JavaScript is disabled in your browser. Please enable JavaScript to view this website.
AB238130

重组Anti-GABA B Receptor 1抗体[EPR22954-47]

Anti-GABA B Receptor 1 antibody [EPR22954-47]

5

(3 Reviews)

|

(8 Publications)

Rabbit Recombinant Monoclonal GABA B Receptor 1 antibody. Suitable for WB, IHC-Fr, IHC-P and reacts with Mouse, Rat, Human samples. Cited in 8 publications.

查看别名

GPRC3A, GABBR1, Gamma-aminobutyric acid type B receptor subunit 1, GABA-B receptor 1, GABA-B-R1, GABA-BR1, GABABR1, Gb1

6 Images
Immunohistochemistry (Formalin/PFA-fixed paraffin-embedded sections) - Anti-GABA B Receptor 1 antibody [EPR22954-47] (AB238130)
  • IHC-P

Unknown

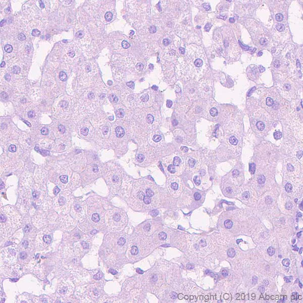
Immunohistochemistry (Formalin/PFA-fixed paraffin-embedded sections) - Anti-GABA B Receptor 1 antibody [EPR22954-47] (AB238130)

Immunohistochemical analysis of paraffin-embedded human liver tissue labeling GABA B Receptor 1 with ab238130 at 1/500 dilution followed by a ready to use Rabbit specific IHC polymer detection kit HRP/DAB (ab209101). Negative control : No staining on human liver. The section was incubated with ab238130 for 30 mins at room temperature. The immunostaining was performed on a Leica Biosystems BOND® RX instrument. Counterstained with hematoxylin.

Secondary antibody only control : Secondary antibody is a ready to use Rabbit specific IHC polymer detection kit HRP/DAB (ab209101).

Heat mediated antigen retrieval with Tris-EDTA buffer (pH 9.0, epitope retrieval solution 2) for 20mins

This data was developed using the same antibody clone in a different buffer formulation containing PBS, BSA, glycerol, and sodium azide (ab238130).

Immunohistochemistry (Formalin/PFA-fixed paraffin-embedded sections) - Anti-GABA B Receptor 1 antibody [EPR22954-47] (AB238130)
  • IHC-P

Unknown

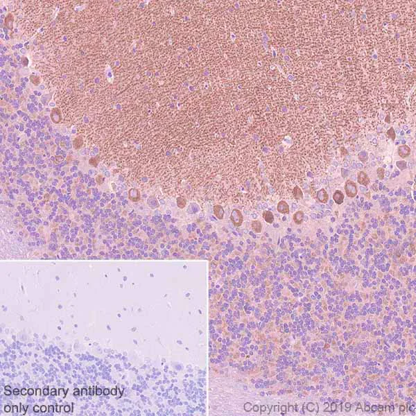
Immunohistochemistry (Formalin/PFA-fixed paraffin-embedded sections) - Anti-GABA B Receptor 1 antibody [EPR22954-47] (AB238130)

Immunohistochemical analysis of paraffin-embedded human cerebellum tissue labeling GABA B Receptor 1 with ab238130 at 1/500 dilution followed by a ready to use Rabbit specific IHC polymer detection kit HRP/DAB (ab209101). Positive staining on human cerebellum. The section was incubated with ab238130 for 30 mins at room temperature. The immunostaining was performed on a Leica Biosystems BOND® RX instrument. Counterstained with hematoxylin.

Secondary antibody only control : Secondary antibody is a ready to use Rabbit specific IHC polymer detection kit HRP/DAB (ab209101).

Heat mediated antigen retrieval with Tris-EDTA buffer (pH 9.0, epitope retrieval solution 2) for 20mins

This data was developed using the same antibody clone in a different buffer formulation containing PBS, BSA, glycerol, and sodium azide (ab238130).

Immunohistochemistry (Formalin/PFA-fixed paraffin-embedded sections) - Anti-GABA B Receptor 1 antibody [EPR22954-47] (AB238130)
  • IHC-P

Unknown

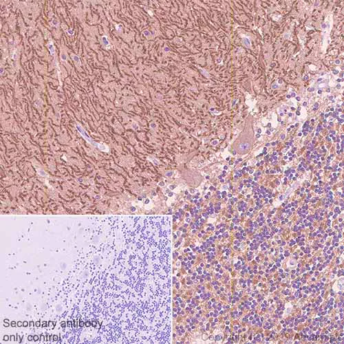
Immunohistochemistry (Formalin/PFA-fixed paraffin-embedded sections) - Anti-GABA B Receptor 1 antibody [EPR22954-47] (AB238130)

Immunohistochemical analysis of paraffin-embedded rat cerebellum tissue labeling GABA B Receptor 1 with ab238130 at 1/500 dilution followed by a ready to use Rabbit specific IHC polymer detection kit HRP/DAB (ab209101). Positive staining on rat cerebellum. The section was incubated with ab238130 for 30 mins at room temperature. The immunostaining was performed on a Leica Biosystems BOND® RX instrument. Counterstained with hematoxylin.

Secondary antibody only control : Secondary antibody is a ready to use Rabbit specific IHC polymer detection kit HRP/DAB (ab209101).

Heat mediated antigen retrieval with Tris-EDTA buffer (pH 9.0, epitope retrieval solution 2) for 20mins

This data was developed using the same antibody clone in a different buffer formulation containing PBS, BSA, glycerol, and sodium azide (ab238130).

Immunohistochemistry (Formalin/PFA-fixed paraffin-embedded sections) - Anti-GABA B Receptor 1 antibody [EPR22954-47] (AB238130)
  • IHC-P

Unknown

Immunohistochemistry (Formalin/PFA-fixed paraffin-embedded sections) - Anti-GABA B Receptor 1 antibody [EPR22954-47] (AB238130)

Immunohistochemical analysis of paraffin-embedded mouse cerebellum tissue labeling GABA B Receptor 1 with ab238130 at 1/500 dilution followed by a ready to use Rabbit specific IHC polymer detection kit HRP/DAB (ab209101). Positive staining on mouse cerebellum. The section was incubated with ab238130 for 30 mins at room temperature. The immunostaining was performed on a Leica Biosystems BOND® RX instrument. Counterstained with hematoxylin.

Secondary antibody only control : Secondary antibody is a ready to use Rabbit specific IHC polymer detection kit HRP/DAB (ab209101).

Heat mediated antigen retrieval with Tris-EDTA buffer (pH 9.0, epitope retrieval solution 2) for 20mins

This data was developed using the same antibody clone in a different buffer formulation containing PBS, BSA, glycerol, and sodium azide (ab238130).

Western blot - Anti-GABA B Receptor 1 antibody [EPR22954-47] (AB238130)
  • WB

Lab

Western blot - Anti-GABA B Receptor 1 antibody [EPR22954-47] (AB238130)

Blocking and diluting buffer and concentration : 5% NFDM/TBST.

All the lysates were unboiled.

Skeletal muscle is a low-expression tissue. T

he expression profile/ molecular weight observed is consistent with what has been described in the literature (PMID : 26033241, 10996466).

Exposure time : Lane 1 3 minutes Lanes 2-3 : 50 seconds.

All lanes:

Western blot - Anti-GABA B Receptor 1 antibody [EPR22954-47] (ab238130) at 1/1000 dilution

Lane 1:

Human brain tissue lysate at 20 µg

Lane 2:

Human cerebellum tissue lysate at 20 µg

Lane 3:

Human skeletal muscle tissue lysate at 20 µg

Secondary

All lanes:

Western blot - Goat Anti-Rabbit IgG H&L (HRP) (<a href='/products/secondary-antibodies/goat-rabbit-igg-h-l-hrp-ab97051'>ab97051</a>) at 1/50000 dilution

Predicted band size: 108 kDa

Observed band size: 108 kDa,95 kDa

false

Western blot - Anti-GABA B Receptor 1 antibody [EPR22954-47] (AB238130)
  • WB

Lab

Western blot - Anti-GABA B Receptor 1 antibody [EPR22954-47] (AB238130)

Blocking and diluting buffer and concentration : 5% NFDM/TBST.

All the lysates were unboiled.

Skeletal muscle is a low-expression tissue.

The expression profile/ molecular weight observed is consistent with what has been described in the literature (PMID : 26033241, 10996466).

Exposure time : Lanes 1-2 : 75 seconds Lanes 3-4 : 3 minutes.

All lanes:

Western blot - Anti-GABA B Receptor 1 antibody [EPR22954-47] (ab238130) at 1/1000 dilution

Lane 1:

Mouse cerebellum tissue lysate at 20 µg

Lane 2:

Mouse skeletal muscle tissue lysate at 20 µg

Lane 3:

Rat brain tissue lysate at 20 µg

Lane 4:

Rat skeletal muscle tissue lysate at 20 µg

Secondary

All lanes:

Western blot - Goat Anti-Rabbit IgG H&L (HRP) (<a href='/products/secondary-antibodies/goat-rabbit-igg-h-l-hrp-ab97051'>ab97051</a>) at 1/50000 dilution

Predicted band size: 108 kDa

Observed band size: 108 kDa,95 kDa

false

不同偶联物与剂型 (8)

  • Carrier free

    Anti-GABA B Receptor 1 antibody [EPR22954-47] - BSA and Azide free

  • 519 Alexa Fluor® 488

    Alexa Fluor® 488 Anti-GABA B Receptor 1 antibody [EPR22954-47]

  • 578 PE

    PE Anti-GABA B Receptor 1 antibody [EPR22954-47]

  • 565 Alexa Fluor® 555

    Alexa Fluor® 555 Anti-GABA B Receptor 1 antibody [EPR22954-47]

  • 617 Alexa Fluor® 594

    Alexa Fluor® 594 Anti-GABA B Receptor 1 antibody [EPR22954-47]

  • 660 APC

    APC Anti-GABA B Receptor 1 antibody [EPR22954-47]

  • 665 Alexa Fluor® 647

    Alexa Fluor® 647 Anti-GABA B Receptor 1 antibody [EPR22954-47]

  • 775 Alexa Fluor® 750

    Alexa Fluor® 750 Anti-GABA B Receptor 1 antibody [EPR22954-47]

关键信息

宿主种属

Rabbit

克隆

Monoclonal

克隆号

EPR22954-47

亚型

IgG

不含载体蛋白

No

反应种属

Mouse, Rat, Human

应用

WB, IHC-P, IHC-Fr

applications

免疫原

The exact immunogen used to generate this antibody is proprietary information.

反应性数据

{ "title": "Reactivity Data", "filters": { "stats": ["", "Species", "Dilution Info", "Notes"], "tabs": { "all-applications": {"fullname" : "All Applications", "shortname": "All Applications"}, "IP" : {"fullname" : "Immunoprecipitation", "shortname":"IP"}, "FlowCyt" : {"fullname" : "Flow Cytometry", "shortname":"Flow Cyt"}, "WB" : {"fullname" : "Western blot", "shortname":"WB"}, "ICCIF" : {"fullname" : "Immunocytochemistry/ Immunofluorescence", "shortname":"ICC/IF"}, "IHCFr" : {"fullname" : "Immunohistochemistry (Frozen sections)", "shortname":"IHC-Fr"}, "IHCP" : {"fullname" : "Immunohistochemistry (Formalin/PFA-fixed paraffin-embedded sections)", "shortname":"IHC-P"} }, "product-promise": { "all": "all", "testedAndGuaranteed": "tested", "guaranteed": "expected", "predicted": "predicted", "notRecommended": "not-recommended" } }, "values": { "Human": { "IP-species-checked": "notRecommended", "IP-species-dilution-info": "", "IP-species-notes": "<p></p>", "FlowCyt-species-checked": "notRecommended", "FlowCyt-species-dilution-info": "", "FlowCyt-species-notes": "<p></p>", "WB-species-checked": "testedAndGuaranteed", "WB-species-dilution-info": "1/1000", "WB-species-notes": "<p></p>", "ICCIF-species-checked": "notRecommended", "ICCIF-species-dilution-info": "", "ICCIF-species-notes": "<p></p>", "IHCFr-species-checked": "guaranteed", "IHCFr-species-dilution-info": "", "IHCFr-species-notes": "", "IHCP-species-checked": "testedAndGuaranteed", "IHCP-species-dilution-info": "1/500", "IHCP-species-notes": "<p></p>" }, "Mouse": { "IP-species-checked": "notRecommended", "IP-species-dilution-info": "", "IP-species-notes": "<p></p>", "FlowCyt-species-checked": "notRecommended", "FlowCyt-species-dilution-info": "", "FlowCyt-species-notes": "", "WB-species-checked": "testedAndGuaranteed", "WB-species-dilution-info": "1/1000", "WB-species-notes": "<p></p>", "ICCIF-species-checked": "notRecommended", "ICCIF-species-dilution-info": "", "ICCIF-species-notes": "<p></p>", "IHCFr-species-checked": "testedAndGuaranteed", "IHCFr-species-dilution-info": "1/100", "IHCFr-species-notes": "<p>Heat mediated antigen retrieval using sodium citrate buffer (10mM citrate pH 6.0 + 0.05% Tween-20).</p>", "IHCP-species-checked": "testedAndGuaranteed", "IHCP-species-dilution-info": "1/500", "IHCP-species-notes": "<p></p>" }, "Rat": { "IP-species-checked": "notRecommended", "IP-species-dilution-info": "", "IP-species-notes": "", "FlowCyt-species-checked": "notRecommended", "FlowCyt-species-dilution-info": "", "FlowCyt-species-notes": "", "WB-species-checked": "testedAndGuaranteed", "WB-species-dilution-info": "1/1000", "WB-species-notes": "<p></p>", "ICCIF-species-checked": "notRecommended", "ICCIF-species-dilution-info": "", "ICCIF-species-notes": "", "IHCFr-species-checked": "guaranteed", "IHCFr-species-dilution-info": "", "IHCFr-species-notes": "", "IHCP-species-checked": "testedAndGuaranteed", "IHCP-species-dilution-info": "1/500", "IHCP-species-notes": "<p></p>" } } }

产品详情

Patented technology
Our RabMAb® technology is a patented hybridoma-based technology for making rabbit monoclonal antibodies. For details on our patents, please refer to RabMAb® patents.

What are the advantages of a recombinant monoclonal antibody?
This product is a recombinant monoclonal antibody, which offers several advantages including:

  • - High batch-to-batch consistency and reproducibility
  • - Improved sensitivity and specificity
  • - Long-term security of supply
  • - Animal-free batch production

For more information, read more on recombinant antibodies.

性能和储存信息

形式
Liquid
纯化工艺
Affinity purification Protein A
存储溶液
pH: 7.2 - 7.4 Preservative: 0.01% Sodium azide Constituents: PBS, 40% Glycerol (glycerin, glycerine), 0.05% BSA
运输条件
Blue Ice
推荐的短期储存时间
1-2 weeks
推荐的短期储存条件
+4°C
推荐的长期储存条件
-20°C
分装信息
Upon delivery aliquot
储存信息
Avoid freeze / thaw cycle

产品实验方案

For this product, it's our understanding that no specific protocols are required. You can visit:

靶点信息

Component of a heterodimeric G-protein coupled receptor for GABA, formed by GABBR1 and GABBR2 (PubMed : 15617512, PubMed : 18165688, PubMed : 22660477, PubMed : 24305054, PubMed : 36103875, PubMed : 9872316, PubMed : 9872744). Within the heterodimeric GABA receptor, only GABBR1 seems to bind agonists, while GABBR2 mediates coupling to G proteins (PubMed : 18165688). Ligand binding causes a conformation change that triggers signaling via guanine nucleotide-binding proteins (G proteins) and modulates the activity of down-stream effectors, such as adenylate cyclase (PubMed : 10075644, PubMed : 10773016, PubMed : 10906333, PubMed : 24305054, PubMed : 9872744). Signaling inhibits adenylate cyclase, stimulates phospholipase A2, activates potassium channels, inactivates voltage-dependent calcium-channels and modulates inositol phospholipid hydrolysis (PubMed : 10075644). Calcium is required for high affinity binding to GABA (By similarity). Plays a critical role in the fine-tuning of inhibitory synaptic transmission (PubMed : 9844003). Pre-synaptic GABA receptor inhibits neurotransmitter release by down-regulating high-voltage activated calcium channels, whereas postsynaptic GABA receptor decreases neuronal excitability by activating a prominent inwardly rectifying potassium (Kir) conductance that underlies the late inhibitory postsynaptic potentials (PubMed : 10075644, PubMed : 22660477, PubMed : 9844003, PubMed : 9872316, PubMed : 9872744). Not only implicated in synaptic inhibition but also in hippocampal long-term potentiation, slow wave sleep, muscle relaxation and antinociception (Probable). Activated by (-)-baclofen, cgp27492 and blocked by phaclofen (PubMed : 24305054, PubMed : 9844003, PubMed : 9872316).. Isoform 1E may regulate the formation of functional GABBR1/GABBR2 heterodimers by competing for GABBR2 binding. This could explain the observation that certain small molecule ligands exhibit differential affinity for central versus peripheral sites.
See full target information GABBR1

文献 (8)

Recent publications for all applications. Explore the full list and refine your search

Brain and behavior 15:e70607 PubMed40452376

2025

GABAergic Signaling Underlying REM Sleep Deprivation-Induced Spatial Working Memory Deficits.

Applications

Unspecified application

Species

Unspecified reactive species

Peeraporn Varinthra,Shu-Ching Shih,Ingrid Y Liu

Cell communication and signaling : CCS 23:246 PubMed40437612

2025

Identification of genetically engineered strategies to manipulate nano-platforms presenting immunotherapeutic ligands for alleviating primary ovarian insufficiency progression.

Applications

Unspecified application

Species

Unspecified reactive species

Guannan Zhou,Yuanyuan Gu,Menglei Zhang,Jingxin Ding,Guanming Lu,Keqin Hua,Fang Shen

Drug design, development and therapy 19:2677-2691 PubMed40226128

2025

Huyang Yangkun Formula Enhances Ovarian Function and Delays Reproductive Aging by Influencing Hypothalamic GnRH/LH Pulse Release Through GAT-1/GABA/GABAAR2.

Applications

Unspecified application

Species

Unspecified reactive species

Yang Li,Yin Peng,Guangning Nie,Fangping Cheng,Yuling Zhou,Jian Liu,Hongyan Yang

Cell reports 43:114556 PubMed39096491

2024

The lateral habenula integrates age and experience to promote social transitions in developing rats.

Applications

Unspecified application

Species

Unspecified reactive species

Dana Cobb-Lewis,Anne George,Shannon Hu,Katherine Packard,Mingyuan Song,Isabellah Nikitah,Oliver Nguyen-Lopez,Emily Tesone,Jhanay Rowden,Julie Wang,Maya Opendak

Cellular and molecular biology (Noisy-le-Grand, France) 70:73-77 PubMed38836679

2024

Glucocorticoids promote joint microenvironment alteration of GABBR1 expression associated with mitigating rheumatoid arthritis.

Applications

Unspecified application

Species

Unspecified reactive species

Shilong Song,Yuhang Wang,Yun Fang,Fengmeng Teng,Tao Yue,Lu Chen,Xing Wan,Ruoyang Hong,Mingxin Xue

Frontiers in public health 11:1087161 PubMed37006533

2023

Combined effects of EMP and RF field on emotional behavior in mice.

Applications

Unspecified application

Species

Unspecified reactive species

Tongzhou Qin,Liyuan Liu,Xing Wang,Ling Guo,Jiajin Lin,Junze Du,Yizhe Xue,Panpan Lai,Yuntao Jing,Guirong Ding

Journal of cellular biochemistry 123:863-877 PubMed35233844

2022

Loss of cytoplasmic FMR1-interacting protein 2 (CYFIP2) induces browning in 3T3-L1 adipocytes via repression of GABA-BR and activation of mTORC1.

Applications

Unspecified application

Species

Unspecified reactive species

Subramani Manigandan,Jong Won Yun

Aging cell 21:e13573 PubMed35199454

2022

Gamma frequency light flicker regulates amyloid precursor protein trafficking for reducing β-amyloid load in Alzheimer's disease model.

Applications

Unspecified application

Species

Unspecified reactive species

Qi Shen,Xiaolei Wu,Zhan Zhang,Di Zhang,Sihua Yang,Da Xing
View all publications

Abcam Product Promise

我们致力于为您的研究提供高质量的试剂,为您科研的每一步提供支持。若我们的产品未能达到预期性能,我们向您提供 Abcam Product Promise 保障。
详情请参阅我们的条款与条件。

Please note: All products are 'FOR RESEARCH USE ONLY. NOT FOR USE IN DIAGNOSTIC OR THERAPEUTIC PROCEDURES'.

For licensing inquiries, please contact partnerships@abcam.com