JavaScript is disabled in your browser. Please enable JavaScript to view this website.
AB81299

Anti-gamma H2A.X (phospho S139) 抗体 [EP854(2)Y]

Anti-gamma H2A.X (phospho S139) antibody [EP854(2)Y]

  • BOND RX™ Validated
  • 20ul selling size
  • RabMAb
  • Recombinant
  • 了解详情

4

(18 Reviews)

|

(478 Publications)

Anti-gamma H2A.X (phospho S139) antibody [EP854(2)Y] (ab81299) is a rabbit monoclonal antibody detecting gamma H2A.X in Western Blot, IP, IHC-P, ICC/IF, Dot Blot. Suitable for Human, Mouse, Rat.

- Biophysical QC for unrivalled batch-batch consistency
- Over 270 publications
- Trusted since 2009

查看别名

H2AFX, H2AX, Histone H2AX, H2a/x, Histone H2A.X, H2AS139p, H2AXS139p, H2A.XS139p

17 Images
Immunocytochemistry/ Immunofluorescence - Anti-gamma H2A.X (phospho S139) antibody [EP854(2)Y] (AB81299)
  • ICC/IF

Unknown

Immunocytochemistry/ Immunofluorescence - Anti-gamma H2A.X (phospho S139) antibody [EP854(2)Y] (AB81299)

Immunocytochemistry/Immunofluorescence analysis of HeLa cells (untreated and treated with H2O2) labelling Histone H2A.X (phospho S139) with ab81299 at 1/250. Cells were fixed with 4% paraformaldehyde and permeabilized with 0.1% Triton X-100. ab150077, an Alexa Fluor® 488-conjugated goat anti-rabbit IgG (1/1000) was used as the secondary antibody. The cells were co-stained with ab7291, a mouse anti-tubulin (1/1000) using ab150120, an Alexa Fluor® 594-conjugated goat anti-mouse IgG (1/1000) as the secondary antibody. Nuclei counterstained with DAPI (blue).

Control 1 : primary antibody (1/250) and secondary antibody, ab150120, an Alexa Fluor® 594-conjugated goat anti-mouse IgG (1/1000).

Control 2 : ab7291 (1/1000) and secondary antibody, ab150077, an Alexa Fluor® 488-conjugated goat anti-rabbit IgG (1/500).

Immunohistochemistry (Formalin/PFA-fixed paraffin-embedded sections) - Anti-gamma H2A.X (phospho S139) antibody [EP854(2)Y] (AB81299)
  • IHC-P

Unknown

Immunohistochemistry (Formalin/PFA-fixed paraffin-embedded sections) - Anti-gamma H2A.X (phospho S139) antibody [EP854(2)Y] (AB81299)

Immunohistochemical staining of paraffin embedded human brain with unpurified ab81299 at a working dilution of 1 in 50. The secondary antibody used is a HRP polymer for rabbit IgG. The sample is counter-stained with hematoxylin. Antigen retrieval was perfomed using Tris-EDTA buffer, pH 9.0.

Immunohistochemistry (Formalin/PFA-fixed paraffin-embedded sections) - Anti-gamma H2A.X (phospho S139) antibody [EP854(2)Y] (AB81299)
  • IHC-P

Supplier Data

Immunohistochemistry (Formalin/PFA-fixed paraffin-embedded sections) - Anti-gamma H2A.X (phospho S139) antibody [EP854(2)Y] (AB81299)

Immunohistochemical analysis of paraffin-embedded Human cervical carcinoma tissue labeling gamma H2A.X with ab81299 at 1/3000 (0.352 ug/ml). Nuclear staining on human cervical carcinoma without lambda protein phosphatase treatment (image A). No signal was detected when tissues were treated with lambda protein phosphatase (image B). The section was incubated with ab81299 for 15 mins at room temperature. The immunostaining was performed on a Leica Biosystems BOND® RX instrument. Counterstained with Hematoxylin. Secondary antibody only control : Secondary antibody is a ready to use ab209101. Heat mediated antigen retrieval was performed with Citrate buffer (pH 6.0, Epitope Retrieval Solution 1) for 20 mins.

Immunocytochemistry/ Immunofluorescence - Anti-gamma H2A.X (phospho S139) antibody [EP854(2)Y] (AB81299)
  • ICC/IF

Unknown

Immunocytochemistry/ Immunofluorescence - Anti-gamma H2A.X (phospho S139) antibody [EP854(2)Y] (AB81299)

Immunofluorescence staining of A549 (Human lung carcinoma cell line) labeling gamma H2A.X (phospho S139) (green) with ab81299.

Cells were fixed in 4% paraformaldehyde for 15 minutes and permeabilized in PBS-0.2% Triton for 10 minutes. After blocked for 1 hour, primary antibody was diluted in blocking buffer (1/100) and incubated with fixed cells overnight at 4°C. Cells were washed and incubated with secondary antibodies (1/100) for 1 hour at room temperature. All slides were counterstained with 4′,6-diamidino-2-phenylindole (DAPI). Immunofluorescence was performed using confocal laser scanning microscopy (Lecia) or fluorescence microscopy (Olympus).

Dexamethasone, DEX; Cisplatin, DDP.

Immunohistochemistry (Formalin/PFA-fixed paraffin-embedded sections) - Anti-gamma H2A.X (phospho S139) antibody [EP854(2)Y] (AB81299)
  • IHC-P

Supplier Data

Immunohistochemistry (Formalin/PFA-fixed paraffin-embedded sections) - Anti-gamma H2A.X (phospho S139) antibody [EP854(2)Y] (AB81299)

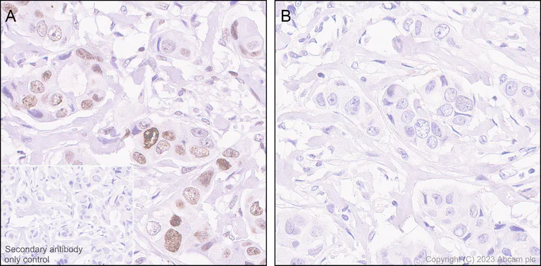
Immunohistochemical analysis of paraffin-embedded Human breast carcinoma tissue labeling gamma H2A.X with ab81299 at 1/3000 (0.352 ug/ml). Nuclear staining on human breast carcinoma without lambda protein phosphatase treatment (image A). No signal was detected when tissues were treated with lambda protein phosphatase (image B). The section was incubated with ab81299 for 15 mins at room temperature. The immunostaining was performed on a Leica Biosystems BOND® RX instrument. Counterstained with Hematoxylin. Secondary antibody only control : Secondary antibody is a ready to use ab209101. Heat mediated antigen retrieval was performed with Citrate buffer (pH 6.0, Epitope Retrieval Solution 1) for 20 mins.

Immunohistochemistry (Formalin/PFA-fixed paraffin-embedded sections) - Anti-gamma H2A.X (phospho S139) antibody [EP854(2)Y] (AB81299)
  • IHC-P

Unknown

Immunohistochemistry (Formalin/PFA-fixed paraffin-embedded sections) - Anti-gamma H2A.X (phospho S139) antibody [EP854(2)Y] (AB81299)

Immunohistochemical staining of paraffin embedded human brain with purified ab81299 at a working dilution of 1 in 100. The secondary antibody used is a HRP polymer for rabbit IgG. The sample is counter-stained with hematoxylin. Antigen retrieval was perfomed using Tris-EDTA buffer, pH 9.0.

Immunohistochemistry (Formalin/PFA-fixed paraffin-embedded sections) - Anti-gamma H2A.X (phospho S139) antibody [EP854(2)Y] (AB81299)
  • IHC-P

Unknown

Immunohistochemistry (Formalin/PFA-fixed paraffin-embedded sections) - Anti-gamma H2A.X (phospho S139) antibody [EP854(2)Y] (AB81299)

Immunohistochemical analysis of formalin/PFA-fixed paraffin-embedded human kidney transitional cell carcinoma using unpurified ab81299 at a dilution of 1/100.

Perform heat mediated antigen retrieval with citrate buffer pH 6 before commencing with IHC staining protocol.

Immunohistochemistry (Formalin/PFA-fixed paraffin-embedded sections) - Anti-gamma H2A.X (phospho S139) antibody [EP854(2)Y] (AB81299)
  • IHC-P

AbReview35291****

Immunohistochemistry (Formalin/PFA-fixed paraffin-embedded sections) - Anti-gamma H2A.X (phospho S139) antibody [EP854(2)Y] (AB81299)

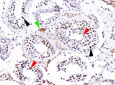
ab81299 staining H2A.X in Human Testis tissue sections by Immunohistochemistry (Formalin/PFA fixed paraffin embedded sections). Tissue was fixed with formaldehyde and blocked with 1% BSA for 10 minutes at 21°C; antigen retrieval was by heat mediation in Citric acid. Samples were incubated with primary antibody (1/50 in TBS) for 2 hours at 21°C. A biotin conjugated Anti-Rabbit IgG (goat polyclonal) was used as the secondary antibody at a 1/250 dilution.

This image is courtesy of an Abreview submitted by Carl Hobbs.

Immunoprecipitation - Anti-gamma H2A.X (phospho S139) antibody [EP854(2)Y] (AB81299)
  • IP

Unknown

Immunoprecipitation - Anti-gamma H2A.X (phospho S139) antibody [EP854(2)Y] (AB81299)

ab81299 at 1/40 immunoprecipitating Histone H2A.X (phospho S139) in HepG2 (human hepatocellular carcinoma epithelial) whole cell lysate observed at 15 KDa (lanes 1 and 2).

Lane 1 (input) : HepG2 treated with etoposide and TSA whole cell lysate 10μg
Lane 2 (+) : ab81299 + HepG2 treated with etoposide and TSA whole cell lysate
Lane 3 (-) : Rabbit monoclonal IgG (ab172730) instead of ab81299 in HepG2 treated with etoposide and TSA

For western blotting, ab81299 (Purified) at 1/200 dilution and VeriBlot for IP Detection Reagent (HRP) (ab131366), was used for detection at 1/1000 dilution.

Blocking buffer and concentration : 5% NFDM/TBST.
Diluting buffer and concentration : 5% NFDM /TBST.

All lanes:

Immunoprecipitation - Anti-gamma H2A.X (phospho S139) antibody [EP854(2)Y] (ab81299)

Predicted band size: 15 kDa

false

Exposure time: 30s

Western blot - Anti-gamma H2A.X (phospho S139) antibody [EP854(2)Y] (AB81299)
  • WB

Lab

Western blot - Anti-gamma H2A.X (phospho S139) antibody [EP854(2)Y] (AB81299)

Western blot : Rabbit Monoclonal [EP854(2)Y] to gamma H2A.X (phospho S139) ab81299 staining at 1/1000 dilution, shown in green; Mouse anti GAPDH (ab8245) loading control staining at 1/20,000 dilution, shown in magenta. A band was observed at 15 kDa in HepG2 Vehicle Control Etoposide (0 uM, 90 min) cell lysates with no signal observed at this size in HepG2 Etoposide treated (100 uM, 90 min) cell line. To generate this image, samples were run on an SDS-PAGE gel then transferred onto a nitrocellulose membrane. Membranes were blocked in 3pc BSA in TBS-0.1 % Tween® 20 (TBS-T) before incubation with primary antibodies overnight at 4 °C. Blots were washed four times in TBS-T, incubated with secondary antibodies for 1 h at room temperature, washed again four times then imaged. Secondary antibodies used were Goat anti-Rabbit 800CW & Goat anti-Mouse 680RD at 1/20,000 dilution.

All lanes:

Western blot - Anti-gamma H2A.X (phospho S139) antibody [EP854(2)Y] (ab81299) at 1/1000 dilution

Lane 1:

HepG2 Vehicle Control Etoposide (0 uM, 90 min) at 20 µg

Lane 2:

HepG2 Etoposide treated (100 uM, 90 min) at 20 µg

Lane 3:

Jurkat Vehicle Control Etoposide (0 uM, 90 min) at 20 µg

Lane 4:

Jurkat Treated Etoposide (100 uM, 90 min) at 20 µg

Lane 5:

Human Brain at 20 µg

Secondary

All lanes:

Goat anti-Rabbit 800CW & Goat anti-Mouse 680RD at 1/20000 dilution

Predicted band size: 15 kDa

Observed band size: 15 kDa

false

Western blot - Anti-gamma H2A.X (phospho S139) antibody [EP854(2)Y] (AB81299)
  • WB

Unknown

Western blot - Anti-gamma H2A.X (phospho S139) antibody [EP854(2)Y] (AB81299)

Blocking buffer - 5% NFDM/TBST

Diluting buffer - 1% BSA

All lanes:

Western blot - Anti-gamma H2A.X (phospho S139) antibody [EP854(2)Y] (ab81299) at 1/100000 dilution

Lane 1:

HepG2 cell lysate – treated with etoposide at 20 µg

Lane 2:

HepG2 cell lysate – untreated at 20 µg

Secondary

All lanes:

Western blot - Goat Anti-Rabbit IgG H&L (HRP) (<a href='/products/secondary-antibodies/goat-rabbit-igg-h-l-hrp-ab97051'>ab97051</a>) at 1/20000 dilution

Predicted band size: 15 kDa

false

Western blot - Anti-gamma H2A.X (phospho S139) antibody [EP854(2)Y] (AB81299)
  • WB

Unknown

Western blot - Anti-gamma H2A.X (phospho S139) antibody [EP854(2)Y] (AB81299)

All lanes:

Western blot - Anti-gamma H2A.X (phospho S139) antibody [EP854(2)Y] (ab81299) at 1/500000 dilution

Lane 1:

Jurkat cell lysate - untreated at 10 µg

Lane 2:

Jurkat cell lysate - treated with etoposide at 10 µg

Secondary

All lanes:

HRP Labelled goat anti-rabbit at 1/2000 dilution

Predicted band size: 15 kDa

Observed band size: 15 kDa

false

Western blot - Anti-gamma H2A.X (phospho S139) antibody [EP854(2)Y] (AB81299)
  • WB

Lab

Western blot - Anti-gamma H2A.X (phospho S139) antibody [EP854(2)Y] (AB81299)

Blocking and diluting buffer and concentration : 5% NFDM/TBST.

In Western blot, Anti-GAPDH antibody [EPR16891] - Loading Control (ab181602) staining at 1/1000000 dilution.

In Western blot, Anti-Histone H2A.X antibody [EPR895] - Nuclear Marker (ab124781) staining at 1/2000 dilution.

The identity of the bands between 25kDa and 50kDa are unknown.

All lanes:

Western blot - Anti-gamma H2A.X (phospho S139) antibody [EP854(2)Y] (ab81299) at 1/1000 dilution

Lane 1:

Untreated Jurkat (Human T cell leukemia T lymphocyte) whole cell lysate at 20 µg

Lane 2:

Jurkat treated with 25µM etoposide for 8 hours whole cell lysate at 20 µg

Lane 3:

Jurkat treated with 25µM etoposide for 8 hours whole cell lysate 20µg, then the membrane treated with Alkaline Phosphatase for 1 hour at 20 µg

Secondary

All lanes:

Western blot - Goat Anti-Rabbit IgG H&L (HRP) (<a href='/products/secondary-antibodies/goat-rabbit-igg-h-l-hrp-ab97051'>ab97051</a>) at 1/20000 dilution

Observed band size: 15 kDa

false

Exposure time: 60s

Western blot - Anti-gamma H2A.X (phospho S139) antibody [EP854(2)Y] (AB81299)
  • WB

Lab

Western blot - Anti-gamma H2A.X (phospho S139) antibody [EP854(2)Y] (AB81299)

Mouse anti GAPDH was used as a GAPDH loading control.

All lanes:

Western blot - Anti-gamma H2A.X (phospho S139) antibody [EP854(2)Y] (ab81299) at 1/1000 dilution

Lane 1:

HepG2 Vehicle Control Etoposide (0 uM, 90 min) at 20 µg

Lane 2:

HepG2 Etoposide treated (100 uM, 90 min) at 20 µg

Lane 3:

Jurkat Vehicle Control Etoposide (0 uM, 90 min) at 20 µg

Lane 4:

Jurkat Treated Etoposide (100 uM, 90 min) at 20 µg

Lane 5:

Human Brain at 20 µg

Predicted band size: 15 kDa

false

Western blot - Anti-gamma H2A.X (phospho S139) antibody [EP854(2)Y] (AB81299)
  • WB

Lab

Western blot - Anti-gamma H2A.X (phospho S139) antibody [EP854(2)Y] (AB81299)

Blocking and diluting buffer and concentration : 5% NFDM/TBST.

In Western blot, Anti-GAPDH antibody [EPR16891] - Loading Control (ab181602) staining at 1/1000000 dilution.

In Western blot, Anti-Histone H2A.X antibody [EPR895] - Nuclear Marker (ab124781) staining at 1/2000 dilution.

The identity of the bands between 20kDa and 75kDa are unknown.

All lanes:

Western blot - Anti-gamma H2A.X (phospho S139) antibody [EP854(2)Y] (ab81299) at 1/1000 dilution

Lane 1:

Untreated PC-12 (Rat adrenal gland pheochromocytoma) whole cell lysate at 20 µg

Lane 2:

PC-12 treated with 3µM etoposide for 1-hour whole cell lysate at 20 µg

Lane 3:

PC-12 treated with 3µM etoposide for 1-hour whole cell lysate 20µg, then the membrane treated with Alkaline Phosphatase for 1 hour at 20 µg

Secondary

All lanes:

Western blot - Goat Anti-Rabbit IgG H&L (HRP) (<a href='/products/secondary-antibodies/goat-rabbit-igg-h-l-hrp-ab97051'>ab97051</a>) at 1/20000 dilution

Observed band size: 15 kDa

false

Exposure time: 3s

Western blot - Anti-gamma H2A.X (phospho S139) antibody [EP854(2)Y] (AB81299)
  • WB

Lab

Western blot - Anti-gamma H2A.X (phospho S139) antibody [EP854(2)Y] (AB81299)

Blocking and diluting buffer and concentration : 5% NFDM/TBST.

In Western blot, Anti-GAPDH antibody [EPR16891] - Loading Control (ab181602) staining at 1/1000000 dilution.

In Western blot, Anti-Histone H2A.X antibody [EPR895] - Nuclear Marker (ab124781) staining at 1/2000 dilution.

The identity of the bands between 37kDa and 50kDa are unknown.

All lanes:

Western blot - Anti-gamma H2A.X (phospho S139) antibody [EP854(2)Y] (ab81299) at 1/1000 dilution

Lane 1:

Untreated NIH/3T3 (Mouse embryonic fibroblast) whole cell lysate at 20 µg

Lane 2:

NIH/3T3 treated with 30µg/ml etoposide for 4 hours, 500ng/ml Trichostatin A(TSA) was then added for additional 4 hours whole cell lysate at 20 µg

Lane 3:

NIH/3T3 treated with 30µg/ml etoposide for 4 hours, 500ng/ml Trichostatin A(TSA) was then added for additional 4 hours whole cell lysate 20µg, then the membrane treated with Alkaline Phosphatase for 1 hour at 20 µg

Secondary

All lanes:

Western blot - Goat Anti-Rabbit IgG H&L (HRP) (<a href='/products/secondary-antibodies/goat-rabbit-igg-h-l-hrp-ab97051'>ab97051</a>) at 1/20000 dilution

Observed band size: 15 kDa

false

Exposure time: 180s

Dot Blot - Anti-gamma H2A.X (phospho S139) antibody [EP854(2)Y] (AB81299)
  • Dot

Unknown

Dot Blot - Anti-gamma H2A.X (phospho S139) antibody [EP854(2)Y] (AB81299)

Dot blot analysis of Histone H2A.X single phospho peptide pS139 (lane 1) and Histone H2A.X non-phospho peptide (lane 2) with ab81299 at 1/1000. Blocking and diluting buffer was 5% NFDM/TBST. The secondary antibody used was ab97051 Peroxidase conjugated Goat Anti-Rabbit IgG, (H+L) at 1/100,000.

不同偶联物与剂型 (6)

  • 617 Alexa Fluor® 594

    Alexa Fluor® 594 Anti-gamma H2A.X (phospho S139) antibody [EP854(2)Y]

  • Carrier free

    Anti-gamma H2A.X (phospho S139) antibody [EP854(2)Y] - BSA and Azide free

  • 519 Alexa Fluor® 488

    Alexa Fluor® 488 Anti-gamma H2A.X (phospho S139) antibody [EP854(2)Y]

  • 665 Alexa Fluor® 647

    Alexa Fluor® 647 Anti-gamma H2A.X (phospho S139) antibody [EP854(2)Y]

  • HRP

    HRP Anti-gamma H2A.X (phospho S139) antibody [EP854(2)Y]

  • 565 Alexa Fluor® 555

    Alexa Fluor® 555 Anti-gamma H2A.X (phospho S139) antibody [EP854(2)Y]

关键信息

宿主种属

Rabbit

克隆

Monoclonal

克隆号

EP854(2)Y

亚型

IgG

不含载体蛋白

No

反应种属

Mouse, Rat, Human

应用

IP, WB, IHC-P, ICC/IF, Dot

applications

免疫原

The exact immunogen used to generate this antibody is proprietary information.

反应性数据

{ "title": "Reactivity Data", "filters": { "stats": ["", "Species", "Dilution Info", "Notes"], "tabs": { "all-applications": {"fullname" : "All Applications", "shortname": "All Applications"}, "IP" : {"fullname" : "Immunoprecipitation", "shortname":"IP"}, "Dot" : {"fullname" : "Dot Blot", "shortname":"Dot"}, "WB" : {"fullname" : "Western blot", "shortname":"WB"}, "IHCP" : {"fullname" : "Immunohistochemistry (Formalin/PFA-fixed paraffin-embedded sections)", "shortname":"IHC-P"}, "ICCIF" : {"fullname" : "Immunocytochemistry/ Immunofluorescence", "shortname":"ICC/IF"} }, "product-promise": { "all": "all", "testedAndGuaranteed": "tested", "guaranteed": "expected", "predicted": "predicted", "notRecommended": "not-recommended" } }, "values": { "Human": { "IP-species-checked": "testedAndGuaranteed", "IP-species-dilution-info": "1/40", "IP-species-notes": "<p></p>", "Dot-species-checked": "guaranteed", "Dot-species-dilution-info": "", "Dot-species-notes": "", "WB-species-checked": "testedAndGuaranteed", "WB-species-dilution-info": "1/1000 - 1/500000", "WB-species-notes": "<p></p>", "IHCP-species-checked": "testedAndGuaranteed", "IHCP-species-dilution-info": "", "IHCP-species-notes": "<p></p>", "ICCIF-species-checked": "testedAndGuaranteed", "ICCIF-species-dilution-info": "1/250", "ICCIF-species-notes": "<p></p>" }, "Mouse": { "IP-species-checked": "guaranteed", "IP-species-dilution-info": "", "IP-species-notes": "", "Dot-species-checked": "guaranteed", "Dot-species-dilution-info": "", "Dot-species-notes": "", "WB-species-checked": "testedAndGuaranteed", "WB-species-dilution-info": "1/1000 - 1/500000", "WB-species-notes": "<p></p>", "IHCP-species-checked": "notRecommended", "IHCP-species-dilution-info": "", "IHCP-species-notes": "<p></p>", "ICCIF-species-checked": "guaranteed", "ICCIF-species-dilution-info": "", "ICCIF-species-notes": "" }, "Rat": { "IP-species-checked": "guaranteed", "IP-species-dilution-info": "", "IP-species-notes": "", "Dot-species-checked": "guaranteed", "Dot-species-dilution-info": "", "Dot-species-notes": "", "WB-species-checked": "testedAndGuaranteed", "WB-species-dilution-info": "1/1000 - 1/500000", "WB-species-notes": "<p></p>", "IHCP-species-checked": "notRecommended", "IHCP-species-dilution-info": "", "IHCP-species-notes": "<p></p>", "ICCIF-species-checked": "guaranteed", "ICCIF-species-dilution-info": "", "ICCIF-species-notes": "" }, "Sheep": { "IP-species-checked": "predicted", "IP-species-dilution-info": "", "IP-species-notes": "", "Dot-species-checked": "predicted", "Dot-species-dilution-info": "", "Dot-species-notes": "", "WB-species-checked": "predicted", "WB-species-dilution-info": "", "WB-species-notes": "", "IHCP-species-checked": "notRecommended", "IHCP-species-dilution-info": "", "IHCP-species-notes": "", "ICCIF-species-checked": "predicted", "ICCIF-species-dilution-info": "", "ICCIF-species-notes": "" }, "Synthetic peptide - Human": { "IP-species-checked": "notRecommended", "IP-species-dilution-info": "", "IP-species-notes": "", "Dot-species-checked": "testedAndGuaranteed", "Dot-species-dilution-info": "1/1000", "Dot-species-notes": "<p></p>", "WB-species-checked": "notRecommended", "WB-species-dilution-info": "", "WB-species-notes": "", "IHCP-species-checked": "notRecommended", "IHCP-species-dilution-info": "", "IHCP-species-notes": "", "ICCIF-species-checked": "notRecommended", "ICCIF-species-dilution-info": "", "ICCIF-species-notes": "" } } }

产品详情

Anti-gamma H2A.X (phospho S139) antibody [EP854(2)Y] (ab81299) was developed by Abcam using patented rabbit monoclonal antibody technology and is validated for use in Dot Blot, ICC/IF, IHC-P, IP and WB.

Anti-gamma H2A.X (phospho S139) antibody [EP854(2)Y] (ab81299) was first used in a scientific publication in 2008 and has been cited over 272 times in peer reviewed journals. It's performance in Western Blot and immunofluorescence in human samples is trusted by the scientific community.

Abcam's high quality manufacturing and validation processes ensure Anti-gamma H2A.X (phospho S139) antibody [EP854(2)Y] (ab81299) has high sensitivity and specificity alongside high lot-to-lot consistency and reproducibility.

Anti-gamma H2A.X (phospho S139) antibody [EP854(2)Y] (ab81299) has 16 independent reviews from customers.

Anti-gamma H2A.X (phospho S139) antibody [EP854(2)Y] (ab81299) specifically detects gamma H2A.X Phospho-S139 (UniProt ID: P16104; Molecular weight: 16kDa) and is sold in a convenient trial size to enable initial testing (20 µL) and larger sizes for subsequent scaling up experiments (100 µL and 1 mL).

Conjugation-ready, carrier free format available for antibody clone EP854(2)Y - ab215967.

Antibody clone EP854(2)Y is also available pre-conjugated to a variety of labels for your convenience - Alexa Fluor® 488, Alexa Fluor® 647, HRP, Alexa Fluor® 594, Alexa Fluor® 555 (ab195188, ab195189, ab195190, ab206898, ab206900).

Gamma H2A.X (γH2A.X) is a phosphorylated form of the H2A histone family member X (H2AX), which plays a crucial role in the cellular response to DNA damage. When double-strand breaks occur in DNA, H2AX is rapidly phosphorylated at serine 139 to form γH2A.X. This modification serves as a marker for DNA damage and is essential for recruiting DNA repair proteins to the site of damage. Researchers use γH2A.X as a sensitive indicator of DNA double-strand breaks in studies of genotoxic stress, cancer and other conditions involving DNA damage and repair.

Patented technology
Our RabMAb® technology is a patented hybridoma-based technology for making rabbit monoclonal antibodies. For details on our patents, please refer to RabMAb® patents.

What are the advantages of a recombinant monoclonal antibody?
This product is a recombinant monoclonal antibody, which offers several advantages including:

  • - High batch-to-batch consistency and reproducibility
  • - Improved sensitivity and specificity
  • - Long-term security of supply
  • - Animal-free batch production

For more information, read more on recombinant antibodies.

性能和储存信息

形式
Liquid
纯化工艺
Affinity purification Protein A
存储溶液
pH: 7.2 - 7.4 Preservative: 0.01% Sodium azide Constituents: PBS, 40% Glycerol (glycerin, glycerine), 0.05% BSA
运输条件
Blue Ice
推荐的短期储存时间
1-2 weeks
推荐的短期储存条件
+4°C
推荐的长期储存条件
-20°C
分装信息
Upon delivery aliquot
储存信息
Avoid freeze / thaw cycle

补充信息

This supplementary information is collated from multiple sources and compiled automatically.

Gamma H2A.X also known as phospho H2A.X or γH2A.X is a phosphorylated form of the histone variant H2A.X. It has a molecular weight of about 14 kilodaltons and occurs primarily in they nucleus. When DNA double-strand breaks (DSBs) occur serine 139 in H2A.X undergoes rapid phosphorylation resulting in gamma H2A.X. This modification happens swiftly at the site of damage and gamma H2A.X spreads over a large chromatin area facilitating the recruitment of DNA repair proteins. Gamma H2A.X staining typically evaluated using gamma H2A.X immunofluorescence techniques aids in identifying the presence and extent of DNA damage.
Biological function summary

Gamma H2A.X plays a role in DNA damage response and repair. It does not operate alone; it acts as part of a complex with other repair proteins. The formation of gamma H2A.X foci at DNA damage sites creates a signal attracting repair factors that help maintain genome stability. Its interaction with MDC1 and ATM proteins exemplifies its significant role in orchestrating an effective response to DNA damage. Beyond DNA repair gamma H2A.X influences cell cycle checkpoints permitting cells to pause and repair before proceeding with division.

Pathways

Gamma H2A.X plays a pivotal role in the DNA damage response (DDR) pathway. This pathway is essential for detecting and repairing DNA lesions to uphold genomic integrity. Within the DDR pathway gamma H2A.X is closely associated with proteins such as NBS1 and BRCA1 which assist in repairing double-strand breaks. In addition gamma H2A.X is integral to the ATM-ATR signaling pathway where its activation promotes cell survival following genotoxic stress by signaling for damage repair or triggering apoptosis.

Gamma H2A.X has connections to cancer and neurodegeneration. Aberrant DNA repair pathways often indicated by persistent gamma H2A.X signals correlate with tumor formation and progression. For instance a failure to repair DNA damage effectively can lead to mutations that drive cancer development. Gamma H2A.X also links to neurodegenerative diseases where dysregulated DNA repair contributes to neuronal cell death. Proteins like p53 which regulate cell cycle and apoptosis further connect to gamma H2A.X bridging its role in disease pathogenesis.

产品实验方案

For this product, it's our understanding that no specific protocols are required. You can visit:

靶点信息

The protein expressed by the H2AX gene is a variant histone H2A that replaces conventional H2A in certain nucleosomes, which are responsible for wrapping and compacting DNA into chromatin. This compaction limits DNA accessibility to cellular machineries that require DNA as a template, placing histones at the center of transcription regulation, DNA repair, DNA replication, and chromosomal stability. DNA accessibility is controlled through a complex array of post-translational histone modifications, known as the histone code, and nucleosome remodeling. The H2AX protein is essential for the checkpoint-mediated arrest of cell cycle progression in response to low doses of ionizing radiation and for the efficient repair of DNA double strand breaks (DSBs), particularly when it undergoes C-terminal phosphorylation. This supplementary information is collated from multiple sources and compiled automatically.
See full target information H2AX phospho S139

文献 (478)

Recent publications for all applications. Explore the full list and refine your search

Cellular & molecular biology letters 30:109 PubMed41039223

2025

RSL3 promotes PARP1 apoptotic functions by distinct mechanisms during ferroptosis.

Applications

Unspecified application

Species

Unspecified reactive species

Dejian Chen,Fei Xie,Yimei Mo,Dan Qin,Binjiao Zheng,Lingyan Chen

Journal of oral microbiology 17:2564694 PubMed41036106

2025

Is a promoting factor, rather than an inducing factor for oral cancer?

Applications

Unspecified application

Species

Unspecified reactive species

Xu Wang,Xinming Zhang,Shuangshuang Wu,Wenqing Zhang,Zhimin Yan

Discover oncology 16:1789 PubMed41026320

2025

CDCA5 knockdown potentiates olaparib sensitivity in BRCA1-mutated ovarian cancer through autophagy activation.

Applications

Unspecified application

Species

Unspecified reactive species

Wenzong Wu,Huan Wu,Yuqing Song,LiuJun Wu,Jiajia Chen,Minsheng Zhu,Xinchun Wu,Jiawei Wang,Qingsong Zhang

Cell & bioscience 15:126 PubMed41013680

2025

PINK1 functions in mitophagy and mitochondrial homeostasis during mice oocyte maturation.

Applications

Unspecified application

Species

Unspecified reactive species

Shiwei Wang,Xuan Wu,Mengmeng Zhang,Yixiao Zhu,Yajun Guo,Shuang Song,Shenming Zeng

Cell death discovery 11:422 PubMed40998798

2025

TRIM21 promotes colorectal cancer development through regulating DNA replication by TCF3/MCM2/5 axis.

Applications

Unspecified application

Species

Unspecified reactive species

Xintian Zhang,Han Yao,Yichao Hou,Kun Zhou,Yu Liang,Lidan Hou,Xingming Zhang,Wenfeng Wang,Leilei Du,Mengfei Yao,Jianhua Wang,Xiangjun Meng

Oncology reports 54: PubMed40910254

2025

BUB1B promotes homologous recombination‑mediated DNA damage repair in breast cancer cells through the PI3K/AKT signaling pathway.

Applications

Unspecified application

Species

Unspecified reactive species

Xuewen Luo,Yuqin Wei,Hanxin Lin,Ning Xiao,Wei Zhao

Hereditas 162:177 PubMed40883807

2025

RBM15 promotes COAD progression by regulating the m6A modification of TMC5.

Applications

Unspecified application

Species

Unspecified reactive species

Errong Tian,Li Gao,Lan Wu,Limin Qin

International journal of molecular sciences 26: PubMed40869263

2025

Prime Editing Modification with FEN1 Improves F508del Variant Editing in the Gene in Airway Basal Cells.

Applications

Unspecified application

Species

Unspecified reactive species

Olga V Volodina,Anna G Demchenko,Arina A Anuchina,Oxana P Ryzhkova,Valeriia A Kovalskaya,Ekaterina V Kondrateva,Ekaterina V Artemova,Vyacheslav Y Tabakov,Maxim A Ignatov,Natalia Y Vorobyeva,Andreyan N Osipov,Alexander V Lavrov,Svetlana A Smirnikhina

Theranostics 15:8587-8608 PubMed40860162

2025

Single-cell RNA sequencing reveals that myeloid S100A8/A9 is a novel regulator of the transition from adaptive hypertrophy to heart failure after pressure overload.

Applications

Unspecified application

Species

Unspecified reactive species

Wei-Jia Yu,Wen-Xi Jiang,Shu-Jing Liu,Hui-Hua Li,Qiu-Yue Lin

Journal of ginseng research 49:541-552 PubMed40843012

2025

Total ginsenosides and ginsenoside Rb2 delay hepatocyte senescence by regulating NAD metabolism and promoting IDO2/QPRT expression.

Applications

Unspecified application

Species

Unspecified reactive species

Chen Guo,Ming-Xia Wu,Ze-Peng Zhang,Jing Li,Jin-Jin Chen,Hang Su,Kun Wei,Da-Qing Zhao,Xiang-Yan Li,Qing-Xia Huang
View all publications

Abcam Product Promise

我们致力于为您的研究提供高质量的试剂,为您科研的每一步提供支持。若我们的产品未能达到预期性能,我们向您提供 Abcam Product Promise 保障。
详情请参阅我们的条款与条件。

Please note: All products are 'FOR RESEARCH USE ONLY. NOT FOR USE IN DIAGNOSTIC OR THERAPEUTIC PROCEDURES'.

For licensing inquiries, please contact partnerships@abcam.com