JavaScript is disabled in your browser. Please enable JavaScript to view this website.
AB9485

Anti-GAPDH 抗体 - Loading Control

Anti-GAPDH antibody - Loading Control

5

(88 Reviews)

|

(4592 Publications)

Anti-GAPDH antibody - Loading Control (ab9485) is a rabbit polyclonal antibody detecting GAPDH in Western Blot, IHC-P, ICC/IF. Suitable for Human, Mouse.

- Over 3280 publications
- Trusted since 2002

查看别名

GAPD, CDABP0047, OK/SW-cl.12, GAPDH, Glyceraldehyde-3-phosphate dehydrogenase, Peptidyl-cysteine S-nitrosylase GAPDH

9 Images
Immunocytochemistry/ Immunofluorescence - Anti-GAPDH antibody - Loading Control (AB9485)
  • ICC/IF

Lab

Immunocytochemistry/ Immunofluorescence - Anti-GAPDH antibody - Loading Control (AB9485)

ab9485 staining GAPDH in HeLa cells. The cells were fixed with 100% methanol (5min) and then blocked in 1% BSA/10% normal goat serum/0.3M glycine in 0.1%PBS-Tween for 1h. The cells were then incubated with ab9485 at 5μg/ml and ab7291 at 1μg/ml overnight at +4°C, followed by a further incubation at room temperature for 1h with Goat Anti-Rabbit IgG H&L (Alexa Fluor® 488) preadsorbed (ab150081) secondary antibody at 2 μg/ml (shown in green) and Goat Anti-Mouse IgG H&L (Alexa Fluor® 594) preadsorbed (ab150120) secondary antibody at 2 μg/ml (shown in pseudo color red). Nuclear DNA was labelled in blue with DAPI.

Negative controls : 1– Rabbit primary antibody and anti-mouse secondary antibody; 2 – Mouse primary antibody and anti-rabbit secondary antibody. Controls 1 and 2 indicate that there is no unspecific reaction between primary and secondary antibodies used.

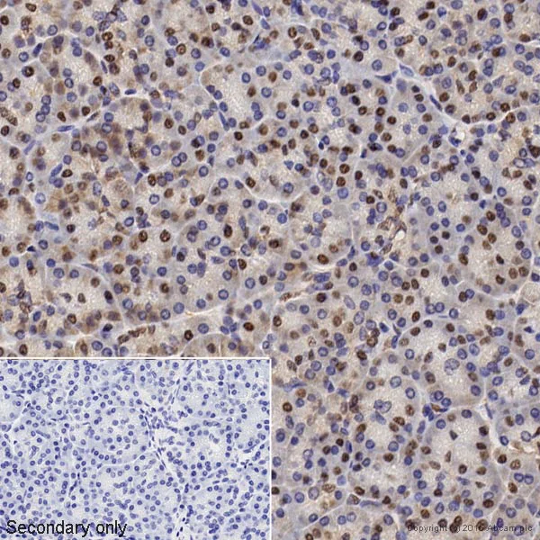
Immunohistochemistry (Formalin/PFA-fixed paraffin-embedded sections) - Anti-GAPDH antibody - Loading Control (AB9485)
  • IHC-P

Lab

Immunohistochemistry (Formalin/PFA-fixed paraffin-embedded sections) - Anti-GAPDH antibody - Loading Control (AB9485)

IHC image of ab9485 staining GAPDH in human pancreas formalin fixed paraffin embedded tissue sections*, performed on a Leica Bond. The section was pre-treated using heat mediated antigen retrieval with sodium citrate buffer (pH6, epitope retrieval solution 1) for 20 mins. The section was then incubated with ab9485, 5μg/ml working concentration, for 15 mins at room temperature and detected using an HRP conjugated compact polymer system. DAB was used as the chromogen. The section was then counterstained with haematoxylin and mounted with DPX. No primary antibody was used in the secondary only control (shown on the inset).
For other IHC staining systems (automated and non-automated) customers should optimize variable parameters such as antigen retrieval conditions, primary antibody concentration and antibody incubation times.
*Tissue obtained from the Human Research Tissue Bank, supported by the NIHR Cambridge Biomedical Research Centre

Immunocytochemistry/ Immunofluorescence - Anti-GAPDH antibody - Loading Control (AB9485)
  • ICC/IF

Lab

Immunocytochemistry/ Immunofluorescence - Anti-GAPDH antibody - Loading Control (AB9485)

ab9485 staining GAPDH in NIH3T3 cells. The cells were fixed with 4% formaldehyde (10min), permeabilized with 0.1% Triton X-100 for 5 minutes and then blocked in 1% BSA/10% normal goat serum/0.3M glycine in 0.1%PBS-Tween for 1h. The cells were then incubated with ab9485 at 5μg/ml and ab195889 at 1/250 overnight at +4°C, followed by a further incubation at room temperature for 1h with Goat Anti-Rabbit IgG H&L (Alexa Fluor® 488) preadsorbed (ab150081) secondary antibody at 2 μg/ml (shown in green). Nuclear DNA was labelled in blue with DAPI. Image was taken with a confocal microscope (Leica-Microsystems, TCS SP8).

Western blot - Anti-GAPDH antibody - Loading Control (AB9485)
  • WB

PubMed

Western blot - Anti-GAPDH antibody - Loading Control (AB9485)

HEK293 cells stably transfected with pINDUCER10-shNF90/NF110 (D2) or pINDUCER10-shNF45 (D5) were treated without or with doxycycline for 96 h, then serum starved for 12 h and treated with PMA (20 ng/mL) for 2 h. Protein lysates (20 μg/lane) were separated by SDS-PAGE and transferred to PVDF membranes.

Loading control : Rabbit polyclonal to GAPDH (ab9485) at 1/1000 dilution.

Secondary antibodies (HRP) were used at 1/10,000 dilution.

All lanes:

Western blot - Anti-GAPDH antibody - Loading Control (ab9485)

Predicted band size: 36 kDa

Observed band size: 37 kDa

false

Image from Wu T et al., PLoS One, 14(4), Fig 3.; doi: 10.1371/journal.pone.0216042. Reproduced under the Creative Commons license http://creativecommons.org/licenses/by/4.0/.

Western blot - Anti-GAPDH antibody - Loading Control (AB9485)
  • WB

Lab

Western blot - Anti-GAPDH antibody - Loading Control (AB9485)

This blot was produced using a 4-12% Bis-tris gel under the MOPS buffer system. The gel was run at 200V for 50 minutes before being transferred onto a Nitrocellulose membrane at 30V for 70 minutes. The membrane was then blocked for an hour using Licor blocking buffer before being incubated with ab9485 overnight at 4°C. Antibody binding was detected using Goat Anti-Rabbit IgG H&L (Alexa Fluor® 790) (ab175781) secondary antibody at a 1 : 10,000 dilution for 1hr at room temperature and then imaged using the Licor Odyssey CLx.

All lanes:

Western blot - Anti-GAPDH antibody - Loading Control (ab9485) at 1/2500 dilution

Lane 1:

HeLa (Human epithelial carcinoma cell line) Whole Cell Lysate at 20 µg

Lane 2:

A431 (Human epithelial carcinoma cell line) Whole Cell Lysate at 20 µg

Lane 3:

A549 (Human lung adenocarcinoma epithelial cell line) Whole Cell Lysate at 20 µg

Secondary

All lanes:

Goat Anti-Rabbit IgG H&L (Alexa Fluor® 790) (<a href='/products/secondary-antibodies/goat-rabbit-igg-h-l-alexa-fluor-790-ab175781'>ab175781</a>) secondary antibody at 1/10000 dilution

Predicted band size: 36 kDa

Observed band size: 37 kDa

false

Western blot - Anti-GAPDH antibody - Loading Control (AB9485)
  • WB

Unknown

Western blot - Anti-GAPDH antibody - Loading Control (AB9485)

Western blot image using 4-20% Optiblot gel with the Prism Ultra Protein Ladder (ab116028) 5μl used. We recommend using our ECL substrate kit (ab65623).
20ug of Lysate per lane and detection using ab9485 diluted to 1ug/ml.
Lane 1 : HeLa cell lysate
Lane 2 : Jurkat cell lysate
Lane 3 : A431 cell lysate
Lane 4 : HEK-293 cell lysate
Lane 5 : HepG2 cell lysate.

All lanes:

Western blot - Anti-GAPDH antibody - Loading Control (ab9485) at 1 µg/mL

Lane 1:

HeLa cell lysate at 20 µg

Lane 2:

Jurkat cell lysate at 20 µg

Lane 3:

A431 cell lysate at 20 µg

Lane 4:

HEK-293 cell lysate at 20 µg

Lane 5:

HepG2 cell lysate at 20 µg

Predicted band size: 36 kDa

false

Western blot - Anti-GAPDH antibody - Loading Control (AB9485)
  • WB

AbReview43771****

Western blot - Anti-GAPDH antibody - Loading Control (AB9485)

Primary incubation : 16 hours at 4°C

Blocking : 5% milk for 1 hour at room temperature

All lanes:

Western blot - Anti-GAPDH antibody - Loading Control (ab9485) at 1/1000 dilution

Lane 1:

Mouse hepatocytes - untreated at 20 µg

Lane 2:

Mouse hepatocytes - treated with LPS (100 ng/mL) for 1 hour at 20 µg

Lane 3:

Mouse hepatocytes - treated with LPS (100 ng/mL) for 12 hours at 20 µg

Secondary

All lanes:

Goat anti-rabbit secondary antibody (HRP) at 1/10000 dilution

Predicted band size: 36 kDa

Observed band size: 37 kDa

true

Exposure time: 1min

This image is courtesy of an anonymous Abreview

Western blot - Anti-GAPDH antibody - Loading Control (AB9485)
  • WB

AbReview32996****

Western blot - Anti-GAPDH antibody - Loading Control (AB9485)

All lanes:

Western blot - Anti-GAPDH antibody - Loading Control (ab9485) at 1/1000 dilution

All lanes:

Mouse Embryonic lung whole tissue lysate at 30 µg

Predicted band size: 36 kDa

true

Exposure time: 15s

Western blot - Anti-GAPDH antibody - Loading Control (AB9485)
  • WB

AbReview15864****

Western blot - Anti-GAPDH antibody - Loading Control (AB9485)

All lanes:

Western blot - Anti-GAPDH antibody - Loading Control (ab9485) at 1/2500 dilution

Lane 1:

Lysate prepared from human Huh-7 cells at 2 µg

Lane 2:

Lysate prepared from human Huh-7 cells at 20 µg

Secondary

All lanes:

HRP-conjugated sheep polyclonal to rabbit IgG at 1/20000 dilution

Predicted band size: 36 kDa

Observed band size: 40 kDa

false

Exposure time: 5min

This image is a courtesy of Anonymous Abreview

关键信息

宿主种属

Rabbit

克隆

Polyclonal

亚型

IgG

不含载体蛋白

No

反应种属

Human, Mouse

应用

IHC-P, ICC/IF, WB

applications

免疫原

The exact immunogen used to generate this antibody is proprietary information.

特异性

From Mar 2024, QC testing of replenishment batches of this polyclonal changed. All tested and expected application and reactive species combinations are still covered by our Abcam product promise. However, we no longer test all applications. For more information on a specific batch, please contact our Scientific Support who will be happy to help. You may also be interested in our alternative recombinant antibody, ab313650.

反应性数据

{ "title": "Reactivity Data", "filters": { "stats": ["", "Species", "Dilution Info", "Notes"], "tabs": { "all-applications": {"fullname" : "All Applications", "shortname": "All Applications"}, "IHCP" : {"fullname" : "Immunohistochemistry (Formalin/PFA-fixed paraffin-embedded sections)", "shortname":"IHC-P"}, "WB" : {"fullname" : "Western blot", "shortname":"WB"}, "ICCIF" : {"fullname" : "Immunocytochemistry/ Immunofluorescence", "shortname":"ICC/IF"} }, "product-promise": { "all": "all", "testedAndGuaranteed": "tested", "guaranteed": "expected", "predicted": "predicted", "notRecommended": "not-recommended" } }, "values": { "Human": { "IHCP-species-checked": "testedAndGuaranteed", "IHCP-species-dilution-info": "5 µg/mL", "IHCP-species-notes": "<p></p> Perform heat-mediated antigen retrieval with citrate buffer pH 6 before commencing with IHC staining protocol.", "WB-species-checked": "testedAndGuaranteed", "WB-species-dilution-info": "1/2500", "WB-species-notes": "<p>Some customers have experienced that milk significantly decreases the signal in WB compared to BSA. In-house we use BSA.</p><p>We recommend Goat Anti-Rabbit IgG H&amp;L (Alexa Fluor<sup>®</sup> 790) (<a href='/products/secondary-antibodies/goat-rabbit-igg-h-l-alexa-fluor-790-ab175781'>ab175781</a>) secondary antibody.</p>", "ICCIF-species-checked": "guaranteed", "ICCIF-species-dilution-info": "5 µg/mL", "ICCIF-species-notes": "<p>We recommend Goat Anti-Rabbit IgG H&amp;L (Alexa Fluor<sup>®</sup> 488) preadsorbed (<a href='/products/secondary-antibodies/goat-rabbit-igg-h-l-alexa-fluor-488-preadsorbed-ab150081'>ab150081</a>) secondary antibody.</p>" }, "Mouse": { "IHCP-species-checked": "guaranteed", "IHCP-species-dilution-info": "", "IHCP-species-notes": "", "WB-species-checked": "testedAndGuaranteed", "WB-species-dilution-info": "1/25000", "WB-species-notes": "<p>Some customers have experienced that milk significantly decreases the signal in WB compared to BSA. In-house we use BSA.</p><p>We recommend Goat Anti-Rabbit IgG H&amp;L (Alexa Fluor<sup>®</sup> 790) (<a href='/products/secondary-antibodies/goat-rabbit-igg-h-l-alexa-fluor-790-ab175781'>ab175781</a>) secondary antibody.</p>", "ICCIF-species-checked": "guaranteed", "ICCIF-species-dilution-info": "5 µg/mL", "ICCIF-species-notes": "<p>We recommend Goat Anti-Rabbit IgG H&amp;L (Alexa Fluor<sup>®</sup> 488) preadsorbed (<a href='/products/secondary-antibodies/goat-rabbit-igg-h-l-alexa-fluor-488-preadsorbed-ab150081'>ab150081</a>) secondary antibody.</p>" }, "Rat": { "IHCP-species-checked": "predicted", "IHCP-species-dilution-info": "", "IHCP-species-notes": "", "WB-species-checked": "predicted", "WB-species-dilution-info": "", "WB-species-notes": "", "ICCIF-species-checked": "predicted", "ICCIF-species-dilution-info": "", "ICCIF-species-notes": "" }, "African green monkey": { "IHCP-species-checked": "predicted", "IHCP-species-dilution-info": "", "IHCP-species-notes": "", "WB-species-checked": "predicted", "WB-species-dilution-info": "", "WB-species-notes": "", "ICCIF-species-checked": "predicted", "ICCIF-species-dilution-info": "", "ICCIF-species-notes": "" }, "Chicken": { "IHCP-species-checked": "predicted", "IHCP-species-dilution-info": "", "IHCP-species-notes": "", "WB-species-checked": "predicted", "WB-species-dilution-info": "", "WB-species-notes": "", "ICCIF-species-checked": "predicted", "ICCIF-species-dilution-info": "", "ICCIF-species-notes": "" }, "Dog": { "IHCP-species-checked": "predicted", "IHCP-species-dilution-info": "", "IHCP-species-notes": "", "WB-species-checked": "predicted", "WB-species-dilution-info": "", "WB-species-notes": "", "ICCIF-species-checked": "predicted", "ICCIF-species-dilution-info": "", "ICCIF-species-notes": "" }, "Saccharomyces cerevisiae": { "IHCP-species-checked": "predicted", "IHCP-species-dilution-info": "", "IHCP-species-notes": "", "WB-species-checked": "predicted", "WB-species-dilution-info": "", "WB-species-notes": "", "ICCIF-species-checked": "predicted", "ICCIF-species-dilution-info": "", "ICCIF-species-notes": "" }, "Schizosaccharomyces pombe": { "IHCP-species-checked": "predicted", "IHCP-species-dilution-info": "", "IHCP-species-notes": "", "WB-species-checked": "predicted", "WB-species-dilution-info": "", "WB-species-notes": "", "ICCIF-species-checked": "predicted", "ICCIF-species-dilution-info": "", "ICCIF-species-notes": "" }, "Xenopus laevis": { "IHCP-species-checked": "predicted", "IHCP-species-dilution-info": "", "IHCP-species-notes": "", "WB-species-checked": "predicted", "WB-species-dilution-info": "", "WB-species-notes": "", "ICCIF-species-checked": "predicted", "ICCIF-species-dilution-info": "", "ICCIF-species-notes": "" } } }

产品详情

Anti-GAPDH antibody - Loading Control (ab9485) is a rabbit polyclonal antibody and is validated for use in ICC/IF, IHC-P and WB.

Anti-GAPDH antibody - Loading Control (ab9485) was first used in a scientific publication in 2004 and has been cited over 3283 times in peer reviewed journals. It's performance in Western blot in human, mouse and rat samples is trusted by the scientific community.

Abcam's high quality validation processes ensure Anti-GAPDH antibody - Loading Control (ab9485) has high sensitivity and specificity.

Anti-GAPDH antibody - Loading Control (ab9485) has 87 independent reviews from customers.

GAPDH antibodies are often used as loading controls in Western Blot. Anti-GAPDH antibody - Loading Control has been verified in Western Blot samples and detects a band at 36kDa Molecular weight.

Anti-GAPDH antibody - Loading Control (ab9485) specifically detects GAPDH (UniProt ID: P04406; Molecular weight: 36kDa) and is sold in 100 µg and 250 µg selling sizes.

One of the top cited antibody in the market for GAPDH with >4500 citations and >60 five star reviews. GAPDH is a key target involved in glycolysis and cell metabolism. It plays a crucial role as a housekeeping gene, particularly in understanding GAPDH expression and its function as a metabolic enzyme. GAPDH is widely analysed in GAPDH activity assays and studies of its role in various cellular processes. Additionally, GAPDH is commonly used as a loading control in western blotting, IHC and immunofluorescence experiments.

性能和储存信息

形式
Liquid
纯化工艺
Affinity purification Protein A
存储溶液
pH: 7.4 Preservative: 0.02% Sodium azide Constituents: PBS, 1% BSA
运输条件
Blue Ice
推荐的短期储存时间
1-2 weeks
推荐的短期储存条件
+4°C
推荐的长期储存条件
-20°C
分装信息
Upon delivery aliquot
储存信息
Avoid freeze / thaw cycle

补充信息

This supplementary information is collated from multiple sources and compiled automatically.

Glyceraldehyde-3-phosphate dehydrogenase commonly known as GAPDH is an enzyme involved in glycolysis. Its molecular weight (MW) is approximately 36 kDa. The protein is expressed ubiquitously in almost all tissues reflecting its essential role in energy production. GAPDH catalyzes the sixth step of glycolysis converting glyceraldehyde-3-phosphate into 13-bisphosphoglycerate. Due to its stable expression researchers often use GAPDH as a loading control in western blot experiments.
Biological function summary

GAPDH serves important metabolic functions beyond its enzymatic role in glycolysis. It functions as part of a multi-enzyme complex within the cytoplasm which facilitates efficient substrate channeling during glycolysis. Additionally GAPDH has non-glycolytic roles including involvement in nuclear processes like RNA export and DNA repair. Its ubiquitous presence across different cellular compartments indicates its multiple functions beyond metabolic pathways.

Pathways

GAPDH integrates into significant cellular functions like the glycolytic pathway and apoptotic pathways. In glycolysis GAPDH collaborates with enzymes like phosphoglycerate kinase forming a cohesive link in the energy conversion chain. Its participation in apoptotic pathways highlights GAPDH's involvement in cellular death processes interacting with proteins like Bcl-2 to influence apoptosis progression. These roles reinforce its presence in central metabolic and regulatory pathways.

GAPDH has associations with neurodegenerative diseases and cancer. In neurodegenerative disorders such as Alzheimer's disease GAPDH's altered enzymatic activity is frequently observed influencing cellular energy homeostasis. Moreover overexpression or aberrant regulation of GAPDH relates to cancer cell proliferation and metastasis implicating proteins like p53 in these pathways. The diverse functions and interactions of GAPDH emphasize its importance in both normal cellular function and disease states.

产品实验方案

For this product, it's our understanding that no specific protocols are required. You can visit:

靶点信息

Has both glyceraldehyde-3-phosphate dehydrogenase and nitrosylase activities, thereby playing a role in glycolysis and nuclear functions, respectively (PubMed : 11724794, PubMed : 3170585). Glyceraldehyde-3-phosphate dehydrogenase is a key enzyme in glycolysis that catalyzes the first step of the pathway by converting D-glyceraldehyde 3-phosphate (G3P) into 3-phospho-D-glyceroyl phosphate (PubMed : 11724794, PubMed : 3170585). Modulates the organization and assembly of the cytoskeleton (By similarity). Facilitates the CHP1-dependent microtubule and membrane associations through its ability to stimulate the binding of CHP1 to microtubules (By similarity). Component of the GAIT (gamma interferon-activated inhibitor of translation) complex which mediates interferon-gamma-induced transcript-selective translation inhibition in inflammation processes (PubMed : 23071094). Upon interferon-gamma treatment assembles into the GAIT complex which binds to stem loop-containing GAIT elements in the 3'-UTR of diverse inflammatory mRNAs (such as ceruplasmin) and suppresses their translation (PubMed : 23071094). Also plays a role in innate immunity by promoting TNF-induced NF-kappa-B activation and type I interferon production, via interaction with TRAF2 and TRAF3, respectively (PubMed : 23332158, PubMed : 27387501). Participates in nuclear events including transcription, RNA transport, DNA replication and apoptosis (By similarity). Nuclear functions are probably due to the nitrosylase activity that mediates cysteine S-nitrosylation of nuclear target proteins such as SIRT1, HDAC2 and PRKDC (By similarity).
See full target information GAPDH

文献 (4592)

Recent publications for all applications. Explore the full list and refine your search

Kidney diseases (Basel, Switzerland) 11:543-559 PubMed41064102

2025

Dihydroquercetin/Taxifolin Inhibits METTL3/mA/PIM2 Expression by Suppressing RIPK2 Phosphorylation Mediated NF-κB p65 Signaling Pathway to Alleviates Renal Ischemia-Reperfusion Injury in Mice.

Applications

Unspecified application

Species

Unspecified reactive species

Sheng Shen,Xiao Wang,Zhongda Li,Jinyang Zhuang,Keqin Zhang

BMC cancer 25:1512 PubMed41053731

2025

NFKBIE as a prognostic biomarker and therapeutic target for GBM: role in Hedgehog signaling activation.

Applications

Unspecified application

Species

Unspecified reactive species

Feng Mo,Yang Li,Ce Dong,Lijun Yang,Xiaoli Ma,Baogen Pan,Zhenzeng Fan

Journal of pharmaceutical analysis 15:101228 PubMed41050116

2025

ZFP36 promotes ferroptosis and mitochondrial dysfunction and inhibits malignant progression in osteosarcoma by regulating the E2F1/ATF4 axis.

Applications

Unspecified application

Species

Unspecified reactive species

Shiyue Qin,Hongyang Kong,Lei Jiang

Oncology letters 30:549 PubMed41050779

2025

Protein arginine methyltransferase 7 regulates the cell cycle and promotes the progression of prostate cancer.

Applications

Unspecified application

Species

Unspecified reactive species

Hongyuan Wan,Hangshen Zhou,Jiandong Gui,Dongjie Yang,Rong Wang,Jiang Ni,Sheng Wu,Yan Qin,Qiaowei Qi,Lijie Zhu,Ninghan Feng,Yuanyuan Mi

Circulation journal : official journal of the Japanese Circulation Society : PubMed41047353

2025

Novel Loss-of-Function Variant, Cys1384Phe, in SCN5A Is Associated With an Overlapping Phenotype of Brugada Syndrome, Sick Sinus Syndrome, and Dilated Cardiomyopathy.

Applications

Unspecified application

Species

Unspecified reactive species

Kohei Yamauchi,Koichi Kato,Seiko Ohno,Masayuki Nakada,Soichiro Yamashita,Hiroshi Morita,Mitsuru Takami,Koji Fukuzawa,Kohei Ishibashi,Kengo Kusano,Takeshi Aiba

Nature communications 16:8836 PubMed41044090

2025

Mitotic DNA repair by TMEJ suppresses replication stress-induced nuclear envelope reassembly defect.

Applications

Unspecified application

Species

Unspecified reactive species

Guojun Ye,Yide He,Yihui Zhang,Dongchen Li,Fuhai Liu,Yi Li,Qinglian Ge,Qiong Guo,Shuya Han,Chunyu Song,Weiping Chang,Haoyue Zhang,Qin Peng,Kun Sun,Weike Ji,Lin Deng

Cancer cell international 25:328 PubMed41044542

2025

Tetrahydropalmatine has analgesic role in mouse model of bone cancer pain by inactivating the TNF-α/uPA/PAR2/TRPV1 pathway in dorsal root ganglia.

Applications

Unspecified application

Species

Unspecified reactive species

Guangda Zheng,Linghan Meng,Lu Shang,Juanxia Ren,Dongtao Li,Yanju Bao

Bioengineering & translational medicine 10:e70025 PubMed41030280

2025

Engineering biomimetic nanovesicles for PEBP1 mRNA delivery to inhibit ferroptosis in abdominal aortic aneurysm.

Applications

Unspecified application

Species

Unspecified reactive species

Lulu Chen,Bicheng Chen,Xiang Su

World journal of surgical oncology 23:350 PubMed41024019

2025

SUZ12 knockdown restrains the proliferation, migration, and invasion of oral tongue squamous cell carcinoma through inhibiting DNMT1-mediated ZNF582 promoter methylation.

Applications

Unspecified application

Species

Unspecified reactive species

Xiangwei Kong,Yicheng Cheng,Lin Zhang,Wei Yin,Chenchen Wang,Zhan'ao Wu

Respiratory research 26:275 PubMed41024125

2025

ZNF184-mediated transcriptional activation of SAE1 drives the cell cycle entry and immune evasion in non-small cell lung cancer.

Applications

Unspecified application

Species

Unspecified reactive species

Feng Shi,Luquan Zhang,Chunli Wang,Qingwei Meng
View all publications

Abcam Product Promise

我们致力于为您的研究提供高质量的试剂,为您科研的每一步提供支持。若我们的产品未能达到预期性能,我们向您提供 Abcam Product Promise 保障。
详情请参阅我们的条款与条件。

Please note: All products are 'FOR RESEARCH USE ONLY. NOT FOR USE IN DIAGNOSTIC OR THERAPEUTIC PROCEDURES'.

For licensing inquiries, please contact partnerships@abcam.com