JavaScript is disabled in your browser. Please enable JavaScript to view this website.
AB76245

Anti-Galectin 3 抗体 [EP2775Y]

Anti-Galectin 3 antibody [EP2775Y]

  • RabMAb
  • Recombinant
  • KO Validated
  • 20ul selling size
  • 了解详情

5

(6 Reviews)

|

(59 Publications)

Anti-Galectin 3 antibody [EP2775Y] (ab76245) is a rabbit monoclonal antibody detecting Galectin 3 in Western Blot, Flow Cytometry (Intra), Flow Cytometry, IHC-P, ICC/IF. Suitable for Human, Mouse, Rat.

- KO validated for confirmed specificity
- Biophysical QC for unrivalled batch-batch consistency
- Over 30 publications
- Trusted since 2009

查看别名

MAC2, LGALS3, Galectin-3, Gal-3, 35 kDa lectin, Carbohydrate-binding protein 35, Galactose-specific lectin 3, Galactoside-binding protein, IgE-binding protein, L-31, Laminin-binding protein, Lectin L-29, Mac-2 antigen, CBP 35, GALBP

18 Images
Immunocytochemistry/ Immunofluorescence - Anti-Galectin 3 antibody [EP2775Y] (AB76245)
  • ICC/IF

Unknown

Immunocytochemistry/ Immunofluorescence - Anti-Galectin 3 antibody [EP2775Y] (AB76245)

ICC/IF image of unpurified ab76245 stained Panc-1 cells. The cells were 4% formaldehyde fixed (10 min) and then incubated in 1%BSA / 10% normal goat serum / 0.3M glycine in 0.1% PBS-Tween for 1h to permeabilise the cells and block non-specific protein-protein interactions. The cells were then incubated with the antibody ab76245 at 10μg/ml overnight at +4°C. The secondary antibody (pseudo-colored green) was Alexa Fluor® 488 goat anti- rabbit (ab150081) IgG (H+L) preadsorbed, used at a 1/1000 dilution for 1h. Alexa Fluor® 594 WGA was used to label plasma membranes (pseudo-colored red) at a 1/200 dilution for 1h at room temperature. DAPI was used to stain the cell nuclei (pseudo-colored blue) at a concentration of 1.43μM for 1hour at room temperature.

Flow Cytometry (Intracellular) - Anti-Galectin 3 antibody [EP2775Y] (AB76245)
  • Flow Cyt (Intra)

Unknown

Flow Cytometry (Intracellular) - Anti-Galectin 3 antibody [EP2775Y] (AB76245)

Intracellular Flow Cytometry analysis of HeLa (human cervix adenocarcinoma) cells labeling Galectin 3 with purified ab76245 at 1/50 dilution (10ug/mL) (red). Cells were fixed with 4% paraformaldehyde and permeabilised with 90% methanol. A Goat anti rabbit IgG (Alexa Fluorr® 488) at 1/2000 dilution was used as the secondary antibody. Rabbit monoclonal IgG (Black) was used as the isotype control, cells without incubation with primary antibody and secondary antibody (Blue) were used as the unlabeled control.

Immunohistochemistry (Formalin/PFA-fixed paraffin-embedded sections) - Anti-Galectin 3 antibody [EP2775Y] (AB76245)
  • IHC-P

Unknown

Immunohistochemistry (Formalin/PFA-fixed paraffin-embedded sections) - Anti-Galectin 3 antibody [EP2775Y] (AB76245)

Immunohistochemistry (Formalin/PFA-fixed paraffin-embedded sections) analysis of human lung squamous carcinoma tissue labelling Galectin 3 with unpurified ab76245.

Perform heat mediated antigen retrieval with Tris/EDTA buffer pH 9.0 before commencing with IHC staining protocol.

Immunocytochemistry/ Immunofluorescence - Anti-Galectin 3 antibody [EP2775Y] (AB76245)
  • ICC/IF

Unknown

Immunocytochemistry/ Immunofluorescence - Anti-Galectin 3 antibody [EP2775Y] (AB76245)

Immunocytochemistry/Immunofluorescence analysis of HT-29 cells labelling Galectin with purified ab76245 at 1/100. Cells were fixed with 4% paraformaldehyde and permeabilized with 0.1% Triton X-100. ab150077, an Alexa Fluor® 488-conjugated goat anti-rabbit IgG (1/500) was used as the secondary antibody. DAPI (blue) was used as the nuclear counterstain. ab7291, a mouse anti-tubulin (1/500) and ab150120, an Alexa Fluor® 594-conjugated goat anti-mouse IgG (1/500) were also used.

Control 1 : primary antibody (1/100) and secondary antibody, ab150120, an Alexa Fluor® 594-conjugated goat anti-mouse IgG (1/500).

Control 2 : ab7291 (1/1000) and secondary antibody, ab150077, an Alexa Fluor® 488-conjugated goat anti-rabbit IgG (1/500).

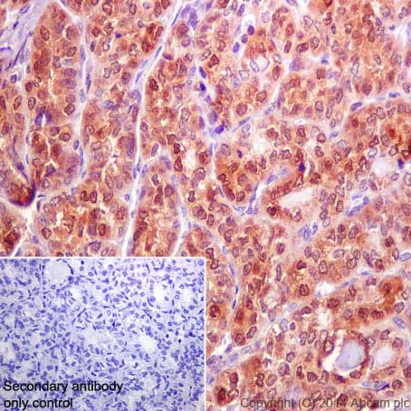
Immunohistochemistry (Formalin/PFA-fixed paraffin-embedded sections) - Anti-Galectin 3 antibody [EP2775Y] (AB76245)
  • IHC-P

Unknown

Immunohistochemistry (Formalin/PFA-fixed paraffin-embedded sections) - Anti-Galectin 3 antibody [EP2775Y] (AB76245)

Immunohistochemistry (Formalin/PFA-fixed paraffin-embedded sections) analysis of human thyroid carcinoma tissue labelling Galectin 3 with purified ab76245 at 1/250. Heat mediated antigen retrieval was performed using Tris/EDTA buffer pH 9. ab97051, a HRP-conjugated goat anti-rabbit IgG (H+L) was used as the secondary antibody (1/500). Negative control using PBS instead of primary antibody. Counterstained with hematoxylin.

Flow Cytometry (Intracellular) - Anti-Galectin 3 antibody [EP2775Y] (AB76245)
  • Flow Cyt (Intra)

Unknown

Flow Cytometry (Intracellular) - Anti-Galectin 3 antibody [EP2775Y] (AB76245)

Overlay histogram showing THP1 cells stained with unpurified ab76245 (red line). The cells were fixed with 80% methanol (5 min) and then permeabilized with 0.1% PBS-Tween for 20 min. The cells were then incubated in 1x PBS / 10% human serum / 0.3M glycine to block non-specific protein-protein interactions followed by the antibody (ab76245, 1/1000 dilution) for 30 min at 22°C. The secondary antibody used was Alexa Fluorr® 488 goat anti-rabbit IgG (H&L) (ab150077) at 1/2000 dilution for 30 min at 22°C. Isotype control antibody (black line) was rabbit IgG (monoclonal) (0.1μg/1x106 cells) used under the same conditions. Unlabelled sample (blue line) was also used as a control. Acquisition of >5,000 events were collected using a 20mW Argon ion laser (488nm) and 525/30 bandpass filter.

Immunocytochemistry/ Immunofluorescence - Anti-Galectin 3 antibody [EP2775Y] (AB76245)
  • ICC/IF

Lab

Immunocytochemistry/ Immunofluorescence - Anti-Galectin 3 antibody [EP2775Y] (AB76245)

Immunofluorescent analysis of 4% Paraformaldehyde-fixed, 0.1% TritonX-100 permeabilized RAW 264.7 cells labeling Galectin 3 with ab76245 at 1/100 dilution, followed by ab150081 Goat Anti-Rabbit IgG H&L (Alexa Fluor® 488) preadsorbed secondary antibody at 1/1000 dilution. ab195889 Anti-alpha Tubulin mouse monoclonal antibody - Microtubule Marker (Alexa Fluor® 594) was used to counterstain tubulin at 1/200 dilution. The Nuclear counterstain was DAPI (Blue). Secondary antibody only control : Secondary antibody is ab150081 Goat Anti-Rabbit IgG H&L (Alexa Fluor® 488) preadsorbed at 1/1000 dilution. Confocal image showing nuclear and cytoplasmic staining in RAW 264.7 cell line.

Flow Cytometry (Intracellular) - Anti-Galectin 3 antibody [EP2775Y] (AB76245)
  • Flow Cyt (Intra)

Lab

Flow Cytometry (Intracellular) - Anti-Galectin 3 antibody [EP2775Y] (AB76245)

Flow cytometric analysis of 4% paraformaldehyde fixed 90% methanol permeabilized RAW 264.7 (mouse Abelson murine leukemia virus-induced tumor macrophage) cells labelling Galectin 3 with ab76245 at 1 : 50 dilution (1μg)/ Red compared with a Rabbit monoclonal IgG (ab172730) / Black isotype control and an unlabelled control (Cell without incubation with primary antibody and secondary antibody (Blue)). A Goat Anti-Rabbit IgG (Alexa Fluor® 488, ab150081) at 1/2000 dilution was used as the secondary antibody.

Flow Cytometry (Intracellular) - Anti-Galectin 3 antibody [EP2775Y] (AB76245)
  • Flow Cyt (Intra)

Lab

Flow Cytometry (Intracellular) - Anti-Galectin 3 antibody [EP2775Y] (AB76245)

Flow cytometric analysis of 4% paraformaldehyde fixed 90% methanol permeabilized C6 (rat glial tumor glial cell) cells labelling Galectin 3 with ab76245 at 1 : 50 dilution (1μg)/ Red compared with a Rabbit monoclonal IgG (ab172730) / Black isotype control and an unlabelled control (Cell without incubation with primary antibody and secondary antibody (Blue)). A Goat Anti-Rabbit IgG (Alexa Fluor® 488, ab150081) at 1/2000 dilution was used as the secondary antibody.

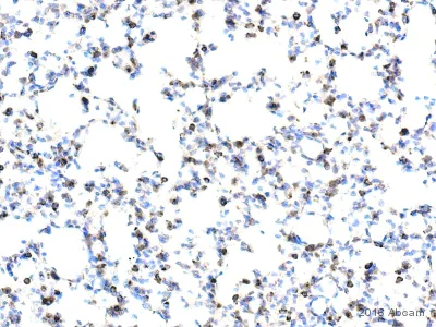
Immunohistochemistry (Formalin/PFA-fixed paraffin-embedded sections) - Anti-Galectin 3 antibody [EP2775Y] (AB76245)
  • IHC-P

AbReview54307****

Immunohistochemistry (Formalin/PFA-fixed paraffin-embedded sections) - Anti-Galectin 3 antibody [EP2775Y] (AB76245)

Immunohistochemical analysis of formaldehyde fixed mouse lung tissue sections labelling Galectin 3 with ab76245 at a dilution of 1/6000. The secondary antibody used was biotin conjugated goat anti rabbit IgG at a dilution of 1/300. Antigen retrieval was heat mediated using citric acid.

This image is courtesy of an Abreview submitted by Carl Hobbs.

Immunocytochemistry/ Immunofluorescence - Anti-Galectin 3 antibody [EP2775Y] (AB76245)
  • ICC/IF

Lab

Immunocytochemistry/ Immunofluorescence - Anti-Galectin 3 antibody [EP2775Y] (AB76245)

Immunofluorescent analysis of 4% Paraformaldehyde-fixed, 0.1% TritonX-100 permeabilized C6 cells labeling Galectin 3 with ab76245 at 1/100 dilution, followed by ab150081 Goat Anti-Rabbit IgG H&L (Alexa Fluor® 488) preadsorbed secondary antibody at 1/1000 dilution. ab195889 Anti-alpha Tubulin mouse monoclonal antibody - Microtubule Marker (Alexa Fluor® 594) was used to counterstain tubulin at 1/200 dilution. The Nuclear counterstain was DAPI (Blue). Secondary antibody only control : Secondary antibody is ab150081 Goat Anti-Rabbit IgG H&L (Alexa Fluor® 488) preadsorbed at 1/1000 dilution. Confocal image showing cytoplasmic and weak nuclear staining in C6 cell line.

Western blot - Anti-Galectin 3 antibody [EP2775Y] (AB76245)
  • WB

Unknown

Western blot - Anti-Galectin 3 antibody [EP2775Y] (AB76245)

Blocking and dilution buffer : 5% NFDM/TBST.

All lanes:

Western blot - Anti-Galectin 3 antibody [EP2775Y] (ab76245) at 1/10000 dilution

Lane 1:

A375 cell lysate at 20 µg

Lane 2:

HeLa cell lysate at 20 µg

Lane 3:

A431 cell lysate at 20 µg

Secondary

All lanes:

Peroxidase conjugated goat anti-rabbit IgG (H+L) at 1/1000 dilution

Predicted band size: 26 kDa

Observed band size: 31 kDa

false

Western blot - Anti-Galectin 3 antibody [EP2775Y] (AB76245)
  • WB

Unknown

Western blot - Anti-Galectin 3 antibody [EP2775Y] (AB76245)

All lanes:

Western blot - Anti-Galectin 3 antibody [EP2775Y] (ab76245) at 1/10000 dilution

Lane 1:

A375 cell lysate at 10 µg

Lane 2:

HeLa cell lysate at 10 µg

Lane 3:

SW480 cell lysate at 10 µg

Lane 4:

A431 cell lysate at 10 µg

Secondary

All lanes:

HRP-conjugated goat anti-rabbit IgG at 1/2000 dilution

Predicted band size: 26 kDa

Observed band size: 31 kDa

false

Western blot - Anti-Galectin 3 antibody [EP2775Y] (AB76245)
  • WB

Unknown

Western blot - Anti-Galectin 3 antibody [EP2775Y] (AB76245)

Blocking and dilution buffer : 5% NFDM/TBST.

All lanes:

Western blot - Anti-Galectin 3 antibody [EP2775Y] (ab76245) at 1/10000 dilution

Lane 1:

RAW264.7 cell lysate at 20 µg

Lane 2:

NIH/3T3 cell lysate at 20 µg

Secondary

All lanes:

Peroxidase conjugated goat anti-rabbit IgG (H+L) at 1/1000 dilution

Predicted band size: 26 kDa

Observed band size: 31 kDa

false

Western blot - Anti-Galectin 3 antibody [EP2775Y] (AB76245)
  • WB

Supplier Data

Western blot - Anti-Galectin 3 antibody [EP2775Y] (AB76245)

False colour image of Western blot : Anti-Galectin 3 antibody [EP2775Y] staining at 1/5000 dilution, shown in green; Mouse anti-Alpha Tubulin [DM1A] (ab7291) loading control staining at 1/20000 dilution, shown in red. In Western blot, ab76245 was shown to bind specifically to Galectin 3. A band was observed at 30 kDa in wild-type A549 cell lysates with no signal observed at this size in LGALS3 knockout cell line. To generate this image, wild-type and LGALS3 knockout A549 cell lysates were analysed. First, samples were run on an SDS-PAGE gel then transferred onto a nitrocellulose membrane. Membranes were blocked in 3 % milk in TBS-0.1 % Tween® 20 (TBS-T) before incubation with primary antibodies overnight at 4 °C. Blots were washed four times in TBS-T, incubated with secondary antibodies for 1 h at room temperature, washed again four times then imaged. Secondary antibodies used were Goat anti-Rabbit IgG H&L 800CW and Goat anti-Mouse IgG H&L 680RD at 1/20000 dilution.

All lanes:

Western blot - Anti-Galectin 3 antibody [EP2775Y] (ab76245) at 1/5000 dilution

Lane 1:

Wild-type A549 cell lysate at 20 µg

Lane 2:

LGALS3 knockout A549 cell lysate at 20 µg

Lane 3:

MCF7 cell lysate at 20 µg

Lane 4:

LNCaP cell lysate at 20 µg

Secondary

All lanes:

Goat anti-Rabbit IgG H&L 800CW and Goat anti-Mouse IgG H&L 680RD at 1/20000 dilution

Predicted band size: 26 kDa

Observed band size: 30 kDa

false

Western blot - Anti-Galectin 3 antibody [EP2775Y] (AB76245)
  • WB

Lab

Western blot - Anti-Galectin 3 antibody [EP2775Y] (AB76245)

Blocking and diluting buffer and concentration : 5% NFDM/TBST, ab129002 was used as a loading control for Vinculin.

All lanes:

Western blot - Anti-Galectin 3 antibody [EP2775Y] (ab76245) at 1/1000 dilution

Lane 1:

RAW264.7 (mouse Abelson murine leukemia virus-induced tumor macrophage) whole cell lysate at 20 µg

Lane 2:

Neuro-2a (mouse neuroblastoma neuroblast) whole cell lysate at 20 µg

Lane 3:

A431 (human epidermoid carcinoma epithelial cell) whole cell lysate at 20 µg

Lane 4:

HeLa (human cervix adenocarcinoma epithelial cell) whole cell lysate at 20 µg

Lane 5:

SK-N-MC (human brain epithelial cell) whole cell lysate at 20 µg

Lane 6:

LNCaP (human prostate carcinoma epithelial cell) whole cell lysate at 20 µg

Secondary

All lanes:

Western blot - Goat Anti-Rabbit IgG H&L (HRP) (<a href='/products/secondary-antibodies/goat-rabbit-igg-h-l-hrp-ab97051'>ab97051</a>) at 1/100000 dilution

Predicted band size: 26 kDa

Observed band size: 26 kDa

false

Exposure time: 26s

Western blot - Anti-Galectin 3 antibody [EP2775Y] (AB76245)
  • WB

Supplier Data

Western blot - Anti-Galectin 3 antibody [EP2775Y] (AB76245)

Blocking and diluting buffer : 5% NFDM/TBST.

Gal-3 expression is low in the healthy brain (PMID : 34831271, PMID : 31006066).

All lanes:

Western blot - Anti-Galectin 3 antibody [EP2775Y] (ab76245) at 1/1000 dilution

Lane 1:

RAW264.7 (mouse Abelson murine leukemia virus-induced tumor macrophage) whole cell lysate at 20 µg

Lane 2:

Mouse brain tissue lysate at 20 µg

Secondary

All lanes:

Western blot - Goat Anti-Rabbit IgG H&L (HRP) (<a href='/products/secondary-antibodies/goat-rabbit-igg-h-l-hrp-ab97051'>ab97051</a>) at 1/20000 dilution

Predicted band size: 26 kDa

Observed band size: 30 kDa

false

Exposure time: 40s

Western blot - Anti-Galectin 3 antibody [EP2775Y] (AB76245)
  • WB

Lab

Western blot - Anti-Galectin 3 antibody [EP2775Y] (AB76245)

Blocking and diluting buffer and concentration : 5% NFDM/TBST. Exposure time : Lane 1 : 180 seconds, Lanes 2 and 3 : 15 seconds.

All lanes:

Western blot - Anti-Galectin 3 antibody [EP2775Y] (ab76245) at 1/1000 dilution

Lane 1:

C6 (rat glial tumor glial cell) whole cell lysate at 20 µg

Lane 2:

RAW264.7 (mouse Abelson murine leukemia virus-induced tumor macrophage) whole cell lysate at 20 µg

Lane 3:

NIH/3T3 (mouse embryonic fibroblast) whole cell lysate at 20 µg

Secondary

All lanes:

Western blot - Goat Anti-Rabbit IgG H&L (HRP) (<a href='/products/secondary-antibodies/goat-rabbit-igg-h-l-hrp-ab97051'>ab97051</a>) at 1/100000 dilution

Predicted band size: 26 kDa

Observed band size: 26 kDa

false

不同偶联物与剂型 (10)

  • HRP

    HRP Anti-Galectin 3 antibody [EP2775Y]

  • 565 Alexa Fluor® 555

    Alexa Fluor® 555 Anti-Galectin 3 antibody [EP2775Y]

  • 519 Alexa Fluor® 488

    Alexa Fluor® 488 Anti-Galectin 3 antibody [EP2775Y]

  • 617 Alexa Fluor® 594

    Alexa Fluor® 594 Anti-Galectin 3 antibody [EP2775Y]

  • 660 APC

    APC Anti-Galectin 3 antibody [EP2775Y]

  • 665 Alexa Fluor® 647

    Alexa Fluor® 647 Anti-Galectin 3 antibody [EP2775Y]

  • 603 Alexa Fluor® 568

    Alexa Fluor® 568 Anti-Galectin 3 antibody [EP2775Y]

  • Carrier free

    Anti-Galectin 3 antibody [EP2775Y] - BSA and Azide free

  • 578 PE

    PE Anti-Galectin 3 antibody [EP2775Y]

  • 775 Alexa Fluor® 750

    Alexa Fluor® 750 Anti-Galectin 3 antibody [EP2775Y]

关键信息

宿主种属

Rabbit

克隆

Monoclonal

克隆号

EP2775Y

亚型

IgG

不含载体蛋白

No

反应种属

Mouse, Rat, Human

应用

IHC-P, Flow Cyt (Intra), ICC/IF, WB

applications

免疫原

The exact immunogen used to generate this antibody is proprietary information.

反应性数据

{ "title": "Reactivity Data", "filters": { "stats": ["", "Species", "Dilution Info", "Notes"], "tabs": { "all-applications": {"fullname" : "All Applications", "shortname": "All Applications"}, "WB" : {"fullname" : "Western blot", "shortname":"WB"}, "ICCIF" : {"fullname" : "Immunocytochemistry/ Immunofluorescence", "shortname":"ICC/IF"}, "FlowCytIntra" : {"fullname" : "Flow Cytometry (Intracellular)", "shortname":"Flow Cyt (Intra)"}, "IHCP" : {"fullname" : "Immunohistochemistry (Formalin/PFA-fixed paraffin-embedded sections)", "shortname":"IHC-P"} }, "product-promise": { "all": "all", "testedAndGuaranteed": "tested", "guaranteed": "expected", "predicted": "predicted", "notRecommended": "not-recommended" } }, "values": { "Human": { "WB-species-checked": "testedAndGuaranteed", "WB-species-dilution-info": "1/5000 - 1/10000", "WB-species-notes": "<p></p>", "ICCIF-species-checked": "testedAndGuaranteed", "ICCIF-species-dilution-info": "1/1000", "ICCIF-species-notes": "<p></p>", "FlowCytIntra-species-checked": "testedAndGuaranteed", "FlowCytIntra-species-dilution-info": "1/50", "FlowCytIntra-species-notes": "<p><a href='/products/primary-antibodies/rabbit-igg-monoclonal-epr25a-isotype-control-ab172730'>ab172730</a> - Rabbit monoclonal IgG, is suitable for use as an isotype control with this antibody.</p>", "IHCP-species-checked": "testedAndGuaranteed", "IHCP-species-dilution-info": "1/250", "IHCP-species-notes": "<p></p> Perform heat-mediated antigen retrieval with Tris/EDTA buffer pH 9.0 before commencing with IHC staining protocol." }, "Mouse": { "WB-species-checked": "testedAndGuaranteed", "WB-species-dilution-info": "1/5000 - 1/10000", "WB-species-notes": "<p></p>", "ICCIF-species-checked": "testedAndGuaranteed", "ICCIF-species-dilution-info": "1/1000", "ICCIF-species-notes": "<p></p>", "FlowCytIntra-species-checked": "testedAndGuaranteed", "FlowCytIntra-species-dilution-info": "1/50", "FlowCytIntra-species-notes": "<p><a href='/products/primary-antibodies/rabbit-igg-monoclonal-epr25a-isotype-control-ab172730'>ab172730</a> - Rabbit monoclonal IgG, is suitable for use as an isotype control with this antibody.</p>", "IHCP-species-checked": "notRecommended", "IHCP-species-dilution-info": "1/250", "IHCP-species-notes": "<p></p> Perform heat-mediated antigen retrieval with Tris/EDTA buffer pH 9.0 before commencing with IHC staining protocol." }, "Rat": { "WB-species-checked": "testedAndGuaranteed", "WB-species-dilution-info": "1/5000 - 1/10000", "WB-species-notes": "<p></p>", "ICCIF-species-checked": "testedAndGuaranteed", "ICCIF-species-dilution-info": "1/1000", "ICCIF-species-notes": "<p></p>", "FlowCytIntra-species-checked": "testedAndGuaranteed", "FlowCytIntra-species-dilution-info": "1/50", "FlowCytIntra-species-notes": "<p><a href='/products/primary-antibodies/rabbit-igg-monoclonal-epr25a-isotype-control-ab172730'>ab172730</a> - Rabbit monoclonal IgG, is suitable for use as an isotype control with this antibody.</p>", "IHCP-species-checked": "notRecommended", "IHCP-species-dilution-info": "1/250", "IHCP-species-notes": "<p></p> Perform heat-mediated antigen retrieval with Tris/EDTA buffer pH 9.0 before commencing with IHC staining protocol." }, "Pig": { "WB-species-checked": "predicted", "WB-species-dilution-info": "", "WB-species-notes": "", "ICCIF-species-checked": "predicted", "ICCIF-species-dilution-info": "", "ICCIF-species-notes": "", "FlowCytIntra-species-checked": "predicted", "FlowCytIntra-species-dilution-info": "", "FlowCytIntra-species-notes": "", "IHCP-species-checked": "notRecommended", "IHCP-species-dilution-info": "", "IHCP-species-notes": "" } } }

产品详情

What is this antibody validated in?
Anti-Galectin 3 antibody [EP2775Y] (ab76245) is a rabbit recombinant monoclonal antibody and is validated for use in Western Blot (WB), Flow Cytometry (Intra), Flow Cytometry (Flow Cyt), Immunohistochemistry (IHC-P), Immunocytochemistry/immunofluorescence (ICC/IF) in Human, Mouse, Rat samples.

What is the molecular weight of Galectin 3?
Anti-Galectin 3 [EP2775Y] (ab76245) specifically detects a band for Galectin 3 (UniProt: P17931) at a molecular weight of 26kDa.

Trusted by the scientific community
Anti-Galectin 3 [EP2775Y] (ab76245) was first used in a scientific publication in 2009 and has been cited over 30 times in peer-reviewed journals.

Reviewed by scientists
Anti-Galectin 3 [EP2775Y] (ab76245) has over 5 independent reviews from customers.

Trial sizes available!
Test your antibody or perform pre-screening before committing to a larger quantity. Sold in 10µl. Discover our selection of trial-size antibodies.

Specificity confirmed
The specificity of Anti-Galectin 3 antibody [EP2775Y] (ab76245) has been confirmed by Western blot testing in LGALS3 Knockout A549 cell line.

Other related products
We have a range of other formats of antibody clone [EP2775Y] also available for your convenience: ab76245, Carrier free - ab197544, HRP - ab202553, Alexa Fluor® 555 - ab279330, Alexa Fluor® 488 - ab309974, APC - ab310877, PE - ab310938, Alexa Fluor® 647 - ab311095, Alexa Fluor® 594 - ab311705, Alexa Fluor® 568 - ab312980, Alexa Fluor® 750 - ab321720

Patented technology
Our RabMAb® technology is a patented hybridoma-based technology for making rabbit monoclonal antibodies. For details on our patents, please refer to RabMAb® patents.

What are the advantages of a recombinant monoclonal antibody?
This product is a recombinant monoclonal antibody, which offers several advantages including:

  • - High batch-to-batch consistency and reproducibility
  • - Improved sensitivity and specificity
  • - Long-term security of supply
  • - Animal-free batch production

For more information, read more on recombinant antibodies.

性能和储存信息

形式
Liquid
纯化工艺
Affinity purification Protein A
存储溶液
pH: 7.2 - 7.4 Preservative: 0.01% Sodium azide Constituents: PBS, 40% Glycerol (glycerin, glycerine), 0.05% BSA
运输条件
Blue Ice
推荐的短期储存时间
1-2 weeks
推荐的短期储存条件
+4°C
推荐的长期储存条件
-20°C
分装信息
Upon delivery aliquot
储存信息
Avoid freeze / thaw cycle

补充信息

This supplementary information is collated from multiple sources and compiled automatically.

Galectin-3 also known as LGALS3 is a protein belonging to the galectin family which are beta-galactoside-binding lectins. This protein has a molecular weight of about 30 kDa. It shows expression in various tissues including the heart liver and gastrointestinal tract. Galectin-3 plays a mechanical role in cell-cell adhesion cell-matrix interactions and modulating immune responses. Researchers often use galectin-3 ELISA kits to quantify its presence in different biological samples.
Biological function summary

Galectin-3 participates in cell growth regulation apoptosis and immune system modulation. Galectin-3 does not typically integrate into larger molecular complexes but it interacts with a variety of cell surface and extracellular matrix molecules. Its function influences processes like cell differentiation and angiogenesis where it can act as a regulator leveraging its ability to bind glycans on cell surfaces and matrix components.

Pathways

Galectin-3 contributes to the regulation of pathways such as the MAPK signaling pathway and the Wnt signaling pathway. In the MAPK pathway it influences cell proliferation and survival. Galectin-3 interacts with proteins like Β-catenin in the Wnt pathway assisting in transcriptional regulation and cell fate determination. These pathways are vital for maintaining cellular homeostasis and responding to extracellular signals.

Galectin-3 has a strong connection to cancer and fibrosis. Its role in cancer involves promoting tumor cell survival metastasis and angiogenesis where it interacts with proteins like integrins to facilitate tumor progression. In fibrosis galectin-3 contributes to fibrotic tissue formation especially in conditions like idiopathic pulmonary fibrosis and cardiac fibrosis often associated with proteins such as TGF-Β. Understanding these interactions helps in developing therapeutic strategies targeting galectin-3 in these diseases.

产品实验方案

For this product, it's our understanding that no specific protocols are required. You can visit:

靶点信息

Galactose-specific lectin which binds IgE. May mediate with the alpha-3, beta-1 integrin the stimulation by CSPG4 of endothelial cells migration. Together with DMBT1, required for terminal differentiation of columnar epithelial cells during early embryogenesis (By similarity). In the nucleus : acts as a pre-mRNA splicing factor. Involved in acute inflammatory responses including neutrophil activation and adhesion, chemoattraction of monocytes macrophages, opsonization of apoptotic neutrophils, and activation of mast cells. Together with TRIM16, coordinates the recognition of membrane damage with mobilization of the core autophagy regulators ATG16L1 and BECN1 in response to damaged endomembranes.
See full target information LGALS3

文献 (59)

Recent publications for all applications. Explore the full list and refine your search

Communications biology 8:1312 PubMed40885864

2025

A single-cell atlas of mouse central nervous system immune cells reveals unique infection-stage immune signatures during the progression of meningitis caused by Streptococcus suis.

Applications

Unspecified application

Species

Unspecified reactive species

Xuan Jiang,Jikun Mei,Junhui Zhu,Yanyan Tian,Tong Wu,Ziheng Li,Zengshuai Wu,Tamim Abdelaal,Fengyang Li,Na Li,Liancheng Lei

Nature communications 16:7287 PubMed40775187

2025

Galectin-3-integrin α5β1 phase separation disrupted by advanced glycation end-products impairs diabetic wound healing in rodents.

Applications

Unspecified application

Species

Unspecified reactive species

Zhongyu Zhang,Zhengde Zhao,Xiuyi Huang,Lifang Zhou,Xin Jiang,Haoliang Wu,Chenshu Liu,Kan Huang,Jielu Wen,Yunchong Liu,Michelle C Miller,Zihan Zhao,Zhen He,Yuxin Wang,Siyu Liu,Lijin Huang,Lining Yuan,Renli Zeng,Zhipeng Cen,Anning Chen,Yanbo Chen,Gang Zeng,Wenzhou Liu,Xiaosi Hong,Meng Ren,Li Yan,Yang Zhang,Dongxian Guan,Xiaoyu Tian,Weikang Cai,Guihua Tai,Kevin H Mayo,Yifa Zhou,Zilun Li,Sifan Chen

Cell death & disease 16:505 PubMed40634289

2025

Failure to resolve inflammation contributes to juvenile onset cardiac damage in a mouse model of Duchenne muscular dystrophy.

Applications

Unspecified application

Species

Unspecified reactive species

James S Novak,Amy Lischin,Prech Uapinyoying,Ravi Hindupur,Young Jae Moon,Surajit Bhattacharya,Sarah Tiufekchiev-Grieco,Victoria Barone,Davi A G Mázala,Iteoluwakishi H Gamu,Gabriela Walters,Jyoti K Jaiswal

PloS one 20:e0326373 PubMed40608687

2025

Galectin-3 inhibition ameliorates hepatic steatosis in a multilineage 3D spheroid model.

Applications

Unspecified application

Species

Unspecified reactive species

Francesca Sedda,Andrea Caddeo,Kavitha Sasidharan,Giovanni Perra,Rajesh Pal,Nicola Lai,Marta Anna Kowalik,Andrea Perra

Molecular pain 21:17448069251353026 PubMed40511781

2025

Preoperative reactive oxygen species exacerbate postoperative hyperalgesia by aggravating neuroinflammation through galectin-3.

Applications

Unspecified application

Species

Unspecified reactive species

Xuemei Zheng,Bin Shu,Ai Yan,Yonggang Liang,Niannian Huang,Houping Wang,Weilong Hong,Yongqin Chen,He Huang,Guangyou Duan

FASEB journal : official publication of the Federation of American Societies for Experimental Biology 39:e70650 PubMed40377174

2025

Histone Deacetylase 6 Controls Atrial Fibrosis and Remodeling in Postinfarction Mice Through the Modulation of Wnt3a/GSK-3β Signaling.

Applications

Unspecified application

Species

Unspecified reactive species

Shangzhi Shu,Junqiao Fang,Longguo Zhao,Jiatong Han,Meiping Zhang,Chaoqun Huang,Xian Wu Cheng,Shuyan Li

Cell communication and signaling : CCS 23:148 PubMed40119472

2025

Platelet glycoprotein VI promotes folic acid-induced acute kidney injury through interaction with tubular epithelial cell-derived galectin-3.

Applications

Unspecified application

Species

Unspecified reactive species

Ya-Wei Guo,Qi Luo,Meng Lu,Xiang-Bin Zeng,Yu-Min Zhang,Yue-Ling Lin,Xu-Ran Guo,Rong Ma,Zhang-Yin Ming

Journal of cell communication and signaling 19:e12060 PubMed39720765

2024

M2-polarized tumor-associated macrophage-secreted exosomal lncRNA NEAT1 upregulates galectin-3 by recruiting KLF5 and promotes HCC immune escape.

Applications

Unspecified application

Species

Unspecified reactive species

Wei Yuan,Qigang Sun,Xiaodan Zhu,Bo Li,Yongping Zou,Zhehao Liu

Physiological reports 12:e70096 PubMed39424429

2024

Statin suppresses the development of excessive intimal proliferation in a Kawasaki disease mouse model.

Applications

Unspecified application

Species

Unspecified reactive species

Yusuke Motoji,Ryuji Fukazawa,Ryosuke Matsui,Makoto Watanabe,Yoshiaki Hashimoto,Noriko Nagi-Miura,Tadashi Kitamura,Kagami Miyaji

Frontiers in pharmacology 15:1460692 PubMed39386033

2024

Airspaces-derived exosomes contain disease-relevant protein signatures in a mouse model of cystic fibrosis (CF)-like mucoinflammatory lung disease.

Applications

Unspecified application

Species

Unspecified reactive species

Yun Mao,Amol Suryawanshi,Sonika Patial,Yogesh Saini
View all publications

Abcam Product Promise

我们致力于为您的研究提供高质量的试剂,为您科研的每一步提供支持。若我们的产品未能达到预期性能,我们向您提供 Abcam Product Promise 保障。
详情请参阅我们的条款与条件。

Please note: All products are 'FOR RESEARCH USE ONLY. NOT FOR USE IN DIAGNOSTIC OR THERAPEUTIC PROCEDURES'.

For licensing inquiries, please contact partnerships@abcam.com