JavaScript is disabled in your browser. Please enable JavaScript to view this website.
AB9484

Anti-GAPDH 抗体 [mAbcam 9484] - Loading Control

Anti-GAPDH antibody [mAbcam 9484] - Loading Control

5

(56 Reviews)

|

(978 Publications)

Anti-GAPDH antibody [mAbcam 9484] - Loading Control (ab9484) is a mouse monoclonal antibody detecting GAPDH in Western Blot, IHC-P. Suitable for Chicken, Chinese hamster, Cow, Human, Mouse, Pig, Rat, Xenopus laevis.

- Over 870 publications
- Trusted since 2004

查看别名

GAPD, CDABP0047, OK/SW-cl.12, GAPDH, Glyceraldehyde-3-phosphate dehydrogenase, Peptidyl-cysteine S-nitrosylase GAPDH

5 Images
Western blot - Anti-GAPDH antibody [mAbcam 9484] - Loading Control (AB9484)
  • WB

Unknown

Western blot - Anti-GAPDH antibody [mAbcam 9484] - Loading Control (AB9484)

The membrane 1-5 was blocked in 5% milk (1 hour). The membrane 6-10 was blocked in 5% BSA (1 hour). Milk is not a suitable blocking agent and significantly decreases the signal on the membrane.

All lanes:

Western blot - Anti-GAPDH antibody [mAbcam 9484] - Loading Control (ab9484) at 1/1000 dilution

Lanes 1 and 6:

HeLa (Human epithelial carcinoma cell line) Nuclear Lysate at 20 µg

Lanes 2 and 7:

HeLa (Human epithelial carcinoma cell line) Whole Cell Lysate at 20 µg

Lanes 3 and 8:

Western blot - A-431 whole cell lysate (<a href='/products/cell-lysates/a-431-whole-cell-lysate-ab7909'>ab7909</a>) at 20 µg

Lanes 4 and 9:

Western blot - Jurkat whole cell lysate (<a href='/products/cell-lysates/jurkat-whole-cell-lysate-ab7899'>ab7899</a>) at 20 µg

Lanes 5 and 10:

Western blot - HEK-293 whole cell lysate (<a href='/products/cell-lysates/hek-293-whole-cell-lysate-ab7902'>ab7902</a>) at 20 µg

Secondary

All lanes:

Goat anti-Mouse (HRP conjugated) at 1/5000 dilution

Predicted band size: 36 kDa

Observed band size: 40 kDa

false

Immunohistochemistry (Formalin/PFA-fixed paraffin-embedded sections) - Anti-GAPDH antibody [mAbcam 9484] - Loading Control (AB9484)
  • IHC-P

Unknown

Immunohistochemistry (Formalin/PFA-fixed paraffin-embedded sections) - Anti-GAPDH antibody [mAbcam 9484] - Loading Control (AB9484)

IHC image of GAPDH staining in human liver FFPE section, performed on a BondTM system using the standard protocol F. The section was pre-treated using heat mediated antigen retrieval with sodium citrate buffer (pH6, epitope retrieval solution 1) for 20 mins. The section was then incubated with ab9484, 5µg/ml, for 8 mins at room temperature and detected using an HRP conjugated compact polymer system. DAB was used as the chromogen. The section was then counterstained with haematoxylin and mounted with DPX.

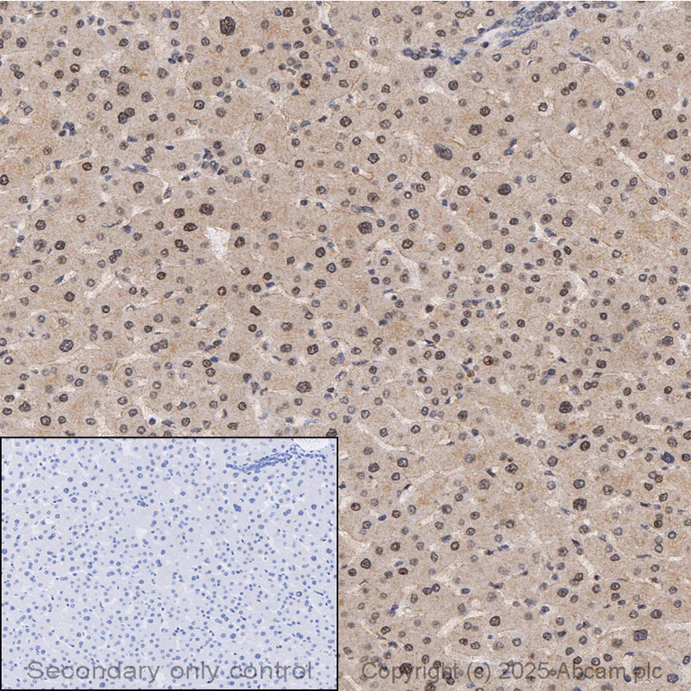
Immunohistochemistry (Formalin/PFA-fixed paraffin-embedded sections) - Anti-GAPDH antibody [mAbcam 9484] - Loading Control (AB9484)
  • IHC-P

Lab

Immunohistochemistry (Formalin/PFA-fixed paraffin-embedded sections) - Anti-GAPDH antibody [mAbcam 9484] - Loading Control (AB9484)

Immunohistochemical analysis of formalin fixed paraffin embedded human liver labelling Cleaved GAPDH with ab9484 at a concentration of 3µg/ml. The immunostaining was performed on a Ventana DISCOVERY ULTRA (Roche Tissue Diagnostics) instrument with a OptiView DAB IHC Detection Kit. Heat mediated antigen retrieval was performed with DISCOVERY cell conditioning solution (CC1) 100°C, pH8.5 for 32mins. ab9484 Anti-GAPDH antibody [mAbcam 9484] was incubated for 16mins at 37°C. Sections were counterstained with Hematoxylin II. Image inset shows absence of staining in secondary antibody only control.

Customers are encouraged to optimise antigen retrieval conditions, antibody concentration, incubation times and temperature for best results in their own IHC assay workflow (automated and manual).

Western blot - Anti-GAPDH antibody [mAbcam 9484] - Loading Control (AB9484)
  • WB

Unknown

Western blot - Anti-GAPDH antibody [mAbcam 9484] - Loading Control (AB9484)

The membrane was blocked in 5% BSA in TBST for 1 hour, then incubated for 1 hour in primary antibody diluted in TBST.

All lanes:

Western blot - Anti-GAPDH antibody [mAbcam 9484] - Loading Control (ab9484) at 1/5000 dilution

Lane 1:

Hela whole cell (Human)

Lane 2:

3T3 cell (Mouse)

Lane 3:

Rat brain

Lane 4:

Xenopus laevis embryo

Lane 5:

Chicken Liver

Lane 6:

EBTr cell (Cow)

Lane 7:

CHO cell (Chinese hamster)

Lane 8:

Pig liver

Secondary

All lanes:

Western blot - Rabbit Anti-Mouse IgG H&L (HRP) (<a href='/products/secondary-antibodies/rabbit-mouse-igg-h-l-hrp-ab6728'>ab6728</a>) at 1/5000 dilution

Predicted band size: 36 kDa

Observed band size: 40 kDa

false

Exposure time: 10s

Western blot - Anti-GAPDH antibody [mAbcam 9484] - Loading Control (AB9484)
  • WB

Lab

Western blot - Anti-GAPDH antibody [mAbcam 9484] - Loading Control (AB9484)

This blot was produced using a 4-12% Bis-tris gel under the MOPS buffer system. The gel was run at 200V for 50 minutes before being transferred onto a Nitrocellulose membrane at 30V for 70 minutes. The membrane was then blocked for an hour using 2% Bovine Serum Albumin before being incubated with ab9484 overnight at 4°C. Antibody binding was detected using an anti-rabbit antibody conjugated to HRP, and visualised using ECL development solution ab133406

All lanes:

Western blot - Anti-GAPDH antibody [mAbcam 9484] - Loading Control (ab9484) at 1 µg/mL

Lane 1:

HeLa Whole Cell Lysate at 20 µg

Lane 2:

NIH 3T3 Whole Cell Lysate at 20 µg

Lane 3:

PC12 Whole Cell Lysate at 20 µg

Secondary

All lanes:

Goat polyclonal to Mouse IgG - H&L - Pre-Adsorbed (HRP) at 1/5000 dilution

Predicted band size: 36 kDa

true

Exposure time: 1min

不同偶联物与剂型 (4)

  • 702 Alexa Fluor® 680

    Alexa Fluor® 680 Anti-GAPDH antibody [mAbcam 9484] - Loading Control

  • 805 Alexa Fluor® 790

    Alexa Fluor® 790 Anti-GAPDH antibody [mAbcam 9484] - Loading Control

  • 665 Alexa Fluor® 647

    Alexa Fluor® 647 Anti-GAPDH antibody [mAbcam 9484]

  • HRP

    HRP Anti-GAPDH antibody [mAbcam 9484] - Loading Control

关键信息

宿主种属

Mouse

克隆

Monoclonal

克隆号

mAbcam 9484

亚型

IgG2b

轻链类型

kappa

不含载体蛋白

No

反应种属

Mouse, Rat, Chicken, Cow, Human, Pig, Xenopus laevis, Chinese hamster

应用

IHC-P, WB

applications

免疫原

The exact immunogen used to generate this antibody is proprietary information.

特异性

In western blot, this product typically gives a lower signal in rat lysates compared to human and mouse lysates.

反应性数据

{ "title": "Reactivity Data", "filters": { "stats": ["", "Species", "Dilution Info", "Notes"], "tabs": { "all-applications": {"fullname" : "All Applications", "shortname": "All Applications"}, "WB" : {"fullname" : "Western blot", "shortname":"WB"}, "IHCP" : {"fullname" : "Immunohistochemistry (Formalin/PFA-fixed paraffin-embedded sections)", "shortname":"IHC-P"} }, "product-promise": { "all": "all", "testedAndGuaranteed": "tested", "guaranteed": "expected", "predicted": "predicted", "notRecommended": "not-recommended" } }, "values": { "Human": { "WB-species-checked": "testedAndGuaranteed", "WB-species-dilution-info": "0.1-1 µg/mL", "WB-species-notes": "<p>Do not block with milk. Block with 5% BSA for 1 hour. Our labs have thoroughly investigated the blocking conditions for this antibody. We found that milk significantly decreases the signal and is therefore not a suitable blocking agent for this antibody (see images).</p>", "IHCP-species-checked": "testedAndGuaranteed", "IHCP-species-dilution-info": "5 µg/mL", "IHCP-species-notes": "<p></p> Perform heat-mediated antigen retrieval before commencing with IHC staining protocol." }, "Mouse": { "WB-species-checked": "testedAndGuaranteed", "WB-species-dilution-info": "0.1-1 µg/mL", "WB-species-notes": "<p>Do not block with milk. Block with 5% BSA for 1 hour. Our labs have thoroughly investigated the blocking conditions for this antibody. We found that milk significantly decreases the signal and is therefore not a suitable blocking agent for this antibody (see images).</p>", "IHCP-species-checked": "guaranteed", "IHCP-species-dilution-info": "", "IHCP-species-notes": "" }, "Rat": { "WB-species-checked": "testedAndGuaranteed", "WB-species-dilution-info": "0.1-1 µg/µL", "WB-species-notes": "<p>Do not block with milk. Block with 5% BSA for 1 hour. Our labs have thoroughly investigated the blocking conditions for this antibody. We found that milk significantly decreases the signal and is therefore not a suitable blocking agent for this antibody (see images).</p>", "IHCP-species-checked": "guaranteed", "IHCP-species-dilution-info": "", "IHCP-species-notes": "" }, "Chicken": { "WB-species-checked": "testedAndGuaranteed", "WB-species-dilution-info": "0.1-1 µg/mL", "WB-species-notes": "<p>Do not block with milk. Block with 5% BSA for 1 hour. Our labs have thoroughly investigated the blocking conditions for this antibody. We found that milk significantly decreases the signal and is therefore not a suitable blocking agent for this antibody (see images).</p>", "IHCP-species-checked": "guaranteed", "IHCP-species-dilution-info": "", "IHCP-species-notes": "" }, "Chinese hamster": { "WB-species-checked": "testedAndGuaranteed", "WB-species-dilution-info": "0.1-1 µg/mL", "WB-species-notes": "<p>Do not block with milk. Block with 5% BSA for 1 hour. Our labs have thoroughly investigated the blocking conditions for this antibody. We found that milk significantly decreases the signal and is therefore not a suitable blocking agent for this antibody (see images).</p>", "IHCP-species-checked": "guaranteed", "IHCP-species-dilution-info": "", "IHCP-species-notes": "" }, "Cow": { "WB-species-checked": "testedAndGuaranteed", "WB-species-dilution-info": "0.1-1 µg/mL", "WB-species-notes": "<p>Do not block with milk. Block with 5% BSA for 1 hour. Our labs have thoroughly investigated the blocking conditions for this antibody. We found that milk significantly decreases the signal and is therefore not a suitable blocking agent for this antibody (see images).</p>", "IHCP-species-checked": "guaranteed", "IHCP-species-dilution-info": "", "IHCP-species-notes": "" }, "Cynomolgus monkey": { "WB-species-checked": "predicted", "WB-species-dilution-info": "", "WB-species-notes": "", "IHCP-species-checked": "predicted", "IHCP-species-dilution-info": "", "IHCP-species-notes": "" }, "Dog": { "WB-species-checked": "predicted", "WB-species-dilution-info": "", "WB-species-notes": "", "IHCP-species-checked": "predicted", "IHCP-species-dilution-info": "", "IHCP-species-notes": "" }, "Pig": { "WB-species-checked": "testedAndGuaranteed", "WB-species-dilution-info": "0.1-1 µg/mL", "WB-species-notes": "<p>Do not block with milk. Block with 5% BSA for 1 hour. Our labs have thoroughly investigated the blocking conditions for this antibody. We found that milk significantly decreases the signal and is therefore not a suitable blocking agent for this antibody (see images).</p>", "IHCP-species-checked": "guaranteed", "IHCP-species-dilution-info": "", "IHCP-species-notes": "" }, "Rabbit": { "WB-species-checked": "predicted", "WB-species-dilution-info": "", "WB-species-notes": "", "IHCP-species-checked": "predicted", "IHCP-species-dilution-info": "", "IHCP-species-notes": "" }, "Xenopus laevis": { "WB-species-checked": "testedAndGuaranteed", "WB-species-dilution-info": "0.1-1 µg/mL", "WB-species-notes": "<p>Do not block with milk. Block with 5% BSA for 1 hour. Our labs have thoroughly investigated the blocking conditions for this antibody. We found that milk significantly decreases the signal and is therefore not a suitable blocking agent for this antibody (see images).</p>", "IHCP-species-checked": "guaranteed", "IHCP-species-dilution-info": "", "IHCP-species-notes": "" } } }

产品详情

For Western blotting, do not use milk for blocking. Our labs have extensively tested the blocking conditions for this antibody and recommend using 5% BSA for 1 hour. The comparison data is shown in the images section.

This antibody clone [mAbcam 9484] is manufactured by Abcam.

If you require this antibody in a particular buffer formulation or a particular conjugate for your experiments, please contact orders@abcam.com or you can find further information here.

Product Specifications
Anti-GAPDH antibody [mAbcam 9484] - Loading Control (ab9484) is a mouse monoclonal antibody and is validated for use in IHC-P, WB in chicken, hamster, cow, human, mouse, pig, rat, xenopus laevis samples.
GAPDH antibodies are often used as loading controls in Western Blot. Anti-GAPDH antibody [mAbcam 9484] - Loading Control has been verified in Western Blot samples and detects a band at 36kDa Molecular weight.
Anti-GAPDH antibody [mAbcam 9484] - Loading Control (ab9484) specifically detects GAPDH (UniProt ID: P04406; Molecular weight: 36kDa) and is sold in 100 µg selling sizes.

Quality and Validation
Abcam's high quality validation processes ensure Anti-GAPDH antibody [mAbcam 9484] - Loading Control (ab9484) has high sensitivity and specificity.
Anti-GAPDH antibody [mAbcam 9484] - Loading Control (ab9484) has been cited over 875 times in peer reviewed journals and is trusted by the scientific community.
Anti-GAPDH antibody [mAbcam 9484] - Loading Control (ab9484) has 55 independent reviews from customers.

Related Products
Antibody clone mAbcam 9484 is also available pre-conjugated to a variety of labels for your convenience - HRP, Alexa Fluor® 680, Alexa Fluor® 790, Alexa Fluor® 647 (ab9482, ab184095, ab184578, ab196697).

性能和储存信息

形式
Liquid
纯度
IgG fraction
存储溶液
pH: 7.4 Preservative: 0.02% Sodium azide Constituents: PBS, 6.97% L-Arginine
运输条件
Blue Ice
推荐的短期储存时间
1-2 weeks
推荐的短期储存条件
+4°C
推荐的长期储存条件
-20°C
分装信息
Upon delivery aliquot
储存信息
Avoid freeze / thaw cycle

补充信息

This supplementary information is collated from multiple sources and compiled automatically.

Glyceraldehyde-3-phosphate dehydrogenase commonly known as GAPDH is an enzyme involved in glycolysis. Its molecular weight (MW) is approximately 36 kDa. The protein is expressed ubiquitously in almost all tissues reflecting its essential role in energy production. GAPDH catalyzes the sixth step of glycolysis converting glyceraldehyde-3-phosphate into 13-bisphosphoglycerate. Due to its stable expression researchers often use GAPDH as a loading control in western blot experiments.
Biological function summary

GAPDH serves important metabolic functions beyond its enzymatic role in glycolysis. It functions as part of a multi-enzyme complex within the cytoplasm which facilitates efficient substrate channeling during glycolysis. Additionally GAPDH has non-glycolytic roles including involvement in nuclear processes like RNA export and DNA repair. Its ubiquitous presence across different cellular compartments indicates its multiple functions beyond metabolic pathways.

Pathways

GAPDH integrates into significant cellular functions like the glycolytic pathway and apoptotic pathways. In glycolysis GAPDH collaborates with enzymes like phosphoglycerate kinase forming a cohesive link in the energy conversion chain. Its participation in apoptotic pathways highlights GAPDH's involvement in cellular death processes interacting with proteins like Bcl-2 to influence apoptosis progression. These roles reinforce its presence in central metabolic and regulatory pathways.

GAPDH has associations with neurodegenerative diseases and cancer. In neurodegenerative disorders such as Alzheimer's disease GAPDH’s altered enzymatic activity is frequently observed influencing cellular energy homeostasis. Moreover overexpression or aberrant regulation of GAPDH relates to cancer cell proliferation and metastasis implicating proteins like p53 in these pathways. The diverse functions and interactions of GAPDH emphasize its importance in both normal cellular function and disease states.

产品实验方案

For this product, it's our understanding that no specific protocols are required. You can visit:

靶点信息

Has both glyceraldehyde-3-phosphate dehydrogenase and nitrosylase activities, thereby playing a role in glycolysis and nuclear functions, respectively (PubMed : 11724794, PubMed : 3170585). Glyceraldehyde-3-phosphate dehydrogenase is a key enzyme in glycolysis that catalyzes the first step of the pathway by converting D-glyceraldehyde 3-phosphate (G3P) into 3-phospho-D-glyceroyl phosphate (PubMed : 11724794, PubMed : 3170585). Modulates the organization and assembly of the cytoskeleton (By similarity). Facilitates the CHP1-dependent microtubule and membrane associations through its ability to stimulate the binding of CHP1 to microtubules (By similarity). Component of the GAIT (gamma interferon-activated inhibitor of translation) complex which mediates interferon-gamma-induced transcript-selective translation inhibition in inflammation processes (PubMed : 23071094). Upon interferon-gamma treatment assembles into the GAIT complex which binds to stem loop-containing GAIT elements in the 3'-UTR of diverse inflammatory mRNAs (such as ceruplasmin) and suppresses their translation (PubMed : 23071094). Also plays a role in innate immunity by promoting TNF-induced NF-kappa-B activation and type I interferon production, via interaction with TRAF2 and TRAF3, respectively (PubMed : 23332158, PubMed : 27387501). Participates in nuclear events including transcription, RNA transport, DNA replication and apoptosis (By similarity). Nuclear functions are probably due to the nitrosylase activity that mediates cysteine S-nitrosylation of nuclear target proteins such as SIRT1, HDAC2 and PRKDC (By similarity).
See full target information GAPDH

文献 (978)

Recent publications for all applications. Explore the full list and refine your search

Pharmaceuticals (Basel, Switzerland) 18: PubMed41011253

2025

Lipoprotein(a)/CD36 Interaction Drives IL-6/RhoA-GTP Signaling and miRNA Epigenetic Regulation in Coronary Artery Spasm.

Applications

Unspecified application

Species

Unspecified reactive species

Yen-Kuang Lin,Tsung-Han Hsieh,Chi-Tai Yeh,Vijesh Kumar Yadav,Iat-Hang Fong,Kuang-Tai Kuo,Nicholas G Kounis,Patrick Hu,Ming-Yow Hung

Journal of translational medicine 23:958 PubMed40855559

2025

Quercetin promotes angiogenesis and protects the blood-spinal cord barrier structure after spinal cord injury by targeting the PI3K/Akt signaling pathway.

Applications

Unspecified application

Species

Unspecified reactive species

Xinfang Liu,Xuhua Liu,Sidong Luo,Di Chen,Jinbo Lin,Man Xiong,Lei Yang,Kaifan Li,Dawei Sun,Lina Wei,Sheng Luo,Yeyang Wang

Cells 14: PubMed40801567

2025

Estradiol Downregulates MicroRNA-193a to Mediate Its Angiogenic Actions.

Applications

Unspecified application

Species

Unspecified reactive species

Lisa Rigassi,Mirel Adrian Popa,Ruth Stiller,Brigitte Leeners,Marinella Rosselli,Raghvendra Krishna Dubey

Cells 14: PubMed40801565

2025

Estradiol Downregulates MicroRNA-193a to Mediate Its Anti-Mitogenic Actions on Human Coronary Artery Smooth Muscle Cell Growth.

Applications

Unspecified application

Species

Unspecified reactive species

Lisa Rigassi,Marinella Rosselli,Brigitte Leeners,Mirel Adrian Popa,Raghvendra Krishna Dubey

International journal of biological sciences 21:3934-3948 PubMed40612684

2025

WNT5B regulates myogenesis and fiber type conversion by affecting mRNA stability.

Applications

Unspecified application

Species

Unspecified reactive species

Danyang Fan,Yilong Yao,Chao Yan,Fanqinyu Li,Yalan Yang,Bingkun Xie,Zhonglin Tang

Journal of inflammation research 18:7167-7181 PubMed40487287

2025

N4BP3 Activates TLR4-NF-κB Pathway in Inflammatory Bowel Disease by Promoting K48-Linked IκBα Ubiquitination.

Applications

Unspecified application

Species

Unspecified reactive species

Wang Jiang,Jie Yin,Min Han,Wenhua He,Yan Zhao,Jinyue Hu,Meiwei Wang,Sikai Wang,Jiafan Xu,Chongtian Deng,Jiajia Li,Xiaonuo Gong,Yueming Shen

Clinical and experimental medicine 25:190 PubMed40481899

2025

CD44-downregulation in multiple myeloma inhibits cytoskeleton rearrangement through actin depolymerization.

Applications

Unspecified application

Species

Unspecified reactive species

Zhenkui Wang,Yutong Guo,Chun Yang,Hongyan Liang,Jie Zhou,Lei Huang,Yan Xu,Li Xue

Frontiers in cell and developmental biology 13:1520723 PubMed40103630

2025

The BBS/CCT chaperonin complex ensures the localization of the adhesion G protein-coupled receptor ADGRV1 to the base of primary cilia.

Applications

Unspecified application

Species

Unspecified reactive species

Joshua Linnert,Deva Krupakar Kusuluri,Baran E Güler,Sarita Rani Patnaik,Helen Louise May-Simera,Uwe Wolfrum

The Journal of cell biology 224: PubMed40052924

2025

SNX10 functions as a modulator of piecemeal mitophagy and mitochondrial bioenergetics.

Applications

Unspecified application

Species

Unspecified reactive species

Laura Trachsel-Moncho,Chiara Veroni,Benan John Mathai,Ana Lapao,Sakshi Singh,Nagham Theres Asp,Sebastian W Schultz,Serhiy Pankiv,Anne Simonsen

Open biology 15:240225 PubMed39965656

2025

Proximal partners of the organellar N-terminal acetyltransferase NAA60: insights into Golgi structure and transmembrane protein topology.

Applications

Unspecified application

Species

Unspecified reactive species

Sebastian Tanco,Veronique Jonckheere,Arun Kumar Tharkeshwar,Annelies Bogaert,Kris Gevaert,Wim Annaert,Petra Van Damme
View all publications

Abcam Product Promise

我们致力于为您的研究提供高质量的试剂,为您科研的每一步提供支持。若我们的产品未能达到预期性能,我们向您提供 Abcam Product Promise 保障。
详情请参阅我们的条款与条件。

Please note: All products are 'FOR RESEARCH USE ONLY. NOT FOR USE IN DIAGNOSTIC OR THERAPEUTIC PROCEDURES'.

For licensing inquiries, please contact partnerships@abcam.com