JavaScript is disabled in your browser. Please enable JavaScript to view this website.
AB28839

Anti-GATA1抗体

Anti-GATA1 antibody

4

(2 Reviews)

|

(12 Publications)

Rabbit Polyclonal GATA1 antibody. Suitable for WB, IHC-P and reacts with Human samples. Cited in 12 publications. Immunogen corresponding to Synthetic Peptide within Human GATA1.

查看别名

ERYF1, GF1, GATA1, Erythroid transcription factor, Eryf1, GATA-binding factor 1, NF-E1 DNA-binding protein, GATA-1, GF-1

3 Images
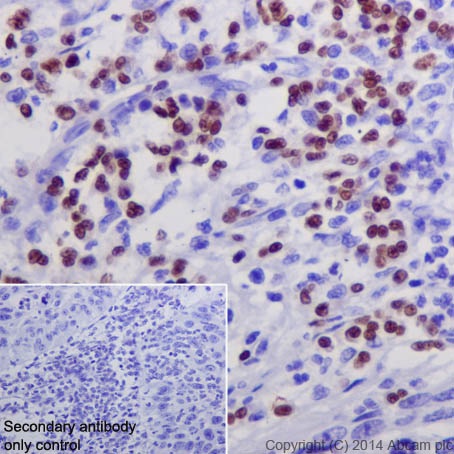
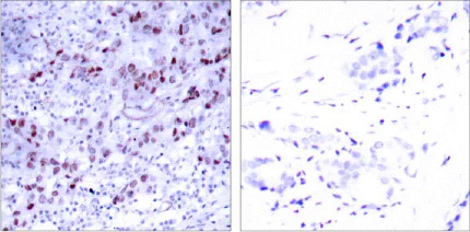
Immunohistochemistry (Formalin/PFA-fixed paraffin-embedded sections) - Anti-GATA1 antibody (AB28839)
  • IHC-P

Unknown

Immunohistochemistry (Formalin/PFA-fixed paraffin-embedded sections) - Anti-GATA1 antibody (AB28839)

Immunohistochemical analysis of paraffin-embedded breast carcinoma. Left : Using GATA-1(Ab-1) Antibody (ab28839); Right : The same antibody preincubated with synthesized peptide.

Western blot - Anti-GATA1 antibody (AB28839)
  • WB

Unknown

Western blot - Anti-GATA1 antibody (AB28839)

Western blot analysis of extracts from K562 cells. Line1 : Using GATA-1 antibody (ab28839); Line2 : The same antibody preincubated with synthesized peptide.

All lanes:

Western blot - Anti-GATA1 antibody (ab28839)

All lanes:

extracts from K562 cells (5-30ug)

Predicted band size: 43 kDa

Observed band size: 43 kDa

false

Western blot - Anti-GATA1 antibody (AB28839)
  • WB

CiteAb

Western blot - Anti-GATA1 antibody (AB28839)

GATA1 western blot using anti-GATA1 antibody ab28839. Publication image and figure legend from Xu, E., Ji, Z., et al., 2020, Biomed Res Int, PubMed 31930127.

ab28839 was used in this publication in western blot. This may not be the same as the application(s) guaranteed by Abcam. For a full list of applications guaranteed by Abcam for ab28839 please see the product overview.

HIF1A upregualtes HMGN5. (a) The expression levels of HIF1A mRNA were higher in the HIF1AOE-GFP group and HIF1AOE-HMGN5sh group than in the Cherry-GFP group. (b) The expression level of HMGN5 mRNA in the HIF1AOE-GFP group was significantly higher than in the Cherry-GFP group and was knocked down in the HIF1AOE-HMGN5sh group. (c) The expression levels of HIF1A and GATA1 were higher in HIF1AOE-GFP and HIF1AOE-HMGN5sh groups than in the Cherry-GFP group. The expression level of HMGN5 in the HIF1AOE-GFP group was higher than in the Cherry-GFP group and was knocked down in the HIF1AOE-HMGN5sh group. Data were presented as the mean ± SD. **p < 0.01.

false

关键信息

宿主种属

Rabbit

克隆

Polyclonal

亚型

IgG

不含载体蛋白

No

反应种属

Human

应用

IHC-P, WB

applications

免疫原

Synthetic Peptide within Human GATA1. The exact immunogen used to generate this antibody is proprietary information.

P15976

反应性数据

{ "title": "Reactivity Data", "filters": { "stats": ["", "Species", "Dilution Info", "Notes"], "tabs": { "all-applications": {"fullname" : "All Applications", "shortname": "All Applications"}, "WB" : {"fullname" : "Western blot", "shortname":"WB"}, "IHCP" : {"fullname" : "Immunohistochemistry (Formalin/PFA-fixed paraffin-embedded sections)", "shortname":"IHC-P"} }, "product-promise": { "all": "all", "testedAndGuaranteed": "tested", "guaranteed": "expected", "predicted": "predicted", "notRecommended": "not-recommended" } }, "values": { "Human": { "WB-species-checked": "testedAndGuaranteed", "WB-species-dilution-info": "1/500 - 1/1000", "WB-species-notes": "<p></p>", "IHCP-species-checked": "testedAndGuaranteed", "IHCP-species-dilution-info": "", "IHCP-species-notes": "<p></p>" } } }

性能和储存信息

形式
Liquid
纯化工艺
Affinity purification Immunogen
存储溶液
pH: 7.4 Preservative: 0.02% Sodium azide Constituents: PBS, 50% Glycerol (glycerin, glycerine), 0.87% Sodium chloride
运输条件
Blue Ice
推荐的短期储存时间
1-2 weeks
推荐的短期储存条件
+4°C
推荐的长期储存条件
-20°C
分装信息
Upon delivery aliquot

补充信息

This supplementary information is collated from multiple sources and compiled automatically.

GATA1 also known as GATA-binding factor 1 is a transcription factor weighing approximately 42 kDa. This protein binds to the DNA sequence "GATA" within the regulatory regions of target genes to control their expression. GATA1 is mostly expressed in hematopoietic cells especially erythroid cells megakaryocytes eosinophils and mast cells. Its specific expression pattern allows it to regulate genes essential for the development and function of these cell types.
Biological function summary

GATA1 regulates gene expression and is essential for erythroid and megakaryocyte differentiation. GATA1 belongs to a family of GATA transcription factors and can form regulatory complexes with other proteins such as FOG1 (Friend of GATA1) and TAL1. These complexes facilitate the binding of GATA1 to DNA enhancing its transcriptional activity on target gene sets necessary for blood cell maturation and function.

Pathways

GATA1 participates in the erythropoiesis and megakaryopoiesis pathways. It directly regulates several genes and coordinates signals with factors like GATA2 and RUNX1 which are other key proteins involved in these pathways. Through these interactions GATA1 ensures the correct development of red blood cells and platelets maintaining hematopoietic homeostasis in the organism.

Abnormal GATA1 function is linked to blood-related disorders. Mutations or dysregulations of GATA1 can lead to diseases such as X-linked thrombocytopenia with dyserythropoietic anemia which involves low platelet count and ineffective red blood cell production. Moreover GATA1 mutations are associated with certain leukemias particularly acute megakaryoblastic leukemia. GATA1's dysfunction in these diseases often occurs in conjunction with abnormalities in related proteins like GATA2 influencing disease progression and phenotype.

产品实验方案

For this product, it's our understanding that no specific protocols are required. You can visit:

靶点信息

Transcriptional activator or repressor which serves as a general switch factor for erythroid development (PubMed : 35030251). It binds to DNA sites with the consensus sequence 5'-[AT]GATA[AG]-3' within regulatory regions of globin genes and of other genes expressed in erythroid cells. Activates the transcription of genes involved in erythroid differentiation of K562 erythroleukemia cells, including HBB, HBG1/2, ALAS2 and HMBS (PubMed : 24245781).
See full target information GATA1

文献 (12)

Recent publications for all applications. Explore the full list and refine your search

BioMed research international 2019:5630124 PubMed31930127

2019

Hypoxia-Inducible Factor 1A Upregulates HMGN5 by Increasing the Expression of GATA1 and Plays a Role in Osteosarcoma Metastasis.

Applications

Unspecified application

Species

Unspecified reactive species

Enjie Xu,Zhe Ji,Heng Jiang,Tao Lin,Jun Ma,Xuhui Zhou

OncoTargets and therapy 12:5335-5354 PubMed31456644

2019

GATA1 gene silencing inhibits invasion, proliferation and migration of cholangiocarcinoma stem cells via disrupting the PI3K/AKT pathway.

Applications

Unspecified application

Species

Unspecified reactive species

Guang Shi,Hong Zhang,Qiong Yu,Chunmei Hu,Youbo Ji

Journal of oncology 2019:9474273 PubMed31093285

2019

GATA1 Promotes Gemcitabine Resistance in Pancreatic Cancer through Antiapoptotic Pathway.

Applications

Unspecified application

Species

Unspecified reactive species

Zhenyu Chang,Yanan Zhang,Jie Liu,Chengjian Guan,Xinjin Gu,Zelong Yang,Qinong Ye,Lihua Ding,Rong Liu

Frontiers in molecular neuroscience 11:133 PubMed29743870

2018

Absence of Gene Predisposes Mice to Mild Social Isolation - Chronic Stress, Leading to Depression-Like Phenotype Associated With Differential Expression of Synaptic Proteins.

Applications

Unspecified application

Species

Unspecified reactive species

Shiladitya Mitra,Ghantasala S Sameer Kumar,B Jyothi Lakshmi,Suman Thakur,Satish Kumar

PLoS genetics 13:e1006991 PubMed28910278

2017

Defective erythropoiesis caused by mutations of the thyroid hormone receptor α gene.

Applications

Unspecified application

Species

Unspecified reactive species

Sunmi Park,Cho Rong Han,Jeong Won Park,Li Zhao,Xuguang Zhu,Mark Willingham,David M Bodine,Sheue-Yann Cheng

FASEB journal : official publication of the Federation of American Societies for Experimental Biology 32:63-72 PubMed28842431

2017

Testicular cells exhibit similar molecular responses to cigarette smoke condensate and .

Applications

Unspecified application

Species

Unspecified reactive species

Prabagaran Esakky,Deborah A Hansen,Andrea M Drury,Paul Felder,Andrew Cusumano,Kelle H Moley

Cell 170:1028-1043.e19 PubMed28841410

2017

In Situ Capture of Chromatin Interactions by Biotinylated dCas9.

Applications

Unspecified application

Species

Unspecified reactive species

Xin Liu,Yuannyu Zhang,Yong Chen,Mushan Li,Feng Zhou,Kailong Li,Hui Cao,Min Ni,Yuxuan Liu,Zhimin Gu,Kathryn E Dickerson,Shiqi Xie,Gary C Hon,Zhenyu Xuan,Michael Q Zhang,Zhen Shao,Jian Xu

Nature immunology 13:972-80 PubMed22961053

2012

A multiply redundant genetic switch 'locks in' the transcriptional signature of regulatory T cells.

Applications

Unspecified application

Species

Unspecified reactive species

Wenxian Fu,Ayla Ergun,Ting Lu,Jonathan A Hill,Sokol Haxhinasto,Marlys S Fassett,Roi Gazit,Stanley Adoro,Laurie Glimcher,Susan Chan,Philippe Kastner,Derrick Rossi,James J Collins,Diane Mathis,Christophe Benoist

PLoS genetics 7:e1002139 PubMed21738486

2011

Maps of open chromatin guide the functional follow-up of genome-wide association signals: application to hematological traits.

Applications

EMSA

Species

Unspecified reactive species

Dirk S Paul,James P Nisbet,Tsun-Po Yang,Stuart Meacham,Augusto Rendon,Katta Hautaviita,Jonna Tallila,Jacqui White,Marloes R Tijssen,Suthesh Sivapalaratnam,Hanneke Basart,Mieke D Trip,Berthold Göttgens,Nicole Soranzo,Willem H Ouwehand,Panos Deloukas

Oncogene 29:2577-84 PubMed20101202

2010

The transcription factor GATA-1 is overexpressed in breast carcinomas and contributes to survivin upregulation via a promoter polymorphism.

Applications

IHC-P, WB

Species

Human, Human

R Boidot,F Végran,D Jacob,S Chevrier,M Cadouot,O Feron,E Solary,S Lizard-Nacol
View all publications

Abcam Product Promise

我们致力于为您的研究提供高质量的试剂,为您科研的每一步提供支持。若我们的产品未能达到预期性能,我们向您提供 Abcam Product Promise 保障。
详情请参阅我们的条款与条件。

Please note: All products are 'FOR RESEARCH USE ONLY. NOT FOR USE IN DIAGNOSTIC OR THERAPEUTIC PROCEDURES'.

For licensing inquiries, please contact partnerships@abcam.com