JavaScript is disabled in your browser. Please enable JavaScript to view this website.
AB138513

重组Anti-Galectin 1抗体[EPR3206(2)]

Anti-Galectin 1 antibody [EPR3206(2)]

Be the first to review this product! Submit a review

|

(14 Publications)

Anti-Galectin 1 antibody [EPR3206(2)] (ab138513) is a rabbit monoclonal antibody detecting Galectin 1 in Western Blot, Flow Cytometry (Intra), Flow Cytometry, IHC-P, ICC/IF. Suitable for Human, Mouse, Rat.

- KO validated for confirmed specificity
- Biophysical QC for unrivalled batch-batch consistency
- Over 10 publications

查看别名

Galectin-1, Gal-1, 14 kDa laminin-binding protein, 14 kDa lectin, Beta-galactoside-binding lectin L-14-I, Galaptin, HBL, HPL, Lactose-binding lectin 1, Lectin galactoside-binding soluble 1, Putative MAPK-activating protein PM12, S-Lac lectin 1, HLBP14, LGALS1

8 Images
Flow Cytometry (Intracellular) - Anti-Galectin 1 antibody [EPR3206(2)] (AB138513)
  • Flow Cyt (Intra)

Lab

Flow Cytometry (Intracellular) - Anti-Galectin 1 antibody [EPR3206(2)] (AB138513)

Flow Cytometry analysis of K-562 (Human chronic myelogenous leukemia lymphoblast) cells labelling Galectin 1 with Purified ab138513 at 1 : 30 dilution (10 μg/ml) (Red). Cells were fixed with 4% Paraformaldehyde and permeabilised with 90% Methanol. A Goat anti rabbit IgG (Alexa Fluor™ 488, ab150077) secondary antibody was used at 1 : 2000. Isotype control - Rabbit monoclonal IgG (Black). Unlabelled control - Cell without incubation with primary antibody and secondary antibody (Blue).

Immunocytochemistry/ Immunofluorescence - Anti-Galectin 1 antibody [EPR3206(2)] (AB138513)
  • ICC/IF

Lab

Immunocytochemistry/ Immunofluorescence - Anti-Galectin 1 antibody [EPR3206(2)] (AB138513)

ab138513 was shown to react with LGALS1 in wild-type HAP1 cells in immunocytochemistry with loss of signal observed in a LGALS1 knockout cell line. Wild-type and knockout cells were mixed and pelleted at a 1 : 1 ratio on coverslips. The cells were fixed with 4% paraformaldehyde (15 min) then permeabilized with 0.1% Triton X-100 (10min) and then blocked with 1x PBS, 0.01% Triton X-100, 5% BSA, 5% NGS. The cells were then incubated with ab138513 at 1/250 dilution overnight at 4°C followed by a further incubation at room temperature for 1h with a goat anti-rabbit secondary antibody to (Alexa Fluor® 555) at 0.5 μg/ml. Acquisition of the green (wild-type), red (antibody staining) and far-red (knockout) channels was performed. Representative grayscale images of the red channel are shown. Wild-type and knockout cells are outlined with yellow and magenta dashed line, respectively. Schematic representation of the mosaic strategy used is shown on the bottom-right panel. Image was acquired with a Zeiss(LSM-880).

This data was provided by YCharOS Inc., an open science company with the mission of characterizing commercially available antibody reagents for all human proteins. Abcam and YCharOS are working together to help address the reproducibility crisis by enabling the life science community to better evaluate commercially available antibodies.

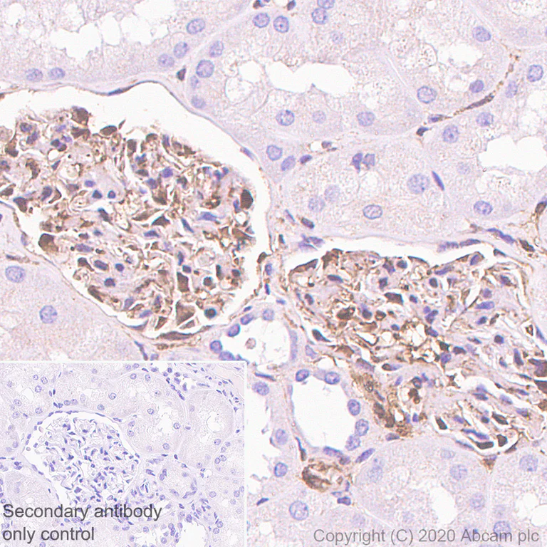
Immunohistochemistry (Formalin/PFA-fixed paraffin-embedded sections) - Anti-Galectin 1 antibody [EPR3206(2)] (AB138513)
  • IHC-P

Lab

Immunohistochemistry (Formalin/PFA-fixed paraffin-embedded sections) - Anti-Galectin 1 antibody [EPR3206(2)] (AB138513)

Immunohistochemistry (Formalin/PFA-fixed paraffin-embedded sections) analysis of human kidney tissue sections labeling Galectin 1 with Purified ab138513 at 1/16000 dilution (0.02 µg/mL). Heat mediated antigen retrieval was performed using Heat mediated antigen retrieval using Bond™ Epitope Retrieval Solution 1 (pH 6.0) . Tissue was counterstained with Hematoxylin. Rabbit specific IHC polymer detection kit HRP/DAB (ab209101) secondary antibody was used at 1/0 dilution. PBS instead of the primary antibody was used as the negative control. M3

Immunocytochemistry/ Immunofluorescence - Anti-Galectin 1 antibody [EPR3206(2)] (AB138513)
  • ICC/IF

Lab

Immunocytochemistry/ Immunofluorescence - Anti-Galectin 1 antibody [EPR3206(2)] (AB138513)

Immunocytochemistry analysis of K-562 (Human chronic myelogenous leukemia lymphoblast) cells labeling Galectin 1 with Purified ab138513 at 1/50 dilution (5.4 µg/mL). Cells were fixed in 100% Methanol and permeabilized with 0.1% tritonX-100. Cells were counterstained with ab195889 Anti-alpha Tubulin antibody [DM1A] - Microtubule Marker (Alexa Fluor® 594) 1/200 (2.5 µg/mL). Goat anti rabbit IgG (Alexa Fluor® 488, ab150077) was used as the secondary antibody at 1/1000 (2 µg/mL) dilution. DAPI (blue) was used as nuclear counterstain. PBS instead of the primary antibody was used as the secondary antibody only control.

Western blot - Anti-Galectin 1 antibody [EPR3206(2)] (AB138513)
  • WB

Lab

Western blot - Anti-Galectin 1 antibody [EPR3206(2)] (AB138513)

ab138513 was shown to react with LGALS1 in wild-type HAP1 cells in Western blot with loss of signal observed in a LGALS1 knockout cell line. Wild-type HAP1 and LGALS1 knockout cell lysates were subjected to SDS-PAGE. Membranes were blocked in 5% milk in TBST for 1 hr before incubation with ab138513 overnight at 4 °C at a 1/10000 dilution. Blots were incubated with secondary antibodies at 0.2 µg/mL before imaging.

This data was provided by YCharOS Inc., an open science company with the mission of characterizing commercially available antibody reagents for all human proteins. Abcam and YCharOS are working together to help address the reproducibility crisis by enabling the life science community to better evaluate commercially available antibodies.

All lanes:

Western blot - Anti-Galectin 1 antibody [EPR3206(2)] (ab138513) at 1/10000 dilution

Lane 1:

Wild-type HAP1 lysate at 10 µg

Lane 2:

LGALS1 knock-out HAP1 lysate at 10 µg

Observed band size: 14 kDa

false

Western blot - Anti-Galectin 1 antibody [EPR3206(2)] (AB138513)
  • WB

Lab

Western blot - Anti-Galectin 1 antibody [EPR3206(2)] (AB138513)

Lanes 1- 2 : Merged signal (red and green). Green - ab138513 observed at 15 kDa. Red - Anti-GAPDH antibody [6C5] - Loading Control (ab8245) observed at 37 kDa.

ab138513 was shown to react with Galectin 1 in wild-type HEK-293T cells in western blot. Loss of signal was observed when knockout cell line ab266850 (knockout cell lysate ab256974) was used. Wild-type HEK-293T and LGALS1 knockout HEK-293T cell lysates were subjected to SDS-PAGE. ab138513 and Anti-GAPDH antibody [6C5] - Loading Control (ab8245) overnight at 4°C at a 1 in 1000 Dilution and a 1 in 20000 dilution respectively. Blots were developed with Goat anti-Rabbit IgG H&L (IRDye®800CW) preadsorbed (ab216773) and Goat anti-Mouse IgG H&L (IRDye®680RD) preadsorbed (ab216776) secondary antibodies at 1 in 20000 dilution for 1 hour at room temperature before imaging.

All lanes:

Western blot - Anti-Galectin 1 antibody [EPR3206(2)] (ab138513) at 1/1000 dilution

Lane 1:

Wild-type HEK-293T cell lysate at 20 µg

Lane 2:

LGALS1 knockout HEK-293T cell lysate at 20 µg

Lane 2:

Western blot - Human LGALS1 (Galectin 1) knockout HEK-293T cell line (<a href='/products/cell-lines/human-lgals1-galectin-1-knockout-hek-293t-cell-line-ab266850'>ab266850</a>)

Predicted band size: 15 kDa

Observed band size: 15 kDa

false

Western blot - Anti-Galectin 1 antibody [EPR3206(2)] (AB138513)
  • WB

Lab

Western blot - Anti-Galectin 1 antibody [EPR3206(2)] (AB138513)

Lanes 1 - 2 : Merged signal (red and green). Green - ab138513 observed at 15 kDa. Red - loading control, ab9484, observed at 37 kDa.

ab138513 was shown to specifically react with Galectin 1 in wild-type HAP1 cells as signal was lost in LGALS1 (Galectin 1) knockout cells. Wild-type and LGALS1 (Galectin 1) knockout samples were subjected to SDS-PAGE. ab138513 and ab9484 (Mouse anti-GAPDH loading control) were incubated overnight at 4°C at 1/1000 dilution and 1/20000 dilution respectively. Blots were developed with Goat anti-Rabbit IgG H&L (IRDye® 800CW) preabsorbed ab216773 and Goat anti-Mouse IgG H&L (IRDye® 680RD) preabsorbed ab216776 secondary antibodies at 1/20000 dilution for 1 hour at room temperature before imaging.

All lanes:

Western blot - Anti-Galectin 1 antibody [EPR3206(2)] (ab138513) at 1/1000 dilution

Lane 1:

Wild-type HAP1 whole cell lysate at 20 µg

Lane 2:

LGALS1 (Galectin 1) knockout HAP1 whole cell lysate at 20 µg

Predicted band size: 15 kDa

false

Western blot - Anti-Galectin 1 antibody [EPR3206(2)] (AB138513)
  • WB

Unknown

Western blot - Anti-Galectin 1 antibody [EPR3206(2)] (AB138513)

All lanes:

Western blot - Anti-Galectin 1 antibody [EPR3206(2)] (ab138513) at 1/10000 dilution

Lane 1:

K-562 (Human chronic myelogenous leukemia lymphoblast) whole cell lysate at 15 µg

Lane 2:

Mouse heart lysate at 15 µg

Lane 3:

Rat heart lysate at 15 µg

Secondary

All lanes:

Western blot - Goat Anti-Rabbit IgG H&L (HRP) (<a href='/products/secondary-antibodies/goat-rabbit-igg-h-l-hrp-ab97051'>ab97051</a>) at 1/20000 dilution

Predicted band size: 15 kDa

Observed band size: 14 kDa

false

不同偶联物与剂型 (6)

  • Carrier free

    Anti-Galectin 1 antibody [EPR3206(2)] - BSA and Azide free

  • 660 APC

    APC Anti-Galectin 1 antibody [EPR3206(2)]

  • 578 PE

    PE Anti-Galectin 1 antibody [EPR3206(2)]

  • 519 Alexa Fluor® 488

    Alexa Fluor® 488 Anti-Galectin 1 antibody [EPR3206(2)]

  • 565 Alexa Fluor® 555

    Alexa Fluor® 555 Anti-Galectin 1antibody [EPR3206(2)]

  • Carrier free

    Anti-Galectin 1 antibody [EPR3206(2)] - BSA and Azide free (Capture)

关键信息

宿主种属

Rabbit

克隆

Monoclonal

克隆号

EPR3206(2)

亚型

IgG

不含载体蛋白

No

反应种属

Mouse, Human, Rat

应用

Flow Cyt (Intra), IHC-P, WB, ICC/IF

applications

免疫原

The exact immunogen used to generate this antibody is proprietary information.

特异性

The mouse and rat recommendation is based on the WB results. We do not guarantee IHC-P for mouse and rat.

反应性数据

{ "title": "Reactivity Data", "filters": { "stats": ["", "Species", "Dilution Info", "Notes"], "tabs": { "all-applications": {"fullname" : "All Applications", "shortname": "All Applications"}, "IHCP" : {"fullname" : "Immunohistochemistry (Formalin/PFA-fixed paraffin-embedded sections)", "shortname":"IHC-P"}, "WB" : {"fullname" : "Western blot", "shortname":"WB"}, "ICCIF" : {"fullname" : "Immunocytochemistry/ Immunofluorescence", "shortname":"ICC/IF"}, "FlowCytIntra" : {"fullname" : "Flow Cytometry (Intracellular)", "shortname":"Flow Cyt (Intra)"} }, "product-promise": { "all": "all", "testedAndGuaranteed": "tested", "guaranteed": "expected", "predicted": "predicted", "notRecommended": "not-recommended" } }, "values": { "Human": { "IHCP-species-checked": "testedAndGuaranteed", "IHCP-species-dilution-info": "1/16000", "IHCP-species-notes": "<p>The mouse and rat recommendation is based on the WB results. We do not guarantee IHC-P for mouse and rat.</p> Perform heat-mediated antigen retrieval with citrate buffer pH 6 before commencing with IHC staining protocol.", "WB-species-checked": "testedAndGuaranteed", "WB-species-dilution-info": "1/10000", "WB-species-notes": "<p></p>", "ICCIF-species-checked": "testedAndGuaranteed", "ICCIF-species-dilution-info": "1/50", "ICCIF-species-notes": "<p></p>", "FlowCytIntra-species-checked": "testedAndGuaranteed", "FlowCytIntra-species-dilution-info": "1/30", "FlowCytIntra-species-notes": "<p><a href='/products/primary-antibodies/rabbit-igg-monoclonal-epr25a-isotype-control-ab172730'>ab172730</a> - Rabbit monoclonal IgG, is suitable for use as an isotype control with this antibody.</p>" }, "Mouse": { "IHCP-species-checked": "guaranteed", "IHCP-species-dilution-info": "", "IHCP-species-notes": "", "WB-species-checked": "testedAndGuaranteed", "WB-species-dilution-info": "1/10000", "WB-species-notes": "<p></p>", "ICCIF-species-checked": "guaranteed", "ICCIF-species-dilution-info": "", "ICCIF-species-notes": "", "FlowCytIntra-species-checked": "guaranteed", "FlowCytIntra-species-dilution-info": "", "FlowCytIntra-species-notes": "" }, "Rat": { "IHCP-species-checked": "guaranteed", "IHCP-species-dilution-info": "", "IHCP-species-notes": "", "WB-species-checked": "testedAndGuaranteed", "WB-species-dilution-info": "1/10000", "WB-species-notes": "<p></p>", "ICCIF-species-checked": "guaranteed", "ICCIF-species-dilution-info": "", "ICCIF-species-notes": "", "FlowCytIntra-species-checked": "guaranteed", "FlowCytIntra-species-dilution-info": "", "FlowCytIntra-species-notes": "" } } }

产品详情

What is this antibody validated in?
Anti-Galectin 1 antibody [EPR3206(2)] (ab138513) is a rabbit recombinant monoclonal antibody and is validated for use in Western Blot (WB), Flow Cytometry (Intra), Flow Cytometry (Flow Cyt), Immunohistochemistry (IHC-P), Immunocytochemistry/immunofluorescence (ICC/IF) in Human, Mouse, Rat samples.

What is the molecular weight of Galectin 1?
Anti-Galectin 1 [EPR3206(2)] (ab138513) specifically detects a band for Galectin 1 (UniProt: P09382) at a molecular weight of 15kDa.

Trusted by the scientific community
Anti-Galectin 1 [EPR3206(2)] (ab138513) was first used in a scientific publication in 2012 and has been cited over 10 times in peer-reviewed journals.

Trial sizes available!
Test your antibody or perform pre-screening before committing to a larger quantity. Sold in 10µl. Discover our selection of trial-size antibodies.

Specificity confirmed
The specificity of Anti-Galectin 1 antibody [EPR3206(2)] (ab138513) has been confirmed by Western blot testing in LGALS1 Knockout HAP1 cell line, ab266850.

Other related products
We have a range of other formats of antibody clone [EPR3206(2)] also available for your convenience: ab138513, Carrier free - ab240111, Carrier free - ab242956, APC - ab310826, PE - ab310902, Alexa Fluor® 488 - ab310973, Alexa Fluor® 555 - ab313178

Patented technology
Our RabMAb® technology is a patented hybridoma-based technology for making rabbit monoclonal antibodies. For details on our patents, please refer to RabMAb® patents.

What are the advantages of a recombinant monoclonal antibody?
This product is a recombinant monoclonal antibody, which offers several advantages including:

  • - High batch-to-batch consistency and reproducibility
  • - Improved sensitivity and specificity
  • - Long-term security of supply
  • - Animal-free batch production

For more information, read more on recombinant antibodies.

性能和储存信息

形式
Liquid
纯化工艺
Affinity purification Protein A
存储溶液
pH: 7.2 - 7.4 Preservative: 0.01% Sodium azide Constituents: PBS, 40% Glycerol (glycerin, glycerine), 0.05% BSA
运输条件
Blue Ice
推荐的短期储存条件
+4°C
推荐的长期储存条件
-20°C
分装信息
Upon delivery aliquot
储存信息
Avoid freeze / thaw cycle

补充信息

This supplementary information is collated from multiple sources and compiled automatically.

Galectin-1 also referred to as GAL1 or galectin 1 is a protein with a molecular mass of approximately 14.5 kDa. It belongs to a group called the beta-galactoside-binding lectins and is typically characterized by its distinct carbohydrate-recognition domain. Galectin-1 is expressed in a variety of tissues including muscle epithelial cells the nervous system and immune cells. In particular high expression levels are found in the placenta and the thymus indicating a role in development and immune function.
Biological function summary

This protein mediates a variety of cellular processes such as cell differentiation apoptosis and immune cell modulation. As a monomer galectin-1 binds specifically to beta-galactoside residues on the cell surface. It plays a significant role in regulation of cell signaling circuits affecting T-cell activation as well as macrophage function. The Galectin-1 protein does not commonly form complexes but can influence interactions of other proteins by binding to glycoproteins on the cell surface which can modulate signaling outcomes.

Pathways

The protein is actively involved in pathways related to cell-cell interactions and immune modulation. It interacts with pathways like Ras signaling which is fundamental in cell growth proliferation and survival. Through these pathways galectin-1 is closely related to other proteins including Ras and Raf which are critical in transmitting signals from the cell surface to the DNA in the nucleus affecting gene expression involved in apoptosis and autophagy.

Galectin-1 association with cancer progression and autoimmune diseases reflects its role in immune system regulation. High galectin-1 levels have been recorded in various tumors where the protein promotes tumor progression by supporting angiogenesis and suppressing immune response against cancer cells. In autoimmune disorders such as multiple sclerosis modulation of Galectin-1 levels can alter disease progression and the immune system's behavior. The protein interacts with other key regulators like cytokines emphasizing its importance in immune-inflammatory pathways and potential as a therapeutic target.

产品实验方案

For this product, it's our understanding that no specific protocols are required. You can visit:

靶点信息

Lectin that binds beta-galactoside and a wide array of complex carbohydrates. Plays a role in regulating apoptosis, cell proliferation and cell differentiation. Inhibits CD45 protein phosphatase activity and therefore the dephosphorylation of Lyn kinase. Strong inducer of T-cell apoptosis. Plays a negative role in Th17 cell differentiation via activation of the receptor CD69 (PubMed : 24752896).
See full target information LGALS1

文献 (14)

Recent publications for all applications. Explore the full list and refine your search

Journal of translational medicine 23:227 PubMed40001145

2025

Revolutionizing the treatment of intervertebral disc degeneration: an approach based on molecular typing.

Applications

Unspecified application

Species

Unspecified reactive species

Shaofeng Chen,Wei Zhang,Yifan Liu,Runzhi Huang,Xiaoyi Zhou,Xianzhao Wei

Cell adhesion & migration 18:1-11 PubMed38557441

2024

Galectin-1 overexpression induces normal fibroblasts translate into cancer-associated fibroblasts and attenuates the sensitivity of anlotinib in lung cancer.

Applications

Unspecified application

Species

Unspecified reactive species

Lei Zhang,Wenbang Chen,Xiaojun Li,Gengming Wang,Fubao Xing,Xiao Zhu

PLoS genetics 19:e1010777 PubMed38011284

2023

Spatial transcriptomics reveals novel genes during the remodelling of the embryonic human arterial valves.

Applications

Unspecified application

Species

Unspecified reactive species

Rachel Queen,Moira Crosier,Lorraine Eley,Janet Kerwin,Jasmin E Turner,Jianshi Yu,Ahlam Alqahtani,Tamilvendhan Dhanaseelan,Lynne Overman,Hannah Soetjoadi,Richard Baldock,Jonathan Coxhead,Veronika Boczonadi,Alex Laude,Simon J Cockell,Maureen A Kane,Steven Lisgo,Deborah J Henderson

Cancer research 83:3205-3219 PubMed37409887

2023

Galectin-1 Mediates Chronic STING Activation in Tumors to Promote Metastasis through MDSC Recruitment.

Applications

Unspecified application

Species

Unspecified reactive species

Dhanya K Nambiar,Vignesh Viswanathan,Hongbin Cao,Weiruo Zhang,Li Guan,Manish Chamoli,Brittany Holmes,Christina Kong,Rachel Hildebrand,Amanda Jeanette Koong,Rie von Eyben,Sylvia Plevritis,Lingyin Li,Amato Giaccia,Edgar Engleman,Quynh Thu Le

BMC cancer 23:559 PubMed37328752

2023

Galectin-1 promotes gastric cancer peritoneal metastasis through peritoneal fibrosis.

Applications

Unspecified application

Species

Unspecified reactive species

Xianhe Shen,Huilan Liu,Haihua Zhou,Zhiyi Cheng,Guiyuan Liu,Chuanjiang Huang,Rongrong Dou,Fuxing Liu,Xiaolan You

Cell death and differentiation 30:906-921 PubMed36693903

2023

Galectin-7 reprograms skin carcinogenesis by fostering innate immune evasive programs.

Applications

Unspecified application

Species

Unspecified reactive species

Nicolás A Pinto,Martín C Abba,Lorena Laporte,Juan M Pérez Sáez,Ada G Blidner,Nicolás I Torres,Rosa M Morales,Sabrina G Gatto,Camila A Bach,Florencia Veigas,Hernán J García Rivello,Peng Song,Jane H Frederiksen,Lene Juel Rasmussen,Francoise Poirier,Diego O Croci,Victoria Sundblad,Gabriel A Rabinovich,Juan P Cerliani

Leukemia 37:308-325 PubMed36543880

2022

Single-cell analysis reveals the chemotherapy-induced cellular reprogramming and novel therapeutic targets in relapsed/refractory acute myeloid leukemia.

Applications

Unspecified application

Species

Unspecified reactive species

Kening Li,Yuxin Du,Yun Cai,Wenjie Liu,Yan Lv,Bin Huang,Lishen Zhang,Zhi Wang,Ping Liu,Qian Sun,Ning Li,Mengyan Zhu,Bakwatanisa Bosco,Liangyu Li,Wei Wu,Lingxiang Wu,Jianyong Li,Qianghu Wang,Ming Hong,Sixuan Qian

Molecular oncology 16:1091-1118 PubMed34748271

2021

RASSF1A independence and early galectin-1 upregulation in PIK3CA-induced hepatocarcinogenesis: new therapeutic venues.

Applications

Unspecified application

Species

Unspecified reactive species

Alexander Scheiter,Katja Evert,Lucas Reibenspies,Antonio Cigliano,Katharina Annweiler,Karolina Müller,Laura-Maria-Giovanna Pöhmerer,Hongwei Xu,Guofei Cui,Timo Itzel,Silvia Materna-Reichelt,Andrea Coluccio,Kamran Honarnejad,Andreas Teufel,Christoph Brochhausen,Frank Dombrowski,Xin Chen,Matthias Evert,Diego F Calvisi,Kirsten Utpatel

Aging 13:18464-18481 PubMed34260413

2021

Fibroblastic galectin-1-fostered invasion and metastasis are mediated by TGF-β1-induced epithelial-mesenchymal transition in gastric cancer.

Applications

Unspecified application

Species

Unspecified reactive species

Xiaolan You,Jian Wu,Xiaojun Zhao,Xingyu Jiang,Wenxuan Tao,Zhiyi Chen,Chuanjiang Huang,Tingrui Zheng,Xianhe Shen

Neuroendocrinology 111:146-157 PubMed31991407

2020

Targeting Galectin-1 by Aflibercept Strongly Enhances Its Antitumor Effect in Neuroendocrine Carcinomas.

Applications

Unspecified application

Species

Unspecified reactive species

María Rodríguez-Remírez,Laura Del Puerto-Nevado,María Jesús Fernández-Aceñero,Marlid Cruz-Ramos,Laura García-García,Sonia Solanes,Elena Molina-Roldán,Jesús García-Foncillas,Arancha Cebrián
View all publications

Abcam Product Promise

我们致力于为您的研究提供高质量的试剂,为您科研的每一步提供支持。若我们的产品未能达到预期性能,我们向您提供 Abcam Product Promise 保障。
详情请参阅我们的条款与条件。

Please note: All products are 'FOR RESEARCH USE ONLY. NOT FOR USE IN DIAGNOSTIC OR THERAPEUTIC PROCEDURES'.

For licensing inquiries, please contact partnerships@abcam.com