JavaScript is disabled in your browser. Please enable JavaScript to view this website.
AB225535

重组Anti-GABARAP+GABARAPL1+GABARAPL2抗体[EPR4805] - BSA and Azide free

Anti-GABARAP+GABARAPL1+GABARAPL2 antibody [EPR4805] - BSA and Azide free

Be the first to review this product! Submit a review

|

(2 Publications)

Rabbit Recombinant Monoclonal GABARAP antibody. Carrier free. Suitable for IHC-P, ICC/IF, WB, Flow Cyt (Intra) and reacts with Human, Mouse, Rat samples. Cited in 2 publications.

查看别名

FLC3B, HT004, GABARAP, Gamma-aminobutyric acid receptor-associated protein, GABA(A) receptor-associated protein, MM46

5 Images
Immunohistochemistry (Formalin/PFA-fixed paraffin-embedded sections) - Anti-GABARAP+GABARAPL1+GABARAPL2 antibody [EPR4805] - BSA and Azide free (AB225535)
  • IHC-P

Unknown

Immunohistochemistry (Formalin/PFA-fixed paraffin-embedded sections) - Anti-GABARAP+GABARAPL1+GABARAPL2 antibody [EPR4805] - BSA and Azide free (AB225535)

Unpurified ab109364, at 1/500, staining GABARAP+GABARAPL1+GABARAPL2 in Human brain tissue by immunohistochemistry.

This data was developed using the same antibody clone in a different buffer formulation containing PBS, BSA, glycerol, and sodium azide (ab109364).

Heat mediated antigen retrieval was performed before commencing with IHC staining protocol.

Flow Cytometry (Intracellular) - Anti-GABARAP+GABARAPL1+GABARAPL2 antibody [EPR4805] - BSA and Azide free (AB225535)
  • Flow Cyt (Intra)

Lab

Flow Cytometry (Intracellular) - Anti-GABARAP+GABARAPL1+GABARAPL2 antibody [EPR4805] - BSA and Azide free (AB225535)

Intracellular Flow Cytometry analysis of HeLa (Human cervix adenocarcinoma epithelial cell) cells labeling GABARAP+GABARAPL1+GABARAPL2 with purified ab109364 at 1/20 dilution (10 ug/ml) (red). Cells were fixed with 4% Paraformaldehyde and permeabilized with 90% methanol. A Goat anti rabbit IgG (Alexa Fluor® 488) secondary antibody was used at 1/2000 dilution. Isotype control - Rabbit monoclonal IgG (Black). Unlabeled control - Cell without incubation with primary antibody and secondary antibody (Blue).

This data was developed using the same antibody clone in a different buffer formulation containing PBS, BSA, glycerol, and sodium azide (ab109364).

Immunohistochemistry (Formalin/PFA-fixed paraffin-embedded sections) - Anti-GABARAP+GABARAPL1+GABARAPL2 antibody [EPR4805] - BSA and Azide free (AB225535)
  • IHC-P

Lab

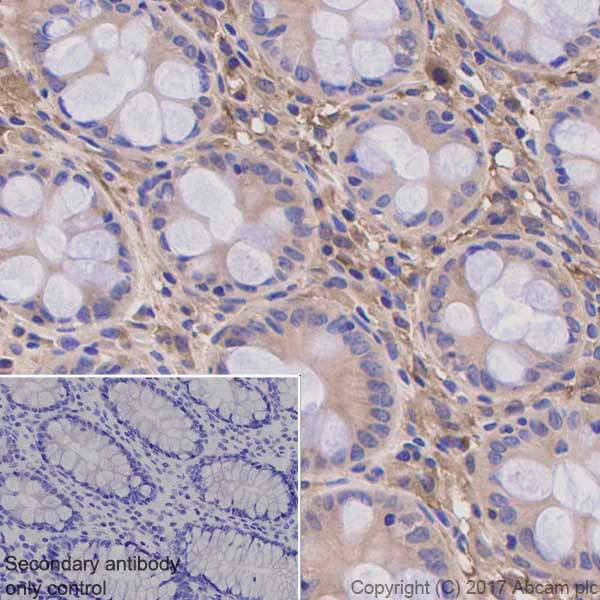
Immunohistochemistry (Formalin/PFA-fixed paraffin-embedded sections) - Anti-GABARAP+GABARAPL1+GABARAPL2 antibody [EPR4805] - BSA and Azide free (AB225535)

Immunohistochemistry (Formalin/PFA-fixed paraffin-embedded sections) analysis of human colon tissue sections labeling GABARAP+GABARAPL1+GABARAPL2 with Purified ab109364 at 1 : 500 dilution (0.29 μg/ml). Heat mediated antigen retrieval was performed using EDTA Buffer, pH9.0. Tissue was counterstained with Hematoxylin. ImmunoHistoProbe one step HRP Polymer (ready to use) secondary antibody was used at 1 : 0 dilution. PBS instead of the primary antibody was used as the negative control.

This data was developed using the same antibody clone in a different buffer formulation containing PBS, BSA, glycerol, and sodium azide (ab109364).

Flow Cytometry (Intracellular) - Anti-GABARAP+GABARAPL1+GABARAPL2 antibody [EPR4805] - BSA and Azide free (AB225535)
  • Flow Cyt (Intra)

Unknown

Flow Cytometry (Intracellular) - Anti-GABARAP+GABARAPL1+GABARAPL2 antibody [EPR4805] - BSA and Azide free (AB225535)

Unpurified ab109364 staining GABARAP+GABARAPL1+GABARAPL2 in the human cell line HeLa (human cervix adenocarcinoma) by intracellular flow cytometry. Cells were fixed with 4% paraformaldehyde, permeabilized with 90% methanol and the sample was incubated with the primary antibody at a dilution of 1/20. A goat anti rabbit IgG (Alexa Fluor® 488) at a dilution of 1/2000 was used as the secondary antibody.

Isoytype control : Rabbit monoclonal IgG (Black)

Unlabelled control : Cell without incubation with primary antibody and secondary antibody (Blue)

This data was developed using the same antibody clone in a different buffer formulation containing PBS, BSA, glycerol, and sodium azide (ab109364).

Immunocytochemistry/ Immunofluorescence - Anti-GABARAP+GABARAPL1+GABARAPL2 antibody [EPR4805] - BSA and Azide free (AB225535)
  • ICC/IF

Unknown

Immunocytochemistry/ Immunofluorescence - Anti-GABARAP+GABARAPL1+GABARAPL2 antibody [EPR4805] - BSA and Azide free (AB225535)

This ICC data was generated using the same anti-GABARAP+GABARAPL1/2 antibody clone [EPR4805] in a different buffer formulation (cat# ab109364).

Immunocytochemistry/Immunofluorescence analysis of HeLa (human cervix adenocarcinoma) labelling GABARAP+GABARAPL1+GABARAPL2 with purified ab109364 at 1/500. Cells were fixed with 4% PFA and permeabilized with 0.1% Triton X-100. An Alexa Fluor® 488-conjugated goat anti-rabbit IgG (1/1000) was used as the secondary antibody (ab150077). Nuclei counterstained with DAPI (blue).

不同偶联物与剂型 (9)

  • Unconjugated

    Anti-GABARAP+GABARAPL1+GABARAPL2 antibody [EPR4805]

  • 565 Alexa Fluor® 555

    Alexa Fluor® 555 Anti-GABARAP+GABARAPL1+GABARAPL2 antibody [EPR4805]

  • 519 Alexa Fluor® 488

    Alexa Fluor® 488 Anti-GABARAP+GABARAPL1+GABARAPL2 antibody [EPR4805]

  • 665 Alexa Fluor® 647

    Alexa Fluor® 647 Anti-GABARAP+GABARAPL1+GABARAPL2 antibody [EPR4805]

  • 617 Alexa Fluor® 594

    Alexa Fluor® 594 Anti-GABARAP+GABARAPL1+GABARAPL2 antibody [EPR4805]

  • 775 Alexa Fluor® 750

    Alexa Fluor® 750 Anti-GABARAP+GABARAPL1+GABARAPL2 antibody [EPR4805]

  • 578 PE

    PE Anti-GABARAP+GABARAPL1+GABARAPL2 antibody [EPR4805]

  • 660 APC

    APC Anti-GABARAP+GABARAPL1+GABARAPL2 antibody [EPR4805]

  • HRP

    HRP Anti-GABARAP+GABARAPL1+GABARAPL2 antibody [EPR4805]

关键信息

宿主种属

Rabbit

克隆

Monoclonal

克隆号

EPR4805

亚型

IgG

不含载体蛋白

Yes

反应种属

Mouse, Rat, Human

应用

WB, ICC/IF, Flow Cyt (Intra), IHC-P

applications

免疫原

The exact immunogen used to generate this antibody is proprietary information.

特异性

This antibody will also recognize related targets GABARAPL1 and GABARAPL2 pBLAST 100% immunogen homology AND Abreview 38385 WB data GABARAPL2: pBLAST 93% homology (only 1aa gap of 14aa) AND Abreview 38385 WB data

反应性数据

{ "title": "Reactivity Data", "filters": { "stats": ["", "Species", "Dilution Info", "Notes"], "tabs": { "all-applications": {"fullname" : "All Applications", "shortname": "All Applications"}, "IHCP" : {"fullname" : "Immunohistochemistry (Formalin/PFA-fixed paraffin-embedded sections)", "shortname":"IHC-P"}, "ICCIF" : {"fullname" : "Immunocytochemistry/ Immunofluorescence", "shortname":"ICC/IF"}, "IP" : {"fullname" : "Immunoprecipitation", "shortname":"IP"}, "WB" : {"fullname" : "Western blot", "shortname":"WB"}, "FlowCytIntra" : {"fullname" : "Flow Cytometry (Intracellular)", "shortname":"Flow Cyt (Intra)"} }, "product-promise": { "all": "all", "testedAndGuaranteed": "tested", "guaranteed": "expected", "predicted": "predicted", "notRecommended": "not-recommended" } }, "values": { "Human": { "IHCP-species-checked": "testedAndGuaranteed", "IHCP-species-dilution-info": "", "IHCP-species-notes": "<p>Antigen retrieval is recommended.</p><p>The mouse and rat recommendation is based on the WB results. This antibody may not be suitable for IHC with mouse or rat samples.</p>", "ICCIF-species-checked": "testedAndGuaranteed", "ICCIF-species-dilution-info": "", "ICCIF-species-notes": "<p></p>", "IP-species-checked": "notRecommended", "IP-species-dilution-info": "", "IP-species-notes": "<p></p>", "WB-species-checked": "testedAndGuaranteed", "WB-species-dilution-info": "", "WB-species-notes": "<p></p>", "FlowCytIntra-species-checked": "testedAndGuaranteed", "FlowCytIntra-species-dilution-info": "", "FlowCytIntra-species-notes": "<p><a href='/products/primary-antibodies/rabbit-igg-monoclonal-epr25a-isotype-control-low-endotoxin-azide-free-ab199376'>ab199376</a> - Rabbit monoclonal IgG, is suitable for use as an isotype control with this antibody.</p>" }, "Mouse": { "IHCP-species-checked": "guaranteed", "IHCP-species-dilution-info": "", "IHCP-species-notes": "", "ICCIF-species-checked": "guaranteed", "ICCIF-species-dilution-info": "", "ICCIF-species-notes": "<p></p>", "IP-species-checked": "notRecommended", "IP-species-dilution-info": "", "IP-species-notes": "<p></p>", "WB-species-checked": "testedAndGuaranteed", "WB-species-dilution-info": "", "WB-species-notes": "<p></p>", "FlowCytIntra-species-checked": "guaranteed", "FlowCytIntra-species-dilution-info": "", "FlowCytIntra-species-notes": "<p></p>" }, "Rat": { "IHCP-species-checked": "guaranteed", "IHCP-species-dilution-info": "", "IHCP-species-notes": "", "ICCIF-species-checked": "guaranteed", "ICCIF-species-dilution-info": "", "ICCIF-species-notes": "", "IP-species-checked": "notRecommended", "IP-species-dilution-info": "", "IP-species-notes": "<p></p>", "WB-species-checked": "testedAndGuaranteed", "WB-species-dilution-info": "", "WB-species-notes": "<p></p>", "FlowCytIntra-species-checked": "guaranteed", "FlowCytIntra-species-dilution-info": "", "FlowCytIntra-species-notes": "<p></p>" }, "Silk worm": { "IHCP-species-checked": "predicted", "IHCP-species-dilution-info": "", "IHCP-species-notes": "", "ICCIF-species-checked": "predicted", "ICCIF-species-dilution-info": "", "ICCIF-species-notes": "", "IP-species-checked": "notRecommended", "IP-species-dilution-info": "", "IP-species-notes": "", "WB-species-checked": "predicted", "WB-species-dilution-info": "", "WB-species-notes": "", "FlowCytIntra-species-checked": "predicted", "FlowCytIntra-species-dilution-info": "", "FlowCytIntra-species-notes": "" } } }

产品详情

ab225535 is the carrier-free version of ab109364.

Patented technology
Our RabMAb® technology is a patented hybridoma-based technology for making rabbit monoclonal antibodies. For details on our patents, please refer to RabMAb® patents.

Conjugation ready
Our carrier-free antibodies are typically supplied in a PBS-only formulation, purified and free of BSA, sodium azide and glycerol. This conjugation-ready format is designed for use with fluorochromes, metal isotopes, oligonucleotides, and enzymes, which makes them ideal for antibody labelling, functional and cell-based assays, flow-based assays (e.g. mass cytometry) and Multiplex Imaging applications.

Use our conjugation kits for antibody conjugates that are ready-to-use in as little as 20 minutes with 1 minute hands-on-time and 100% antibody recovery: available for fluorescent dyes, HRP, biotin and gold.

Compatibility
This product is compatible with the Maxpar® Antibody Labeling Kit from Fluidigm, without the need for antibody preparation. Maxpar® is a trademark of Fluidigm Canada Inc.

性能和储存信息

形式
Liquid
纯化工艺
Affinity purification Protein A
存储溶液
pH: 7.2 - 7.4 Constituents: PBS
运输条件
Blue Ice
推荐的短期储存条件
+4°C
推荐的长期储存条件
+4°C
储存信息
Do Not Freeze

产品实验方案

For this product, it's our understanding that no specific protocols are required. You can visit:

靶点信息

Ubiquitin-like modifier that plays a role in intracellular transport of GABA(A) receptors and its interaction with the cytoskeleton (PubMed : 9892355). Involved in autophagy : while LC3s are involved in elongation of the phagophore membrane, the GABARAP/GATE-16 subfamily is essential for a later stage in autophagosome maturation (PubMed : 15169837, PubMed : 20562859, PubMed : 22948227). Through its interaction with the reticulophagy receptor TEX264, participates in the remodeling of subdomains of the endoplasmic reticulum into autophagosomes upon nutrient stress, which then fuse with lysosomes for endoplasmic reticulum turnover (PubMed : 31006538). Also required for the local activation of the CUL3(KBTBD6/7) E3 ubiquitin ligase complex, regulating ubiquitination and degradation of TIAM1, a guanyl-nucleotide exchange factor (GEF) that activates RAC1 and downstream signal transduction (PubMed : 25684205). Thereby, regulates different biological processes including the organization of the cytoskeleton, cell migration and proliferation (PubMed : 25684205). Involved in apoptosis (PubMed : 15977068).
See full target information GABARAP

其他靶点

GABARAPL1,GABARAPL2

文献 (2)

Recent publications for all applications. Explore the full list and refine your search

eLife 6: PubMed28195531

2017

Multiplex image-based autophagy RNAi screening identifies SMCR8 as ULK1 kinase activity and gene expression regulator.

Applications

ICC/IF

Species

Human

Jennifer Jung,Arnab Nayak,Véronique Schaeffer,Tatjana Starzetz,Achim K Kirsch,Stefan Müller,Ivan Dikic,Michel Mittelbronn,Christian Behrends

PloS one 9:e111490 PubMed25365350

2014

Autophagy, inflammation and innate immunity in inflammatory myopathies.

Applications

RipA

Species

Human

Cristina Cappelletti,Barbara Galbardi,Dimos Kapetis,Gaetano Vattemi,Valeria Guglielmi,Paola Tonin,Franco Salerno,Lucia Morandi,Giuliano Tomelleri,Renato Mantegazza,Pia Bernasconi
View all publications

Abcam Product Promise

我们致力于为您的研究提供高质量的试剂,为您科研的每一步提供支持。若我们的产品未能达到预期性能,我们向您提供 Abcam Product Promise 保障。
详情请参阅我们的条款与条件。

Please note: All products are 'FOR RESEARCH USE ONLY. NOT FOR USE IN DIAGNOSTIC OR THERAPEUTIC PROCEDURES'.

For licensing inquiries, please contact partnerships@abcam.com