JavaScript is disabled in your browser. Please enable JavaScript to view this website.
AB181149

重组Anti-G3BP抗体[EPR13985(B)]

Anti-G3BP antibody [EPR13985(B)]

  • BOND RX™ Validated
  • RabMAb
  • Recombinant
  • KO Validated
  • 了解详情

Be the first to review this product! Submit a review

|

(9 Publications)

Rabbit Recombinant Monoclonal G3BP antibody. Suitable for IP, Flow Cyt, WB, ICC/IF, IHC-P and reacts with Human samples. Cited in 9 publications.

查看别名

G3BP, G3BP1, Ras GTPase-activating protein-binding protein 1, G3BP-1, ATP-dependent DNA helicase VIII, GAP SH3 domain-binding protein 1, hDH VIII

7 Images
Flow Cytometry - Anti-G3BP antibody [EPR13985(B)] (AB181149)
  • Flow Cyt

Lab

Flow Cytometry - Anti-G3BP antibody [EPR13985(B)] (AB181149)

Flow Cytometry analysis of Jurkat (Human T cell leukemia T lymphocyte) cells labelling G3BP with Purified ab181149 at 1 : 20 dilution (5 μg/ml) (Red). Cells were fixed with 4% Paraformaldehyde and permeabilised with 90% Methanol. A Goat anti rabbit IgG (Alexa Fluor® 488, ab150081) secondary antibody was used at 1 : 2000. Isotype control - Rabbit monoclonal IgG (Black). Unlabelled control - Cell without incubation with primary antibody and secondary antibody (Blue).

Immunocytochemistry/ Immunofluorescence - Anti-G3BP antibody [EPR13985(B)] (AB181149)
  • ICC/IF

Lab

Immunocytochemistry/ Immunofluorescence - Anti-G3BP antibody [EPR13985(B)] (AB181149)

Immunocytochemistry analysis of Jurkat (Human T cell leukemia T lymphocyte) cells labeling G3BP with Purified ab181149 at 1 : 50 dilution (2.4 μg/ml). Cells were fixed in 4% Paraformaldehyde and permeabilized with 0.1% tritonX-100. Cells were counterstained with ab195889 Anti-alpha Tubulin antibody [DM1A]+H21 : L21 - Microtubule Marker (Alexa Fluor® 594) 1 : 200 (2.5 μg/ml). Goat anti rabbit IgG (Alexa Fluor® 488, ab150077) was used as the secondary antibody at 1 : 1000 (2 μg/ml) dilution. DAPI (blue) was used as nuclear counterstain. PBS instead of the primary antibody was used as the secondary antibody only control.

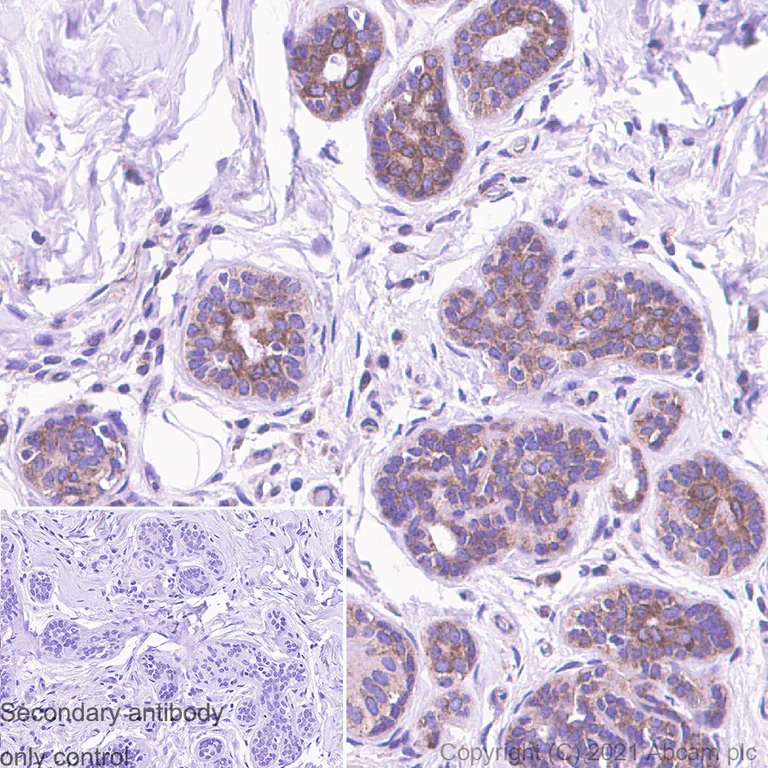
Immunohistochemistry (Formalin/PFA-fixed paraffin-embedded sections) - Anti-G3BP antibody [EPR13985(B)] (AB181149)
  • IHC-P

Lab

Immunohistochemistry (Formalin/PFA-fixed paraffin-embedded sections) - Anti-G3BP antibody [EPR13985(B)] (AB181149)

Immunohistochemistry (Formalin/PFA-fixed paraffin-embedded sections) analysis of human breast carcinoma tissue sections labeling G3BP with Purified ab181149 at 1 : 300 (0.4 μg/ml). Heat mediated antigen retrieval was performed using Heat mediated antigen retrieval using Bond™ Epitope Retrieval Solution 2 (pH 9.0) . Tissue was counterstained with Hematoxylin. Rabbit specific IHC polymer detection kit HRP/DAB (ab209101) secondary antibody was used at 1 : 0 dilution. PBS instead of the primary antibody was used as the negative control.

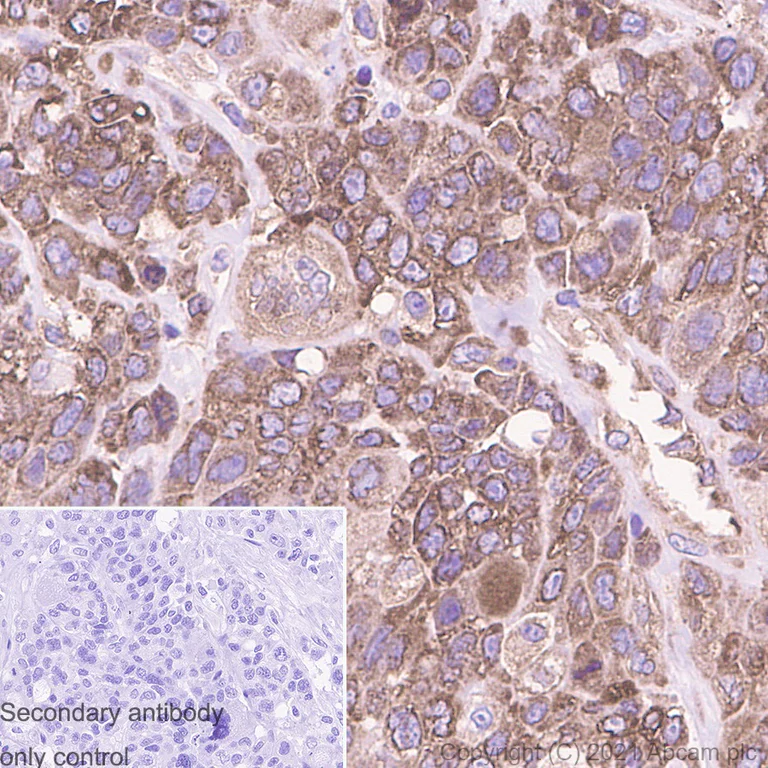
Immunohistochemistry (Formalin/PFA-fixed paraffin-embedded sections) - Anti-G3BP antibody [EPR13985(B)] (AB181149)
  • IHC-P

Lab

Immunohistochemistry (Formalin/PFA-fixed paraffin-embedded sections) - Anti-G3BP antibody [EPR13985(B)] (AB181149)

Immunohistochemistry (Formalin/PFA-fixed paraffin-embedded sections) analysis of human breast tissue sections labeling G3BP with Purified ab181149 at 1 : 300 (0.4 μg/ml). Heat mediated antigen retrieval was performed using Heat mediated antigen retrieval using Bond™ Epitope Retrieval Solution 2 (pH 9.0) . Tissue was counterstained with Hematoxylin. Rabbit specific IHC polymer detection kit HRP/DAB (ab209101) secondary antibody was used at 1 : 0 dilution. PBS instead of the primary antibody was used as the negative control.

Western blot - Anti-G3BP antibody [EPR13985(B)] (AB181149)
  • WB

Lab

Western blot - Anti-G3BP antibody [EPR13985(B)] (AB181149)

Lanes 1 - 4 : Merged signal (red and green). Green - ab181149 observed at 68 kDa. Red - loading control, ab8245, observed at 37 kDa.

ab181149 was shown to specifically react with G3BP1 in wild-type A431 cells as signal was lost in G3BP1 knockout cells. Wild-type and G3BP1 knockout samples were subjected to SDS-PAGE. The membrane was blocked with 3% Milk. ab181149 and ab8245 (Mouse anti-GAPDH loading control) were incubated overnight at 4°C at 1/10000 dilution and 1/20000 dilution respectively. Blots were developed with Goat anti-Rabbit IgG H&L (IRDye® 800CW) preabsorbed ab216773 and Goat anti-Mouse IgG H&L (IRDye® 680RD) preabsorbed ab216776 secondary antibodies at 1/20000 dilution for 1 hour at room temperature before imaging.

All lanes:

Western blot - Anti-G3BP antibody [EPR13985(B)] (ab181149) at 1/10000 dilution

Lane 1:

Wild-type A-431 (Human epidermoid carcinoma cell line) whole cell lysate at 20 µg

Lane 2:

G3BP1 knockout A-431 (Human epidermoid carcinoma cell line) whole cell lysate at 20 µg

Lane 2:

Western blot - Human G3BP1 knockout A-431 cell line (<a href='/products/cell-lines/human-g3bp1-knockout-a-431-cell-line-ab261886'>ab261886</a>)

Lane 3:

Jurkat (Human T cell leukemia cell line from peripheral blood) whole cell lysate at 20 µg

Lane 4:

HEK-293 (Human epithelial cell line from embryonic kidney) whole cell lysate at 20 µg

Predicted band size: 52 kDa

false

Immunoprecipitation - Anti-G3BP antibody [EPR13985(B)] (AB181149)
  • IP

Lab

Immunoprecipitation - Anti-G3BP antibody [EPR13985(B)] (AB181149)

Purified ab181149 at 1 : 20 dilution (0.6μg) immunoprecipitating G3BP in Ramos whole cell lysate.
Lane 1 (input) : Ramos (Human Burkitt's lymphoma B lymphocyte) whole cell lysate 10 μg.
Lane 2 (+) : ab181149 + Ramos whole cell lysate.
Lane 3 (-) : Rabbit monoclonal IgG (ab172730) instead of ab181149 in Ramos whole cell lysate.
VeriBlot for IP Detection Reagent (HRP)(ab131366) (1 : 1000 dilution) was used for Western blotting.
Blocking Buffer and concentration : 5% NFDM/TBST.
Diluting buffer and concentration : 5% NFDM/TBST.
Observed band size : kDa

All lanes:

Immunoprecipitation - Anti-G3BP antibody [EPR13985(B)] (ab181149)

Predicted band size: 52 kDa

false

Western blot - Anti-G3BP antibody [EPR13985(B)] (AB181149)
  • WB

Unknown

Western blot - Anti-G3BP antibody [EPR13985(B)] (AB181149)

All lanes:

Western blot - Anti-G3BP antibody [EPR13985(B)] (ab181149) at 1/20000 dilution

Lane 1:

Ramos (Human Burkitt's lymphoma B lymphocyte) whole cell lysate

Lane 2:

Raji (Human Burkitt's lymphoma B lymphocyte) whole cell lysate

Secondary

All lanes:

Western blot - Goat Anti-Rabbit IgG H&L (HRP) (<a href='/products/secondary-antibodies/goat-rabbit-igg-h-l-hrp-ab97051'>ab97051</a>) at 1/20000 dilution

Predicted band size: 52 kDa

false

不同偶联物与剂型 (10)

  • Carrier free

    Anti-G3BP antibody [EPR13985(B)] - BSA and Azide free

  • 578 PE

    PE Anti-G3BP antibody [EPR13985(B)]

  • HRP

    HRP Anti-G3BP antibody [EPR13985(B)]

  • 617 Alexa Fluor® 594

    Alexa Fluor® 594 Anti-G3BP antibody [EPR13985(B)]

  • 565 Alexa Fluor® 555

    Alexa Fluor® 555 Anti-G3BP antibody [EPR13985(B)]

  • 603 Alexa Fluor® 568

    Alexa Fluor® 568 Anti-G3BP antibody [EPR13985(B)]

  • 665 Alexa Fluor® 647

    Alexa Fluor® 647 Anti-G3BP antibody [EPR13985(B)]

  • 519 Alexa Fluor® 488

    Alexa Fluor® 488 Anti-G3BP antibody [EPR13985(B)]

  • 660 APC

    APC Anti-G3BP antibody [EPR13985(B)]

  • 775 Alexa Fluor® 750

    Alexa Fluor® 750 Anti-G3BP antibody [EPR13985(B)]

关键信息

宿主种属

Rabbit

克隆

Monoclonal

克隆号

EPR13985(B)

亚型

IgG

不含载体蛋白

No

反应种属

Human

应用

Flow Cyt, WB, IHC-P, ICC/IF, IP

applications

免疫原

The exact immunogen used to generate this antibody is proprietary information.

反应性数据

{ "title": "Reactivity Data", "filters": { "stats": ["", "Species", "Dilution Info", "Notes"], "tabs": { "all-applications": {"fullname" : "All Applications", "shortname": "All Applications"}, "IP" : {"fullname" : "Immunoprecipitation", "shortname":"IP"}, "FlowCyt" : {"fullname" : "Flow Cytometry", "shortname":"Flow Cyt"}, "WB" : {"fullname" : "Western blot", "shortname":"WB"}, "ICCIF" : {"fullname" : "Immunocytochemistry/ Immunofluorescence", "shortname":"ICC/IF"}, "IHCP" : {"fullname" : "Immunohistochemistry (Formalin/PFA-fixed paraffin-embedded sections)", "shortname":"IHC-P"} }, "product-promise": { "all": "all", "testedAndGuaranteed": "tested", "guaranteed": "expected", "predicted": "predicted", "notRecommended": "not-recommended" } }, "values": { "Human": { "IP-species-checked": "testedAndGuaranteed", "IP-species-dilution-info": "1/20 - 1/40", "IP-species-notes": "<p></p>", "FlowCyt-species-checked": "testedAndGuaranteed", "FlowCyt-species-dilution-info": "1/20", "FlowCyt-species-notes": "<p><a href='/products/primary-antibodies/rabbit-igg-monoclonal-epr25a-isotype-control-ab172730'>ab172730</a> - Rabbit monoclonal IgG, is suitable for use as an isotype control with this antibody.</p>", "WB-species-checked": "testedAndGuaranteed", "WB-species-dilution-info": "1/10000 - 1/50000", "WB-species-notes": "<p>This antibody is not suitable for tissue lysate.</p>", "ICCIF-species-checked": "testedAndGuaranteed", "ICCIF-species-dilution-info": "1/250 - 1/500", "ICCIF-species-notes": "<p></p>", "IHCP-species-checked": "testedAndGuaranteed", "IHCP-species-dilution-info": "1/50 - 1/100", "IHCP-species-notes": "<p></p>" } } }

产品详情

Patented technology
Our RabMAb® technology is a patented hybridoma-based technology for making rabbit monoclonal antibodies. For details on our patents, please refer to RabMAb® patents.

What are the advantages of a recombinant monoclonal antibody?
This product is a recombinant monoclonal antibody, which offers several advantages including:

  • - High batch-to-batch consistency and reproducibility
  • - Improved sensitivity and specificity
  • - Long-term security of supply
  • - Animal-free batch production

For more information, read more on recombinant antibodies.

性能和储存信息

形式
Liquid
纯化工艺
Affinity purification Protein A
存储溶液
Preservative: 0.01% Sodium azide Constituents: 59% PBS, 40% Glycerol (glycerin, glycerine), 0.05% BSA
运输条件
Blue Ice
推荐的短期储存时间
1-2 weeks
推荐的短期储存条件
+4°C
推荐的长期储存条件
-20°C
分装信息
Upon delivery aliquot
储存信息
Avoid freeze / thaw cycle

产品实验方案

For this product, it's our understanding that no specific protocols are required. You can visit:

靶点信息

Protein involved in various processes, such as stress granule formation and innate immunity (PubMed : 12642610, PubMed : 20180778, PubMed : 23279204, PubMed : 30510222, PubMed : 30804210). Plays an essential role in stress granule formation (PubMed : 12642610, PubMed : 20180778, PubMed : 23279204, PubMed : 32302570, PubMed : 32302571, PubMed : 32302572, PubMed : 34739333, PubMed : 35977029, PubMed : 36183834, PubMed : 36279435, PubMed : 36692217, PubMed : 37379838). Stress granules are membraneless compartments that store mRNAs and proteins, such as stalled translation pre-initiation complexes, in response to stress (PubMed : 12642610, PubMed : 20180778, PubMed : 23279204, PubMed : 27022092, PubMed : 32302570, PubMed : 32302571, PubMed : 32302572, PubMed : 36279435, PubMed : 37379838). Promotes formation of stress granules phase-separated membraneless compartment by undergoing liquid-liquid phase separation (LLPS) upon unfolded RNA-binding : functions as a molecular switch that triggers RNA-dependent LLPS in response to a rise in intracellular free RNA concentrations (PubMed : 32302570, PubMed : 32302571, PubMed : 32302572, PubMed : 34739333, PubMed : 36279435, PubMed : 36692217). Also acts as an ATP- and magnesium-dependent helicase : unwinds DNA/DNA, RNA/DNA, and RNA/RNA substrates with comparable efficiency (PubMed : 9889278). Acts unidirectionally by moving in the 5' to 3' direction along the bound single-stranded DNA (PubMed : 9889278). Unwinds preferentially partial DNA and RNA duplexes having a 17 bp annealed portion and either a hanging 3' tail or hanging tails at both 5'- and 3'-ends (PubMed : 9889278). Plays an essential role in innate immunity by promoting CGAS and RIGI activity (PubMed : 30510222, PubMed : 30804210). Participates in the DNA-triggered cGAS/STING pathway by promoting the DNA binding and activation of CGAS (PubMed : 30510222). Triggers the condensation of cGAS, a process probably linked to the formation of membrane-less organelles (PubMed : 34779554). Enhances also RIGI-induced type I interferon production probably by helping RIGI at sensing pathogenic RNA (PubMed : 30804210). May also act as a phosphorylation-dependent sequence-specific endoribonuclease in vitro : Cleaves exclusively between cytosine and adenine and cleaves MYC mRNA preferentially at the 3'-UTR (PubMed : 11604510).
See full target information G3BP1

文献 (9)

Recent publications for all applications. Explore the full list and refine your search

Molecular cell 82:1107-1122.e7 PubMed35303483

2022

Precision analysis of mutant U2AF1 activity reveals deployment of stress granules in myeloid malignancies.

Applications

Unspecified application

Species

Unspecified reactive species

Giulia Biancon,Poorval Joshi,Joshua T Zimmer,Torben Hunck,Yimeng Gao,Mark D Lessard,Edward Courchaine,Andrew E S Barentine,Martin Machyna,Valentina Botti,Ashley Qin,Rana Gbyli,Amisha Patel,Yuanbin Song,Lea Kiefer,Gabriella Viero,Nils Neuenkirchen,Haifan Lin,Joerg Bewersdorf,Matthew D Simon,Karla M Neugebauer,Toma Tebaldi,Stephanie Halene

Biomolecules 10: PubMed32992901

2020

Stress Granule Assembly Can Facilitate but Is Not Required for TDP-43 Cytoplasmic Aggregation.

Applications

Unspecified application

Species

Unspecified reactive species

Nikita Fernandes,Luke Nero,Shawn M Lyons,Pavel Ivanov,Telsa M Mittelmeier,Timothy A Bolger,J Ross Buchan

Molecular cell 79:645-659.e9 PubMed32692974

2020

Translational Repression of G3BP in Cancer and Germ Cells Suppresses Stress Granules and Enhances Stress Tolerance.

Applications

Unspecified application

Species

Unspecified reactive species

Anna K Lee,Jonathon Klein,Klementina Fon Tacer,Tessa Lord,Melissa J Oatley,Jon M Oatley,Shaina N Porter,Shondra M Pruett-Miller,Elena B Tikhonova,Andrey L Karamyshev,Yong-Dong Wang,Peiguo Yang,Ane Korff,Hong Joo Kim,J Paul Taylor,Patrick Ryan Potts

Journal of neurochemistry 156:524-538 PubMed32683701

2020

Wild-type and mutant SOD1 localizes to RNA-rich structures in cells and mice but does not bind RNA.

Applications

Unspecified application

Species

Unspecified reactive species

Matteo Da Ros,Harmeen K Deol,Alexandre Savard,Huishan Guo,Elizabeth M Meiering,Derrick Gibbings

Journal of virology 94: PubMed31723021

2020

Puumala and Andes Orthohantaviruses Cause Transient Protein Kinase R-Dependent Formation of Stress Granules.

Applications

Unspecified application

Species

Unspecified reactive species

Wanda Christ,Janne Tynell,Jonas Klingström

Neurobiology of disease 116:155-165 PubMed29792928

2018

Translation of dipeptide repeat proteins from the C9ORF72 expanded repeat is associated with cellular stress.

Applications

Unspecified application

Species

Unspecified reactive species

Yoshifumi Sonobe,Ghanashyam Ghadge,Katsuhisa Masaki,Ataman Sendoel,Elaine Fuchs,Raymond P Roos

Cell 173:958-971.e17 PubMed29628143

2018

Stress Granule Assembly Disrupts Nucleocytoplasmic Transport.

Applications

Unspecified application

Species

Unspecified reactive species

Ke Zhang,J Gavin Daigle,Kathleen M Cunningham,Alyssa N Coyne,Kai Ruan,Jonathan C Grima,Kelly E Bowen,Harsh Wadhwa,Peiguo Yang,Frank Rigo,J Paul Taylor,Aaron D Gitler,Jeffrey D Rothstein,Thomas E Lloyd

The Journal of biological chemistry 292:18886-18896 PubMed28972166

2017

Histone arginine demethylase JMJD6 is linked to stress granule assembly through demethylation of the stress granule-nucleating protein G3BP1.

Applications

Unspecified application

Species

Unspecified reactive species

Wei-Chih Tsai,Lucas C Reineke,Antrix Jain,Sung Yun Jung,Richard E Lloyd

The Journal of biological chemistry 291:22671-22685 PubMed27601476

2016

Arginine Demethylation of G3BP1 Promotes Stress Granule Assembly.

Applications

Unspecified application

Species

Unspecified reactive species

Wei-Chih Tsai,Sitaram Gayatri,Lucas C Reineke,Gianluca Sbardella,Mark T Bedford,Richard E Lloyd
View all publications

Abcam Product Promise

我们致力于为您的研究提供高质量的试剂,为您科研的每一步提供支持。若我们的产品未能达到预期性能,我们向您提供 Abcam Product Promise 保障。
详情请参阅我们的条款与条件。

Please note: All products are 'FOR RESEARCH USE ONLY. NOT FOR USE IN DIAGNOSTIC OR THERAPEUTIC PROCEDURES'.

For licensing inquiries, please contact partnerships@abcam.com