JavaScript is disabled in your browser. Please enable JavaScript to view this website.
AB124892

Anti-FTO 抗体 [EPR6895]

Anti-FTO antibody [EPR6895]

4

(2 Reviews)

|

(48 Publications)

Rabbit Recombinant Monoclonal FTO antibody. Suitable for IHC-P, WB and reacts with Human samples. Cited in 48 publications.

查看别名

KIAA1752, FTO, Alpha-ketoglutarate-dependent dioxygenase FTO, Fat mass and obesity-associated protein, U6 small nuclear RNA (2'-O-methyladenosine-N(6)-)-demethylase FTO, U6 small nuclear RNA N(6)-methyladenosine-demethylase FTO, mRNA (2'-O-methyladenosine-N(6)-)-demethylase FTO, mRNA N(6)-methyladenosine demethylase FTO, tRNA N1-methyl adenine demethylase FTO, m6A(m)-demethylase FTO

10 Images
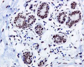
Immunohistochemistry (Formalin/PFA-fixed paraffin-embedded sections) - Anti-FTO antibody [EPR6895] (AB124892)
  • IHC-P

Unknown

Immunohistochemistry (Formalin/PFA-fixed paraffin-embedded sections) - Anti-FTO antibody [EPR6895] (AB124892)

ab124892, at 1/100 dilution, staining FTO in Paraffin-embedded Human Breast tissue by Immunohistochemistry. Heat mediated antigen retrieval was performed before commencing with IHC staining protocol.

Western blot - Anti-FTO antibody [EPR6895] (AB124892)
  • WB

Lab

Western blot - Anti-FTO antibody [EPR6895] (AB124892)

Western blot : Anti-TCF12 antibody [7B3] staining at 0.394 ug/ml, shown in black; Rabbit Anti-GAPDH antibody [EPR16891] (ab181602) loading control staining at 1/20000 dilution, shown in red. In Western blot, ab243149 was shown to bind specifically to TCF12. A band was observed at 85 kDa in wild-type Jurkat cell lysates with no signal observed at this size in TCF12 CRISPR-Cas9 edited cell line ab274931 (CRISPR-Cas9 edited cell lysate ab274989). The band observed in the CRISPR-Cas9 edited lysate lane below 85 kDa is likely to represent a truncated form of TCF12. This has not been investigated further and the functional properties of the gene product have not been determined. To generate this image, wild-type and TCF12 CRISPR-Cas9 edited Jurkat cell lysates were analysed. First, samples were run on an SDS-PAGE gel then transferred onto a nitrocellulose membrane. Membranes were blocked in 3 % milk in TBS-0.1 % Tween$®$ 20 (TBS-T) before incubation with primary antibodies overnight at 4 °C. Blots were washed four times in TBS-T, incubated with secondary antibodies for 1 h at room temperature, washed again four times before development with Optiblot (ECL reagent ab133456) and imaged with 20 minutes exposure time. Secondary antibodies used were HRP conjugated Goat anti-Rat (H+L) and Goat anti-Rabbit IgG H&L 680RD at 1/20000 dilution.

All lanes:

Western blot - Anti-FTO antibody [EPR6895] (ab124892) at 1/1000 dilution

Lane 1:

Wild-type MCF7 cell lysate at 20 µg

Lane 2:

FTO knockout MCF7 cell lysate at 20 µg

Lane 2:

Western blot - Human FTO knockout MCF7 cell line (<a href='/products/cell-lines/human-fto-knockout-mcf7-cell-line-ab282631'>ab282631</a>)

Lane 3:

HEK-293 cell lysate at 20 µg

Lane 4:

MOLT-4 cell lysate at 20 µg

Predicted band size: 58 kDa

Observed band size: 58 kDa

false

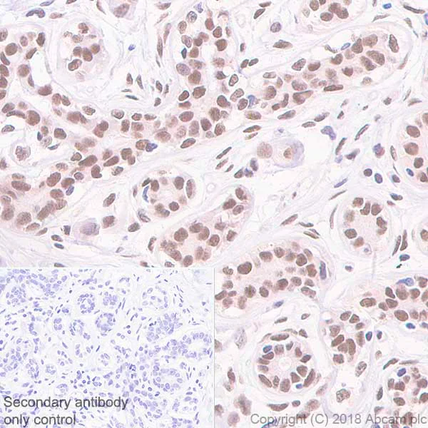
Immunohistochemistry (Formalin/PFA-fixed paraffin-embedded sections) - Anti-FTO antibody [EPR6895] (AB124892)
  • IHC-P

Unknown

Immunohistochemistry (Formalin/PFA-fixed paraffin-embedded sections) - Anti-FTO antibody [EPR6895] (AB124892)

Immunohistochemistry (Formalin/PFA-fixed paraffin-embedded sections) analysis of Human breast tissue sections labeling FTO with purified ab124892 at 1 : 100 dilution (1.66 μg/ml). Heat mediated antigen retrieval was performed using ab93684 (Tris/EDTA buffer, pH 9.0). ImmunoHistoProbe one step HRP Polymer (ready to use)was used as the secondary antibody. Negative control : PBS instead of the primary antibody. Hematoxylin was used as a counterstain.

Immunohistochemistry (Formalin/PFA-fixed paraffin-embedded sections) - Anti-FTO antibody [EPR6895] (AB124892)
  • IHC-P

Unknown

Immunohistochemistry (Formalin/PFA-fixed paraffin-embedded sections) - Anti-FTO antibody [EPR6895] (AB124892)

Immunohistochemistry (Formalin/PFA-fixed paraffin-embedded sections) analysis of Human lung carcinoma tissue sections labeling FTO with purified ab124892 at 1 : 100 dilution (1.66 μg/ml). Heat mediated antigen retrieval was performed using ab93684 (Tris/EDTA buffer, pH 9.0). ImmunoHistoProbe one step HRP Polymer (ready to use)was used as the secondary antibody. Negative control : PBS instead of the primary antibody. Hematoxylin was used as a counterstain.

Immunohistochemistry (Formalin/PFA-fixed paraffin-embedded sections) - Anti-FTO antibody [EPR6895] (AB124892)
  • IHC-P

Unknown

Immunohistochemistry (Formalin/PFA-fixed paraffin-embedded sections) - Anti-FTO antibody [EPR6895] (AB124892)

ab124892, at 1/100 dilution, staining FTO in Paraffin-embedded Human kidney tissue by Immunohistochemistry. Heat mediated antigen retrieval was performed before commencing with IHC staining protocol.

Western blot - Anti-FTO antibody [EPR6895] (AB124892)
  • WB

Lab

Western blot - Anti-FTO antibody [EPR6895] (AB124892)

All lanes:

Western blot - Anti-FTO antibody [EPR6895] (ab124892) at 1/1000 dilution

Lane 1:

Caco-2 (Human colorectal adenocarcinoma epithelial cell) whole cell lysates at 20 µg

Lane 2:

HEK-293 (Human embryonic kidney epithelial cell) whole cell lysates at 20 µg

Secondary

All lanes:

Western blot - Goat Anti-Rabbit IgG H&L (HRP) (<a href='/products/secondary-antibodies/goat-rabbit-igg-h-l-hrp-ab97051'>ab97051</a>) at 1/20000 dilution

Predicted band size: 58 kDa

Observed band size: 58 kDa

false

Western blot - Anti-FTO antibody [EPR6895] (AB124892)
  • WB

Unknown

Western blot - Anti-FTO antibody [EPR6895] (AB124892)

All lanes:

Western blot - Anti-FTO antibody [EPR6895] (ab124892) at 1/1000 dilution

Lane 1:

293T lysate at 10 µg

Lane 2:

SH-SY5Y lysate at 10 µg

Lane 3:

Caco2 lysate at 10 µg

Lane 4:

BxPC3 lysate at 10 µg

Secondary

All lanes:

Goat anti-Rabbit HRP at 1/2000 dilution

Predicted band size: 58 kDa

false

Western blot - Anti-FTO antibody [EPR6895] (AB124892)
  • WB

Supplier Data

Western blot - Anti-FTO antibody [EPR6895] (AB124892)

Western blot : Anti-TCF12 antibody [7B3] staining at 0.394 ug/ml, shown in black; Rabbit Anti-GAPDH antibody [EPR16891] (ab181602) loading control staining at 1/20000 dilution, shown in red. In Western blot, ab243149 was shown to bind specifically to TCF12. A band was observed at 85 kDa in wild-type Jurkat cell lysates with no signal observed at this size in TCF12 CRISPR-Cas9 edited cell line ab274931 (CRISPR-Cas9 edited cell lysate ab274989). The band observed in the CRISPR-Cas9 edited lysate lane below 85 kDa is likely to represent a truncated form of TCF12. This has not been investigated further and the functional properties of the gene product have not been determined. To generate this image, wild-type and TCF12 CRISPR-Cas9 edited Jurkat cell lysates were analysed. First, samples were run on an SDS-PAGE gel then transferred onto a nitrocellulose membrane. Membranes were blocked in 3 % milk in TBS-0.1 % Tween$®$ 20 (TBS-T) before incubation with primary antibodies overnight at 4 °C. Blots were washed four times in TBS-T, incubated with secondary antibodies for 1 h at room temperature, washed again four times before development with Optiblot (ECL reagent ab133456) and imaged with 20 minutes exposure time. Secondary antibodies used were HRP conjugated Goat anti-Rat (H+L) and Goat anti-Rabbit IgG H&L 680RD at 1/20000 dilution.

All lanes:

Western blot - Anti-FTO antibody [EPR6895] (ab124892) at 1/1000 dilution

Lane 1:

Wild-type MCF7 cell lysate at 20 µg

Lane 2:

FTO knockout MCF7 cell lysate at 20 µg

Lane 2:

Western blot - Human FTO knockout MCF7 cell line (<a href='/products/cell-lines/human-fto-knockout-mcf7-cell-line-ab282631'>ab282631</a>)

Lane 3:

HEK-293 cell lysate at 20 µg

Lane 4:

MOLT-4 cell lysate at 20 µg

false

Western blot - Anti-FTO antibody [EPR6895] (AB124892)
  • WB

Lab

Western blot - Anti-FTO antibody [EPR6895] (AB124892)

Lane 1 : Wild-type HAP1 whole cell lysate (20 μg)
Lane 2 : FTO knockout HAP1 whole cell lysate (20 μg)
Lane 3 : HEK293 whole cell lysate (20 μg)
Lane 4 : MOLT4 whole cell lysate (20 μg)

Lanes 1 - 4 : Merged signal (red and green). Green - ab124892 observed at 58 kDa. Red - loading control, ab8245, observed at 37 kDa.

ab124892 was shown to specifically react with FTO in wild-type HAP1 cells. No band was observed when FTO knockout samples were examined. Wild-type and FTO knockout samples were subjected to SDS-PAGE. ab124892 and ab8245 (Mouse anti-GAPDH loading control) were incubated overnight at 4°C at a 1/1000 dilution and 1/10,000 dilution respectively. Blots were developed with Goat anti-Rabbit IgG H&L (IRDye® 800CW) preabsorbed (ab216773) and Goat anti-Mouse IgG H&L (IRDye® 680RD) preabsorbed (ab216776) secondary antibodies at 1/10,000 dilution for 1 hour at room temperature before imaging.

All lanes:

Western blot - Anti-FTO antibody [EPR6895] (ab124892)

Predicted band size: 58 kDa

false

OI-RD Scanning - Anti-FTO antibody [EPR6895] (AB124892)
  • OI-RD Scanning

Unknown

OI-RD Scanning - Anti-FTO antibody [EPR6895] (AB124892)

We have systematically measured KD (the equilibrium dissociation constant between the antibody and its antigen), of more than 840 recombinant antibodies to assess not only their individual KD values but also to see the average affinity of antibody. Based on the comparison with published literature values for mouse monoclonal antibodies, Recombinant antibodies appear to be on average 1-2 order of magnitude higher affinity.

不同偶联物与剂型 (8)

关键信息

宿主种属

Rabbit

克隆

Monoclonal

克隆号

EPR6895

亚型

IgG

不含载体蛋白

No

反应种属

Human

应用

WB, IHC-P

applications

免疫原

The exact immunogen used to generate this antibody is proprietary information.

反应性数据

{ "title": "Reactivity Data", "filters": { "stats": ["", "Species", "Dilution Info", "Notes"], "tabs": { "all-applications": {"fullname" : "All Applications", "shortname": "All Applications"}, "IHCP" : {"fullname" : "Immunohistochemistry (Formalin/PFA-fixed paraffin-embedded sections)", "shortname":"IHC-P"}, "IP" : {"fullname" : "Immunoprecipitation", "shortname":"IP"}, "FlowCyt" : {"fullname" : "Flow Cytometry", "shortname":"Flow Cyt"}, "WB" : {"fullname" : "Western blot", "shortname":"WB"}, "ICCIF" : {"fullname" : "Immunocytochemistry/ Immunofluorescence", "shortname":"ICC/IF"} }, "product-promise": { "all": "all", "testedAndGuaranteed": "tested", "guaranteed": "expected", "predicted": "predicted", "notRecommended": "not-recommended" } }, "values": { "Human": { "IHCP-species-checked": "testedAndGuaranteed", "IHCP-species-dilution-info": "1/100 - 1/250", "IHCP-species-notes": "<p></p> Perform heat-mediated antigen retrieval before commencing with IHC staining protocol.", "IP-species-checked": "notRecommended", "IP-species-dilution-info": "", "IP-species-notes": "<p></p>", "FlowCyt-species-checked": "notRecommended", "FlowCyt-species-dilution-info": "", "FlowCyt-species-notes": "<p></p>", "WB-species-checked": "testedAndGuaranteed", "WB-species-dilution-info": "1/1000 - 1/10000", "WB-species-notes": "<p></p>", "ICCIF-species-checked": "notRecommended", "ICCIF-species-dilution-info": "", "ICCIF-species-notes": "<p></p>" }, "Mouse": { "IHCP-species-checked": "notRecommended", "IHCP-species-dilution-info": "1/100 - 1/250", "IHCP-species-notes": "<p></p> Perform heat-mediated antigen retrieval before commencing with IHC staining protocol.", "IP-species-checked": "notRecommended", "IP-species-dilution-info": "", "IP-species-notes": "<p></p>", "FlowCyt-species-checked": "notRecommended", "FlowCyt-species-dilution-info": "", "FlowCyt-species-notes": "<p></p>", "WB-species-checked": "notRecommended", "WB-species-dilution-info": "1/1000 - 1/10000", "WB-species-notes": "<p></p>", "ICCIF-species-checked": "notRecommended", "ICCIF-species-dilution-info": "", "ICCIF-species-notes": "<p></p>" }, "Rat": { "IHCP-species-checked": "notRecommended", "IHCP-species-dilution-info": "1/100 - 1/250", "IHCP-species-notes": "<p></p> Perform heat-mediated antigen retrieval before commencing with IHC staining protocol.", "IP-species-checked": "notRecommended", "IP-species-dilution-info": "", "IP-species-notes": "<p></p>", "FlowCyt-species-checked": "notRecommended", "FlowCyt-species-dilution-info": "", "FlowCyt-species-notes": "<p></p>", "WB-species-checked": "notRecommended", "WB-species-dilution-info": "1/1000 - 1/10000", "WB-species-notes": "<p></p>", "ICCIF-species-checked": "notRecommended", "ICCIF-species-dilution-info": "", "ICCIF-species-notes": "<p></p>" } } }

您可能对以下产品感兴趣:

AB309316

Human FTO ELISA Kit

0

0 Reviews

查看产品
为什么推荐这个?

我们推荐这个产品,因为它经常被用于相同的实验或相关的研究。

我们建议您务必查阅产品说明书,以确认其是否符合您的实验需求;若有疑问,也可联系我们的技术团队获取协助。

产品详情

性能和储存信息

形式
Liquid
纯化工艺
Affinity purification Protein A
存储溶液
pH: 7.2 - 7.4 Preservative: 0.01% Sodium azide Constituents: PBS, 40% Glycerol (glycerin, glycerine), 0.05% BSA
运输条件
Blue Ice
推荐的短期储存条件
+4°C
推荐的长期储存条件
-20°C
储存信息
Stable for 12 months at -20°C

补充信息

This supplementary information is collated from multiple sources and compiled automatically.

The FTO protein also referred to as Alpha-Ketoglutarate-Dependent Dioxygenase or Fat Mass and Obesity-Associated protein functions as an enzyme involved in demethylating nucleic acids specifically N6-methyladenosine (m6A) in RNA. This process impacts RNA stability and translation. FTO has a molecular weight of approximately 58 kDa. Higher expression levels of FTO are found in the brain including the hypothalamus which is an area known for regulating energy balance and appetite.
Biological function summary

FTO influences energy homeostasis and adipogenesis. It acts as an important player in metabolic regulation and gene expression by modulating the m6A RNA modification. While FTO operates largely on its own its demethylation activity may interact with other RNA binding proteins that recognize m6A-modified RNAs integrating it into larger regulatory frameworks for RNA metabolism and cellular responses.

Pathways

FTO is an important component in the regulation of energy balance and metabolism. The protein is closely associated with the mTOR signaling pathway which is essential for controlling cell growth proliferation and survival in response to nutrient availability. FTO also interacts with the leptin signaling pathway relating to its role in appetite regulation and energy expenditure.

FTO has significant connections to obesity and Type 2 diabetes. Genetic variants within the FTO gene correlate with risk for these conditions linking its enzymatic activity to alterations in energy balance and insulin sensitivity. FTO's role in Type 2 diabetes also highlights its interaction with insulin signaling proteins demonstrating its broader influence on glucose metabolism.

产品实验方案

For this product, it's our understanding that no specific protocols are required. You can visit:

靶点信息

RNA demethylase that mediates oxidative demethylation of different RNA species, such as mRNAs, tRNAs and snRNAs, and acts as a regulator of fat mass, adipogenesis and energy homeostasis (PubMed : 22002720, PubMed : 25452335, PubMed : 26457839, PubMed : 26458103, PubMed : 28002401, PubMed : 30197295). Specifically demethylates N(6)-methyladenosine (m6A) RNA, the most prevalent internal modification of messenger RNA (mRNA) in higher eukaryotes (PubMed : 22002720, PubMed : 25452335, PubMed : 26457839, PubMed : 26458103, PubMed : 30197295). M6A demethylation by FTO affects mRNA expression and stability (PubMed : 30197295). Also able to demethylate m6A in U6 small nuclear RNA (snRNA) (PubMed : 30197295). Mediates demethylation of N(6),2'-O-dimethyladenosine cap (m6A(m)), by demethylating the N(6)-methyladenosine at the second transcribed position of mRNAs and U6 snRNA (PubMed : 28002401, PubMed : 30197295). Demethylation of m6A(m) in the 5'-cap by FTO affects mRNA stability by promoting susceptibility to decapping (PubMed : 28002401). Also acts as a tRNA demethylase by removing N(1)-methyladenine from various tRNAs (PubMed : 30197295). Has no activity towards 1-methylguanine (PubMed : 20376003). Has no detectable activity towards double-stranded DNA (PubMed : 20376003). Also able to repair alkylated DNA and RNA by oxidative demethylation : demethylates single-stranded RNA containing 3-methyluracil, single-stranded DNA containing 3-methylthymine and has low demethylase activity towards single-stranded DNA containing 1-methyladenine or 3-methylcytosine (PubMed : 18775698, PubMed : 20376003). Ability to repair alkylated DNA and RNA is however unsure in vivo (PubMed : 18775698, PubMed : 20376003). Involved in the regulation of fat mass, adipogenesis and body weight, thereby contributing to the regulation of body size and body fat accumulation (PubMed : 18775698, PubMed : 20376003). Involved in the regulation of thermogenesis and the control of adipocyte differentiation into brown or white fat cells (PubMed : 26287746). Regulates activity of the dopaminergic midbrain circuitry via its ability to demethylate m6A in mRNAs (By similarity). Plays an oncogenic role in a number of acute myeloid leukemias by enhancing leukemic oncogene-mediated cell transformation : acts by mediating m6A demethylation of target transcripts such as MYC, CEBPA, ASB2 and RARA, leading to promote their expression (PubMed : 28017614, PubMed : 29249359).
See full target information FTO

文献 (48)

Recent publications for all applications. Explore the full list and refine your search

Nature communications 14:6248 PubMed37803021

2023

YTHDF2 facilitates aggresome formation via UPF1 in an mA-independent manner.

Applications

Unspecified application

Species

Unspecified reactive species

Hyun Jung Hwang,Tae Lim Park,Hyeong-In Kim,Yeonkyoung Park,Geunhee Kim,Chiyeol Song,Won-Ki Cho,Yoon Ki Kim

Frontiers in oncology 13:1087644 PubMed36874096

2023

Targeting fat mass and obesity-associated protein mitigates human colorectal cancer growth and in a murine model.

Applications

Unspecified application

Species

Unspecified reactive species

Thuy Phan,Vu H Nguyen,Rui Su,Yangchan Li,Ying Qing,Hanjun Qin,Hyejin Cho,Lei Jiang,Xiwei Wu,Jianjun Chen,Marwan Fakih,Don J Diamond,Ajay Goel,Laleh G Melstrom

Microbiology spectrum :e0266622 PubMed36786625

2023

N-Methyladenosine RNA Modification in Host Cells Regulates Peste des Petits Ruminants Virus Replication.

Applications

Unspecified application

Species

Unspecified reactive species

Owais Khan,Gunturu Narasimha Tanuj,Divyaprakash R Choravada,Kaushal Kishore Rajak,S Chandra Sekar,Madhu Cholenahalli Lingaraju,Sujoy K Dhara,Praveen K Gupta,Bishnu Prasad Mishra,Triveni Dutt,Ravi Kumar Gandham,Basavaraj Sajjanar

Journal of oral biology and craniofacial research 13:111-116 PubMed36582218

2022

A study of RNA m6A demethylases in oral epithelial dysplasia and oral squamous cell carcinoma.

Applications

Unspecified application

Species

Unspecified reactive species

Chatchaphan Udompatanakorn,Pichamon Sriviriyakul,Patrayu Taebunpakul

Cancers 14: PubMed36497402

2022

Targeting FTO Suppresses Pancreatic Carcinogenesis via Regulating Stem Cell Maintenance and EMT Pathway.

Applications

Unspecified application

Species

Unspecified reactive species

Rachana Garg,Laleh Melstrom,Jianjun Chen,Chuan He,Ajay Goel

STAR protocols 3:101616 PubMed35990737

2022

Protocol for the generation of HIV-1 genomic RNA with altered levels of -methyladenosine.

Applications

Unspecified application

Species

Unspecified reactive species

Stacia Phillips,Alice Baek,Sanggu Kim,Shuliang Chen,Li Wu

Cancer gene therapy 29:1355-1372 PubMed35318440

2022

mA demethylase ALKBH5 promotes tumor cell proliferation by destabilizing IGF2BPs target genes and worsens the prognosis of patients with non-small-cell lung cancer.

Applications

Unspecified application

Species

Unspecified reactive species

Kazuo Tsuchiya,Katsuhiro Yoshimura,Yuji Iwashita,Yusuke Inoue,Tsutomu Ohta,Hirofumi Watanabe,Hidetaka Yamada,Akikazu Kawase,Masayuki Tanahashi,Hiroshi Ogawa,Kazuhito Funai,Kazuya Shinmura,Takafumi Suda,Haruhiko Sugimura

Life science alliance 5: PubMed35169043

2022

The m6A(m)-independent role of FTO in regulating WNT signaling pathways.

Applications

Unspecified application

Species

Unspecified reactive species

Hyunjoon Kim,Soohyun Jang,Young-Suk Lee

Molecular cell 81:5052-5065.e6 PubMed34847358

2021

HRD1-mediated METTL14 degradation regulates mA mRNA modification to suppress ER proteotoxic liver disease.

Applications

Unspecified application

Species

Unspecified reactive species

Juncheng Wei,Bryan T Harada,Dan Lu,Ruihua Ma,Beixue Gao,Yanan Xu,Elena Montauti,Nikita Mani,Shuvam M Chaudhuri,Shana Gregory,Samuel E Weinberg,Donna D Zhang,Richard Green,Chuan He,Deyu Fang

Aging 13:23361-23375 PubMed34645714

2021

piRNA-36741 regulates BMP2-mediated osteoblast differentiation via METTL3 controlled m6A modification.

Applications

Unspecified application

Species

Unspecified reactive species

Jianmin Liu,Ming Chen,Longyang Ma,Xingbo Dang,Gongliang Du
View all publications

Abcam Product Promise

我们致力于为您的研究提供高质量的试剂,为您科研的每一步提供支持。若我们的产品未能达到预期性能,我们向您提供 Abcam Product Promise 保障。
详情请参阅我们的条款与条件。

关联产品

Select an associated product type
Alternative Product
Primary Antibodies

AB92821

Anti-FTO antibody [5-2H10]

primary-antibodies

fto-antibody-5-2h10-ab92821

4

(3 reviews)

Alternative Product
Primary Antibodies

AB207665

Alexa Fluor® 488 Anti-FTO antibody [EPR6894]

primary-antibodies

alexa-fluor-488-fto-antibody-epr6894-ab207665

0

(0 reviews)

Alternative Product
Primary Antibodies

AB126605

Anti-FTO antibody [EPR6894]

primary-antibodies

fto-antibody-epr6894-ab126605

4

(3 reviews)

Alternative Product
Primary Antibodies

AB240021

Anti-FTO antibody [EPR6894] - BSA and Azide free

primary-antibodies

fto-antibody-epr6894-bsa-and-azide-free-ab240021

0

(0 reviews)

Please note: All products are 'FOR RESEARCH USE ONLY. NOT FOR USE IN DIAGNOSTIC OR THERAPEUTIC PROCEDURES'.

For licensing inquiries, please contact partnerships@abcam.com