JavaScript is disabled in your browser. Please enable JavaScript to view this website.
AB314653

重组Anti-FLAP抗体[EPR27505-52] - BSA and Azide free

Anti-FLAP antibody [EPR27505-52] - BSA and Azide free

Be the first to review this product! Submit a review

|

(0 Publication)

Rabbit Recombinant Monoclonal FLAP antibody. Carrier free. Suitable for WB, IHC-P, ICC/IF, Flow Cyt (Intra) and reacts with Human, Mouse, Rat, Transfected cell lysate - Human, Transfected cell line - Human samples.

查看别名

FLAP, ALOX5AP, Arachidonate 5-lipoxygenase-activating protein, MK-886-binding protein

12 Images
Immunohistochemistry (Formalin/PFA-fixed paraffin-embedded sections) - Anti-FLAP antibody [EPR27505-52] - BSA and Azide free (AB314653)
  • IHC-P

Supplier Data

Immunohistochemistry (Formalin/PFA-fixed paraffin-embedded sections) - Anti-FLAP antibody [EPR27505-52] - BSA and Azide free (AB314653)

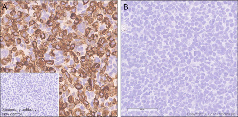
This data was developed using ab314652, the same antibody clone in a different buffer formulation.Immunohistochemical analysis of paraffin-embedded (A) HEK-293T (human epithelial cell line from embryonic kidney) transfected with a ALOX5AP expression vector containing a Myc-His tag. (B) HEK-293T transfected with empty vector containing a Myc-His tag. tissue labeling FLAP with ab314652 at 1/2000 (0.249 ug/ml) followed by a ready to use LeicaDS9800 (Bond™ Polymer Refine Detection). Positive staining on (A) HEK-293T (human epithelial cell line from embryonic kidney) transfected with a ALOX5AP expression vector containing a Myc-His tag, no staining on (B) HEK-293T transfected with empty vector containing a Myc-His tag. The section was incubated with ab314652 for 30 mins at room temperature.The immunostaining was performed on a Leica Biosystems BOND® RX instrument Counterstained with Hematoxylin. Secondary antibody only control : Secondary antibody is a ready to use LeicaDS9800 (Bond™ Polymer Refine Detection).Heat mediated antigen retrieval was performed with Tris-EDTA buffer (pH 9.0, Epitope Retrieval Solution2) for 20 mins

Immunocytochemistry/ Immunofluorescence - Anti-FLAP antibody [EPR27505-52] - BSA and Azide free (AB314653)
  • ICC/IF

Supplier Data

Immunocytochemistry/ Immunofluorescence - Anti-FLAP antibody [EPR27505-52] - BSA and Azide free (AB314653)

This data was developed using ab314652, the same antibody clone in a different buffer formulation. Immunofluorescent analysis of 4% Paraformaldehyde-fixed, 0.1% TritonX-100 permeabilized THP-1 (human monocytic leukemia monocyte) cells labelling FLAP with ab314652 at 1/50 (9.96 ug/ml) dilution, followed by ab150081 Goat Anti-Rabbit IgG H&L (Alexa Fluor® 488) preadsorbed antibody at 1/1000 2ug/ml dilution (Green). Confocal image showing increased positive staining in THP-1 cells treated with PMA (80nM) for 72 hours. Image was taken with a confocal microscope (Leica-Microsystems, TCS SP8). is observed. ab195889 Anti-alpha Tubulin mouse monoclonal antibody - Microtubule Marker (Alexa Fluor® 594) was used to counterstain tubulin at 1/200 2.5ug/ml dilution (Red). The Nuclear counterstain was DAPI (Blue). Secondary antibody only control : Secondary antibody is ab150081 Goat Anti-Rabbit IgG H&L (Alexa Fluor® 488) preadsorbed at 1/1000 2ug/ml dilution.

Immunohistochemistry (Formalin/PFA-fixed paraffin-embedded sections) - Anti-FLAP antibody [EPR27505-52] - BSA and Azide free (AB314653)
  • IHC-P

Supplier Data

Immunohistochemistry (Formalin/PFA-fixed paraffin-embedded sections) - Anti-FLAP antibody [EPR27505-52] - BSA and Azide free (AB314653)

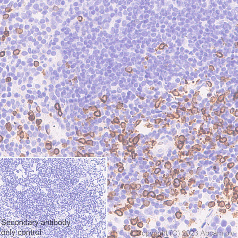
This data was developed using ab314652, the same antibody clone in a different buffer formulation.Immunohistochemical analysis of paraffin-embedded Human tonsil tissue labeling FLAP with ab314652 at 1/500 (0.996 ug/ml) followed by a ready to use LeicaDS9800 (Bond™ Polymer Refine Detection). Positive staining on human tonsil. The section was incubated with ab314652 for 30 mins at room temperature.The immunostaining was performed on a Leica Biosystems BOND® RX instrument Counterstained with Hematoxylin. Secondary antibody only control : Secondary antibody is a ready to use LeicaDS9800 (Bond™ Polymer Refine Detection).Heat mediated antigen retrieval was performed with Tris-EDTA buffer (pH 9.0, Epitope Retrieval Solution2) for 20 mins

Immunohistochemistry (Formalin/PFA-fixed paraffin-embedded sections) - Anti-FLAP antibody [EPR27505-52] - BSA and Azide free (AB314653)
  • IHC-P

Supplier Data

Immunohistochemistry (Formalin/PFA-fixed paraffin-embedded sections) - Anti-FLAP antibody [EPR27505-52] - BSA and Azide free (AB314653)

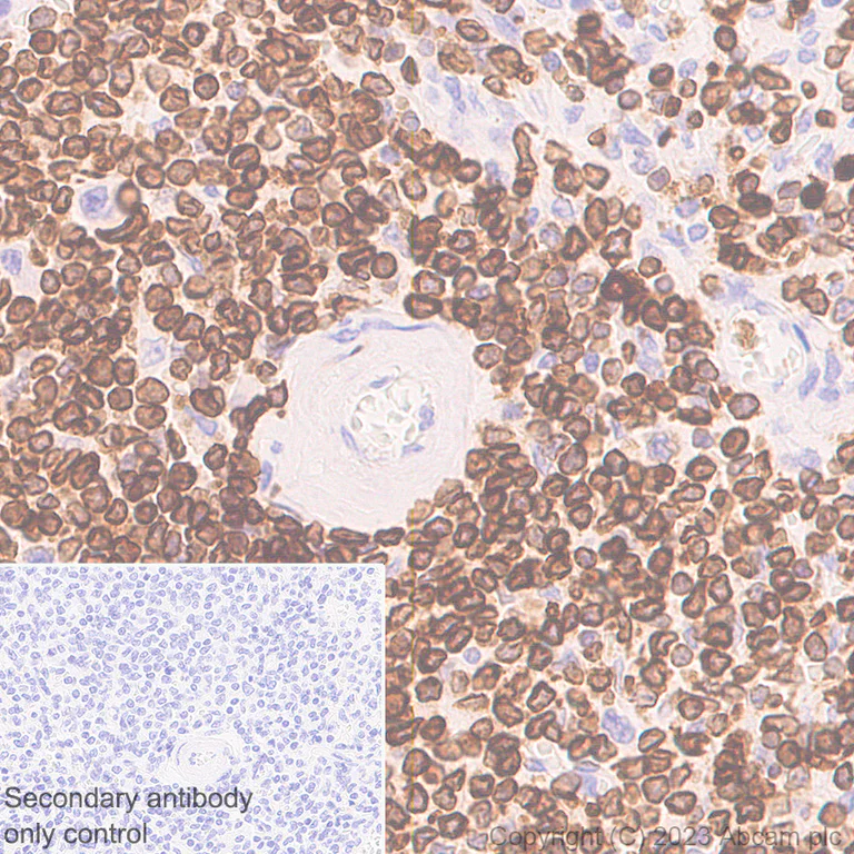
This data was developed using ab314652, the same antibody clone in a different buffer formulation.Immunohistochemical analysis of paraffin-embedded Human spleen tissue labeling FLAP with ab314652 at 1/500 (0.996 ug/ml) followed by a ready to use LeicaDS9800 (Bond™ Polymer Refine Detection). Positive staining on human spleen. The section was incubated with ab314652 for 30 mins at room temperature.The immunostaining was performed on a Leica Biosystems BOND® RX instrument Counterstained with Hematoxylin. Secondary antibody only control : Secondary antibody is a ready to use LeicaDS9800 (Bond™ Polymer Refine Detection).Heat mediated antigen retrieval was performed with Tris-EDTA buffer (pH 9.0, Epitope Retrieval Solution2) for 20 mins

Flow Cytometry (Intracellular) - Anti-FLAP antibody [EPR27505-52] - BSA and Azide free (AB314653)
  • Flow Cyt (Intra)

Supplier Data

Flow Cytometry (Intracellular) - Anti-FLAP antibody [EPR27505-52] - BSA and Azide free (AB314653)

This data was developed using ab314652, the same antibody clone in a different buffer formulation. Flow cytometric analysis of 4% paraformaldehyde fixed 90% methanol permeabilized Isotype (Left) / THP-1 (human monocytic leukemia monocyte) treated with 80nM PMA for 72h (Middle) / Untreated THP-1 (Right) cells labelling FLAP with ab314652 at 1/500 dilution (0.1 ug)/Middle and Right (Red) compared with a Rabbit monoclonal IgG (ab172730) / Left isotype control and an unlabelled control (cells without incubation with primary antibody and secondary antibody) (Blue). A Goat Anti-Rabbit IgG (Alexa Fluor® 488, ab150081) at 1/5000 dilution was used as the secondary antibody.

Immunohistochemistry (Formalin/PFA-fixed paraffin-embedded sections) - Anti-FLAP antibody [EPR27505-52] - BSA and Azide free (AB314653)
  • IHC-P

Supplier Data

Immunohistochemistry (Formalin/PFA-fixed paraffin-embedded sections) - Anti-FLAP antibody [EPR27505-52] - BSA and Azide free (AB314653)

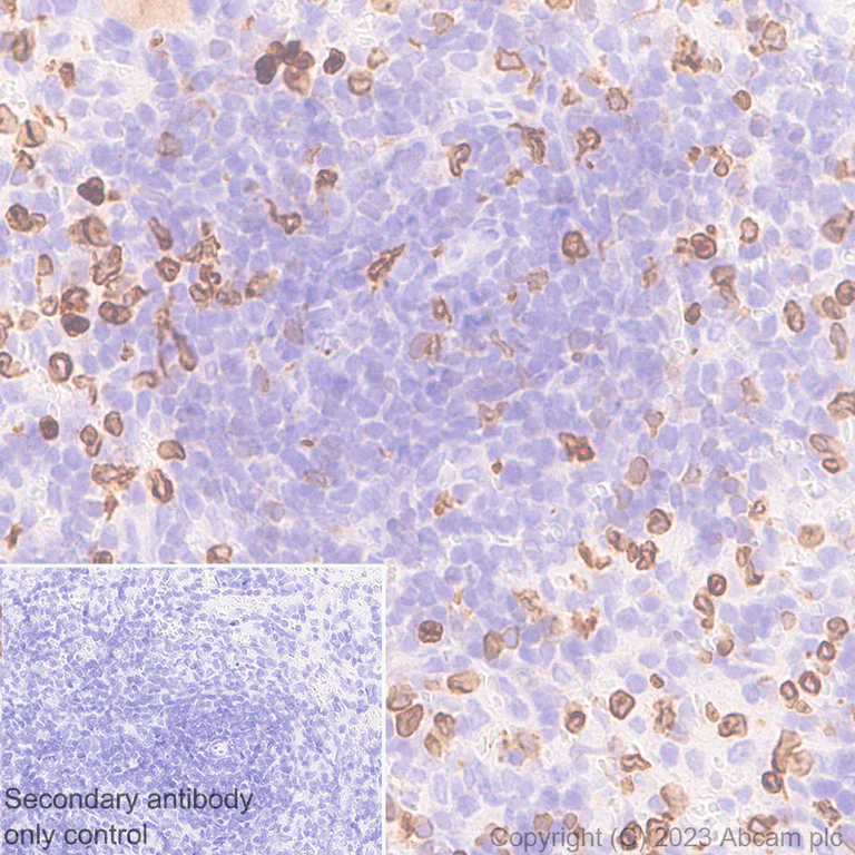
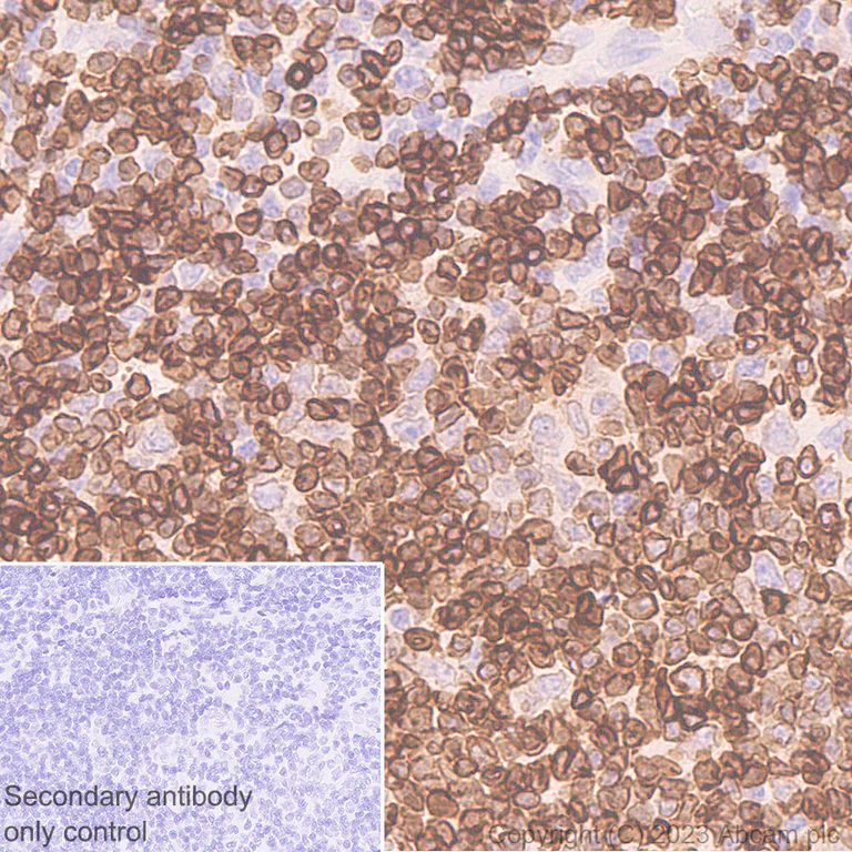
This data was developed using ab314652, the same antibody clone in a different buffer formulation.Immunohistochemical analysis of paraffin-embedded Human non-hodgkin's lymphoma tissue labeling FLAP with ab314652 at 1/500 (0.996 ug/ml) followed by a ready to use LeicaDS9800 (Bond™ Polymer Refine Detection). Positive staining on human non-hodgkin's lymphoma. The section was incubated with ab314652 for 30 mins at room temperature.The immunostaining was performed on a Leica Biosystems BOND® RX instrument Counterstained with Hematoxylin. Secondary antibody only control : Secondary antibody is a ready to use LeicaDS9800 (Bond™ Polymer Refine Detection).Heat mediated antigen retrieval was performed with Tris-EDTA buffer (pH 9.0, Epitope Retrieval Solution2) for 20 mins

Immunohistochemistry (Formalin/PFA-fixed paraffin-embedded sections) - Anti-FLAP antibody [EPR27505-52] - BSA and Azide free (AB314653)
  • IHC-P

Supplier Data

Immunohistochemistry (Formalin/PFA-fixed paraffin-embedded sections) - Anti-FLAP antibody [EPR27505-52] - BSA and Azide free (AB314653)

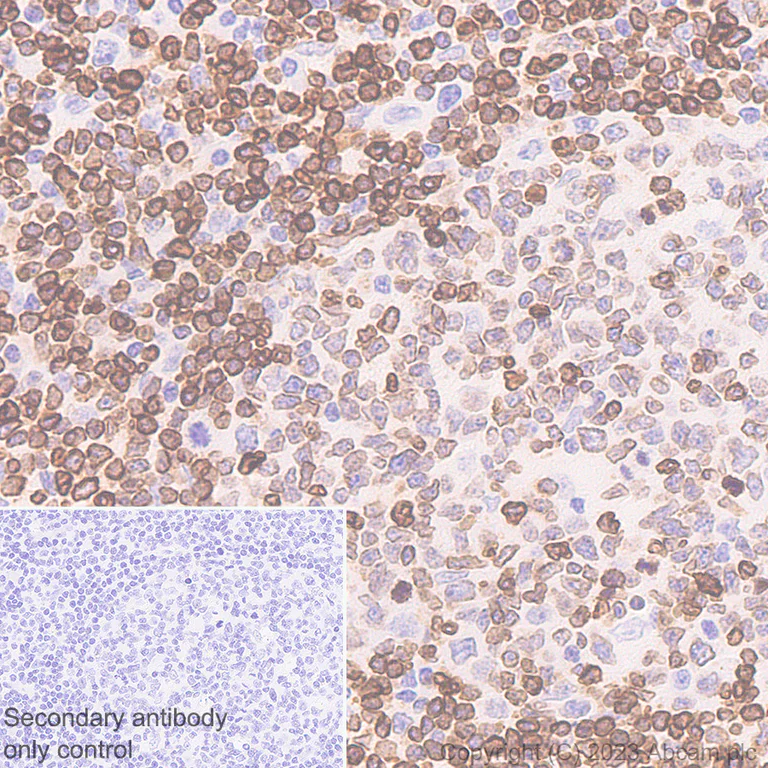
This data was developed using ab314652, the same antibody clone in a different buffer formulation.Immunohistochemical analysis of paraffin-embedded Rat spleen tissue labeling FLAP with ab314652 at 1/500 (0.996 ug/ml) followed by a ready to use LeicaDS9800 (Bond™ Polymer Refine Detection). Positive staining on rat spleen. The section was incubated with ab314652 for 30 mins at room temperature.The immunostaining was performed on a Leica Biosystems BOND® RX instrument Counterstained with Hematoxylin. Secondary antibody only control : Secondary antibody is a ready to use LeicaDS9800 (Bond™ Polymer Refine Detection).Heat mediated antigen retrieval was performed with Tris-EDTA buffer (pH 9.0, Epitope Retrieval Solution2) for 20 mins

Immunohistochemistry (Formalin/PFA-fixed paraffin-embedded sections) - Anti-FLAP antibody [EPR27505-52] - BSA and Azide free (AB314653)
  • IHC-P

Supplier Data

Immunohistochemistry (Formalin/PFA-fixed paraffin-embedded sections) - Anti-FLAP antibody [EPR27505-52] - BSA and Azide free (AB314653)

This data was developed using ab314652, the same antibody clone in a different buffer formulation.Immunohistochemical analysis of paraffin-embedded Mouse spleen tissue labeling FLAP with ab314652 at 1/500 (0.996 ug/ml) followed by a ready to use LeicaDS9800 (Bond™ Polymer Refine Detection). Positive staining on mouse spleen. The section was incubated with ab314652 for 30 mins at room temperature.The immunostaining was performed on a Leica Biosystems BOND® RX instrument Counterstained with Hematoxylin. Secondary antibody only control : Secondary antibody is a ready to use LeicaDS9800 (Bond™ Polymer Refine Detection).Heat mediated antigen retrieval was performed with Tris-EDTA buffer (pH 9.0, Epitope Retrieval Solution2) for 20 mins

Western blot - Anti-FLAP antibody [EPR27505-52] - BSA and Azide free (AB314653)
  • WB

Supplier Data

Western blot - Anti-FLAP antibody [EPR27505-52] - BSA and Azide free (AB314653)

This data was developed using ab314652, the same antibody clone in a different buffer formulation. Blocking and diluting buffer and concentration : 5% NFDM/TBST This blot of lane 2 was developed using a high sensitivity ECL substrate.

All lanes:

Western blot - Anti-FLAP antibody [EPR27505-52] (<a href='/products/primary-antibodies/flap-antibody-epr27505-52-ab314652'>ab314652</a>) at 1/1000 dilution

Lane 1:

Human spleen tissue lysate at 20 µg

Lane 2:

Human small intestine tissue lysate at 20 µg

Secondary

All lanes:

Goat Anti-Rabbit IgG (HRP) with minimal cross-reactivity with human IgG at 1/2000 dilution

Observed band size: 18 kDa

true

Exposure time: 103s

Western blot - Anti-FLAP antibody [EPR27505-52] - BSA and Azide free (AB314653)
  • WB

Supplier Data

Western blot - Anti-FLAP antibody [EPR27505-52] - BSA and Azide free (AB314653)

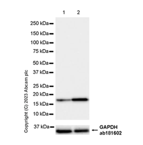
This data was developed using ab314652, the same antibody clone in a different buffer formulation. Blocking and diluting buffer and concentration : 5% NFDM/TBST The expression profile observed is consistent with what has been described in the literature (PMID : 31316498). In Western blot, Anti-GAPDH antibody [EPR16891] - Loading Control (ab181602) staining at 1/200000 dilution.

All lanes:

Western blot - Anti-FLAP antibody [EPR27505-52] (<a href='/products/primary-antibodies/flap-antibody-epr27505-52-ab314652'>ab314652</a>) at 1/1000 dilution

Lane 1:

Untreated THP-1 (human monocytic leukemia monocyte) whole cell lysate at 20 µg

Lane 2:

THP-1 treated with 80nM PMA for 72 hours whole cell lysate at 20 µg

Secondary

All lanes:

Western blot - Goat Anti-Rabbit IgG H&L (HRP) (<a href='/products/secondary-antibodies/goat-rabbit-igg-h-l-hrp-ab97051'>ab97051</a>) at 1/20000 dilution

Observed band size: 18 kDa

false

Exposure time: 6s

Western blot - Anti-FLAP antibody [EPR27505-52] - BSA and Azide free (AB314653)
  • WB

Supplier Data

Western blot - Anti-FLAP antibody [EPR27505-52] - BSA and Azide free (AB314653)

This data was developed using ab314652, the same antibody clone in a different buffer formulation. Blocking and diluting buffer and concentration : 5% NFDM/TBST

All lanes:

Western blot - Anti-FLAP antibody [EPR27505-52] (<a href='/products/primary-antibodies/flap-antibody-epr27505-52-ab314652'>ab314652</a>) at 1/1000 dilution

Lane 1:

RAW 264.7 (mouse abelson murine leukemia virus-induced tumor macrophage) whole cell lysate at 20 µg

Lane 2:

Mouse spleen tissue lysate at 20 µg

Lane 3:

Mouse lung tissue lysate at 20 µg

Lane 4:

Rat spleen tissue lysate at 20 µg

Secondary

All lanes:

Western blot - Goat Anti-Rabbit IgG H&L (HRP) (<a href='/products/secondary-antibodies/goat-rabbit-igg-h-l-hrp-ab97051'>ab97051</a>) at 1/20000 dilution

Observed band size: 18 kDa

false

Exposure time: 103s

Western blot - Anti-FLAP antibody [EPR27505-52] - BSA and Azide free (AB314653)
  • WB

Supplier Data

Western blot - Anti-FLAP antibody [EPR27505-52] - BSA and Azide free (AB314653)

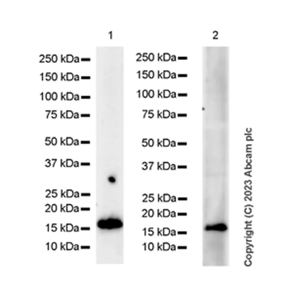
This data was developed using ab314652, the same antibody clone in a different buffer formulation. Blocking and diluting buffer and concentration : 5% NFDM/TBST In Western blot, Anti-GAPDH antibody [EPR16891] - Loading Control (ab181602) staining at 1/200000 dilution. In Western blot, Anti-6X His tag® antibody [EPR20547] - ChIP Grade (ab213204) staining at 1/5000 dilution

All lanes:

Western blot - Anti-FLAP antibody [EPR27505-52] (<a href='/products/primary-antibodies/flap-antibody-epr27505-52-ab314652'>ab314652</a>) at 1/1000 dilution

Lane 1:

293T cells transfected with an empty vector containing a His-tag®, whole cell lysate at 7 µg

Lane 2:

293T cells transfected with a human ALOX5AP expression vector containing a His-tag®, whole cell lysate at 7 µg

Secondary

All lanes:

Western blot - Goat Anti-Rabbit IgG H&L (HRP) (<a href='/products/secondary-antibodies/goat-rabbit-igg-h-l-hrp-ab97051'>ab97051</a>) at 1/20000 dilution

Observed band size: 18 kDa

false

Exposure time: 3s

不同偶联物与剂型 (3)

关键信息

宿主种属

Rabbit

克隆

Monoclonal

克隆号

EPR27505-52

亚型

IgG

不含载体蛋白

Yes

反应种属

Human, Mouse, Rat

应用

IHC-P, Flow Cyt (Intra), WB, ICC/IF

applications

免疫原

The exact immunogen used to generate this antibody is proprietary information.

反应性数据

{ "title": "Reactivity Data", "filters": { "stats": ["", "Species", "Dilution Info", "Notes"], "tabs": { "all-applications": {"fullname" : "All Applications", "shortname": "All Applications"}, "WB" : {"fullname" : "Western blot", "shortname":"WB"}, "IHCP" : {"fullname" : "Immunohistochemistry (Formalin/PFA-fixed paraffin-embedded sections)", "shortname":"IHC-P"}, "ICCIF" : {"fullname" : "Immunocytochemistry/ Immunofluorescence", "shortname":"ICC/IF"}, "FlowCytIntra" : {"fullname" : "Flow Cytometry (Intracellular)", "shortname":"Flow Cyt (Intra)"}, "IP" : {"fullname" : "Immunoprecipitation", "shortname":"IP"} }, "product-promise": { "all": "all", "testedAndGuaranteed": "tested", "guaranteed": "expected", "predicted": "predicted", "notRecommended": "not-recommended" } }, "values": { "Human": { "WB-species-checked": "testedAndGuaranteed", "WB-species-dilution-info": "", "WB-species-notes": "<p></p>", "IHCP-species-checked": "testedAndGuaranteed", "IHCP-species-dilution-info": "", "IHCP-species-notes": "<p></p>", "ICCIF-species-checked": "testedAndGuaranteed", "ICCIF-species-dilution-info": "", "ICCIF-species-notes": "<p></p>", "FlowCytIntra-species-checked": "testedAndGuaranteed", "FlowCytIntra-species-dilution-info": "", "FlowCytIntra-species-notes": "<p></p>", "IP-species-checked": "notRecommended", "IP-species-dilution-info": "", "IP-species-notes": "<p></p>" }, "Mouse": { "WB-species-checked": "testedAndGuaranteed", "WB-species-dilution-info": "", "WB-species-notes": "<p></p>", "IHCP-species-checked": "testedAndGuaranteed", "IHCP-species-dilution-info": "", "IHCP-species-notes": "<p></p>", "ICCIF-species-checked": "guaranteed", "ICCIF-species-dilution-info": "", "ICCIF-species-notes": "", "FlowCytIntra-species-checked": "guaranteed", "FlowCytIntra-species-dilution-info": "", "FlowCytIntra-species-notes": "", "IP-species-checked": "notRecommended", "IP-species-dilution-info": "", "IP-species-notes": "" }, "Rat": { "WB-species-checked": "testedAndGuaranteed", "WB-species-dilution-info": "", "WB-species-notes": "<p></p>", "IHCP-species-checked": "testedAndGuaranteed", "IHCP-species-dilution-info": "", "IHCP-species-notes": "<p></p>", "ICCIF-species-checked": "guaranteed", "ICCIF-species-dilution-info": "", "ICCIF-species-notes": "", "FlowCytIntra-species-checked": "guaranteed", "FlowCytIntra-species-dilution-info": "", "FlowCytIntra-species-notes": "", "IP-species-checked": "notRecommended", "IP-species-dilution-info": "", "IP-species-notes": "" }, "Transfected cell line - Human": { "WB-species-checked": "notRecommended", "WB-species-dilution-info": "", "WB-species-notes": "", "IHCP-species-checked": "testedAndGuaranteed", "IHCP-species-dilution-info": "", "IHCP-species-notes": "<p></p>", "ICCIF-species-checked": "notRecommended", "ICCIF-species-dilution-info": "", "ICCIF-species-notes": "", "FlowCytIntra-species-checked": "notRecommended", "FlowCytIntra-species-dilution-info": "", "FlowCytIntra-species-notes": "", "IP-species-checked": "notRecommended", "IP-species-dilution-info": "", "IP-species-notes": "" }, "Transfected cell lysate - Human": { "WB-species-checked": "testedAndGuaranteed", "WB-species-dilution-info": "", "WB-species-notes": "<p></p>", "IHCP-species-checked": "notRecommended", "IHCP-species-dilution-info": "", "IHCP-species-notes": "", "ICCIF-species-checked": "notRecommended", "ICCIF-species-dilution-info": "", "ICCIF-species-notes": "", "FlowCytIntra-species-checked": "notRecommended", "FlowCytIntra-species-dilution-info": "", "FlowCytIntra-species-notes": "", "IP-species-checked": "notRecommended", "IP-species-dilution-info": "", "IP-species-notes": "" } } }

产品详情

ab314653 is the carrier-free version of ab314652.

Patented technology
Our RabMAb® technology is a patented hybridoma-based technology for making rabbit monoclonal antibodies. For details on our patents, please refer to RabMAb® patents.

What are the advantages of a recombinant monoclonal antibody?
This product is a recombinant monoclonal antibody, which offers several advantages including:

  • - High batch-to-batch consistency and reproducibility
  • - Improved sensitivity and specificity
  • - Long-term security of supply
  • - Animal-free batch production

For more information, read more on recombinant antibodies.

Conjugation ready
Our carrier-free antibodies are typically supplied in a PBS-only formulation, purified and free of BSA, sodium azide and glycerol. This conjugation-ready format is designed for use with fluorochromes, metal isotopes, oligonucleotides, and enzymes, which makes them ideal for antibody labelling, functional and cell-based assays, flow-based assays (e.g. mass cytometry) and Multiplex Imaging applications.

Use our conjugation kits for antibody conjugates that are ready-to-use in as little as 20 minutes with 1 minute hands-on-time and 100% antibody recovery: available for fluorescent dyes, HRP, biotin and gold.

Compatibility
This product is compatible with the Maxpar® Antibody Labeling Kit from Fluidigm, without the need for antibody preparation. Maxpar® is a trademark of Fluidigm Canada Inc.

性能和储存信息

形式
Liquid
纯化工艺
Affinity purification Protein A
存储溶液
pH: 7.2 - 7.4 Constituents: PBS
运输条件
Blue Ice
推荐的短期储存条件
+4°C
推荐的长期储存条件
+4°C

补充信息

This supplementary information is collated from multiple sources and compiled automatically.

FLAP also known as ALOX5AP is an important protein in the leukotriene biosynthetic pathway. It functions mechanically as a membrane-associated protein that facilitates the transfer of arachidonic acid to 5-lipoxygenase (5-LOX) a critical step in the production of leukotrienes. FLAP has a molecular mass of approximately 18 kDa and is primarily expressed in cells of the myeloid lineage such as neutrophils monocytes and macrophages.
Biological function summary

FLAP plays an essential role in the inflammatory response and is a component of the leukotriene synthesis complex. This complex is responsible for the production of leukotrienes which are potent lipid mediators that contribute to inflammation and immune regulation. By regulating leukotriene synthesis FLAP supports processes like chemotaxis cell aggregation and smooth muscle contraction essential for the body's response to inflammation.

Pathways

The FLAP signaling pathway is integral to the leukotriene metabolic pathway. It facilitates the interaction between arachidonic acid and 5-LOX leading to the generation of leukotrienes such as LTA4 and LTB4. These molecules are involved in numerous processes including bronchoconstriction and migration of leukocytes. Proteins related to FLAP within this pathway include 5-LOX and LTC4 synthase which further convert leukotrienes into biologically active compounds.

FLAP is associated with asthma and cardiovascular diseases. Its role in producing leukotrienes links it to the pathogenesis of inflammatory conditions. Elevated levels of leukotrienes mediated by FLAP can exacerbate symptoms in asthma by causing bronchial constriction. In cardiovascular diseases FLAP-related pathway dysregulation can contribute to atherosclerosis development. Proteins connected to FLAP through these disorders include leukotriene receptor antagonists which are therapeutic targets for reducing leukotriene-mediated effects.

产品实验方案

For this product, it's our understanding that no specific protocols are required. You can visit:

靶点信息

Required for leukotriene biosynthesis by ALOX5 (5-lipoxygenase). Anchors ALOX5 to the membrane. Binds arachidonic acid, and could play an essential role in the transfer of arachidonic acid to ALOX5. Binds to MK-886, a compound that blocks the biosynthesis of leukotrienes.
See full target information ALOX5AP

Abcam Product Promise

我们致力于为您的研究提供高质量的试剂,为您科研的每一步提供支持。若我们的产品未能达到预期性能,我们向您提供 Abcam Product Promise 保障。
详情请参阅我们的条款与条件。

Please note: All products are 'FOR RESEARCH USE ONLY. NOT FOR USE IN DIAGNOSTIC OR THERAPEUTIC PROCEDURES'.

For licensing inquiries, please contact partnerships@abcam.com