JavaScript is disabled in your browser. Please enable JavaScript to view this website.
AB182576

重组Anti-Gankyrin抗体[EPR14455]

Anti-Gankyrin antibody [EPR14455]

5

(2 Reviews)

|

(12 Publications)

Rabbit Recombinant Monoclonal Gankyrin antibody. Suitable for WB, ICC/IF, Flow Cyt (Intra), IHC-P and reacts with Human samples. Cited in 12 publications.

查看别名

26S proteasome non-ATPase regulatory subunit 10, 26S proteasome regulatory subunit p28, Gankyrin, p28(GANK), PSMD10

6 Images
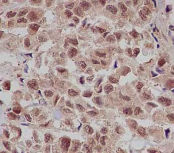
Immunohistochemistry (Formalin/PFA-fixed paraffin-embedded sections) - Anti-Gankyrin antibody [EPR14455] (AB182576)
  • IHC-P

Supplier Data

Immunohistochemistry (Formalin/PFA-fixed paraffin-embedded sections) - Anti-Gankyrin antibody [EPR14455] (AB182576)

Immunohistochemical analysis of paraffin-embedded Human lung adenocarcinoma tissue labeling Gankyrin using ab182576 at 1/100 dilution. A Ready to use HRP Polymer for Rabbit IgG was used as secondary. Counterstain : Hematoxylin.

Perform heat mediated antigen retrieval with EDTA buffer pH 9 before commencing with IHC staining protocol.

Immunocytochemistry/ Immunofluorescence - Anti-Gankyrin antibody [EPR14455] (AB182576)
  • ICC/IF

Supplier Data

Immunocytochemistry/ Immunofluorescence - Anti-Gankyrin antibody [EPR14455] (AB182576)

Immunofluorescence analysis of 293 cells labeling Gankyrin using ab182576 at 1/100 dilution. A Goat anti rabbit IgG (Alexa Fluor555) at 1/200 dilution was used as secondary antibody. Cells were fixed with 4% paraformaldehyde.

Immunohistochemistry (Formalin/PFA-fixed paraffin-embedded sections) - Anti-Gankyrin antibody [EPR14455] (AB182576)
  • IHC-P

Supplier Data

Immunohistochemistry (Formalin/PFA-fixed paraffin-embedded sections) - Anti-Gankyrin antibody [EPR14455] (AB182576)

Immunohistochemical analysis of paraffin-embedded human infiltrating duct carcinoma of breast tissue labeling Gankyrin using ab182576 at 1/100 dilution. A ready to use HRP Polymer for Rabbit IgG was used as secondary.

Counterstain : Hematoxylin.

Perform heat mediated antigen retrieval with EDTA buffer pH 9 before commencing with IHC staining protocol.

Flow Cytometry (Intracellular) - Anti-Gankyrin antibody [EPR14455] (AB182576)
  • Flow Cyt (Intra)

Supplier Data

Flow Cytometry (Intracellular) - Anti-Gankyrin antibody [EPR14455] (AB182576)

Intracellular Flow Cytometry analysis ofK562 cells labeling Gankyrin using ab182576 at 1/80 dilution. A Goat anti rabbit IgG (FITC) at 1/150 dilution was used as secondary antibody. Cells were fixed with 2% paraformaldehyde. Isotype control : Rabbit monoclonal IgG.

Western blot - Anti-Gankyrin antibody [EPR14455] (AB182576)
  • WB

Lab

Western blot - Anti-Gankyrin antibody [EPR14455] (AB182576)

Lanes 1-4 : Merged signal (red and green). Green - ab182576 observed at 24 kDa. Red - loading control ab8245 observed at 36 kDa.

ab182576 Anti-Gankyrin antibody [EPR14455] was shown to specifically react with Gankyrin in wild-type HeLa cells. Loss of signal was observed when knockout cell line ab265680 (knockout cell lysate ab258146) was used. Wild-type and Gankyrin knockout samples were subjected to SDS-PAGE. ab182576 and Anti-GAPDH antibody [6C5] - Loading Control (ab8245) were incubated overnight at 4°C at 1 in 1000 dilution and 1 in 20000 dilution respectively. Blots were developed with Goat anti-Rabbit IgG H&L (IRDye® 800CW) preadsorbed (ab216773) and Goat anti-Mouse IgG H&L (IRDye® 680RD) preadsorbed (ab216776) secondary antibodies at 1 in 20000 dilution for 1 hour at room temperature before imaging.

All lanes:

Western blot - Anti-Gankyrin antibody [EPR14455] (ab182576) at 1/1000 dilution

Lane 1:

Wild-type HeLa (Human epithelial cell line from cervix adenocarcinoma) whole cell lysate at 20 µg

Lane 2:

PSMD10 knockout HeLa (Human epithelial cell line from cervix adenocarcinoma) whole cell lysate at 20 µg

Lane 2:

Western blot - Human PSMD10 (Gankyrin) knockout HeLa cell line (<a href='/products/cell-lines/human-psmd10-gankyrin-knockout-hela-cell-line-ab265680'>ab265680</a>)

Lane 3:

K562 (Human chronic myelogenous leukemia lymphoblast cell line) whole cell lysate at 20 µg

Lane 4:

HepG2 (Human liver hepatocellular carcinoma cell line) whole cell lysate at 20 µg

Secondary

All lanes:

Western blot - Goat anti-Rabbit IgG H&L (IRDye® 800CW) preadsorbed (<a href='/products/secondary-antibodies/goat-rabbit-igg-h-l-irdye-800cw-preadsorbed-ab216773'>ab216773</a>) at 1/10000 dilution

Predicted band size: 24 kDa

Observed band size: 24 kDa

false

Western blot - Anti-Gankyrin antibody [EPR14455] (AB182576)
  • WB

Supplier Data

Western blot - Anti-Gankyrin antibody [EPR14455] (AB182576)

All lanes:

Western blot - Anti-Gankyrin antibody [EPR14455] (ab182576) at 1/10000 dilution

Lane 1:

HeLa cell lysate at 20 µg

Lane 2:

HepG2 cell lysate at 20 µg

Lane 3:

K562 cell lysate at 20 µg

Lane 4:

293 cell lysate at 20 µg

Secondary

All lanes:

Goat Anti-Rabbit IgG, (H+L), Peroxidase conjugated at 1/1000 dilution

Predicted band size: 24 kDa

false

关键信息

宿主种属

Rabbit

克隆

Monoclonal

克隆号

EPR14455

亚型

IgG

不含载体蛋白

No

反应种属

Human

应用

IHC-P, WB, ICC/IF, Flow Cyt (Intra)

applications

免疫原

The exact immunogen used to generate this antibody is proprietary information.

反应性数据

{ "title": "Reactivity Data", "filters": { "stats": ["", "Species", "Dilution Info", "Notes"], "tabs": { "all-applications": {"fullname" : "All Applications", "shortname": "All Applications"}, "WB" : {"fullname" : "Western blot", "shortname":"WB"}, "ICCIF" : {"fullname" : "Immunocytochemistry/ Immunofluorescence", "shortname":"ICC/IF"}, "FlowCytIntra" : {"fullname" : "Flow Cytometry (Intracellular)", "shortname":"Flow Cyt (Intra)"}, "IHCP" : {"fullname" : "Immunohistochemistry (Formalin/PFA-fixed paraffin-embedded sections)", "shortname":"IHC-P"} }, "product-promise": { "all": "all", "testedAndGuaranteed": "tested", "guaranteed": "expected", "predicted": "predicted", "notRecommended": "not-recommended" } }, "values": { "Human": { "WB-species-checked": "testedAndGuaranteed", "WB-species-dilution-info": "1/1000 - 1/10000", "WB-species-notes": "<p></p>", "ICCIF-species-checked": "testedAndGuaranteed", "ICCIF-species-dilution-info": "1/100", "ICCIF-species-notes": "<p></p>", "FlowCytIntra-species-checked": "testedAndGuaranteed", "FlowCytIntra-species-dilution-info": "1/80", "FlowCytIntra-species-notes": "<p><a href='/products/primary-antibodies/rabbit-igg-monoclonal-epr25a-isotype-control-ab172730'>ab172730</a> - Rabbit monoclonal IgG, is suitable for use as an isotype control with this antibody.</p>", "IHCP-species-checked": "testedAndGuaranteed", "IHCP-species-dilution-info": "1/50 - 1/100", "IHCP-species-notes": "<p></p> Perform heat-mediated antigen retrieval with Tris/EDTA buffer pH 9.0 before commencing with IHC staining protocol." }, "Mouse": { "WB-species-checked": "predicted", "WB-species-dilution-info": "", "WB-species-notes": "", "ICCIF-species-checked": "predicted", "ICCIF-species-dilution-info": "", "ICCIF-species-notes": "", "FlowCytIntra-species-checked": "predicted", "FlowCytIntra-species-dilution-info": "", "FlowCytIntra-species-notes": "", "IHCP-species-checked": "predicted", "IHCP-species-dilution-info": "", "IHCP-species-notes": "" }, "Rat": { "WB-species-checked": "predicted", "WB-species-dilution-info": "", "WB-species-notes": "", "ICCIF-species-checked": "predicted", "ICCIF-species-dilution-info": "", "ICCIF-species-notes": "", "FlowCytIntra-species-checked": "predicted", "FlowCytIntra-species-dilution-info": "", "FlowCytIntra-species-notes": "", "IHCP-species-checked": "predicted", "IHCP-species-dilution-info": "", "IHCP-species-notes": "" } } }

产品详情

Patented technology
Our RabMAb® technology is a patented hybridoma-based technology for making rabbit monoclonal antibodies. For details on our patents, please refer to RabMAb® patents.

What are the advantages of a recombinant monoclonal antibody?
This product is a recombinant monoclonal antibody, which offers several advantages including:

  • - High batch-to-batch consistency and reproducibility
  • - Improved sensitivity and specificity
  • - Long-term security of supply
  • - Animal-free batch production

For more information, read more on recombinant antibodies.

性能和储存信息

形式
Liquid
纯化工艺
Affinity purification Protein A
存储溶液
pH: 7.2 Preservative: 0.01% Sodium azide Constituents: PBS, 40% Glycerol (glycerin, glycerine), 0.05% BSA
运输条件
Blue Ice
推荐的短期储存时间
1-2 weeks
推荐的短期储存条件
+4°C
推荐的长期储存条件
-20°C
分装信息
Upon delivery aliquot
储存信息
Avoid freeze / thaw cycle

补充信息

This supplementary information is collated from multiple sources and compiled automatically.

Gankyrin or PSMD10 is an oncogene with a molecular mass of around 25 kDa. It is a small heat-stable protein predominantly expressed in the cytoplasm of various tissues. The protein contains multiple ankyrin repeats that facilitate protein-protein interactions. It is overexpressed in many types of cancer tissues including liver breast and lung cancer. Gankyrin interacts with various cell cycle regulators and serves as an adaptor molecule enhancing its significance in cellular processes.
Biological function summary

Gankyrin enhances the degradation of the retinoblastoma protein (pRb) as part of the 26S proteasome complex. This function disrupts normal cell cycle control promoting cell proliferation. Gankyrin binds directly to the cyclin-dependent kinase 4 (CDK4) and MDM2 which regulate pRb and p53 tumor suppressor pathways. Overexpression of Gankyrin contributes to cellular transformation and oncogenesis by regulating cell cycle progression and apoptosis.

Pathways

Gankyrin participates actively in p53 and ubiquitin-proteasome pathways. The protein facilitates ubiquitination and degradation of key regulators including p53 and pRb altering the stability of these proteins. Gankyrin interacts with proteins like MDM2 and HDAC1 influencing their roles in tumor development through these pathways. Its presence in these pathways contributes to unchecked cell growth by evading normal tumor suppressor mechanisms.

Gankyrin has strong associations with cancer particularly in hepatocellular carcinoma and colorectal cancer. In these cancers it influences tumor progression and metastasis by altering the functions of proteins within the p53 pathway such as MDM2 and pRb. In hepatocellular carcinoma increased Gankyrin activity correlates with poor prognosis and aggressive tumor behavior while in colorectal cancer its interaction with these proteins may contribute to chemotherapy resistance.

产品实验方案

For this product, it's our understanding that no specific protocols are required. You can visit:

靶点信息

Acts as a chaperone during the assembly of the 26S proteasome, specifically of the PA700/19S regulatory complex (RC). In the initial step of the base subcomplex assembly is part of an intermediate PSMD10 : PSMC4 : PSMC5 : PAAF1 module which probably assembles with a PSMD5 : PSMC2 : PSMC1 : PSMD2 module. Independently of the proteasome, regulates EGF-induced AKT activation through inhibition of the RHOA/ROCK/PTEN pathway, leading to prolonged AKT activation. Plays an important role in RAS-induced tumorigenesis.. Acts as an proto-oncoprotein by being involved in negative regulation of tumor suppressors RB1 and p53/TP53. Overexpression is leading to phosphorylation of RB1 and proteasomal degradation of RB1. Regulates CDK4-mediated phosphorylation of RB1 by competing with CDKN2A for binding with CDK4. Facilitates binding of MDM2 to p53/TP53 and the mono- and polyubiquitination of p53/TP53 by MDM2 suggesting a function in targeting the TP53 : MDM2 complex to the 26S proteasome. Involved in p53-independent apoptosis. Involved in regulation of NF-kappa-B by retaining it in the cytoplasm. Binds to the NF-kappa-B component RELA and accelerates its XPO1/CRM1-mediated nuclear export.
See full target information 26S proteasome non-ATPase regulatory subunit 10

文献 (12)

Recent publications for all applications. Explore the full list and refine your search

Oncoimmunology 12:2173422 PubMed36776524

2023

Gankyrin-mediated interaction between cancer cells and tumor-associated macrophages facilitates prostate cancer progression and androgen deprivation therapy resistance.

Applications

Unspecified application

Species

Unspecified reactive species

Guang Peng,Chao Wang,Hongru Wang,Min Qu,Keqin Dong,Yongwei Yu,Yuquan Jiang,Sishun Gan,Xu Gao

BMC cancer 22:922 PubMed36028821

2022

Hsa-miR-1248 suppressed the proliferation, invasion and migration of colorectal cancer cells via inhibiting PSMD10.

Applications

Unspecified application

Species

Unspecified reactive species

Chengxing Wang,Bin Wang,Weijun Liang,Chaorong Zhou,Weixing Lin,Zijie Meng,Wanting Wu,Meimei Wu,Yuehua Liao,Xiaoping Li,Jinglin Zhao,Yaoming He

Cell death discovery 8:312 PubMed35810157

2022

Gankyrin modulated non-small cell lung cancer progression via glycolysis metabolism in a YAP1-dependent manner.

Applications

Unspecified application

Species

Unspecified reactive species

Tong Yu,Yanyan Liu,Junwen Xue,Xiang Sun,Di Zhu,Lu Ma,Yingying Guo,Tongzhu Jin,Huiying Cao,Yingzhun Chen,Tong Zhu,Xuelian Li,Haihai Liang,Zhimin Du,Hongli Shan

Biomolecules 12: PubMed35740881

2022

Metformin Induces Resistance of Cancer Cells to the Proteasome Inhibitor Bortezomib.

Applications

Unspecified application

Species

Unspecified reactive species

Camille Schlesser,Thomas Meul,Georgios Stathopoulos,Silke Meiners

Blood advances 4:6023-6033 PubMed33284947

2020

Quantitative expression of Ikaros, IRF4, and PSMD10 proteins predicts survival in VRD-treated patients with multiple myeloma.

Applications

Unspecified application

Species

Unspecified reactive species

Irena Misiewicz-Krzeminska,Cristina de Ramón,Luis A Corchete,Patryk Krzeminski,Elizabeta A Rojas,Isabel Isidro,Ramón García-Sanz,Joaquín Martínez-López,Albert Oriol,Joan Bladé,Juan-José Lahuerta,Jesús San Miguel,Laura Rosiñol,María-Victoria Mateos,Norma C Gutiérrez

Cell reports 32:108059 PubMed32846138

2020

Mitochondrial Regulation of the 26S Proteasome.

Applications

Unspecified application

Species

Unspecified reactive species

Thomas Meul,Korbinian Berschneider,Sabine Schmitt,Christoph H Mayr,Laura F Mattner,Herbert B Schiller,Ayse S Yazgili,Xinyuan Wang,Christina Lukas,Camille Schlesser,Cornelia Prehn,Jerzy Adamski,Elisabeth Graf,Thomas Schwarzmayr,Fabiana Perocchi,Alexandra Kukat,Aleksandra Trifunovic,Laura Kremer,Holger Prokisch,Bastian Popper,Christine von Toerne,Stefanie M Hauck,Hans Zischka,Silke Meiners

Cell death & disease 11:117 PubMed32051393

2020

Blocking the autocrine regulatory loop of Gankyrin/STAT3/CCL24/CCR3 impairs the progression and pazopanib resistance of clear cell renal cell carcinoma.

Applications

Unspecified application

Species

Unspecified reactive species

Chao Wang,Yuning Wang,Tianyu Hong,Bing Cheng,Sishun Gan,Linbao Chen,Jing Zhang,Li Zuo,Jian Li,Xingang Cui

Journal of cachexia, sarcopenia and muscle 10:903-918 PubMed31020810

2019

Amelioration of muscle wasting by glucagon-like peptide-1 receptor agonist in muscle atrophy.

Applications

Unspecified application

Species

Unspecified reactive species

Yeonhee Hong,Jong Han Lee,Kwang Won Jeong,Cheol Soo Choi,Hee-Sook Jun

Cell death & disease 10:86 PubMed30692513

2019

The long non-coding RNA Linc-GALH promotes hepatocellular carcinoma metastasis via epigenetically regulating Gankyrin.

Applications

Unspecified application

Species

Unspecified reactive species

Xiaoliang Xu,Yun Lou,Junwei Tang,Yue Teng,Zechuan Zhang,Yin Yin,Han Zhuo,Zhongming Tan

Cellular physiology and biochemistry : internation 49:1420-1430 PubMed30205410

2018

Chronic Microcystin-LR Exposure Induces Hepatocarcinogenesis via Increased Gankyrin in Vitro and in Vivo.

Applications

Unspecified application

Species

Unspecified reactive species

Lixiong He,Yujing Huang,Qiaonan Guo,Hui Zeng,Chuanfen Zheng,Jia Wang,Ji-An Chen,Lingqiao Wang,Weiqun Shu
View all publications

Abcam Product Promise

我们致力于为您的研究提供高质量的试剂,为您科研的每一步提供支持。若我们的产品未能达到预期性能,我们向您提供 Abcam Product Promise 保障。
详情请参阅我们的条款与条件。

Please note: All products are 'FOR RESEARCH USE ONLY. NOT FOR USE IN DIAGNOSTIC OR THERAPEUTIC PROCEDURES'.

For licensing inquiries, please contact partnerships@abcam.com