JavaScript is disabled in your browser. Please enable JavaScript to view this website.
AB322459

Anti-Folate Binding Protein/FBP antibody [RM1246]

Anti-Folate Binding Protein/FBP antibody [RM1246]

  • 20ul selling size
  • BOND RX™ Validated
  • RabMAb
  • Recombinant
  • KO Validated
  • 了解详情

Be the first to review this product! Submit a review

|

(0 Publication)

Rabbit Recombinant Multiclonal Folate Binding Protein/FBP antibody. Suitable for WB, IHC-P, IP, Flow Cyt, ICC/IF and reacts with Recombinant fragment - Human, Human, Mouse, Rat samples.

查看别名

FOLR, FOLR1, Folate receptor alpha, FR-alpha, Adult folate-binding protein, Folate receptor 1, KB cells FBP, Ovarian tumor-associated antigen MOv18, FBP

14 Images
Immunocytochemistry/ Immunofluorescence - Anti-Folate Binding Protein/FBP antibody [RM1246] (AB322459)
  • ICC/IF

Supplier Data

Immunocytochemistry/ Immunofluorescence - Anti-Folate Binding Protein/FBP antibody [RM1246] (AB322459)

Immunofluorescent analysis of 4% Paraformaldehyde-fixed, 0.1% TritonX-100 permeabilized JAR(human placenta choriocarcinoma epithelial cell) cells labelling Folate Binding Protein/FBP with ab322459 at 1/100 (5.27 ug/ml) dilution, followed by ab150081 Goat Anti-Rabbit IgG H&L (Alexa Fluor® 488) preadsorbed antibody at 1/1000 2 ug/ml dilution (Green).

Confocal image showing cytoplasmic and membranous staining in JAR cell line (shown in green). The counterstain was observed in magenta. Nuclear DNA was labelled with DAPI (shown in blue).
Negative control : K-562 (PMID : 15899836).
Image was taken with a confocal microscope (Leica-Microsystems, TCS SP8).

ab195889 Anti-alpha Tubulin mouse monoclonal antibody - Microtubule Marker (Alexa Fluor® 594) was used to counterstain tubulin at 1/200 2.5ug/ml dilution (Magenta). The Nuclear counterstain was DAPI (Blue).

Secondary antibody only control : Secondary antibody is ab150081 Goat Anti-Rabbit IgG H&L (Alexa Fluor® 488) preadsorbed at 1/1000 2 ug/ml dilution.

Immunohistochemistry (Formalin/PFA-fixed paraffin-embedded sections) - Anti-Folate Binding Protein/FBP antibody [RM1246] (AB322459)
  • IHC-P

Supplier Data

Immunohistochemistry (Formalin/PFA-fixed paraffin-embedded sections) - Anti-Folate Binding Protein/FBP antibody [RM1246] (AB322459)

Immunohistochemical analysis of paraffin-embedded Human liver tissue labeling Folate Binding Protein/FBP with ab322459 at 1/500 (1.054 ug/ml) dilution, followed by a ready to use LeicaDS9800 (Bond™ Polymer Refine Detection).

Negative control : no staining on human liver. The section was incubated with ab322459 for 30 mins at room temperature.
The immunostaining was performed on a Leica Biosystems BOND® RX instrument

Counterstained with Hematoxylin.

Secondary antibody only control : Secondary antibody is a ready to use LeicaDS9800 (Bond™ Polymer Refine Detection).

Heat mediated antigen retrieval was performed with Tris-EDTA buffer (pH 9.0, Epitope Retrieval Solution2) for 20 mins

Flow Cytometry - Anti-Folate Binding Protein/FBP antibody [RM1246] (AB322459)
  • Flow Cyt

Supplier Data

Flow Cytometry - Anti-Folate Binding Protein/FBP antibody [RM1246] (AB322459)

Flow cytometric analysis of Jar (human placenta choriocarcinoma epithelial cell) (Right) / K-562 (human chronic myelogenous leukemia lymphoblast) (Left) cells labelling Folate Binding Protein/FBP with ab322459 at 1/500 dilution (0.1ug) (Red) compared with a Rabbit monoclonal IgG (ab172730) (Black) isotype control and an unlabelled control (cells without incubation with primary antibody and secondary antibody).

Goat Anti-Rabbit IgG (Alexa Fluor® 488, ab150081) at 1/5000 dilution was used as the secondary antibody.

Gated on viable cells.
Negative control : K-562 (PMID : 15899836).

Immunocytochemistry/ Immunofluorescence - Anti-Folate Binding Protein/FBP antibody [RM1246] (AB322459)
  • ICC/IF

Supplier Data

Immunocytochemistry/ Immunofluorescence - Anti-Folate Binding Protein/FBP antibody [RM1246] (AB322459)

Immunofluorescent analysis of 4% Paraformaldehyde-fixed, 0.1% TritonX-100 permeabilized FOLR1 KO HeLa (FOLR1 knockout human cervical adenocarcinoma epithelial cell), ab264921 cells labelling Folate Binding Protein/FBP with ab322459 at 1/100 (5.27 ug/ml) dilution, followed by ab150081 Goat Anti-Rabbit IgG H&L (Alexa Fluor® 488) preadsorbed antibody at 1/1000 2 ug/ml dilution (Green).

Confocal image showing membranous and cytoplasmic staining in wildtype HeLa cells, showing no staining in FOLR1 knockout HeLa cells (shown in green). The counterstain was observed in magenta. Nuclear DNA was labelled with DAPI (shown in blue).
Image was taken with a confocal microscope (Leica-Microsystems, TCS SP8).

ab195889 Anti-alpha Tubulin mouse monoclonal antibody - Microtubule Marker (Alexa Fluor® 594) was used to counterstain tubulin at 1/200 2.5ug/ml dilution (Magenta). The Nuclear counterstain was DAPI (Blue).

Secondary antibody only control : Secondary antibody is ab150081 Goat Anti-Rabbit IgG H&L (Alexa Fluor® 488) preadsorbed at 1/1000 2 ug/ml dilution.

Flow Cytometry - Anti-Folate Binding Protein/FBP antibody [RM1246] (AB322459)
  • Flow Cyt

Supplier Data

Flow Cytometry - Anti-Folate Binding Protein/FBP antibody [RM1246] (AB322459)

Flow cytometric analysis of FOLR1 KO HeLa (human knockout cervical adenocarcinoma epithelial cell, Magenta) / Parental HeLa, Green) cells labelling Folate Binding Protein/FBP with ab322459 at 1/500 dilution (0.1ug) (Red) compared with a Rabbit IgG monoclonal [EPR25A] - Isotype Control (Alexa Fluor® 488) (ab199091) (Black) and Grey isotype control and an unlabelled control (cells without incubation with primary antibody and secondary antibody).

Goat Anti-Rabbit IgG (Alexa Fluor® 488, ab150081) at 1/5000 dilution was used as the secondary antibody.

Gated on viable cells.

Immunohistochemistry (Formalin/PFA-fixed paraffin-embedded sections) - Anti-Folate Binding Protein/FBP antibody [RM1246] (AB322459)
  • IHC-P

Supplier Data

Immunohistochemistry (Formalin/PFA-fixed paraffin-embedded sections) - Anti-Folate Binding Protein/FBP antibody [RM1246] (AB322459)

Immunohistochemical analysis of paraffin-embedded Human placenta tissue labeling Folate Binding Protein/FBP with ab322459 at 1/500 (1.054 ug/ml) dilution, followed by a ready to use LeicaDS9800 (Bond™ Polymer Refine Detection).

Positive staining on human placenta. The section was incubated with ab322459 for 30 mins at room temperature.
The immunostaining was performed on a Leica Biosystems BOND® RX instrument

Counterstained with Hematoxylin.

Secondary antibody only control : Secondary antibody is a ready to use LeicaDS9800 (Bond™ Polymer Refine Detection).

Heat mediated antigen retrieval was performed with Tris-EDTA buffer (pH 9.0, Epitope Retrieval Solution2) for 20 mins

Immunohistochemistry (Formalin/PFA-fixed paraffin-embedded sections) - Anti-Folate Binding Protein/FBP antibody [RM1246] (AB322459)
  • IHC-P

Supplier Data

Immunohistochemistry (Formalin/PFA-fixed paraffin-embedded sections) - Anti-Folate Binding Protein/FBP antibody [RM1246] (AB322459)

Immunohistochemical analysis of paraffin-embedded Human kidney tissue labeling Folate Binding Protein/FBP with ab322459 at 1/500 (1.054 ug/ml) dilution, followed by a ready to use LeicaDS9800 (Bond™ Polymer Refine Detection).

Positive staining on human kidney. The section was incubated with ab322459 for 30 mins at room temperature.
The immunostaining was performed on a Leica Biosystems BOND® RX instrument

Counterstained with Hematoxylin.

Secondary antibody only control : Secondary antibody is a ready to use LeicaDS9800 (Bond™ Polymer Refine Detection).

Heat mediated antigen retrieval was performed with Tris-EDTA buffer (pH 9.0, Epitope Retrieval Solution2) for 20 mins

Immunohistochemistry (Formalin/PFA-fixed paraffin-embedded sections) - Anti-Folate Binding Protein/FBP antibody [RM1246] (AB322459)
  • IHC-P

Supplier Data

Immunohistochemistry (Formalin/PFA-fixed paraffin-embedded sections) - Anti-Folate Binding Protein/FBP antibody [RM1246] (AB322459)

Immunohistochemical analysis of paraffin-embedded Mouse kidney tissue labeling Folate Binding Protein/FBP with ab322459 at 1/1000 (0.527 ug/ml) dilution, followed by a ready to use LeicaDS9800 (Bond™ Polymer Refine Detection).

Positive staining on mouse kidney. The section was incubated with ab322459 for 30 mins at room temperature.
The immunostaining was performed on a Leica Biosystems BOND® RX instrument

Counterstained with Hematoxylin.

Secondary antibody only control : Secondary antibody is a ready to use LeicaDS9800 (Bond™ Polymer Refine Detection).

Heat mediated antigen retrieval was performed with Tris-EDTA buffer (pH 9.0, Epitope Retrieval Solution2) for 20 mins

Immunohistochemistry (Formalin/PFA-fixed paraffin-embedded sections) - Anti-Folate Binding Protein/FBP antibody [RM1246] (AB322459)
  • IHC-P

Supplier Data

Immunohistochemistry (Formalin/PFA-fixed paraffin-embedded sections) - Anti-Folate Binding Protein/FBP antibody [RM1246] (AB322459)

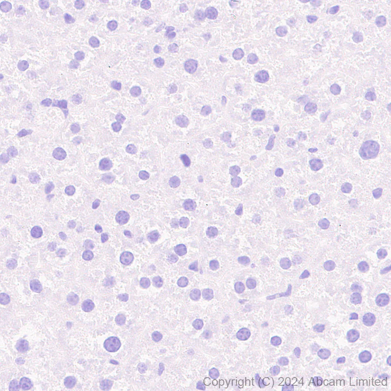
Immunohistochemical analysis of paraffin-embedded Rat liver tissue labeling Folate Binding Protein/FBP with ab322459 at 1/1000 (0.527 ug/ml) dilution, followed by a ready to use LeicaDS9800 (Bond™ Polymer Refine Detection).

Negative control : no staining on rat liver. The section was incubated with ab322459 for 30 mins at room temperature.
The immunostaining was performed on a Leica Biosystems BOND® RX instrument

Counterstained with Hematoxylin.

Secondary antibody only control : Secondary antibody is a ready to use LeicaDS9800 (Bond™ Polymer Refine Detection).

Heat mediated antigen retrieval was performed with Tris-EDTA buffer (pH 9.0, Epitope Retrieval Solution2) for 20 mins

Immunohistochemistry (Formalin/PFA-fixed paraffin-embedded sections) - Anti-Folate Binding Protein/FBP antibody [RM1246] (AB322459)
  • IHC-P

Supplier Data

Immunohistochemistry (Formalin/PFA-fixed paraffin-embedded sections) - Anti-Folate Binding Protein/FBP antibody [RM1246] (AB322459)

Immunohistochemical analysis of paraffin-embedded Mouse liver tissue labeling Folate Binding Protein/FBP with ab322459 at 1/1000 (0.527 ug/ml) dilution, followed by a ready to use LeicaDS9800 (Bond™ Polymer Refine Detection).

Negative control : no staining on mouse liver. The section was incubated with ab322459 for 30 mins at room temperature.
The immunostaining was performed on a Leica Biosystems BOND® RX instrument

Counterstained with Hematoxylin.

Secondary antibody only control : Secondary antibody is a ready to use LeicaDS9800 (Bond™ Polymer Refine Detection).

Heat mediated antigen retrieval was performed with Tris-EDTA buffer (pH 9.0, Epitope Retrieval Solution2) for 20 mins

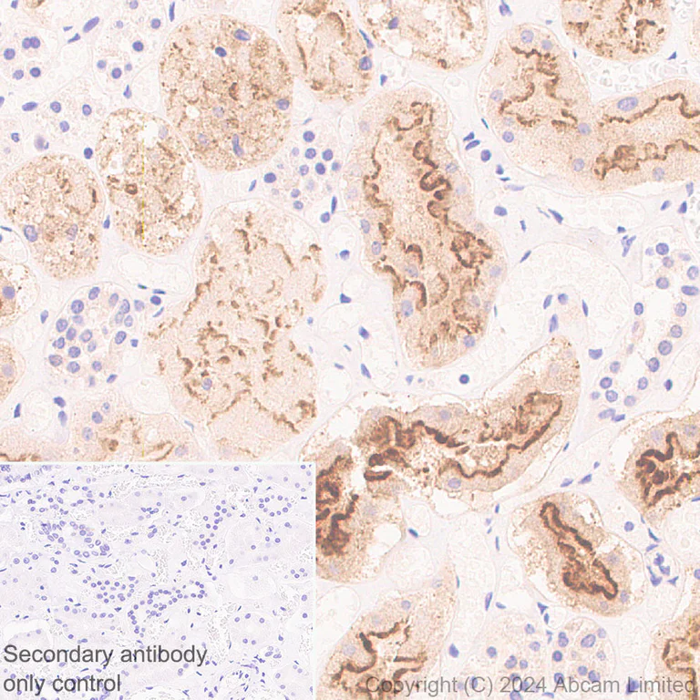
Immunohistochemistry (Formalin/PFA-fixed paraffin-embedded sections) - Anti-Folate Binding Protein/FBP antibody [RM1246] (AB322459)
  • IHC-P

Supplier Data

Immunohistochemistry (Formalin/PFA-fixed paraffin-embedded sections) - Anti-Folate Binding Protein/FBP antibody [RM1246] (AB322459)

Immunohistochemical analysis of paraffin-embedded Rat kidney tissue labeling Folate Binding Protein/FBP with ab322459 at 1/1000 (0.527 ug/ml) dilution, followed by a ready to use LeicaDS9800 (Bond™ Polymer Refine Detection).

Positive staining on rat kidney. The section was incubated with ab322459 for 30 mins at room temperature.
The immunostaining was performed on a Leica Biosystems BOND® RX instrument

Counterstained with Hematoxylin.

Secondary antibody only control : Secondary antibody is a ready to use LeicaDS9800 (Bond™ Polymer Refine Detection).

Heat mediated antigen retrieval was performed with Tris-EDTA buffer (pH 9.0, Epitope Retrieval Solution2) for 20 mins

Western blot - Anti-Folate Binding Protein/FBP antibody [RM1246] (AB322459)
  • WB

Supplier Data

Western blot - Anti-Folate Binding Protein/FBP antibody [RM1246] (AB322459)

Blocking and diluting buffer and concentration : 5% NFDM/TBST.

Negative control : K-562 (PMID : 15899836).

Lysates/proteins at 20 ug per lane.

In Western blot, ab322459 was shown to bind specifically to FOLR1. A band was observed at 37 kDa in wild-type HeLa cell lysates with whereas no signal observed at this size in FOLR1 knockout cell line ab264921(knockout cell lysate ab257270).

In Western blot, Anti-Vinculin antibody [EPR8185] (ab129002) staining at 1/10000 dilution.

All lanes:

Western blot - Anti-Folate Binding Protein/FBP antibody [RM1246] (ab322459) at 1/1000 dilution

Lane 1:

SK-OV-3 (human ovarian cancer epithelial cell) whole cell lysate at 20 µg

Lane 2:

JAR (human placenta choriocarcinoma epithelial cell) whole cell lysate at 20 µg

Lane 3:

T-47D (human ductal breast epithelial tumor epithelial cell) whole cell lysate at 20 µg

Lane 4:

K-562 (human chronic myelogenous leukemia lymphoblast) whole cell lysate at 20 µg

Lane 5:

Wild-type HeLa (human cervical adenocarcinoma epithelial cell) whole cell lysate at 20 µg

Lane 6:

Western blot - Human FOLR1 (Folate Binding Protein/FBP) knockout HeLa cell lysate (<a href='/products/cell-lysates/human-folr1-folate-binding-protein-fbp-knockout-hela-cell-lysate-ab257270'>ab257270</a>) at 20 µg

Lane 7:

Human ovary cancer tissue lysate at 20 µg

Secondary

All lanes:

Western blot - Goat Anti-Rabbit IgG H&L (HRP) (<a href='/products/secondary-antibodies/goat-rabbit-igg-h-l-hrp-ab97051'>ab97051</a>) at 1/100000 dilution

Observed band size: 37 kDa,124 kDa

false

Exposure time: 180s

Western blot - Anti-Folate Binding Protein/FBP antibody [RM1246] (AB322459)
  • WB

Supplier Data

Western blot - Anti-Folate Binding Protein/FBP antibody [RM1246] (AB322459)

Blocking and diluting buffer and concentration : 5% NFDM/TBST.

Low expression : Liver (PMID : 2768245).

The identity of the higher MW bands at approximately 50-70 kDa are unknown.

In Western blot, Anti-Vinculin antibody [EPR8185] (ab129002) staining at 1/10000 dilution.

All lanes:

Western blot - Anti-Folate Binding Protein/FBP antibody [RM1246] (ab322459) at 1/1000 dilution

Lane 1:

Human ovary cancer tissue lysate at 20 µg

Lane 2:

Human liver tissue lysate at 20 µg

Lane 3:

Mouse kidney tissue lysate at 20 µg

Lane 4:

Mouse placenta tissue lysate at 20 µg

Lane 5:

Mouse liver tissue lysate at 20 µg

Lane 6:

Rat kidney tissue lysate at 20 µg

Lane 7:

Rat placenta tissue lysate at 20 µg

Lane 8:

Rat liver tissue lysate at 20 µg

Secondary

All lanes:

Western blot - Goat Anti-Rabbit IgG H&L (HRP) (<a href='/products/secondary-antibodies/goat-rabbit-igg-h-l-hrp-ab97051'>ab97051</a>) at 1/20000 dilution

Observed band size: 37 kDa,124 kDa

false

Exposure time: 15s

Western blot - Anti-Folate Binding Protein/FBP antibody [RM1246] (AB322459)
  • WB

Supplier Data

Western blot - Anti-Folate Binding Protein/FBP antibody [RM1246] (AB322459)

Blocking and diluting buffer and concentration : 5% NFDM/TBST.

In Western blot, Anti-6X His tag® antibody [EPR20547] - ChIP Grade (ab213204) staining at 1/5000 dilution.

All lanes:

Western blot - Anti-Folate Binding Protein/FBP antibody [RM1246] (ab322459) at 1/1000 dilution

Lane 1:

His-tagged human FOLR1 recombinant protein at 10 ng

Lane 2:

His-tagged human FOLR2 recombinant protein at 10 ng

Lane 3:

His-tagged human FOLR3 recombinant protein at 10 ng

Secondary

All lanes:

Western blot - Goat Anti-Rabbit IgG H&L (HRP) (<a href='/products/secondary-antibodies/goat-rabbit-igg-h-l-hrp-ab97051'>ab97051</a>) at 1/20000 dilution

Observed band size: 37 kDa

false

Exposure time: 92s

关键信息

宿主种属

Rabbit

克隆

Multiclonal

克隆号

RM1246

亚型

IgG

不含载体蛋白

No

反应种属

Human, Mouse, Rat

应用

WB, IHC-P, IP, ICC/IF, Flow Cyt

applications

免疫原

The exact immunogen used to generate this antibody is proprietary information.

特异性

Unsuitable for mouse ICC, mouse IP and rat IP.

反应性数据

{ "title": "Reactivity Data", "filters": { "stats": ["", "Species", "Dilution Info", "Notes"], "tabs": { "all-applications": {"fullname" : "All Applications", "shortname": "All Applications"}, "WB" : {"fullname" : "Western blot", "shortname":"WB"}, "IHCP" : {"fullname" : "Immunohistochemistry (Formalin/PFA-fixed paraffin-embedded sections)", "shortname":"IHC-P"}, "IP" : {"fullname" : "Immunoprecipitation", "shortname":"IP"}, "FlowCyt" : {"fullname" : "Flow Cytometry", "shortname":"Flow Cyt"}, "ICCIF" : {"fullname" : "Immunocytochemistry/ Immunofluorescence", "shortname":"ICC/IF"} }, "product-promise": { "all": "all", "testedAndGuaranteed": "tested", "guaranteed": "expected", "predicted": "predicted", "notRecommended": "not-recommended" } }, "values": { "Human": { "WB-species-checked": "testedAndGuaranteed", "WB-species-dilution-info": "1/1000", "WB-species-notes": "<p></p>", "IHCP-species-checked": "testedAndGuaranteed", "IHCP-species-dilution-info": "1/500", "IHCP-species-notes": "<p></p> Perform heat-mediated antigen retrieval with Tris/EDTA buffer pH 9.0 before commencing with IHC staining protocol.", "IP-species-checked": "testedAndGuaranteed", "IP-species-dilution-info": "1/30", "IP-species-notes": "<p></p>", "FlowCyt-species-checked": "testedAndGuaranteed", "FlowCyt-species-dilution-info": "1/500", "FlowCyt-species-notes": "<p></p>", "ICCIF-species-checked": "testedAndGuaranteed", "ICCIF-species-dilution-info": "1/100", "ICCIF-species-notes": "<p></p>" }, "Mouse": { "WB-species-checked": "testedAndGuaranteed", "WB-species-dilution-info": "1/1000", "WB-species-notes": "<p></p>", "IHCP-species-checked": "testedAndGuaranteed", "IHCP-species-dilution-info": "1/1000", "IHCP-species-notes": "<p></p> Perform heat-mediated antigen retrieval with Tris/EDTA buffer pH 9.0 before commencing with IHC staining protocol.", "IP-species-checked": "notRecommended", "IP-species-dilution-info": "", "IP-species-notes": "<p></p>", "FlowCyt-species-checked": "guaranteed", "FlowCyt-species-dilution-info": "", "FlowCyt-species-notes": "", "ICCIF-species-checked": "notRecommended", "ICCIF-species-dilution-info": "", "ICCIF-species-notes": "<p></p>" }, "Rat": { "WB-species-checked": "testedAndGuaranteed", "WB-species-dilution-info": "1/1000", "WB-species-notes": "<p></p>", "IHCP-species-checked": "testedAndGuaranteed", "IHCP-species-dilution-info": "1/1000", "IHCP-species-notes": "<p></p> Perform heat-mediated antigen retrieval with Tris/EDTA buffer pH 9.0 before commencing with IHC staining protocol.", "IP-species-checked": "notRecommended", "IP-species-dilution-info": "", "IP-species-notes": "<p></p>", "FlowCyt-species-checked": "guaranteed", "FlowCyt-species-dilution-info": "", "FlowCyt-species-notes": "", "ICCIF-species-checked": "guaranteed", "ICCIF-species-dilution-info": "", "ICCIF-species-notes": "" }, "Recombinant fragment - Human": { "WB-species-checked": "testedAndGuaranteed", "WB-species-dilution-info": "1/1000", "WB-species-notes": "<p></p>", "IHCP-species-checked": "notRecommended", "IHCP-species-dilution-info": "", "IHCP-species-notes": "", "IP-species-checked": "notRecommended", "IP-species-dilution-info": "", "IP-species-notes": "", "FlowCyt-species-checked": "notRecommended", "FlowCyt-species-dilution-info": "", "FlowCyt-species-notes": "", "ICCIF-species-checked": "notRecommended", "ICCIF-species-dilution-info": "", "ICCIF-species-notes": "" } } }

产品详情

What are recombinant multiclonals?
Recombinant multiclonals are a mixture of recombinant antibodies co-expressed from a library of heavy and light chains. They offer several advantages including:

  • - The sensitivity of polyclonal antibodies by recognising multiple epitopes
  • - High batch-to-batch consistency and reproducibility
  • - Improved sensitivity and specificity
  • - Long-term security of supply
  • - Animal-free batch production

View our range of recombinant multiclonal antibodies.

Patented technology
Our RabMAb® technology is a patented hybridoma-based technology for making rabbit monoclonal antibodies. For details on our patents, please refer to RabMAb® patents.

性能和储存信息

形式
Liquid
纯化工艺
Affinity purification Protein A
存储溶液
pH: 7.2 - 7.4 Preservative: 0.01% Sodium azide Constituents: PBS, 40% Glycerol (glycerin, glycerine), 0.05% BSA
运输条件
Blue Ice
推荐的短期储存时间
1-2 weeks
推荐的短期储存条件
+4°C
推荐的长期储存条件
-20°C
分装信息
Upon delivery aliquot
储存信息
Avoid freeze / thaw cycle

产品实验方案

For this product, it's our understanding that no specific protocols are required. You can visit:

靶点信息

Binds to folate and reduced folic acid derivatives and mediates delivery of 5-methyltetrahydrofolate and folate analogs into the interior of cells (PubMed : 19074442, PubMed : 23851396, PubMed : 23934049, PubMed : 2527252, PubMed : 8033114, PubMed : 8567728). Has high affinity for folate and folic acid analogs at neutral pH (PubMed : 23851396, PubMed : 23934049, PubMed : 2527252, PubMed : 8033114, PubMed : 8567728). Exposure to slightly acidic pH after receptor endocytosis triggers a conformation change that strongly reduces its affinity for folates and mediates their release (PubMed : 8567728). Required for normal embryonic development and normal cell proliferation (By similarity).
See full target information FOLR1

Abcam Product Promise

我们致力于为您的研究提供高质量的试剂,为您科研的每一步提供支持。若我们的产品未能达到预期性能,我们向您提供 Abcam Product Promise 保障。
详情请参阅我们的条款与条件。

Please note: All products are 'FOR RESEARCH USE ONLY. NOT FOR USE IN DIAGNOSTIC OR THERAPEUTIC PROCEDURES'.

For licensing inquiries, please contact partnerships@abcam.com