JavaScript is disabled in your browser. Please enable JavaScript to view this website.
AB248761

重组Anti-FNIP1抗体[EPNCIR107] - BSA and Azide free

Anti-FNIP1 antibody [EPNCIR107] - BSA and Azide free

Be the first to review this product! Submit a review

|

(0 Publication)

Rabbit Recombinant Monoclonal FNIP1 antibody. Carrier free. Suitable for IHC-P, WB and reacts with Human samples.

查看别名

KIAA1961, FNIP1, Folliculin-interacting protein 1

5 Images
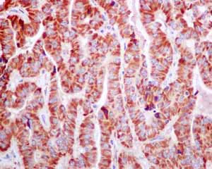
Immunohistochemistry (Formalin/PFA-fixed paraffin-embedded sections) - Anti-FNIP1 antibody [EPNCIR107] - BSA and Azide free (AB248761)
  • IHC-P

Unknown

Immunohistochemistry (Formalin/PFA-fixed paraffin-embedded sections) - Anti-FNIP1 antibody [EPNCIR107] - BSA and Azide free (AB248761)

This data was developed using ab134969, the same antibody clone in a different buffer formulation.

Immunohistochemical analysis using ab134969 showing positive staining in Thyroid gland papillary carcinoma tissue.

Perform heat mediated antigen retrieval before commencing with IHC staining protocol.

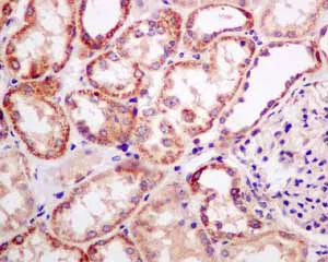
Immunohistochemistry (Formalin/PFA-fixed paraffin-embedded sections) - Anti-FNIP1 antibody [EPNCIR107] - BSA and Azide free (AB248761)
  • IHC-P

Unknown

Immunohistochemistry (Formalin/PFA-fixed paraffin-embedded sections) - Anti-FNIP1 antibody [EPNCIR107] - BSA and Azide free (AB248761)

This data was developed using ab134969, the same antibody clone in a different buffer formulation.

Immunohistochemical analysis using ab134969 showing positive staining in Normal kidney tissue.

Perform heat mediated antigen retrieval before commencing with IHC staining protocol.

Immunohistochemistry (Formalin/PFA-fixed paraffin-embedded sections) - Anti-FNIP1 antibody [EPNCIR107] - BSA and Azide free (AB248761)
  • IHC-P

Unknown

Immunohistochemistry (Formalin/PFA-fixed paraffin-embedded sections) - Anti-FNIP1 antibody [EPNCIR107] - BSA and Azide free (AB248761)

This data was developed using ab134969, the same antibody clone in a different buffer formulation.

Immunohistochemical analysis using ab134969 showing positive staining in Skeletal muscle tissue.

Perform heat mediated antigen retrieval before commencing with IHC staining protocol.

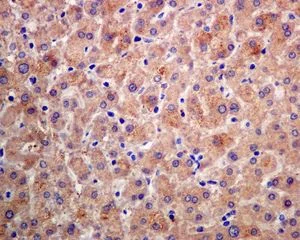
Immunohistochemistry (Formalin/PFA-fixed paraffin-embedded sections) - Anti-FNIP1 antibody [EPNCIR107] - BSA and Azide free (AB248761)
  • IHC-P

Unknown

Immunohistochemistry (Formalin/PFA-fixed paraffin-embedded sections) - Anti-FNIP1 antibody [EPNCIR107] - BSA and Azide free (AB248761)

This data was developed using ab134969, the same antibody clone in a different buffer formulation.

Immunohistochemical analysis of paraffin-embedded Human liver tissue labelling FNIP1 with ab134969 at 1/50 dilution.

Perform heat mediated antigen retrieval before commencing with IHC staining protocol.

Western blot - Anti-FNIP1 antibody [EPNCIR107] - BSA and Azide free (AB248761)
  • WB

Unknown

Western blot - Anti-FNIP1 antibody [EPNCIR107] - BSA and Azide free (AB248761)

This data was developed using ab134969, the same antibody clone in a different buffer formulation.

All lanes:

Western blot - Anti-FNIP1 antibody [EPNCIR107] (<a href='/products/primary-antibodies/fnip1-antibody-epncir107-ab134969'>ab134969</a>) at 1/1000 dilution

Lane 1:

FNIP transfected 293T cell lysate, untreated at 10 µg/mL

Lane 2:

FNIP transfected 293T cell lysate, treated with doxorubicin at 10 µg/mL

Secondary

All lanes:

HRP labelled goat anti-rabbit at 1/2000 dilution

Predicted band size: 131 kDa

false

不同偶联物与剂型 (1)

关键信息

宿主种属

Rabbit

克隆

Monoclonal

克隆号

EPNCIR107

亚型

IgG

不含载体蛋白

Yes

反应种属

Human

应用

WB, IHC-P

applications

免疫原

The exact immunogen used to generate this antibody is proprietary information.

反应性数据

{ "title": "Reactivity Data", "filters": { "stats": ["", "Species", "Dilution Info", "Notes"], "tabs": { "all-applications": {"fullname" : "All Applications", "shortname": "All Applications"}, "IHCP" : {"fullname" : "Immunohistochemistry (Formalin/PFA-fixed paraffin-embedded sections)", "shortname":"IHC-P"}, "IP" : {"fullname" : "Immunoprecipitation", "shortname":"IP"}, "WB" : {"fullname" : "Western blot", "shortname":"WB"} }, "product-promise": { "all": "all", "testedAndGuaranteed": "tested", "guaranteed": "expected", "predicted": "predicted", "notRecommended": "not-recommended" } }, "values": { "Human": { "IHCP-species-checked": "testedAndGuaranteed", "IHCP-species-dilution-info": "", "IHCP-species-notes": "<p></p>", "IP-species-checked": "notRecommended", "IP-species-dilution-info": "", "IP-species-notes": "<p></p>", "WB-species-checked": "testedAndGuaranteed", "WB-species-dilution-info": "", "WB-species-notes": "<p></p>" } } }

产品详情

ab248761 is the carrier-free version of ab134969.

This antibody was developed as part of a collaboration between Epitomics, the National Cancer Institute's Center for Cancer Research and the lab of Marston Linehan.

Species reactivity
Mouse, Rat: We have preliminary internal testing data to indicate this antibody may not react with these species.
Please contact us for more information.

Patented technology
Our RabMAb® technology is a patented hybridoma-based technology for making rabbit monoclonal antibodies. For details on our patents, please refer to RabMAb® patents.

What are the advantages of a recombinant monoclonal antibody?
This product is a recombinant monoclonal antibody, which offers several advantages including:

  • - High batch-to-batch consistency and reproducibility
  • - Improved sensitivity and specificity
  • - Long-term security of supply
  • - Animal-free batch production

For more information, read more on recombinant antibodies.

Conjugation ready
Our carrier-free antibodies are typically supplied in a PBS-only formulation, purified and free of BSA, sodium azide and glycerol. This conjugation-ready format is designed for use with fluorochromes, metal isotopes, oligonucleotides, and enzymes, which makes them ideal for antibody labelling, functional and cell-based assays, flow-based assays (e.g. mass cytometry) and Multiplex Imaging applications.

Use our conjugation kits for antibody conjugates that are ready-to-use in as little as 20 minutes with 1 minute hands-on-time and 100% antibody recovery: available for fluorescent dyes, HRP, biotin and gold.

Compatibility
This product is compatible with the Maxpar® Antibody Labeling Kit from Fluidigm, without the need for antibody preparation. Maxpar® is a trademark of Fluidigm Canada Inc.

性能和储存信息

形式
Liquid
纯化工艺
Affinity purification Protein A
存储溶液
pH: 7.2 - 7.4 Constituents: PBS
运输条件
Blue Ice
推荐的短期储存条件
+4°C
推荐的长期储存条件
+4°C
储存信息
Do Not Freeze

产品实验方案

For this product, it's our understanding that no specific protocols are required. You can visit:

靶点信息

Binding partner of the GTPase-activating protein FLCN : involved in the cellular response to amino acid availability by regulating the non-canonical mTORC1 signaling cascade controlling the MiT/TFE factors TFEB and TFE3 (PubMed : 17028174, PubMed : 18663353, PubMed : 24081491, PubMed : 37079666). Required to promote FLCN recruitment to lysosomes and interaction with Rag GTPases, leading to activation of the non-canonical mTORC1 signaling (PubMed : 24081491). In low-amino acid conditions, component of the lysosomal folliculin complex (LFC) on the membrane of lysosomes, which inhibits the GTPase-activating activity of FLCN, thereby inactivating mTORC1 and promoting nuclear translocation of TFEB and TFE3 (By similarity). Upon amino acid restimulation, disassembly of the LFC complex liberates the GTPase-activating activity of FLCN, leading to activation of mTORC1 and subsequent inactivation of TFEB and TFE3 (PubMed : 37079666). Together with FLCN, regulates autophagy : following phosphorylation by ULK1, interacts with GABARAP and promotes autophagy (PubMed : 25126726). In addition to its role in mTORC1 signaling, also acts as a co-chaperone of HSP90AA1/Hsp90 : following gradual phosphorylation by CK2, inhibits the ATPase activity of HSP90AA1/Hsp90, leading to activate both kinase and non-kinase client proteins of HSP90AA1/Hsp90 (PubMed : 27353360, PubMed : 30699359). Acts as a scaffold to load client protein FLCN onto HSP90AA1/Hsp90 (PubMed : 27353360). Competes with the activating co-chaperone AHSA1 for binding to HSP90AA1, thereby providing a reciprocal regulatory mechanism for chaperoning of client proteins (PubMed : 27353360). Also acts as a core component of the reductive stress response by inhibiting activation of mitochondria in normal conditions : in response to reductive stress, the conserved Cys degron is reduced, leading to recognition and polyubiquitylation by the CRL2(FEM1B) complex, followed by proteasomal (By similarity). Required for B-cell development (PubMed : 32905580).
See full target information FNIP1

Abcam Product Promise

我们致力于为您的研究提供高质量的试剂,为您科研的每一步提供支持。若我们的产品未能达到预期性能,我们向您提供 Abcam Product Promise 保障。
详情请参阅我们的条款与条件。

Please note: All products are 'FOR RESEARCH USE ONLY. NOT FOR USE IN DIAGNOSTIC OR THERAPEUTIC PROCEDURES'.

For licensing inquiries, please contact partnerships@abcam.com