JavaScript is disabled in your browser. Please enable JavaScript to view this website.
AB75763

Anti-FOXP3抗体

Anti-FOXP3 antibody

4

(1 Review)

|

(11 Publications)

Rabbit Polyclonal FOXP3 antibody. Suitable for WB, IHC-P and reacts with Rat, Mouse samples. Cited in 11 publications. Immunogen corresponding to Synthetic Peptide within Mouse Foxp3 aa 200-250.

查看别名

Forkhead box protein P3, Scurfin, Foxp3

5 Images
Immunohistochemistry (Formalin/PFA-fixed paraffin-embedded sections) - Anti-FOXP3 antibody (AB75763)
  • IHC-P

PubMed

Immunohistochemistry (Formalin/PFA-fixed paraffin-embedded sections) - Anti-FOXP3 antibody (AB75763)

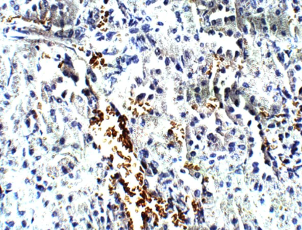
Immunofluorescence of tumors from mice treated with MN-siPDL1 and gemcitabine. There was evidence of an increase in cell-mediated cytotoxicity, as evidenced by a decrease in the infiltration by immunosuppressive Foxp3 + regulatory T (Treg) cells detected using ab75763.

This image has been cropped from the origanal figure.

This image is taken from Fig 5. Byunghee Y. et al. RNAi-Mediated PD-L1 Inhibition for Pancreatic Cancer Immunotherapy, Sci Rep. 2019; 9: 4712. doi: 10.1038/s41598-019-41251-9. http://creativecommons.org/licenses/by/4.0/.

Immunohistochemistry (Formalin/PFA-fixed paraffin-embedded sections) - Anti-FOXP3 antibody (AB75763)
  • IHC-P

Supplier Data

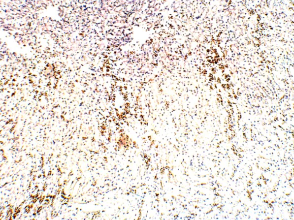
Immunohistochemistry (Formalin/PFA-fixed paraffin-embedded sections) - Anti-FOXP3 antibody (AB75763)

Immunohistochemistry (Formalin/PFA-fixed paraffin-embedded sections) of Rat kidney tissue staining FOXP3 using ab75763 at 1/100. DAB staining (brown) Hematoxylin QS counterstain (blue).

Immunohistochemistry (Formalin/PFA-fixed paraffin-embedded sections) - Anti-FOXP3 antibody (AB75763)
  • IHC-P

Supplier Data

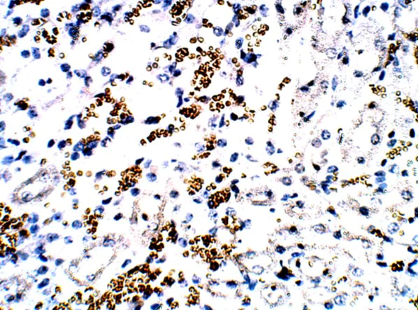
Immunohistochemistry (Formalin/PFA-fixed paraffin-embedded sections) - Anti-FOXP3 antibody (AB75763)

Immunohistochemistry (Formalin/PFA-fixed paraffin-embedded sections) of Mouse kidney tissue staining FOXP3 using ab75763 at 1/100. DAB staining (brown) Hematoxylin QS counterstain (blue).

Immunohistochemistry (Formalin/PFA-fixed paraffin-embedded sections) - Anti-FOXP3 antibody (AB75763)
  • IHC-P

Supplier Data

Immunohistochemistry (Formalin/PFA-fixed paraffin-embedded sections) - Anti-FOXP3 antibody (AB75763)

Immunohistochemistry (Formalin/PFA-fixed paraffin-embedded sections) of Mouse kidney tissue staining FOXP3 using ab75763 at 1/100. DAB staining (brown) Hematoxylin QS counterstain (blue).

Western blot - Anti-FOXP3 antibody (AB75763)
  • WB

Supplier Data

Western blot - Anti-FOXP3 antibody (AB75763)

All lanes:

Western blot - Anti-FOXP3 antibody (ab75763) at 1/500 dilution

Lane 1:

rat kidney lysate

Lane 2:

rat cerebral cortex lysate

Predicted band size: 47 kDa

false

关键信息

宿主种属

Rabbit

克隆

Polyclonal

亚型

IgG

不含载体蛋白

No

反应种属

Mouse, Rat

应用

IHC-P, WB

applications

免疫原

Synthetic Peptide within Mouse Foxp3 aa 200-250. The exact immunogen used to generate this antibody is proprietary information.

Q99JB6

反应性数据

{ "title": "Reactivity Data", "filters": { "stats": ["", "Species", "Dilution Info", "Notes"], "tabs": { "all-applications": {"fullname" : "All Applications", "shortname": "All Applications"}, "WB" : {"fullname" : "Western blot", "shortname":"WB"}, "IHCP" : {"fullname" : "Immunohistochemistry (Formalin/PFA-fixed paraffin-embedded sections)", "shortname":"IHC-P"} }, "product-promise": { "all": "all", "testedAndGuaranteed": "tested", "guaranteed": "expected", "predicted": "predicted", "notRecommended": "not-recommended" } }, "values": { "Human": { "WB-species-checked": "predicted", "WB-species-dilution-info": "", "WB-species-notes": "", "IHCP-species-checked": "predicted", "IHCP-species-dilution-info": "", "IHCP-species-notes": "" }, "Mouse": { "WB-species-checked": "guaranteed", "WB-species-dilution-info": "", "WB-species-notes": "", "IHCP-species-checked": "testedAndGuaranteed", "IHCP-species-dilution-info": "1/100", "IHCP-species-notes": "<p></p>" }, "Rat": { "WB-species-checked": "testedAndGuaranteed", "WB-species-dilution-info": "1/500", "WB-species-notes": "<p></p>", "IHCP-species-checked": "testedAndGuaranteed", "IHCP-species-dilution-info": "1/100", "IHCP-species-notes": "<p></p>" }, "Cat": { "WB-species-checked": "predicted", "WB-species-dilution-info": "", "WB-species-notes": "", "IHCP-species-checked": "predicted", "IHCP-species-dilution-info": "", "IHCP-species-notes": "" }, "Cow": { "WB-species-checked": "predicted", "WB-species-dilution-info": "", "WB-species-notes": "", "IHCP-species-checked": "predicted", "IHCP-species-dilution-info": "", "IHCP-species-notes": "" }, "Cynomolgus monkey": { "WB-species-checked": "predicted", "WB-species-dilution-info": "", "WB-species-notes": "", "IHCP-species-checked": "predicted", "IHCP-species-dilution-info": "", "IHCP-species-notes": "" }, "Deer": { "WB-species-checked": "predicted", "WB-species-dilution-info": "", "WB-species-notes": "", "IHCP-species-checked": "predicted", "IHCP-species-dilution-info": "", "IHCP-species-notes": "" }, "Monkey": { "WB-species-checked": "predicted", "WB-species-dilution-info": "", "WB-species-notes": "", "IHCP-species-checked": "predicted", "IHCP-species-dilution-info": "", "IHCP-species-notes": "" }, "Pig": { "WB-species-checked": "predicted", "WB-species-dilution-info": "", "WB-species-notes": "", "IHCP-species-checked": "predicted", "IHCP-species-dilution-info": "", "IHCP-species-notes": "" } } }

您是否考虑以下替代产品?

AB215206

Anti-FOXP3 antibody [EPR22102-37]

5
5 Reviews
查看产品
为什么推荐这个?

为向您提供最高品质的产品,我们在不断升级产品范围。我们选择了这个替代产品供您参考,因为它提供了更好的性能,更容易和更方便的使用,或交期更快。

性能和储存信息

形式
Liquid
纯化工艺
Affinity purification Protein A
存储溶液
Preservative: 0.02% Sodium azide
运输条件
Blue Ice
推荐的短期储存条件
+4°C
推荐的长期储存条件
-20°C
分装信息
Upon delivery aliquot
储存信息
Avoid freeze / thaw cycle

补充信息

This supplementary information is collated from multiple sources and compiled automatically.

FOXP3 also recognized as Forkhead box P3 is a transcription factor critical for immune system function. It weighs approximately 47 kDa. FOXP3 is mainly expressed in regulatory T cells (Tregs) which play a role in maintaining immune tolerance. Scientists primarily identify its presence in the nucleus where it facilitates transcriptional regulation. Methods like 'FOXP3 IHC' and 'FOXP3 IHC mouse' are useful for detecting this protein in tissue samples while 'FOXP3 antibodies' aid in research on this target. Techniques like 'FOXP3 staining' and 'FOXP3 flow cytometry' further allow for the analysis of its expression and function.
Biological function summary

This transcription factor operates by regulating the expression of a variety of genes involved in Treg cell development and function. FOXP3 can interact with other proteins to form complexes that modulate gene expression. Its role is essential in enabling Tregs to suppress immune responses a process necessary for preventing autoimmunity. The interaction extends to other key regulators within Tregs such as the protein complex 221D which may have overlapping functional responsibilities. 'FOXP3 236a/E7' reflects its genetic variants detectable in different studies providing insights into its biological functions.

Pathways

FOXP3 is a significant player within the immune regulation pathway. It integrates into the TGF-beta signaling pathway in which it controls the expression of genes important for Treg functions. The protein recruits other transcription factors like NF-kB coordinating intricate network regulations within immune cells. FOXP3's activity orchestrates the balance between immune activation and suppression ensuring a well-functioning immune response that prevents overreactions leading to autoimmune conditions.

FOXP3 mutations or dysregulation can link to autoimmune diseases like immune dysregulation polyendocrinopathy enteropathy X-linked syndrome (IPEX). This transcription factor's malfunction implicates cancer where inadequate Treg function can either suppress antitumor immunity or result in tumor progression. Proteins such as CTLA-4 which is also involved in immune regulation connect to FOXP3 in these contexts emphasizing FOXP3’s significant role in maintaining immune homeostasis and its impact on disease development.

产品实验方案

For this product, it's our understanding that no specific protocols are required. You can visit:

靶点信息

Transcriptional regulator which is crucial for the development and inhibitory function of regulatory T-cells (Treg) (PubMed : 22813742). Plays an essential role in maintaining homeostasis of the immune system by allowing the acquisition of full suppressive function and stability of the Treg lineage, and by directly modulating the expansion and function of conventional T-cells. Can act either as a transcriptional repressor or a transcriptional activator depending on its interactions with other transcription factors, histone acetylases and deacetylases. The suppressive activity of Treg involves the coordinate activation of many genes, including CTLA4 and TNFRSF18 by FOXP3 along with repression of genes encoding cytokines such as interleukin-2 (IL2) and interferon-gamma (IFNG). Inhibits cytokine production and T-cell effector function by repressing the activity of two key transcription factors, RELA and NFATC2 (PubMed : 15790681). Mediates transcriptional repression of IL2 via its association with histone acetylase KAT5 and histone deacetylase HDAC7 (By similarity). Can activate the expression of TNFRSF18, IL2RA and CTLA4 and repress the expression of IL2 and IFNG via its association with transcription factor RUNX1 (PubMed : 17377532). Inhibits the differentiation of IL17 producing helper T-cells (Th17) by antagonizing RORC function, leading to down-regulation of IL17 expression, favoring Treg development (PubMed : 18368049). Inhibits the transcriptional activator activity of RORA (By similarity). Can repress the expression of IL2 and IFNG via its association with transcription factor IKZF4 (PubMed : 19696312).
See full target information Foxp3

文献 (11)

Recent publications for all applications. Explore the full list and refine your search

Cancer immunology, immunotherapy : CII 72:2783-2797 PubMed37166485

2023

Exploiting docetaxel-induced tumor cell necrosis with tumor targeted delivery of IL-12.

Applications

Unspecified application

Species

Unspecified reactive species

S Elizabeth Franks,Ginette S Santiago-Sanchez,Kellsye P Fabian,Kristen Solocinski,Paul L Chariou,Duane H Hamilton,Joshua T Kowalczyk,Michelle R Padget,Sofia R Gameiro,Jeffrey Schlom,James W Hodge

Nature cardiovascular research 2:290-306 PubMed37621765

2023

Pairing of single-cell RNA analysis and T cell antigen receptor profiling indicates breakdown of T cell tolerance checkpoints in atherosclerosis.

Applications

Unspecified application

Species

Unspecified reactive species

Zhihua Wang,Xi Zhang,Shu Lu,Chuankai Zhang,Zhe Ma,Rui Su,Yuanfang Li,Ting Sun,Yutao Li,Mingyang Hong,Xinyi Deng,Mohammad Rafiee Monjezi,Michael Hristov,Sabine Steffens,Donato Santovito,Klaus Dornmair,Klaus Ley,Christian Weber,Sarajo K Mohanta,Andreas J R Habenicht,Changjun Yin

International journal of molecular sciences 23: PubMed36362183

2022

CS12192, a Novel JAK3/JAK1/TBK1 Inhibitor, Synergistically Enhances the Anti-Inflammation Effect of Methotrexate in a Rat Model of Rheumatoid Arthritis.

Applications

Unspecified application

Species

Unspecified reactive species

Zhengyu Fang,Yiping Hu,Jiajing Dai,Lianhua He,Juan He,Bihua Xu,Xinle Han,Fubo Zhong,Huiyao Lan,Qingwen Wang

Frontiers in immunology 13:762580 PubMed35185872

2022

Indole-3-Acetic Acid Alters Intestinal Microbiota and Alleviates Ankylosing Spondylitis in Mice.

Applications

Unspecified application

Species

Unspecified reactive species

Jun Shen,Lianjun Yang,Ke You,Tao Chen,Zhihai Su,Zhifei Cui,Min Wang,Weicong Zhang,Bin Liu,Kai Zhou,Hai Lu

iScience 25:103570 PubMed34988407

2022

AMP-activated protein kinase alpha1 promotes tumor development via FOXP3 elevation in tumor-infiltrating Treg cells.

Applications

Unspecified application

Species

Unspecified reactive species

Junqing An,Ye Ding,Changjiang Yu,Jian Li,Shaojin You,Zhixue Liu,Ping Song,Ming-Hui Zou

Journal of nanobiotechnology 19:271 PubMed34496871

2021

Hydrogel-load exosomes derived from dendritic cells improve cardiac function via Treg cells and the polarization of macrophages following myocardial infarction.

Applications

Unspecified application

Species

Unspecified reactive species

Youming Zhang,Zichun Cai,Yunli Shen,Qizheng Lu,Wei Gao,Xin Zhong,Kang Yao,Jie Yuan,Haibo Liu

Allergy, asthma, and clinical immunology : official journal of the Canadian Society of Allergy and Clinical Immunology 17:59 PubMed34147127

2021

Taurine promotes the production of CD4CD25FOXP3 Treg cells through regulating IL-35/STAT1 pathway in a mouse allergic rhinitis model.

Applications

Unspecified application

Species

Unspecified reactive species

Jing Zhou,Yi Lu,Wei Wu,Yunhai Feng

The Journal of clinical investigation 130:6718-6727 PubMed33196461

2020

Lymphatic drainage from bronchus-associated lymphoid tissue in tolerant lung allografts promotes peripheral tolerance.

Applications

Unspecified application

Species

Unspecified reactive species

Wenjun Li,Jason M Gauthier,Alice Y Tong,Yuriko Terada,Ryuji Higashikubo,Christian C Frye,Margaret S Harrison,Kohei Hashimoto,Amit I Bery,Jon H Ritter,Ruben G Nava,Varun Puri,Brian W Wong,Kory J Lavine,Ankit Bharat,Alexander S Krupnick,Andrew E Gelman,Daniel Kreisel

Scientific reports 9:4712 PubMed30886310

2019

RNAi-Mediated PD-L1 Inhibition for Pancreatic Cancer Immunotherapy.

Applications

IHC-P

Species

Mouse

Byunghee Yoo,Veronica Clavijo Jordan,Patrick Sheedy,Ann-Marie Billig,Alana Ross,Pamela Pantazopoulos,Zdravka Medarova

Oncology letters 17:3503-3510 PubMed30867790

2019

Hydroxyl safflower yellow A regulates the tumor immune microenvironment to produce an anticancer effect in a mouse model of hepatocellular carcinoma.

Applications

Flow Cyt

Species

Unspecified reactive species

Yicong Ma,Cuiling Feng,Jingjing Wang,Ziwei Chen,Peng Wei,Angran Fan,Xu Wang,Xue Yu,Dongyu Ge,Hua Xie,Li Liu,Qian Zhang,Xu-Hui Li
View all publications

Abcam Product Promise

我们致力于为您的研究提供高质量的试剂,为您科研的每一步提供支持。若我们的产品未能达到预期性能,我们向您提供 Abcam Product Promise 保障。
详情请参阅我们的条款与条件。

关联产品

Select an associated product type
Alternative Product
Primary Antibodies

AB22510

Anti-FOXP3 antibody [mAbcam 22510]

primary-antibodies

foxp3-antibody-mabcam-22510-ab22510

3

(8 reviews)

Alternative Product
Primary Antibodies

AB275080

Alexa Fluor® 594 Anti-FOXP3 antibody [SP97]

primary-antibodies

alexa-fluor-594-foxp3-antibody-sp97-ab275080

0

(0 reviews)

Alternative Product
Primary Antibodies

AB275079

Alexa Fluor® 647 Anti-FOXP3 antibody [SP97]

primary-antibodies

alexa-fluor-647-foxp3-antibody-sp97-ab275079

0

(0 reviews)

Alternative Product
Primary Antibodies

AB244242

Anti-FOXP3 antibody [EPR22102-37] - BSA and Azide free

primary-antibodies

foxp3-antibody-epr22102-37-bsa-and-azide-free-ab244242

4

(1 reviews)

Alternative Product
Primary Antibodies

AB99963

Anti-FOXP3 antibody [SP97]

primary-antibodies

foxp3-antibody-sp97-ab99963

3

(3 reviews)

Alternative Product
Primary Antibodies

AB191416

Anti-FOXP3 antibody [EPR15038-69]

primary-antibodies

foxp3-antibody-epr15038-69-ab191416

0

(0 reviews)

Alternative Product
Primary Antibodies

AB238809

Anti-FOXP3 antibody [SP97] - BSA and Azide free

primary-antibodies

foxp3-antibody-sp97-bsa-and-azide-free-ab238809

0

(0 reviews)

Alternative Product
Primary Antibodies

AB216000

Anti-FOXP3 antibody [EPR15038-69] - BSA and Azide free

primary-antibodies

foxp3-antibody-epr15038-69-bsa-and-azide-free-ab216000

5

(1 reviews)

Please note: All products are 'FOR RESEARCH USE ONLY. NOT FOR USE IN DIAGNOSTIC OR THERAPEUTIC PROCEDURES'.

For licensing inquiries, please contact partnerships@abcam.com