JavaScript is disabled in your browser. Please enable JavaScript to view this website.
AB181602

Anti-GAPDH 抗体 [EPR16891] - Loading Control

Anti-GAPDH antibody [EPR16891] - Loading Control

5

(23 Reviews)

|

(2473 Publications)

Anti-GAPDH antibody [EPR16891] - Loading Control (ab181602) is a rabbit monoclonal antibody detecting GAPDH in Western Blot, Flow Cytometry, IP, IHC-P, ICC/IF. Suitable for African green monkey, Chicken, Human, Mouse, Rat, Xenopus tropicalis, Zebrafish.

- Biophysical QC for unrivalled batch-batch consistency
- Over 2470 publications

查看别名

GAPD, CDABP0047, OK/SW-cl.12, GAPDH, Glyceraldehyde-3-phosphate dehydrogenase, Peptidyl-cysteine S-nitrosylase GAPDH

41 Images
Immunohistochemistry (Formalin/PFA-fixed paraffin-embedded sections) - Anti-GAPDH antibody [EPR16891] - Loading Control (AB181602)
  • IHC-P

Supplier Data

Immunohistochemistry (Formalin/PFA-fixed paraffin-embedded sections) - Anti-GAPDH antibody [EPR16891] - Loading Control (AB181602)

Immunohistochemical analysis of paraffin-embedded rat spleen tissue labeling GAPDH with ab181602 at 1/2000 dilution, followed by prediluted HRP Polymer for Rabbit/Mouse IgG. Nucleus and cytoplasmic staining on lymphocyte of rat spleen is observed. Counter stained with Hematoxylin.

Negative control : Using PBS instead of primary ab, secondary ab is prediluted HRP Polymer for Rabbit/Mouse IgG.

Perform heat mediated antigen retrieval with Tris/EDTA buffer pH 9.0 before commencing with IHC staining protocol.

Immunoprecipitation - Anti-GAPDH antibody [EPR16891] - Loading Control (AB181602)
  • IP

Lab

Immunoprecipitation - Anti-GAPDH antibody [EPR16891] - Loading Control (AB181602)

STT3A was immunoprecipitated from 0.35 mg HEK-293T (human embryonic kidney epithelial cell) whole cell lysate with ab320831 at 1/30 dilution (2ug in 0.35mg lysates). Western blot was performed on the immunoprecipitate using ab320831 at 1/1000 dilution. VeriBlot for IP secondary antibody(HRP)(ab131366) was used at 1/5000 dilution.

Blocking and diluting buffer and concentration : 5% NFDM/TBST.

In Immunoprecipitation, ab320831 was shown to bind specifically to STT3A. Target of interest was enriched at 60 kDa in wild-type HEK-293T cell lysates (lane 2) with no signal observed at this size in STT3A knockout cell line (lane 5) (lane 5, knockout cell line ab266320 / knockout cell lysate ab259164).
The bands above 60kDa are likely to be aggregation, and are absent in the KO samples. Unlike the Western Blot data, these samples have been boiled. ab181602 was used as a GAPDH loading control.

All lanes:

Immunoprecipitation - Anti-STT3A antibody [EPR29178-10] (<a href='/products/primary-antibodies/stt3a-antibody-epr29178-10-ab320831'>ab320831</a>) at 1/1000 dilution

Lane 1:

Parental HEK-293T (human embryonic kidney epithelial cell) whole cell lysate at 10 µg

Lane 2:

Parental HEK-293T (human embryonic kidney epithelial cell) whole cell lysate

Lane 3:

Rabbit monoclonal IgG (<a href='/products/primary-antibodies/rabbit-igg-monoclonal-epr25a-isotype-control-ab172730'>ab172730</a>) instead of <a href='/products/primary-antibodies/stt3a-antibody-epr29178-10-ab320831'>ab320831</a> in Parental HEK-293T whole cell lysate

Lane 4:

STT3A KO HEK-293T (human embryonic kidney epithelial cell) whole cell lysate at 10 µg

Lane 5:

Immunoprecipitation - Human STT3A knockout HEK-293T cell line (<a href='/products/cell-lines/human-stt3a-knockout-hek-293t-cell-line-ab266320'>ab266320</a>)

Lane 6:

Rabbit monoclonal IgG (<a href='/products/primary-antibodies/rabbit-igg-monoclonal-epr25a-isotype-control-ab172730'>ab172730</a>) instead of <a href='/products/primary-antibodies/stt3a-antibody-epr29178-10-ab320831'>ab320831</a> in STT3A KO HEK-293T whole cell lysate

Secondary

All lanes:

Immunoprecipitation - VeriBlot for IP Detection Reagent (HRP) (<a href='/products/reagents/veriblot-for-ip-detection-reagent-hrp-ab131366'>ab131366</a>) at 1/5000 dilution

Observed band size: 60 kDa

false

Exposure time: 84s

Immunoprecipitation - Anti-GAPDH antibody [EPR16891] - Loading Control (AB181602)
  • IP

Supplier Data

Immunoprecipitation - Anti-GAPDH antibody [EPR16891] - Loading Control (AB181602)

Dnmt3a was immunoprecipitated from 0.35 mg Wild-type HeLa (human cervical adenocarcinoma epithelial cell) whole cell lysate with ab323708 at 1/30 dilution (2ug in 0.35mg lysates). Western blot was performed on the immunoprecipitate using ab323708 at 1000 dilution.

Blocking and dilution buffer and concentration : 5% NFDM/TBST

All lanes:

Immunoprecipitation - Anti-Dnmt3a antibody [EPR29184-89] (<a href='/products/primary-antibodies/dnmt3a-antibody-epr29184-89-ab323708'>ab323708</a>) at 1/1000 dilution

Lane 1:

(Input) Wild-type HeLa (human cervical adenocarcinoma epithelial cell) whole cell lysate at 10 µg

Lane 2:

<a href='/products/primary-antibodies/dnmt3a-antibody-epr29184-89-ab323708'>ab323708</a> at 1/30 IP in Wild-type HeLa (human cervical adenocarcinoma epithelial cell) whole cell lysate at 10 µg

Lane 3:

Rabbit monoclonal IgG (<a href='/products/primary-antibodies/rabbit-igg-monoclonal-epr25a-isotype-control-ab172730'>ab172730</a>) instead of <a href='/products/primary-antibodies/dnmt3a-antibody-epr29184-89-ab323708'>ab323708</a> in parental HeLa whole cell lysate at 10 µg

Lane 4:

(Input) DNMT3A knockout HeLa whole cell lysate at 10 µg

Lane 5:

<a href='/products/primary-antibodies/dnmt3a-antibody-epr29184-89-ab323708'>ab323708</a> at 1/30 IP in DNMT3A knockout HeLa whole cell lysate at 10 µg

Lane 6:

Rabbit monoclonal IgG (<a href='/products/primary-antibodies/rabbit-igg-monoclonal-epr25a-isotype-control-ab172730'>ab172730</a>) instead of <a href='/products/primary-antibodies/dnmt3a-antibody-epr29184-89-ab323708'>ab323708</a> in DNMT3A knockout HeLa whole cell lysate at 10 µg

Secondary

All lanes:

Immunoprecipitation - VeriBlot for IP Detection Reagent (HRP) (<a href='/products/reagents/veriblot-for-ip-detection-reagent-hrp-ab131366'>ab131366</a>) at 1/5000 dilution

Observed band size: 130 kDa,36 kDa

false

Exposure time: 24s

Western blot - Anti-GAPDH antibody [EPR16891] - Loading Control (AB181602)
  • WB

Supplier Data

Western blot - Anti-GAPDH antibody [EPR16891] - Loading Control (AB181602)

Blocking and diluting buffer and concentration : 5% NFDM/TBST.

Negative control : skeletal muscle, uterus (PMID : 12242034, PMID : 11932210, PMID : 9070865).

The expression profile/ molecular weight observed is consistent with what has been described in the literature (PMID : 35999217, PMID : 35896531).

In Western blot, Anti-GAPDH antibody [EPR16891] - Loading Control (ab181602) staining at 1/200000 dilution.

All lanes:

Western blot - Anti-Inhibin beta E chain antibody [EPR29191-125] (<a href='/products/primary-antibodies/inhibin-beta-e-chain-antibody-epr29191-125-ab322202'>ab322202</a>) at 1/1000 dilution

Lane 1:

Human liver tissue lysate at 20 µg

Lane 2:

Human skeletal muscle tissue lysate at 20 µg

Lane 3:

Human uterus tissue lysate at 20 µg

Secondary

All lanes:

Goat Anti-Rabbit IgG (HRP) with minimal cross-reactivity with human IgG at 1/2000 dilution

Observed band size: 48 kDa,36 kDa

false

Exposure time: 180s

Western blot - Anti-GAPDH antibody [EPR16891] - Loading Control (AB181602)
  • WB

Supplier Data

Western blot - Anti-GAPDH antibody [EPR16891] - Loading Control (AB181602)

Blocking and diluting buffer and concentration : 5% NFDM/TBST.

Low expression : HL-60.

The identity of the bands lower than 75 kDa are unknown.

In Western blot, Anti-GAPDH antibody [EPR16891] - Loading Control (ab181602) staining at 1/200000 dilution.

All lanes:

Western blot - Anti-TBX3 antibody [EPR28578-38] (<a href='/products/primary-antibodies/tbx3-antibody-epr28578-38-ab322199'>ab322199</a>) at 1/1000 dilution

Lane 1:

293T (human embryonic kidney epithelial cell) whole cell lysate at 20 µg

Lane 2:

HL-60 (human acute promyelocytic leukemia promyeloblast) whole cell lysate at 20 µg

Secondary

All lanes:

Western blot - Goat Anti-Rabbit IgG H&L (HRP) (<a href='/products/secondary-antibodies/goat-rabbit-igg-h-l-hrp-ab97051'>ab97051</a>) at 1/20000 dilution

Observed band size: 79 kDa,36 kDa

false

Exposure time: 70s

Western blot - Anti-GAPDH antibody [EPR16891] - Loading Control (AB181602)
  • WB

Supplier Data

Western blot - Anti-GAPDH antibody [EPR16891] - Loading Control (AB181602)

Blocking and diluting buffer and concentration : 5% NFDM/TBST.

Low expression : spleen.

Lanes 1-2 are applied with Goat Anti-Rabbit IgG (HRP) with minimal cross-reactivity with human IgG at 1/2000 and lanes 3-5 are applied with Goat Anti-Rabbit IgG, (H+L), Peroxidase conjugated (ab97051) at 1/20000.

In Western blot, Anti-GAPDH antibody [EPR16891] - Loading Control (ab181602) staining at 1/200000 dilution.

All lanes:

Western blot - Anti-GPAM antibody [EPR29023-506] (<a href='/products/primary-antibodies/gpam-antibody-epr29023-506-ab322201'>ab322201</a>) at 1/1000 dilution

Lane 1:

Human fat tissue lysate at 20 µg

Lane 2:

Human spleen tissue lysate at 20 µg

Lane 3:

Mouse liver tissue lysate at 20 µg

Lane 4:

Mouse testis tissue lysate at 20 µg

Lane 5:

Mouse spleen tissue lysate at 20 µg

Secondary

Lanes 1 - 2:

Goat Anti-Rabbit IgG (HRP) with minimal cross-reactivity with human IgG at 1/2000 dilution

Lanes 3 - 5:

Western blot - Goat Anti-Rabbit IgG H&L (HRP) (<a href='/products/secondary-antibodies/goat-rabbit-igg-h-l-hrp-ab97051'>ab97051</a>) at 1/20000 dilution

Observed band size: 93 kDa,36 kDa

false

Exposure time: 15s

Western blot - Anti-GAPDH antibody [EPR16891] - Loading Control (AB181602)
  • WB

Supplier Data

Western blot - Anti-GAPDH antibody [EPR16891] - Loading Control (AB181602)

Blocking and diluting buffer and concentration : 5% NFDM/TBST.

Low expression : Jurkat(PMID : 27040637), liver, brain

The expression profile/ molecular weight observed is consistent with what has been described in the literature (PMID : 10207087).

In Western blot, Anti-GAPDH antibody [EPR16891] - Loading Control (ab181602) staining at 1/200000 dilution.

All lanes:

Western blot - Anti-Elf4/MEF antibody [EPR28387-43] (<a href='/products/primary-antibodies/elf4-mef-antibody-epr28387-43-ab322198'>ab322198</a>) at 1/1000 dilution

Lane 1:

SK-OV-3 (human ovarian cancer epithelial cell) whole lysate at 20 µg

Lane 2:

A431 (human epidermoid carcinoma epithelial cell) whole lysate at 20 µg

Lane 3:

Jurkat (human T cell leukemia T lymphocyte from peripheral blood) whole lysate at 20 µg

Lane 4:

Human placenta tissue lysate at 20 µg

Lane 5:

Human brain tissue lysate at 20 µg

Lane 6:

Human liver tissue lysate at 20 µg

Secondary

All lanes:

Goat Anti-Rabbit IgG (HRP) with minimal cross-reactivity with human IgG at 1/2000 dilution

Observed band size: 70 kDa,100 kDa,36 kDa

false

Exposure time: 37s

Western blot - Anti-GAPDH antibody [EPR16891] - Loading Control (AB181602)
  • WB

Supplier Data

Western blot - Anti-GAPDH antibody [EPR16891] - Loading Control (AB181602)

Blocking and diluting buffer and concentration : 5% NFDM/TBST.

Negative control : Jurkat (PMID : 15163701), Raji, Ramos (PMID : 11591117).

In Western blot, Anti-GAPDH antibody [EPR16891] - Loading Control (ab181602) staining at 1/200000 dilution.

All lanes:

Western blot - Anti-IL-13 receptor alpha 1 antibody [EPR28795-26] (<a href='/products/primary-antibodies/il-13-receptor-alpha-1-antibody-epr28795-26-ab322049'>ab322049</a>) at 1/1000 dilution

Lane 1:

PANC-1 (human pancreatic epithelioid carcinoma epithelial cell) whole cell lysate at 30 µg

Lane 2:

Jurkat (human t cell leukemia t lymphocyte from peripheral blood) whole cell lysate at 30 µg

Lane 3:

Raji (human burkitt's lymphoma b lymphocyte) whole cell lysate at 30 µg

Lane 4:

Ramos (human burkitt's lymphoma b lymphocyte) whole cell lysate at 30 µg

Secondary

All lanes:

Western blot - Goat Anti-Rabbit IgG H&L (HRP) (<a href='/products/secondary-antibodies/goat-rabbit-igg-h-l-hrp-ab97051'>ab97051</a>) at 1/20000 dilution

Observed band size: 70 kDa,36 kDa

false

Exposure time: 114s

Western blot - Anti-GAPDH antibody [EPR16891] - Loading Control (AB181602)
  • WB

Supplier Data

Western blot - Anti-GAPDH antibody [EPR16891] - Loading Control (AB181602)

Blocking and diluting buffer and concentration : 5% NFDM/TBST.

Low expression : MCF7, T-47D

The expression profile/ molecular weight observed is consistent with what has been described in the literature (PMID : 18794142).

This blot was developed using a high-sensitivity ECL substrate, allowing for the detection of proteins in the mid-femtogram range.

In Western blot, Anti-GAPDH antibody [EPR16891] - Loading Control (ab181602) staining at 1/200000 dilution.

All lanes:

Western blot - Anti-ER81/ETV1 antibody [DZR-1-29] (<a href='/products/primary-antibodies/er81-etv1-antibody-dzr-1-29-ab322139'>ab322139</a>) at 1/1000 dilution

Lane 1:

U-87 MG (human glioblastoma-astrocytoma epithelial cell) whole cell lysate at 20 µg

Lane 2:

PC-3 (human prostate adenocarcinoma epithelial cell) whole cell lysate at 20 µg

Lane 3:

MCF7 (human breast adenocarcinoma epithelial cell) whole cell lysate at 20 µg

Lane 4:

T-47D (human ductal breast epithelial tumor epithelial cell) whole cell lysate at 20 µg

Secondary

All lanes:

Western blot - Goat Anti-Rabbit IgG H&L (HRP) (<a href='/products/secondary-antibodies/goat-rabbit-igg-h-l-hrp-ab97051'>ab97051</a>) at 1/100000 dilution

Observed band size: 33-55 kDa,36 kDa

true

Exposure time: 125s

Western blot - Anti-GAPDH antibody [EPR16891] - Loading Control (AB181602)
  • WB

Supplier Data

Western blot - Anti-GAPDH antibody [EPR16891] - Loading Control (AB181602)

Blocking and diluting buffer and concentration : 5% NFDM/TBST.

Negative control : kidney, spleen (PMID : 24386422; PMID : 24309898).

In Western blot, Anti-GAPDH antibody [EPR16891] - Loading Control (ab181602) staining at 1/200000 dilution.

Exposure time : Lane 1 : 180 seconds; Lanes 2-4 : 26 seconds.

Actual observed bands 35-70kDa.

All lanes:

Western blot - Anti-Tau (phospho T50) antibody [EPR29148-44] (<a href='/products/primary-antibodies/tau-phospho-t50-antibody-epr29148-44-ab322143'>ab322143</a>) at 1/1000 dilution

Lane 1:

Human brainstem tissue lysate at 20 µg

Lane 2:

Human brain tissue lysate at 20 µg

Lane 3:

Human kidney tissue lysate at 20 µg

Lane 4:

Human spleen tissue lysate at 20 µg

Secondary

All lanes:

Goat Anti-Rabbit IgG (HRP) with minimal cross-reactivity with human IgG at 1/2000 dilution

Observed band size: 35-70 kDa,36 kDa

false

Western blot - Anti-GAPDH antibody [EPR16891] - Loading Control (AB181602)
  • WB

Supplier Data

Western blot - Anti-GAPDH antibody [EPR16891] - Loading Control (AB181602)

Blocking and diluting buffer and concentration : 5% NFDM/TBST.

Low expression : lymph node, bone marrow

Prolargin is a glycoprotein of approximately 77 kDa and detected as a 43 kDa band after treated with Protein Deglycosylation MIX II.

In Western blot, Anti-GAPDH antibody [EPR16891] - Loading Control (ab181602) staining at 1/200000 dilution.

All lanes:

Western blot - Anti-PRELP antibody [EPR29393-568] (ab322144) at 1/1000 dilution

Lane 1:

Untreated human lung tissue lysate at 20 µg

Lane 2:

Human lung tissue lysate treated with Protein Deglycosylation Mix II at 20 µg

Lane 3:

Human lung tissue lysate at 20 µg

Lane 4:

Human lymph node tissue lysate at 20 µg

Lane 5:

Human bone marrow tissue lysate at 20 µg

Secondary

All lanes:

Western blot - Goat Anti-Rabbit IgG H&L (HRP) (<a href='/products/secondary-antibodies/goat-rabbit-igg-h-l-hrp-ab97051'>ab97051</a>) at 1/100000 dilution

Observed band size: 43 kDa,77 kDa,36 kDa

false

Exposure time: 10s

Western blot - Anti-GAPDH antibody [EPR16891] - Loading Control (AB181602)
  • WB

Supplier Data

Western blot - Anti-GAPDH antibody [EPR16891] - Loading Control (AB181602)

Blocking and diluting buffer and concentration : 5% NFDM/TBST.

The identity of the lower MW band at approximately 60 kDa is unknown.

To minimize protein degradation, cells were lysed immediately after harvest and then applied to a gel and transfer membrane for Western blotting as soon as possible.

In Western blot, Anti-GAPDH antibody [EPR16891] - Loading Control (ab181602) staining at 1/200000 dilution.

All lanes:

Western blot - Anti-TBX3 antibody [EPR28578-38] (<a href='/products/primary-antibodies/tbx3-antibody-epr28578-38-ab322199'>ab322199</a>) at 1/1000 dilution

Lane 1:

Wild-type HAP1 (human chronic myelogenous leukemia near-haploid cell) whole cell lysate at 20 µg

Lane 2:

TBX3 knockout HAP1 whole cell lysate at 20 µg

Secondary

All lanes:

Western blot - Goat Anti-Rabbit IgG H&L (HRP) (<a href='/products/secondary-antibodies/goat-rabbit-igg-h-l-hrp-ab97051'>ab97051</a>) at 1/20000 dilution

Observed band size: 79 kDa,36 kDa

false

Exposure time: 103s

Western blot - Anti-GAPDH antibody [EPR16891] - Loading Control (AB181602)
  • WB

Supplier Data

Western blot - Anti-GAPDH antibody [EPR16891] - Loading Control (AB181602)

Blocking and diluting buffer and concentration : 5% NFDM/TBST.

Performed under reducing conditions.

In Western blot, ab325016 was shown to bind specifically to PFKP. Target of interest was observed at 85 kDa in wild-type HeLa cell lysates (lane 1) with no signal observed at this size in PFKP knockout cell line (lane 2) (lane 2, knockout cell line ab265136/ knockout cell lysate ab257580).

In Western blot, Anti-GAPDH antibody [EPR16891] - Loading Control (ab181602) staining at 1/200000 dilution.

All lanes:

Western blot - Anti-PFKP antibody [EPR28830-157] (ab325016) at 1/1000 dilution

Lane 1:

Wild type HeLa (human cervical adenocarcinoma epithelial cell) whole cell lysate at 20 µg

Lane 2:

PFKP knockout HeLa whole cell lysate at 20 µg

Secondary

All lanes:

Western blot - Goat Anti-Rabbit IgG H&L (HRP) (<a href='/products/secondary-antibodies/goat-rabbit-igg-h-l-hrp-ab97051'>ab97051</a>) at 1/20000 dilution

Observed band size: 85 kDa,36 kDa

false

Exposure time: 180s

Western blot - Anti-GAPDH antibody [EPR16891] - Loading Control (AB181602)
  • WB

Supplier Data

Western blot - Anti-GAPDH antibody [EPR16891] - Loading Control (AB181602)

Blocking and diluting buffer and concentration : 5% NFDM/TBST.

To minimize protein degradation, cells were lysed immediately after harvest and then applied to a gel and transfer membrane for Western blotting as soon as possible.

The identity of the bands lower than 25 kDa are unknown.

In Western blot, Anti-GAPDH antibody [EPR16891] - Loading Control (ab181602) staining at 1/200000 dilution.

All lanes:

Western blot - Anti-PALB2 antibody [EPR26990-22] (ab325017) at 1/1000 dilution

Lane 1:

HeLa (human cervical adenocarcinoma epithelial cell) whole cell lysate at 20 µg

Lane 2:

293T (human embryonic kidney epithelial cell) whole cell lysate at 20 µg

Lane 3:

U-87 MG (human glioblastoma-astrocytoma epithelial cell) whole cell lysate at 20 µg

Lane 4:

SH-SY5Y (human neuroblastoma epithelial cell) whole cell lysate at 20 µg

Secondary

All lanes:

Western blot - Goat Anti-Rabbit IgG H&L (HRP) (<a href='/products/secondary-antibodies/goat-rabbit-igg-h-l-hrp-ab97051'>ab97051</a>) at 1/20000 dilution

Observed band size: 131 kDa,36 kDa

false

Exposure time: 180s

Western blot - Anti-GAPDH antibody [EPR16891] - Loading Control (AB181602)
  • WB

Supplier Data

Western blot - Anti-GAPDH antibody [EPR16891] - Loading Control (AB181602)

Blocking and diluting buffer and concentration : 5% NFDM/TBST.

Low expression : liver, lung (PMID : 23026755).

Lanes 1-4 are applied with Goat Anti-Rabbit IgG (HRP) with minimal cross-reactivity with human IgG at 1/2000 and Lanes 4-9 are applied with Goat Anti-Rabbit IgG, (H+L), Peroxidase conjugated (ab97051) at 1/100000.

The identity of the bands beneath 50 kDa (in lanes 1-2 ) are unknown.

In Western blot, Anti-GAPDH antibody [EPR16891] - Loading Control (ab181602) staining at 1/200000 dilution.

All lanes:

Western blot - Anti-PADI2 / PAD2 antibody [EPR26940-85] (<a href='/products/primary-antibodies/padi2-pad2-antibody-epr26940-85-ab322197'>ab322197</a>) at 1/1000 dilution

Lane 1:

Human hippocampus tissue lysate at 20 µg

Lane 2:

Human cerebellum tissue lysate at 20 µg

Lane 3:

Human liver tissue lysate at 20 µg

Lane 4:

Human lung tissue lysate at 20 µg

Lane 5:

Mouse colon tissue lysate at 20 µg

Lane 6:

Mouse brain tissue lysate at 20 µg

Lane 7:

Mouse liver tissue lysate at 20 µg

Lane 8:

Rat brain tissue lysate at 20 µg

Lane 9:

Rat liver tissue lysate at 20 µg

Secondary

Lanes 1 - 4:

Goat Anti-Rabbit IgG (HRP) with minimal cross-reactivity with human IgG at 1/2000 dilution

Lanes 4 - 9:

Western blot - Goat Anti-Rabbit IgG H&L (HRP) (<a href='/products/secondary-antibodies/goat-rabbit-igg-h-l-hrp-ab97051'>ab97051</a>) at 1/100000 dilution

Observed band size: 76 kDa

false

Exposure time: 6s

Western blot - Anti-GAPDH antibody [EPR16891] - Loading Control (AB181602)
  • WB

Supplier Data

Western blot - Anti-GAPDH antibody [EPR16891] - Loading Control (AB181602)

Blocking and diluting buffer and concentration : 5% NFDM/TBST.

Low expression : spleen, skeletal muscle(PMID : 20442402)

The observed Mw of ~45KDa is higher than the predicted Mw due to glycosylation (PMID : 33070381).

The identity of the lower MW band at approximately 18 kDa (in lane 1) is unknown.

In Western blot, Anti-GAPDH antibody [EPR16891] - Loading Control (ab181602) staining at 1/200000 dilution.

All lanes:

Western blot - Anti-Orosomucoid 1 + Orosomucoid 2 antibody [EPR26603-6] (<a href='/products/primary-antibodies/orosomucoid-1-orosomucoid-2-antibody-epr26603-6-ab322041'>ab322041</a>) at 1/1000 dilution

Lane 1:

Human plasma at 20 µg

Lane 2:

Human spleen tissue lysate at 20 µg

Lane 3:

Human skeletal muscle tissue lysate at 20 µg

Lane 4:

Human testis tissue lysate at 20 µg

Secondary

All lanes:

Goat Anti-Rabbit IgG (HRP) with minimal cross-reactivity with human IgG at 1/2000 dilution

Observed band size: 45 kDa,36 kDa

false

Exposure time: 180s

Western blot - Anti-GAPDH antibody [EPR16891] - Loading Control (AB181602)
  • WB

Supplier Data

Western blot - Anti-GAPDH antibody [EPR16891] - Loading Control (AB181602)

Blocking and diluting buffer and concentration : 5% NFDM/TBST.

Negative control : HEK-293 (PMID : 21072205).

Low expression : cerebellum, skeletal muscle (PMID : 8812439).

The bands beneath the target band (99 kDa) are likely to be degraded target fragments.

In Western blot, Anti-GAPDH antibody [EPR16891] - Loading Control (ab181602) staining at 1/200000 dilution.

All lanes:

Western blot - Anti-Hexokinase Type III/HK3 antibody [EPR29196-29] (<a href='/products/primary-antibodies/hexokinase-type-iii-hk3-antibody-epr29196-29-ab321996'>ab321996</a>) at 1/1000 dilution

Lane 1:

Human lung tissue lysate at 20 µg

Lane 2:

Human cerebellum tissue lysate at 20 µg

Lane 3:

Human skeletal muscle tissue lysate at 20 µg

Lane 4:

THP-1 (human monocytic leukemia monocyte) whole cell lysate at 20 µg

Lane 5:

HEK-293 (human embryonic kidney epithelial cell) whole cell lysate at 20 µg

Lane 6:

Human colon tissue lysate at 20 µg

Secondary

All lanes:

Goat Anti-Rabbit IgG (HRP) with minimal cross-reactivity with human IgG at 1/2000 dilution

Observed band size: 99 kDa,36 kDa

false

Exposure time: 3s

Western blot - Anti-GAPDH antibody [EPR16891] - Loading Control (AB181602)
  • WB

Supplier Data

Western blot - Anti-GAPDH antibody [EPR16891] - Loading Control (AB181602)

Blocking and diluting buffer and concentration : 5% NFDM/TBST.

Low expression : breast, liver, lung.

In Western blot, Anti-GAPDH antibody [EPR16891] - Loading Control (ab181602) staining at 1/200000 dilution.

All lanes:

Western blot - Anti-HERV antibody [EPR29291-23] (ab324913) at 1/1000 dilution

Lane 1:

Human placenta tissue lysate at 20 µg

Lane 2:

Human breast tissue lysate at 20 µg

Lane 3:

Human liver tissue lysate at 20 µg

Lane 4:

Human lung tissue lysate at 20 µg

Secondary

All lanes:

Goat Anti-Rabbit IgG (HRP) with minimal cross-reactivity with human IgG at 1/2000 dilution

Observed band size: 50 kDa,36 kDa

false

Exposure time: 59s

Western blot - Anti-GAPDH antibody [EPR16891] - Loading Control (AB181602)
  • WB

Supplier Data

Western blot - Anti-GAPDH antibody [EPR16891] - Loading Control (AB181602)

Blocking and diluting buffer and concentration : 5% NFDM/TBST.

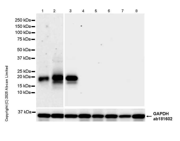
IL-13 receptor alpha 1 is a glycoprotein of approximately 70 kDa and detected as a 49kDa band after treated with Protein Deglycosylation MIX II.

In Western blot, Anti-GAPDH antibody [EPR16891] - Loading Control (ab181602) staining at 1/200000 dilution.

All lanes:

Western blot - Anti-IL-13 receptor alpha 1 antibody [EPR28795-26] (<a href='/products/primary-antibodies/il-13-receptor-alpha-1-antibody-epr28795-26-ab322049'>ab322049</a>) at 1/1000 dilution

Lane 1:

Untreated HDLM-2 (human hodgkin lymphoma cell) whole cell lysate at 20 µg

Lane 2:

HDLM-2 whole cell lysate treated with Protein Deglycosylation Mix II at 20 µg

Secondary

All lanes:

Western blot - Goat Anti-Rabbit IgG H&L (HRP) (<a href='/products/secondary-antibodies/goat-rabbit-igg-h-l-hrp-ab97051'>ab97051</a>) at 1/20000 dilution

Observed band size: 70 kDa,49 kDa,36 kDa

false

Exposure time: 180s

Western blot - Anti-GAPDH antibody [EPR16891] - Loading Control (AB181602)
  • WB

Supplier Data

Western blot - Anti-GAPDH antibody [EPR16891] - Loading Control (AB181602)

Blocking and diluting buffer and concentration : 5% NFDM/TBST.

Low expression : liver

Lanes 1-2 are incubated with are incubated with Goat Anti-Rabbit IgG (HRP) with minimal cross-reactivity with human IgG at 1/2000 and lanes 3-11 are incubated with Goat Anti-Rabbit IgG, (H+L), Peroxidase conjugated (ab97051) at 1/20000.

In Western blot, Anti-GAPDH antibody [EPR16891] - Loading Control (ab181602) staining at 1/200000 dilution.

All lanes:

Western blot - Anti-PFKP antibody [EPR28830-157] (ab325016) at 1/1000 dilution

Lane 1:

Human colon cancer tissue lysate at 20 µg

Lane 2:

Human lung cancer tissue lysate at 20 µg

Lane 3:

Mouse testis tissue lysate at 20 µg

Lane 4:

Rat testis tissue lysate at 20 µg

Lane 5:

Neuro-2a (mouse neuroblastoma neuroblast) whole cell lysate at 20 µg

Lane 6:

P815 (mouse mastocytoma mast Cell ) whole cell lysate at 20 µg

Lane 7:

F9 (mouse embryonal carcinoma epithelial cell) whole cell lysate at 20 µg

Lane 8:

Mouse brain tissue lysate at 20 µg

Lane 9:

Mouse liver tissue lysate at 20 µg

Lane 10:

Rat brain tissue lysate at 20 µg

Lane 11:

Rat liver tissue lysate at 20 µg

Secondary

Lanes 1 - 2:

Goat Anti-Rabbit IgG (HRP) with minimal cross-reactivity with human IgG at 1/2000 dilution

Lanes 3 - 11:

Western blot - Goat Anti-Rabbit IgG H&L (HRP) (<a href='/products/secondary-antibodies/goat-rabbit-igg-h-l-hrp-ab97051'>ab97051</a>) at 1/20000 dilution

Observed band size: 85 kDa,36 kDa

false

Exposure time: 180s

Western blot - Anti-GAPDH antibody [EPR16891] - Loading Control (AB181602)
  • WB

Supplier Data

Western blot - Anti-GAPDH antibody [EPR16891] - Loading Control (AB181602)

Blocking and diluting buffer and concentration : 5% NFDM/TBST.

In Western blot, Anti-GAPDH antibody [EPR16891] - Loading Control (ab181602) staining at 1/200000 dilution.

This blot was developed using a high sensitivity ECL substrate. The high-sensitivity ECL substrate used allows for the detection of proteins in the mid-femtogram range.

All lanes:

Western blot - Anti-Phosphoserine antibody [EPR28666-51] (<a href='/products/primary-antibodies/phosphoserine-antibody-epr28666-51-ab322140'>ab322140</a>) at 1/1000 dilution

Lane 1:

Untreated HeLa (human cervical adenocarcinoma epithelial cell) whole cell lysate at 60 µg

Lane 2:

HeLa treated with 100nM calyculin A for 30min) whole cell lysate at 60 µg

Lane 3:

Untreated B16-F0 (mouse melanoma epithelial-like cell) whole cell lysate at 60 µg

Lane 4:

B16-F0 treated with 1uM Okadaic Acid for 60min whole cell lysate at 60 µg

Lane 5:

Untreated Jurkat (human T cell leukemia T lymphocyte from peripheral blood) whole cell lysate at 60 µg

Lane 6:

Jurkat treated with 100nM Calyculin A for 30min whole cell lysate at 60 µg

Lane 7:

Untreated RAW 264.7 (mouse Abelson murine leukemia virus-induced tumor macrophage) whole cell lysate at 60 µg

Lane 8:

RAW 264.7 treated with 100nM Calyculin A for 30min) whole cell lysate at 60 µg

Secondary

All lanes:

Western blot - Goat Anti-Rabbit IgG H&L (HRP) (<a href='/products/secondary-antibodies/goat-rabbit-igg-h-l-hrp-ab97051'>ab97051</a>) at 1/20000 dilution

Observed band size: 25-300 kDa,36 kDa

true

Exposure time: 70s

Western blot - Anti-GAPDH antibody [EPR16891] - Loading Control (AB181602)
  • WB

Supplier Data

Western blot - Anti-GAPDH antibody [EPR16891] - Loading Control (AB181602)

Blocking and diluting buffer and concentration : 5% NFDM/TBST.

LC-2/ad cells express the constitutively active CCDC6-RET fusion. The down-regulation of Ret phospho Y1015 is induced by ponatinib treatment (PMID : 33795352) .

The molecular weight observed is consistent with what has been described in the literature (PMID : 33795352; PMID : 23578175).

In Western blot, Anti-GAPDH antibody [EPR16891] - Loading Control (ab181602) staining at 1/200000 dilution.

In Western blot, Anti-Ret antibody (ab134100) staining at 1/1000 dilution.

All lanes:

Western blot - Anti-Ret (phospho Y1015) antibody [EPR26919-93] (ab324978) at 1/1000 dilution

Lanes 1 and 3:

Untreated LC-2/ad (human Lung Epithelial) whole cell lysate at 50 µg

Lanes 2 and 4:

LC-2/ad treated with 300nM Ponatinib for 2h whole cell lysate at 50 µg

Secondary

All lanes:

Western blot - Goat Anti-Rabbit IgG H&L (HRP) (<a href='/products/secondary-antibodies/goat-rabbit-igg-h-l-hrp-ab97051'>ab97051</a>) at 1/20000 dilution

Observed band size: 60 kDa,36 kDa

false

Exposure time: 180s

Western blot - Anti-GAPDH antibody [EPR16891] - Loading Control (AB181602)
  • WB

Supplier Data

Western blot - Anti-GAPDH antibody [EPR16891] - Loading Control (AB181602)

Blocking and diluting buffer and concentration : 5% NFDM/TBST.

Low expression : lung (PMID : 10625067).

The identity of the bands lower than 75 kDa are unknown.

In Western blot, Anti-GAPDH antibody [EPR16891] - Loading Control (ab181602) staining at 1/200000 dilution.

All lanes:

Western blot - Anti-SV2C antibody [EPR30548-547] (<a href='/products/primary-antibodies/sv2c-antibody-epr30548-547-ab324233'>ab324233</a>) at 1/1000 dilution

Lane 1:

Human striatum tissue lysate at 30 µg

Lane 2:

Human lung tissue lysate at 30 µg

Secondary

All lanes:

Goat Anti-Rabbit IgG (HRP) with minimal cross-reactivity with human IgG at 1/2000 dilution

Observed band size: 110 kDa,36 kDa

false

Exposure time: 180s

Western blot - Anti-GAPDH antibody [EPR16891] - Loading Control (AB181602)
  • WB

Supplier Data

Western blot - Anti-GAPDH antibody [EPR16891] - Loading Control (AB181602)

Blocking and diluting buffer and concentration : 5% NFDM/TBST.

This blot was developed using a high-sensitivity ECL substrate, allowing for the detection of proteins in the mid-femtogram range.

To minimize protein degradation, cells were lysed immediately after harvest and then applied to a gel and transfer membrane for Western blotting as soon as possible.

The identity of the bands lower than 75 kDa are unknown.

In Western blot, Anti-GAPDH antibody [EPR16891] - Loading Control (ab181602) staining at 1/200000 dilution.

All lanes:

Western blot - Anti-PALB2 antibody [EPR26990-22] (ab325017) at 1/1000 dilution

Lane 1:

293T (human embryonic kidney epithelial cell) transfected with scrambled siRNA control whole cell lysate at 20 µg

Lane 2:

293T transfected with siRNA specifically targeting PALB2 whole cell lysate at 20 µg

Secondary

All lanes:

Western blot - Goat Anti-Rabbit IgG H&L (HRP) (<a href='/products/secondary-antibodies/goat-rabbit-igg-h-l-hrp-ab97051'>ab97051</a>) at 1/20000 dilution

Observed band size: 131 kDa,36 kDa

true

Exposure time: 180s

Western blot - Anti-GAPDH antibody [EPR16891] - Loading Control (AB181602)
  • WB

Supplier Data

Western blot - Anti-GAPDH antibody [EPR16891] - Loading Control (AB181602)

Blocking and diluting buffer and concentration : 5% NFDM/TBST.

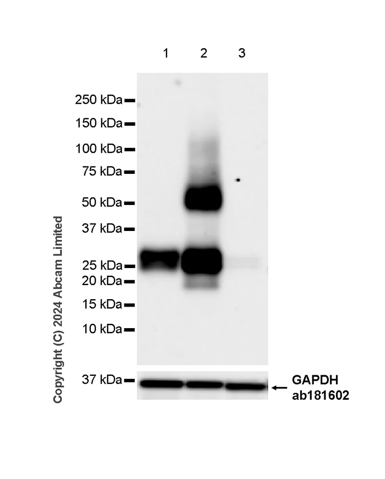
Low expression : HCT 116 (PMID : 17363564), PANC-1 (PMID : 31817229), A549 (PMID : 31811797).

The identity of the higher MW bands at approximately 37 kDa & 75 kDa (Lane 2 & Lane 5, respectively) are unknown.

The samples are unboiled.

In Western blot, Anti-GAPDH antibody [EPR16891] - Loading Control (ab181602) staining at 1/200000 dilution.

All lanes:

Western blot - Anti-Rac1b antibody [EPR28989-13] (<a href='/products/primary-antibodies/rac1b-antibody-epr28989-13-ab322141'>ab322141</a>) at 1/1000 dilution

Lane 1:

HT-29 (human colorectal adenocarcinoma epithelial cell) whole cell lysate at 20 µg

Lane 2:

MCF7 (human breast adenocarcinoma epithelial cell) whole cell lysate at 20 µg

Lane 3:

HCT 116 (human colorectal carcinoma epithelial cell) whole cell lysate at 20 µg

Lane 4:

PANC-1 (human pancreatic epithelioid carcinoma epithelial cell) whole cell lysate at 20 µg

Lane 5:

A549 (human lung carcinoma epithelial cell) whole cell lysate at 20 µg

Secondary

All lanes:

Western blot - Goat Anti-Rabbit IgG H&L (HRP) (<a href='/products/secondary-antibodies/goat-rabbit-igg-h-l-hrp-ab97051'>ab97051</a>) at 1/100000 dilution

Observed band size: 23 kDa,36 kDa

false

Exposure time: 180s

Western blot - Anti-GAPDH antibody [EPR16891] - Loading Control (AB181602)
  • WB

Supplier Data

Western blot - Anti-GAPDH antibody [EPR16891] - Loading Control (AB181602)

Blocking and diluting buffer and concentration : 5% NFDM/TBST.

This antibody does not cross-react with overexpressed human SV2B or SV2A by western blot.

In Western blot, Anti-GAPDH antibody [EPR16891] - Loading Control (ab181602) staining at 1/200000 dilution.

All lanes:

Western blot - Anti-SV2C antibody [EPR30548-547] (<a href='/products/primary-antibodies/sv2c-antibody-epr30548-547-ab324233'>ab324233</a>) at 1/1000 dilution

Lane 1:

293T (human embryonic kidney epithelial cell) cells transfected with an empty vector containing a myc-His-tag® whole cell lysate at 5 µg

Lane 2:

293T cells transfected with a human SV2C expression vector containing a myc-His-tag®, whole cell lysate at 5 µg

Lane 3:

293T cells transfected with a human SV2B expression vector containing a myc-His-tag®, whole cell lysate at 5 µg

Lane 4:

293T cells transfected with a human SV2A expression vector containing a myc-His-tag®, whole cell lysate at 5 µg

Secondary

All lanes:

Western blot - Goat Anti-Rabbit IgG H&L (HRP) (<a href='/products/secondary-antibodies/goat-rabbit-igg-h-l-hrp-ab97051'>ab97051</a>) at 1/20000 dilution

Observed band size: 82 kDa,36 kDa,77-82 kDa

false

Exposure time: 6s

Western blot - Anti-GAPDH antibody [EPR16891] - Loading Control (AB181602)
  • WB

Supplier Data

Western blot - Anti-GAPDH antibody [EPR16891] - Loading Control (AB181602)

Blocking and diluting buffer and concentration : 5% NFDM/TBST.

The bands beneath the target band (50 kDa) are likely to be degraded target fragments.

In Western blot, Anti-GAPDH antibody [EPR16891] - Loading Control (ab181602) staining at 1/200000 dilution.

All lanes:

Western blot - Anti-ATP6V1B2 antibody [EPR28916-13] (<a href='/products/primary-antibodies/atp6v1b2-antibody-epr28916-13-ab322055'>ab322055</a>) at 1/1000 dilution

Lane 1:

293T (human embryonic kidney epithelial cell) whole cell lysate at 20 µg

Lane 2:

MCF7 (human breast adenocarcinoma epithelial cell) whole cell lysate at 20 µg

Lane 3:

RAW 264.7 (mouse Abelson murine leukemia virus-induced tumor macrophage) whole cell lysate at 20 µg

Lane 4:

NIH/3T3 (mouse embryonic fibroblast) whole cell lysate at 20 µg

Secondary

All lanes:

Western blot - Goat Anti-Rabbit IgG H&L (HRP) (<a href='/products/secondary-antibodies/goat-rabbit-igg-h-l-hrp-ab97051'>ab97051</a>) at 1/100000 dilution

Observed band size: 50 kDa,36 kDa

false

Exposure time: 180s

Western blot - Anti-GAPDH antibody [EPR16891] - Loading Control (AB181602)
  • WB

Supplier Data

Western blot - Anti-GAPDH antibody [EPR16891] - Loading Control (AB181602)

Blocking and diluting buffer and concentration : 5% NFDM/TBST.

Lanes 1&2 are applied with Goat Anti-Rabbit IgG (HRP) with minimal cross-reactivity with human IgG at 1/2000 and lane 3&4 are applied with Goat Anti-Rabbit IgG, (H+L), Peroxidase conjugated (ab97051) at 1/100000.

In Western blot, Anti-GAPDH antibody [EPR16891] - Loading Control (ab181602) staining at 1/200000 dilution.

All lanes:

Western blot - Anti-ATP6V1B2 antibody [EPR28916-13] (<a href='/products/primary-antibodies/atp6v1b2-antibody-epr28916-13-ab322055'>ab322055</a>) at 1/1000 dilution

Lane 1:

Human cerebellum tissue lysate at 20 µg

Lane 2:

Human kidney tissue lysate at 20 µg

Lane 3:

Mouse brain tissue lysate at 20 µg

Lane 4:

Mouse kidney tissue lysate at 20 µg

Secondary

Lanes 1 - 2:

Goat Anti-Rabbit IgG (HRP) with minimal cross-reactivity with human IgG at 1/2000 dilution

Lanes 3 - 4:

Western blot - Goat Anti-Rabbit IgG H&L (HRP) (<a href='/products/secondary-antibodies/goat-rabbit-igg-h-l-hrp-ab97051'>ab97051</a>) at 1/100000 dilution

Observed band size: 50 kDa,36 kDa

false

Exposure time: 37s

Western blot - Anti-GAPDH antibody [EPR16891] - Loading Control (AB181602)
  • WB

Supplier Data

Western blot - Anti-GAPDH antibody [EPR16891] - Loading Control (AB181602)

Blocking and diluting buffer and concentration : 5% NFDM/TBST.

In Western blot, Anti-GAPDH antibody [EPR16891] - Loading Control (ab181602) staining at 1/200000 dilution.

All lanes:

Western blot - Anti-ATP6V1B2 antibody [EPR28916-13] (<a href='/products/primary-antibodies/atp6v1b2-antibody-epr28916-13-ab322055'>ab322055</a>) at 1/1000 dilution

Lane 1:

HeLa (human cervical adenocarcinoma epithelial cell) transfected with scrambled siRNA control whole cell lysate at 20 µg

Lane 2:

HeLa transfected with siRNA specifically targeting ATP6V1B2 whole cell lysate at 20 µg

Secondary

All lanes:

Western blot - Goat Anti-Rabbit IgG H&L (HRP) (<a href='/products/secondary-antibodies/goat-rabbit-igg-h-l-hrp-ab97051'>ab97051</a>) at 1/100000 dilution

Observed band size: 50 kDa,36 kDa

false

Exposure time: 70s

Western blot - Anti-GAPDH antibody [EPR16891] - Loading Control (AB181602)
  • WB

Supplier Data

Western blot - Anti-GAPDH antibody [EPR16891] - Loading Control (AB181602)

Blocking and diluting buffer and concentration : 5% NFDM/TBST.

Negative control : Daudi, Jurkat, HeLa (PMID : 8702785).

In Western blot, Anti-GAPDH antibody [EPR16891] - Loading Control (ab181602) staining at 1/200000 dilution.

All lanes:

Western blot - Anti-ESM1 antibody [EPR29619-546] (<a href='/products/primary-antibodies/esm1-antibody-epr29619-546-ab322145'>ab322145</a>) at 1/1000 dilution

Lane 1:

HUVEC (human umbilical vein endothelial cell) whole cell lysate at 20 µg

Lane 2:

Daudi (human Burkitts lymphoma lymphoblast) whole cell lysate at 20 µg

Lane 3:

Jurkat (human T cell leukemia T lymphocyte from peripheral blood) whole cell lysate at 20 µg

Lane 4:

HeLa (human cervical adenocarcinoma epithelial cell) whole cell lysate at 20 µg

Secondary

All lanes:

Western blot - Goat Anti-Rabbit IgG H&L (HRP) (<a href='/products/secondary-antibodies/goat-rabbit-igg-h-l-hrp-ab97051'>ab97051</a>) at 1/100000 dilution

Observed band size: 20 kDa,36 kDa

false

Exposure time: 114s

Western blot - Anti-GAPDH antibody [EPR16891] - Loading Control (AB181602)
  • WB

Supplier Data

Western blot - Anti-GAPDH antibody [EPR16891] - Loading Control (AB181602)

Blocking and diluting buffer and concentration : 5% NFDM/TBST.

Low expression : brain, skeletal muscle (PMID : 8812439).

The bands beneath the target band (99 kDa) are likely to be degraded target fragments.

In Western blot, Anti-GAPDH antibody [EPR16891] - Loading Control (ab181602) staining at 1/200000 dilution.

All lanes:

Western blot - Anti-Hexokinase Type III/HK3 antibody [EPR29196-29] (<a href='/products/primary-antibodies/hexokinase-type-iii-hk3-antibody-epr29196-29-ab321996'>ab321996</a>) at 1/1000 dilution

Lane 1:

Human liver cancer tissue lysate at 20 µg

Lane 2:

Mouse liver tissue lysate at 20 µg

Lane 3:

Mouse lung tissue lysate at 20 µg

Lane 4:

Mouse spleen tissue lysate at 20 µg

Lane 5:

Mouse brain tissue lysate at 20 µg

Lane 6:

Mouse skeletal muscle tissue lysate at 20 µg

Secondary

All lanes:

Goat Anti-Rabbit IgG (HRP) with minimal cross-reactivity with human IgG at 1/2000 dilution

Observed band size: 99 kDa,36 kDa

false

Exposure time: 3s

Western blot - Anti-GAPDH antibody [EPR16891] - Loading Control (AB181602)
  • WB

Supplier Data

Western blot - Anti-GAPDH antibody [EPR16891] - Loading Control (AB181602)

Blocking and diluting buffer and concentration : 5% NFDM/TBST.

Low expression : HUVEC (PMID : 28112190).

To minimize protein degradation, cells were lysed immediately after harvest and then applied to a gel and transfer membrane for Western blotting as soon as possible.

In Western blot, Anti-GAPDH antibody [EPR16891] - Loading Control (ab181602) staining at 1/200000 dilution.

All lanes:

Western blot - Anti-HERV antibody [EPR29291-23] (ab324913) at 1/1000 dilution

Lane 1:

HeLa (human cervical adenocarcinoma epithelial cell) fresh whole cell lysate at 20 µg

Lane 2:

HUVEC (human umbilical vein endothelial cell) fresh whole cell lysate at 20 µg

Secondary

All lanes:

Goat Anti-Rabbit IgG (HRP) with minimal cross-reactivity with human IgG at 1/2000 dilution

Observed band size: 50 kDa,36 kDa

false

Exposure time: 37s

Western blot - Anti-GAPDH antibody [EPR16891] - Loading Control (AB181602)
  • WB

Supplier Data

Western blot - Anti-GAPDH antibody [EPR16891] - Loading Control (AB181602)

Blocking and diluting buffer and concentration : 5% NFDM/TBST.

Low expression : MCF7 (PMID : 23110523).

The expression profile is consistent with what has been described in the literature (PMID : 23110523).

In Western blot, Anti-GAPDH antibody [EPR16891] - Loading Control (ab181602) staining at 1/200000 dilution.

Exposure time : Lane 1 : 180 seconds; Lanes 2-4 : 26 seconds.

All lanes:

Western blot - Anti-PADI2 / PAD2 antibody [EPR26940-85] (<a href='/products/primary-antibodies/padi2-pad2-antibody-epr26940-85-ab322197'>ab322197</a>) at 1/1000 dilution

Lane 1:

HT-29 (human colorectal adenocarcinoma epithelial cell) whole cell lysate at 20 µg

Lane 2:

SK-BR-3 (human breast adenocarcinoma epithelial cell) whole cell lysate at 20 µg

Lane 3:

PANC-1 (human pancreatic epithelioid carcinoma epithelial cell) whole cell lysate at 20 µg

Lane 4:

MCF7 (human breast adenocarcinoma epithelial cell) whole cell lysate at 20 µg

Secondary

All lanes:

Western blot - Goat Anti-Rabbit IgG H&L (HRP) (<a href='/products/secondary-antibodies/goat-rabbit-igg-h-l-hrp-ab97051'>ab97051</a>) at 1/100000 dilution

Observed band size: 76 kDa,36 kDa

false

Western blot - Anti-GAPDH antibody [EPR16891] - Loading Control (AB181602)
  • WB

Supplier Data

Western blot - Anti-GAPDH antibody [EPR16891] - Loading Control (AB181602)

Blocking and diluting buffer and concentration : 5% NFDM/TBST.

In Western blot, Anti-GAPDH antibody [EPR16891] - Loading Control (ab181602) staining at 1/200000 dilution.

All lanes:

Western blot - Anti-PFKP antibody [EPR28830-157] (ab325016) at 1/1000 dilution

Lane 1:

HeLa (human cervical adenocarcinoma epithelial cell) whole cell lysate at 20 µg

Lane 2:

Jurkat (human T cell leukemia T lymphocyte from peripheral blood) whole cell lysat at 20 µg

Lane 3:

MCF7 (human breast adenocarcinoma epithelial cell) whole cell lysate at 20 µg

Lane 4:

DU 145 (human prostate carcinoma epithelial cell) whole cell lysate at 20 µg

Lane 5:

Raji (human Burkitt's lymphoma B lymphocyte) whole cell lysate at 20 µg

Lane 6:

PC-12 (rat adrenal gland pheochromocytoma cell) whole cell lysate at 20 µg

Secondary

All lanes:

Western blot - Goat Anti-Rabbit IgG H&L (HRP) (<a href='/products/secondary-antibodies/goat-rabbit-igg-h-l-hrp-ab97051'>ab97051</a>) at 1/20000 dilution

Observed band size: 85 kDa,36 kDa

false

Exposure time: 180s

Western blot - Anti-GAPDH antibody [EPR16891] - Loading Control (AB181602)
  • WB

Supplier Data

Western blot - Anti-GAPDH antibody [EPR16891] - Loading Control (AB181602)

Blocking and diluting buffer and concentration : 5% NFDM/TBST.

In Western blot, Anti-GAPDH antibody [EPR16891] - Loading Control (ab181602) staining at 1/200000 dilution.

All lanes:

Western blot - Anti-SND1 antibody [EPR28903-10] (<a href='/products/primary-antibodies/snd1-antibody-epr28903-10-ab322051'>ab322051</a>) at 1/1000 dilution

Lane 1:

HeLa (human cervical adenocarcinoma epithelial cell) transfected with scrambled siRNA control whole cell lysate at 20 µg

Lane 2:

HeLa transfected with siRNA specifically targeting SND1 whole cell lysate at 20 µg

Secondary

All lanes:

Western blot - Goat Anti-Rabbit IgG H&L (HRP) (<a href='/products/secondary-antibodies/goat-rabbit-igg-h-l-hrp-ab97051'>ab97051</a>) at 1/100000 dilution

Observed band size: 101 kDa,36 kDa

false

Exposure time: 10s

Western blot - Anti-GAPDH antibody [EPR16891] - Loading Control (AB181602)
  • WB

Supplier Data

Western blot - Anti-GAPDH antibody [EPR16891] - Loading Control (AB181602)

Blocking and diluting buffer and concentration : 5% NFDM/TBST.

The expression of TAP1 is upregulated in response to IFN gamma treatment.

The identity of the bands between 15 kDa and 40 kDa are unknown.

In Western blot, Anti-GAPDH antibody [EPR16891] - Loading Control (ab181602) staining at 1/200000 dilution.

All lanes:

Western blot - Anti-TAP1 antibody [EPR26236-92] (<a href='/products/primary-antibodies/tap1-antibody-epr26236-92-ab322039'>ab322039</a>) at 1/1000 dilution

Lane 1:

Untreated HT-29 (human colorectal adenocarcinoma epithelial cell) whole cell lysate at 20 µg

Lane 2:

HT-29 treated with 100ng/ml IFN gamma for 48h whole cell lysate at 20 µg

Lane 3:

Untreated HeLa (human cervical adenocarcinoma epithelial cell) whole cell lysate at 20 µg

Lane 4:

HeLa treated with 100ng/ml IFN gamma for 48h whole cell lysate at 20 µg

Lane 5:

Human ovary cancer tissue lysate at 20 µg

Lane 6:

Human tonsil tissue lysate at 20 µg

Lane 7:

Human lung tissue lysate at 20 µg

Secondary

All lanes:

Goat Anti-Rabbit IgG (HRP) with minimal cross-reactivity with human IgG at 1/2000 dilution

Observed band size: 68 kDa,36 kDa

false

Exposure time: 1s

Western blot - Anti-GAPDH antibody [EPR16891] - Loading Control (AB181602)
  • WB

Supplier Data

Western blot - Anti-GAPDH antibody [EPR16891] - Loading Control (AB181602)

Blocking and diluting buffer and concentration : 5% NFDM/TBST.

In Western blot, Anti-GAPDH antibody [EPR16891] - Loading Control (ab181602) staining at 1/200000 dilution.

All lanes:

Western blot - Anti-TBC1D15 antibody [EPR29126-76] (<a href='/products/primary-antibodies/tbc1d15-antibody-epr29126-76-ab322057'>ab322057</a>) at 1/1000 dilution

Lane 1:

HeLa (human cervical adenocarcinoma epithelial cell) transfected with scrambled siRNA control whole cell lysate at 50 µg

Lane 2:

Hela transfected with siRNA specifically targeting TBC1D15 whole cell lysate at 50 µg

Lane 3:

293T (human embryonic kidney epithelial cell) whole cell lysate at 50 µg

Lane 4:

NIH/3T3 (mouse embryonic fibroblast) whole cell lysate at 50 µg

Lane 5:

SH-SY5Y (human neuroblastoma epithelial cell) whole cell lysate at 50 µg

Lane 6:

NMuLi (mouse liver epithelial cell) whole cell lysate at 50 µg

Lane 7:

Neuro-2a (mouse neuroblastoma neuroblast) whole cell lysate at 50 µg

Secondary

All lanes:

Goat Anti-Rabbit IgG (HRP) with minimal cross-reactivity with human IgG at 1/2000 dilution

Observed band size: 79 kDa,36 kDa

false

Exposure time: 26s

Western blot - Anti-GAPDH antibody [EPR16891] - Loading Control (AB181602)
  • WB

Supplier Data

Western blot - Anti-GAPDH antibody [EPR16891] - Loading Control (AB181602)

Blocking and diluting buffer and concentration : 5% NFDM/TBST.

Low expression : skeletal muscle (PMID : 16055087).

In Western blot, Anti-GAPDH antibody [EPR16891] - Loading Control (ab181602) staining at 1/200000 dilution.

All lanes:

Western blot - Anti-TBC1D15 antibody [EPR29126-76] (<a href='/products/primary-antibodies/tbc1d15-antibody-epr29126-76-ab322057'>ab322057</a>) at 1/1000 dilution

Lane 1:

HeLa (human cervical adenocarcinoma epithelial cell) transfected with scrambled siRNA control whole cell lysate at 50 µg

Lane 2:

Hela transfected with siRNA specifically targeting TBC1D15 whole cell lysate at 50 µg

Lane 3:

293T (human embryonic kidney epithelial cell) whole cell lysate at 50 µg

Lane 4:

NIH/3T3 (mouse embryonic fibroblast) whole cell lysate at 50 µg

Lane 5:

SH-SY5Y (human neuroblastoma epithelial cell) whole cell lysate at 50 µg

Lane 6:

NMuLi (mouse liver epithelial cell) whole cell lysate at 50 µg

Lane 7:

Neuro-2a (mouse neuroblastoma neuroblast) whole cell lysate at 50 µg

Secondary

All lanes:

Goat Anti-Rabbit IgG (HRP) with minimal cross-reactivity with human IgG at 1/2000 dilution

Observed band size: 79 kDa,36 kDa

false

Exposure time: 81s

Western blot - Anti-GAPDH antibody [EPR16891] - Loading Control (AB181602)
  • WB

Supplier Data

Western blot - Anti-GAPDH antibody [EPR16891] - Loading Control (AB181602)

Blocking and diluting buffer and concentration : 5% NFDM/TBST.

In Western blot, ab322107 was shown to bind specifically to JAG2. Target of interest was observed at 180 kDa in wild-type Hela cell lysates (lane 1) with no signal observed at this size in JAR2 knockout cell line (lane 2) (lane 2, knockout cell line ab265966.

To minimize protein degradation, cells were lysed immediately after harvest and then applied to a gel and transfer membrane for Western blotting as soon as possible.

The identity of the bands between 30 kDa and 40 kDa are unknown.

In Western blot, Anti-GAPDH antibody [EPR16891] - Loading Control (ab181602) staining at 1/200000 dilution.

All lanes:

Western blot - Anti-Jagged 2/JAG2 antibody [EPR29026-90] (<a href='/products/primary-antibodies/jagged-2-jag2-antibody-epr29026-90-ab322107'>ab322107</a>) at 1/1000 dilution

Lane 1:

HeLa (human cervical adenocarcinoma epithelial cell) whole cell lysate at 60 µg

Lane 2:

Western blot - Human JAG2 (Jagged 2) knockout HeLa cell line (<a href='/products/cell-lines/human-jag2-jagged-2-knockout-hela-cell-line-ab265966'>ab265966</a>) at 60 µg

Secondary

All lanes:

Western blot - Goat Anti-Rabbit IgG H&L (HRP) (<a href='/products/secondary-antibodies/goat-rabbit-igg-h-l-hrp-ab97051'>ab97051</a>) at 1/20000 dilution

Observed band size: 180 kDa,36 kDa

false

Exposure time: 26s

Western blot - Anti-GAPDH antibody [EPR16891] - Loading Control (AB181602)
  • WB

Supplier Data

Western blot - Anti-GAPDH antibody [EPR16891] - Loading Control (AB181602)

Blocking and diluting buffer and concentration : 5% NFDM/TBST.

To minimize protein degradation, cells were lysed immediately after harvest and then applied to a gel and transfer membrane for Western blotting as soon as possible.

In Western blot, Anti-GAPDH antibody [EPR16891] - Loading Control (ab181602) staining at 1/200000 dilution.

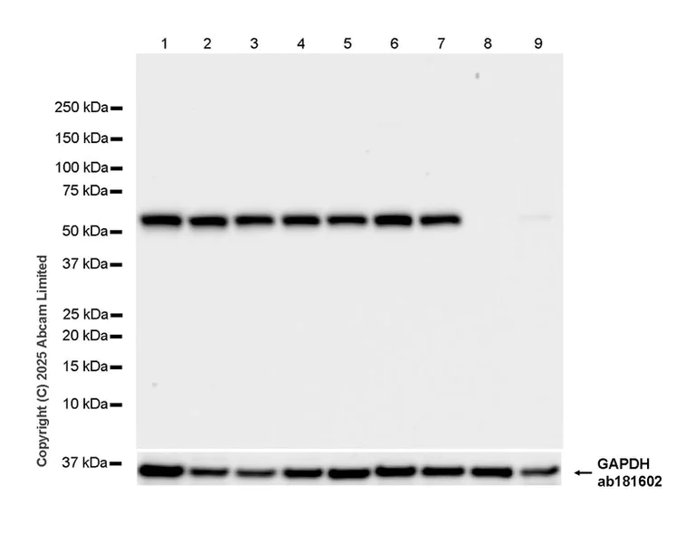
All lanes:

Western blot - Anti-Brd4 antibody [EPR29186-23] (<a href='/products/primary-antibodies/brd4-antibody-epr29186-23-ab322063'>ab322063</a>) at 1/1000 dilution

Lane 1:

293T (human embryonic kidney epithelial cell) transfected with scrambled siRNA control whole cell lysate at 20 µg

Lane 2:

293T transfected with siRNA specifically targeting Brd4S whole cell lysate at 20 µg

Secondary

All lanes:

Western blot - Goat Anti-Rabbit IgG H&L (HRP) (<a href='/products/secondary-antibodies/goat-rabbit-igg-h-l-hrp-ab97051'>ab97051</a>) at 1/100000 dilution

Observed band size: 99 kDa,36 kDa

false

Exposure time: 180s

Western blot - Anti-GAPDH antibody [EPR16891] - Loading Control (AB181602)
  • WB

Supplier Data

Western blot - Anti-GAPDH antibody [EPR16891] - Loading Control (AB181602)

Blocking and diluting buffer and concentration : 5% NFDM/TBST.

The identity of the lower MW band at approximately 60 kDa is unknown.

To minimize protein degradation, cells were lysed immediately after harvest and then applied to a gel and transfer membrane for Western blotting as soon as possible.

In Western blot, Anti-GAPDH antibody [EPR16891] - Loading Control (ab181602) staining at 1/200000 dilution.

All lanes:

Western blot - Anti-TBX3 antibody [EPR28578-38] (<a href='/products/primary-antibodies/tbx3-antibody-epr28578-38-ab322199'>ab322199</a>) at 1/1000 dilution

Lane 1:

293T (human embryonic kidney epithelial cell) transfected with scrambled siRNA control whole cell lysate at 20 µg

Lane 2:

293T transfected with siRNA specifically targeting TBX3 whole cell lysate at 20 µg

Lane 3:

HepG2 (human hepatocellar carcinoma epithelial cell) whole cell lysate at 20 µg

Secondary

All lanes:

Western blot - Goat Anti-Rabbit IgG H&L (HRP) (<a href='/products/secondary-antibodies/goat-rabbit-igg-h-l-hrp-ab97051'>ab97051</a>) at 1/20000 dilution

Observed band size: 79 kDa,36 kDa

false

Exposure time: 103s

关键信息

宿主种属

Rabbit

克隆

Monoclonal

克隆号

EPR16891

亚型

IgG

不含载体蛋白

No

反应种属

Chicken, Human, Zebrafish, African green monkey, Xenopus tropicalis, Mouse, Rat

应用

WB, IP, Flow Cyt (Intra), ICC/IF, IHC-P

applications

免疫原

The exact immunogen used to generate this antibody is proprietary information.

反应性数据

{ "title": "Reactivity Data", "filters": { "stats": ["", "Species", "Dilution Info", "Notes"], "tabs": { "all-applications": {"fullname" : "All Applications", "shortname": "All Applications"}, "IP" : {"fullname" : "Immunoprecipitation", "shortname":"IP"}, "WB" : {"fullname" : "Western blot", "shortname":"WB"}, "ICCIF" : {"fullname" : "Immunocytochemistry/ Immunofluorescence", "shortname":"ICC/IF"}, "FlowCytIntra" : {"fullname" : "Flow Cytometry (Intracellular)", "shortname":"Flow Cyt (Intra)"}, "IHCP" : {"fullname" : "Immunohistochemistry (Formalin/PFA-fixed paraffin-embedded sections)", "shortname":"IHC-P"} }, "product-promise": { "all": "all", "testedAndGuaranteed": "tested", "guaranteed": "expected", "predicted": "predicted", "notRecommended": "not-recommended" } }, "values": { "Human": { "IP-species-checked": "testedAndGuaranteed", "IP-species-dilution-info": "1/60", "IP-species-notes": "<p></p>", "WB-species-checked": "testedAndGuaranteed", "WB-species-dilution-info": "1/10000", "WB-species-notes": "<p></p>", "ICCIF-species-checked": "testedAndGuaranteed", "ICCIF-species-dilution-info": "1/500", "ICCIF-species-notes": "<p></p>", "FlowCytIntra-species-checked": "testedAndGuaranteed", "FlowCytIntra-species-dilution-info": "1/180", "FlowCytIntra-species-notes": "<p><a href='/products/primary-antibodies/rabbit-igg-monoclonal-epr25a-isotype-control-ab172730'>ab172730</a> - Rabbit monoclonal IgG, is suitable for use as an isotype control with this antibody.</p>", "IHCP-species-checked": "testedAndGuaranteed", "IHCP-species-dilution-info": "1/2000", "IHCP-species-notes": "<p></p> Perform heat-mediated antigen retrieval with Tris/EDTA buffer pH 9.0 before commencing with IHC staining protocol." }, "Mouse": { "IP-species-checked": "guaranteed", "IP-species-dilution-info": "", "IP-species-notes": "", "WB-species-checked": "testedAndGuaranteed", "WB-species-dilution-info": "1/10000", "WB-species-notes": "<p></p>", "ICCIF-species-checked": "guaranteed", "ICCIF-species-dilution-info": "", "ICCIF-species-notes": "", "FlowCytIntra-species-checked": "guaranteed", "FlowCytIntra-species-dilution-info": "", "FlowCytIntra-species-notes": "", "IHCP-species-checked": "testedAndGuaranteed", "IHCP-species-dilution-info": "1/2000", "IHCP-species-notes": "<p></p> Perform heat-mediated antigen retrieval with Tris/EDTA buffer pH 9.0 before commencing with IHC staining protocol." }, "Rat": { "IP-species-checked": "guaranteed", "IP-species-dilution-info": "", "IP-species-notes": "", "WB-species-checked": "testedAndGuaranteed", "WB-species-dilution-info": "1/1000", "WB-species-notes": "<p></p>", "ICCIF-species-checked": "guaranteed", "ICCIF-species-dilution-info": "", "ICCIF-species-notes": "", "FlowCytIntra-species-checked": "guaranteed", "FlowCytIntra-species-dilution-info": "", "FlowCytIntra-species-notes": "", "IHCP-species-checked": "testedAndGuaranteed", "IHCP-species-dilution-info": "1/2000", "IHCP-species-notes": "<p></p> Perform heat-mediated antigen retrieval with Tris/EDTA buffer pH 9.0 before commencing with IHC staining protocol." }, "African green monkey": { "IP-species-checked": "guaranteed", "IP-species-dilution-info": "", "IP-species-notes": "", "WB-species-checked": "testedAndGuaranteed", "WB-species-dilution-info": "1/10000", "WB-species-notes": "<p></p>", "ICCIF-species-checked": "guaranteed", "ICCIF-species-dilution-info": "", "ICCIF-species-notes": "", "FlowCytIntra-species-checked": "guaranteed", "FlowCytIntra-species-dilution-info": "", "FlowCytIntra-species-notes": "", "IHCP-species-checked": "guaranteed", "IHCP-species-dilution-info": "", "IHCP-species-notes": "" }, "Chicken": { "IP-species-checked": "guaranteed", "IP-species-dilution-info": "", "IP-species-notes": "", "WB-species-checked": "testedAndGuaranteed", "WB-species-dilution-info": "1/10000", "WB-species-notes": "<p></p>", "ICCIF-species-checked": "guaranteed", "ICCIF-species-dilution-info": "", "ICCIF-species-notes": "", "FlowCytIntra-species-checked": "guaranteed", "FlowCytIntra-species-dilution-info": "", "FlowCytIntra-species-notes": "", "IHCP-species-checked": "guaranteed", "IHCP-species-dilution-info": "", "IHCP-species-notes": "" }, "Fish": { "IP-species-checked": "predicted", "IP-species-dilution-info": "", "IP-species-notes": "", "WB-species-checked": "predicted", "WB-species-dilution-info": "", "WB-species-notes": "", "ICCIF-species-checked": "predicted", "ICCIF-species-dilution-info": "", "ICCIF-species-notes": "", "FlowCytIntra-species-checked": "predicted", "FlowCytIntra-species-dilution-info": "", "FlowCytIntra-species-notes": "", "IHCP-species-checked": "predicted", "IHCP-species-dilution-info": "", "IHCP-species-notes": "" }, "Rabbit": { "IP-species-checked": "predicted", "IP-species-dilution-info": "", "IP-species-notes": "", "WB-species-checked": "predicted", "WB-species-dilution-info": "", "WB-species-notes": "", "ICCIF-species-checked": "predicted", "ICCIF-species-dilution-info": "", "ICCIF-species-notes": "", "FlowCytIntra-species-checked": "predicted", "FlowCytIntra-species-dilution-info": "", "FlowCytIntra-species-notes": "", "IHCP-species-checked": "predicted", "IHCP-species-dilution-info": "", "IHCP-species-notes": "" }, "Xenopus tropicalis": { "IP-species-checked": "guaranteed", "IP-species-dilution-info": "", "IP-species-notes": "", "WB-species-checked": "testedAndGuaranteed", "WB-species-dilution-info": "1/10000", "WB-species-notes": "<p></p>", "ICCIF-species-checked": "guaranteed", "ICCIF-species-dilution-info": "", "ICCIF-species-notes": "", "FlowCytIntra-species-checked": "guaranteed", "FlowCytIntra-species-dilution-info": "", "FlowCytIntra-species-notes": "", "IHCP-species-checked": "guaranteed", "IHCP-species-dilution-info": "", "IHCP-species-notes": "" }, "Zebrafish": { "IP-species-checked": "guaranteed", "IP-species-dilution-info": "", "IP-species-notes": "", "WB-species-checked": "testedAndGuaranteed", "WB-species-dilution-info": "1/10000", "WB-species-notes": "<p></p>", "ICCIF-species-checked": "guaranteed", "ICCIF-species-dilution-info": "", "ICCIF-species-notes": "", "FlowCytIntra-species-checked": "guaranteed", "FlowCytIntra-species-dilution-info": "", "FlowCytIntra-species-notes": "", "IHCP-species-checked": "guaranteed", "IHCP-species-dilution-info": "", "IHCP-species-notes": "" } } }

产品详情

Anti-GAPDH antibody [EPR16891] - Loading Control (ab181602) was developed by Abcam using patented rabbit monoclonal antibody technology and is validated for use in Flow Cyt (Intra), ICC/IF, IHC-P, IP and WB.

Anti-GAPDH antibody [EPR16891] - Loading Control (ab181602) was first used in a scientific publication in 1987 and has been cited over 2472 times in peer reviewed journals. It's performance in Western Blot in human, mouse and rat samples is trusted by the scientific community.

Abcam's high quality manufacturing and validation processes ensure Anti-GAPDH antibody [EPR16891] - Loading Control (ab181602) has high sensitivity and specificity alongside high lot-to-lot consistency and reproducibility.

Anti-GAPDH antibody [EPR16891] - Loading Control (ab181602) has 22 independent reviews from customers.

GAPDH antibodies are often used as loading controls in Western Blot. Anti-GAPDH antibody [EPR16891] - Loading Control has been verified in Western Blot samples and detects a band at 36kDa Molecular weight.

Anti-GAPDH antibody [EPR16891] - Loading Control (ab181602) specifically detects GAPDH (UniProt ID: P16858; Molecular weight: 36kDa) and is sold in 100 µL and 1 mL selling sizes.

Conjugation-ready, carrier free format available for antibody clone EPR16891 - ab199553.

Antibody clone EPR16891 is also available pre-conjugated to a variety of labels for your convenience - Alexa Fluor® 647, Alexa Fluor® 488, HRP, Alexa Fluor® 594, Alexa Fluor® 405, PE, FITC (ab201272, ab201768, ab201822, ab206371, ab206372, ab224004, ab224005).

One of the top cited clones in the market for GAPDH with >3000 citations. GAPDH is a key target involved in glycolysis and cell metabolism. It plays a crucial role as a housekeeping gene, particularly in understanding GAPDH expression and its function as a metabolic enzyme. GAPDH is widely analysed in GAPDH activity assays and studies of its role in various cellular processes. Additionally, GAPDH is commonly used as a loading control in western blotting, IHC and immunofluorescence experiments.

Patented technology
Our RabMAb® technology is a patented hybridoma-based technology for making rabbit monoclonal antibodies. For details on our patents, please refer to RabMAb® patents.

What are the advantages of a recombinant monoclonal antibody?
This product is a recombinant monoclonal antibody, which offers several advantages including:

  • - High batch-to-batch consistency and reproducibility
  • - Improved sensitivity and specificity
  • - Long-term security of supply
  • - Animal-free batch production

For more information, read more on recombinant antibodies.

性能和储存信息

形式
Liquid
纯化工艺
Affinity purification Protein A
存储溶液
Preservative: 0.01% Sodium azide Constituents: PBS, 40% Glycerol (glycerin, glycerine), 0.05% BSA
运输条件
Blue Ice
推荐的短期储存时间
1-2 weeks
推荐的短期储存条件
+4°C
推荐的长期储存条件
-20°C
分装信息
Upon delivery aliquot
储存信息
Avoid freeze / thaw cycle

补充信息

This supplementary information is collated from multiple sources and compiled automatically.

Glyceraldehyde-3-phosphate dehydrogenase commonly known as GAPDH is an enzyme involved in glycolysis. Its molecular weight (MW) is approximately 36 kDa. The protein is expressed ubiquitously in almost all tissues reflecting its essential role in energy production. GAPDH catalyzes the sixth step of glycolysis converting glyceraldehyde-3-phosphate into 13-bisphosphoglycerate. Due to its stable expression researchers often use GAPDH as a loading control in western blot experiments.
Biological function summary

GAPDH serves important metabolic functions beyond its enzymatic role in glycolysis. It functions as part of a multi-enzyme complex within the cytoplasm which facilitates efficient substrate channeling during glycolysis. Additionally GAPDH has non-glycolytic roles including involvement in nuclear processes like RNA export and DNA repair. Its ubiquitous presence across different cellular compartments indicates its multiple functions beyond metabolic pathways.

Pathways

GAPDH integrates into significant cellular functions like the glycolytic pathway and apoptotic pathways. In glycolysis GAPDH collaborates with enzymes like phosphoglycerate kinase forming a cohesive link in the energy conversion chain. Its participation in apoptotic pathways highlights GAPDH's involvement in cellular death processes interacting with proteins like Bcl-2 to influence apoptosis progression. These roles reinforce its presence in central metabolic and regulatory pathways.

GAPDH has associations with neurodegenerative diseases and cancer. In neurodegenerative disorders such as Alzheimer's disease GAPDH's altered enzymatic activity is frequently observed influencing cellular energy homeostasis. Moreover overexpression or aberrant regulation of GAPDH relates to cancer cell proliferation and metastasis implicating proteins like p53 in these pathways. The diverse functions and interactions of GAPDH emphasize its importance in both normal cellular function and disease states.

产品实验方案

For this product, it's our understanding that no specific protocols are required. You can visit:

靶点信息

Has both glyceraldehyde-3-phosphate dehydrogenase and nitrosylase activities, thereby playing a role in glycolysis and nuclear functions, respectively (PubMed : 11724794, PubMed : 3170585). Glyceraldehyde-3-phosphate dehydrogenase is a key enzyme in glycolysis that catalyzes the first step of the pathway by converting D-glyceraldehyde 3-phosphate (G3P) into 3-phospho-D-glyceroyl phosphate (PubMed : 11724794, PubMed : 3170585). Modulates the organization and assembly of the cytoskeleton (By similarity). Facilitates the CHP1-dependent microtubule and membrane associations through its ability to stimulate the binding of CHP1 to microtubules (By similarity). Component of the GAIT (gamma interferon-activated inhibitor of translation) complex which mediates interferon-gamma-induced transcript-selective translation inhibition in inflammation processes (PubMed : 23071094). Upon interferon-gamma treatment assembles into the GAIT complex which binds to stem loop-containing GAIT elements in the 3'-UTR of diverse inflammatory mRNAs (such as ceruplasmin) and suppresses their translation (PubMed : 23071094). Also plays a role in innate immunity by promoting TNF-induced NF-kappa-B activation and type I interferon production, via interaction with TRAF2 and TRAF3, respectively (PubMed : 23332158, PubMed : 27387501). Participates in nuclear events including transcription, RNA transport, DNA replication and apoptosis (By similarity). Nuclear functions are probably due to the nitrosylase activity that mediates cysteine S-nitrosylation of nuclear target proteins such as SIRT1, HDAC2 and PRKDC (By similarity).
See full target information GAPDH

文献 (2473)

Recent publications for all applications. Explore the full list and refine your search

Journal of environmental pathology, toxicology and oncology : official organ of the International Society for Environmental Toxicology and Cancer 43:45-60 PubMed37824369

2024

Comprehensive Investigation of m6A Regulators for Prognosis in Head and Neck Squamous Cell Carcinoma.

Applications

Unspecified application

Species

Unspecified reactive species

Jingning Cheng,Yong Lyu,Ziyan Cheng

Food & function 15:809-822 PubMed38131354

2024

Preparation of microgels loaded with lycopene/NMN and their protective mechanism against acute liver injury.

Applications

Unspecified application

Species

Unspecified reactive species

Jian Ge,Luting Ye,Min Cheng,Weijia Xu,Zhaowen Chen,Feng Guan

Journal of inflammation (London, England) 20:46 PubMed38129904

2023

SARS-CoV-2 spike protein accelerates systemic sclerosis by increasing inflammatory cytokines, Th17 cells, and fibrosis.

Applications

Unspecified application

Species

Unspecified reactive species

Ha Yeon Jeong,Jin-Sil Park,Jin Seok Woo,Kun Hee Lee,Jeong Won Choi,Hye Yeon Kang,Hyun Sik Na,Yeon Su Lee,In Gyu Um,Sung-Hwan Park,Mi-La Cho

Current issues in molecular biology 45:10159-10178 PubMed38132480

2023

Improvement in Yield of Extracellular Vesicles Derived from Edelweiss Callus Treated with LED Light and Enhancement of Skin Anti-Aging Indicators.

Applications

Unspecified application

Species

Unspecified reactive species

Mi-Jung Kim,Hoon Ko,Ji-Young Kim,Hye-Jin Kim,Hwi-Yeob Kim,Hang-Eui Cho,Hyun-Dae Cho,Won-Sang Seo,Hee-Cheol Kang

Cell communication and signaling : CCS 21:356 PubMed38102610

2023

Neuronal-specific TNFAIP1 ablation attenuates postoperative cognitive dysfunction via targeting SNAP25 for K48-linked ubiquitination.

Applications

Unspecified application

Species

Unspecified reactive species

Wei Wang,Wenwei Gao,Ping Gong,Wenqin Song,Xueshan Bu,Jiabao Hou,Lei Zhang,Bo Zhao

Scientific reports 13:22164 PubMed38092761

2023

Morphological and cytoskeleton changes in cells after EMT.

Applications

Unspecified application

Species

Unspecified reactive species

Assel Nurmagambetova,Vadim Mustyatsa,Aleena Saidova,Ivan Vorobjev

Communications biology 6:1236 PubMed38062109

2023

CRISPRi gene modulation and all-optical electrophysiology in post-differentiated human iPSC-cardiomyocytes.

Applications

Unspecified application

Species

Unspecified reactive species

Julie L Han,Yuli W Heinson,Christianne J Chua,Wei Liu,Emilia Entcheva

Biomolecules & biomedicine : PubMed38059910

2023

Mechanism of adipose tissue-derived stromal cell-extracellular vesicles in treating oral submucous fibrosis by blocking the TGF-β1/Smad3 pathway via the miR-760-3p/IGF1R axis

Applications

Unspecified application

Species

Unspecified reactive species

Fengcong Wang,Li Jiang,Ping Liu,Yanjun Jiang

Oncology letters 27:18 PubMed38034486

2023

AKR1B10 inhibits the proliferation and metastasis of hepatocellular carcinoma cells by regulating the PI3K/AKT pathway.

Applications

Unspecified application

Species

Unspecified reactive species

Ke Tian,Ying Deng,Zhipeng Li,Huaxin Zhou,Hui Yao

Immunity, inflammation and disease 11:e969 PubMed38018594

2023

Long noncoding RNA X-inactive specific transcript (lncRNA XIST) inhibits hepatic insulin resistance by competitively binding microRNA-182-5p.

Applications

Unspecified application

Species

Unspecified reactive species

Guoqing Zhong,Qingping Yang,Yihua Wang,Yuan Liang,Xiaojing Wang,Dongli Zhao
View all publications

Abcam Product Promise

我们致力于为您的研究提供高质量的试剂,为您科研的每一步提供支持。若我们的产品未能达到预期性能,我们向您提供 Abcam Product Promise 保障。
详情请参阅我们的条款与条件。

关联产品

Select an associated product type
Alternative Product
Reagents, Controls & Accessories

AB267832

GAPDH positive control ChIP primer pair

reagents

gapdh-positive-control-chip-primer-pair-ab267832

0

(0 reviews)

Alternative Product
Primary Antibodies

AB210113

Anti-GAPDH antibody - Loading Control

primary-antibodies

gapdh-antibody-loading-control-ab210113

0

(0 reviews)

Alternative Product
Primary Antibodies

AB37168

Anti-GAPDH antibody - Loading Control

primary-antibodies

gapdh-antibody-loading-control-ab37168

5

(2 reviews)

Alternative Product
Primary Antibodies

AB8245

Anti-GAPDH antibody [6C5] - Loading Control

primary-antibodies

gapdh-antibody-6c5-loading-control-ab8245

5

(100 reviews)

Alternative Product
Primary Antibodies

AB83956

Anti-GAPDH antibody - Loading Control

primary-antibodies

gapdh-antibody-loading-control-ab83956

0

(0 reviews)

Alternative Product
Primary Antibodies

AB125247

Anti-GAPDH antibody [GA1R] - Loading Control

primary-antibodies

gapdh-antibody-ga1r-loading-control-ab125247

5

(7 reviews)

Alternative Product
Primary Antibodies

AB263962

Anti-GAPDH antibody - Loading Control

primary-antibodies

gapdh-antibody-loading-control-ab263962

0

(0 reviews)

Alternative Product
Primary Antibodies

AB22555

Anti-GAPDH antibody - Loading Control

primary-antibodies

gapdh-antibody-loading-control-ab22555

5

(4 reviews)

Alternative Product
Primary Antibodies

AB226408

Anti-GAPDH antibody [12G11] - Loading Control

primary-antibodies

gapdh-antibody-12g11-loading-control-ab226408

0

(1 reviews)

Alternative Product
Primary Antibodies

AB245355

Anti-GAPDH antibody - Loading Control

primary-antibodies

gapdh-antibody-loading-control-ab245355

0

(0 reviews)

Alternative Product
Primary Antibodies

AB245357

Anti-GAPDH antibody - Loading Control

primary-antibodies

gapdh-antibody-loading-control-ab245357

0

(0 reviews)

Alternative Product
Primary Antibodies

AB70699

Anti-GAPDH antibody - Loading Control

primary-antibodies

gapdh-antibody-loading-control-ab70699

0

(0 reviews)

Alternative Product
Primary Antibodies

AB157156

Anti-GAPDH antibody - Loading Control

primary-antibodies

gapdh-antibody-loading-control-ab157156

1

(2 reviews)

Alternative Product
Primary Antibodies

AB9484

Anti-GAPDH antibody [mAbcam 9484] - Loading Control

primary-antibodies

gapdh-antibody-mabcam-9484-loading-control-ab9484

5

(56 reviews)

Alternative Product
Primary Antibodies

AB9485

Anti-GAPDH antibody - Loading Control

primary-antibodies

gapdh-antibody-loading-control-ab9485

5

(88 reviews)

Please note: All products are 'FOR RESEARCH USE ONLY. NOT FOR USE IN DIAGNOSTIC OR THERAPEUTIC PROCEDURES'.

For licensing inquiries, please contact partnerships@abcam.com