JavaScript is disabled in your browser. Please enable JavaScript to view this website.
AB249398

重组Anti-gamma Adaptin抗体[EPR9875(B)] - BSA and Azide free

Anti-gamma Adaptin antibody [EPR9875(B)] - BSA and Azide free

Be the first to review this product! Submit a review

|

(0 Publication)

Rabbit Recombinant Monoclonal gamma Adaptin antibody. Carrier free. Suitable for IHC-P, WB and reacts with Human, Mouse samples.

查看别名

ADTG, CLAPG1, AP1G1, AP-1 complex subunit gamma-1, Adaptor protein complex AP-1 subunit gamma-1, Adaptor-related protein complex 1 subunit gamma-1, Clathrin assembly protein complex 1 gamma-1 large chain, Gamma1-adaptin, Golgi adaptor HA1/AP1 adaptin subunit gamma-1

3 Images
Western blot - Anti-gamma Adaptin antibody [EPR9875(B)] - BSA and Azide free (AB249398)
  • WB

Lab

Western blot - Anti-gamma Adaptin antibody [EPR9875(B)] - BSA and Azide free (AB249398)

This data was developed using ab167153, the same antibody clone in a different buffer formulation.

Lane 1 : Wild-type HAP1 cell lysate (20 μg)

Lane 2 : gamma Adaptin knockout HAP1 cell lysate (20 μg)

Lane 3 : HeLa cell lysate (20 μg)

Lane 4 : Human fetal brain tissue lysate (20 μg)

Lanes 1 - 4 : Merged signal (red and green). Green - ab167153 observed at 100 kDa. Red - loading control, ab8245, observed at 37 kDa.

ab167153 was shown to specifically react with gamma Adaptin when gamma Adaptin knockout samples were used. Wild-type and gamma Adaptin knockout samples were subjected to SDS-PAGE. ab167153 and ab8245 (loading control to GAPDH) were diluted at 1/1000 and 1/10 000 respectively and incubated overnight at 4°C. Blots were developed with Goat anti-Rabbit IgG H&L (IRDye® 800CW) preadsorbed ab216773 and Goat anti-Mouse IgG H&L (IRDye® 680RD) preadsorbed ab216776 secondary antibodies at 1/10 000 dilution for 1 h at room temperature before imaging.

All lanes:

Western blot - Anti-gamma Adaptin antibody [EPR9875(B)] (<a href='/products/primary-antibodies/gamma-adaptin-antibody-epr9875b-ab167153'>ab167153</a>)

Predicted band size: 91 kDa

false

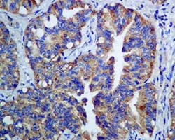
Immunohistochemistry (Formalin/PFA-fixed paraffin-embedded sections) - Anti-gamma Adaptin antibody [EPR9875(B)] - BSA and Azide free (AB249398)
  • IHC-P

Unknown

Immunohistochemistry (Formalin/PFA-fixed paraffin-embedded sections) - Anti-gamma Adaptin antibody [EPR9875(B)] - BSA and Azide free (AB249398)

This data was developed using ab167153, the same antibody clone in a different buffer formulation.

Immunohistochemical analysis of paraffin-embedded Human lung carcinoma tissue labeling gamma Adaptin with ab167153 at 1/50 dilution.

Perform heat mediated antigen retrieval with citrate buffer pH 6 before commencing with IHC staining protocol.

Western blot - Anti-gamma Adaptin antibody [EPR9875(B)] - BSA and Azide free (AB249398)
  • WB

Unknown

Western blot - Anti-gamma Adaptin antibody [EPR9875(B)] - BSA and Azide free (AB249398)

This data was developed using ab167153, the same antibody clone in a different buffer formulation.

All lanes:

Western blot - Anti-gamma Adaptin antibody [EPR9875(B)] (<a href='/products/primary-antibodies/gamma-adaptin-antibody-epr9875b-ab167153'>ab167153</a>) at 1/1000 dilution

Lane 1:

HeLa cell lysate at 10 µg

Lane 2:

293T cell lysate at 10 µg

Secondary

All lanes:

HRP labeled goat anti-rabbit at 1/2000 dilution

Predicted band size: 91 kDa

false

不同偶联物与剂型 (1)

关键信息

宿主种属

Rabbit

克隆

Monoclonal

克隆号

EPR9875(B)

亚型

IgG

不含载体蛋白

Yes

反应种属

Mouse, Human

应用

WB, IHC-P

applications

免疫原

The exact immunogen used to generate this antibody is proprietary information.

反应性数据

{ "title": "Reactivity Data", "filters": { "stats": ["", "Species", "Dilution Info", "Notes"], "tabs": { "all-applications": {"fullname" : "All Applications", "shortname": "All Applications"}, "IHCP" : {"fullname" : "Immunohistochemistry (Formalin/PFA-fixed paraffin-embedded sections)", "shortname":"IHC-P"}, "ICCIF" : {"fullname" : "Immunocytochemistry/ Immunofluorescence", "shortname":"ICC/IF"}, "IP" : {"fullname" : "Immunoprecipitation", "shortname":"IP"}, "FlowCyt" : {"fullname" : "Flow Cytometry", "shortname":"Flow Cyt"}, "WB" : {"fullname" : "Western blot", "shortname":"WB"} }, "product-promise": { "all": "all", "testedAndGuaranteed": "tested", "guaranteed": "expected", "predicted": "predicted", "notRecommended": "not-recommended" } }, "values": { "Human": { "IHCP-species-checked": "testedAndGuaranteed", "IHCP-species-dilution-info": "", "IHCP-species-notes": "<p></p> Perform heat-mediated antigen retrieval with citrate buffer pH 6 before commencing with IHC staining protocol.", "ICCIF-species-checked": "notRecommended", "ICCIF-species-dilution-info": "", "ICCIF-species-notes": "<p></p>", "IP-species-checked": "notRecommended", "IP-species-dilution-info": "", "IP-species-notes": "<p></p>", "FlowCyt-species-checked": "notRecommended", "FlowCyt-species-dilution-info": "", "FlowCyt-species-notes": "<p></p>", "WB-species-checked": "testedAndGuaranteed", "WB-species-dilution-info": "", "WB-species-notes": "<p></p>" }, "Mouse": { "IHCP-species-checked": "guaranteed", "IHCP-species-dilution-info": "", "IHCP-species-notes": "<p></p> Perform heat-mediated antigen retrieval with citrate buffer pH 6 before commencing with IHC staining protocol.", "ICCIF-species-checked": "notRecommended", "ICCIF-species-dilution-info": "", "ICCIF-species-notes": "<p></p>", "IP-species-checked": "notRecommended", "IP-species-dilution-info": "", "IP-species-notes": "<p></p>", "FlowCyt-species-checked": "notRecommended", "FlowCyt-species-dilution-info": "", "FlowCyt-species-notes": "<p></p>", "WB-species-checked": "guaranteed", "WB-species-dilution-info": "", "WB-species-notes": "<p></p>" }, "Rat": { "IHCP-species-checked": "predicted", "IHCP-species-dilution-info": "", "IHCP-species-notes": "", "ICCIF-species-checked": "notRecommended", "ICCIF-species-dilution-info": "", "ICCIF-species-notes": "", "IP-species-checked": "notRecommended", "IP-species-dilution-info": "", "IP-species-notes": "", "FlowCyt-species-checked": "notRecommended", "FlowCyt-species-dilution-info": "", "FlowCyt-species-notes": "", "WB-species-checked": "predicted", "WB-species-dilution-info": "", "WB-species-notes": "" } } }

产品详情

性能和储存信息

形式
Liquid
纯化工艺
Affinity purification
存储溶液
pH: 7.2 - 7.4 Constituents: PBS
运输条件
Blue Ice
推荐的短期储存条件
+4°C
推荐的长期储存条件
+4°C
储存信息
Do Not Freeze

补充信息

This supplementary information is collated from multiple sources and compiled automatically.

Gamma adaptin also known as AP1G1 or AP-1 gamma subunit is a protein component of the adaptor protein complex 1 (AP-1). It has a molecular mass of approximately 91 kDa and functions in the Golgi apparatus as well as in the endosomes. This protein is important for intracellular transport mechanisms and influences the sorting and trafficking of various cargo proteins. Gamma adaptin is expressed in a range of tissues in the human body where it directs specific pathways of protein trafficking and plays a major role in maintaining cellular function.
Biological function summary

Gamma adaptin facilitates the recruitment of clathrin and other cargo proteins forming an important part of the AP-1 complex. AP-1 mediates the sorting of lysosomal enzymes and other proteins from the trans-Golgi network to endosomes and lysosomes. Through interactions with cytosolic adaptor proteins gamma adaptin contributes to vesicle formation and cargo selection. By participating in the correct shipping and transport of proteins within the cell it maintains cellular homeostasis and regulates vesicular trafficking.

Pathways

Gamma adaptin plays significant roles in both clathrin-mediated endocytosis and vesicular trafficking pathways. Within these pathways gamma adaptin interacts with proteins like clathrin and other adaptor proteins such as beta adaptin and mu adaptin. These interactions ensure the proper transport of proteins between cellular organelles. Gamma adaptin ensures precise intracellular protein distribution and impacts cellular communication processes. The interplay between gamma adaptin and other transport proteins is fundamental for maintaining efficient cellular operations.

Gamma adaptin has been linked to certain conditions such as atherosclerosis and neurological disorders. It interacts with proteins like Hermansky-Pudlak syndrome 1 (HPS1) which plays a role in the development of these diseases. Abnormalities in the function or expression of gamma adaptin can lead to improper protein trafficking contributing to disease progression. Understanding the relationships between gamma adaptin and these diseases offers potential insights for novel therapeutic strategies targeting the faulty shipping and transport mechanisms within the cell.

产品实验方案

For this product, it's our understanding that no specific protocols are required. You can visit:

靶点信息

Subunit of clathrin-associated adaptor protein complex 1 that plays a role in protein sorting in the late-Golgi/trans-Golgi network (TGN) and/or endosomes. The AP complexes mediate both the recruitment of clathrin to membranes and the recognition of sorting signals within the cytosolic tails of transmembrane cargo molecules. In association with AFTPH/aftiphilin in the aftiphilin/p200/gamma-synergin complex, involved in the trafficking of transferrin from early to recycling endosomes, and the membrane trafficking of furin and the lysosomal enzyme cathepsin D between the trans-Golgi network (TGN) and endosomes (PubMed : 15758025).
See full target information AP1G1

Abcam Product Promise

我们致力于为您的研究提供高质量的试剂,为您科研的每一步提供支持。若我们的产品未能达到预期性能,我们向您提供 Abcam Product Promise 保障。
详情请参阅我们的条款与条件。

Please note: All products are 'FOR RESEARCH USE ONLY. NOT FOR USE IN DIAGNOSTIC OR THERAPEUTIC PROCEDURES'.

For licensing inquiries, please contact partnerships@abcam.com