JavaScript is disabled in your browser. Please enable JavaScript to view this website.
AB216607

Anti-G-CSF抗体[CSF3/900]

Anti-G-CSF antibody [CSF3/900]

Be the first to review this product! Submit a review

|

(0 Publication)

Mouse Monoclonal G-CSF antibody. Suitable for IHC-P and reacts with Human samples. Immunogen corresponding to Recombinant Full Length Protein corresponding to Human CSF3.

查看别名

C17orf33, GCSF, CSF3, Granulocyte colony-stimulating factor, G-CSF, Pluripoietin

1 Images
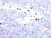
Immunohistochemistry (Formalin/PFA-fixed paraffin-embedded sections) - Anti-G-CSF antibody [CSF3/900] (AB216607)
  • IHC-P

Supplier Data

Immunohistochemistry (Formalin/PFA-fixed paraffin-embedded sections) - Anti-G-CSF antibody [CSF3/900] (AB216607)

Immunohistochemical analysis of formalin-fixed, paraffin-embedded Human tonsil tissue labeling G-CSF with ab216607 at 1 μg/ml.

关键信息

宿主种属

Mouse

克隆

Monoclonal

克隆号

CSF3/900

亚型

IgG1

不含载体蛋白

No

反应种属

Human

应用

IHC-P

applications

免疫原

Recombinant Full Length Protein corresponding to Human CSF3.

P09919

反应性数据

{ "title": "Reactivity Data", "filters": { "stats": ["", "Species", "Dilution Info", "Notes"], "tabs": { "all-applications": {"fullname" : "All Applications", "shortname": "All Applications"}, "IHCP" : {"fullname" : "Immunohistochemistry (Formalin/PFA-fixed paraffin-embedded sections)", "shortname":"IHC-P"} }, "product-promise": { "all": "all", "testedAndGuaranteed": "tested", "guaranteed": "expected", "predicted": "predicted", "notRecommended": "not-recommended" } }, "values": { "Human": { "IHCP-species-checked": "testedAndGuaranteed", "IHCP-species-dilution-info": "0.5-1 µg/mL", "IHCP-species-notes": "<p>Primary incubation was for 30 min at RT.</p>" }, "Macaque monkey": { "IHCP-species-checked": "predicted", "IHCP-species-dilution-info": "", "IHCP-species-notes": "" } } }

您可能对以下产品感兴趣:

AB264627

Human G-CSF ELISA Kit

0

0 Reviews

查看产品
为什么推荐这个?

我们推荐这个产品,因为它经常被用于相同的实验或相关的研究。

我们建议您务必查阅产品说明书,以确认其是否符合您的实验需求;若有疑问,也可联系我们的技术团队获取协助。

性能和储存信息

形式
Liquid
纯化工艺
Affinity purification Protein A
纯化说明
ab216607 was purified from Bioreactor Concentrate by Protein A/G.
存储溶液
pH: 7.2 - 7.4 Preservative: 0.05% Sodium azide Constituents: 99% PBS, 0.05% BSA
运输条件
Blue Ice
推荐的短期储存时间
1-2 weeks
推荐的短期储存条件
+4°C
推荐的长期储存条件
-20°C
分装信息
Upon delivery aliquot
储存信息
Avoid freeze / thaw cycle

产品实验方案

For this product, it's our understanding that no specific protocols are required. You can visit:

靶点信息

Granulocyte/macrophage colony-stimulating factors are cytokines that act in hematopoiesis by controlling the production, differentiation, and function of 2 related white cell populations of the blood, the granulocytes and the monocytes-macrophages. This CSF induces granulocytes.
See full target information CSF3

Abcam Product Promise

我们致力于为您的研究提供高质量的试剂,为您科研的每一步提供支持。若我们的产品未能达到预期性能,我们向您提供 Abcam Product Promise 保障。
详情请参阅我们的条款与条件。

关联产品

Select an associated product type
Alternative Product
Primary Antibodies

AB9691

Anti-G-CSF antibody

primary-antibodies

g-csf-antibody-ab9691

4

(6 reviews)

Alternative Product
Primary Antibodies

AB199457

HRP Anti-G-CSF antibody [EPR3203(N)(B)]

primary-antibodies

hrp-g-csf-antibody-epr3203nb-ab199457

0

(0 reviews)

Alternative Product
Primary Antibodies

AB181053

Anti-G-CSF antibody [EPR3203(N)(B)]

primary-antibodies

g-csf-antibody-epr3203nb-ab181053

4

(1 reviews)

Alternative Product
Primary Antibodies

AB246705

Anti-G-CSF antibody [EPR3203(N)(B)] - Low endotoxin, Azide free

primary-antibodies

g-csf-antibody-epr3203nb-low-endotoxin-azide-free-ab246705

0

(0 reviews)

Alternative Product
Primary Antibodies

AB236157

Anti-G-CSF antibody [EPR3203(N)(B)] - BSA and Azide free

primary-antibodies

g-csf-antibody-epr3203nb-bsa-and-azide-free-ab236157

0

(0 reviews)

Alternative Version
Primary Antibodies

AB212315

Anti-G-CSF antibody [CSF3/900] - BSA and Azide free

primary-antibodies

g-csf-antibody-csf3-900-bsa-and-azide-free-ab212315

0

(0 reviews)

Please note: All products are 'FOR RESEARCH USE ONLY. NOT FOR USE IN DIAGNOSTIC OR THERAPEUTIC PROCEDURES'.

For licensing inquiries, please contact partnerships@abcam.com