JavaScript is disabled in your browser. Please enable JavaScript to view this website.
AB251600

重组Anti-GITR抗体[CAL52] - BSA and Azide free

Anti-GITR antibody [CAL52] - BSA and Azide free

Be the first to review this product! Submit a review

|

(1 Publication)

Rabbit Recombinant Monoclonal GITR antibody. Carrier free. Suitable for IP, IHC-P, ICC/IF, Flow Cyt (Intra) and reacts with Human samples. Cited in 1 publication.

查看别名

CD357, AITR, GITR, UNQ319/PRO364, TNFRSF18, Tumor necrosis factor receptor superfamily member 18, Activation-inducible TNFR family receptor, Glucocorticoid-induced TNFR-related protein

6 Images
Immunocytochemistry/ Immunofluorescence - Anti-GITR antibody [CAL52] - BSA and Azide free (AB251600)
  • ICC/IF

Supplier Data

Immunocytochemistry/ Immunofluorescence - Anti-GITR antibody [CAL52] - BSA and Azide free (AB251600)

4% Paraformaldehyde-fixed 0.1% TritonX-100 permeabilized HEK-293T (human embryonic kidney epithelial cell) cells labeling GITR with ab237713 at 1/50 dilution followed by a AlexaFluor®594 Goat anti-Rabbit secondary (ab150080) at a 1/500 dilution (Green). The nuclear counterstain was DAPI (Blue). Confocal image showing Positive staining in HEK-293T cells transfected with a GFP-tagged GITR expression construct.

Secondary antibody only control : Used PBS instead of primary antibody, secondary antibody is an AlexaFluor®594 Goat anti-Rabbit secondary (ab150080) at a 1/500 dilution.

This data was developed using the same antibody clone in a different buffer formulation containing PBS, BSA, glycerol, and sodium azide (ab237713).

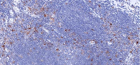
Immunohistochemistry (Formalin/PFA-fixed paraffin-embedded sections) - Anti-GITR antibody [CAL52] - BSA and Azide free (AB251600)
  • IHC-P

Supplier Data

Immunohistochemistry (Formalin/PFA-fixed paraffin-embedded sections) - Anti-GITR antibody [CAL52] - BSA and Azide free (AB251600)

Immunohistochemical analysis of paraffin-embedded human tonsil tissue labeling GITR with ab237713 at 1/4000 dilution, followed by a ready to use Rabbit specific IHC polymer detection kit HRP/DAB (ab209101). Positive staining on the human tonsil is observed. Counter stained with Hematoxylin. The section was incubated with ab237713 for 10 mins at room temperature. The immunostaining was performed on a Leica Biosystems BOND® RX instrument.

Secondary antibody only control : Used PBS instead of primary antibody, secondary antibody is a ready to use Rabbit specific IHC polymer detection kit HRP/DAB (ab209101).

This data was developed using the same antibody clone in a different buffer formulation containing PBS, BSA, glycerol, and sodium azide (ab237713).

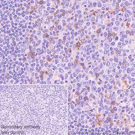
Immunohistochemistry (Formalin/PFA-fixed paraffin-embedded sections) - Anti-GITR antibody [CAL52] - BSA and Azide free (AB251600)
  • IHC-P

Supplier Data

Immunohistochemistry (Formalin/PFA-fixed paraffin-embedded sections) - Anti-GITR antibody [CAL52] - BSA and Azide free (AB251600)

Formalin-fixed, paraffin-embedded human tonsil tissue stained for TNFSF18 using ab237713 at 0.25 μg/ml in immunohistochemical analysis.

This data was developed using the same antibody clone in a different buffer formulation containing PBS, BSA, glycerol, and sodium azide (ab237713).

Flow Cytometry (Intracellular) - Anti-GITR antibody [CAL52] - BSA and Azide free (AB251600)
  • Flow Cyt (Intra)

Supplier Data

Flow Cytometry (Intracellular) - Anti-GITR antibody [CAL52] - BSA and Azide free (AB251600)

Intracellular flow cytometric analysis of 2% paraformaldehyde-fixed, 0.1% tween-20 permeabilized Human peripheral blood mononuclear cell (PBMC) treated with 10μg/ml PHA for 48h, labeling GITRwith ab237713 at 1/500 dilution. The secondary antibody was a Goat anti rabbit IgG (Alexa Fluor® 488, ab150097) at 1/500 dilution. Cells were surface stained with anti-CD25 conjugated to BV421. Then fixed with 2% PFA followed by intracellular staining rabbit IgG (Left) or ab237713 (Right). The isotype control used was a Rabbit monoclonal IgG (ab172730, Left).

This data was developed using the same antibody clone in a different buffer formulation containing PBS, BSA, glycerol, and sodium azide (ab237713).

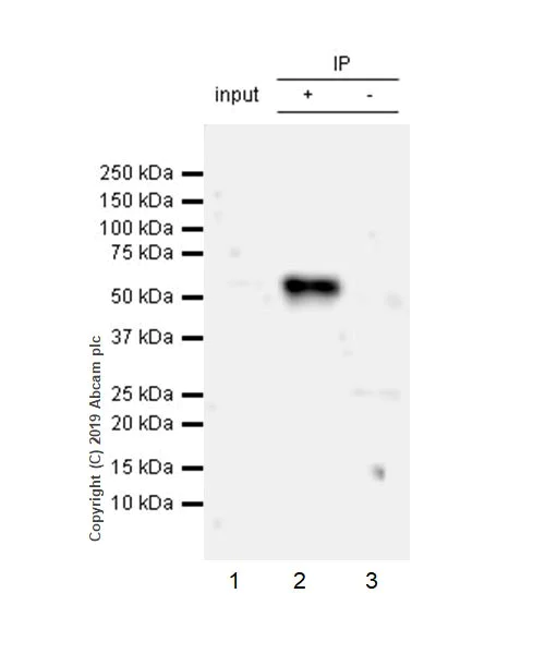
Immunoprecipitation - Anti-GITR antibody [CAL52] - BSA and Azide free (AB251600)
  • IP

Supplier Data

Immunoprecipitation - Anti-GITR antibody [CAL52] - BSA and Azide free (AB251600)

GITR was immunoprecipitated from 0.35 mg Hut-78 (Human Sezary syndrome cutaneous T lymphocyte) whole cell lysate using ab237713 at 1/30 dilution. western blot was performed on the immunoprecipitate using ab237713 at 1/1000 dilution. VeriBlot for IP Detection Reagent (HRP) (ab131366) was used as the secondary antibody at 1/5000 dilution.

Lane 1 : Hut-78 whole cell lysate 10 μg (input)
Lane 2 : ab237713 IP in Hut-78 whole cell lysate.
Lane 3 : Rabbit monoclonal IgG (ab172730) instead of ab237713 in Hut-78 whole cell lysate.

Blocking and dilution buffer and concentration : 5% NFDM/TBST.

Exposure time : 15 seconds.

This blot was developed using a higher sensitivity ECL substrate.

Dimerized GITR was also observed at 52kDa

This data was developed using the same antibody clone in a different buffer formulation containing PBS, BSA, glycerol, and sodium azide (ab237713).

All lanes:

Immunoprecipitation - Anti-GITR antibody [CAL52] (<a href='/products/primary-antibodies/gitr-antibody-cal52-ab237713'>ab237713</a>)

Predicted band size: 26 kDa

false

Immunoprecipitation - Anti-GITR antibody [CAL52] - BSA and Azide free (AB251600)
  • IP

Supplier Data

Immunoprecipitation - Anti-GITR antibody [CAL52] - BSA and Azide free (AB251600)

GITR was immunoprecipitated from 0.35 mg HEK-293T (Human embryonic kidney epithelial cell) transfected with GFP-tagged GITR overexpression vector whole cell lysate using ab237713 at 1/30 dilution. western blot was performed on the immunoprecipitate using ab237713 at 1/1000 dilution. VeriBlot for IP Detection Reagent (HRP) (ab131366) was used as the secondary antibody at 1/5000 dilution.

Lane 1 : Hut-78 whole cell lysate 10 μg (input)
Lane 2 : ab237713 IP in Hut-78 whole cell lysate.
Lane 3 : Rabbit monoclonal IgG (ab172730) instead of ab237713 in 293T transfected with GFP-tagged GITR overexpression vector whole cell lysate

Blocking and dilution buffer and concentration : 5% NFDM/TBST.

Exposure time : 3 minutes.

This blot was developed using a higher sensitivity ECL substrate.

Dimerized GITR was also observed at 52kDa

This data was developed using the same antibody clone in a different buffer formulation containing PBS, BSA, glycerol, and sodium azide (ab237713).

All lanes:

Immunoprecipitation - Anti-GITR antibody [CAL52] (<a href='/products/primary-antibodies/gitr-antibody-cal52-ab237713'>ab237713</a>)

Predicted band size: 26 kDa

false

不同偶联物与剂型 (1)

关键信息

宿主种属

Rabbit

克隆

Monoclonal

克隆号

CAL52

亚型

IgG

不含载体蛋白

Yes

反应种属

Human

应用

IHC-P, IP, Flow Cyt (Intra), ICC/IF

applications

免疫原

The exact immunogen used to generate this antibody is proprietary information.

反应性数据

{ "title": "Reactivity Data", "filters": { "stats": ["", "Species", "Dilution Info", "Notes"], "tabs": { "all-applications": {"fullname" : "All Applications", "shortname": "All Applications"}, "IP" : {"fullname" : "Immunoprecipitation", "shortname":"IP"}, "WB" : {"fullname" : "Western blot", "shortname":"WB"}, "IHCP" : {"fullname" : "Immunohistochemistry (Formalin/PFA-fixed paraffin-embedded sections)", "shortname":"IHC-P"}, "ICCIF" : {"fullname" : "Immunocytochemistry/ Immunofluorescence", "shortname":"ICC/IF"}, "FlowCytIntra" : {"fullname" : "Flow Cytometry (Intracellular)", "shortname":"Flow Cyt (Intra)"} }, "product-promise": { "all": "all", "testedAndGuaranteed": "tested", "guaranteed": "expected", "predicted": "predicted", "notRecommended": "not-recommended" } }, "values": { "Human": { "IP-species-checked": "testedAndGuaranteed", "IP-species-dilution-info": "", "IP-species-notes": "<p></p>", "WB-species-checked": "notRecommended", "WB-species-dilution-info": "", "WB-species-notes": "<p></p>", "IHCP-species-checked": "testedAndGuaranteed", "IHCP-species-dilution-info": "", "IHCP-species-notes": "<p>Boil tissue section in TRIS EDTA buffer for 24 min followed by cooling at room temperature for 30-45 min. Primary antibody incubation for 75 minutes at room temperature.</p>", "ICCIF-species-checked": "testedAndGuaranteed", "ICCIF-species-dilution-info": "", "ICCIF-species-notes": "<p></p>", "FlowCytIntra-species-checked": "testedAndGuaranteed", "FlowCytIntra-species-dilution-info": "", "FlowCytIntra-species-notes": "<p></p>" } } }

产品详情

ab251600 is the carrier-free version of ab237713.

Conjugation ready
Our carrier-free antibodies are typically supplied in a PBS-only formulation, purified and free of BSA, sodium azide and glycerol. This conjugation-ready format is designed for use with fluorochromes, metal isotopes, oligonucleotides, and enzymes, which makes them ideal for antibody labelling, functional and cell-based assays, flow-based assays (e.g. mass cytometry) and Multiplex Imaging applications.

Use our conjugation kits for antibody conjugates that are ready-to-use in as little as 20 minutes with 1 minute hands-on-time and 100% antibody recovery: available for fluorescent dyes, HRP, biotin and gold.

Compatibility
This product is compatible with the Maxpar® Antibody Labeling Kit from Fluidigm, without the need for antibody preparation. Maxpar® is a trademark of Fluidigm Canada Inc.

性能和储存信息

形式
Liquid
纯化工艺
Affinity purification Protein A
纯化说明
Purity is greater than 99%.
存储溶液
pH: 7.2 - 7.4 Constituents: PBS
运输条件
Blue Ice
推荐的短期储存条件
+4°C
推荐的长期储存条件
+4°C
储存信息
Do Not Freeze

补充信息

This supplementary information is collated from multiple sources and compiled automatically.

GITR also known as TNFRSF18 is a 241 amino acid protein with a mass of approximately 27 kDa. It belongs to the tumor necrosis factor receptor superfamily. GITR is highly expressed on activated T cells and regulatory T cells (Tregs). The gene encoding GITR is located on chromosome 1 in humans. High surface expression is also observed in immune tissues such as the thymus spleen and lymph nodes playing an important role in immune responses.
Biological function summary

GITR acts as a costimulatory molecule that enhances T cell activation and proliferation. It does not function as part of a complex but interacts directly with ligand GITRL triggering downstream signaling cascades. This interaction is key in the modulation of immune responses notably in enhancing the activity of effector T cells and regulating Treg functions. Activation of GITR can reduce Treg-mediated suppression leading to enhanced immune responses.

Pathways

The mechanistic role of GITR involves NF-kB and MAPK signaling pathways. Through these GITR impacts immune responses by stimulating the production of cytokines and promoting cell survival and proliferation. GITR signaling intersects with pathways involving proteins such as NF-kB further integrating with the immune system's regulation crescendo.

GITR appears to play a role in autoimmune conditions like rheumatoid arthritis and potential cancer immunotherapy. In autoimmune diseases GITR modulates immune activity influencing the balance between inhibition and activation of T cells. In oncology GITR targeting aims to enhance immune responses against tumors. Through these conditions GITR shows connections to proteins such as CTLA-4 which also contributes to immune regulatory processes.

产品实验方案

For this product, it's our understanding that no specific protocols are required. You can visit:

靶点信息

Receptor for TNFSF18. Seems to be involved in interactions between activated T-lymphocytes and endothelial cells and in the regulation of T-cell receptor-mediated cell death. Mediated NF-kappa-B activation via the TRAF2/NIK pathway.
See full target information TNFRSF18

文献 (1)

Recent publications for all applications. Explore the full list and refine your search

Nature communications 14:3728 PubMed37349339

2023

NBEAL2 deficiency in humans leads to low CTLA-4 expression in activated conventional T cells.

Applications

Unspecified application

Species

Unspecified reactive species

Laure Delage,Francesco Carbone,Quentin Riller,Jean-Luc Zachayus,Erwan Kerbellec,Armelle Buzy,Marie-Claude Stolzenberg,Marine Luka,Camille de Cevins,Georges Kalouche,Rémi Favier,Alizée Michel,Sonia Meynier,Aurélien Corneau,Caroline Evrard,Nathalie Neveux,Sébastien Roudières,Brieuc P Pérot,Mathieu Fusaro,Christelle Lenoir,Olivier Pellé,Mélanie Parisot,Marc Bras,Sébastien Héritier,Guy Leverger,Anne-Sophie Korganow,Capucine Picard,Sylvain Latour,Bénédicte Collet,Alain Fischer,Bénédicte Neven,Aude Magérus,Mickaël Ménager,Benoit Pasquier,Frédéric Rieux-Laucat
View all publications

Abcam Product Promise

我们致力于为您的研究提供高质量的试剂,为您科研的每一步提供支持。若我们的产品未能达到预期性能,我们向您提供 Abcam Product Promise 保障。
详情请参阅我们的条款与条件。

Please note: All products are 'FOR RESEARCH USE ONLY. NOT FOR USE IN DIAGNOSTIC OR THERAPEUTIC PROCEDURES'.

For licensing inquiries, please contact partnerships@abcam.com