JavaScript is disabled in your browser. Please enable JavaScript to view this website.
AB259909

重组Anti-GIRK2抗体[EPR23841-83]

Anti-GIRK2 antibody [EPR23841-83]

  • BOND RX™ Validated
  • 20ul selling size
  • RabMAb
  • Recombinant
  • 了解详情

Be the first to review this product! Submit a review

|

(0 Publication)

Rabbit Recombinant Monoclonal GIRK2 antibody. Suitable for IP, WB, IHC-Fr, IHC-P and reacts with Mouse, Rat, Human samples.

查看别名

GIRK2, KATP2, KCNJ7, KCNJ6, G protein-activated inward rectifier potassium channel 2, GIRK-2, BIR1, Inward rectifier K(+) channel Kir3.2, KATP-2

18 Images
Immunohistochemistry (Formalin/PFA-fixed paraffin-embedded sections) - Anti-GIRK2 antibody [EPR23841-83] (AB259909)
  • IHC-P

Supplier Data

Immunohistochemistry (Formalin/PFA-fixed paraffin-embedded sections) - Anti-GIRK2 antibody [EPR23841-83] (AB259909)

Immunohistochemical analysis of paraffin-embedded human cerebrum tissue labelling GIRK2 with ab259909 at 1/200 (2.345 μg/ml) dilution followed by ready to use LeicaDS9800 (Bond™ Polymer Refine Detection). The section was incubated with ab259909 for 30 mins at room temperature. The immunostaining was performed on a Leica Biosystems BOND® RX instrument. Counterstained with Hematoxylin.

Cytoplasmic staining on human cerebrum (PMID : 8642402).

Secondary antibody only control : Secondary antibody is ready to use LeicaDS9800 (Bond™ Polymer Refine Detection).

Heat mediated antigen retrieval with Tris-EDTA buffer (pH 9.0, epitope retrieval solution2) for 20 mins.

Immunohistochemistry (Frozen sections) - Anti-GIRK2 antibody [EPR23841-83] (AB259909)
  • IHC-Fr

Lab

Immunohistochemistry (Frozen sections) - Anti-GIRK2 antibody [EPR23841-83] (AB259909)

IHC image of GIRK2 staining in a section of frozen human normal substantia nigra performed on a Leica Biosystems BOND® RX instrument using the standard protocol. The section was fixed in 10% paraformaldehyde (10 min) prior to staining. The section was incubated with ab259909, 0.05 μg/ml, for 15 mins at room temperature and detected using an HRP conjugated compact polymer system. DAB was used as the chromogen. The section was then counterstained with haematoxylin and mounted with DPX. The inset secondary-only control image is taken from an identical assay without primary antibody. For other IHC staining systems (automated and non-automated) customers should optimize variable parameters such as antigen retrieval conditions, primary antibody concentration and antibody incubation times. Tissue obtained from the Human Research Tissue Bank, supported by the NIHR Cambridge Biomedical Research Centre.

Immunohistochemistry (Formalin/PFA-fixed paraffin-embedded sections) - Anti-GIRK2 antibody [EPR23841-83] (AB259909)
  • IHC-P

Supplier Data

Immunohistochemistry (Formalin/PFA-fixed paraffin-embedded sections) - Anti-GIRK2 antibody [EPR23841-83] (AB259909)

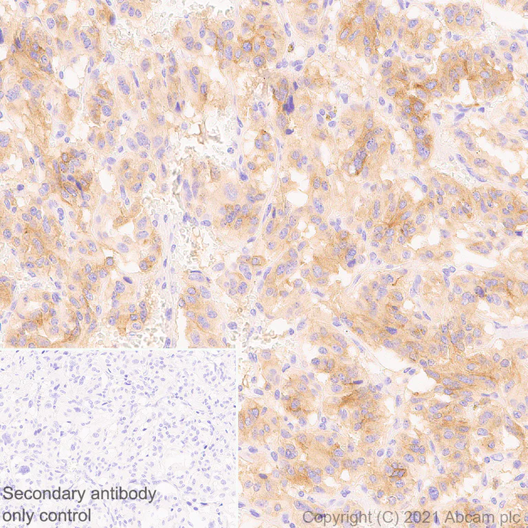
Immunohistochemical analysis of paraffin-embedded human insulinoma tissue labelling GIRK2 with ab259909 at 1/200 (2.345 μg/ml) dilution followed by ready to use LeicaDS9800 (Bond™ Polymer Refine Detection). The section was incubated with ab259909 for 30 mins at room temperature. The immunostaining was performed on a Leica Biosystems BOND® RX instrument. Counterstained with Hematoxylin.

Cytoplasmic staining on human insulinoma (PMID : 7592809).

Secondary antibody only control : Secondary antibody is ready to use LeicaDS9800 (Bond™ Polymer Refine Detection).

Heat mediated antigen retrieval with Tris-EDTA buffer (pH 9.0, epitope retrieval solution2) for 20 mins.

Immunohistochemistry (Frozen sections) - Anti-GIRK2 antibody [EPR23841-83] (AB259909)
  • IHC-Fr

Lab

Immunohistochemistry (Frozen sections) - Anti-GIRK2 antibody [EPR23841-83] (AB259909)

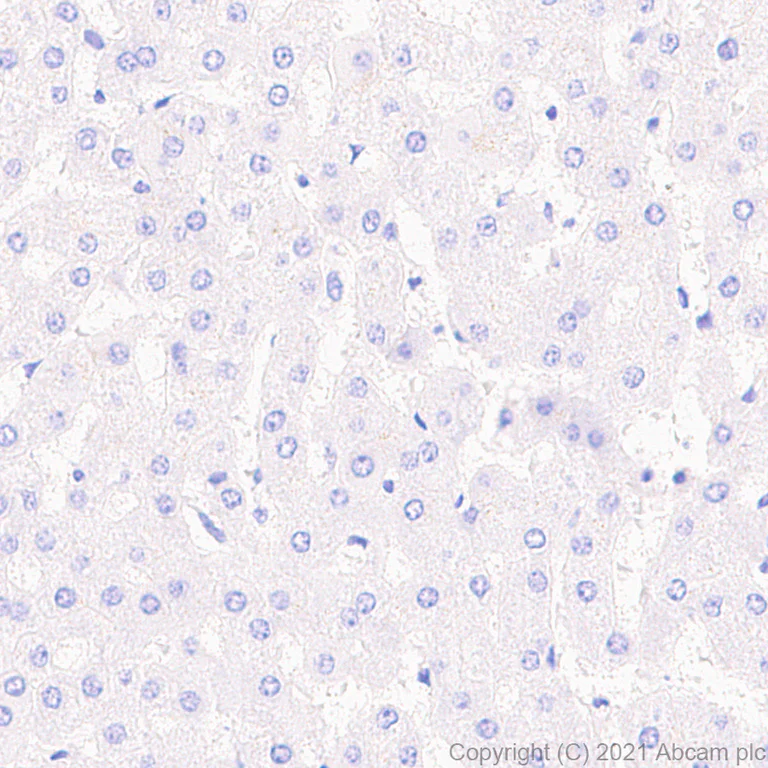
Negative tissue control image : IHC image of GIRK2 staining in a section of frozen human normal liver performed on a Leica Biosystems BOND® RX instrument using the standard protocol. The section was fixed in 10% paraformaldehyde (10 min) prior to staining. The section was incubated with ab259909, 0.05 μg/ml, for 15 mins at room temperature and detected using an HRP conjugated compact polymer system. DAB was used as the chromogen. The section was then counterstained with haematoxylin and mounted with DPX. The inset secondary-only control image is taken from an identical assay without primary antibody. For other IHC staining systems (automated and non-automated) customers should optimize variable parameters such as antigen retrieval conditions, primary antibody concentration and antibody incubation times. Tissue obtained from the Human Research Tissue Bank, supported by the NIHR Cambridge Biomedical Research Centre.

Immunohistochemistry (Formalin/PFA-fixed paraffin-embedded sections) - Anti-GIRK2 antibody [EPR23841-83] (AB259909)
  • IHC-P

Supplier Data

Immunohistochemistry (Formalin/PFA-fixed paraffin-embedded sections) - Anti-GIRK2 antibody [EPR23841-83] (AB259909)

Immunohistochemical analysis of paraffin-embedded human liver tissue labelling GIRK2 with ab259909 at 1/200 (2.345 μg/ml) dilution followed by ready to use LeicaDS9800 (Bond™ Polymer Refine Detection). The section was incubated with ab259909 for 30 mins at room temperature. The immunostaining was performed on a Leica Biosystems BOND® RX instrument. Counterstained with Hematoxylin.

Negative control : No staining on human liver (PMID : 7592809).

Secondary antibody only control : Secondary antibody is ready to use LeicaDS9800 (Bond™ Polymer Refine Detection).

Heat mediated antigen retrieval with Tris-EDTA buffer (pH 9.0, epitope retrieval solution2) for 20 mins.

Immunohistochemistry (Frozen sections) - Anti-GIRK2 antibody [EPR23841-83] (AB259909)
  • IHC-Fr

Supplier Data

Immunohistochemistry (Frozen sections) - Anti-GIRK2 antibody [EPR23841-83] (AB259909)

Immunohistochemical analysis of 4% PFA-fixed, 0.2% Triton X-100 permeabilized frozen rat hippocampus tissue labeling GIRK2 with ab259909 at 1/100 (4.69 μg/ml) dilution followed by ab150077 Goat Anti-Rabbit IgG H&L (Alexa Fluor® 488) at 1/1000 dilution (Green). The nuclear counterstain was DAPI (Blue).

Cytoplasmic staining on rat hippocampus (PMID : 8929423) is observed.

Secondary antibody control : Secondary antibody is ab150077 Goat Anti-Rabbit IgG H&L (Alexa Fluor® 488) at 1/1000 dilution.

Heat mediated antigen retrieval using sodium citrate buffer (10mM citrate pH 6.0 + 0.05% Tween-20).

Immunohistochemistry (Formalin/PFA-fixed paraffin-embedded sections) - Anti-GIRK2 antibody [EPR23841-83] (AB259909)
  • IHC-P

Supplier Data

Immunohistochemistry (Formalin/PFA-fixed paraffin-embedded sections) - Anti-GIRK2 antibody [EPR23841-83] (AB259909)

Immunohistochemical analysis of paraffin-embedded rat cerebellum tissue labelling GIRK2 with ab259909 at 1/200 (2.345 μg/ml) dilution followed by ready to use LeicaDS9800 (Bond™ Polymer Refine Detection). The section was incubated with ab259909 for 30 mins at room temperature. The immunostaining was performed on a Leica Biosystems BOND® RX instrument. Counterstained with Hematoxylin.

Postive staining predominantly on granular layer of rat cerebellum (PMID : 8642402, PMID : 9023358).

Secondary antibody only control : Secondary antibody is ready to use LeicaDS9800 (Bond™ Polymer Refine Detection).

Heat mediated antigen retrieval with Tris-EDTA buffer (pH 9.0, epitope retrieval solution2) for 20 mins.

Immunohistochemistry (Frozen sections) - Anti-GIRK2 antibody [EPR23841-83] (AB259909)
  • IHC-Fr

Supplier Data

Immunohistochemistry (Frozen sections) - Anti-GIRK2 antibody [EPR23841-83] (AB259909)

Immunohistochemical analysis of 4% PFA-fixed, 0.2% Triton X-100 permeabilized frozen mouse hippocampus tissue labeling GIRK2 with ab259909 at 1/100 (4.69 μg/ml) dilution followed by ab150077 Goat Anti-Rabbit IgG H&L (Alexa Fluor® 488) at 1/1000 dilution (Green). The nuclear counterstain was DAPI (Blue).

Cytoplasmic staining on mouse hippocampus (PMID : 8929423) is observed.

Secondary antibody control : Secondary antibody is ab150077 Goat Anti-Rabbit IgG H&L (Alexa Fluor® 488) at 1/1000 dilution.

Heat mediated antigen retrieval using sodium citrate buffer (10mM citrate pH 6.0 + 0.05% Tween-20).

Immunohistochemistry (Frozen sections) - Anti-GIRK2 antibody [EPR23841-83] (AB259909)
  • IHC-Fr

Supplier Data

Immunohistochemistry (Frozen sections) - Anti-GIRK2 antibody [EPR23841-83] (AB259909)

Immunohistochemical analysis of 4% PFA-fixed, 0.2% Triton X-100 permeabilized frozen rat liver tissue labeling GIRK2 with ab259909 at 1/100 (4.69 μg/ml) dilution followed by ab150077 Goat Anti-Rabbit IgG H&L (Alexa Fluor® 488) at 1/1000 dilution (Green). The nuclear counterstain was DAPI (Blue).

Negative control : No staining on rat liver (PMID : 7592809) is observed.

Secondary antibody control : Secondary antibody is ab150077 Goat Anti-Rabbit IgG H&L (Alexa Fluor® 488)at 1/1000 dilution.

Heat mediated antigen retrieval using sodium citrate buffer (10mM citrate pH 6.0 + 0.05% Tween-20).

Immunohistochemistry (Frozen sections) - Anti-GIRK2 antibody [EPR23841-83] (AB259909)
  • IHC-Fr

Supplier Data

Immunohistochemistry (Frozen sections) - Anti-GIRK2 antibody [EPR23841-83] (AB259909)

Immunohistochemical analysis of 4% PFA-fixed, 0.2% Triton X-100 permeabilized frozen rat cerebellum tissue labeling GIRK2 with ab259909 at 1/100 (4.69 μg/ml) dilution followed by ab150077 Goat Anti-Rabbit IgG H&L (Alexa Fluor® 488) at 1/1000 dilution (Green). The nuclear counterstain was DAPI (Blue).

Cytoplasmic staining on rat cerebellum (PMID : 8929423) is observed.

Secondary antibody control : Secondary antibody is ab150077 Goat Anti-Rabbit IgG H&L (Alexa Fluor® 488) at 1/1000 dilution.

Heat mediated antigen retrieval using sodium citrate buffer (10mM citrate pH 6.0 + 0.05% Tween-20).

Immunohistochemistry (Frozen sections) - Anti-GIRK2 antibody [EPR23841-83] (AB259909)
  • IHC-Fr

Supplier Data

Immunohistochemistry (Frozen sections) - Anti-GIRK2 antibody [EPR23841-83] (AB259909)

Immunohistochemical analysis of 4% PFA-fixed, 0.2% Triton X-100 permeabilized frozen rat cerebral cortex tissue labeling GIRK2 with ab259909 at 1/100 (4.69 μg/ml) dilution followed by ab150077 Goat Anti-Rabbit IgG H&L (Alexa Fluor® 488) at 1/1000 dilution (Green). The nuclear counterstain was DAPI (Blue).

Cytoplasmic staining on rat cerebral cortex (PMID : 8929423) is observed.

Secondary antibody control : Secondary antibody is ab150077 Goat Anti-Rabbit IgG H&L (Alexa Fluor® 488) at 1/1000 dilution.

Heat mediated antigen retrieval using sodium citrate buffer (10mM citrate pH 6.0 + 0.05% Tween-20).

Immunohistochemistry (Frozen sections) - Anti-GIRK2 antibody [EPR23841-83] (AB259909)
  • IHC-Fr

Supplier Data

Immunohistochemistry (Frozen sections) - Anti-GIRK2 antibody [EPR23841-83] (AB259909)

Immunohistochemical analysis of 4% PFA-fixed, 0.2% Triton X-100 permeabilized frozen mouse liver tissue labeling GIRK2 with ab259909 at 1/100 (4.69 μg/ml) dilution followed by ab150077 Goat Anti-Rabbit IgG H&L (Alexa Fluor® 488) at 1/1000 dilution (Green). The nuclear counterstain was DAPI (Blue).

Negative control : No staining on mouse liver (PMID : 7592809) is observed.

Secondary antibody control : Secondary antibody is ab150077 Goat Anti-Rabbit IgG H&L (Alexa Fluor® 488)at 1/1000 dilution.

Heat mediated antigen retrieval using sodium citrate buffer (10mM citrate pH 6.0 + 0.05% Tween-20).

Immunohistochemistry (Frozen sections) - Anti-GIRK2 antibody [EPR23841-83] (AB259909)
  • IHC-Fr

Supplier Data

Immunohistochemistry (Frozen sections) - Anti-GIRK2 antibody [EPR23841-83] (AB259909)

Immunohistochemical analysis of 4% PFA-fixed, 0.2% Triton X-100 permeabilized frozen mouse cerebellum tissue labeling GIRK2 with ab259909 at 1/100 (4.69 μg/ml) dilution followed by ab150077 Goat Anti-Rabbit IgG H&L (Alexa Fluor® 488) at 1/1000 dilution (Green). The nuclear counterstain was DAPI (Blue).

Cytoplasmic staining on mouse cerebellum (PMID : 8929423) is observed.

Secondary antibody control : Secondary antibody is ab150077 Goat Anti-Rabbit IgG H&L (Alexa Fluor® 488) at 1/1000 dilution.

Heat mediated antigen retrieval using sodium citrate buffer (10mM citrate pH 6.0 + 0.05% Tween-20).

Immunohistochemistry (Frozen sections) - Anti-GIRK2 antibody [EPR23841-83] (AB259909)
  • IHC-Fr

Supplier Data

Immunohistochemistry (Frozen sections) - Anti-GIRK2 antibody [EPR23841-83] (AB259909)

Immunohistochemical analysis of 4% PFA-fixed, 0.2% Triton X-100 permeabilized frozen mouse cerebral cortex tissue labeling GIRK2 with ab259909 at 1/100 (4.69 μg/ml) dilution followed by ab150077 Goat Anti-Rabbit IgG H&L (Alexa Fluor® 488) at 1/1000 dilution (Green). The nuclear counterstain was DAPI (Blue).

Cytoplasmic staining on mouse cerebral cortex (PMID : 8929423) is observed.

Secondary antibody control : Secondary antibody is ab150077 Goat Anti-Rabbit IgG H&L (Alexa Fluor® 488) at 1/1000 dilution.

Heat mediated antigen retrieval using sodium citrate buffer (10mM citrate pH 6.0 + 0.05% Tween-20).

Immunohistochemistry (Formalin/PFA-fixed paraffin-embedded sections) - Anti-GIRK2 antibody [EPR23841-83] (AB259909)
  • IHC-P

Supplier Data

Immunohistochemistry (Formalin/PFA-fixed paraffin-embedded sections) - Anti-GIRK2 antibody [EPR23841-83] (AB259909)

Immunohistochemical analysis of paraffin-embedded mouse cerebellum tissue labelling GIRK2 with ab259909 at 1/200 (2.345 μg/ml) dilution followed by ready to use LeicaDS9800 (Bond™ Polymer Refine Detection). The section was incubated with ab259909 for 30 mins at room temperature. The immunostaining was performed on a Leica Biosystems BOND® RX instrument. Counterstained with Hematoxylin.

Postive staining predominantly on granular layer of mouse cerebellum (PMID : 8642402, PMID : 9023358 ).

Secondary antibody only control : Secondary antibody is ready to use LeicaDS9800 (Bond™ Polymer Refine Detection).

Heat mediated antigen retrieval with Tris-EDTA buffer (pH 9.0, epitope retrieval solution2) for 20 mins.

Immunoprecipitation - Anti-GIRK2 antibody [EPR23841-83] (AB259909)
  • IP

Supplier Data

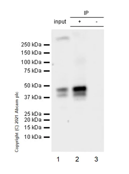
Immunoprecipitation - Anti-GIRK2 antibody [EPR23841-83] (AB259909)

GIRK2 was immunoprecipitated from 0.35 mg mouse brain tissue lysate 10 μg with ab259909 at 1/30 dilution (2 μg in 0.35 mg lysates). Western blot was performed on the immunoprecipitate using ab259909 at 1/1000 dilution. VeriBlot for IP secondary antibody(HRP)(ab131366) was used at 1/5000 dilution.

Lane 1 : Mouse brain tissue lysate 10 μg.

Lane 2 : ab259909 IP in mouse brain tissue lysate.

Lane 3 : Rabbit monoclonal IgG (ab172730) instead of ab259909 in mouse brain tissue lysate.

Blocking and dilution buffer and concentration : 5% NFDM/TBST.

Exposure time : 23 seconds.

Input sample is non-boiled as boiling may cause protein aggregates.The expression of truncated GIRK2 proteins observed around 40KD is consistent with what has been described in the literature (PMID : 28951616).

All lanes:

Immunoprecipitation - Anti-GIRK2 antibody [EPR23841-83] (ab259909)

Predicted band size: 48 kDa

Observed band size: 40 kDa,48 kDa

false

Western blot - Anti-GIRK2 antibody [EPR23841-83] (AB259909)
  • WB

Lab

Western blot - Anti-GIRK2 antibody [EPR23841-83] (AB259909)

Blocking and diluting buffer and concentration : 5% NFDM/TBST

Molecular weight around 40kDa, cleaved forms. (PMID : 28951616).

Samples are non-boiled as boiling may cause protein aggregates.

Negative control : liver (PMID : 8929423).

Exposure time : 5.5 seconds.

All lanes:

Western blot - Anti-GIRK2 antibody [EPR23841-83] (ab259909) at 1/1000 dilution

Lane 1:

Human brain tissue lysate at 20 µg

Lane 2:

Human liver tissue lysate at 40 µg

Secondary

All lanes:

Goat Anti-Rabbit IgG (HRP) with minimal cross-reactivity with human IgG at 1/2000 dilution

Predicted band size: 48 kDa

Observed band size: 35 kDa,40 kDa,48 kDa

false

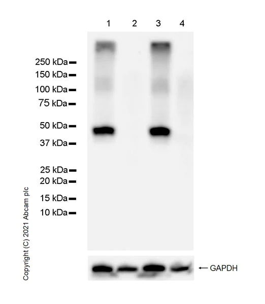
Western blot - Anti-GIRK2 antibody [EPR23841-83] (AB259909)
  • WB

Lab

Western blot - Anti-GIRK2 antibody [EPR23841-83] (AB259909)

Blocking and diluting buffer and concentration : 5% NFDM/TBST

Samples are non-boiled as boiling may cause protein aggregates.

Negative control : liver (PMID : 8929423).

Exposure time : 5.5 secs.

All lanes:

Western blot - Anti-GIRK2 antibody [EPR23841-83] (ab259909) at 1/1000 dilution

Lane 1:

Mouse brain tissue lysate at 20 µg

Lane 2:

Mouse liver tissue lysate at 40 µg

Lane 3:

Rat brain tissue lysate at 20 µg

Lane 4:

Rat liver tissue lysate at 40 µg

Secondary

All lanes:

Goat Anti-Rabbit IgG (HRP) with minimal cross-reactivity with human IgG at 1/2000 dilution

Predicted band size: 48 kDa

false

不同偶联物与剂型 (1)

  • Carrier free

    Anti-GIRK2 antibody [EPR23841-83] - BSA and Azide free

关键信息

宿主种属

Rabbit

克隆

Monoclonal

克隆号

EPR23841-83

亚型

IgG

不含载体蛋白

No

反应种属

Mouse, Rat, Human

应用

IP, IHC-P, WB, IHC-Fr

applications

免疫原

The exact immunogen used to generate this antibody is proprietary information.

反应性数据

{ "title": "Reactivity Data", "filters": { "stats": ["", "Species", "Dilution Info", "Notes"], "tabs": { "all-applications": {"fullname" : "All Applications", "shortname": "All Applications"}, "IP" : {"fullname" : "Immunoprecipitation", "shortname":"IP"}, "WB" : {"fullname" : "Western blot", "shortname":"WB"}, "IHCFr" : {"fullname" : "Immunohistochemistry (Frozen sections)", "shortname":"IHC-Fr"}, "FlowCytIntra" : {"fullname" : "Flow Cytometry (Intracellular)", "shortname":"Flow Cyt (Intra)"}, "IHCP" : {"fullname" : "Immunohistochemistry (Formalin/PFA-fixed paraffin-embedded sections)", "shortname":"IHC-P"} }, "product-promise": { "all": "all", "testedAndGuaranteed": "tested", "guaranteed": "expected", "predicted": "predicted", "notRecommended": "not-recommended" } }, "values": { "Human": { "IP-species-checked": "guaranteed", "IP-species-dilution-info": "", "IP-species-notes": "", "WB-species-checked": "testedAndGuaranteed", "WB-species-dilution-info": "1/1000", "WB-species-notes": "<p></p>", "IHCFr-species-checked": "testedAndGuaranteed", "IHCFr-species-dilution-info": "0.05 µg/mL", "IHCFr-species-notes": "<p>Heat mediated antigen retrieval using sodium citrate buffer (10mM citrate pH 6.0 + 0.05% Tween-20)</p>", "FlowCytIntra-species-checked": "notRecommended", "FlowCytIntra-species-dilution-info": "", "FlowCytIntra-species-notes": "", "IHCP-species-checked": "testedAndGuaranteed", "IHCP-species-dilution-info": "1/200", "IHCP-species-notes": "<p></p>" }, "Mouse": { "IP-species-checked": "testedAndGuaranteed", "IP-species-dilution-info": "1/30", "IP-species-notes": "<p></p>", "WB-species-checked": "testedAndGuaranteed", "WB-species-dilution-info": "1/1000", "WB-species-notes": "<p></p>", "IHCFr-species-checked": "testedAndGuaranteed", "IHCFr-species-dilution-info": "0.05 µg/mL", "IHCFr-species-notes": "<p>Heat mediated antigen retrieval using sodium citrate buffer (10mM citrate pH 6.0 + 0.05% Tween-20)</p>", "FlowCytIntra-species-checked": "notRecommended", "FlowCytIntra-species-dilution-info": "", "FlowCytIntra-species-notes": "<p></p>", "IHCP-species-checked": "testedAndGuaranteed", "IHCP-species-dilution-info": "1/200", "IHCP-species-notes": "<p></p>" }, "Rat": { "IP-species-checked": "guaranteed", "IP-species-dilution-info": "", "IP-species-notes": "", "WB-species-checked": "testedAndGuaranteed", "WB-species-dilution-info": "1/1000", "WB-species-notes": "<p></p>", "IHCFr-species-checked": "testedAndGuaranteed", "IHCFr-species-dilution-info": "0.05 µg/mL", "IHCFr-species-notes": "<p>Heat mediated antigen retrieval using sodium citrate buffer (10mM citrate pH 6.0 + 0.05% Tween-20)</p>", "FlowCytIntra-species-checked": "notRecommended", "FlowCytIntra-species-dilution-info": "", "FlowCytIntra-species-notes": "<p></p>", "IHCP-species-checked": "testedAndGuaranteed", "IHCP-species-dilution-info": "1/200", "IHCP-species-notes": "<p></p>" } } }

产品详情

Patented technology
Our RabMAb® technology is a patented hybridoma-based technology for making rabbit monoclonal antibodies. For details on our patents, please refer to RabMAb® patents.

What are the advantages of a recombinant monoclonal antibody?
This product is a recombinant monoclonal antibody, which offers several advantages including:

  • - High batch-to-batch consistency and reproducibility
  • - Improved sensitivity and specificity
  • - Long-term security of supply
  • - Animal-free batch production

For more information, read more on recombinant antibodies.

性能和储存信息

形式
Liquid
纯化工艺
Affinity purification Protein A
存储溶液
pH: 7.2 - 7.4 Preservative: 0.01% Sodium azide Constituents: PBS, 40% Glycerol (glycerin, glycerine), 0.05% BSA
运输条件
Blue Ice
推荐的短期储存时间
1-2 weeks
推荐的短期储存条件
+4°C
推荐的长期储存条件
-20°C
分装信息
Upon delivery aliquot
储存信息
Avoid freeze / thaw cycle

补充信息

This supplementary information is collated from multiple sources and compiled automatically.

GIRK2 also known as G protein-coupled inwardly-rectifying potassium channel 2 or KCNJ6 serves as an inward rectifier potassium channel. Mechanically GIRK2 regulates the flow of K+ ions into the cell when activated by G proteins influencing cellular excitability. GIRK2 has a molecular weight of approximately 48 kDa. This protein is expressed in various tissues including the brain heart and pancreas where it plays a role in modulating neuronal signaling and cardiac rhythm.
Biological function summary

The GIRK2 channel contributes to maintaining resting membrane potentials and controlling neuronal excitability. GIRK2 forms heteromultimeric complexes with other GIRK subunits such as GIRK1 to fully function. These complexes are essential for the proper regulation of synaptic transmission and responsiveness to neurotransmitters particularly in areas of the brain like the cerebellum and hippocampus which are critical for cognitive and motor functions.

Pathways

GIRK2 plays a significant role in the GABAergic neurotransmission and dopaminergic pathways. In the GABAergic pathway GIRK2 aids in mediating inhibitory signals by enhancing the hyperpolarization of neurons therefore dampening neurotransmission. In dopaminergic pathways GIRK2 interacts closely with dopamine receptors to modulate dopamine-induced potassium conductance impacting processes related to mood and reward. These interactions implicate GIRK2 in the regulation of important signaling pathways related to neuronal function and mood regulation.

GIRK2 has been implicated in neurological conditions like Parkinson's disease and epilepsy. Alterations in GIRK2 expression or function can disrupt normal neuronal signaling potentially contributing to the pathophysiology of these disorders. In Parkinson's disease the dopaminergic neurons involving GIRK2 and its interactions with dopamine receptors become affected leading to motor dysfunction. Similarly in epilepsy abnormal GIRK2 function may impair synaptic inhibition resulting in uncontrolled neuronal excitability.

产品实验方案

For this product, it's our understanding that no specific protocols are required. You can visit:

靶点信息

Inward rectifier potassium channels are characterized by a greater tendency to allow potassium to flow into the cell rather than out of it. Their voltage dependence is regulated by the concentration of extracellular potassium; as external potassium is raised, the voltage range of the channel opening shifts to more positive voltages. The inward rectification is mainly due to the blockage of outward current by internal magnesium. This potassium channel may be involved in the regulation of insulin secretion by glucose and/or neurotransmitters acting through G-protein-coupled receptors.
See full target information KCNJ6

Abcam Product Promise

我们致力于为您的研究提供高质量的试剂,为您科研的每一步提供支持。若我们的产品未能达到预期性能,我们向您提供 Abcam Product Promise 保障。
详情请参阅我们的条款与条件。

Please note: All products are 'FOR RESEARCH USE ONLY. NOT FOR USE IN DIAGNOSTIC OR THERAPEUTIC PROCEDURES'.

For licensing inquiries, please contact partnerships@abcam.com