JavaScript is disabled in your browser. Please enable JavaScript to view this website.
AB23738

Anti-FOXA1 +FOXA2 抗体

Anti-FOXA1 + FOXA2 antibody

4

(11 Reviews)

|

(189 Publications)

Anti-FOXA1 + FOXA2 antibody (ab23738) is a rabbit polyclonal antibody detecting FOXA1 + FOXA2 in Western Blot. Suitable for Human.

- Over 160 publications
- Trusted since 2006

查看别名

HNF3A, TCF3A, FOXA1, Hepatocyte nuclear factor 3-alpha, HNF-3-alpha, HNF-3A, Forkhead box protein A1, Transcription factor 3A, TCF-3A

6 Images
Western blot - Anti-FOXA1 + FOXA2 antibody (AB23738)
  • WB

Lab

Western blot - Anti-FOXA1 + FOXA2 antibody (AB23738)

Lanes 1 - 4 : Merged signal (red and green). Green - ab23738 observed at 49 kDa. Red - loading control, ab9484, observed at 37 kDa.

ab23738 was shown to recognize FOXA1 in wild-type HAP1 cells as signal was lost at the expected MW in FOXA1 knockout cells. Additional cross-reactive bands were observed in the wild-type and knockout cells. Wild-type and FOXA1 knockout samples were subjected to SDS-PAGE. ab23738 and ab9484 (Mouse anti-GAPDH loading control) were incubated overnight at 4°C at 0.7 μg/ml and 1/20000 dilution respectively. Blots were developed with Goat anti-Rabbit IgG H&L (IRDye® 800CW) preabsorbed ab216773 and Goat anti-Mouse IgG H&L (IRDye® 680RD) preabsorbed ab216776 secondary antibodies at 1/20000 dilution for 1 hour at room temperature before imaging.

HAP1 cells are predicted to express FOXA1, not FOXA2

All lanes:

Western blot - Anti-FOXA1 + FOXA2 antibody (ab23738) at 0.7 µg/mL

Lane 1:

Wild-type HAP1 whole cell lysate at 20 µg

Lane 2:

FOXA1 knockout HAP1 whole cell lysate at 20 µg

Lane 3:

HepG2 whole cell lysate at 20 µg

Lane 4:

A549 whole cell lysate at 20 µg

Predicted band size: 49 kDa

false

Western blot - Anti-FOXA1 + FOXA2 antibody (AB23738)
  • WB

Lab

Western blot - Anti-FOXA1 + FOXA2 antibody (AB23738)

Western blot : Anti-FOXA1 antibody ab23738 staining at 0.7 µg/mL, shown in green; Mouse anti GST ab92 loading control staining at 1/1000 dilution, shown in magenta. A band was observed at 76 kDa. To generate this image, samples were run on an SDS-PAGE gel then transferred onto a nitrocellulose membrane. Membranes were blocked in 3pc Milk in TBS-0.1 % Tween 20 (TBS-T) before incubation with primary antibodies overnight at 4 °C. Blots were washed four times in TBS-T, incubated with secondary antibodies for 1 h at room temperature, washed again four times then imaged. Secondary antibodies used were Goat anti-Rabbit 800CW and Goat anti-Mouse 680RD at 1/20,000 dilution.

All lanes:

Western blot - Anti-FOXA1 + FOXA2 antibody (ab23738) at 0.7 µg/mL

Lane 1:

FOXA1 Recombinant Protein at 0.1 µg

Lane 2:

FOXA2 Recombinant Protein at 0.1 µg

Lane 3:

FOXA3 Recombinant Protein at 0.1 µg

Secondary

All lanes:

Goat anti-Rabbit 800CW & Goat anti-Mouse 680RD at 1/20000 dilution

Predicted band size: 52 kDa

Observed band size: 76 kDa

false

Western blot - Anti-FOXA1 + FOXA2 antibody (AB23738)
  • WB

AbReview15258****

Western blot - Anti-FOXA1 + FOXA2 antibody (AB23738)

All lanes:

Western blot - Anti-FOXA1 + FOXA2 antibody (ab23738) at 1/1000 dilution

Lane 1:

Lysate prepared from human LNCaP cells at 20 µg

Lane 2:

Lysate prepared from MCF7 cells at 20 µg

Lane 3:

Lysate prepared from human LNCaP cells with ethanol as vehicle control at 20 µg

Lane 4:

Lysate prepared from human LNCaP cells with 100 nM DHT at 20 µg

Secondary

All lanes:

HRP-conjugated goat polyclonal to rabbit IgG at 1/5000 dilution

Predicted band size: 49 kDa

Observed band size: 51 kDa

true

Exposure time: 2s

This image is a courtesy of Anonymous Abreview

Western blot - Anti-FOXA1 + FOXA2 antibody (AB23738)
  • WB

Unknown

Western blot - Anti-FOXA1 + FOXA2 antibody (AB23738)

All lanes:

Western blot - Anti-FOXA1 + FOXA2 antibody (ab23738) at 1 µg/mL

All lanes:

Recombinant Human FOXA1 protein (<a href='/products/unavailable/recombinant-human-foxa1-protein-ab98301'>ab98301</a>) at 0.1 µg

Secondary

All lanes:

Western blot - Goat Anti-Rabbit IgG H&L (HRP) preadsorbed (<a href='/products/secondary-antibodies/goat-rabbit-igg-h-l-hrp-preadsorbed-ab97080'>ab97080</a>) at 1/5000 dilution

Predicted band size: 49 kDa

true

Exposure time: 10s

Western blot - Anti-FOXA1 + FOXA2 antibody (AB23738)
  • WB

Unknown

Western blot - Anti-FOXA1 + FOXA2 antibody (AB23738)

All lanes:

Western blot - Anti-FOXA1 + FOXA2 antibody (ab23738) at 1 µg/mL

All lanes:

Human heart tissue lysate at 20 µg

Secondary

All lanes:

Goat polyclonal to Rabbit IgG (Alexa Fluor® 680) at 1/10000 dilution

Predicted band size: 49 kDa

Observed band size: 31 kDa,51 kDa

false

Western blot - Anti-FOXA1 + FOXA2 antibody (AB23738)
  • WB

CiteAb

Western blot - Anti-FOXA1 + FOXA2 antibody (AB23738)

Western Blotting using Anti-FOXA1 antibody, ab23738. Publication image from Jiang, G. et al., 2019, Theranostics, 31588232. Legend direct from paper.

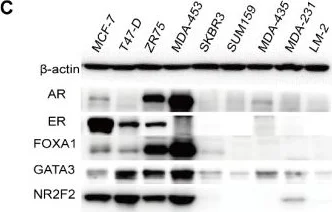
These factors are required for ESR1+ breast cancer. (A) Representation of known motif results for ER binding using the Homer software. (B) Expression profiles from primary breast tumours reveal that the mRNA levels of the three TFs are correlated with the ERα histological status and mRNA expression. The significant p-value is presented. (C) Western blotting experiments of corresponding TFs and hormone receptors were performed on a panel of nine breast cancer cell lines, including ER positive (MCF-7, T47-D, and ZR-75-1), AR positive (MDA-MB-453) and ERα-negative (SKBR3, SUM159, MDA-MB-435, MDA-MB-435, MDA-MB-231, and LM-2) cells. (D) The heatmap represents the ChIP-seq tag density for the FOXA1, GATA3, NR2F2, H3K4me1, and H3K27ac DNase-seq results obtained for the MCF-7 cells, ChIP-seq for H3K27ac and H3K4me1, and ATAC-seq for MDA-MB-231 cells at the defined groups characterized by the Venn diagram. (E) The average density distribution of H3K4me1 and H3K27ac among the seven different combinations of the three transcription factors in the MDA-MB-231 cell line. (F) Kaplan-Meier analysis of metastasis based on the GATA3, NR2F2, and FOXA1 expression levels in the patients. High transcript levels of the three transcription factors were correlated with improved lung metastasis-free survival (LMFS) in breast cancer patients. Analysis of eight groups established by the combination of the three expression levels showing that high expression of all three factors can synergistically improve LMFS. The TF order is FOXA1, NR2F2, and GATA3. For example, E110 indicates patients with high FOXA1 and NR2F2 expression relative to the average value and low GATA3 expression.

false

关键信息

宿主种属

Rabbit

克隆

Polyclonal

亚型

IgG

不含载体蛋白

No

反应种属

Human

应用

WB

applications

免疫原

The exact immunogen used to generate this antibody is proprietary information.

特异性

Please note ab23738 has slight cross-reactivity with FOXA3

反应性数据

{ "title": "Reactivity Data", "filters": { "stats": ["", "Species", "Dilution Info", "Notes"], "tabs": { "all-applications": {"fullname" : "All Applications", "shortname": "All Applications"}, "WB" : {"fullname" : "Western blot", "shortname":"WB"}, "IHCFoFr" : {"fullname" : "Immunohistochemistry (PFA perfusion fixed frozen sections)", "shortname":"IHC-FoFr"}, "IHCP" : {"fullname" : "Immunohistochemistry (Formalin/PFA-fixed paraffin-embedded sections)", "shortname":"IHC-P"}, "ICCIF" : {"fullname" : "Immunocytochemistry/ Immunofluorescence", "shortname":"ICC/IF"} }, "product-promise": { "all": "all", "testedAndGuaranteed": "tested", "guaranteed": "expected", "predicted": "predicted", "notRecommended": "not-recommended" } }, "values": { "Human": { "WB-species-checked": "testedAndGuaranteed", "WB-species-dilution-info": "0.7-1 µg/mL", "WB-species-notes": "<p></p>", "IHCFoFr-species-checked": "notRecommended", "IHCFoFr-species-dilution-info": "", "IHCFoFr-species-notes": "<p></p>", "IHCP-species-checked": "notRecommended", "IHCP-species-dilution-info": "", "IHCP-species-notes": "<p></p>", "ICCIF-species-checked": "notRecommended", "ICCIF-species-dilution-info": "", "ICCIF-species-notes": "<p></p>" }, "Mouse": { "WB-species-checked": "predicted", "WB-species-dilution-info": "", "WB-species-notes": "", "IHCFoFr-species-checked": "notRecommended", "IHCFoFr-species-dilution-info": "", "IHCFoFr-species-notes": "", "IHCP-species-checked": "notRecommended", "IHCP-species-dilution-info": "", "IHCP-species-notes": "", "ICCIF-species-checked": "notRecommended", "ICCIF-species-dilution-info": "", "ICCIF-species-notes": "" }, "Rat": { "WB-species-checked": "predicted", "WB-species-dilution-info": "", "WB-species-notes": "", "IHCFoFr-species-checked": "notRecommended", "IHCFoFr-species-dilution-info": "", "IHCFoFr-species-notes": "", "IHCP-species-checked": "notRecommended", "IHCP-species-dilution-info": "", "IHCP-species-notes": "", "ICCIF-species-checked": "notRecommended", "ICCIF-species-dilution-info": "", "ICCIF-species-notes": "" }, "Xenopus laevis": { "WB-species-checked": "predicted", "WB-species-dilution-info": "", "WB-species-notes": "", "IHCFoFr-species-checked": "notRecommended", "IHCFoFr-species-dilution-info": "", "IHCFoFr-species-notes": "", "IHCP-species-checked": "notRecommended", "IHCP-species-dilution-info": "", "IHCP-species-notes": "", "ICCIF-species-checked": "notRecommended", "ICCIF-species-dilution-info": "", "ICCIF-species-notes": "" } } }

产品详情

What is this antibody validated in?
Anti-FOXA1 + FOXA2 antibody (ab23738) is a rabbit polyclonal antibody and is validated for use in Western Blot (WB) in Human samples.

What is the molecular weight of FOXA1?
Anti-FOXA1 + FOXA2 antibody (ab23738) detects a band for FOXA1 (UniProt: P55317) at a molecular weight of 49kDa.

Trusted by the scientific community
Anti-FOXA1 + FOXA2 antibody (ab23738) was first used in a scientific publication in 2006 and has been cited over 160 times in peer-reviewed journals.

Reviewed by scientists
Anti-FOXA1+ FOXA2 antibody (ab23738) has over 10 independent reviews from customers.

性能和储存信息

形式
Liquid
纯化工艺
Affinity purification Immunogen
存储溶液
pH: 7.4 Preservative: 0.02% Sodium azide Constituents: PBS, 1% BSA
运输条件
Blue Ice
推荐的短期储存时间
1-2 weeks
推荐的短期储存条件
+4°C
推荐的长期储存条件
-20°C
分装信息
Upon delivery aliquot
储存信息
Avoid freeze / thaw cycle

补充信息

This supplementary information is collated from multiple sources and compiled automatically.

FOXA1 also known as Forkhead Box A1 is a transcription factor with a molecular weight of about 49 kDa. It plays a role by binding to specific DNA sequences influencing the expression of genes involved in various cellular processes. This protein is expressed in tissues like liver lungs and prostate. Researchers also refer to FOXA1 as HNF-3α emphasizing its importance in transcription regulation.
Biological function summary

FOXA1 influences the transcriptional control of genes essential for organ development and metabolic regulation. It acts as a pioneer factor opening chromatin structure to enable access for other transcription factors. FOXA1 integrates into complexes that involve histone modification affecting the chromatin state and transcription of target genes. This function is necessary for the proper differentiation and function of several tissues.

Pathways

FOXA1 participates significantly in the androgen receptor signaling pathway and the estrogen receptor signaling pathway. It interacts closely with androgen receptor facilitating the expression of genes that influence cell growth and proliferation. The involvement of FOXA1 in these pathways highlights its critical role in pathways that regulate hormone-responsive cancers and metabolic processes.

FOXA1 shows a strong association with cancers such as prostate cancer and breast cancer. FOXA1's interaction with the androgen receptor links it to prostate cancer progression while its involvement with the estrogen receptor correlates with breast cancer development. Aberrations in its expression or function can disrupt these pathways emphasizing the importance of FOXA1 in cancer biology and its potential as a therapeutic target.

产品实验方案

For this product, it's our understanding that no specific protocols are required. You can visit:

靶点信息

Transcription factor that is involved in embryonic development, establishment of tissue-specific gene expression and regulation of gene expression in differentiated tissues. Is thought to act as a 'pioneer' factor opening the compacted chromatin for other proteins through interactions with nucleosomal core histones and thereby replacing linker histones at target enhancer and/or promoter sites. Binds DNA with the consensus sequence 5'-[AC]A[AT]T[AG]TT[GT][AG][CT]T[CT]-3' (By similarity). Proposed to play a role in translating the epigenetic signatures into cell type-specific enhancer-driven transcriptional programs. Its differential recruitment to chromatin is dependent on distribution of histone H3 methylated at 'Lys-5' (H3K4me2) in estrogen-regulated genes. Involved in the development of multiple endoderm-derived organ systems such as liver, pancreas, lung and prostate; FOXA1 and FOXA2 seem to have at least in part redundant roles (By similarity). Modulates the transcriptional activity of nuclear hormone receptors. Is involved in ESR1-mediated transcription; required for ESR1 binding to the NKX2-1 promoter in breast cancer cells; binds to the RPRM promoter and is required for the estrogen-induced repression of RPRM. Involved in regulation of apoptosis by inhibiting the expression of BCL2. Involved in cell cycle regulation by activating expression of CDKN1B, alone or in conjunction with BRCA1. Originally described as a transcription activator for a number of liver genes such as AFP, albumin, tyrosine aminotransferase, PEPCK, etc. Interacts with the cis-acting regulatory regions of these genes. Involved in glucose homeostasis.
See full target information FOXA1

其他靶点

FOXA2

文献 (189)

Recent publications for all applications. Explore the full list and refine your search

Nature communications 16:6585 PubMed40721574

2025

DynaTag for efficient mapping of transcription factors in low-input samples and at single-cell resolution.

Applications

Unspecified application

Species

Unspecified reactive species

Pascal Hunold,Giulia Pizzolato,Nadia Heramvand,Laura Kaiser,Giulia Barbiera,Olivia van Ray,Roman Thomas,Julie George,Martin Peifer,Robert Hänsel-Hertsch

Journal of experimental & clinical cancer research : CR 44:175 PubMed40518539

2025

PARP-1 as a novel target in endocrine-resistant breast cancer.

Applications

Unspecified application

Species

Unspecified reactive species

Azzurra Zicarelli,Marianna Talia,Muriel Lainé,Rosamaria Lappano,Marcello Maggiolini,Geoffrey L Greene

Genome research 35:1717-1732 PubMed40456604

2025

Androgen receptor-mediated assisted loading of the glucocorticoid receptor modulates transcriptional responses in prostate cancer cells.

Applications

Unspecified application

Species

Unspecified reactive species

Johannes Hiltunen,Laura Helminen,Niina Aaltonen,Kaisa-Mari Launonen,Hanna Laakso,Marjo Malinen,Einari A Niskanen,Jorma J Palvimo,Ville Paakinaho

Cell reports 44:115312 PubMed39954255

2025

CRISPR screening identifies regulators of enhancer-mediated androgen receptor transcription in advanced prostate cancer.

Applications

Unspecified application

Species

Unspecified reactive species

Rachel R Xiang,Shin-Ai Lee,Caroline F Tyndall,Anusha R Bhatia,JuanJuan Yin,Cassandra Singler,Benjamin J Hauk,Matthew P Kipp,David Y Takeda

Biomolecules 15: PubMed39858458

2025

SNP rs9364554 Modulates Androgen Receptor Binding and Drug Response in Prostate Cancer.

Applications

Unspecified application

Species

Unspecified reactive species

Yuqian Yan,Lei Shi,Tao Ma,Liguo Wang,Haojie Huang

Nature communications 15:9494 PubMed39489778

2024

Decoding the epigenetics and chromatin loop dynamics of androgen receptor-mediated transcription.

Applications

Unspecified application

Species

Unspecified reactive species

Umut Berkay Altıntaş,Ji-Heui Seo,Claudia Giambartolomei,Dogancan Ozturan,Brad J Fortunato,Geoffrey M Nelson,Seth R Goldman,Karen Adelman,Faraz Hach,Matthew L Freedman,Nathan A Lack

The Prostate 84:967-976 PubMed38632701

2024

FOXA1 regulates ribosomal RNA transcription in prostate cancer.

Applications

Unspecified application

Species

Unspecified reactive species

Tianwei Jia,Chenxu Liu,Ping Guo,Yaning Xu,Wenzheng Wang,Xiaoyu Liu,Song Wang,Xianglin Zhang,Haiyang Guo

Cellular and molecular life sciences : CMLS 81:160 PubMed38564048

2024

EP300/CREBBP acetyltransferase inhibition limits steroid receptor and FOXA1 signaling in prostate cancer cells.

Applications

Unspecified application

Species

Unspecified reactive species

Jasmin Huttunen,Niina Aaltonen,Laura Helminen,Kirsi Rilla,Ville Paakinaho

Cancer gene therapy 31:736-745 PubMed38429368

2024

Identification of lineage-specific epigenetic regulators FOXA1 and GRHL2 through chromatin accessibility profiling in breast cancer cell lines.

Applications

Unspecified application

Species

Unspecified reactive species

Liying Yang,Kohei Kumegawa,Sumito Saeki,Tomoyoshi Nakadai,Reo Maruyama

Translational psychiatry 14:65 PubMed38280856

2024

Multiomic analysis implicates nuclear hormone receptor signalling in clustering epilepsy.

Applications

Unspecified application

Species

Unspecified reactive species

Rebekah de Nys,Clare L van Eyk,Tarin Ritchie,Rikke S Møller,Ingrid E Scheffer,Carla Marini,Rudrarup Bhattacharjee,Raman Kumar,Jozef Gecz
View all publications

Abcam Product Promise

我们致力于为您的研究提供高质量的试剂,为您科研的每一步提供支持。若我们的产品未能达到预期性能,我们向您提供 Abcam Product Promise 保障。
详情请参阅我们的条款与条件。

Please note: All products are 'FOR RESEARCH USE ONLY. NOT FOR USE IN DIAGNOSTIC OR THERAPEUTIC PROCEDURES'.

For licensing inquiries, please contact partnerships@abcam.com