JavaScript is disabled in your browser. Please enable JavaScript to view this website.
AB210113

Anti-GAPDH 抗体 - Loading Control

Anti-GAPDH antibody - Loading Control

Be the first to review this product! Submit a review

|

(3 Publications)

Rabbit Polyclonal GAPDH antibody. Suitable for ICC/IF, IHC-P, WB and reacts with Human, Zebrafish, Mouse, Rat, Dog, Cat, Escherichia coli, Drosophila melanogaster samples. Cited in 3 publications. Immunogen corresponding to Synthetic Peptide within Zebrafish gapdh aa 100-200.

查看别名

Glyceraldehyde-3-phosphate dehydrogenase, GAPDH, Peptidyl-cysteine S-nitrosylase GAPDH, gapdh

10 Images
Immunocytochemistry/ Immunofluorescence - Anti-GAPDH antibody - Loading Control (AB210113)
  • ICC/IF

Supplier Data

Immunocytochemistry/ Immunofluorescence - Anti-GAPDH antibody - Loading Control (AB210113)

Immunofluorescence analysis of HeLa cells fixed in ice-cold MeOH for 5 min labelling Gapdh protein at cytoplasm using ab210113 at a 1/6000 dilution (Green).

Immunohistochemistry (Formalin/PFA-fixed paraffin-embedded sections) - Anti-GAPDH antibody - Loading Control (AB210113)
  • IHC-P

Supplier Data

Immunohistochemistry (Formalin/PFA-fixed paraffin-embedded sections) - Anti-GAPDH antibody - Loading Control (AB210113)

Immunohistochemical analysis of paraffin-embedded mouse kidney tissue stained for Gapdh protein at cytoplasm and nucleus with ab210113 at a 1/1000 dilution.

Antigen retrieval : Citrate buffer, pH 6.0, 15 min.

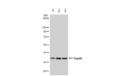
Western blot - Anti-GAPDH antibody - Loading Control (AB210113)
  • WB

Supplier Data

Western blot - Anti-GAPDH antibody - Loading Control (AB210113)

Samples were separated by 10 % SDS.

Lane 1:

A431 whole cell extracts at 30 µg

Lane 2:

HeLa whole cell extracts at 30 µg

Lane 3:

HepG2 whole cell extracts at 30 µg

Secondary

All lanes:

HRP-conjugated anti-rabbit IgG antibody

Predicted band size: 36 kDa

false

Western blot - Anti-GAPDH antibody - Loading Control (AB210113)
  • WB

Supplier Data

Western blot - Anti-GAPDH antibody - Loading Control (AB210113)

Samples were separated by 10 % SDS.

Lane 1:

Neuro2A whole cell lysates at 30 µg

Lane 2:

C8D30 whole cell lysates at 30 µg

Lane 3:

NIH-3T3 whole cell lysates at 30 µg

Lane 4:

Raw264.7 whole cell lysates at 30 µg

Lane 5:

C2C12 whole cell lysates at 30 µg

Secondary

All lanes:

HRP-conjugated anti-rabbit IgG antibody

Predicted band size: 36 kDa

false

Western blot - Anti-GAPDH antibody - Loading Control (AB210113)
  • WB

Supplier Data

Western blot - Anti-GAPDH antibody - Loading Control (AB210113)

Samples were separated by 10 % SDS.

All lanes:

Pc12 Whole cell extract at 30 µg

Secondary

All lanes:

HRP-conjugated anti-rabbit IgG antibody

Predicted band size: 36 kDa

false

Immunohistochemistry (Formalin/PFA-fixed paraffin-embedded sections) - Anti-GAPDH antibody - Loading Control (AB210113)
  • IHC-P

Supplier Data

Immunohistochemistry (Formalin/PFA-fixed paraffin-embedded sections) - Anti-GAPDH antibody - Loading Control (AB210113)

Immunohistochemical analysis of paraffin-embedded Zebrafish tissue labeling GAPDH with ab210113 at 1/300 dilution.

Western blot - Anti-GAPDH antibody - Loading Control (AB210113)
  • WB

Supplier Data

Western blot - Anti-GAPDH antibody - Loading Control (AB210113)

Samples were separated by 10 % SDS.

All lanes:

Whole zebrafish extract at 30 µg

Secondary

All lanes:

HRP-conjugated anti-rabbit IgG antibody

Predicted band size: 36 kDa

false

Western blot - Anti-GAPDH antibody - Loading Control (AB210113)
  • WB

Supplier Data

Western blot - Anti-GAPDH antibody - Loading Control (AB210113)

Samples were separated by 10 % SDS.

All lanes:

Drosophila extract at 30 µg

Secondary

All lanes:

HRP-conjugated anti-rabbit IgG antibody

Predicted band size: 36 kDa

false

Western blot - Anti-GAPDH antibody - Loading Control (AB210113)
  • WB

Supplier Data

Western blot - Anti-GAPDH antibody - Loading Control (AB210113)

Samples were separated by 10 % SDS.

All lanes:

E. coli M15 Whole cell extract at 30 µg

Secondary

All lanes:

HRP-conjugated anti-rabbit IgG antibody

Predicted band size: 36 kDa

false

Western blot - Anti-GAPDH antibody - Loading Control (AB210113)
  • WB

Supplier Data

Western blot - Anti-GAPDH antibody - Loading Control (AB210113)

Samples were separated by 10 % SDS.

Lane 1:

MDCK whole cell extracts at 30 µg

Lane 2:

PG-4 whole cell extracts at 30 µg

Secondary

All lanes:

HRP-conjugated anti-rabbit IgG antibody

Predicted band size: 36 kDa

false

关键信息

宿主种属

Rabbit

克隆

Polyclonal

亚型

IgG

不含载体蛋白

No

反应种属

Mouse, Rat, Cat, Dog, Human, Zebrafish, Escherichia coli, Drosophila melanogaster

应用

WB, ICC/IF, IHC-P

applications

免疫原

Synthetic Peptide within Zebrafish gapdh aa 100-200. The exact immunogen used to generate this antibody is proprietary information.

Q5XJ10

反应性数据

{ "title": "Reactivity Data", "filters": { "stats": ["", "Species", "Dilution Info", "Notes"], "tabs": { "all-applications": {"fullname" : "All Applications", "shortname": "All Applications"}, "ICCIF" : {"fullname" : "Immunocytochemistry/ Immunofluorescence", "shortname":"ICC/IF"}, "IHCP" : {"fullname" : "Immunohistochemistry (Formalin/PFA-fixed paraffin-embedded sections)", "shortname":"IHC-P"}, "WB" : {"fullname" : "Western blot", "shortname":"WB"} }, "product-promise": { "all": "all", "testedAndGuaranteed": "tested", "guaranteed": "expected", "predicted": "predicted", "notRecommended": "not-recommended" } }, "values": { "Human": { "ICCIF-species-checked": "testedAndGuaranteed", "ICCIF-species-dilution-info": "", "ICCIF-species-notes": "<p></p>", "IHCP-species-checked": "guaranteed", "IHCP-species-dilution-info": "", "IHCP-species-notes": "", "WB-species-checked": "testedAndGuaranteed", "WB-species-dilution-info": "1/500 - 1/3000", "WB-species-notes": "<p></p>" }, "Mouse": { "ICCIF-species-checked": "guaranteed", "ICCIF-species-dilution-info": "", "ICCIF-species-notes": "", "IHCP-species-checked": "testedAndGuaranteed", "IHCP-species-dilution-info": "1/100 - 1/1000", "IHCP-species-notes": "<p>suggested antigen retrieval using heat mediated 10mM Citrate buffer (pH6.0) or Tris-EDTA buffer (pH8.0).</p> Perform heat-mediated antigen retrieval before commencing with IHC staining protocol.", "WB-species-checked": "testedAndGuaranteed", "WB-species-dilution-info": "1/500 - 1/3000", "WB-species-notes": "<p></p>" }, "Rat": { "ICCIF-species-checked": "guaranteed", "ICCIF-species-dilution-info": "", "ICCIF-species-notes": "", "IHCP-species-checked": "guaranteed", "IHCP-species-dilution-info": "", "IHCP-species-notes": "", "WB-species-checked": "testedAndGuaranteed", "WB-species-dilution-info": "1/500 - 1/3000", "WB-species-notes": "<p></p>" }, "Cat": { "ICCIF-species-checked": "guaranteed", "ICCIF-species-dilution-info": "", "ICCIF-species-notes": "", "IHCP-species-checked": "guaranteed", "IHCP-species-dilution-info": "", "IHCP-species-notes": "", "WB-species-checked": "testedAndGuaranteed", "WB-species-dilution-info": "1/500 - 1/3000", "WB-species-notes": "<p></p>" }, "Chicken": { "ICCIF-species-checked": "predicted", "ICCIF-species-dilution-info": "", "ICCIF-species-notes": "", "IHCP-species-checked": "predicted", "IHCP-species-dilution-info": "", "IHCP-species-notes": "", "WB-species-checked": "predicted", "WB-species-dilution-info": "", "WB-species-notes": "" }, "Dog": { "ICCIF-species-checked": "guaranteed", "ICCIF-species-dilution-info": "", "ICCIF-species-notes": "", "IHCP-species-checked": "guaranteed", "IHCP-species-dilution-info": "", "IHCP-species-notes": "", "WB-species-checked": "testedAndGuaranteed", "WB-species-dilution-info": "1/500 - 1/3000", "WB-species-notes": "<p></p>" }, "Drosophila melanogaster": { "ICCIF-species-checked": "guaranteed", "ICCIF-species-dilution-info": "", "ICCIF-species-notes": "", "IHCP-species-checked": "guaranteed", "IHCP-species-dilution-info": "", "IHCP-species-notes": "", "WB-species-checked": "testedAndGuaranteed", "WB-species-dilution-info": "1/500 - 1/3000", "WB-species-notes": "<p></p>" }, "Escherichia coli": { "ICCIF-species-checked": "guaranteed", "ICCIF-species-dilution-info": "", "ICCIF-species-notes": "", "IHCP-species-checked": "guaranteed", "IHCP-species-dilution-info": "", "IHCP-species-notes": "", "WB-species-checked": "testedAndGuaranteed", "WB-species-dilution-info": "1/500 - 1/3000", "WB-species-notes": "<p></p>" }, "Guinea pig": { "ICCIF-species-checked": "predicted", "ICCIF-species-dilution-info": "", "ICCIF-species-notes": "", "IHCP-species-checked": "predicted", "IHCP-species-dilution-info": "", "IHCP-species-notes": "", "WB-species-checked": "predicted", "WB-species-dilution-info": "", "WB-species-notes": "" }, "Pig": { "ICCIF-species-checked": "predicted", "ICCIF-species-dilution-info": "", "ICCIF-species-notes": "", "IHCP-species-checked": "predicted", "IHCP-species-dilution-info": "", "IHCP-species-notes": "", "WB-species-checked": "predicted", "WB-species-dilution-info": "", "WB-species-notes": "" }, "Rabbit": { "ICCIF-species-checked": "predicted", "ICCIF-species-dilution-info": "", "ICCIF-species-notes": "", "IHCP-species-checked": "predicted", "IHCP-species-dilution-info": "", "IHCP-species-notes": "", "WB-species-checked": "predicted", "WB-species-dilution-info": "", "WB-species-notes": "" }, "Rhesus monkey": { "ICCIF-species-checked": "predicted", "ICCIF-species-dilution-info": "", "ICCIF-species-notes": "", "IHCP-species-checked": "predicted", "IHCP-species-dilution-info": "", "IHCP-species-notes": "", "WB-species-checked": "predicted", "WB-species-dilution-info": "", "WB-species-notes": "" }, "Xenopus laevis": { "ICCIF-species-checked": "predicted", "ICCIF-species-dilution-info": "", "ICCIF-species-notes": "", "IHCP-species-checked": "predicted", "IHCP-species-dilution-info": "", "IHCP-species-notes": "", "WB-species-checked": "predicted", "WB-species-dilution-info": "", "WB-species-notes": "" }, "Xenopus tropicalis": { "ICCIF-species-checked": "predicted", "ICCIF-species-dilution-info": "", "ICCIF-species-notes": "", "IHCP-species-checked": "predicted", "IHCP-species-dilution-info": "", "IHCP-species-notes": "", "WB-species-checked": "predicted", "WB-species-dilution-info": "", "WB-species-notes": "" }, "Zebrafish": { "ICCIF-species-checked": "guaranteed", "ICCIF-species-dilution-info": "", "ICCIF-species-notes": "", "IHCP-species-checked": "testedAndGuaranteed", "IHCP-species-dilution-info": "1/100 - 1/1000", "IHCP-species-notes": "<p>suggested antigen retrieval using heat mediated 10mM Citrate buffer (pH6.0) or Tris-EDTA buffer (pH8.0).</p> Perform heat-mediated antigen retrieval before commencing with IHC staining protocol.", "WB-species-checked": "testedAndGuaranteed", "WB-species-dilution-info": "1/500 - 1/3000", "WB-species-notes": "<p></p>" } } }

您是否考虑以下替代产品?

AB199554

Anti-GAPDH antibody [EPR16884] - BSA and Azide free

0
0 Reviews
查看产品
为什么推荐这个?

为向您提供最高品质的产品,我们在不断升级产品范围。我们选择了这个替代产品供您参考,因为它提供了更好的性能,更容易和更方便的使用,或交期更快。

性能和储存信息

形式
Liquid
纯化工艺
Affinity purification Immunogen
存储溶液
pH: 7 Preservative: 0.01% Thimerosal (merthiolate) Constituents: 79.99% PBS, 20% Glycerol (glycerin, glycerine)
运输条件
Blue Ice
推荐的短期储存时间
1-2 weeks
推荐的短期储存条件
+4°C
推荐的长期储存条件
-20°C
分装信息
Upon delivery aliquot
储存信息
Store in the dark

补充信息

This supplementary information is collated from multiple sources and compiled automatically.

Glyceraldehyde-3-phosphate dehydrogenase commonly known as GAPDH is an enzyme involved in glycolysis. Its molecular weight (MW) is approximately 36 kDa. The protein is expressed ubiquitously in almost all tissues reflecting its essential role in energy production. GAPDH catalyzes the sixth step of glycolysis converting glyceraldehyde-3-phosphate into 13-bisphosphoglycerate. Due to its stable expression researchers often use GAPDH as a loading control in western blot experiments.
Biological function summary

GAPDH serves important metabolic functions beyond its enzymatic role in glycolysis. It functions as part of a multi-enzyme complex within the cytoplasm which facilitates efficient substrate channeling during glycolysis. Additionally GAPDH has non-glycolytic roles including involvement in nuclear processes like RNA export and DNA repair. Its ubiquitous presence across different cellular compartments indicates its multiple functions beyond metabolic pathways.

Pathways

GAPDH integrates into significant cellular functions like the glycolytic pathway and apoptotic pathways. In glycolysis GAPDH collaborates with enzymes like phosphoglycerate kinase forming a cohesive link in the energy conversion chain. Its participation in apoptotic pathways highlights GAPDH's involvement in cellular death processes interacting with proteins like Bcl-2 to influence apoptosis progression. These roles reinforce its presence in central metabolic and regulatory pathways.

GAPDH has associations with neurodegenerative diseases and cancer. In neurodegenerative disorders such as Alzheimer's disease GAPDH’s altered enzymatic activity is frequently observed influencing cellular energy homeostasis. Moreover overexpression or aberrant regulation of GAPDH relates to cancer cell proliferation and metastasis implicating proteins like p53 in these pathways. The diverse functions and interactions of GAPDH emphasize its importance in both normal cellular function and disease states.

产品实验方案

For this product, it's our understanding that no specific protocols are required. You can visit:

靶点信息

Has both glyceraldehyde-3-phosphate dehydrogenase and nitrosylase activities, thereby playing a role in glycolysis and nuclear functions, respectively. Glyceraldehyde-3-phosphate dehydrogenase is a key enzyme in glycolysis that catalyzes the first step of the pathway by converting D-glyceraldehyde 3-phosphate (G3P) into 3-phospho-D-glyceroyl phosphate (By similarity). Participates in nuclear events including transcription, RNA transport, DNA replication and apoptosis. Nuclear functions are probably due to the nitrosylase activity that mediates cysteine S-nitrosylation of nuclear target proteins such as SIRT1, HDAC2 and PRKDC (By similarity).
See full target information gapdh

文献 (3)

Recent publications for all applications. Explore the full list and refine your search

Nature communications 15:3684 PubMed38693181

2024

Development of Aptamer-DNAzyme based metal-nucleic acid frameworks for gastric cancer therapy.

Applications

Unspecified application

Species

Unspecified reactive species

Jiaqi Yan,Rajendra Bhadane,Meixin Ran,Xiaodong Ma,Yuanqiang Li,Dongdong Zheng,Outi M H Salo-Ahen,Hongbo Zhang

Biomedicines 10: PubMed35052712

2021

Prophylactic Activation of Shh Signaling Attenuates TBI-Induced Seizures in Zebrafish by Modulating Glutamate Excitotoxicity through Eaat2a.

Applications

Unspecified application

Species

Unspecified reactive species

James Hentig,Leah J Campbell,Kaylee Cloghessy,Mijoon Lee,William Boggess,David R Hyde

The Journal of neuroscience : the official journal 40:3631-3645 PubMed32245827

2020

A Model to Study NMDA Receptors in Early Nervous System Development.

Applications

Unspecified application

Species

Unspecified reactive species

Josiah D Zoodsma,Kelvin Chan,Ashwin A Bhandiwad,David R Golann,Guangmei Liu,Shoaib A Syed,Amalia J Napoli,Harold A Burgess,Howard I Sirotkin,Lonnie P Wollmuth
View all publications

Abcam Product Promise

我们致力于为您的研究提供高质量的试剂,为您科研的每一步提供支持。若我们的产品未能达到预期性能,我们向您提供 Abcam Product Promise 保障。
详情请参阅我们的条款与条件。

关联产品

Select an associated product type
Alternative Product
Primary Antibodies

AB185059

HRP Anti-GAPDH antibody [EPR6256] - Loading Control

primary-antibodies

hrp-gapdh-antibody-epr6256-loading-control-ab185059

5

(2 reviews)

Alternative Product
Primary Antibodies

AB128915

Anti-GAPDH antibody [EPR6256] - Loading Control

primary-antibodies

gapdh-antibody-epr6256-loading-control-ab128915

5

(11 reviews)

Alternative Product
Primary Antibodies

AB181603

Anti-GAPDH antibody [EPR16884] - Loading Control

primary-antibodies

gapdh-antibody-epr16884-loading-control-ab181603

5

(6 reviews)

Alternative Product
Primary Antibodies

AB181602

Anti-GAPDH antibody [EPR16891] - Loading Control

primary-antibodies

gapdh-antibody-epr16891-loading-control-ab181602

5

(23 reviews)

Alternative Product
Primary Antibodies

AB206629

Alexa Fluor® 555 Anti-GAPDH antibody [EPR16884]

primary-antibodies

alexa-fluor-555-gapdh-antibody-epr16884-ab206629

0

(0 reviews)

Alternative Product
Primary Antibodies

AB201822

HRP Anti-GAPDH antibody [EPR16891] - Loading Control

primary-antibodies

hrp-gapdh-antibody-epr16891-loading-control-ab201822

0

(0 reviews)

Please note: All products are 'FOR RESEARCH USE ONLY. NOT FOR USE IN DIAGNOSTIC OR THERAPEUTIC PROCEDURES'.

For licensing inquiries, please contact partnerships@abcam.com