JavaScript is disabled in your browser. Please enable JavaScript to view this website.
AB155124

Anti-FXR1 抗体

Anti-FXR1 antibody

4

(1 Review)

|

(13 Publications)

Rabbit Polyclonal FXR1 antibody. Suitable for WB, IHC-P, ICC/IF and reacts with Zebrafish, Mouse, Human samples. Cited in 13 publications. Immunogen corresponding to Recombinant Fragment Protein within Human Fragile X mental retardation syndrome-related protein 1 aa 50-400.

查看别名

RNA-binding protein FXR1, FMR1 autosomal homolog 1, hFXR1p, FXR1

4 Images
Immunocytochemistry/ Immunofluorescence - Anti-FXR1 antibody (AB155124)
  • ICC/IF

Supplier Data

Immunocytochemistry/ Immunofluorescence - Anti-FXR1 antibody (AB155124)

Immunofluorescence analysis of HeLa cells fixed in ice-cold MeOH for 5 min labelling FXR1 protein at cytoplasm using ab155124 at a 1/500 dilution (Green). alpha Tubulin, a cytoskeleton marker, stained by anti alpha Tubulin antibody at a 1/1000 dilution (Red). DAPI was used for nuclear staining (Blue).
Scale bar= 10 µm.

Western blot - Anti-FXR1 antibody (AB155124)
  • WB

Supplier Data

Western blot - Anti-FXR1 antibody (AB155124)

Sample was separated by 7.5% SDS-PAGE

All lanes:

Western blot - Anti-FXR1 antibody (ab155124) at 1/1000 dilution

All lanes:

Mouse tissue extract at 50 µg

Secondary

All lanes:

HRP-conjugated anti-rabbit IgG antibody

Predicted band size: 70 kDa

false

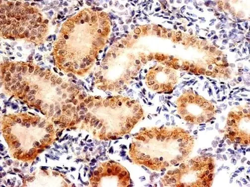
Immunohistochemistry (Formalin/PFA-fixed paraffin-embedded sections) - Anti-FXR1 antibody (AB155124)
  • IHC-P

Supplier Data

Immunohistochemistry (Formalin/PFA-fixed paraffin-embedded sections) - Anti-FXR1 antibody (AB155124)

Immunohistochemical analysis of paraffin-embedded sections of zebrafish kidney tube, using FXR1 antibody (ab155124) at 1 : 300 dilution.

Western blot - Anti-FXR1 antibody (AB155124)
  • WB

Supplier Data

Western blot - Anti-FXR1 antibody (AB155124)

7.5% SDS PAGE

All lanes:

Western blot - Anti-FXR1 antibody (ab155124) at 1/1000 dilution

All lanes:

Zebrafish brain whole cell lysate. at 30 µg

Predicted band size: 70 kDa

false

关键信息

宿主种属

Rabbit

克隆

Polyclonal

亚型

IgG

不含载体蛋白

No

反应种属

Zebrafish, Mouse, Human

应用

ICC/IF, WB, IHC-P

applications

免疫原

Recombinant Fragment Protein within Human Fragile X mental retardation syndrome-related protein 1 aa 50-400. The exact immunogen used to generate this antibody is proprietary information.

P51114

反应性数据

{ "title": "Reactivity Data", "filters": { "stats": ["", "Species", "Dilution Info", "Notes"], "tabs": { "all-applications": {"fullname" : "All Applications", "shortname": "All Applications"}, "WB" : {"fullname" : "Western blot", "shortname":"WB"}, "IHCP" : {"fullname" : "Immunohistochemistry (Formalin/PFA-fixed paraffin-embedded sections)", "shortname":"IHC-P"}, "ICCIF" : {"fullname" : "Immunocytochemistry/ Immunofluorescence", "shortname":"ICC/IF"} }, "product-promise": { "all": "all", "testedAndGuaranteed": "tested", "guaranteed": "expected", "predicted": "predicted", "notRecommended": "not-recommended" } }, "values": { "Human": { "WB-species-checked": "guaranteed", "WB-species-dilution-info": "1/500 - 1/3000", "WB-species-notes": "<p></p>", "IHCP-species-checked": "testedAndGuaranteed", "IHCP-species-dilution-info": "1/100 - 1/1000", "IHCP-species-notes": "<p></p> Perform heat-mediated antigen retrieval with citrate buffer pH 6 before commencing with IHC staining protocol.", "ICCIF-species-checked": "testedAndGuaranteed", "ICCIF-species-dilution-info": "1/100 - 1/1000", "ICCIF-species-notes": "<p></p>" }, "Mouse": { "WB-species-checked": "testedAndGuaranteed", "WB-species-dilution-info": "1/500 - 1/3000", "WB-species-notes": "<p></p>", "IHCP-species-checked": "guaranteed", "IHCP-species-dilution-info": "", "IHCP-species-notes": "", "ICCIF-species-checked": "guaranteed", "ICCIF-species-dilution-info": "", "ICCIF-species-notes": "" }, "Chicken": { "WB-species-checked": "predicted", "WB-species-dilution-info": "", "WB-species-notes": "", "IHCP-species-checked": "predicted", "IHCP-species-dilution-info": "", "IHCP-species-notes": "", "ICCIF-species-checked": "predicted", "ICCIF-species-dilution-info": "", "ICCIF-species-notes": "" }, "Cow": { "WB-species-checked": "predicted", "WB-species-dilution-info": "", "WB-species-notes": "", "IHCP-species-checked": "predicted", "IHCP-species-dilution-info": "", "IHCP-species-notes": "", "ICCIF-species-checked": "predicted", "ICCIF-species-dilution-info": "", "ICCIF-species-notes": "" }, "Zebrafish": { "WB-species-checked": "testedAndGuaranteed", "WB-species-dilution-info": "1/1000", "WB-species-notes": "<p></p>", "IHCP-species-checked": "testedAndGuaranteed", "IHCP-species-dilution-info": "1/300", "IHCP-species-notes": "<p></p>", "ICCIF-species-checked": "guaranteed", "ICCIF-species-dilution-info": "", "ICCIF-species-notes": "" } } }

性能和储存信息

形式
Liquid
纯化工艺
Affinity purification Immunogen
存储溶液
pH: 7 Preservative: 0.01% Thimerosal (merthiolate) Constituents: 20% Glycerol (glycerin, glycerine), 1.21% Tris, 0.75% Glycine
运输条件
Blue Ice
推荐的短期储存条件
+4°C
推荐的长期储存条件
-20°C
分装信息
Upon delivery aliquot
储存信息
Avoid freeze / thaw cycle

补充信息

This supplementary information is collated from multiple sources and compiled automatically.

The FXR1 protein also known as Fragile X Mental Retardation Syndrome-related Protein 1 weighs approximately 80 kDa and is expressed in various tissues including the brain heart and the skeletal muscles. It belongs to the family of RNA-binding proteins that also includes FMR1 and FXR2. Mechanically FXR1 interacts with mRNA participating in the regulation of its stability and translation. This regulation allows cells to control protein synthesis important for many cellular processes.
Biological function summary

FXR1 is involved in the post-transcriptional regulation of gene expression important for normal cell function and development. It forms a complex with FMRP playing an important role in the transport and translation of specific subsets of mRNAs in neurons. This interaction suggests it contributes significantly to the synaptic plasticity mechanisms influencing learning and memory. Moreover FXR1 also seems to have functions in cell proliferation and muscle differentiation.

Pathways

FXR1 participates in key regulatory pathways of protein synthesis and neuronal communication. It is significant in the mTOR signaling pathway where it potentially interacts with other proteins like FXR2 and FMR1 to modulate translational control. FXR1's involvement in this pathway suggests a role in cellular growth and neuron-specific processes affecting how cells respond to various growth signals by altering protein synthesis rates.

FXR1 links to psychiatric disorders including schizophrenia and bipolar disorder. Gene dysregulation in FXR1 may disrupt normal synaptic functioning contributing to the pathophysiology of these conditions. In muscular dystrophies altered FXR1 expression has been reported associating it with muscle tissue protein dynamics along with FMR1 influencing muscle regeneration and repair mechanisms. These associations highlight FXR1’s potential as a therapeutic target in neurodevelopmental and muscle-related diseases.

产品实验方案

For this product, it's our understanding that no specific protocols are required. You can visit:

靶点信息

mRNA-binding protein that acts as a regulator of mRNAs translation and/or stability, and which is required for various processes, such as neurogenesis, muscle development and spermatogenesis (PubMed : 17382880, PubMed : 20417602, PubMed : 30067974, PubMed : 34731628, PubMed : 35989368, PubMed : 36306353). Specifically binds to AU-rich elements (AREs) in the 3'-UTR of target mRNAs (PubMed : 17382880, PubMed : 34731628). Promotes formation of some phase-separated membraneless compartment by undergoing liquid-liquid phase separation upon binding to AREs-containing mRNAs, leading to assemble mRNAs into cytoplasmic ribonucleoprotein granules that concentrate mRNAs with associated regulatory factors (By similarity). Required to activate translation of stored mRNAs during late spermatogenesis : acts by undergoing liquid-liquid phase separation to assemble target mRNAs into cytoplasmic ribonucleoprotein granules that recruit translation initiation factor EIF4G3 to activate translation of stored mRNAs in late spermatids (By similarity). Promotes translation of MYC transcripts by recruiting the eIF4F complex to the translation start site (PubMed : 34731628). Acts as a negative regulator of inflammation in response to IL19 by promoting destabilization of pro-inflammatory transcripts (PubMed : 30067974). Also acts as an inhibitor of inflammation by binding to TNF mRNA, decreasing TNF protein production (By similarity). Acts as a negative regulator of AMPA receptor GRIA2/GluA2 synthesis during long-lasting synaptic potentiation of hippocampal neurons by binding to GRIA2/GluA2 mRNA, thereby inhibiting its translation (By similarity). Regulates proliferation of adult neural stem cells by binding to CDKN1A mRNA and promoting its expression (By similarity). Acts as a regulator of sleep and synaptic homeostasis by regulating translation of transcripts in neurons (By similarity). Required for embryonic and postnatal development of muscle tissue by undergoing liquid-liquid phase separation to assemble target mRNAs into cytoplasmic ribonucleoprotein granules (PubMed : 30770808). Involved in the nuclear pore complex localization to the nuclear envelope by preventing cytoplasmic aggregation of nucleoporins : acts by preventing ectopic phase separation of nucleoporins in the cytoplasm via a microtubule-dependent mechanism (PubMed : 32706158). Plays a role in the stabilization of PKP2 mRNA and therefore protein abundance, via its interaction with PKP3 (PubMed : 25225333). May also do the same for PKP2, PKP3 and DSP via its interaction with PKP1 (PubMed : 25225333). Forms a cytoplasmic messenger ribonucleoprotein (mRNP) network by packaging long mRNAs, serving as a scaffold that recruits proteins and signaling molecules. This network facilitates signaling reactions by maintaining proximity between kinases and substrates, crucial for processes like actomyosin reorganization (PubMed : 39106863).
See full target information Fragile X mental retardation syndrome-related protein 1

文献 (13)

Recent publications for all applications. Explore the full list and refine your search

JCI insight 10: PubMed40985894

2025

FXR shapes an immunosuppressive microenvironment in PD-L1lo/- non-small cell lung cancer by upregulating HVEM.

Applications

Unspecified application

Species

Unspecified reactive species

Xiaolong Xu,Bin Shang,Hancheng Wu,Xiuye Jin,Junren Wang,Jing Li,Daowei Li,Bin Liang,Xingguang Wang,Lili Su,Wenjie You,Shujuan Jiang

Gastroenterology report 13:goaf055 PubMed40584150

2025

New Baitouweng Decoction alleviated DSS-induced colitis through the FXR/NLRP3 signaling pathway by regulating gut microbiota and bile acids.

Applications

Unspecified application

Species

Unspecified reactive species

Li Liu,Zhi-Wei Miao,Yu-Zhuo Wei,Shu Bu,Xin Gu,Yi Xu,Zhao-Wei Shan

The Journal of clinical investigation 134: PubMed38875287

2024

Liver cancer initiation requires translational activation by an oncofetal regulon involving LIN28 proteins.

Applications

Unspecified application

Species

Unspecified reactive species

Meng-Hsiung Hsieh,Yonglong Wei,Lin Li,Liem H Nguyen,Yu-Hsuan Lin,Jung M Yong,Xuxu Sun,Xun Wang,Xin Luo,Sarah K Knutson,Christina Bracken,George Q Daley,John T Powers,Hao Zhu

Nutrients 15: PubMed38068770

2023

Theabrownin from Wuniuzao Dark Tea Regulates Hepatic Lipid Metabolism and Gut Microbiota in Mice Fed High-Fat Diet.

Applications

Unspecified application

Species

Unspecified reactive species

Qianqian Xu,Jiangcheng Ye,Mingxiu Gong,Yifan Zhang,Yiwei Yuan,Jin Zhao

The British journal of nutrition 131:921-934 PubMed37905695

2023

Dietary chenodeoxycholic acid attenuates high-fat diet-induced growth retardation, lipid accumulation and bile acid metabolism disorder in the liver of yellow catfish .

Applications

Unspecified application

Species

Unspecified reactive species

Hua Zheng,Yi-Chuang Xu,Tao Zhao,Zhi Luo,Dian-Guang Zhang,Chang-Chun Song,An-Gen Yu,Xiaoying Tan

Frontiers in pharmacology 14:1163694 PubMed37089915

2023

Vitamin C and vitamin D alleviate metabolic-associated fatty liver disease by regulating the gut microbiota and bile acid metabolism the gut-liver axis.

Applications

Unspecified application

Species

Unspecified reactive species

Qingling Chen,Lili Zhao,Ling Mei,Xiaotong Zhao,Ping Han,Jie Liu,Chao Meng,Ruifang Li,Rui Zhong,Kai Wang,Jia Li

G3 (Bethesda, Md.) 12: PubMed35666183

2022

Integrative analysis and prediction of human R-loop binding proteins.

Applications

Unspecified application

Species

Unspecified reactive species

Arun Kumar,Louis-Alexandre Fournier,Peter C Stirling

International journal of molecular sciences 22: PubMed34299071

2021

Liver Bile Acid Changes in Mouse Models of Alzheimer's Disease.

Applications

Unspecified application

Species

Unspecified reactive species

Harpreet Kaur,Drew Seeger,Svetlana Golovko,Mikhail Golovko,Colin Kelly Combs

International journal of molecular medicine 47: PubMed33649815

2021

circNRIP1 facilitates keloid progression via FXR1‑mediated upregulation of miR‑503‑3p and miR‑503‑5p.

Applications

Unspecified application

Species

Unspecified reactive species

Baolin Wang,Hang Yin,Hongmei Zhang,Tiantian Wang

Frontiers in pharmacology 12:627920 PubMed33679408

2021

Linderae Radix Ethanol Extract Alleviates Diet-Induced Hyperlipidemia by Regulating Bile Acid Metabolism Through gut Microbiota.

Applications

Unspecified application

Species

Unspecified reactive species

Tao Jiang,Chuyun Xu,Huifang Liu,Muyi Liu,Minmin Wang,Jiarui Jiang,Guangji Zhang,Chuqi Yang,Jianbo Huang,Zhaohuan Lou
View all publications

Abcam Product Promise

我们致力于为您的研究提供高质量的试剂,为您科研的每一步提供支持。若我们的产品未能达到预期性能,我们向您提供 Abcam Product Promise 保障。
详情请参阅我们的条款与条件。

Please note: All products are 'FOR RESEARCH USE ONLY. NOT FOR USE IN DIAGNOSTIC OR THERAPEUTIC PROCEDURES'.

For licensing inquiries, please contact partnerships@abcam.com