JavaScript is disabled in your browser. Please enable JavaScript to view this website.
AB5449

Anti-GFP抗体

Anti-GFP antibody

4

(1 Review)

|

(16 Publications)

Goat Polyclonal GFP antibody. Suitable for IP, WB.

See more GFP antibodies and assay kits

查看别名

Green fluorescent protein, GFP

2 Images
Western blot - Anti-GFP antibody (AB5449)
  • WB

Unknown

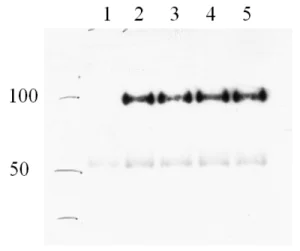
Western blot - Anti-GFP antibody (AB5449)

Lane 1 : parental YTS cells (negative control)
Lanes 2-5 : YTS cells transfected with KIR-EGFP (mw 88 kD)

KIR-EGFP IP's with Goat polyclonal to GFP (ab5449) using 0.1 ul for 2x106 cells. KIR-EGFP detected with a mouse monoclonal to KIR receptor (Borszcz et al EGI 2003, 33 : 1084).

Lane 1 : parental YTS cells (negative control) Lanes 2-5 : YTS cells transfected with KIR-EGFP (mw 88 kD) KIR-EGFP IP's with Goat polyclonal to GFP (ab5449) using 0.1 ul for 2x106 cells. KIR-EGFP detected with a mouse monoclonal to KIR receptor (Borszcz et al EGI 2003, 33 : 1084).

All lanes:

Western blot - Anti-GFP antibody (ab5449)

Predicted band size: 27 kDa

false

Western blot - Anti-GFP antibody (AB5449)
  • WB

Unknown

Western blot - Anti-GFP antibody (AB5449)

5 ng GFP on PVDF membrane QC. Goat polyclonal to GFP (ab5449) used at dilutions of :
Lane 1 : 1/2500
Lane 2 : 1/5000
Lane 3 : 1/10,000
Lane 4 : 1/20,000

5 ng GFP on PVDF membrane QC. Goat polyclonal to GFP (ab5449) used at dilutions of : Lane 1 : 1/2500 Lane 2 : 1/5000 Lane 3 : 1/10,000 Lane 4 : 1/20,000

All lanes:

Western blot - Anti-GFP antibody (ab5449)

Predicted band size: 27 kDa

false

关键信息

宿主种属

Goat

克隆

Polyclonal

亚型

IgG

不含载体蛋白

No

应用

WB, IP

applications

免疫原

The exact immunogen used to generate this antibody is proprietary information.

特异性

Reactive against all variants of Aequorea victoria GFP such as S65T-GFP, RS-GFP, YFP and EGFP.

反应性数据

{ "title": "Reactivity Data", "filters": { "stats": ["", "Species", "Dilution Info", "Notes"], "tabs": { "all-applications": {"fullname" : "All Applications", "shortname": "All Applications"}, "IP" : {"fullname" : "Immunoprecipitation", "shortname":"IP"}, "WB" : {"fullname" : "Western blot", "shortname":"WB"} }, "product-promise": { "all": "all", "testedAndGuaranteed": "tested", "guaranteed": "expected", "predicted": "predicted", "notRecommended": "not-recommended" } }, "values": { "Tag": { "IP-species-checked": "guaranteed", "IP-species-dilution-info": " for 10^6 Cells", "IP-species-notes": "<p></p>", "WB-species-checked": "testedAndGuaranteed", "WB-species-dilution-info": "1/5000 - 1/20000", "WB-species-notes": "<p></p>" } } }

您可能对以下产品感兴趣:

AB235672

GFP Quantification Kit

0

0 Reviews

查看产品
为什么推荐这个?

我们推荐这个产品,因为它经常被用于相同的实验或相关的研究。

我们建议您务必查阅产品说明书,以确认其是否符合您的实验需求;若有疑问,也可联系我们的技术团队获取协助。

产品详情

性能和储存信息

形式
Liquid
纯度
Whole antiserum
存储溶液
Preservative: 0.05% Sodium azide
运输条件
Blue Ice
推荐的短期储存条件
+4°C
推荐的长期储存条件
-20°C
分装信息
Upon delivery aliquot
储存信息
Avoid freeze / thaw cycle

产品实验方案

For this product, it's our understanding that no specific protocols are required. You can visit:

靶点信息

Energy-transfer acceptor. Its role is to transduce the blue chemiluminescence of the protein aequorin into green fluorescent light by energy transfer. Fluoresces in vivo upon receiving energy from the Ca(2+)-activated photoprotein aequorin.
See full target information GFP

文献 (16)

Recent publications for all applications. Explore the full list and refine your search

Journal of neurophysiology 126:1978-1990 PubMed34669520

2021

Intrinsic brainstem circuits comprised of Chx10-expressing neurons contribute to reticulospinal output in mice.

Applications

Unspecified application

Species

Unspecified reactive species

Jeremy W Chopek,Ying Zhang,Robert M Brownstone

Neuron 109:2847-2863.e11 PubMed34407390

2021

Proneural genes define ground-state rules to regulate neurogenic patterning and cortical folding.

Applications

Unspecified application

Species

Unspecified reactive species

Sisu Han,Satoshi Okawa,Grey Atteridge Wilkinson,Hussein Ghazale,Lata Adnani,Rajiv Dixit,Ligia Tavares,Imrul Faisal,Matthew J Brooks,Veronique Cortay,Dawn Zinyk,Adam Sivitilli,Saiqun Li,Faizan Malik,Yaroslav Ilnytskyy,Vladimir Espinosa Angarica,Jinghua Gao,Vorapin Chinchalongporn,Ana-Maria Oproescu,Lakshmy Vasan,Yacine Touahri,Luke Ajay David,Eko Raharjo,Jung-Woong Kim,Wei Wu,Waleed Rahmani,Jennifer Ai-Wen Chan,Igor Kovalchuk,Liliana Attisano,Deborah Kurrasch,Colette Dehay,Anand Swaroop,Diogo S Castro,Jeff Biernaskie,Antonio Del Sol,Carol Schuurmans

Nature protocols 16:1062-1088 PubMed33452502

2021

Multimodal detection of protein isoforms and nucleic acids from mouse pre-implantation embryos.

Applications

Unspecified application

Species

Unspecified reactive species

Elisabet Rosàs-Canyelles,Andrew J Modzelewski,Alisha Geldert,Lin He,Amy E Herr

Redox biology 40:101858 PubMed33461096

2021

Reactive oxygen species induce Cys106-mediated anti-parallel HMGB1 dimerization that protects against DNA damage.

Applications

Unspecified application

Species

Unspecified reactive species

Man Sup Kwak,Woo Joong Rhee,Yong Joon Lee,Hee Sue Kim,Young Hun Kim,Min Kyung Kwon,Jeon-Soo Shin

Brain research bulletin 166:21-28 PubMed33053435

2020

Mechanism of TREM2/DAP12 complex affecting β-amyloid plaque deposition in Alzheimer's disease modeled mice through mediating inflammatory response.

Applications

Unspecified application

Species

Unspecified reactive species

Xin Cui,Jun Qiao,Sha Liu,Ming Wu,Weiwei Gu

Neuropathology and applied neurobiology 46:564-578 PubMed32342993

2020

Novel CAPN3 variant associated with an autosomal dominant calpainopathy.

Applications

Unspecified application

Species

Unspecified reactive species

M Cerino,E Campana-Salort,A Salvi,P Cintas,D Renard,R Juntas Morales,C Tard,F Leturcq,T Stojkovic,N Bonello-Palot,S Gorokhova,J Mortreux,A Maues De Paula,N Lévy,J Pouget,M Cossée,M Bartoli,M Krahn,S Attarian

Current biology : CB 29:3851-3862.e4 PubMed31668626

2019

Injury Activates a Dynamic Cytoprotective Network to Confer Stress Resilience and Drive Repair.

Applications

Unspecified application

Species

Unspecified reactive species

Helen Weavers,Will Wood,Paul Martin

Human molecular genetics 28:2378-2394 PubMed31090908

2019

Loss of Cajal bodies in motor neurons from patients with novel mutations in VRK1.

Applications

Unspecified application

Species

Unspecified reactive species

Lara El-Bazzal,Khalil Rihan,Nathalie Bernard-Marissal,Christel Castro,Eliane Chouery-Khoury,Jean-Pierre Desvignes,Alexandre Atkinson,Karine Bertaux,Salam Koussa,Nicolas Lévy,Marc Bartoli,André Mégarbané,Rosette Jabbour,Valérie Delague

Scientific reports 8:17702 PubMed30531974

2018

Phosphorylation of nuclear Tau is modulated by distinct cellular pathways.

Applications

Unspecified application

Species

Unspecified reactive species

Giorgio Ulrich,Agnese Salvadè,Paul Boersema,Tito Calì,Chiara Foglieni,Martina Sola,Paola Picotti,Stéphanie Papin,Paolo Paganetti

Nucleic acids research 46:4933-4949 PubMed29547954

2018

Mbd2-CP2c loop drives adult-type globin gene expression and definitive erythropoiesis.

Applications

Unspecified application

Species

Unspecified reactive species

Min Young Kim,Ji Sook Kim,Seung Han Son,Chang Su Lim,Hea Young Eum,Dae Hyun Ha,Mi Ae Park,Eun Jung Baek,Buom-Yong Ryu,Ho Chul Kang,Vladimir N Uversky,Chul Geun Kim
View all publications

Abcam Product Promise

我们致力于为您的研究提供高质量的试剂,为您科研的每一步提供支持。若我们的产品未能达到预期性能,我们向您提供 Abcam Product Promise 保障。
详情请参阅我们的条款与条件。

关联产品

Select an associated product type
Alternative Product
Primary Antibodies

AB190584

HRP Anti-GFP antibody [E385]

primary-antibodies

hrp-gfp-antibody-e385-ab190584

5

(1 reviews)

Alternative Product
Primary Antibodies

AB183734

Anti-GFP antibody [EPR14104]

primary-antibodies

gfp-antibody-epr14104-ab183734

5

(24 reviews)

Alternative Product
Primary Antibodies

AB220802

Anti-GFP antibody [EPR14104] - BSA and Azide free

primary-antibodies

gfp-antibody-epr14104-bsa-and-azide-free-ab220802

4

(1 reviews)

Alternative Product
Primary Antibodies

AB239807

Anti-GFP antibody [E385] - BSA and Azide free

primary-antibodies

gfp-antibody-e385-bsa-and-azide-free-ab239807

5

(1 reviews)

Alternative Product
Primary Antibodies

AB32146

Anti-GFP antibody [E385]

primary-antibodies

gfp-antibody-e385-ab32146

5

(4 reviews)

Alternative Product
Primary Antibodies

AB236117

Anti-GFP antibody [EPR14104-89] - BSA and Azide free

primary-antibodies

gfp-antibody-epr14104-89-bsa-and-azide-free-ab236117

4

(1 reviews)

Please note: All products are 'FOR RESEARCH USE ONLY. NOT FOR USE IN DIAGNOSTIC OR THERAPEUTIC PROCEDURES'.

For licensing inquiries, please contact partnerships@abcam.com