JavaScript is disabled in your browser. Please enable JavaScript to view this website.
AB109364

Anti-GABARAP+GABARAPL1+GABARAPL2 抗体 [EPR4805]

Anti-GABARAP+GABARAPL1+GABARAPL2 antibody [EPR4805]

4

(12 Reviews)

|

(103 Publications)

Anti-GABARAP+GABARAPL1+GABARAPL2 antibody [EPR4805] (ab109364) is a rabbit monoclonal antibody detecting GABARAP+GABARAPL1+GABARAPL2 in Western Blot, Flow Cytometry (Intra), Flow Cytometry, IHC-P, ICC/IF. Suitable for Human, Mouse, Rat.

- Biophysical QC for unrivalled batch-batch consistency
- Over 60 publications

查看别名

FLC3B, HT004, GABARAP, Gamma-aminobutyric acid receptor-associated protein, GABA(A) receptor-associated protein, MM46

8 Images
Immunohistochemistry (Formalin/PFA-fixed paraffin-embedded sections) - Anti-GABARAP+GABARAPL1+GABARAPL2 antibody [EPR4805] (AB109364)
  • IHC-P

Unknown

Immunohistochemistry (Formalin/PFA-fixed paraffin-embedded sections) - Anti-GABARAP+GABARAPL1+GABARAPL2 antibody [EPR4805] (AB109364)

Unpurified ab109364, at 1/500, staining GABARAP+GABARAPL1+GABARAPL2 in Human brain tissue by immunohistochemistry.

Flow Cytometry (Intracellular) - Anti-GABARAP+GABARAPL1+GABARAPL2 antibody [EPR4805] (AB109364)
  • Flow Cyt (Intra)

Lab

Flow Cytometry (Intracellular) - Anti-GABARAP+GABARAPL1+GABARAPL2 antibody [EPR4805] (AB109364)

Intracellular Flow Cytometry analysis of HeLa (Human cervix adenocarcinoma epithelial cell) cells labeling GABARAP+GABARAPL1+GABARAPL2 with purified ab109364 at 1/20 dilution (10 ug/ml) (red). Cells were fixed with 4% Paraformaldehyde and permeabilized with 90% methanol. A Goat anti rabbit IgG (Alexa Fluorr® 488) secondary antibody was used at 1/2000 dilution. Isotype control - Rabbit monoclonal IgG (Black). Unlabeled control - Cell without incubation with primary antibody and secondary antibody (Blue).

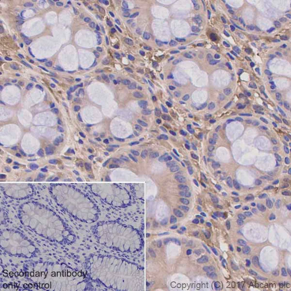
Immunohistochemistry (Formalin/PFA-fixed paraffin-embedded sections) - Anti-GABARAP+GABARAPL1+GABARAPL2 antibody [EPR4805] (AB109364)
  • IHC-P

Lab

Immunohistochemistry (Formalin/PFA-fixed paraffin-embedded sections) - Anti-GABARAP+GABARAPL1+GABARAPL2 antibody [EPR4805] (AB109364)

Immunohistochemistry (Formalin/PFA-fixed paraffin-embedded sections) analysis of human colon tissue sections labeling GABARAP+GABARAPL1+GABARAPL2 with Purified ab109364 at 1 : 500 dilution (0.29 μg/ml). Heat mediated antigen retrieval was performed using EDTA Buffer, pH 9.0. Tissue was counterstained with Hematoxylin. ImmunoHistoProbe one step HRP Polymer (ready to use) secondary antibody was used at 1 : 0 dilution. PBS instead of the primary antibody was used as the negative control.

Flow Cytometry (Intracellular) - Anti-GABARAP+GABARAPL1+GABARAPL2 antibody [EPR4805] (AB109364)
  • Flow Cyt (Intra)

Unknown

Flow Cytometry (Intracellular) - Anti-GABARAP+GABARAPL1+GABARAPL2 antibody [EPR4805] (AB109364)

Unpurified ab109364 staining GABARAP+GABARAPL1+GABARAPL2 in the human cell line HeLa (human cervix adenocarcinoma) by intracellular flow cytometry. Cells were fixed with 4% paraformaldehyde, permeabilized with 90% methanol and the sample was incubated with the primary antibody at a dilution of 1/20. A goat anti rabbit IgG (Alexa Fluorr® 488) at a dilution of 1/2000 was used as the secondary antibody.

Isoytype control : Rabbit monoclonal IgG (Black)

Unlabelled control : Cell without incubation with primary antibody and secondary antibody (Blue)

Immunocytochemistry/ Immunofluorescence - Anti-GABARAP+GABARAPL1+GABARAPL2 antibody [EPR4805] (AB109364)
  • ICC/IF

Unknown

Immunocytochemistry/ Immunofluorescence - Anti-GABARAP+GABARAPL1+GABARAPL2 antibody [EPR4805] (AB109364)

Immunocytochemistry/Immunofluorescence analysis of HeLa (human cervix adenocarcinoma) labelling GABARAP+GABARAPL1+GABARAPL2 with purified ab109364 at 1/500. Cells were fixed with 4% PFA and permeabilized with 0.1% Triton X-100. An Alexa Fluor® 488-conjugated goat anti-rabbit IgG (1/1000) was used as the secondary antibody (ab150077). Nuclei counterstained with DAPI (blue).

Western blot - Anti-GABARAP+GABARAPL1+GABARAPL2 antibody [EPR4805] (AB109364)
  • WB

Lab

Western blot - Anti-GABARAP+GABARAPL1+GABARAPL2 antibody [EPR4805] (AB109364)

Blocking and diluting buffer : 5% NFDM/TBST

All lanes:

Western blot - Anti-GABARAP+GABARAPL1+GABARAPL2 antibody [EPR4805] (ab109364) at 1/5000 dilution

Lane 1:

Mouse kidney lysates at 20 µg

Lane 2:

HepG2 (Human hepatocellular carcinoma epithelial cell) whole cell lysates at 20 µg

Secondary

All lanes:

Western blot - Goat Anti-Rabbit IgG H&L (HRP) (<a href='/products/secondary-antibodies/goat-rabbit-igg-h-l-hrp-ab97051'>ab97051</a>) at 1/20000 dilution

Predicted band size: 14 kDa

Observed band size: 17 kDa

false

Western blot - Anti-GABARAP+GABARAPL1+GABARAPL2 antibody [EPR4805] (AB109364)
  • WB

Lab

Western blot - Anti-GABARAP+GABARAPL1+GABARAPL2 antibody [EPR4805] (AB109364)

Blocking and diluting buffer : 5% NFDM/TBST

All lanes:

Western blot - Anti-GABARAP+GABARAPL1+GABARAPL2 antibody [EPR4805] (ab109364) at 1/5000 dilution

All lanes:

Rat kidney lysates at 20 µg

Secondary

All lanes:

Western blot - Goat Anti-Rabbit IgG H&L (HRP) (<a href='/products/secondary-antibodies/goat-rabbit-igg-h-l-hrp-ab97051'>ab97051</a>) at 1/20000 dilution

Predicted band size: 14 kDa

Observed band size: 17 kDa

false

Western blot - Anti-GABARAP+GABARAPL1+GABARAPL2 antibody [EPR4805] (AB109364)
  • WB

Unknown

Western blot - Anti-GABARAP+GABARAPL1+GABARAPL2 antibody [EPR4805] (AB109364)

All lanes:

Western blot - Anti-GABARAP+GABARAPL1+GABARAPL2 antibody [EPR4805] (ab109364) at 1/1000 dilution

Lane 1:

Fetal kidney lysate at 10 µg

Lane 2:

SH-SY5Y cell lysate at 10 µg

Lane 3:

HepG2 cell lysate at 10 µg

Lane 4:

Fetal brain lysate at 10 µg

Predicted band size: 14 kDa

false

不同偶联物与剂型 (9)

  • 578 PE

    PE Anti-GABARAP+GABARAPL1+GABARAPL2 antibody [EPR4805]

  • 660 APC

    APC Anti-GABARAP+GABARAPL1+GABARAPL2 antibody [EPR4805]

  • Carrier free

    Anti-GABARAP+GABARAPL1+GABARAPL2 antibody [EPR4805] - BSA and Azide free

  • HRP

    HRP Anti-GABARAP+GABARAPL1+GABARAPL2 antibody [EPR4805]

  • 565 Alexa Fluor® 555

    Alexa Fluor® 555 Anti-GABARAP+GABARAPL1+GABARAPL2 antibody [EPR4805]

  • 617 Alexa Fluor® 594

    Alexa Fluor® 594 Anti-GABARAP+GABARAPL1+GABARAPL2 antibody [EPR4805]

  • 519 Alexa Fluor® 488

    Alexa Fluor® 488 Anti-GABARAP+GABARAPL1+GABARAPL2 antibody [EPR4805]

  • 665 Alexa Fluor® 647

    Alexa Fluor® 647 Anti-GABARAP+GABARAPL1+GABARAPL2 antibody [EPR4805]

  • 775 Alexa Fluor® 750

    Alexa Fluor® 750 Anti-GABARAP+GABARAPL1+GABARAPL2 antibody [EPR4805]

关键信息

宿主种属

Rabbit

克隆

Monoclonal

克隆号

EPR4805

亚型

IgG

不含载体蛋白

No

反应种属

Mouse, Rat, Human

应用

Flow Cyt (Intra), IHC-P, WB, ICC/IF

applications

免疫原

The exact immunogen used to generate this antibody is proprietary information.

特异性

This antibody will also recognize related targets GABARAPL1 and GABARAPL2 pBLAST 100% immunogen homology AND Abreview 38385 WB data GABARAPL2: pBLAST 93% homology (only 1aa gap of 14aa) AND Abreview 38385 WB data

反应性数据

{ "title": "Reactivity Data", "filters": { "stats": ["", "Species", "Dilution Info", "Notes"], "tabs": { "all-applications": {"fullname" : "All Applications", "shortname": "All Applications"}, "WB" : {"fullname" : "Western blot", "shortname":"WB"}, "ICCIF" : {"fullname" : "Immunocytochemistry/ Immunofluorescence", "shortname":"ICC/IF"}, "FlowCytIntra" : {"fullname" : "Flow Cytometry (Intracellular)", "shortname":"Flow Cyt (Intra)"}, "IHCP" : {"fullname" : "Immunohistochemistry (Formalin/PFA-fixed paraffin-embedded sections)", "shortname":"IHC-P"}, "IP" : {"fullname" : "Immunoprecipitation", "shortname":"IP"} }, "product-promise": { "all": "all", "testedAndGuaranteed": "tested", "guaranteed": "expected", "predicted": "predicted", "notRecommended": "not-recommended" } }, "values": { "Human": { "WB-species-checked": "testedAndGuaranteed", "WB-species-dilution-info": "1/1000 - 1/10000", "WB-species-notes": "<p></p>", "ICCIF-species-checked": "testedAndGuaranteed", "ICCIF-species-dilution-info": "1/100 - 1/500", "ICCIF-species-notes": "<p></p>", "FlowCytIntra-species-checked": "testedAndGuaranteed", "FlowCytIntra-species-dilution-info": "1/20", "FlowCytIntra-species-notes": "<p></p>", "IHCP-species-checked": "testedAndGuaranteed", "IHCP-species-dilution-info": "1/500 - 1/1000", "IHCP-species-notes": "<p>Antigen retrieval is recommended.</p><p>The mouse and rat recommendation is based on the WB results. This antibody may not be suitable for IHC with mouse or rat samples.</p> Perform heat-mediated antigen retrieval with Tris/EDTA buffer pH 9.0 before commencing with IHC staining protocol.", "IP-species-checked": "notRecommended", "IP-species-dilution-info": "", "IP-species-notes": "<p></p>" }, "Mouse": { "WB-species-checked": "testedAndGuaranteed", "WB-species-dilution-info": "1/1000 - 1/10000", "WB-species-notes": "<p></p>", "ICCIF-species-checked": "guaranteed", "ICCIF-species-dilution-info": "1/100 - 1/500", "ICCIF-species-notes": "<p></p>", "FlowCytIntra-species-checked": "guaranteed", "FlowCytIntra-species-dilution-info": "1/20", "FlowCytIntra-species-notes": "<p></p>", "IHCP-species-checked": "guaranteed", "IHCP-species-dilution-info": "", "IHCP-species-notes": "", "IP-species-checked": "notRecommended", "IP-species-dilution-info": "", "IP-species-notes": "<p></p>" }, "Rat": { "WB-species-checked": "testedAndGuaranteed", "WB-species-dilution-info": "1/1000 - 1/10000", "WB-species-notes": "<p></p>", "ICCIF-species-checked": "guaranteed", "ICCIF-species-dilution-info": "", "ICCIF-species-notes": "", "FlowCytIntra-species-checked": "guaranteed", "FlowCytIntra-species-dilution-info": "1/20", "FlowCytIntra-species-notes": "<p></p>", "IHCP-species-checked": "guaranteed", "IHCP-species-dilution-info": "", "IHCP-species-notes": "", "IP-species-checked": "notRecommended", "IP-species-dilution-info": "", "IP-species-notes": "<p></p>" }, "Silk worm": { "WB-species-checked": "predicted", "WB-species-dilution-info": "", "WB-species-notes": "", "ICCIF-species-checked": "predicted", "ICCIF-species-dilution-info": "", "ICCIF-species-notes": "", "FlowCytIntra-species-checked": "predicted", "FlowCytIntra-species-dilution-info": "", "FlowCytIntra-species-notes": "", "IHCP-species-checked": "predicted", "IHCP-species-dilution-info": "", "IHCP-species-notes": "", "IP-species-checked": "notRecommended", "IP-species-dilution-info": "", "IP-species-notes": "" } } }

产品详情

What is this antibody validated in?
Anti-GABARAP+GABARAPL1+GABARAPL2 antibody [EPR4805] (ab109364) is a rabbit recombinant monoclonal antibody and is validated for use in Western Blot (WB), Flow Cytometry (Intra), Flow Cytometry (Flow Cyt), Immunohistochemistry (IHC-P), Immunocytochemistry/immunofluorescence (ICC/IF) in Human, Mouse, Rat samples.

What is the molecular weight of GABARAP+GABARAPL1+GABARAPL2?
Anti-GABARAP+GABARAPL1+GABARAPL2 [EPR4805] (ab109364) specifically detects a band for GABARAP+GABARAPL1+GABARAPL2 (UniProt: O95166) at a molecular weight of 14kDa.

Trusted by the scientific community
Anti-GABARAP+GABARAPL1+GABARAPL2 [EPR4805] (ab109364) was first used in a scientific publication in 2011 and has been cited over 60 times in peer-reviewed journals.

Reviewed by scientists
Anti-GABARAP+GABARAPL1+GABARAPL2 [EPR4805] (ab109364) has over 10 independent reviews from customers.

Trial sizes available!
Test your antibody or perform pre-screening before committing to a larger quantity. Sold in 10µl. Discover our selection of trial-size antibodies.

Other related products
We have a range of other formats of antibody clone [EPR4805] also available for your convenience: ab109364, HRP - ab201813, Carrier free - ab225535, Alexa Fluor® 488 - ab319582, Alexa Fluor® 647 - ab319688, Alexa Fluor® 594 - ab319818, Alexa Fluor® 555 - ab319959, Alexa Fluor® 750 - ab320947

Patented technology
Our RabMAb® technology is a patented hybridoma-based technology for making rabbit monoclonal antibodies. For details on our patents, please refer to RabMAb® patents.

What are the advantages of a recombinant monoclonal antibody?
This product is a recombinant monoclonal antibody, which offers several advantages including:

  • - High batch-to-batch consistency and reproducibility
  • - Improved sensitivity and specificity
  • - Long-term security of supply
  • - Animal-free batch production

For more information, read more on recombinant antibodies.

性能和储存信息

形式
Liquid
纯化工艺
Affinity purification Protein A
存储溶液
pH: 7.2 - 7.4 Preservative: 0.01% Sodium azide Constituents: PBS, 40% Glycerol (glycerin, glycerine), 0.05% BSA
运输条件
Blue Ice
推荐的短期储存时间
1-2 weeks
推荐的短期储存条件
+4°C
推荐的长期储存条件
-20°C
分装信息
Upon delivery aliquot
储存信息
Stable for 12 months at -20°C

产品实验方案

For this product, it's our understanding that no specific protocols are required. You can visit:

靶点信息

Ubiquitin-like modifier that plays a role in intracellular transport of GABA(A) receptors and its interaction with the cytoskeleton (PubMed : 9892355). Involved in autophagy : while LC3s are involved in elongation of the phagophore membrane, the GABARAP/GATE-16 subfamily is essential for a later stage in autophagosome maturation (PubMed : 15169837, PubMed : 20562859, PubMed : 22948227). Through its interaction with the reticulophagy receptor TEX264, participates in the remodeling of subdomains of the endoplasmic reticulum into autophagosomes upon nutrient stress, which then fuse with lysosomes for endoplasmic reticulum turnover (PubMed : 31006538). Also required for the local activation of the CUL3(KBTBD6/7) E3 ubiquitin ligase complex, regulating ubiquitination and degradation of TIAM1, a guanyl-nucleotide exchange factor (GEF) that activates RAC1 and downstream signal transduction (PubMed : 25684205). Thereby, regulates different biological processes including the organization of the cytoskeleton, cell migration and proliferation (PubMed : 25684205). Involved in apoptosis (PubMed : 15977068).
See full target information GABARAP

其他靶点

GABARAPL1,GABARAPL2

文献 (103)

Recent publications for all applications. Explore the full list and refine your search

Autophagy :1-16 PubMed40851209

2025

LC3 and GABARAP independent autophagy of misfolded procollagen in mouse osteoblasts.

Applications

Unspecified application

Species

Unspecified reactive species

Elena Makareeva,Shakib Omari,Anna M Roberts-Pilgrim,Laura Gorrell,Bella Radant,Muthulakshmi Sellamani,Edward L Mertz,Basma Khoury,Kenneth Kozloff,Sergey Leikin

BMC biology 23:193 PubMed40598439

2025

Lipid metabolites affected by deficient autophagy antagonize the occurrence of autophagy through AMPK signaling in insects.

Applications

Unspecified application

Species

Unspecified reactive species

Ling Tian,Qien Zhong,Yubei Yang,Wenmei Wu,Yang Xiao,Sheng Li,Kang Li

Nature communications 16:5858 PubMed40595449

2025

Autophagy controls differentiation of Drosophila blood cells by regulating Notch levels in response to nutrient availability.

Applications

Unspecified application

Species

Unspecified reactive species

Maximiliano J Katz,Felipe Rodríguez,Fermín Evangelisti,Agustina G Borrat,Sebastián Perez-Pandolfo,Tomás Peters,Natalia Sommario,Graciela L Boccaccio,Mariana Melani,Pablo Wappner

iScience 28:112052 PubMed40463965

2025

Elimination of intra-hepatocytic malaria parasites is driven by non-canonical autophagy but not nitric oxide production.

Applications

Unspecified application

Species

Unspecified reactive species

Antonino Schepis,Jonas E Mertens,Patrick Lewis,Hardik Patel,Noah Stegman,Laura Reynolds,Nana K Minkah,Stefan H I Kappe

Cell death discovery 11:181 PubMed40240351

2025

Identification of new candidates regulating autophagy-dependent midgut degradation in Drosophila melanogaster.

Applications

Unspecified application

Species

Unspecified reactive species

Ruchi Umargamwala,Shannon Nicolson,Jantina Manning,Julian M Carosi,Sharad Kumar,Donna Denton

Cell death & disease 16:300 PubMed40234443

2025

A variant of the autophagic receptor NDP52 counteracts phospho-TAU accumulation and emerges as a protective factor for Alzheimer's disease.

Applications

Unspecified application

Species

Unspecified reactive species

Anna Mattioni,Claudia Carsetti,Krenare Bruqi,Valerio Caputo,Valentina Cianfanelli,Maria Giulia Bacalini,Mariella Casa,Carlo Gabelli,Emiliano Giardina,Gianluca Cestra,Flavie Strappazzon

Aging and disease : PubMed40072366

2025

The Impact of Rosemary and Ginger Extracts on Aging and Healthspan in Drosophila.

Applications

Unspecified application

Species

Unspecified reactive species

Ricardo Aparicio,Anna M Salazar,Edward T Schmid,Armen Khanbabaei,Arun Rajgopal,R Keith Randolph,David W Walker

The Journal of cell biology 224: PubMed40067150

2025

The deubiquitinase USP45 inhibits autophagy through actin regulation by Coronin 1B.

Applications

Unspecified application

Species

Unspecified reactive species

Yuchieh Jay Lin,Li-Ting Huang,Po-Yuan Ke,Guang-Chao Chen

The Journal of biological chemistry 301:108257 PubMed39909373

2025

Aggregated proinsulin in pancreatic β-cells is degraded by the autophagy pathway.

Applications

Unspecified application

Species

Unspecified reactive species

Yueh-Fu Madey,Samreen K Syed,Robert Daniel Van Horn,Annie R Pineros,Alexander M Efanov

PLoS biology 23:e3002998 PubMed39879147

2025

The ubiquitin-conjugating enzyme UBE2D maintains a youthful proteome and ensures protein quality control during aging by sustaining proteasome activity.

Applications

Unspecified application

Species

Unspecified reactive species

Liam C Hunt,Michelle Curley,Kudzai Nyamkondiwa,Anna Stephan,Jianqin Jiao,Kanisha Kavdia,Vishwajeeth R Pagala,Junmin Peng,Fabio Demontis
View all publications

Abcam Product Promise

我们致力于为您的研究提供高质量的试剂,为您科研的每一步提供支持。若我们的产品未能达到预期性能,我们向您提供 Abcam Product Promise 保障。
详情请参阅我们的条款与条件。

Please note: All products are 'FOR RESEARCH USE ONLY. NOT FOR USE IN DIAGNOSTIC OR THERAPEUTIC PROCEDURES'.

For licensing inquiries, please contact partnerships@abcam.com