JavaScript is disabled in your browser. Please enable JavaScript to view this website.
AB199428

Anti-GATA3 抗体 [EPR16651] - ChIP Grade

Anti-GATA3 antibody [EPR16651] - ChIP Grade

  • BOND RX™ Validated
  • RabMAb
  • Recombinant
  • KO Validated
  • 了解详情

5

(13 Reviews)

|

(95 Publications)

Anti-GATA3 antibody [EPR16651] - ChIP Grade (ab199428) is a rabbit monoclonal antibody detecting GATA3 in Western Blot, Flow Cytometry (Intra), Flow Cytometry, IP, IHC-P, ICC/IF, ChIP. Suitable for Human, Mouse.

- KO validated for confirmed specificity
- Biophysical QC for unrivalled batch-batch consistency
- Over 60 publications

查看别名

Trans-acting T-cell-specific transcription factor GATA-3, GATA-binding factor 3, GATA3

12 Images
Western blot - Anti-GATA3 antibody [EPR16651] - ChIP Grade (AB199428)
  • WB

Unknown

Western blot - Anti-GATA3 antibody [EPR16651] - ChIP Grade (AB199428)

Exposure

Lane1 : 26 seconds

Lane 2 : 15 seconds

All lanes:

Western blot - Anti-GATA3 antibody [EPR16651] - ChIP Grade (ab199428) at 1/1000 dilution

Lane 1:

Mouse brain lysate at 20 µg

Lane 2:

EL4 (mouse lymphoma T lymphocyte) whole cell lysate at 20 µg

Secondary

All lanes:

Western blot - Goat Anti-Rabbit IgG H&L (HRP) (<a href='/products/secondary-antibodies/goat-rabbit-igg-h-l-hrp-ab97051'>ab97051</a>) at 1/100000 dilution

Predicted band size: 47 kDa

Observed band size: 48 kDa

false

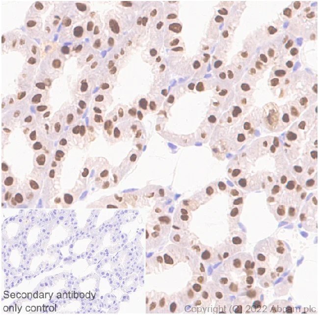
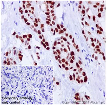
Immunohistochemistry (Formalin/PFA-fixed paraffin-embedded sections) - Anti-GATA3 antibody [EPR16651] - ChIP Grade (AB199428)
  • IHC-P

Lab

Immunohistochemistry (Formalin/PFA-fixed paraffin-embedded sections) - Anti-GATA3 antibody [EPR16651] - ChIP Grade (AB199428)

Immunohistochemical analysis of formalin fixed paraffin embedded human renal cell carcinoma labelling GATA3 with ab199428 at a concentration of 0.1µg/ml. The immunostaining was performed on a Ventana DISCOVERY ULTRA (Roche Tissue Diagnostics) instrument with a OptiView DAB IHC Detection Kit. Heat mediated antigen retrieval was performed with DISCOVERY cell conditioning solution (CC1) 100°C, pH8.5 for 32mins.

ab199428 Anti-GATA3 antibody [EPR16651] was incubated for 16mins at 37°C. Sections were counterstained with Hematoxylin II. Image inset shows absence of staining in secondary antibody only control.

Customers are encouraged to optimise antigen retrieval conditions, antibody concentration, incubation times and temperature for best results in their own IHC assay workflow (automated and manual).

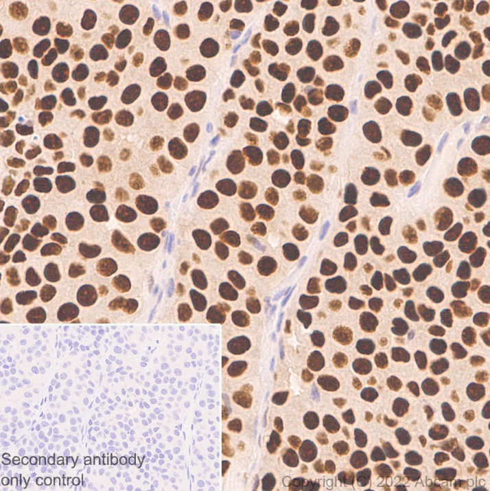
Immunohistochemistry (Formalin/PFA-fixed paraffin-embedded sections) - Anti-GATA3 antibody [EPR16651] - ChIP Grade (AB199428)
  • IHC-P

Supplier Data

Immunohistochemistry (Formalin/PFA-fixed paraffin-embedded sections) - Anti-GATA3 antibody [EPR16651] - ChIP Grade (AB199428)

Immunohistochemical analysis of paraffin-embedded Human neuroblastoma tissue labeling GATA3 with ab199428 at 1/500 dilution followed by Goat Anti-Rabbit IgG H&L (HRP) (ab97051) at 1/500 dilution. Nuclear staining on Human neuroblastoma tissue is observed. Counter stained with Hematoxylin.
Negative control : Used PBS instead of primary ab, secondary ab is Goat Anti-Rabbit IgG H&L (HRP) (ab97051).

Perform heat mediated antigen retrieval with Tris/EDTA buffer pH 9.0 before commencing with IHC staining protocol.

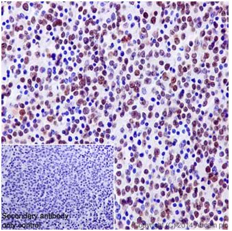
Flow Cytometry (Intracellular) - Anti-GATA3 antibody [EPR16651] - ChIP Grade (AB199428)
  • Flow Cyt (Intra)

Lab

Flow Cytometry (Intracellular) - Anti-GATA3 antibody [EPR16651] - ChIP Grade (AB199428)

Intracellular Flow Cytometry analysis of Jurkat cells labelling GATA3 with ab199428 at 1/500 (red). Cells were fixed with 4% paraformaldehyde and permeabilized with 90% methanol. An Alexa Fluorr® 488-conjugated goat anti-rabbit IgG (1/2000) was used as the secondary antibody. Black - Isotype control, rabbit monoclonal IgG. Blue - Unlabelled control, cells without incubation with primary and secondary antibodies.

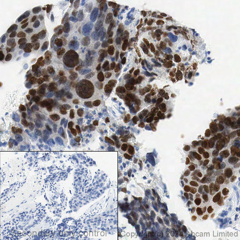
Immunohistochemistry (Formalin/PFA-fixed paraffin-embedded sections) - Anti-GATA3 antibody [EPR16651] - ChIP Grade (AB199428)
  • IHC-P

Supplier Data

Immunohistochemistry (Formalin/PFA-fixed paraffin-embedded sections) - Anti-GATA3 antibody [EPR16651] - ChIP Grade (AB199428)

Immunohistochemical analysis of paraffin-embedded Human breast carcinoma tissue labeling GATA3 with ab199428 at 1/500 dilution followed by Goat Anti-Rabbit IgG H&L (HRP) (ab97051) at 1/500 dilution. Nuclear staining on Human breast carcinoma tissue is observed. Counter stained with Hematoxylin.
Negative control : Used PBS instead of primary ab, secondary ab is Goat Anti-Rabbit IgG H&L (HRP) (ab97051).

Perform heat mediated antigen retrieval with Tris/EDTA buffer pH 9.0 before commencing with IHC staining protocol.

Immunocytochemistry/ Immunofluorescence - Anti-GATA3 antibody [EPR16651] - ChIP Grade (AB199428)
  • ICC/IF

Lab

Immunocytochemistry/ Immunofluorescence - Anti-GATA3 antibody [EPR16651] - ChIP Grade (AB199428)

Immunofluorescent analysis of 4% paraformaldehyde-fixed, 0.1% Triton X-100 permeabilized SH-SY5Y cells (Human neuroblastoma from bone marrow cells) labeling GATA3 with ab199428 at 1/250 dilution, followed by Goat anti-rabbit IgG (Alexa Fluor® 488) (ab150077) secondary antibody at 1/500 dilution (green). Nuclear staining on SH-SY5Y cell line is observed. The nuclear counterstain is DAPI (blue). Tubulin is detected with ab7291 (anti-Tubulin mouse mAb) at 1/1000 dilution and ab150120 (Alexa Fluor® 594 Goat anti-Mouse secondary) at 1/500 dilution (red).
The negative controls are as follows : -
-ve control 1 - ab199428 at 1/250 dilution followed by ab150120 (Alexa Fluor® 594 Goat anti-Mouse secondary) at 1/500 dilution.
-ve control 2. - ab7291 (anti-Tubulin mouse mAb) at 1/1000 dilution followed by ab150077 (Alexa Fluor® 488 Goat Anti-Rabbit IgG H&L) at 1/500 dilution.

ChIP - Anti-GATA3 antibody [EPR16651] - ChIP Grade (AB199428)
  • ChIP

Unknown

ChIP - Anti-GATA3 antibody [EPR16651] - ChIP Grade (AB199428)

Chromatin was prepared from MCF7 cells according to the Abcam X-ChIP protocol. Cells were fixed with formaldehyde for 10min. The ChIP was performed with 25μg of chromatin, 2μg of ab199428 (blue), and 20μl of Anti rabbit IgG sepharose beads. 2μg of rabbit normal IgG was added to the IgG control (yellow). The immunoprecipitated DNA was quantified by real time PCR (SYBR approach). Primers and probes are located in the first kb of the transcribed region.

Immunohistochemistry (Formalin/PFA-fixed paraffin-embedded sections) - Anti-GATA3 antibody [EPR16651] - ChIP Grade (AB199428)
  • IHC-P

Lab

Immunohistochemistry (Formalin/PFA-fixed paraffin-embedded sections) - Anti-GATA3 antibody [EPR16651] - ChIP Grade (AB199428)

Immunohistochemical analysis of paraffin-embedded mouse breast tissue labeling GATA3 with ab199428 at 1/500 dilution.

The section was incubated with ab199428 for 30 mins at room temperature.

The immunostaining was performed on a Leica Biosystems BOND® RX instrument.

Counterstained with Hematoxylin.

Heat mediated antigen retrieval was performed with Citrate buffer (pH 9.0, Epitope Retrieval Solution 2) for 20 mins.

Immunohistochemistry (Formalin/PFA-fixed paraffin-embedded sections) - Anti-GATA3 antibody [EPR16651] - ChIP Grade (AB199428)
  • IHC-P

Lab

Immunohistochemistry (Formalin/PFA-fixed paraffin-embedded sections) - Anti-GATA3 antibody [EPR16651] - ChIP Grade (AB199428)

Immunohistochemical analysis of paraffin-embedded mouse breast cancer tissue labeling GATA3 with ab199428 at 1/500 dilution.

The section was incubated with ab199428 for 30 mins at room temperature.

The immunostaining was performed on a Leica Biosystems BOND® RX instrument.

Counterstained with Hematoxylin.

Heat mediated antigen retrieval was performed with Citrate buffer (pH 9.0, Epitope Retrieval Solution 2) for 20 mins.

Western blot - Anti-GATA3 antibody [EPR16651] - ChIP Grade (AB199428)
  • WB

Supplier Data

Western blot - Anti-GATA3 antibody [EPR16651] - ChIP Grade (AB199428)

Blocking/dilution buffer : 5% NFDM/TBST.

All lanes:

Western blot - Anti-GATA3 antibody [EPR16651] - ChIP Grade (ab199428) at 1/1000 dilution

All lanes:

SH-SY5Y (Human neuroblastoma from bone marrow cells) cell extract at 10 µg

Secondary

All lanes:

Goat Anti-Rabbit IgG, (H+L), Peroxidase conjugated at 1/1000 dilution

Predicted band size: 47 kDa,62 kDa

Observed band size: 48 kDa

false

Exposure time: 1min

Western blot - Anti-GATA3 antibody [EPR16651] - ChIP Grade (AB199428)
  • WB

Lab

Western blot - Anti-GATA3 antibody [EPR16651] - ChIP Grade (AB199428)

Lanes 1 - 3 : Merged signal (red and green). Green - ab199428 observed at 48 kDa. Red - loading control, ab9484, observed at 37 kDa.

ab199428 was shown to recognize GATA3 in wild-type HAP1 cells as signal was lost at the expected MW in GATA3 knockout cells. Additional cross-reactive bands were observed in the wild-type and knockout cells. Wild-type and GATA3 knockout samples were subjected to SDS-PAGE. ab199428 and ab9484 (Mouse anti-GAPDH loading control) were incubated overnight at 4°C at 1/1000 dilution and 1/20000 dilution respectively. Blots were developed with Goat anti-Rabbit IgG H&L (IRDye® 800CW) preabsorbed ab216773 and Goat anti-Mouse IgG H&L (IRDye® 680RD) preabsorbed ab216776 secondary antibodies at 1/20000 dilution for 1 hour at room temperature before imaging.

All lanes:

Western blot - Anti-GATA3 antibody [EPR16651] - ChIP Grade (ab199428) at 1/1000 dilution

Lane 1:

Wild-type HAP1 whole cell lysate at 20 µg

Lane 2:

GATA3 knockout HAP1 whole cell lysate at 20 µg

Lane 3:

Jurkat whole cell lysate at 20 µg

Predicted band size: 47 kDa

false

Western blot - Anti-GATA3 antibody [EPR16651] - ChIP Grade (AB199428)
  • WB

Lab

Western blot - Anti-GATA3 antibody [EPR16651] - ChIP Grade (AB199428)

Western blot : Rabbit Monoclonal[EPR16651] to GATA3 ab199428 staining at 1/1000 dilution, shown in green; Mouse anti-CANX (ab238078) loading control staining at 1/20,000 dilution, shown in magenta. A band was observed at 50 kDa in Wild-type A549 cell lysates with no signal observed at this size in GATA3 knockout A549 cell line. To generate this image, samples were run on an SDS-PAGE gel then transferred onto a nitrocellulose membrane. Membranes were blocked in 3pc Milk in TBS-0.1 % Tween® 20 (TBS-T) before incubation with primary antibodies overnight at 4°C. Blots were washed four times in TBS-T, incubated with secondary antibodies for 1 h at room temperature, washed again four times then imaged. Secondary antibodies used were Goat anti-Rabbit 800CW & Goat anti-Mouse 680RD at 1/20,000 dilution.

All lanes:

Western blot - Anti-GATA3 antibody [EPR16651] - ChIP Grade (ab199428) at 1/1000 dilution

Lane 1:

Wild-type A549 at 20 µg

Lane 2:

Western blot - Human GATA3 knockout A549 cell line (<a href='/products/cell-lines/human-gata3-knockout-a549-cell-line-ab286669'>ab286669</a>) at 20 µg

Secondary

All lanes:

Goat anti-Rabbit 800CW & Goat anti-Mouse 680RD at 1/20000 dilution

Predicted band size: 48 kDa

Observed band size: 50 kDa

false

不同偶联物与剂型 (5)

关键信息

宿主种属

Rabbit

克隆

Monoclonal

克隆号

EPR16651

亚型

IgG

不含载体蛋白

No

反应种属

Human, Mouse

应用

ICC/IF, ChIP, Flow Cyt (Intra), WB, IHC-P

applications

免疫原

The exact immunogen used to generate this antibody is proprietary information.

反应性数据

{ "title": "Reactivity Data", "filters": { "stats": ["", "Species", "Dilution Info", "Notes"], "tabs": { "all-applications": {"fullname" : "All Applications", "shortname": "All Applications"}, "ChIP" : {"fullname" : "ChIP", "shortname":"ChIP"}, "WB" : {"fullname" : "Western blot", "shortname":"WB"}, "ICCIF" : {"fullname" : "Immunocytochemistry/ Immunofluorescence", "shortname":"ICC/IF"}, "FlowCytIntra" : {"fullname" : "Flow Cytometry (Intracellular)", "shortname":"Flow Cyt (Intra)"}, "IHCP" : {"fullname" : "Immunohistochemistry (Formalin/PFA-fixed paraffin-embedded sections)", "shortname":"IHC-P"} }, "product-promise": { "all": "all", "testedAndGuaranteed": "tested", "guaranteed": "expected", "predicted": "predicted", "notRecommended": "not-recommended" } }, "values": { "Human": { "ChIP-species-checked": "testedAndGuaranteed", "ChIP-species-dilution-info": "2 µg for 25 µg chromatin", "ChIP-species-notes": "<p></p>", "WB-species-checked": "testedAndGuaranteed", "WB-species-dilution-info": "1/1000", "WB-species-notes": "<p></p>", "ICCIF-species-checked": "testedAndGuaranteed", "ICCIF-species-dilution-info": "1/250", "ICCIF-species-notes": "<p></p>", "FlowCytIntra-species-checked": "testedAndGuaranteed", "FlowCytIntra-species-dilution-info": "1/500", "FlowCytIntra-species-notes": "<p></p>", "IHCP-species-checked": "testedAndGuaranteed", "IHCP-species-dilution-info": "1/500", "IHCP-species-notes": "<p></p> Perform heat-mediated antigen retrieval with Tris/EDTA buffer pH 9.0 before commencing with IHC staining protocol." }, "Mouse": { "ChIP-species-checked": "guaranteed", "ChIP-species-dilution-info": "", "ChIP-species-notes": "", "WB-species-checked": "testedAndGuaranteed", "WB-species-dilution-info": "1/1000", "WB-species-notes": "<p></p>", "ICCIF-species-checked": "guaranteed", "ICCIF-species-dilution-info": "", "ICCIF-species-notes": "", "FlowCytIntra-species-checked": "guaranteed", "FlowCytIntra-species-dilution-info": "", "FlowCytIntra-species-notes": "", "IHCP-species-checked": "testedAndGuaranteed", "IHCP-species-dilution-info": "1/500", "IHCP-species-notes": "<p></p> Perform heat-mediated antigen retrieval with citrate buffer pH 6 before commencing with IHC staining protocol." } } }

产品详情

Anti-GATA3 antibody [EPR16651] - ChIP Grade (ab199428) was developed by Abcam using patented rabbit monoclonal antibody technology and is validated for use in ChIP, Flow Cyt (Intra), ICC/IF, IHC-P, WB in human, mouse samples.

Anti-GATA3 antibody [EPR16651] - ChIP Grade (ab199428) has been cited over 65 times in peer reviewed journals and is trusted by the scientific community.

Abcams high quality manufacturing and validation processes ensure Anti-GATA3 antibody [EPR16651] - ChIP Grade (ab199428) has high sensitivity and specificity alongside high lot-to-lot consistency and reproducibility.

The specificity of Anti-GATA3 antibody [EPR16651] - ChIP Grade (ab199428) has been confirmed by testing in knockout samples.

Anti-GATA3 antibody [EPR16651] - ChIP Grade (ab199428) has 12 independent reviews from customers.

Anti-GATA3 antibody [EPR16651] - ChIP Grade (ab199428) specifically detects GATA3 (UniProt ID: P23771; Molecular weight: 48kDa) and is sold in 100 uL and 1 mL selling sizes.

Conjugation-ready, carrier free format available for antibody clone EPR16651 - ab21484.

Antibody clone EPR16651 is also available pre-conjugated to a variety of labels for your convenience - Alexa Fluor® 488, Alexa Fluor® 647, Alexa Fluor® 555, PE (ab28895, ab28896, ab21672, ab225419).

GATA3 is crucial for T-cell development and differentiation, and its dysregulation is linked to diseases like breast cancer, T-cell lymphomas, and autoimmune disorders.

Patented technology
Our RabMAb® technology is a patented hybridoma-based technology for making rabbit monoclonal antibodies. For details on our patents, please refer to RabMAb® patents.

What are the advantages of a recombinant monoclonal antibody?
This product is a recombinant monoclonal antibody, which offers several advantages including:

  • - High batch-to-batch consistency and reproducibility
  • - Improved sensitivity and specificity
  • - Long-term security of supply
  • - Animal-free batch production

For more information, read more on recombinant antibodies.

性能和储存信息

形式
Liquid
纯化工艺
Affinity purification Protein A
存储溶液
pH: 7.2 - 7.4 Preservative: 0.01% Sodium azide Constituents: PBS, 40% Glycerol (glycerin, glycerine), 0.05% BSA
运输条件
Blue Ice
推荐的短期储存时间
1-2 weeks
推荐的短期储存条件
+4°C
推荐的长期储存条件
-20°C
分装信息
Upon delivery aliquot
储存信息
Avoid freeze / thaw cycle

补充信息

This supplementary information is collated from multiple sources and compiled automatically.

GATA3 also known as GATA-binding factor 3 is a transcription factor with a molecular mass of about 50 kDa. It belongs to the GATA family of zinc finger transcription factors. GATA3 is mainly expressed in the immune system especially in T-cells as well as in the nervous system and mammary glands. It plays a role in the regulation of critical developmental processes and cell lineage commitment through its binding to the 'GATA' motif in the promoter regions of target genes.
Biological function summary

GATA3 functions as a regulator of gene expression involved in various differentiation processes. It is not a solitary molecule; it interacts with other proteins to form transcriptional complexes. In T-helper type 2 (Th2) cells GATA3 is necessary for Th2 cell differentiation and cytokine production. Its expression is vital for the development of the nervous system and mammary gland morphogenesis highlighting its role in diverse biological contexts.

Pathways

GATA3 plays a significant role in the Th2 differentiation pathway and is linked to the immune response. It acts in association with other transcription factors like STAT6 and T-bet. GATA3 promotes the transcription of Th2 cytokines such as IL-4 IL-5 and IL-13 while suppressing Th1 responses. This balance orchestrated by GATA3 is important for immune homeostasis and the body's ability to respond to infections and allergens.

The dysregulation of GATA3 is associated with atopic diseases and breast cancer. Aberrant expression of GATA3 is often observed in allergic conditions due to its role in Th2 cell differentiation and cytokine expression. In the context of breast cancer GATA3 levels can impact tumor progression and are correlated with estrogen receptor status. Additionally its relation with other breast cancer-related proteins like L50 underlines its importance in cancer biology and potential as a therapeutic target.

产品实验方案

For this product, it's our understanding that no specific protocols are required. You can visit:

靶点信息

Transcriptional activator which binds to the enhancer of the T-cell receptor alpha and delta genes. Binds to the consensus sequence 5'-AGATAG-3'. Required for the T-helper 2 (Th2) differentiation process following immune and inflammatory responses. Positively regulates ASB2 expression (By similarity). Coordinates macrophage transcriptional activation and UCP2-dependent metabolic reprogramming in response to IL33. Upon tissue injury, acts downstream of IL33 signaling to drive differentiation of inflammation-resolving alternatively activated macrophages.
See full target information GATA3

文献 (95)

Recent publications for all applications. Explore the full list and refine your search

Scientific reports 15:22679 PubMed40596516

2025

DNA probe pulldown screening uncovers O-GlcNAcylation modulation of transcription factor DNA interactions.

Applications

Unspecified application

Species

Unspecified reactive species

Guofang Li,Fanxu Meng,Xiaomin Zhong,Kairan Yu,Nana Zhang,Keren Zhang,Huang Huang,Wenli Li,Jianing Zhang,Wei Wang,Yan Ren,Yubo Liu

Scientific reports 15:22780 PubMed40592877

2025

Single nucleus RNA-seq reveals the process from onset to chronic kidney disease in IgA nephropathy.

Applications

Unspecified application

Species

Unspecified reactive species

Jun-Peng You,Gen-Yang Cheng,Xiao-Xue Zhang,Zheng Wang,Chen Liu,Wei Ning,Ya-Ru Liu,Hui-Miao Hu,Ya-Ling Zhai,Yuan-Yuan Qi,Zhan-Zheng Zhao

Advanced science (Weinheim, Baden-Wurttemberg, Germany) 12:e04200 PubMed40548645

2025

SMYD3 Promotes Immune Evasion in Clear Cell Renal Cell Carcinoma via SREBP1-Mediated Transactivation of CD47.

Applications

Unspecified application

Species

Unspecified reactive species

Zhengfang Liu,Xiumei Zhao,Maolin Zang,Huiyang Yuan,Xin Qin,Xiaofeng Li,Shuo Zhao,Ruirong Tan,Keqiang Yan,Li Liu,Yidong Fan,Ning Zhang,Benkang Shi,Bo Han,Shouzhen Chen

BioFactors (Oxford, England) 51:e70029 PubMed40546096

2025

LINC01783 Promotes Glioma Tumorigenesis by Enhancing GATA3 Expression Through CBP-Mediated H3K27 Acetylation to Suppress PTEN Expression.

Applications

Unspecified application

Species

Unspecified reactive species

Shaocai Hao,Linlin Wang,Shengyu Sun,Hechun Xia

Journal of thoracic disease 17:1491-1501 PubMed40223965

2025

Deficiency of Toll-like receptor 4 attenuates airway inflammation and remodeling in an ovalbumine-induced mouse asthma model.

Applications

Unspecified application

Species

Unspecified reactive species

Lixia Hou,Sijia Song,Bo Xiao,Zhimei Li,Bingxi Zhang,Xinru Feng,Biwen Mo,Dong Yao

Frontiers in immunology 16:1518586 PubMed40196108

2025

Glucocorticoid receptor inhibits Th2 immune responses by down-regulating Pparg and Gata3 in schistosomiasis.

Applications

Unspecified application

Species

Unspecified reactive species

Tao Sun,Xiaojuan Bi,Ning Yang,Xue Zhang,Jin Chu,Liang Li,Hui Liu,Rui Tang,Renyong Lin

Journal of translational medicine 23:375 PubMed40148849

2025

Spatial relationships and interactions of immune cell niches are linked to the pathologic response of muscle-invasive bladder cancer to neoadjuvant therapy.

Applications

Unspecified application

Species

Unspecified reactive species

Wasilijiang Wahafu,Quan Zhou,Xihua Yang,Yongming Yang,Yuanyuan Zhao,Zhu Wang,Xiangpeng Kang,Xiongjun Ye,Nianzeng Xing

Scientific reports 15:8852 PubMed40087289

2025

Dynamic culture system advances the applications of breast cancer organoids for precision medicine.

Applications

Unspecified application

Species

Unspecified reactive species

Jun Yang,Junyuan Qu,Mei Zhang,Xiang Li,Qian Jiang,Jinxiu Kang,Pan Nie,Na Jing,Xianling Wang

Physiological reports 13:e70264 PubMed40051209

2025

Acute tuft cell ablation in mice induces malabsorption and alterations in secretory and immune cell lineages in the small intestine.

Applications

Unspecified application

Species

Unspecified reactive species

Michael Momoh,Francisca Adeniran,Cynthia Ramos,Kathleen E DelGiorno,Hiroshi Seno,Joseph T Roland,Izumi Kaji

Communications biology 8:125 PubMed39865169

2025

NLRP7 maintains the genomic stability during early human embryogenesis via mediating alternative splicing.

Applications

Unspecified application

Species

Unspecified reactive species

Zhongliang Chen,Liangxia Jiang,Min Su,Qibing Zeng,Peng Luo,Liangzhao Chu
View all publications

Abcam Product Promise

我们致力于为您的研究提供高质量的试剂,为您科研的每一步提供支持。若我们的产品未能达到预期性能,我们向您提供 Abcam Product Promise 保障。
详情请参阅我们的条款与条件。

Please note: All products are 'FOR RESEARCH USE ONLY. NOT FOR USE IN DIAGNOSTIC OR THERAPEUTIC PROCEDURES'.

For licensing inquiries, please contact partnerships@abcam.com