JavaScript is disabled in your browser. Please enable JavaScript to view this website.
AB109014

重组Anti-Gelsolin抗体[EPR1942]

Anti-Gelsolin antibody [EPR1942]

Be the first to review this product! Submit a review

|

(10 Publications)

Rabbit Recombinant Monoclonal GELS antibody. Suitable for IHC-P, WB and reacts with Human samples. Cited in 10 publications.

查看别名

Gelsolin, AGEL, Actin-depolymerizing factor, Brevin, ADF, GSN

5 Images
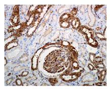
Immunohistochemistry (Formalin/PFA-fixed paraffin-embedded sections) - Anti-Gelsolin antibody [EPR1942] (AB109014)
  • IHC-P

Unknown

Immunohistochemistry (Formalin/PFA-fixed paraffin-embedded sections) - Anti-Gelsolin antibody [EPR1942] (AB109014)

Immunohistochemical analysis of Gelsolin expression in paraffin-embedded human kidney tissue using ab109014 at 1/250 dilution.

Perform heat mediated antigen retrieval with citrate buffer pH 6 before commencing with IHC staining protocol.

Immunohistochemistry (Formalin/PFA-fixed paraffin-embedded sections) - Anti-Gelsolin antibody [EPR1942] (AB109014)
  • IHC-P

Unknown

Immunohistochemistry (Formalin/PFA-fixed paraffin-embedded sections) - Anti-Gelsolin antibody [EPR1942] (AB109014)

Immunohistochemical analysis of Gelsolin expression in paraffin-embedded Human lung tissue using ab109014 at 1/250 dilution.

Perform heat mediated antigen retrieval with citrate buffer pH 6 before commencing with IHC staining protocol.

Western blot - Anti-Gelsolin antibody [EPR1942] (AB109014)
  • WB

Collaborator

Western blot - Anti-Gelsolin antibody [EPR1942] (AB109014)

ab109014 was shown to react with GSN in wild-type HeLa cells in Western blot with loss of signal observed in GSN knockout cell line ab265201 (GSN knockout cell lysate ab257204). Wild-type HeLa and GSN knockout cell lysates were subjected to SDS-PAGE. Membranes were blocked in 5% milk in TBST for 1 hr before incubation with ab109014 overnight at 4 °C at a 1/20000 dilution. Blots were incubated with goat anti-rabbit HRP secondary antibodies at 1/5000 before imaging. These data were provided by YCharOS Inc., an open science company with the mission of characterizing commercially available antibody reagents for all human proteins. Abcam and YCharOS are working together to help address the reproducibility crisis by enabling the life science community to better evaluate commercially available antibodies.

All lanes:

Western blot - Anti-Gelsolin antibody [EPR1942] (ab109014) at 1/20000 dilution

Lane 1:

Wild-type HeLa cell lysate at 20 µg

Lane 2:

GSN knockout HeLa cell lysate at 20 µg

Lane 2:

Western blot - Human GSN (Gelsolin) knockout HeLa cell line (<a href='/products/cell-lines/human-gsn-gelsolin-knockout-hela-cell-line-ab265201'>ab265201</a>)

Predicted band size: 86 kDa

false

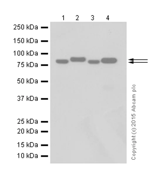
Western blot - Anti-Gelsolin antibody [EPR1942] (AB109014)
  • WB

Lab

Western blot - Anti-Gelsolin antibody [EPR1942] (AB109014)

Blocking buffer 5% NFDM/TBST
Diluting buffer 5% NFDM/TBST

The secretory isoform of gelsolin is at 86kDa. The cytoplasmic isoforms of gelsolin are at 81kDa.

All lanes:

Western blot - Anti-Gelsolin antibody [EPR1942] (ab109014) at 1/20000 dilution

Lane 1:

THP-1 whole cell lysate at 10 µg

Lane 2:

THP-1 cultured medium at 10 µg

Lane 3:

MCF-7 whole cell lysate at 10 µg

Lane 4:

Human Plasma at 10 µg

Secondary

All lanes:

Western blot - Goat Anti-Rabbit IgG H&L (HRP) (<a href='/products/secondary-antibodies/goat-rabbit-igg-h-l-hrp-ab97051'>ab97051</a>) at 1/20000 dilution

Predicted band size: 86 kDa

Observed band size: 81 kDa,86 kDa

false

Exposure time: 10s

Western blot - Anti-Gelsolin antibody [EPR1942] (AB109014)
  • WB

Unknown

Western blot - Anti-Gelsolin antibody [EPR1942] (AB109014)

All lanes:

Western blot - Anti-Gelsolin antibody [EPR1942] (ab109014) at 1/50000 dilution

Lane 1:

MCF7 cell lysate at 10 µg

Lane 2:

HL60 cell lysate at 10 µg

Lane 3:

A431 cell lysate at 10 µg

Lane 4:

HeLa cell lysate at 10 µg

Predicted band size: 86 kDa

false

不同偶联物与剂型 (1)

  • Carrier free

    Anti-Gelsolin antibody [EPR1942] - BSA and Azide free

关键信息

宿主种属

Rabbit

克隆

Monoclonal

克隆号

EPR1942

亚型

IgG

不含载体蛋白

No

反应种属

Human

应用

WB, IHC-P

applications

免疫原

The exact immunogen used to generate this antibody is proprietary information.

反应性数据

{ "title": "Reactivity Data", "filters": { "stats": ["", "Species", "Dilution Info", "Notes"], "tabs": { "all-applications": {"fullname" : "All Applications", "shortname": "All Applications"}, "IHCP" : {"fullname" : "Immunohistochemistry (Formalin/PFA-fixed paraffin-embedded sections)", "shortname":"IHC-P"}, "IP" : {"fullname" : "Immunoprecipitation", "shortname":"IP"}, "WB" : {"fullname" : "Western blot", "shortname":"WB"}, "ICCIF" : {"fullname" : "Immunocytochemistry/ Immunofluorescence", "shortname":"ICC/IF"}, "FlowCytIntra" : {"fullname" : "Flow Cytometry (Intracellular)", "shortname":"Flow Cyt (Intra)"} }, "product-promise": { "all": "all", "testedAndGuaranteed": "tested", "guaranteed": "expected", "predicted": "predicted", "notRecommended": "not-recommended" } }, "values": { "Human": { "IHCP-species-checked": "testedAndGuaranteed", "IHCP-species-dilution-info": "1/250 - 1/500", "IHCP-species-notes": "<p></p>", "IP-species-checked": "notRecommended", "IP-species-dilution-info": "", "IP-species-notes": "<p></p>", "WB-species-checked": "testedAndGuaranteed", "WB-species-dilution-info": "1/20000 - 1/50000", "WB-species-notes": "<p></p>", "ICCIF-species-checked": "notRecommended", "ICCIF-species-dilution-info": "1/100 - 1/250", "ICCIF-species-notes": "<p></p>", "FlowCytIntra-species-checked": "notRecommended", "FlowCytIntra-species-dilution-info": "1/50 - 1/1000", "FlowCytIntra-species-notes": "<p><a href='/products/primary-antibodies/rabbit-igg-monoclonal-epr25a-isotype-control-ab172730'>ab172730</a> - Rabbit monoclonal IgG, is suitable for use as an isotype control with this antibody.</p>" }, "Mouse": { "IHCP-species-checked": "predicted", "IHCP-species-dilution-info": "", "IHCP-species-notes": "", "IP-species-checked": "notRecommended", "IP-species-dilution-info": "", "IP-species-notes": "", "WB-species-checked": "predicted", "WB-species-dilution-info": "", "WB-species-notes": "", "ICCIF-species-checked": "notRecommended", "ICCIF-species-dilution-info": "", "ICCIF-species-notes": "", "FlowCytIntra-species-checked": "notRecommended", "FlowCytIntra-species-dilution-info": "", "FlowCytIntra-species-notes": "" } } }

产品详情

Patented technology
Our RabMAb® technology is a patented hybridoma-based technology for making rabbit monoclonal antibodies. For details on our patents, please refer to RabMAb® patents.

What are the advantages of a recombinant monoclonal antibody?
This product is a recombinant monoclonal antibody, which offers several advantages including:

  • - High batch-to-batch consistency and reproducibility
  • - Improved sensitivity and specificity
  • - Long-term security of supply
  • - Animal-free batch production

For more information, read more on recombinant antibodies.

Species reactivity
Rat: We have preliminary internal testing data to indicate this antibody may not react with this species.
Please contact us for more information.

性能和储存信息

形式
Liquid
纯化工艺
Affinity purification Protein A
存储溶液
pH: 7.2 - 7.4 Preservative: 0.05% Sodium azide Constituents: 50% Tissue culture supernatant, 40% Glycerol (glycerin, glycerine), 9.85% Tris glycine, 0.1% BSA
运输条件
Blue Ice
推荐的短期储存条件
+4°C
推荐的长期储存条件
-20°C
储存信息
Stable for 12 months at -20°C

补充信息

This supplementary information is collated from multiple sources and compiled automatically.

Gelsolin is a multifunctional actin-binding protein that exists in two main isoforms: cytoplasmic and plasma. It has a molecular mass of approximately 82 kDa. Gelsolin is expressed in a wide range of tissues including muscle epithelial and nerve cells. The protein's main mechanical function involves severing actin filaments which helps to regulate actin polymerization and depolymerization. Researchers sometimes refer to gelsolin as 'GSN'. The presence of the protein helps maintain the dynamic organization of the cytoskeleton by interacting with actin filaments.
Biological function summary

This protein acts in cell movement apoptosis and signal transduction. Gelsolin contributes to the remodeling of the actin cytoskeleton by promoting the disassembly of actin filaments allowing cells to change shape and move. Although it operates independently gelsolin’s activity can be influenced by calcium ions and phosphoinositides leading to its participation in various cellular activities. Gelsolin plays a role in platelet activation and may regulate cellular responses through association with the cytoskeletal complex.

Pathways

Gelsolin participates in the regulation of the actin cytoskeleton and apoptotic pathways. Within these pathways gelsolin interacts with proteins like cofilin to modulate actin filament dynamics. In apoptotic pathways it collaborates by altering the cytoskeletal architecture impacting cell death mechanisms. Gelsolin modifications in these pathways have implications for cellular processes like cell migration and apoptosis bringing it into relation with proteins such as caspases.

Gelsolin is linked to conditions such as gelsolin amyloidosis and cancer metastasis. Gelsolin amyloidosis results from mutations in the gelsolin gene which lead to the formation of amyloid fibrils causing dysfunction in nerves eyes and skin. In cancer altered gelsolin expression can influence tumor progression and metastasis through its role in cell motility. Related proteins such as actin and caspases could also play a part in these conditions either through direct interaction or through pathways in which gelsolin functions.

产品实验方案

For this product, it's our understanding that no specific protocols are required. You can visit:

靶点信息

Calcium-regulated, actin-modulating protein that binds to the plus (or barbed) ends of actin monomers or filaments, preventing monomer exchange (end-blocking or capping). It can promote the assembly of monomers into filaments (nucleation) as well as sever filaments already formed (PubMed : 19666512). Plays a role in ciliogenesis (PubMed : 20393563).
See full target information GSN

文献 (10)

Recent publications for all applications. Explore the full list and refine your search

Cancer medicine 13:e7286 PubMed38803199

2024

Gelsolin knockdown confers radiosensitivity to glioblastoma cells.

Applications

Unspecified application

Species

Unspecified reactive species

Dezhi Gao,Tao Jiang,Yanwei Liu

International journal of molecular sciences 24: PubMed37446408

2023

EPs 7630 Stimulates Tissue Repair Mechanisms and Modifies Tight Junction Protein Expression in Human Airway Epithelial Cells.

Applications

Unspecified application

Species

Unspecified reactive species

Lei Fang,Liang Zhou,Žarko Kulić,Martin D Lehner,Michael Tamm,Michael Roth

The Journal of neuroscience : the official journal of the Society for Neuroscience 43:540-558 PubMed36460463

2022

mTORC2 Loss in Oligodendrocyte Progenitor Cells Results in Regional Hypomyelination in the Central Nervous System.

Applications

Unspecified application

Species

Unspecified reactive species

Kristin D Dahl,Adam R Almeida,Hannah A Hathaway,Jennifer Bourne,Tanya L Brown,Lisbet T Finseth,Teresa L Wood,Wendy B Macklin

Journal of extracellular vesicles 10:12084 PubMed33936566

2021

Extracellular vesicles from monocyte/platelet aggregates modulate human atherosclerotic plaque reactivity.

Applications

Unspecified application

Species

Unspecified reactive species

Silvia Oggero,Monica de Gaetano,Simone Marcone,Stephen Fitzsimons,Andreia L Pinto,Dinara Ikramova,Mary Barry,David Burke,Trinidad Montero-Melendez,Dianne Cooper,Thomas Burgoyne,Orina Belton,Lucy V Norling,Eoin P Brennan,Catherine Godson,Mauro Perretti

Journal of applied physiology (Bethesda, Md. : 1985) 130:1604-1613 PubMed33764168

2021

Plasma gelsolin modulates the production and fate of IL-1β-containing microparticles following high-pressure exposure and decompression.

Applications

Unspecified application

Species

Unspecified reactive species

Veena M Bhopale,Deepa Ruhela,Kaighley D Brett,Nathan Z Nugent,Noelle K Fraser,Susan L Levinson,Mark J DiNubile,Stephen R Thom

Cancer science 111:2413-2422 PubMed32324311

2020

Gelsolin inhibits malignant phenotype of glioblastoma and is regulated by miR-654-5p and miR-450b-5p.

Applications

Unspecified application

Species

Unspecified reactive species

Jiakang Zhang,Takuya Furuta,Hemragul Sabit,Sho Tamai,Shabierjiang Jiapaer,Yu Dong,Masashi Kinoshita,Yasuo Uchida,Sumio Ohtsuki,Tetsuya Terasaki,Shiguang Zhao,Mitsutoshi Nakada

Clinical proteomics 16:33 PubMed31384238

2019

iTRAQ plasma proteomics analysis for candidate biomarkers of type 2 incipient diabetic nephropathy.

Applications

Unspecified application

Species

Unspecified reactive species

Hongmei Lu,Shaodong Deng,Minghui Zheng,Kunhua Hu

Cancer cell international 19:77 PubMed30976201

2019

Overexpression and Tyr421-phosphorylation of cortactin is induced by three-dimensional spheroid culturing and contributes to migration and invasion of pancreatic ductal adenocarcinoma (PDAC) cells.

Applications

Unspecified application

Species

Unspecified reactive species

Katharina Stock,Rebekka Borrink,Jan-Henrik Mikesch,Anna Hansmeier,Jan Rehkämper,Marcel Trautmann,Eva Wardelmann,Wolfgang Hartmann,Jan Sperveslage,Konrad Steinestel

Proteomics. Clinical applications 13:e1700153 PubMed29999587

2018

Analysis of Differentially Expressed Proteins Involved in Autoimmune Cirrhosis and Normal Serum by iTRAQ Proteomics.

Applications

Unspecified application

Species

Unspecified reactive species

Zheng Minghui,Hu Kunhua,Bao Yunwen,Lu Hongmei,Li Jing,Wu Shaowen,Sun Longqiaozi,Duan Chaohui

Brain structure & function 221:515-34 PubMed25352156

2014

Analysis of gelsolin expression pattern in developing chicken embryo reveals high GSN expression level in tissues of neural crest origin.

Applications

WB

Species

Chicken

Antonina Joanna Mazur,Gabriela Morosan-Puopolo,Aleksandra Makowiecka,Maria Malicka-Błaszkiewicz,Dorota Nowak,Beate Brand-Saberi
View all publications

Abcam Product Promise

我们致力于为您的研究提供高质量的试剂,为您科研的每一步提供支持。若我们的产品未能达到预期性能,我们向您提供 Abcam Product Promise 保障。
详情请参阅我们的条款与条件。

Please note: All products are 'FOR RESEARCH USE ONLY. NOT FOR USE IN DIAGNOSTIC OR THERAPEUTIC PROCEDURES'.

For licensing inquiries, please contact partnerships@abcam.com