JavaScript is disabled in your browser. Please enable JavaScript to view this website.
AB181544

重组Anti-GATA1抗体[EPR17362] - ChIP Grade

Anti-GATA1 antibody [EPR17362] - ChIP Grade

Be the first to review this product! Submit a review

|

(21 Publications)

Knockout Tested Rabbit Recombinant Monoclonal GATA1 antibody. Suitable for IP, ChIP, WB, IHC-P and reacts with Human samples. Cited in 21 publications.

查看别名

ERYF1, GF1, GATA1, Erythroid transcription factor, Eryf1, GATA-binding factor 1, NF-E1 DNA-binding protein, GATA-1, GF-1

8 Images
Immunohistochemistry (Formalin/PFA-fixed paraffin-embedded sections) - Anti-GATA1 antibody [EPR17362] - ChIP Grade (AB181544)
  • IHC-P

Supplier Data

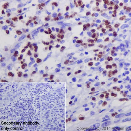
Immunohistochemistry (Formalin/PFA-fixed paraffin-embedded sections) - Anti-GATA1 antibody [EPR17362] - ChIP Grade (AB181544)

Immunohistochemical analysis of paraffin-embedded Human colon tissue labeling GATA1 with ab181544 at 1/100 dilution, followed by Goat Anti-Rabbit IgG H&L (HRP) (ab97051) secondary antibody at 1/500 dilution. Nuclear staining on leukocyte of Human colon stroma is observed. Counterstained with Hematoxylin.

Negative control : Used PBS instead of primary antibody, secondary antibody is Goat Anti-Rabbit IgG H&L (HRP) (ab97051) at 1/500 dilution.

Perform heat mediated antigen retrieval with Tris/EDTA buffer pH 9.0 before commencing with IHC staining protocol.

Immunohistochemistry (Formalin/PFA-fixed paraffin-embedded sections) - Anti-GATA1 antibody [EPR17362] - ChIP Grade (AB181544)
  • IHC-P

Supplier Data

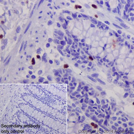
Immunohistochemistry (Formalin/PFA-fixed paraffin-embedded sections) - Anti-GATA1 antibody [EPR17362] - ChIP Grade (AB181544)

Immunohistochemical analysis of paraffin-embedded Human cervix carcinoma tissue labeling GATA1 with ab181544 at 1/100 dilution, followed by Goat Anti-Rabbit IgG H&L (HRP) (ab97051) secondary antibody at 1/500 dilution. Nuclear staining on leukocyte of Human cervical cancer is observed. Counterstained with Hematoxylin.

Negative control : Used PBS instead of primary antibody, secondary antibody is Goat Anti-Rabbit IgG H&L (HRP) (ab97051) at 1/500 dilution.

Perform heat mediated antigen retrieval with Tris/EDTA buffer pH 9.0 before commencing with IHC staining protocol.

ChIP - Anti-GATA1 antibody [EPR17362] - ChIP Grade (AB181544)
  • ChIP

Supplier Data

ChIP - Anti-GATA1 antibody [EPR17362] - ChIP Grade (AB181544)

Chromatin was prepared from K562 (Human chronic myelogenous leukemia cells from bone marrow) cells according to the Abcam X-ChIP protocol. Cells were fixed with formaldehyde for 10 minutes. The ChIP was performed with 25μg of chromatin, 5μg of ab181544 (blue), and 20μl of Anti rabbit IgG sepharose beads. 5μg of rabbit normal IgG was added to the beads control (yellow). The immunoprecipitated DNA was quantified by real time PCR (Sybr green approach).

"pro" stands for promoter region, while "NC2" stands for negative control which is negative loci at the promoter region.

Immunoprecipitation - Anti-GATA1 antibody [EPR17362] - ChIP Grade (AB181544)
  • IP

Supplier Data

Immunoprecipitation - Anti-GATA1 antibody [EPR17362] - ChIP Grade (AB181544)

GATA1 was immunoprecipitated from 1mg of K562 (Human chronic myelogenous leukemia cells from bone marrow) whole cell extract with ab181544 at 1/70 dilution. Western blot was performed from the immunoprecipitate using ab181544 at 1/1000 dilution. Anti-Rabbit IgG (HRP), specific to the non-reduced form of IgG, was used as secondary antibody at 1/1500 dilution.

Lane 1 : K562 whole cell extract 10 μg (Input). Lane 2 : ab181544 IP in K562 whole cell extract. Lane 3 : Rabbit monoclonal IgG (ab172730) instead of ab181544 in K562 whole cell extract.
Blocking and dilution buffer and concentration : 5% NFDM/TBST.

All lanes:

Immunoprecipitation - Anti-GATA1 antibody [EPR17362] - ChIP Grade (ab181544)

Predicted band size: 43 kDa

false

Western blot - Anti-GATA1 antibody [EPR17362] - ChIP Grade (AB181544)
  • WB

Lab

Western blot - Anti-GATA1 antibody [EPR17362] - ChIP Grade (AB181544)

False colour image of Western blot : Anti-GATA1 antibody [EPR17362] - ChIP Grade staining at 1/10000 dilution, shown in green; Mouse anti-Alpha Tubulin [DM1A] (ab7291) loading control staining at 1/20000 dilution, shown in red. In Western blot, ab181544 was shown to bind specifically to GATA1. A band was observed at 48 kDa in wild-type K562 cell lysates with no signal observed at this size in GATA1 knockout cell line ab285360 (knockout cell lysate ab289686). To generate this image, wild-type and GATA1 knockout K562 cell lysates were analysed. First, samples were run on an SDS-PAGE gel then transferred onto a nitrocellulose membrane. Membranes were blocked in 3 % milk in TBS-0.1 % Tween® 20 (TBS-T) before incubation with primary antibodies overnight at 4 °C. Blots were washed four times in TBS-T, incubated with secondary antibodies for 1 h at room temperature, washed again four times then imaged. Secondary antibodies used were Goat anti-Rabbit IgG H&L 800CW and Goat anti-Mouse IgG H&L 680RD at 1/20000 dilution.

All lanes:

Western blot - Anti-GATA1 antibody [EPR17362] - ChIP Grade (ab181544) at 1/10000 dilution

Lane 1:

Wild-type K562 cell lysate at 20 µg

Lane 2:

GATA1 [C116] knockout K562 cell lysate at 20 µg

Lane 3:

MOLT-4 cell lysate

Lane 4:

HeLa cell lysate

Secondary

All lanes:

Goat anti-Rabbit IgG H&L 800CW and Goat anti-Mouse IgG H&L 680RD at 1/20000 dilution

Predicted band size: 43 kDa

Observed band size: 48 kDa

false

Western blot - Anti-GATA1 antibody [EPR17362] - ChIP Grade (AB181544)
  • WB

Lab

Western blot - Anti-GATA1 antibody [EPR17362] - ChIP Grade (AB181544)

Western blot : Anti-GATA1 antibody [EPR17362] (ab181544) staining at 1/10000 dilution, shown in green; Mouse anti-CANX [CANX/1543] (ab238078) loading control staining at 1/20000 dilution, shown in magenta. In Western blot, ab181544 was shown to bind specifically to GATA1. A band was observed at 45 kDa in wild-type K562 cell lysates with no signal observed at this size in GATA1 knockout cell line ab285360 (knockout K562 cell lysate). To generate this image, wild-type and GATA1 knockout K562 cell lysates were analysed. First, samples were run on an SDS-PAGE gel then transferred onto a nitrocellulose membrane. Membranes were blocked in 3 % milk in TBS-0.1 % Tween® 20 (TBS-T) before incubation with primary antibodies overnight at 4 °C. Blots were washed four times in TBS-T, incubated with secondary antibodies for 1 h at room temperature, washed again four times then imaged. Secondary antibodies used were Goat anti-Rabbit IgG H&L 800CW and Goat anti-Mouse IgG H&L 680RD at 1/20000 dilution.

All lanes:

Western blot - Anti-GATA1 antibody [EPR17362] - ChIP Grade (ab181544) at 1/10000 dilution

Lane 1:

Wild-type K562 cell lysate at 20 µg

Lane 2:

GATA1 knockout K562 cell lysate at 20 µg

Secondary

All lanes:

Goat anti-Rabbit IgG H&L 800CW and Goat anti-Mouse IgG H&L 680RD at 1/20000 dilution

Observed band size: 45 kDa

false

Western blot - Anti-GATA1 antibody [EPR17362] - ChIP Grade (AB181544)
  • WB

Supplier Data

Western blot - Anti-GATA1 antibody [EPR17362] - ChIP Grade (AB181544)

HeLa cells do not express GATA1. The expression profile observed in HeLa is consistent with the literature (PMID : 27010793, PMID : 17196618, PMID : 22235304, PMID : 20823267).

Blocking/Dilution buffer : 5% NFDM/TBST.

All lanes:

Western blot - Anti-GATA1 antibody [EPR17362] - ChIP Grade (ab181544) at 1/10000 dilution

Lane 1:

K562 (Human chronic myelogenous leukemia cells from bone marrow) whole cell lysate at 5 µg

Lane 2:

HEL (Human bone marrow erythroleukemia) whole cell lysate at 5 µg

Lane 3:

MOLT-4 (Human lymphoblastic leukemia cell line) whole cell lysate at 5 µg

Lane 4:

HeLa (Human epithelial cells from cervix adenocarcinoma) whole cell lysate at 5 µg

Secondary

All lanes:

Goat Anti-Rabbit IgG, (H+L),Peroxidase conjugated at 1/1000 dilution

Predicted band size: 43 kDa

Observed band size: 43 kDa

false

Exposure time: 15s

Western blot - Anti-GATA1 antibody [EPR17362] - ChIP Grade (AB181544)
  • WB

Lab

Western blot - Anti-GATA1 antibody [EPR17362] - ChIP Grade (AB181544)

False colour image of Western blot : Anti-GATA1 antibody [EPR17362] - ChIP Grade staining at 1/10000 dilution, shown in green; Mouse anti-Alpha Tubulin [DM1A] (ab7291) loading control staining at 1/20000 dilution, shown in red. In Western blot, ab181544 was shown to bind specifically to GATA1. A band was observed at 47 kDa in wild-type K562 cell lysates with no signal observed at this size in GATA1 knockout cell line ab285360 (knockout cell lysate ab289686). To generate this image, wild-type and GATA1 knockout K562 cell lysates were analysed. First, samples were run on an SDS-PAGE gel then transferred onto a nitrocellulose membrane. Membranes were blocked in 3% milk in TBS-0.1% Tween® 20 (TBS-T) before incubation with primary antibodies overnight at 4°C. Blots were washed four times in TBS-T, incubated with secondary antibodies for 1 h at room temperature, washed again four times then imaged. Secondary antibodies used were Goat anti-Rabbit IgG H&L 800CW and Goat anti-Mouse IgG H&L 680RD at 1/20000 dilution.

All lanes:

Western blot - Anti-GATA1 antibody [EPR17362] - ChIP Grade (ab181544) at 1/10000 dilution

Lane 1:

Wild-type K562 cell lysate

Lane 2:

GATA1 knockout K562 cell lysate at 20 µg

Lane 3:

HL-60 cell lysate at 20 µg

Lane 4:

HeLa cell lysate at 20 µg

Observed band size: 47 kDa

false

不同偶联物与剂型 (1)

  • Carrier free

    Anti-GATA1 antibody [EPR17362] - ChIP Grade - BSA and Azide free

关键信息

宿主种属

Rabbit

克隆

Monoclonal

克隆号

EPR17362

亚型

IgG

不含载体蛋白

No

反应种属

Human

应用

IHC-P, IP, ChIP, WB

applications

免疫原

The exact immunogen used to generate this antibody is proprietary information.

反应性数据

{ "title": "Reactivity Data", "filters": { "stats": ["", "Species", "Dilution Info", "Notes"], "tabs": { "all-applications": {"fullname" : "All Applications", "shortname": "All Applications"}, "IP" : {"fullname" : "Immunoprecipitation", "shortname":"IP"}, "ChIP" : {"fullname" : "ChIP", "shortname":"ChIP"}, "WB" : {"fullname" : "Western blot", "shortname":"WB"}, "IHCP" : {"fullname" : "Immunohistochemistry (Formalin/PFA-fixed paraffin-embedded sections)", "shortname":"IHC-P"} }, "product-promise": { "all": "all", "testedAndGuaranteed": "tested", "guaranteed": "expected", "predicted": "predicted", "notRecommended": "not-recommended" } }, "values": { "Human": { "IP-species-checked": "testedAndGuaranteed", "IP-species-dilution-info": "1/70", "IP-species-notes": "<p></p>", "ChIP-species-checked": "testedAndGuaranteed", "ChIP-species-dilution-info": "5 µg for 25 µg chromatin", "ChIP-species-notes": "<p></p>", "WB-species-checked": "testedAndGuaranteed", "WB-species-dilution-info": "1/10000", "WB-species-notes": "<p></p>", "IHCP-species-checked": "testedAndGuaranteed", "IHCP-species-dilution-info": "1/100", "IHCP-species-notes": "<p></p>" }, "Mouse": { "IP-species-checked": "notRecommended", "IP-species-dilution-info": "1/70", "IP-species-notes": "<p></p>", "ChIP-species-checked": "notRecommended", "ChIP-species-dilution-info": "", "ChIP-species-notes": "", "WB-species-checked": "notRecommended", "WB-species-dilution-info": "", "WB-species-notes": "", "IHCP-species-checked": "notRecommended", "IHCP-species-dilution-info": "", "IHCP-species-notes": "" } } }

产品详情

Patented technology
Our RabMAb® technology is a patented hybridoma-based technology for making rabbit monoclonal antibodies. For details on our patents, please refer to RabMAb® patents.

What are the advantages of a recombinant monoclonal antibody?
This product is a recombinant monoclonal antibody, which offers several advantages including:

  • - High batch-to-batch consistency and reproducibility
  • - Improved sensitivity and specificity
  • - Long-term security of supply
  • - Animal-free batch production

For more information, read more on recombinant antibodies.

性能和储存信息

形式
Liquid
纯化工艺
Affinity purification Protein A
存储溶液
Preservative: 0.01% Sodium azide Constituents: PBS, 40% Glycerol (glycerin, glycerine), 0.05% BSA
运输条件
Blue Ice
推荐的短期储存时间
1-2 weeks
推荐的短期储存条件
+4°C
推荐的长期储存条件
-20°C
分装信息
Upon delivery aliquot
储存信息
Avoid freeze / thaw cycle

补充信息

This supplementary information is collated from multiple sources and compiled automatically.

GATA1 also known as GATA-binding factor 1 is a transcription factor weighing approximately 42 kDa. This protein binds to the DNA sequence "GATA" within the regulatory regions of target genes to control their expression. GATA1 is mostly expressed in hematopoietic cells especially erythroid cells megakaryocytes eosinophils and mast cells. Its specific expression pattern allows it to regulate genes essential for the development and function of these cell types.
Biological function summary

GATA1 regulates gene expression and is essential for erythroid and megakaryocyte differentiation. GATA1 belongs to a family of GATA transcription factors and can form regulatory complexes with other proteins such as FOG1 (Friend of GATA1) and TAL1. These complexes facilitate the binding of GATA1 to DNA enhancing its transcriptional activity on target gene sets necessary for blood cell maturation and function.

Pathways

GATA1 participates in the erythropoiesis and megakaryopoiesis pathways. It directly regulates several genes and coordinates signals with factors like GATA2 and RUNX1 which are other key proteins involved in these pathways. Through these interactions GATA1 ensures the correct development of red blood cells and platelets maintaining hematopoietic homeostasis in the organism.

Abnormal GATA1 function is linked to blood-related disorders. Mutations or dysregulations of GATA1 can lead to diseases such as X-linked thrombocytopenia with dyserythropoietic anemia which involves low platelet count and ineffective red blood cell production. Moreover GATA1 mutations are associated with certain leukemias particularly acute megakaryoblastic leukemia. GATA1's dysfunction in these diseases often occurs in conjunction with abnormalities in related proteins like GATA2 influencing disease progression and phenotype.

产品实验方案

For this product, it's our understanding that no specific protocols are required. You can visit:

靶点信息

Transcriptional activator or repressor which serves as a general switch factor for erythroid development (PubMed : 35030251). It binds to DNA sites with the consensus sequence 5'-[AT]GATA[AG]-3' within regulatory regions of globin genes and of other genes expressed in erythroid cells. Activates the transcription of genes involved in erythroid differentiation of K562 erythroleukemia cells, including HBB, HBG1/2, ALAS2 and HMBS (PubMed : 24245781).
See full target information GATA1

文献 (21)

Recent publications for all applications. Explore the full list and refine your search

Scientific reports 15:30552 PubMed40836054

2025

Adipocyte-derived factors induce adherent to suspension transition in breast and pancreatic cancer cells through lipid metabolic alteration.

Applications

Unspecified application

Species

Unspecified reactive species

Doru Kwon,Hyun Woo Park,Byung Soh Min,Junjeong Choi

Genome biology 26:155 PubMed40468392

2025

DNA G-quadruplex structures act as functional elements in α- and β-globin enhancers.

Applications

Unspecified application

Species

Unspecified reactive species

Colm Doyle,Krzysztof Herka,Sean M Flynn,Larry Melidis,Somdutta Dhir,Stefan Schoenfelder,David Tannahill,Shankar Balasubramanian

Frontiers in pediatrics 13:1572836 PubMed40464045

2025

Faster postnatal decline in hepatic erythropoiesis than granulopoiesis in human newborns.

Applications

Unspecified application

Species

Unspecified reactive species

Petra Janovska,Kristina Bardova,Zuzana Prouzova,Ilaria Irodenko,Tatyana Kobets,Eliska Haasova,Lenka Steiner Mrazova,Viktor Stranecky,Stanislav Kmoch,Martin Rossmeisl,Petr Zouhar,Jan Kopecky

International journal of molecular sciences 25: PubMed39769192

2025

The Astragalus Membranaceus Herb Attenuates Leukemia by Inhibiting the FLI1 Oncogene and Enhancing Anti-Tumor Immunity.

Applications

Unspecified application

Species

Unspecified reactive species

Kunlin Yu,Yao Tang,Chunlin Wang,Wuling Liu,Maoting Hu,Anling Hu,Yi Kuang,Eldad Zacksenhaus,Xue-Zhong Yu,Xiao Xiao,Yaacov Ben-David

Genes and environment : the official journal of the Japanese Environmental Mutagen Society 46:27 PubMed39695810

2024

GATA1 activates HSD17B6 to improve efficiency of cisplatin in lung adenocarcinoma via DNA damage.

Applications

Unspecified application

Species

Unspecified reactive species

Xingxing Shao,Hailang Hou,Huijie Chen,Wan Xia,Xinpu Geng,Jindao Wang

Pathology international 74:708-713 PubMed39620384

2024

Autopsy case of a stillbirth with transient abnormal myelopoiesis associated with Down syndrome: Immunohistochemical demonstration of GATA1 mutation in placental tissues.

Applications

Unspecified application

Species

Unspecified reactive species

Sanae Yamazaki,Jun Miyauchi,Hideaki Sato,Yuko Takahashi,Takayuki Amikura

Nature communications 15:5678 PubMed38971858

2024

Erythroid-intrinsic activation of TLR8 impairs erythropoiesis in inherited anemia.

Applications

Unspecified application

Species

Unspecified reactive species

Jing Liang,Yang Wan,Jie Gao,Lingyue Zheng,Jingwei Wang,Peng Wu,Yue Li,Bingrui Wang,Ding Wang,Yige Ma,Biao Shen,Xue Lv,Di Wang,Na An,Xiaoli Ma,Guangfeng Geng,Jingyuan Tong,Jinhua Liu,Guo Chen,Meng Gao,Ryo Kurita,Yukio Nakamura,Ping Zhu,Hang Yin,Xiaofan Zhu,Lihong Shi

Cell reports 43:114227 PubMed38735044

2024

CUX1 regulates human hematopoietic stem cell chromatin accessibility via the BAF complex.

Applications

Unspecified application

Species

Unspecified reactive species

Weihan Liu,Jeffrey L Kurkewich,Angela Stoddart,Saira Khan,Dhivyaa Anandan,Alexandre N Gaubil,Donald J Wolfgeher,Lia Jueng,Stephen J Kron,Megan E McNerney

Molecular medicine reports 29: PubMed38695236

2024

An intricate regulatory circuit between FLI1 and GATA1/GATA2/LDB1/ERG dictates erythroid vs. megakaryocytic differentiation.

Applications

Unspecified application

Species

Unspecified reactive species

Chunlin Wang,Maoting Hu,Kunlin Yu,Wuling Liu,Anling Hu,Yi Kuang,Lei Huang,Babu Gajendran,Eldad Zacksenhaus,Xiao Xiao,Yaacov Ben-David

iScience 27:109172 PubMed38414864

2024

Disruption of mitochondrial energy metabolism is a putative pathogenesis of Diamond-Blackfan anemia.

Applications

Unspecified application

Species

Unspecified reactive species

Rudan Xiao,Lijuan Zhang,Zijuan Xin,Junwei Zhu,Qian Zhang,Guangmin Zheng,Siyun Chu,Jing Wu,Lu Zhang,Yang Wan,Xiaojuan Chen,Weiping Yuan,Zhaojun Zhang,Xiaofan Zhu,Xiangdong Fang
View all publications

Abcam Product Promise

我们致力于为您的研究提供高质量的试剂,为您科研的每一步提供支持。若我们的产品未能达到预期性能,我们向您提供 Abcam Product Promise 保障。
详情请参阅我们的条款与条件。

Please note: All products are 'FOR RESEARCH USE ONLY. NOT FOR USE IN DIAGNOSTIC OR THERAPEUTIC PROCEDURES'.

For licensing inquiries, please contact partnerships@abcam.com