JavaScript is disabled in your browser. Please enable JavaScript to view this website.
AB252881

重组Anti-GFP抗体[3H9]

Anti-GFP antibody [3H9]

  • BOND RX™ Validated
  • Recombinant
  • Lab Essentials
  • 了解详情

Be the first to review this product! Submit a review

|

(9 Publications)

Anti-GFP antibody [3H9] (ab252881) is a rat monoclonal antibody detecting GFP in Western Blot, IHC-P, ICC/IF.

See more GFP antibodies and assay kits

查看别名

Green fluorescent protein, GFP

8 Images
Immunohistochemistry (Formalin/PFA-fixed paraffin-embedded sections) - Anti-GFP antibody [3H9] (AB252881)
  • IHC-P

Supplier Data

Immunohistochemistry (Formalin/PFA-fixed paraffin-embedded sections) - Anti-GFP antibody [3H9] (AB252881)

Immunohistochemical analysis of paraffin-embedded human tonsil section labeling GFP with ab252881 at 1/2000 dilution (0.539 μg/ml) followed by a ready to use Goat Anti-rat IgG H&L (HRP polymer) (ab214882). The section was incubated with ab252881 for 30 mins at room temperature. Counterstained with Hematoxylin.

Negative control : no staining on human tonsil.

Secondary antibody only control : Secondary antibody is ready to use Goat Anti-rat IgG H&L (HRP polymer) (ab214882).

Heat mediated antigen retrieval with Citrate buffer (pH 6.0, epitope retrieval solution 1) for 20 mins. The immunostaining was performed on a Leica Biosystems BOND® RX instrument.

Immunohistochemistry (Formalin/PFA-fixed paraffin-embedded sections) - Anti-GFP antibody [3H9] (AB252881)
  • IHC-P

Supplier Data

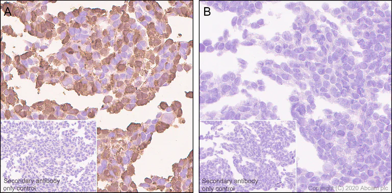
Immunohistochemistry (Formalin/PFA-fixed paraffin-embedded sections) - Anti-GFP antibody [3H9] (AB252881)

Immunohistochemical analysis of paraffin-embedded HEK-293T (human epithelial cell line from embryonic kidney transformed with large T antigen) transfected with a GFP construct (A) labeling GFP with ab252881 at 1/2000 dilution (0.539 μg/ml) followed by a ready to use Goat Anti-rat IgG H&L (HRP polymer) (ab214882). No staining observed on HEK-293T cells (B). The section was incubated with ab252881 for 30 mins at room temperature. Counterstained with Hematoxylin.

Secondary antibody only control : Secondary antibody is ready to use Goat Anti-rat IgG H&L (HRP polymer) (ab214882).

Heat mediated antigen retrieval with Citrate buffer (pH 6.0, epitope retrieval solution 1) for 20 mins. The immunostaining was performed on a Leica Biosystems BOND® RX instrument.

Immunocytochemistry/ Immunofluorescence - Anti-GFP antibody [3H9] (AB252881)
  • ICC/IF

Supplier Data

Immunocytochemistry/ Immunofluorescence - Anti-GFP antibody [3H9] (AB252881)

Immunofluorescent analysis of 4% Paraformaldehyde-fixed, 0.1% Triton X-100 permeabilized HEK-293T (human epithelial cell line from embryonic kidney transformed with large T antigen) cells stained for GFP (red) using ab252881 at 1/100 dilution (10.78 μg/ml), followed by ab150160 Goat Anti-Rat IgG H&L (Alexa Fluor® 594) antibody at 1/1000 dilution. Confocal image showing cytoplasmic and nuclear staining in HEK-293T cells transfected with GFP only plasmid. The nuclear counterstain was DAPI (Blue).

Secondary antibody only control : Secondary antibody is ab150160 Goat Anti-Rat IgG H&L (Alexa Fluor® 594) at 1/1000 dilution.

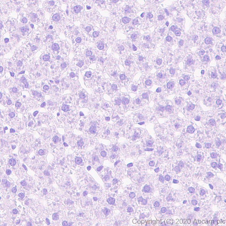
Immunohistochemistry (Formalin/PFA-fixed paraffin-embedded sections) - Anti-GFP antibody [3H9] (AB252881)
  • IHC-P

Supplier Data

Immunohistochemistry (Formalin/PFA-fixed paraffin-embedded sections) - Anti-GFP antibody [3H9] (AB252881)

Immunohistochemical analysis of paraffin-embedded rat liver section labeling GFP with ab252881 at 1/2000 dilution (0.539 μg/ml) followed by a ready to use Goat Anti-rat IgG H&L (HRP polymer) (ab214882). The section was incubated with ab252881 for 30 mins at room temperature. Counterstained with Hematoxylin.

Negative control : no staining on rat liver.

Secondary antibody only control : Secondary antibody is ready to use Goat Anti-rat IgG H&L (HRP polymer) (ab214882).

Heat mediated antigen retrieval with Citrate buffer (pH 6.0, epitope retrieval solution 1) for 20 mins. The immunostaining was performed on a Leica Biosystems BOND® RX instrument.

Immunohistochemistry (Formalin/PFA-fixed paraffin-embedded sections) - Anti-GFP antibody [3H9] (AB252881)
  • IHC-P

Supplier Data

Immunohistochemistry (Formalin/PFA-fixed paraffin-embedded sections) - Anti-GFP antibody [3H9] (AB252881)

Immunohistochemical analysis of paraffin-embedded mouse spleen section labeling GFP with ab252881 at 1/2000 dilution (0.539 μg/ml) followed by a ready to use Goat Anti-rat IgG H&L (HRP polymer) (ab214882). The section was incubated with ab252881 for 30 mins at room temperature. Counterstained with Hematoxylin.

Negative control : no staining on mouse spleen.

Secondary antibody only control : Secondary antibody is ready to use Goat Anti-rat IgG H&L (HRP polymer) (ab214882).

Heat mediated antigen retrieval with Citrate buffer (pH 6.0, epitope retrieval solution 1) for 20 mins. The immunostaining was performed on a Leica Biosystems BOND® RX instrument.

Immunocytochemistry - Anti-GFP antibody [3H9] (AB252881)
  • ICC

AbReview79625****

Immunocytochemistry - Anti-GFP antibody [3H9] (AB252881)

Immunocytochemistry analysis of paraformaldehyde-fixed 1x PBS permeabilized porcine fetal fibroblast cells staining with ab252881. Secondary antibody was Alexa Fluor™ 594 IgG(H+L). Samples were incubated with the primary antibody with PBS and BSA for 12 hours at 4°C. Blocking was done using 1% BSA for 1 hour at 25°C.

This image is courtesy of an Abreview submitted by Prashant Rai

Western blot - Anti-GFP antibody [3H9] (AB252881)
  • WB

Lab

Western blot - Anti-GFP antibody [3H9] (AB252881)

Blocking and diluting buffer and concentration : 5% NFDM/TBST.

In Western blot, Anti-GAPDH antibody [EPR16891] - Loading Control (ab181602) staining at 1/1000000 dilution.

ab252881 does not recognize RFP

All lanes:

Western blot - Anti-GFP antibody [3H9] (ab252881) at 1/1000 dilution

Lane 1:

293T (human embryonic kidney epithelial cell) whole cell lysate at 20 µg

Lane 2:

293T cells transfected with an empty vector whole cell lysate at 20 µg

Lane 3:

293T cells transfected with RFP protein whole cell lysate 20ug at 20 µg

Lane 4:

293T cells transfected with GFP tagged IFNA2 protein whole cell lysate at 20 µg

Secondary

All lanes:

Western blot - Goat Anti-Rat IgG H&L (HRP) (<a href='/products/secondary-antibodies/goat-rat-igg-h-l-hrp-ab205720'>ab205720</a>) at 1/10000 dilution

Observed band size: 50 kDa

false

Exposure time: 1s

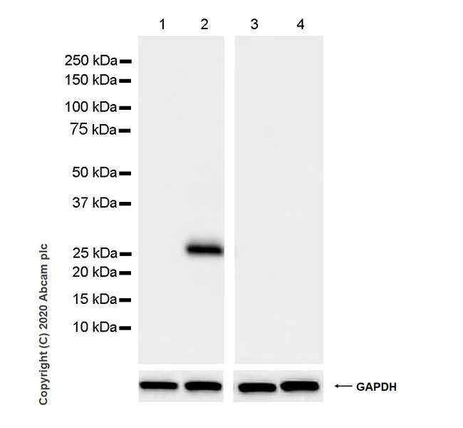
Western blot - Anti-GFP antibody [3H9] (AB252881)
  • WB

Supplier Data

Western blot - Anti-GFP antibody [3H9] (AB252881)

Blocking and Diluting buffer : 5% NFDM/TBST

Exposure time : 3 seconds

All lanes:

Western blot - Anti-GFP antibody [3H9] (ab252881) at 1/5000 dilution

Lane 1:

HEK-293T (human embryonic kidney epithelial cell), whole cell lysate at 10 µg

Lane 2:

HEK-293T transfected with GFP expression vector, whole cell lysate at 10 µg

Lane 3:

NIH/3T3 (mouse embryonic fibroblast), whole cell lysate at 10 µg

Lane 4:

C6 (rat glial tumor glial cell), whole cell lysate at 10 µg

Secondary

All lanes:

Western blot - Goat Anti-Rat IgG H&L (HRP) (<a href='/products/secondary-antibodies/goat-rat-igg-h-l-hrp-ab205720'>ab205720</a>) at 1/100000 dilution

Predicted band size: 27 kDa

Observed band size: 27 kDa

false

Exposure time: 3s

不同偶联物与剂型 (1)

关键信息

宿主种属

Rat

克隆

Monoclonal

克隆号

3H9

亚型

IgG2a

不含载体蛋白

No

应用

WB, IHC-P, ICC/IF

applications

免疫原

The exact immunogen used to generate this antibody is proprietary information.

特异性

This mAb recognizes eGFP, wild-type GFP, YFP and CFP. AB252881 does not recognize RFP.

反应性数据

{ "title": "Reactivity Data", "filters": { "stats": ["", "Species", "Dilution Info", "Notes"], "tabs": { "all-applications": {"fullname" : "All Applications", "shortname": "All Applications"}, "ICCIF" : {"fullname" : "Immunocytochemistry/ Immunofluorescence", "shortname":"ICC/IF"}, "IP" : {"fullname" : "Immunoprecipitation", "shortname":"IP"}, "WB" : {"fullname" : "Western blot", "shortname":"WB"}, "IHCP" : {"fullname" : "Immunohistochemistry (Formalin/PFA-fixed paraffin-embedded sections)", "shortname":"IHC-P"} }, "product-promise": { "all": "all", "testedAndGuaranteed": "tested", "guaranteed": "expected", "predicted": "predicted", "notRecommended": "not-recommended" } }, "values": { "Tag": { "ICCIF-species-checked": "testedAndGuaranteed", "ICCIF-species-dilution-info": "1/100", "ICCIF-species-notes": "<p></p>", "IP-species-checked": "notRecommended", "IP-species-dilution-info": "", "IP-species-notes": "<p></p>", "WB-species-checked": "testedAndGuaranteed", "WB-species-dilution-info": "1/5000", "WB-species-notes": "<p></p>", "IHCP-species-checked": "testedAndGuaranteed", "IHCP-species-dilution-info": "1/2000", "IHCP-species-notes": "<p>Heat mediated antigen retrieval with Citrate buffer (pH 6.0, epitope retrieval solution 1) for 20 mins</p> Perform heat-mediated antigen retrieval with citrate buffer pH 6 before commencing with IHC staining protocol." } } }

产品详情

What is this antibody validated in?
Anti-GFP antibody [3H9] (ab252881) is a rat recombinant monoclonal antibody and is validated for use in Western Blot (WB), Immunohistochemistry (IHC-P), Immunocytochemistry/immunofluorescence (ICC/IF). What is the molecular weight of GFP?
Anti-GFP [3H9] (ab252881) specifically detects a band for GFP (UniProt: P42212) at a molecular weight of 27kDa.

Other related products
We have a range of other formats of antibody clone [3H9] also available for your convenience: ab252881, Carrier free - ab255886

What are the advantages of a recombinant monoclonal antibody?
This product is a recombinant monoclonal antibody, which offers several advantages including:

  • - High batch-to-batch consistency and reproducibility
  • - Improved sensitivity and specificity
  • - Long-term security of supply
  • - Animal-free batch production

For more information, read more on recombinant antibodies.

Want a custom formulation?
This antibody clone is manufactured by Abcam. If you require a custom buffer formulation or conjugation for your experiments, please contact orders@abcam.com

性能和储存信息

形式
Liquid
纯化工艺
Affinity purification Protein A
存储溶液
Preservative: 0.01% Sodium azide Constituents: PBS, 40% Glycerol (glycerin, glycerine), 0.05% BSA
运输条件
Blue Ice
推荐的短期储存时间
1-2 weeks
推荐的短期储存条件
+4°C
推荐的长期储存条件
-20°C
分装信息
Upon delivery aliquot
储存信息
Avoid freeze / thaw cycle

产品实验方案

For this product, it's our understanding that no specific protocols are required. You can visit:

靶点信息

Energy-transfer acceptor. Its role is to transduce the blue chemiluminescence of the protein aequorin into green fluorescent light by energy transfer. Fluoresces in vivo upon receiving energy from the Ca(2+)-activated photoprotein aequorin.
See full target information GFP

文献 (9)

Recent publications for all applications. Explore the full list and refine your search

Cancers 17: PubMed40647517

2025

Stratification of Hepatocellular Carcinoma Using -Methyladenosine.

Applications

Unspecified application

Species

Unspecified reactive species

Nan Wang,Jia-Xin Shi,Matthias Bartneck,Edgar Dahl,Junqing Wang

Advanced science (Weinheim, Baden-Wurttemberg, Germany) 12:e2409729 PubMed39792811

2025

Exceptional Uptake, Limited Protein Expression: Liver Macrophages Lost in Translation of Synthetic mRNA.

Applications

Unspecified application

Species

Unspecified reactive species

Cheng Lin,Adrian Kuzmanović,Nan Wang,Liangliang Liao,Sabrina Ernst,Christian Penners,Alexander Jans,Thomas Hammoor,Petra Bumnuri Stach,Mona Peltzer,Ines Volkert,Elisabeth Zechendorf,Reham Hassan,Maiju Myllys,Christian Liedtke,Andreas Herrmann,Gurudas Chakraborty,Christian Trautwein,Jan Hengstler,Gerhard Müller-Newen,Junqing Wang,Ahmed Ghallab,Matthias Bartneck

Developmental cell 59:1553-1570.e7 PubMed38574732

2024

Microtubule-associated protein MAP7 promotes tubulin posttranslational modifications and cargo transport to enable osmotic adaptation.

Applications

Unspecified application

Species

Unspecified reactive species

Yusheng Shen,Kassandra M Ori-McKenney

The Journal of clinical investigation 133: PubMed37490339

2023

Loss of Mtm1 causes cholestatic liver disease in a model of X-linked myotubular myopathy.

Applications

Unspecified application

Species

Unspecified reactive species

Sophie Karolczak,Ashish R Deshwar,Evangelina Aristegui,Binita M Kamath,Michael W Lawlor,Gaia Andreoletti,Jonathan Volpatti,Jillian L Ellis,Chunyue Yin,James J Dowling

Bio-protocol 13:e4728 PubMed37575399

2023

Enrichment of Membrane Proteins for Downstream Analysis Using Styrene Maleic Acid Lipid Particles (SMALPs) Extraction.

Applications

Unspecified application

Species

Unspecified reactive species

Benedict Dirnberger,Dagmara Korona,Rebeka Popovic,Michael J Deery,Helen Barber,Steven Russell,Kathryn S Lilley

Circulation 146:1159-1169 PubMed36073365

2022

Contractile Force of Transplanted Cardiomyocytes Actively Supports Heart Function After Injury.

Applications

Unspecified application

Species

Unspecified reactive species

Tim Stüdemann,Judith Rössinger,Christoph Manthey,Birgit Geertz,Rajiven Srikantharajah,Constantin von Bibra,Aya Shibamiya,Maria Köhne,Antonius Wiehler,J Simon Wiegert,Thomas Eschenhagen,Florian Weinberger

eLife 11: PubMed35575460

2022

nicotinic acetylcholine receptor subunits and their native interactions with insecticidal peptide toxins.

Applications

Unspecified application

Species

Unspecified reactive species

Dagmara Korona,Benedict Dirnberger,Carlo N G Giachello,Rayner M L Queiroz,Rebeka Popovic,Karin H Müller,David-Paul Minde,Michael J Deery,Glynnis Johnson,Lucy C Firth,Fergus G Earley,Steven Russell,Kathryn S Lilley

iScience 25:104262 PubMed35521516

2022

Neonatal lung-derived SSEA-1 cells exhibited distinct stem/progenitor characteristics and organoid developmental potential.

Applications

Unspecified application

Species

Unspecified reactive species

Chien-Chia Liao,Chiao-Juno Chiu,Yao-Hsu Yang,Bor-Luen Chiang

Frontiers in oncology 11:751792 PubMed34868955

2021

Suppression of Ribosome Biogenesis by Targeting WD Repeat Domain 12 (WDR12) Inhibits Glioma Stem-Like Cell Growth.

Applications

Unspecified application

Species

Unspecified reactive species

Lanjuan Mi,Qinghui Qi,Haowen Ran,Lishu Chen,Da Li,Dake Xiao,Jiaqi Wu,Yan Cai,Songyang Zhang,Yuanyuan Li,Bohan Li,Jiong Xie,Haohao Huang,Tao Li,Tao Zhou,Ailing Li,Ji Qi,Fangye Li,Jianghong Man
View all publications

Abcam Product Promise

我们致力于为您的研究提供高质量的试剂,为您科研的每一步提供支持。若我们的产品未能达到预期性能,我们向您提供 Abcam Product Promise 保障。
详情请参阅我们的条款与条件。

Please note: All products are 'FOR RESEARCH USE ONLY. NOT FOR USE IN DIAGNOSTIC OR THERAPEUTIC PROCEDURES'.

For licensing inquiries, please contact partnerships@abcam.com