JavaScript is disabled in your browser. Please enable JavaScript to view this website.
AB13970

Anti-GFP 抗体

Anti-GFP antibody

5

(96 Reviews)

|

(4565 Publications)

Anti-GFP antibody (ab13970) is a chicken polyclonal antibody detecting GFP in Western Blot, ICC/IF.

- Over 3610 publications
- Trusted since 2004

See more GFP antibodies and assay kits

查看别名

Green fluorescent protein, GFP

8 Images
Immunocytochemistry/ Immunofluorescence - Anti-GFP antibody (AB13970)
  • ICC/IF

AbReview37401****

Immunocytochemistry/ Immunofluorescence - Anti-GFP antibody (AB13970)

ab13970 staining GFP in U-2 OS (Human bone osteosarcoma epithelial cell line) cells by ICC/IF.

Cells were paraformaldehyde fixed permeabilized with 0.5% triton and blocked with 2% antibody dilution buffer for 2 hours. Cells were incubated with the primary antibody (1/1000 dilution) for 1 hour at 25°C. An undiluted Alexa Fluor® 488 conjugated Goat anti-chicken polyclonal was used as the secondary antibody.

This image is courtesy of an Abreview submitted by Christophe Lachaud

Immunocytochemistry/ Immunofluorescence - Anti-GFP antibody (AB13970)
  • ICC/IF

AbReview51152****

Immunocytochemistry/ Immunofluorescence - Anti-GFP antibody (AB13970)

Immunocytochemical/ Immunoflurescence analysis of cytospined HEK-293 cells (Human epithelial cell line from embryonic kidney) transfected with GFP labeling GFP with ab13970 at 1/200 dilution incubated for 16 hours at 4°C with 1% BSA in PBS. Secondary used was a donkey anti-chicken polyclonal DyLight® 594 at 1/500.

GFP is shown in red (DyLight® 594).

Nuclei are counterstained in blue (DAPI).

The left panel shows HEK-293 cells transfected with GFP and the right panel shows non-transfected HEK-293 cells.

Image courtesy of an AbReview submitted by Dr Francois Daubeuf.

Immunocytochemistry/ Immunofluorescence - Anti-GFP antibody (AB13970)
  • ICC/IF

Unknown

Immunocytochemistry/ Immunofluorescence - Anti-GFP antibody (AB13970)

Transgenic mice expressing GFP selectively in lamina II of the spinal cord.

In the right panels, note the correspondance between the green (rabbit anti-GFP) and red signals (chicken anti-GFP from Abcam) indicating that these two antibody preparations recognized the same gene product. The secondary antibody used with ab13970 was an FITC-labeled goat anti-chicken

Immunocytochemistry/ Immunofluorescence - Anti-GFP antibody (AB13970)
  • ICC/IF

Lab

Immunocytochemistry/ Immunofluorescence - Anti-GFP antibody (AB13970)

ab13970 staining GFP in GFP-transfected NIH/3T3 (Mouse embryo fibroblast cell line) cells.

The cells were fixed with 4% formaldehyde (10 minutes) and then blocked in 1% BSA / 0.3M glycine in 0.1%PBS-Tween for 1 hour. The cells were then incubated with ab13970 at 1/2000 dilution overnight at +4°C followed by incubation with Goat Anti-Chicken IgY H&L (Alexa Fluor® 488) preadsorbed (ab150173) for 1 hour at 1 μg/ml.
Under identical experimental conditions when compared to the basal level of GFP expression in transfected NIH/3T3 cells the cells upon which ab13970 was applied gave a stronger signal in the 488 channel indicating that ab13970 is binding to GFP and therefore eliciting signal amplification.
ab13970 was also applied to non-GFP-transfected NIH/3T3 cells which produced no positive staining indicating specificity for GFP.

Nuclear DNA was labeled with 1.43 μM DAPI (blue).

Immunocytochemistry/ Immunofluorescence - Anti-GFP antibody (AB13970)
  • ICC/IF

AbReview9199****

Immunocytochemistry/ Immunofluorescence - Anti-GFP antibody (AB13970)

ab13970 staining GFP + tumor in mouse muscle cells by ICC/IF.

Cells were formaldehyde fixed and blocked with 3% BSA for 1 hour at 24°C prior to incubation with the primary antibody (1/500 dilution) for 1 hour at 24°C. An Alexa Fluor® 488 conjugated goat anti-chicken was used as the secondary.

This image is courtesy of an Abreview submitted by Dr Radbod Darabi

Western blot - Anti-GFP antibody (AB13970)
  • WB

Unknown

Western blot - Anti-GFP antibody (AB13970)

Western blot of transgenic mouse spinal cords showing that the rabbit anti-GFP (lane 1) and the chicken anti-GFP (Abcam; lane 2) recognize a band at the same molecular weight.

Lane 1:

Rabbit anti-GFP

Lane 2:

Western blot - Anti-GFP antibody (ab13970)

All lanes:

Transgenic mouse spinal cords

Predicted band size: 27 kDa

false

Western blot - Anti-GFP antibody (AB13970)
  • WB

AbReview28008****

Western blot - Anti-GFP antibody (AB13970)

All lanes:

Western blot - Anti-GFP antibody (ab13970) at 1/1000 dilution

Lane 1:

Whole cell lysate prepared from HeLa (Human epithelial cell line from cervix adenocarcinoma) cells. at 25 µg

Lane 2:

Whole cell lysate prepared from HeLa cells. at 25 µg

Secondary

All lanes:

IRDye 800CW conjugated goat anti-chicken polyclonal at 1/15000 dilution

Predicted band size: 27 kDa

false

Image courtesy of an anonymous Abreview.

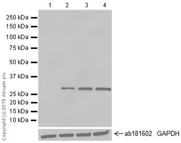
Western blot - Anti-GFP antibody (AB13970)
  • WB

AbReview51452****

Western blot - Anti-GFP antibody (AB13970)

Gel Running Conditions : Reduced Denaturing (15% PAGE)

Detection method : Fluorescent Secondary Antibodies

All lanes:

Western blot - Anti-GFP antibody (ab13970) at 1/2000 dilution

Lane 1:

3 µg of GFP plasmid overexpressed in mouse cardiomyocytes whole cell lysate at 25 µg with BSA / for 1 hour at room temperature

Lane 2:

2 µg of GFP plasmid overexpressed in mouse cardiomyocytes whole cell lysate at 25 µg with BSA / for 1 hour at room temperature

Lane 3:

1 µg of GFP plasmid overexpressed in mouse cardiomyocytes whole cell lysate at 25 µg with BSA / for 1 hour at room temperature

Secondary

All lanes:

Western blot - Goat Anti-Chicken IgY H&L (Alexa Fluor® 594) preadsorbed (<a href='/products/secondary-antibodies/goat-chicken-igy-h-l-alexa-fluor-594-preadsorbed-ab150176'>ab150176</a>) at 1/5000 dilution

Predicted band size: 27 kDa

Observed band size: 25 kDa

false

Exposure time: 30s

This image is courtesy of an anonymous Abreview

关键信息

宿主种属

Chicken

克隆

Polyclonal

亚型

IgY

不含载体蛋白

No

应用

ICC/IF, WB

applications

免疫原

Recombinant Full Length Protein corresponding to Aequorea victoria GFP.

P42212

特异性

Our GFP antibody does cross-react with the many fluorescent proteins that are derived from the jellyfish Aequorea victoria. These are all proteins that differ from the original GFP by just a few point mutations (EGFP, YFP, mVenus, CFP, BFP etc.).

反应性数据

{ "title": "Reactivity Data", "filters": { "stats": ["", "Species", "Dilution Info", "Notes"], "tabs": { "all-applications": {"fullname" : "All Applications", "shortname": "All Applications"}, "WB" : {"fullname" : "Western blot", "shortname":"WB"}, "ICCIF" : {"fullname" : "Immunocytochemistry/ Immunofluorescence", "shortname":"ICC/IF"} }, "product-promise": { "all": "all", "testedAndGuaranteed": "tested", "guaranteed": "expected", "predicted": "predicted", "notRecommended": "not-recommended" } }, "values": { "Tag": { "WB-species-checked": "testedAndGuaranteed", "WB-species-dilution-info": "1/5000", "WB-species-notes": "<p></p>", "ICCIF-species-checked": "testedAndGuaranteed", "ICCIF-species-dilution-info": "1/2000", "ICCIF-species-notes": "<p>Used at a dilution of 1/2000 for 1 hr (see Abreview for further information).</p>" } } }

产品详情

Anti-GFP antibody (ab13970) is a chicken polyclonal antibody and is validated for use in ICC/IF and WB.

Anti-GFP antibody (ab13970) was first used in a scientific publication in 2005 and has been cited over 3610 times in peer reviewed journals. It's performance in immunofluorescence and Western Blot is trusted by the scientific community.

Abcam's high quality validation processes ensure Anti-GFP antibody (ab13970) has high sensitivity and specificity.

Anti-GFP antibody (ab13970) has 93 independent reviews from customers.

GFP antibodies are used to visualize proteins labelled with this tag in a variety of applications (for example imaging and Flow cytometry). To enable specific detection of your tagged protein, Anti-GFP antibody (ab13970) has been validated in ICC/IF and WB.

Anti-GFP antibody (ab13970) specifically detects GFP (UniProt ID: P42212; Molecular weight: 27kDa) and is sold in 100 µL selling sizes.

Green Fluorescent Protein (GFP), originally derived from the jellyfish Aequorea victoria, emits a bright green fluorescence under ultraviolet or blue light. This unique property makes GFP an invaluable tool in molecular and cell biology research. Widely used to tag proteins, GFP allows scientists to visualize and track protein expression, localization and interactions within living cells. Key applications of GFP include fluorescence microscopy (ICC, IHC, IF), flow cytometry (FC) and western blotting (WB).

性能和储存信息

形式
Liquid
纯度
IgY fraction
纯化说明
Sterile filtered.
存储溶液
pH: 7 Preservative: 0.01% Thimerosal (merthiolate) Constituents: PBS, 50% Glycerol (glycerin, glycerine), 0.16% Sodium phosphate
运输条件
Blue Ice
推荐的短期储存时间
1-2 weeks
推荐的短期储存条件
+4°C
推荐的长期储存条件
-20°C
分装信息
Upon delivery aliquot
储存信息
Avoid freeze / thaw cycle

补充信息

This supplementary information is collated from multiple sources and compiled automatically.

GFP also known as Green Fluorescent Protein acts as a bioluminescent marker derived from the jellyfish Aequorea victoria. GFP is popular in molecular biology for its fluorescence properties making it useful for visualizing proteins. This protein has a molecular weight of approximately 27 kDa. Researchers and scientists often express GFP in various organisms as a luminescent tag helping them observe protein expression localization and interaction within cells. GFP tagging involves the fusion of GFP to a protein of interest enabling the study of the protein's function and dynamics without affecting the host cell.
Biological function summary

GFP serves as a marker due to its ability to emit green fluorescence without requiring additional substrates or cofactors. GFP does not function within complexes like other proteins but acts as a standalone tool to monitor physiological processes. Scientists utilize techniques such as Western blot ELISA and microscopy along with GFP to track and quantify proteins inside living cells. Anti-GFP antibodies can detect GFP fusion proteins in various applications providing valuable insights into protein behavior and allowing robust assays involving GFP.

Pathways

GFP itself does not participate actively in traditional biochemical or signaling pathways. Instead it enables visual tracking within pathways. Researchers utilize GFP to study pathways like MAPK/ERK and PI3K/AKT where they track proteins related to these pathways using GFP tagging. For instance fusing GFP with proteins like ERK1/2 allows tracking phosphorylation events and signal transduction in living cells leading to better understanding of cellular responses to different stimuli.

Researchers use GFP as a model to study gene expression and protein interactions under disease conditions. For example in neurological disorders GFP helps visualize neuronal pathways and protein aggregation processes. By tagging proteins such as amyloid precursor protein (APP) or tau with GFP scientists can study their role in Alzheimer's disease progression. Similarly GFP facilitates the investigation of cancer pathways allowing visualization of tumor-related proteins and helping researchers study how cancer cells grow and invade tissues supporting cancer research and therapy development.

产品实验方案

For this product, it's our understanding that no specific protocols are required. You can visit:

靶点信息

Energy-transfer acceptor. Its role is to transduce the blue chemiluminescence of the protein aequorin into green fluorescent light by energy transfer. Fluoresces in vivo upon receiving energy from the Ca(2+)-activated photoprotein aequorin.
See full target information GFP

文献 (4565)

Recent publications for all applications. Explore the full list and refine your search

eNeuro 12: PubMed41062275

2025

A Single NPFR Neuropeptide F Receptor Neuron That Regulates Thirst Behaviors in .

Applications

Unspecified application

Species

Unspecified reactive species

Donnoban Orozco Ramirez,Brian P Wang,Dan Landayan,Gagandeep Kaur,Fred W Wolf

Nature neuroscience 28:2201-2216 PubMed41044342

2025

Muscle-derived miR-126 regulates TDP-43 axonal local synthesis and NMJ integrity in ALS models.

Applications

Unspecified application

Species

Unspecified reactive species

Ariel Ionescu,Lior Ankol,Anand Ganapathy Subramaniam,Topaz Altman,Iddo Magen,Yahel Cohen,Yehuda Danino,Tal Gradus-Pery,Yoav Niv,Ori Bar Avi,Danielle Geller,Amjd Ibraheem,Ruilei Cheng,Noam Steinberg,Leenor Alfahel,Pauline Duc,Zeynep Ergul-Ulger,Doruk Arslan,Ersin Tan,Florence Rage,Nilo Riva,Angello Quattrini,Can Ebru Bekircan-Kurt,Adrian Israelson,Amir Dori,Eran Hornstein,Eran Perlson

Nature cell biology 27:1725-1738 PubMed41034521

2025

Microtubule architecture connects AMOT stability to YAP/TAZ mechanotransduction and Hippo signalling.

Applications

Unspecified application

Species

Unspecified reactive species

Giada Vanni,Anna Citron,Ambela Suli,Paolo Contessotto,Robin Caire,Alessandro Gandin,Giovanna Mantovan,Francesca Zanconato,Giovanna Brusatin,Michele Di Palma,Elisa Peirano,Lisa Sofia Pozzer,Carlo Albanese,Roberto A Steiner,Michelangelo Cordenonsi,Tito Panciera,Stefano Piccolo

Molecular psychiatry : PubMed41034508

2025

Long-lived adult-born hippocampal neurons promote successful cognitive aging.

Applications

Unspecified application

Species

Unspecified reactive species

Nicolas Blin,Vanessa Charrier,Fanny Farrugia,Justine Palhol,Antoine Presset,Estelle Cartier,Stephane Oliet,Emilie Pacary,Muriel Koehl,Dieter Chichung Lie,Nuria Masachs,Djoher Nora Abrous

PLoS biology 23:e3003376 PubMed41037475

2025

Cortical astrocyte histamine-1-receptors regulate intracellular calcium and extracellular adenosine dynamics across sleep and wake.

Applications

Unspecified application

Species

Unspecified reactive species

Charlotte R Taylor,Vincent Tse,Drew D Willoughby,Maxine Levesque,Trisha V Vaidyanathan,Jeanne T Paz,Kira E Poskanzer

Nature cardiovascular research 4:1363-1380 PubMed41034455

2025

Oxidative phosphorylation is required for cardiomyocyte re-differentiation and long-term fish heart regeneration.

Applications

Unspecified application

Species

Unspecified reactive species

Konstantinos Lekkos,Zhilian Hu,Phong D Nguyen,Hessel Honkoop,Esra Sengul,Rita Alonaizan,Jana Koth,Jun Ying,Madeleine E Lemieux,Alisha Kenward,Sean Keeley,Bastiaan Spanjaard,Brett W C Kennedy,Xin Sun,Katherine Banecki,Helen G Potts,Gennaro Ruggiero,James Montgomery,Daniela Panáková,Jan Philipp Junker,Lisa C Heather,Xiaonan Wang,Juan Manuel Gonzalez-Rosa,Jeroen Bakkers,Mathilda T M Mommersteeg

Nature communications 16:8647 PubMed41028752

2025

Cell-type-specific functionality encoded within the intrinsically disordered regions of OCT4.

Applications

Unspecified application

Species

Unspecified reactive species

Burak Ozkan,Mitzy Rios de Anda,Elisa Hall-Ponsele,Maria Rosa Portero Migueles,Amani Alshaikh,Marta Hanzevacki,Moriyah Naama,Katharine Furlong,Gareth A Roberts,Meryam Beniazza,My Linh Huynh,Michael R O'Dwyer,Sonia Yiakoumi,Christos Spanos,Hazar Yassen,Keisuke Kaji,Hitoshi Niwa,Yosef Buganim,Sally Lowell,Abdenour Soufi

Nature communications 16:8678 PubMed41028711

2025

Genetic tuning of retinal ganglion cell subtype identity to drive visual behavior.

Applications

Unspecified application

Species

Unspecified reactive species

Marcos L Aranda,Jacob D Bhoi,Omar A Payán Parra,Seul Ki Lee,Tomoko Yamada,Yue Yang,Tiffany M Schmidt

Nature structural & molecular biology : PubMed41023246

2025

Molecular basis for the activation of outer dynein arms in cilia.

Applications

Unspecified application

Species

Unspecified reactive species

Karim Housseini B Issa,Muyang Ren,Bradley Burnet,Hao Lu,Charlotte Melia,Kate Heesom,Anthony J Roberts,Sudipto Roy,Girish R Mali

International journal of molecular sciences 26: PubMed41009511

2025

Functional Recovery by Transplantation of Human iPSC-Derived A2B5 Positive Neural Progenitor Cell After Spinal Cord Injury in Mice.

Applications

Unspecified application

Species

Unspecified reactive species

Yiyan Zheng,Xiaohui Chen,Ping Bu,Haipeng Xue,Dong H Kim,Hongxia Zhou,Xugang Xia,Ying Liu,Qilin Cao
View all publications

Abcam Product Promise

我们致力于为您的研究提供高质量的试剂,为您科研的每一步提供支持。若我们的产品未能达到预期性能,我们向您提供 Abcam Product Promise 保障。
详情请参阅我们的条款与条件。

Please note: All products are 'FOR RESEARCH USE ONLY. NOT FOR USE IN DIAGNOSTIC OR THERAPEUTIC PROCEDURES'.

For licensing inquiries, please contact partnerships@abcam.com