation in mice.

Applications

Unspecified application

Species

Unspecified reactive species

Kassem Makki,Harald Brolin,Natalia Petersen,Marcus Henricsson,Dan Ploug Christensen,Muhammad Tanweer Khan,Annika Wahlström,Per-Olof Bergh,Valentina Tremaroli,Kristina Schoonjans,Hanns-Ulrich Marschall,Fredrik Bäckhed

Cell reports 38:110438 PubMed35235783

2022

BMP gradient along the intestinal villus axis controls zonated enterocyte and goblet cell states.

Applications

Unspecified application

Species

Unspecified reactive species

Joep Beumer,Jens Puschhof,Fjodor Yousef Yengej,Lianzheng Zhao,Adriana Martinez-Silgado,Marloes Blotenburg,Harry Begthel,Charelle Boot,Alexander van Oudenaarden,Ye-Guang Chen,Hans Clevers

Nutrients 14: PubMed35010994

2021

NSAID-Induced Enteropathy Affects Regulation of Hepatic Glucose Production by Decreasing GLP-1 Secretion.

Applications

Unspecified application

Species

Unspecified reactive species

Hussein Herz,Yang Song,Yuanchao Ye,Liping Tian,Benjamin Linden,Marwa Abu El Haija,Yi Chu,Justin L Grobe,Randall W Lengeling,Mohamad Mokadem

Frontiers in cardiovascular medicine 8:709741 PubMed34513952

2021

Decreased Glucagon-Like Peptide-1 Is Associated With Calcific Aortic Valve Disease: GLP-1 Suppresses the Calcification of Aortic Valve Interstitial Cells.

Applications

Unspecified application

Species

Unspecified reactive species

Fan Xiao,Qing Zha,Qianru Zhang,Qihong Wu,Zhongli Chen,Ying Yang,Ke Yang,Yan Liu

Frontiers in microbiology 11:575595 PubMed33240233

2020

Regulation of Enteroendocrine Cell Networks by the Major Human Gut Symbiont .

Applications

Unspecified application

Species

Unspecified reactive species

Amisha Modasia,Aimee Parker,Emily Jones,Regis Stentz,Arlaine Brion,Andrew Goldson,Marianne Defernez,Tom Wileman,L Ashley Blackshaw,Simon R Carding

Cell reports 32:108013 PubMed32783937

2020

Protein O-GlcNAc Modification Links Dietary and Gut Microbial Cues to the Differentiation of Enteroendocrine L Cells.

Applications

Unspecified application

Species

Unspecified reactive species

Ming Zhao,Kaiqun Ren,Xiwen Xiong,Meng Cheng,Zengdi Zhang,Zan Huang,Xiaonan Han,Xiaoyong Yang,Emilyn U Alejandro,Hai-Bin Ruan

The Journal of endocrinology 246:223-236 PubMed32698150

2020

ACE2 modulates glucose homeostasis through GABA signaling during metabolic stress.

Applications

Unspecified application

Species

Unspecified reactive species

Xiaoyi Ma,Fei Gao,Qi Chen,Xiuping Xuan,Ying Wang,Hongjun Deng,Fengying Yang,Li Yuan

Cell 181:1291-1306.e19 PubMed32407674

2020

High-Resolution mRNA and Secretome Atlas of Human Enteroendocrine Cells.

Applications

Unspecified application

Species

Unspecified reactive species

Joep Beumer,Jens Puschhof,Julia Bauzá-Martinez,Adriana Martínez-Silgado,Rasa Elmentaite,Kylie R James,Alexander Ross,Delilah Hendriks,Benedetta Artegiani,Georg A Busslinger,Bas Ponsioen,Amanda Andersson-Rolf,Aurelia Saftien,Charelle Boot,Kai Kretzschmar,Maarten H Geurts,Yotam E Bar-Ephraim,Cayetano Pleguezuelos-Manzano,Yorick Post,Harry Begthel,Franka van der Linden,Carmen Lopez-Iglesias,Willine J van de Wetering,Reinier van der Linden,Peter J Peters,Albert J R Heck,Joachim Goedhart,Hugo Snippert,Matthias Zilbauer,Sarah A Teichmann,Wei Wu,Hans Clevers

Frontiers in cellular neuroscience 14:95 PubMed32425756

2020

Glucagon-Like Peptide-1 Secreting L-Cells Coupled to Sensory Nerves Translate Microbial Signals to the Host Rat Nervous System.

Applications

Unspecified application

Species

Unspecified reactive species

Maria M Buckley,Rebecca O'Brien,Eilish Brosnan,R Paul Ross,Catherine Stanton,Julliette M Buckley,Dervla O'Malley
View all publications

Abcam Product Promise

我们致力于为您的研究提供高质量的试剂,为您科研的每一步提供支持。若我们的产品未能达到预期性能,我们向您提供 Abcam Product Promise 保障。
详情请参阅我们的条款与条件。

关联产品

Select an associated product type
Alternative Product
Primary Antibodies

AB36598

Anti-GLP-1 antibody [1B7B4]

primary-antibodies

glp-1-antibody-1b7b4-ab36598

0

(0 reviews)

Alternative Product
Primary Antibodies

AB23468

Anti-GLP-1 antibody [11E2]

primary-antibodies

glp-1-antibody-11e2-ab23468

5

(2 reviews)

Alternative Product
Primary Antibodies

AB191894

Anti-GLP-1 antibody [5B10]

primary-antibodies

glp-1-antibody-5b10-ab191894

0

(0 reviews)

Alternative Product
Primary Antibodies

AB200474

Anti-GLP-1 antibody [24H1L3]

primary-antibodies

glp-1-antibody-24h1l3-ab200474

0

(0 reviews)

Alternative Product
Primary Antibodies

AB121057

Anti-GLP-1 antibody [10]

primary-antibodies

glp-1-antibody-10-ab121057

0

(0 reviews)

Alternative Product
Primary Antibodies

AB48291

Biotin Anti-GLP-1 antibody

primary-antibodies

biotin-glp-1-antibody-ab48291

0

(0 reviews)

Alternative Product
Primary Antibodies

AB133329

Anti-GLP-1 antibody [EPR4043]

primary-antibodies

glp-1-antibody-epr4043-ab133329

0

(0 reviews)

Alternative Product
Primary Antibodies

AB23472

Anti-GLP-1 antibody [4F3]

primary-antibodies

glp-1-antibody-4f3-ab23472

3

(2 reviews)

Alternative Product
Primary Antibodies

AB111125

Anti-GLP-1 antibody [EPR4042-407]

primary-antibodies

glp-1-antibody-epr4042-407-ab111125

0

(0 reviews)

Please note: All products are 'FOR RESEARCH USE ONLY. NOT FOR USE IN DIAGNOSTIC OR THERAPEUTIC PROCEDURES'.

For licensing inquiries, please contact partnerships@abcam.com